Enhanced Vulnerability of Diabetic Mice to Hypervirulent Streptococcus agalactiae ST-17 Infection
Abstract
1. Introduction
2. Materials and Methods
2.1. Bacterial Strain and Culture Condition
2.2. Animals and Treatment
2.3. Ethics Statement
2.4. Diabetes Mellitus Induction and GBS Systemic Infection
2.5. Broncheoalveolar Lavage (BAL) Collection and Measurement of Intracellular ROS
2.6. Bacterial Viability Assay
2.7. Histopathological Analysis
2.8. RNA Purification and qRT-PCR
2.9. ELISA
2.10. Statistics
3. Results
3.1. Glycemia, Body Weight, and Survival Parameters
3.2. Recovery of GBS COH1 and GBS90356 Strains In Vivo
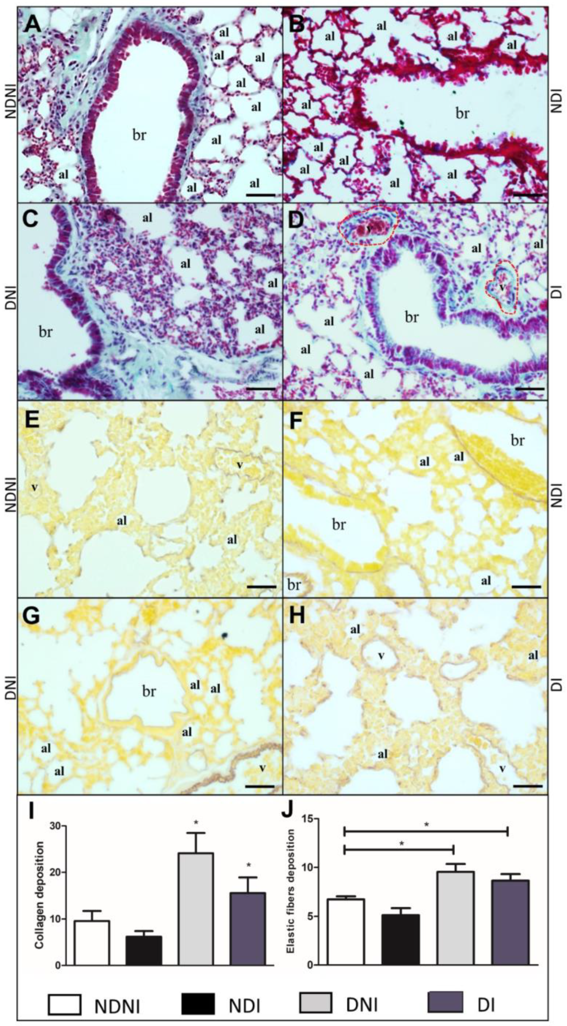
3.3. General Aspects of Pulmonary Injury in Diabetic and Non-Diabetic Mice Infected with GBS
3.4. Cardiac Lesions in Diabetic and NON-Diabetic Mice Infected with GBS
3.5. Proinflammatory Cytokine Production, Immune Cell Infiltration, and ROS Production in Diabetic and Non-Diabetic Mice Infected with GBS
4. Discussion
Author Contributions
Funding
Institutional Review Board Statement
Informed Consent Statement
Data Availability Statement
Acknowledgments
Conflicts of Interest
References
- Shabayek, S.; Spellerberg, B. Group B Streptococcal Colonization, Molecular Characteristics, and Epidemiology. Front. Microbiol. 2018, 9, 437. [Google Scholar] [CrossRef] [PubMed]
- Omura, Y.; Kusama, Y.; Takeuchi, N.; Ishiwada, N. Mediastinal, subcutaneous and multiple muscular abscesses caused by group B streptococcus serotype VIII in a type 2 diabetes mellitus patient. J. Infect. Chemother. 2018, 24, 401–403. [Google Scholar] [CrossRef] [PubMed]
- Pitts, S.I.; Maruthur, N.M.; Langley, G.E.; Pondo, T.; Shutt, K.A.; Hollick, R.; Schrag, S.J.; Thomas, A.; Nichols, M.; Farley, M.; et al. Obesity, Diabetes, and the Risk of Invasive Group B Streptococcal Disease in Nonpregnant Adults in the United States. Open Forum Infect. Dis. 2018, 5, ofy030. [Google Scholar] [CrossRef]
- Edwards, J.M.; Watson, N.; Focht, C.; Wynn, C.; Todd, C.A.; Walter, E.B.; Heine, R.P.; Swamy, G.K. Group B Streptococcus (GBS) Colonization and Disease among Pregnant Women: A Historical Cohort Study. Infect. Dis. Obstet. Gynecol. 2019, 2019, 5430493. [Google Scholar] [CrossRef]
- Williams, R.; Karuranga, S.; Malanda, B.; Saeedi, P.; Basit, A.; Besançon, S.; Bommer, C.; Esteghamati, A.; Ogurtsova, K.; Zhang, P.; et al. Global and regional estimates and projections of diabetes-related health expenditure: Results from the International Diabetes Federation Diabetes Atlas, 9th edition. Diabetes Res. Clin. Pract. 2020, 162, 108072. [Google Scholar] [CrossRef] [PubMed]
- Shah, B.R.; Hux, J.E. Quantifying the risk of infectious diseases for people with diabetes. Diabetes Care 2003, 26, 510–513. [Google Scholar] [CrossRef]
- Peleg, A.Y.; Weerarathna, T.; McCarthy, J.S.; Davis, T.M. Common infections in diabetes: Pathogenesis, management and relationship to glycaemic control. Diabetes/Metab. Res. Rev. 2007, 23, 3–13. [Google Scholar] [CrossRef]
