Toxoplasma gondii Reactivation Aggravating Cardiac Function Impairment in Mice
Abstract
1. Introduction
2. Materials and Methods
2.1. Ethical Approval
2.2. Parasites
2.3. Experimental Design
2.4. PCR Detection of the ITS-1 Gene in the Peripheral Blood of T. gondii
2.5. Determination of Cardiac Function Indicators
2.6. Histological Analysis
2.7. Biochemical Analysis of Myocardial Enzyme Profiles
2.8. Enzyme-Linked Immunosorbent Assay (ELISA)
2.9. Western Blot Analysis
2.10. Immunofluorescence Assay
2.11. Statistical Analysis
3. Results
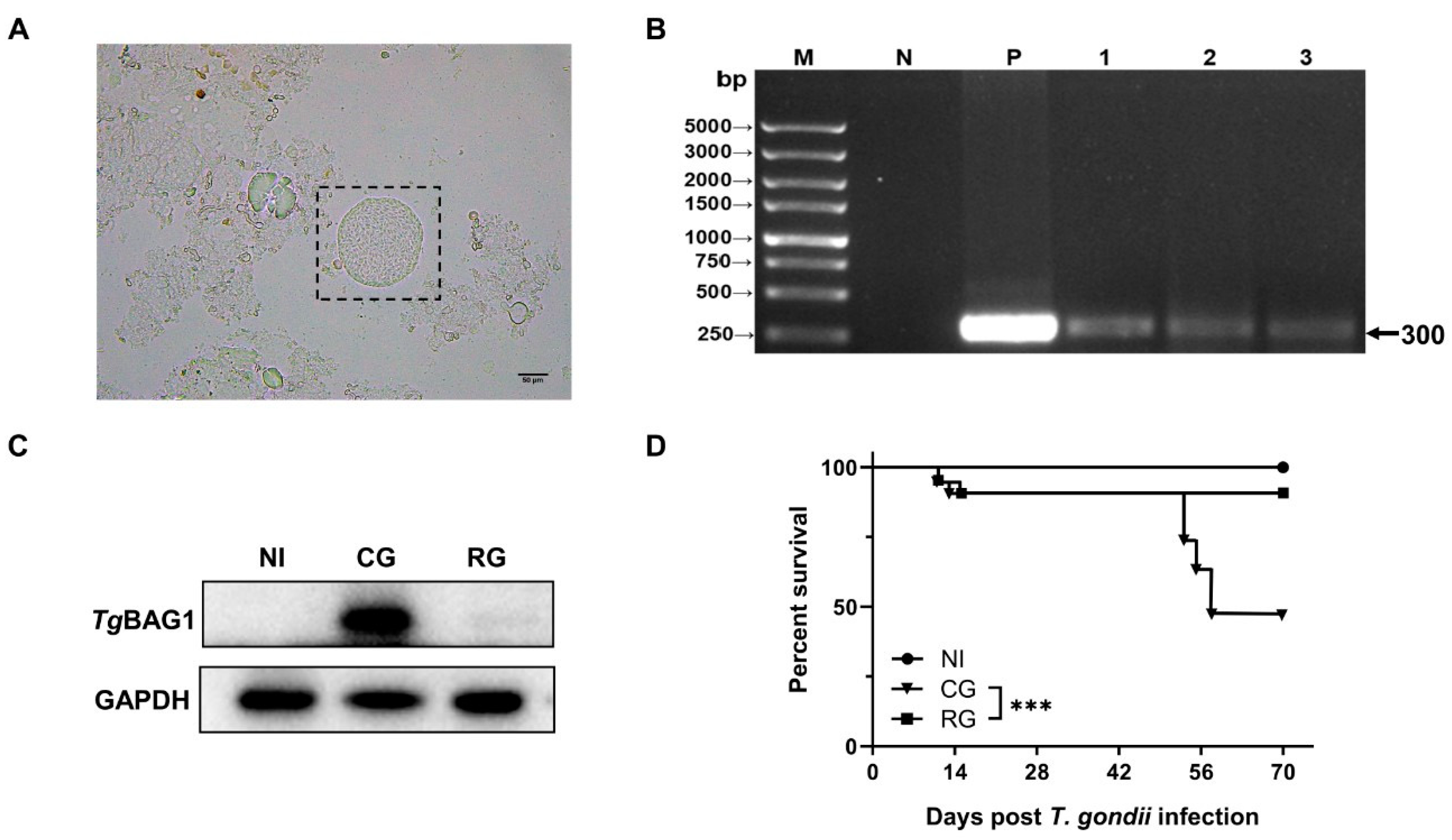
3.1. Establishment of Dexamethasone-Induced Recurrence in TgCtwh6-Infected Mice
3.2. Reactivation Could Aggravate Pathological Damage in the Hearts of Mice
3.3. Effects of TgCtwh6 Infection on the Heart Functions of Mice at Various Periods after Infection
3.4. Reactivation of T. gondii Increased the Various Cardiac Enzymes and Cardiac Troponin in Mice
3.5. Alterations in Antioxidant and Inflammatory Effects in the Heart during Various Periods after Infection
3.6. Effect of T. gondii Infection on Macrophage Infiltration In Vivo
4. Discussion
5. Conclusions
Author Contributions
Funding
Institutional Review Board Statement
Informed Consent Statement
Data Availability Statement
Acknowledgments
Conflicts of Interest
References
- Attias, M.; Teixeira, D.E.; Benchimol, M.; Vommaro, R.C.; Crepaldi, P.H.; De Souza, W. The life-cycle of Toxoplasma gondii reviewed using animations. Parasites Vectors 2020, 13, 588. [Google Scholar] [CrossRef] [PubMed]
- Montoya, J.G.; Jordan, R.; Lingamneni, S.; Berry, G.J.; Remington, J.S. Toxoplasmic myocarditis and polymyositis in patients with acute acquired toxoplasmosis diagnosed during life. Clin. Infect. Dis. 1997, 24, 676–683. [Google Scholar] [CrossRef] [PubMed]
- Hofman, P.; Bernard, E.; Michiels, J.F.; Thyss, A.; Le Fichoux, Y.; Loubiere, R. Extracerebral toxoplasmosis in the acquired immunodeficiency syndrome (AIDS). Pathol.-Res. Pract. 1993, 189, 894–901. [Google Scholar] [CrossRef] [PubMed]
- Hofman, P.; Drici, M.D.; Gibelin, P.; Michiels, J.F.; Thyss, A. Prevalence of toxoplasma myocarditis in patients with the acquired immunodeficiency syndrome. Br. Heart J. 1993, 70, 376–381. [Google Scholar] [CrossRef]
- Karapanagiotidis, G.T.; Anastasiadis, K. Surgical Management of Parasitic Diseases Involving the Heart; Springer International Publishing: Berlin/Heidelberg, Germany, 2020. [Google Scholar]
- Ayoade, F.; Joel Chandranesan, A.S. HIV-1 Associated Toxoplasmosis. In StatPearls; StatPearls: Treasure Island, FL, USA, 2023. [Google Scholar]
- Cuervo, G.; Simonetti, A.F.; Alegre, O.; Sanchez-Salado, J.C.; Podzamczer, D. Toxoplasma myocarditis: A rare but serious complication in an HIV-infected late presenter. Aids 2016, 30, 2253–2254. [Google Scholar] [CrossRef]
