Expansion of the Beta-Proteobacterial Genus Ca. Ichthyocystis: A Case Report of Epitheliocystis in the Pompano Trachinotus ovatus
Abstract
:1. Introduction
2. Materials and Methods
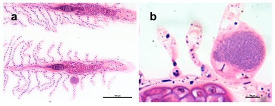
3. Results and Discussion
4. Conclusions
Funding
Institutional Review Board Statement
Informed Consent Statement
Data Availability Statement
Acknowledgments
Conflicts of Interest
References
- Blandford, M.I.; Taylor-Brown, A.; Schlacher, T.A.; Nowak, B.; Polkinghorne, A. Epitheliocystis in fish: An emerging aquaculture disease with a global impact. Transbound. Emerg. Dis. 2018, 65, 1436–1446. [Google Scholar] [CrossRef] [PubMed]
- Plehn, M. Neue Parasiten in Haut and Kiemen von Fischen. Ichthyochytrium Mucophilus Zent. Bakteriol. Parasitenkd. Abt. 1920, 1, 275–281. [Google Scholar]
- Stride, M.C.; Polkinghorne, A.; Nowak, B.F. Chlamydial infections of fish: Diverse pathogens and emerging causes of disease in aquaculture species. Vet. Microbiol. 2014, 171, 258–266. [Google Scholar] [CrossRef] [PubMed]
- Katharios, P.; Seth-Smith, H.M.B.; Fehr, A.; Mateos, J.M.; Qi, W.; Richter, D.; Nufer, L.; Ruetten, M.; Guevara Soto, M.; Ziegler, U.; et al. Environmental marine pathogen isolation using mesocosm culture of sharpsnout seabream: Striking genomic and morphological features of novel Endozoicomonas sp. Sci. Rep. 2015, 5, 17609. [Google Scholar] [CrossRef] [PubMed] [Green Version]
- Mendoza, M.; Güiza, L.; Martinez, X.; Caraballo, X.; Rojas, J.; Aranguren, L.F.; Salazar, M. A novel agent (Endozoicomonas elysicola) responsible for epitheliocystis in cobia Rachycentrum canadum larvae. Dis. Aquat. Organ. 2013, 106, 31–37. [Google Scholar] [CrossRef] [Green Version]
- Seth-Smith, H.M.B.; Dourala, N.; Fehr, A.; Qi, W.; Katharios, P.; Ruetten, M.; Mateos, J.M.; Nufer, L.; Weilenmann, R.; Ziegler, U.; et al. Emerging pathogens of gilthead seabream: Characterisation and genomic analysis of novel intracellular β-proteobacteria. ISME J. 2016, 10, 1791–1803. [Google Scholar] [CrossRef] [PubMed]
- Mitchell, S.O.; Steinum, T.M.; Toenshoff, E.R.; Kvellestad, A.; Falk, K.; Horn, M.; Colquhoun, D.J. Candidatus Branchiomonas cysticola is a common agent of epitheliocysts in seawater-farmed atlantic salmon Salmo salar in Norway and Ireland. Dis. Aquat. Organ. 2013, 103, 35–43. [Google Scholar] [CrossRef]
- Contador, E.; Methner, P.; Ryerse, I.; Huber, P.; Lillie, B.N.; Frasca, S.; Lumsden, J.S. Epitheliocystis in lake trout Salvelinus namaycush (Walbaum) is associated with a β-proteobacteria. J. Fish Dis. 2016, 39, 353–366. [Google Scholar] [CrossRef] [PubMed]
- Toenshoff, E.R.; Kvellestad, A.; Mitchell, S.O.; Steinum, T.; Falk, K.; Colquhoun, D.J.; Horn, M. A novel betaproteobacterial agent of gill epitheliocystis in seawater farmed Atlantic salmon (Salmo salar). PLoS ONE 2012, 7, e32696. [Google Scholar] [CrossRef] [PubMed] [Green Version]
- Gjessing, M.C.; Spilsberg, B.; Steinum, T.M.; Amundsen, M.; Austbø, L.; Hansen, H.; Colquhoun, D.; Olsen, A.B. Multi-agent in situ hybridization confirms Ca. Branchiomonas cysticola as a major contributor in complex gill disease in Atlantic salmon. Fish Shellfish Immunol. Rep. 2021, 2, 100026. [Google Scholar] [CrossRef]
- Herrero, A.; Thompson, K.D.; Ashby, A.; Rodger, H.D.; Dagleish, M.P. Complex gill disease: An emerging syndrome in farmed Atlantic salmon (Salmo salar L.). J. Comp. Pathol. 2018, 163, 23–28. [Google Scholar] [CrossRef] [PubMed]