- Nielsen, T.B.; Pantapalangkoor, P.; Yan, J.; Luna, B.M.; Dekitani, K.; Bruhn, K.; Tan, B.; Junus, J.; Bonomo, R.A.; Schmidt, A.M.; et al. Diabetes Exacerbates Infection via Hyperinflammation by Signaling through TLR4 and RAGE. mBio 2017, 8, e00818-17. [Google Scholar] [CrossRef]
- Al Zoubi, S.; Chen, J.; Murphy, C.; Martin, L.; Chiazza, F.; Collotta, D.; Yaqoob, M.M.; Collino, M.; Thiemermann, C. Linagliptin Attenuates the Cardiac Dysfunction Associated with Experimental Sepsis in Mice with Pre-existing Type 2 Diabetes by Inhibiting NF-κB. Front. Immunol. 2018, 9, 2996. [Google Scholar] [CrossRef]
- Cohen, T.S.; Takahashi, V.; Bonnell, J.; Tovchigrechko, A.; Chaerkady, R.; Yu, W.; Jones-elson, O.; Lee, Y.; Raja, R.; Hess, S.; et al. Staphylococcus aureus drives expansion of low-density neutrophils in diabetic mice. J. Clin. Investig. 2019, 129, 2133–2144. [Google Scholar] [CrossRef]
- Delamaire, M.; Maugendre, D.; Moreno, M.; Le Goff, M.C.; Allannic, H.; Genetet, B. Impaired leucocyte functions in diabetic patients. Diabet. Med. 1997, 14, 29–34. [Google Scholar] [CrossRef]
- Revital, S.; Shifra, S.; Avraham, T.H.; Shaul, M.S.; Galina, S.; Lubna, N.; Batya, K. Involvement of Peripheral Polymorphonuclear Leukocytes in Oxidative Stress and Inflammation in Type 2 Diabetic Patients. Diabetes Care 2001, 24, 104–110. [Google Scholar] [CrossRef]
- Berbudi, A.; Rahmadika, N.; Tjahjadi, A.I.; Ruslami, R. Type 2 Diabetes and its Impact on the Immune System. Curr. Diabetes Rev. 2020, 16, 442–449. [Google Scholar] [CrossRef]
- Glastras, S.J.; Chen, H.; Teh, R.; McGrath, R.T.; Chen, J.; Pollock, C.A.; Wong, M.G.; Saad, S. Mouse Models of Diabetes, Obesity and Related Kidney Disease. PLoS ONE 2016, 11, e0162131. [Google Scholar] [CrossRef]
- Edwards, M.S.; Fuselier, P.A. Enhanced susceptibility of mice with streptozotocin-induced diabetes to type II group B streptococcal infection. Infect. Immun. 1983, 39, 580–585. [Google Scholar] [CrossRef] [PubMed]
- Alves, J.; Madureira, P.; Baltazar, M.T.; Barros, L.; Oliveira, L.; Dinis-Oliveira, R.J.; Andrade, E.B.; Ribeiro, A.; Vieira, L.M.; Trieu-Cuot, P.; et al. A Safe and Stable Neonatal Vaccine Targeting GAPDH Confers Protection against Group B Streptococcus Infections in Adult Susceptible Mice. PLoS ONE 2015, 10, e0144196. [Google Scholar] [CrossRef]
- Furman, B.L. Streptozotocin-Induced Diabetic Models in Mice and Rats. Curr. Protoc. Pharmacol. 2015, 70, 5.47.1–5.47.20. [Google Scholar] [CrossRef]
- Patras, K.A.; Coady, A.; Babu, P.; Shing, S.R.; Ha, A.D.; Rooholfada, E.; Brandt, S.L.; Geriak, M.; Gallo, R.L.; Nizet, V. Host cathelicidin exacerbates group B Streptococcus urinary tract infection. mSphere 2020, 5, e00932-19. [Google Scholar] [CrossRef]
- Van Hoecke, L.; Job, E.R.; Saelens, X.; Roose, K. Bronchoalveolar Lavage of Murine Lungs to Analyze Inflammatory Cell Infiltration. J. Vis. Exp. 2017, 123, e55398. [Google Scholar] [CrossRef]
