Oral Manifestations of Syphilis: Report of Four Cases
Abstract
:1. Introduction
2. Case Report and Histological Analyses
2.1. Case Report 1
2.2. Case Report 2
2.3. Case Report 3
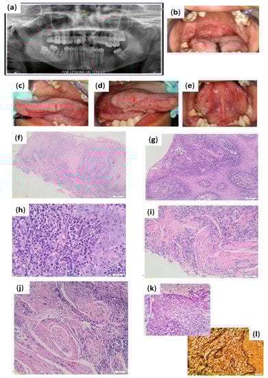
2.4. Case Report 4
3. Discussion
3.1. Epidemiology
3.2. Oral Manifestations of Syphilis
3.3. Diagnosis
3.4. Histopathology of Oral Syphilitic Lesions
3.5. Management of Syphilis
3.6. Role of Oral Health Professionals
3.7. Ethical Considerations and Implications
4. Conclusions
Author Contributions
Funding
Informed Consent Statement
Data Availability Statement
Conflicts of Interest
References
- Onoya, D.; Manjengwa, P.; Nattey, C.; Kgowedi, S.; Mbele, M.; Shumba, K.; Fox, M.P. Incidence and predictors of sexually transmitted infections among adult HIV-positive patients receiving antiretroviral therapy at Themba Lethu HIV clinic in Johannesburg, South Africa. S. Afr. Med. J. 2021, 111, 80–86. [Google Scholar] [CrossRef] [PubMed]
- Francis, S.C.; Mthiyane, T.N.; Baisley, K.; Mchunu, S.L.; Ferguson, J.B.; Smit, T.; Crucitti, T.; Gareta, D.; Dlamini, S.; Mutevedzi, T.; et al. Prevalence of sexually transmitted infections among young people in South Africa: A nested survey in a health and demographic surveillance site. PLoS Med. 2018, 15, e1002512. [Google Scholar] [CrossRef]
- Little, J.W. Syphilis: An update. Oral Surg. Oral Med. Oral Pathol. Oral Radiol. Endod. 2005, 100, 3–9. [Google Scholar] [CrossRef]
- Dobson, S.; Sanchez, P. Feigin and Cherry’s Infectious Pediatric Textbook of Diseases, 7th ed.; Cherry, G., Demmler-Harrison, S., Kaplan, W., Steinbach, P.H., Eds.; Saunders: Philadelphia, PA, USA, 2014; pp. 1761–1782. [Google Scholar]
- Schlossberg, D. (Ed.) Clinical Infectious Disease, 2nd ed.; Cambridge University Press: Cambridge, MA, USA, 2015. [Google Scholar] [CrossRef]
- Cunha, L.T.M.Q.; Goulart, J.V.; Henriques, J.C.G.; Guedes, C.C.F.V.; Rocha, M.A.; Neto, O.C.C. Secondary Oral Syphilis: Literary review and case reports. J. Oral Diag. 2019, 4, 1–6. [Google Scholar] [CrossRef]
- Soares, A.B.; Gonzaga, H.F.S.; Jorge, M.A.; Barraviera, S.R.C.S. Oral manifestations of syphilis: A review. J. Venom. Anim. Toxins Incl. Trop. Dis. 2004, 10, 2–9. [Google Scholar] [CrossRef]
- World Health Organization Department of Reproductive Health and Research. Global Health Sector Strategy on Sexually Transmitted Infections 2016–2021; WHO Reference Number: WHO/RHR/16.09; WHO: Geneva, Switzerland, 2016; pp. 1–64. Available online: https://apps.who.int/iris/rest/bitstreams/1032114/retrieve (accessed on 20 March 2022).