- Politi Okoshi, M.; Rubens Montenegro, M. Pathology of the heart in AIDS. Study of 73 consecutive necropsies. Arq. Bras. Cardiol. 1996, 66, 129–133. [Google Scholar]
- Strabelli, T.M.; Siciliano, R.F.; Vidal Campos, S.; Bianchi Castelli, J.; Bacal, F.; Bocchi, E.A.; Uip, D.E. Toxoplasma gondii Myocarditis after Adult Heart Transplantation: Successful Prophylaxis with Pyrimethamine. J. Trop. Med. 2012, 2012, 853562. [Google Scholar] [CrossRef][Green Version]
- Pergola, G.; Cascone, A.; Russo, M. Acute pericarditis and myocarditis by Toxoplasma gondii in an immunocompetent young man: A case report. Infezmed 2010, 18, 48–52. [Google Scholar]
- Guillot, J.P.; Beylot, J.; Turner, K.; Lacoste, D.; Gabinski, C.; Besse, P. Acute cardiac insufficiency and toxoplasmosis. Arch. Mal. Coeur Vaiss. 1989, 82, 1767–1770. [Google Scholar]
- Yan, J.; Huang, B.; Liu, G.; Wu, B.; Huang, S.; Zheng, H.; Shen, J.; Lun, Z.R.; Wang, Y.; Lu, F. Meta-analysis of prevention and treatment of toxoplasmic encephalitis in HIV-infected patients. Acta Trop. 2013, 127, 236–244. [Google Scholar] [CrossRef]
- Wang, L.; Chen, H.; Liu, D.; Huo, X.; Gao, J.; Song, X.; Xu, X.; Huang, K.; Liu, W.; Wang, Y.; et al. Genotypes and mouse virulence of Toxoplasma gondii isolates from animals and humans in China. PLoS ONE 2013, 8, e53483. [Google Scholar] [CrossRef] [PubMed]
- Chaichan, P.; Mercier, A.; Galal, L.; Mahittikorn, A.; Ariey, F.; Morand, S.; Boumediene, F.; Udonsom, R.; Hamidovic, A.; Murat, J.B.; et al. Geographical distribution of Toxoplasma gondii genotypes in Asia: A link with neighboring continents. Infect. Genet. Evol. 2017, 53, 227–238. [Google Scholar] [CrossRef]
- Li, M.; Mo, X.W.; Wang, L.; Chen, H.; Luo, Q.L.; Wen, H.Q.; Wei, W.; Zhang, A.M.; Du, J.; Lu, F.L.; et al. Phylogeny and virulence divergency analyses of Toxoplasma gondii isolates from China. Parasites Vectors 2014, 7, 133. [Google Scholar] [CrossRef] [PubMed]
- Tao, Q.; Yang, D.; Qin, K.; Liu, L.; Jin, M.; Zhang, F.; Zhu, J.; Wang, J.; Luo, Q.; Du, J.; et al. Studies on the mechanism of Toxoplasma gondii Chinese 1 genotype Wh6 strain causing mice abnormal cognitive behavior. Parasites Vectors 2023, 16, 30. [Google Scholar] [CrossRef]
- Takashima, Y.; Suzuki, K.; Xuan, X.; Nishikawa, Y.; Unno, A.; Kitoh, K. Detection of the initial site of Toxoplasma gondii reactivation in brain tissue. Int. J. Parasitol. 2008, 38, 601–607. [Google Scholar] [CrossRef]
- Mahmoud, M.E.; Ihara, F.; Fereig, R.M.; Nishimura, M.; Nishikawa, Y. Induction of depression-related behaviors by reactivation of chronic Toxoplasma gondii infection in mice. Behav. Brain Res. 2016, 298, 125–133. [Google Scholar] [CrossRef]