- Poyart, C.; Tazi, A.; Réglier-Poupet, H.; Billoët, A.; Tavares, N.; Raymond, J.; Trieu-Cuot, P. Multiplex PCR assay for rapid and accurate capsular typing of group B streptococci. J. Clin. Microbiol. 2007, 45, 1985–1988. [Google Scholar] [CrossRef]
- Landwehr-Kenzel, S.; Henneke, P. Interaction of Streptococcus agalactiae and cellular innate immunity in colonization and disease. Front. Immunol. 2014, 5, 519. [Google Scholar] [CrossRef] [PubMed]
- Tsalamandris, S.; Antonopoulos, A.S.; Oikonomou, E.; Papamikroulis, G.A.; Vogiatzi, G.; Papaioannou, S.; Deftereos, S.; Tousoulis, D. The role of inflammation in diabetes: Current concepts and future perspectives. Eur. Cardiol. Rev. 2019, 14, 50–59. [Google Scholar] [CrossRef]
- Germano, N.; Sibbel, M.G.; Summerfield, D.; Pitzenberger, A. Group B Streptococcus meningitis complicated by periodic lateralising epileptiform discharges in an elderly patient with type 2 diabetes mellitus. BMJ Case Rep. 2019, 12, e228040. [Google Scholar] [CrossRef] [PubMed]
- Huang, P.Y.; Lee, M.H.; Yang, C.C.; Leu, H.S. Group B streptococcal bacteremia in nonpregnant adults. Arch. Intern. Med. 2006, 39, 237–241. [Google Scholar]
- John, P.P.; Baker, B.C.; Paudel, S.; Nassour, L.; Cagle, H.; Kulkarni, R. Exposure to moderate glycosuria induces virulence of group B streptococcus. J. Infect. Dis. 2020, 223, 843–847. [Google Scholar] [CrossRef] [PubMed]
- Casqueiro, J.; Casqueiro, J.; Alves, C. Infections in patients with diabetes mellitus: A review of pathogenesis. Indian J. Endocrinol. Metab. 2012, 16, S27–S36. [Google Scholar] [CrossRef]
- Jump, R.L.P.; Wilson, B.M.; Baechle, D.; Briggs, J.M.; Banks, R.E.; Song, S.; Zappernick, T.; Perez, F. Risk Factors and Mortality Rates Associated with Invasive Group B Streptococcus Infections among Patients in the US Veterans Health Administration. JAMA Netw. Open 2019, 2, e1918324. [Google Scholar] [CrossRef] [PubMed]
- Abdinasir, Y.O.; Faez, F.J.A.; Arifah, A.K.; Abdul, A.S. Immuno-pathophysiological responses of mouse model to experimental infection with Brucella melitensis and its lipopolysaccharides via intraperitoneal route. Microb. Pathog. 2016, 100, 17–29. [Google Scholar] [CrossRef]
- Harris, G.; KuoLee, R.; Xu, H.H.; Chen, W. Acute intraperitoneal infection with a hypervirulent Acinetobacter baumannii isolate in mice. Sci. Rep. 2019, 9, 6538. [Google Scholar] [CrossRef]
- Demars, A.; Lison, A.; Machelart, A.; Van Vyve, M.; Potemberg, G.; Vanderwinden, J.-M.; De Bolle, X.; Letesson, J.-J.; Muraille, E. Route of Infection Strongly Impacts the Host-Pathogen Relationship. Front. Immunol. 2019, 10, 1589. [Google Scholar] [CrossRef]
- Hao, J.; Wang, S.; Yang, J.; Zhang, Q.; Wu, Z.; Zhang, D.; Li, A. Attenuated Streptococcus agalactiae WC1535 ΔSia perturbs the gut microbiota of Oreochromis niloticus, massively colonizes the intestine, and induces intestinal mucosal immunity after intraperitoneal inoculation. Front. Microbiol. 2022, 13, 1036432. [Google Scholar] [CrossRef]