- Kojima, N.; Klausner, J.D. An Update on the Global Epidemiology of Syphilis. Curr. Epidemiol. Rep. 2018, 5, 24–38. [Google Scholar] [CrossRef] [PubMed]
- Kularatne, R.S.; Niit, R.; Rowley, J.; Kufa-Chakezha, T.; Peters, R.P.H.; Taylor, M.M.; Johnson, L.F.; Korenromp, E.L. Adult gonorrhoea, chlamydia and syphilis prevalence, incidence, treatment and syndromic case reporting in South Africa: Estimates using the Spectrum-STI model, 1990–2017. PLoS ONE 2018, 13, e0205863. [Google Scholar] [CrossRef] [PubMed]
- Wand, H.; Reddy, T.; Dassaye, R.; Moodley, J.; Naidoo, S.; Ramjee, G. Estimating prevalence and incidence of sexually transmitted infections among South African women: Implications of combined impacts of risk factors. Int. J. STD AIDS 2020, 31, 1093–1101. [Google Scholar] [CrossRef] [PubMed]
- Balagula, Y.; Mattei, P.L.; Wisco, O.J.; Erdag, G.; Chien, A.L. The great imitator revisited: The spectrum of atypical cutaneous manifestations of secondary syphilis. Int. J. Dermatol. 2014, 53, 1434–1441. [Google Scholar] [CrossRef] [PubMed]
- Regezi, J.; Sciubba, J.; Jordan, R. Oral Pathology Clinical Pathologic Correlations, 7th ed.; Saunders: Philadelphia, PA, USA, 2015; pp. 1–496. ISBN 9780323297691. [Google Scholar]
- Zhou, X.; Wu, M.Z.; Jiang, T.T.; Chen, X.S. Oral Manifestations of Early Syphilis in Adults: A Systematic Review of Case Reports and Series. Sex. Transm. Dis. 2021, 48, 209–214. [Google Scholar] [CrossRef] [PubMed]
- Ripoll, E.; Montironi, C.; Alós, L.; Pujol, T.; Berenguer, J.; Oleaga, L. Oropharyngeal Syphilis: Imaging and Pathologic Findings in Two Patients. Head Neck Pathol. 2017, 11, 399–403. [Google Scholar] [CrossRef] [PubMed] [Green Version]
- Plana-Pla, A.; Pelegrín-Colás, L.; Bielsa-Marsol, I.; Ferrandiz-Foraster, C. Secondary Syphilis Presenting as Oral Lesions and Posterior Placoid Chorioretinitis in an Immunocompetent Patient. Actas Dermo-Sifiliográficas 2016, 107, 783–784. [Google Scholar] [CrossRef] [PubMed]
- Crissey, J.T.; Denenholz, D.A. Congenital syphilis. Clin. Dermatol. 1984, 2, 143–161. [Google Scholar] [CrossRef]
- Nissanka-Jayasuriya, E.H.; Odell, E.W.; Phillips, C. Dental Stigmata of Congenital Syphilis: A Historic Review With Present Day Relevance. Head Neck Pathol. 2016, 10, 327–331. [Google Scholar] [CrossRef] [PubMed] [Green Version]
- Morales-Múnera, C.E.; Fuentes-Finkelstein, P.A.; Mayans, M.V.; Morales-Múnera, C.E.; Fuentes-Finkelstein, P.A.; Mayans, M.V. Update on the diagnosis and treatment of syphilis. Actas Dermo Sifiliogr. 2015, 106, 68–69. [Google Scholar] [CrossRef] [PubMed]
- Bristow, C.C.; Shannon, C.; Herbst de Cortina, S.; Klausner, J.D. Use of Oral Fluid With a Rapid Treponemal Test for Syphilis Evaluation. Sex Transm. Dis. 2018, 45, 65–67. [Google Scholar] [CrossRef] [PubMed]
- Carlson, J.A.; Dabiri, G.; Cribier, B.; Sell, S. The immunopathobiology of syphilis: The manifestations and course of syphilis are determined by the level of delayed-type hypersensitivity. Am. J. Dermatopathol. 2011, 33, 433–460. [Google Scholar] [CrossRef] [PubMed]
- World Health Organization HIV/AIDS Team. Prevention and Control of Sexually Transmitted Infections (STIs) in the Era of Oral Pre-Exposure Prophylaxis (PrEP) for HIV. WHO reference number: WHO/CDS/HIV/19.9. 2019, pp. 1–16. Available online: https://www.who.int/publications/i/item/prevention-and-control-of-stis-in-the-era-of-prep-for-hiv (accessed on 20 March 2022).
- Chitneni, P.; Beksinska, M.; Dietrich, J.J.; Jaggernath, M.; Closson, K.; Smith, P.; Lewis, D.A.; Matthews, L.T.; Smit, J.; Ndung’u, T.; et al. Partner notification and treatment outcomes among South African adolescents and young adults diagnosed with a sexually transmitted infection via laboratory-based screening. Int. J. STD AIDS 2020, 31, 627–636. [Google Scholar] [CrossRef] [PubMed]
- Ott, M.; Santelli, J. Sexually transmitted infections, public health, and ethics. In The Oxford Handbook of Public Health Ethics; Mastroianni, A.C., Kahn, J.P., Kass, M.E., Eds.; Oxford University Press: Oxford, UK, 2019; pp. 1–944. [Google Scholar] [CrossRef]
- WHO/UNAIDS. Sexually Transmitted Diseases: Policies and Principles for Prevention and Care. 1999. Available online: https://data.unaids.org/publications/irc-pub04/una97-6_en.pdf (accessed on 13 March 2022).