- Chemoh, W.; Sawangjaroen, N.; Nissapatorn, V.; Sermwittayawong, N. Molecular investigation on the occurrence of Toxoplasma gondii oocysts in cat feces using TOX-element and ITS-1 region targets. Vet. J. 2016, 215, 118–122. [Google Scholar] [CrossRef]
- Gao, N.; Wang, C.; Yu, Y.; Xie, L.; Xing, Y.; Zhang, Y.; Wang, Y.; Wu, J.; Cai, Y. LFA-1/ICAM-1 promotes NK cell cytotoxicity associated with the pathogenesis of ocular toxoplasmosis in murine model. PLoS Neglected Trop. Dis. 2022, 16, e0010848. [Google Scholar] [CrossRef] [PubMed]
- Qi, T.; Ai, J.; Sun, Y.; Ma, H.; Kang, M.; You, X.; Li, J. Application of Toxoplasma gondii-specific SAG1, GRA7 and BAG1 proteins in serodiagnosis of animal toxoplasmosis. Front. Cell. Infect. Microbiol. 2022, 12, 1029768. [Google Scholar] [CrossRef] [PubMed]
- Nicoll, S.; Wright, S.; Maley, S.W.; Burns, S.; Buxton, D. A mouse model of recrudescence of Toxoplasma gondii infection. J. Med. Microbiol. 1997, 46, 263–266. [Google Scholar] [CrossRef]
- Cohen, S.B.; Denkers, E.Y. Border maneuvers: Deployment of mucosal immune defenses against Toxoplasma gondii. Mucosal Immunol. 2014, 7, 744–752. [Google Scholar] [CrossRef] [PubMed]
- Barragan, A.; Sibley, L.D. Migration of Toxoplasma gondii across biological barriers. Trends Microbiol. 2003, 11, 426–430. [Google Scholar] [CrossRef] [PubMed]
- Courret, N.; Darche, S.; Sonigo, P.; Milon, G.; Buzoni-Gatel, D.; Tardieux, I. CD11c- and CD11b-expressing mouse leukocytes transport single Toxoplasma gondii tachyzoites to the brain. Blood 2006, 107, 309–316. [Google Scholar] [CrossRef] [PubMed]
- Sahasrabudhe, N.S.; Jadhav, M.V.; Deshmukh, S.D.; Holla, V.V. Pathology of Toxoplasma myocarditis in acquired immunodeficiency syndrome. Indian J. Pathol. Microbiol. 2003, 46, 649–651. [Google Scholar]
- Mordue, D.G.; Desai, N.; Dustin, M.; Sibley, L.D. Invasion by Toxoplasma gondii establishes a moving junction that selectively excludes host cell plasma membrane proteins on the basis of their membrane anchoring. J. Exp. Med. 1999, 190, 1783–1792. [Google Scholar] [CrossRef]
- Sacks, D.; Sher, A. Evasion of innate immunity by parasitic protozoa. Nat. Immunol. 2002, 3, 1041–1047. [Google Scholar] [CrossRef]
- Sharma, A.; Fonarow, G.C.; Butler, J.; Ezekowitz, J.A.; Felker, G.M. Coenzyme Q10 and Heart Failure: A State-of-the-Art Review. Circ. Heart Fail. 2016, 9, e002639. [Google Scholar] [CrossRef]
- Dumaine, J.E.; Ashley, N.T. Acute sleep fragmentation induces tissue-specific changes in cytokine gene expression and increases serum corticosterone concentration. Am. J. Physiol.-Regul. Integr. Comp. Physiol. 2015, 308, R1062–R1069. [Google Scholar] [CrossRef]
- Vikhorev, P.G.; Vikhoreva, N.N. Cardiomyopathies and Related Changes in Contractility of Human Heart Muscle. Int. J. Mol. Sci. 2018, 19, 2234. [Google Scholar] [CrossRef]