- Adams Waldorf, K.M.; Gravett, M.G.; McAdams, R.M.; Paolella, L.J.; Gough, G.M.; Carl, D.J.; Bansal, A.; Liggitt, H.D.; Kapur, R.P.; Reitz, F.B.; et al. Choriodecidual group B streptococcal inoculation induces fetal lung injury without intra-amniotic infection and preterm labor in Macaca nemestrina. PLoS ONE 2011, 6, e28972. [Google Scholar] [CrossRef]
- Batista, R.P.; Ferreira, C.R. Streptococcus agalactiae septicemia in a patient with diabetes and hepatic cirrhosis. Autops. Case Rep. 2015, 5, 35–43. [Google Scholar] [CrossRef] [PubMed]
- Muiznieks, L.D.; Keeley, F.W. Molecular assembly and mechanical properties of the extracellular matrix: A fibrous protein perspective. Biochim. Biophys. Acta (BBA)-Mol. Basis Dis. 2013, 1832, 866–875. [Google Scholar] [CrossRef] [PubMed]
- Niimi, A.; Matsumoto, H.; Takemura, M.; Ueda, T.; Chin, K.; Mishima, M. Relationship of airway wall thickness to airway sensitivity and airway reactivity in asthma. Am. J. Respir. Crit. Care Med. 2003, 168, 983–988. [Google Scholar] [CrossRef]
- Setlakwe, E.L.; Lemos, K.R.; Lavoie-Lamoureux, A.; Duguay, J.D.; Lavoie, J.P. Airway collagen and elastic fiber content correlates with lung function in equine heaves. Am. J. Physiol. Cell. Mol. Physiol. 2015, 307, L252–L260. [Google Scholar] [CrossRef]
- Da Costa Souza, P.; Dondo, P.S.; Souza, G.; Lopes, D.; Moscardi, M.; Martinho, V.D.M.; Lourenço, R.D.D.M.; Prieto, T.; Balancin, M.L.; Assato, A.K.; et al. Comprehensive analysis of immune, extracellular matrices and pathogens profile in lung granulomatosis of unexplained etiology. Hum. Pathol. 2018, 75, 104–115. [Google Scholar] [CrossRef] [PubMed]
- Estrada-Gutierrez, G.; Gomez-Lopez, N.; Zaga-Clavellina, V.; Giono-Cerezo, S.; Espejel-Nuñez, A.; Gonzalez-Jimenez, M.A.; Espino y Sosa, S.; Olson, D.M.; Vadillo-Ortega, F. Interaction between pathogenic bacteria and intrauterine leukocytes triggers alternative molecular signaling cascades leading to labor in women. Infect. Immun. 2010, 78, 4792–4799. [Google Scholar] [CrossRef]
- Wang, W.; Yang, C.; Wang, X.Y.; Zhou, L.Y.; Lao, G.J.; Liu, D.; Wang, C.; Hu, M.D.; Zeng, T.T.; Yan, L.; et al. MicroRNA-129 and -335 Promote Diabetic Wound Healing by Inhibiting Sp1-Mediated MMP-9 Expression. Diabetes 2018, 67, 1627–1638. [Google Scholar] [CrossRef]
- Ruiz, M.L.; Owatari, M.S.; Yamashita, M.M.; Saffadi Ferrarezi, J.V.; Garcia, P.; Cardoso, L.; Laterça Martins, M.; Pedreira Mouriño, J.L. Histological effects on the kidney, spleen, and liver of Nile tilapia Oreochromis niloticus fed different concentrations of probiotic Lactobacillus plantarum. Trop. Anim. Health Prod. 2020, 52, 167–176. [Google Scholar] [CrossRef]
- Achilli, P.; Guttadauro, A.; Bonfanti, P.; Terragni, S.; Fumagalli, L.; Cioffi, U.; Gabrielli, F.; De Simone, M.; Chiarelli, M. Streptococcus agalactiae infective endocarditis complicated by multiple mycotic hepatic aneurysms and massive splenic infarction: A case report. BMC Gastroenterol. 2017, 17, 170. [Google Scholar] [CrossRef] [PubMed]