- Epstein, N.E. Legal and evidenced-based definitions of standard of care: Implications for code of ethics of professional medical societies. Surg. Neurol. Int. 2018, 9, 255. [Google Scholar] [CrossRef] [PubMed]




| Country | Syphilis Prevalence |
|---|---|
| Africa | General prevalence 4–6.5%. |
| Australia | General increase in cases. 20% increase in MSM cases 2008–2012. |
| China | Infection rate increased more than three-fold 2005–2014. MSM cases 2010–2014 showed a decrease. |
| Europe | General prevalence shown a decrease amongst women; increase in infections in men. Men five times more likely to have syphilis than women (2013); 58% of cases were reported among MSM. |
| USA | Lowest rates of infection recorded 2000–2001. MSM contributed to the increase in the number of primary and secondary cases since 2001. Incidence of syphilis has increased in 2013–2016 amongst all demographic groups. Rates for primary and secondary syphilis higher amongst men (15.6 cases per 100,000 males and 58.1% cases MSM). Incidence of 1.9 cases per 100,000 diagnosed females (2016). |
| Method | Source for Method | Description | Definitive Diagnosis |
|---|---|---|---|
| Clinical evaluation | History taking and clinical assessment | Clinical findings can suggest a differential diagnosis of syphilis | Definitive diagnosis dependent on microscopic and serological testing |
| Microscopic assessment: Darkfield Special stains Antibodies DNA/RNA | Fluid and/or surface material collected from lesions Tissue biopsy Tissue biopsy Tissue biopsy | Diagnostic for extra-oral chancre and mucous patches Diagnostic for intra and extra-oral lesions Immunofluorescent antibodies Polymerase chain reaction (PCR) and reverse-transcriptase PCR | Possible for skin and genital lesions
Definitive diagnosis Definitive diagnosis Definitive diagnosis |
| Serological testing: • Nontreponemal tests (NTT): Rapid plasma Reagin test (RPR) Venereal disease research laboratory test (VDRL) • Treponemal tests (TT): T. pallidum particle agglutination assay (TPPA) T. pallidum hemagglutination assay (TPHA) Fluorescent treponemal antibody adsorption tests (FTA-ABS) Microhemagglutination assay for antibody to T. pallidum (MHA-TP) Treponemal Enzyme Immunoassay(EIA) | Blood, plasma Blood, plasma, saliva, cerebral spinal fluid | Detection of nontreponemal antibodies (cardiolipin) Detection of T. pallidum in all stages of infection | Supportive for the diagnosis of syphilis, however specific serological tests required for diagnosis. Quantitative tests that are mainly used for monitoring the status of infection and response to treatment. Qualitative tests to confirm presence of treponemal infection. Patient will test positive for life. |
| Stage | Treatment | Treatment for Pregnant Woman | Management |
|---|---|---|---|
| Primary, secondary, or early latent syphilis (duration 1 year) | Benzathine penicillin G, 2.4 million Units IM once. If penicillin allergy: Doxycycline 100 mg PO BID for 2 week or tetracycline 500 mg PO QID for 2 weeks. Ceftriaxone 1 g IM or IV for 10–14 days. * Caution: some patients with penicillin allergy are also allergic to ceftriaxone). | Benzathine penicillin G, 2.4 million U IM once (if penicillin allergic, patients should be desensitised and treated with penicillin). Some studies recommend follow up with benzathine penicillin G, 2.4 million U IM administered 1 week after the initial dose. * Caution tetracycline not to be prescribed. | HIV testing. If evidence of neurologic or ophthalmic disease, evaluate for neurosyphilis and do slit-lamp examination Repeat serology and clinical examination at 6 and 12 months for HIV-negative persons. Repeat serology at week 28–32 gestation and at delivery for pregnant women. If symptoms persist or recur, or if a 4-fold increase in RPR or VDRL titer occurs, consider treatment failure or reinfection. Repeat HIV testing, consider LP, and retreat. If RPR or VDRL titers do not fall 4-fold within 6–12 months of treatment, conduct additional clinical and serologic follow-up. |
| Late latent syphilis or syphilis of unknown duration | Benzathine penicillin G, 2.4 million U IM every week for 3 weeks. If penicillin allergy: Doxycycline,100 mg PO BID for 4 weeks or tetracycline, 500 mg PO QID for 4 weeks. | Benzathine penicillin G, 2.4 million U IM every week for 3 weeks (if penicillin allergy, patients should be desensitised and treated with penicillin). | HIV testing. Examine CSF before treatment if any of the following are present: - Neurologic or ophthalmic signs or symptoms; - Evidence of active tertiary syphilis (e.g., aortitis or gumma); - Treatment failure. Repeat quantitative VDRL or RPR at 6, 12, and 24 months. Repeat serology at 28–32 weeks gestation and at delivery for pregnant women. Patients with a normal CSF examination should be retreated for latent syphilis if: - Serologic titers increase 4-fold; or - An initially high titer (1:32) fails to fall at least 4-fold within 12–24 months or patient develops signs or symptoms consistent with syphilis. |