- Park, K.C.; Gaze, D.C.; Collinson, P.O.; Marber, M.S. Cardiac troponins: From myocardial infarction to chronic disease. Cardiovasc. Res. 2017, 113, 1708–1718. [Google Scholar] [CrossRef]
- Omote, K.; Verbrugge, F.H.; Borlaug, B.A. Heart Failure with Preserved Ejection Fraction: Mechanisms and Treatment Strategies. Annu. Rev. Med. 2022, 73, 321–337. [Google Scholar] [CrossRef] [PubMed]
- Bugni, F.M.; Da Cunha, I.A.; De Araujo, M.A.; Da Costa, M.C.; Pacheco, G.D.; Silva, P.F.; Balarin, M.R.; Da Silva, C.A.; Navarro, I.T.; Garcia, J.L. Action of beta-glucan in pigs experimentally infected with Toxoplasma gondii tachyzoites. Rev. Bras. Parasitol. Vet. 2008, 17 (Suppl. S1), 249–259. [Google Scholar] [PubMed]
- Yarovinsky, F.; Sher, A. Toll-like receptor recognition of Toxoplasma gondii. Int. J. Parasitol. 2006, 36, 255–259. [Google Scholar] [CrossRef]
- Yap, G.S.; Sher, A. Cell-mediated immunity to Toxoplasma gondii: Initiation, regulation and effector function. Immunobiology 1999, 201, 240–247. [Google Scholar] [CrossRef] [PubMed]
- van Hamburg, J.P.; Tas, S.W. Molecular mechanisms underpinning T helper 17 cell heterogeneity and functions in rheumatoid arthritis. J. Autoimmun. 2018, 87, 69–81. [Google Scholar] [CrossRef]
- Sasai, M.; Pradipta, A.; Yamamoto, M. Host immune responses to Toxoplasma gondii. Int. Immunol. 2018, 30, 113–119. [Google Scholar] [CrossRef]
- Giles, A.J.; Hutchinson, M.N.D.; Sonnemann, H.M.; Jung, J.; Fecci, P.E.; Ratnam, N.M.; Zhang, W.; Song, H.; Bailey, R.; Davis, D.; et al. Dexamethasone-induced immunosuppression: Mechanisms and implications for immunotherapy. J. Immunother. Cancer 2018, 6, 51. [Google Scholar] [CrossRef]
- van Nieuwenhoven, F.A.; Turner, N.A. The role of cardiac fibroblasts in the transition from inflammation to fibrosis following myocardial infarction. Vasc. Pharmacol. 2013, 58, 182–188. [Google Scholar] [CrossRef]
- Magalhaes-Santos, I.F.; Lima, E.S.; Andrade, S.G. Fibrogenesis and collagen resorption in the heart and skeletal muscle of Calomys callosus experimentally infected with Trypanosoma cruzi: Immunohistochemical identification of extracellular matrix components. Memórias Inst. Oswaldo Cruz 2002, 97, 703–710. [Google Scholar] [CrossRef][Green Version]
- Epelman, S.; Lavine, K.J.; Beaudin, A.E.; Sojka, D.K.; Carrero, J.A.; Calderon, B.; Brija, T.; Gautier, E.L.; Ivanov, S.; Satpathy, A.T.; et al. Embryonic and adult-derived resident cardiac macrophages are maintained through distinct mechanisms at steady state and during inflammation. Immunity 2014, 40, 91–104. [Google Scholar] [CrossRef]
- Zaman, R.; Epelman, S. Resident cardiac macrophages: Heterogeneity and function in health and disease. Immunity 2022, 55, 1549–1563. [Google Scholar] [CrossRef]
- Wong, S.C.; Fukuchi, M.; Melnyk, P.; Rodger, I.; Giaid, A. Induction of cyclooxygenase-2 and activation of nuclear factor-kappaB in myocardium of patients with congestive heart failure. Circulation 1998, 98, 100–103. [Google Scholar] [CrossRef]