- Korbecki, J.; Szatkowska, I.; Kupnicka, P.; Żwierełło, W.; Barczak, K.; Poziomkowska-Gęsicka, I.; Wójcik, J.; Chlubek, D.; Baranowska-Bosiacka, I. The Importance of CXCL1 in the Physiological State and in Noncancer Diseases of the Oral Cavity and Abdominal Organs. Int. J. Mol. Sci. 2022, 23, 7151. [Google Scholar] [CrossRef] [PubMed]
- Sahoo, M.; Ceballos-Olvera, I.; del Barrio, L.; Re, F. Role of the Inflamassome, IL-1β, and IL-18 in Bacterial Infections. Sci. World J. 2011, 11, 2037–2050. [Google Scholar] [CrossRef] [PubMed]
- Turina, M.; Fry, D.E.; Polk, H.C., Jr. Acute hyperglycemia and the innate immune system: Clinical, cellular, and molecular aspects. Crit. Care Med. 2005, 33, 1624–1633. [Google Scholar] [CrossRef]






Disclaimer/Publisher’s Note: The statements, opinions and data contained in all publications are solely those of the individual author(s) and contributor(s) and not of MDPI and/or the editor(s). MDPI and/or the editor(s) disclaim responsibility for any injury to people or property resulting from any ideas, methods, instructions or products referred to in the content. |
© 2023 by the authors. Licensee MDPI, Basel, Switzerland. This article is an open access article distributed under the terms and conditions of the Creative Commons Attribution (CC BY) license (https://creativecommons.org/licenses/by/4.0/).
Share and Cite
da Conceição Mendonça, J.; Sobral Pena, J.M.; dos Santos Macêdo, N.; de Souza Rodrigues, D.; de Oliveira, D.A.; Spencer, B.L.; Lopes-Torres, E.J.; Burcham, L.R.; Doran, K.S.; Nagao, P.E. Enhanced Vulnerability of Diabetic Mice to Hypervirulent Streptococcus agalactiae ST-17 Infection. Pathogens 2023, 12, 580. https://doi.org/10.3390/pathogens12040580
da Conceição Mendonça J, Sobral Pena JM, dos Santos Macêdo N, de Souza Rodrigues D, de Oliveira DA, Spencer BL, Lopes-Torres EJ, Burcham LR, Doran KS, Nagao PE. Enhanced Vulnerability of Diabetic Mice to Hypervirulent Streptococcus agalactiae ST-17 Infection. Pathogens. 2023; 12(4):580. https://doi.org/10.3390/pathogens12040580
Chicago/Turabian Styleda Conceição Mendonça, Jéssica, João Matheus Sobral Pena, Noemi dos Santos Macêdo, Dayane de Souza Rodrigues, Dayane Alvarinho de Oliveira, Brady L. Spencer, Eduardo José Lopes-Torres, Lindsey R. Burcham, Kelly S. Doran, and Prescilla Emy Nagao. 2023. "Enhanced Vulnerability of Diabetic Mice to Hypervirulent Streptococcus agalactiae ST-17 Infection" Pathogens 12, no. 4: 580. https://doi.org/10.3390/pathogens12040580
APA Styleda Conceição Mendonça, J., Sobral Pena, J. M., dos Santos Macêdo, N., de Souza Rodrigues, D., de Oliveira, D. A., Spencer, B. L., Lopes-Torres, E. J., Burcham, L. R., Doran, K. S., & Nagao, P. E. (2023). Enhanced Vulnerability of Diabetic Mice to Hypervirulent Streptococcus agalactiae ST-17 Infection. Pathogens, 12(4), 580. https://doi.org/10.3390/pathogens12040580