| Tertiary syphilis (gumma or cardiovascular syphilis without neurosyphilis) | Benzathine penicillin G, 2.4 million U IM weekly for 3 weeks. Penicillin allergy: follow regimen for late latent syphilis. | Benzathine penicillin G, 2.4 million U IM every week for 3 weeks (if penicillin allergy, patients should be desensitised and treated with penicillin). | HIV testing. Examine CSF. |
| Neurosyphilis | Aqueous crystalline penicillin G, 3 million to 4 million U IV q4h for 10–14 days. Some studies recommend follow up with benzathine penicillin G, 2.4 million U IM weekly for 3 weeks. * Alternative (if compliance is certain): Procaine penicillin, 2.4 million U IM every day for 10–14 days, plus probenecid, 500 mg PO QID for 10–14 days. Some studies recommend follow up with benzathine penicillin G, 2.4 million U IM weekly for 3 weeks. | HIV testing. Repeat CSF examination every 6 months until CSF cell count is normal.Consider retreatment if cell count has not decreased after 6 months or if CSF is not normal after 2 years. |
| Treatment | Management | |
|---|---|---|
| Primary and secondary syphilis | Benzathine penicillin G, 2.4 million U IM once. * Penicillin allergy: manage according to recommendations for HIV-negative patients with primary and secondary syphilis. | Clinical and serologic evaluation 3, 6, 9, 12, and 24 months after therapy. Examine CSF if RPR or VDRL titers fail to show a 4-fold decrease within 6–12 months or there is other evidence of treatment failure. - If CSF normal, retreat with penicillin G, 2.4 million U IM weekly for 3 weeks. - If CSF suggests neurosyphilis, treat for neurosyphilis as in HIV negative patients. |
| Early latent syphilis | Manage and treat according to recommendations for HIV-negative patients with primary and secondary syphilis. Patients with penicillin allergy whose compliance with therapy or follow-up cannot be ensured should be desensitised and treated with penicillin. | |
| Late latent syphilis or latent syphilis of unknown duration | Consider Cerebrospinal Fluid (CSF) examination. If CSF normal, give benzathine penicillin G, 2.4 million U IM weekly for 3 weeks. * Penicillin allergy: manage according to recommendations for HIV-negative patients with late latent syphilis or latent syphilis of unknown duration. Patients with penicillin allergy whose compliance with therapy or follow-up cannot be ensured should be desensitised and treated with penicillin. If CSF suggests neurosyphilis, treat for neurosyphilis as in patients that are HIV negative. | Clinical and serologic evaluation 6, 12, 18, and 24 months after therapy. Examine CSF and retreat accordingly if: Clinical symptoms develop or RPR or VDRL titers rise 4-fold at any time or RPR or VDRL titer fails to fall 4-fold between 12 and 24 months. |
| Neurosyphilis | Management as in HIV negative patients. |
Publisher’s Note: MDPI stays neutral with regard to jurisdictional claims in published maps and institutional affiliations. |
© 2022 by the authors. Licensee MDPI, Basel, Switzerland. This article is an open access article distributed under the terms and conditions of the Creative Commons Attribution (CC BY) license (https://creativecommons.org/licenses/by/4.0/).
Share and Cite
Mulder van Staden, S.; de Villiers, C.; Alwan, J.; Moloi, M.; Mahlangu, S. Oral Manifestations of Syphilis: Report of Four Cases. Pathogens 2022, 11, 612. https://doi.org/10.3390/pathogens11060612
Mulder van Staden S, de Villiers C, Alwan J, Moloi M, Mahlangu S. Oral Manifestations of Syphilis: Report of Four Cases. Pathogens. 2022; 11(6):612. https://doi.org/10.3390/pathogens11060612
Chicago/Turabian StyleMulder van Staden, Suné, Carl de Villiers, Julandi Alwan, Mpho Moloi, and Sibongile Mahlangu. 2022. "Oral Manifestations of Syphilis: Report of Four Cases" Pathogens 11, no. 6: 612. https://doi.org/10.3390/pathogens11060612
APA StyleMulder van Staden, S., de Villiers, C., Alwan, J., Moloi, M., & Mahlangu, S. (2022). Oral Manifestations of Syphilis: Report of Four Cases. Pathogens, 11(6), 612. https://doi.org/10.3390/pathogens11060612