- Pereira, A.V.; Gois, M.B.; Lera, K.R.; Falkowski-Temporini, G.J.; Massini, P.F.; Drozino, R.N.; Aleixo, D.L.; Miranda, M.M.; da Silva Watanabe, P.; Conchon-Costa, I.; et al. Histopathological lesions in encephalon and heart of mice infected with Toxoplasma gondii increase after Lycopodium clavatum 200dH treatment. Pathol. Res. Pract. 2017, 213, 50–57. [Google Scholar] [CrossRef]
- Fan, D.; Takawale, A.; Lee, J.; Kassiri, Z. Cardiac fibroblasts, fibrosis and extracellular matrix remodeling in heart disease. Fibrogenesis Tissue Repair 2012, 5, 15. [Google Scholar] [CrossRef] [PubMed]
- Lafuse, W.P.; Wozniak, D.J.; Rajaram, M.V.S. Role of Cardiac Macrophages on Cardiac Inflammation, Fibrosis and Tissue Repair. Cells 2020, 10, 51. [Google Scholar] [CrossRef] [PubMed]
- Fink, M.P. Intestinal epithelial hyperpermeability: Update on the pathogenesis of gut mucosal barrier dysfunction in critical illness. Curr. Opin. Crit. Care 2003, 9, 143–151. [Google Scholar] [CrossRef] [PubMed]
- Wang, Y.; Wang, C.; Chen, H.; Zhang, Y.; Gao, N.; Yu, Y.; Xing, Y.; Xie, L.; Wang, Z.; Cai, Y. Protective effects of ZIP8 on Toxoplasma gondii-induced acute hepatocyte injury in mice. Acta Trop. 2022, 234, 106629. [Google Scholar] [CrossRef]







Disclaimer/Publisher’s Note: The statements, opinions and data contained in all publications are solely those of the individual author(s) and contributor(s) and not of MDPI and/or the editor(s). MDPI and/or the editor(s) disclaim responsibility for any injury to people or property resulting from any ideas, methods, instructions or products referred to in the content. |
© 2023 by the authors. Licensee MDPI, Basel, Switzerland. This article is an open access article distributed under the terms and conditions of the Creative Commons Attribution (CC BY) license (https://creativecommons.org/licenses/by/4.0/).
Share and Cite
Xie, L.; Xing, Y.; Yang, J.; Liu, M.; Cai, Y. Toxoplasma gondii Reactivation Aggravating Cardiac Function Impairment in Mice. Pathogens 2023, 12, 1025. https://doi.org/10.3390/pathogens12081025
Xie L, Xing Y, Yang J, Liu M, Cai Y. Toxoplasma gondii Reactivation Aggravating Cardiac Function Impairment in Mice. Pathogens. 2023; 12(8):1025. https://doi.org/10.3390/pathogens12081025
Chicago/Turabian StyleXie, Linding, Yien Xing, Jun Yang, Min Liu, and Yihong Cai. 2023. "Toxoplasma gondii Reactivation Aggravating Cardiac Function Impairment in Mice" Pathogens 12, no. 8: 1025. https://doi.org/10.3390/pathogens12081025
APA StyleXie, L., Xing, Y., Yang, J., Liu, M., & Cai, Y. (2023). Toxoplasma gondii Reactivation Aggravating Cardiac Function Impairment in Mice. Pathogens, 12(8), 1025. https://doi.org/10.3390/pathogens12081025