- Chapman, J.M.; Lennox, R.J.; Twardek, W.M.; Teffer, A.K.; Robertson, M.J.; Miller, K.M.; Cooke, S.J. Serial sampling reveals temperature associated response in transcription profiles and shifts in condition and infectious agent communities in wild Atlantic salmon. Freshw. Biol. 2021, 66, 2086–2104. [Google Scholar] [CrossRef]
- Fridman, S.; Tsairidou, S.; Jayasuriya, N.; Sobolewska, H.; Hamilton, A.; Lobos, C.; Houston, R.D.; Rodger, H.; Bron, J.; Herath, T. Assessment of marine gill disease in farmed atlantic salmon (Salmo salar) in chile using a novel total gross gill scoring system: A case study. Microorganisms 2021, 9, 2605. [Google Scholar] [CrossRef] [PubMed]
- Thakur, K.K.; Vanderstichel, R.; Kaukinen, K.; Nekouei, O.; Laurin, E.; Miller, K.M. Infectious agent detections in archived Sockeye salmon (Oncorhynchus nerka) samples from British Columbia, Canada (1985–94). J. Fish Dis. 2019, 42, 533–547. [Google Scholar] [CrossRef]
- Thakur, K.K.; Vanderstichel, R.; Li, S.; Laurin, E.; Tucker, S.; Neville, C.; Tabata, A.; Miller, K.M. A comparison of infectious agents between hatchery-enhanced and wild out-migrating juvenile chinook salmon (Oncorhynchus tshawytscha) from Cowichan River, British Columbia. Facets 2018, 3, 695–721. [Google Scholar] [CrossRef] [Green Version]
- Cascarano, M.C.; Ruetten, M.; Vaughan, L.; Tsertou, M.I.; Georgopoulou, D.; Keklikoglou, K.; Papandroulakis, N.; Katharios, P. Epitheliocystis in Greater Amberjack: Evidence of a Novel Causative Agent, Pathology, Immune Response and Epidemiological Findings. Microorganisms 2022, 10, 627. [Google Scholar] [CrossRef] [PubMed]
- Qi, W.; Vaughan, L.; Katharios, P.; Schlapbach, R.; Seth-Smith, H.M.B. Host-Associated Genomic Features of the Novel Uncultured Intracellular Pathogen Ca. Ichthyocystis Revealed by Direct Sequencing of Epitheliocysts. Genome Biol. Evol. 2016, 8, 1672–1689. [Google Scholar] [CrossRef] [PubMed] [Green Version]
- Bennett, H.S.; Wyrick, A.D.; Lee, S.W.; McNeil, J.H. Science and art in preparing tissues embedded in plastic for light microscopy, with special reference to glycol methacrylate, glass knives and simple stains. Stain Technol. 1976, 51, 71–97. [Google Scholar] [CrossRef] [PubMed]
- Fukatsu, T.; Nikoh, N. Two intracellular symbiotic bacteria from the mulberry psyllid Anomoneura mori (Insecta, Homoptera). Appl. Environ. Microbiol. 1998, 64, 3599–3606. [Google Scholar] [CrossRef] [Green Version]
- Everett, K.D.E.; Bush, R.M.; Andersen, A.A. Emended description of the order Chlamydiales, proposal of Parachlamydiaceae fam. nov. and Simkaniaceae fam. nov., each containing one monotypic genus, revised taxonomy of the family Chlamydiaceae, including a new genus and five new species, and standards. Int. J. Syst. Evol. Microbiol. 1999, 49, 415–440. [Google Scholar] [CrossRef]
- Draghi, A.; Popov, V.L.; Kahl, M.M.; Stanton, J.B.; Brown, C.C.; Tsongalis, G.J.; West, A.B.; Frasca, S. Characterization of “Candidatus Piscichlamydia salmonis”(order Chlamydiales), a Chlamydia-like bacterium associated with epitheliocystis in farmed Atlantic salmon (Salmo salar). J. Clin. Microbiol. 2004, 42, 5286–5297. [Google Scholar] [CrossRef] [PubMed] [Green Version]
- Edgar, R.C. MUSCLE: Multiple sequence alignment with high accuracy and high throughput. Nucleic Acids Res. 2004, 32, 1792–1797. [Google Scholar] [CrossRef] [PubMed] [Green Version]
- Stecher, G.; Tamura, K.; Kumar, S. Molecular evolutionary genetics analysis (MEGA) for macOS. Mol. Biol. Evol. 2020, 37, 1237–1239. [Google Scholar] [CrossRef] [PubMed]
- Nowak, B.F.; LaPatra, S.E. Epitheliocystis in fish. J. Fish Dis. 2006, 29, 573–588. [Google Scholar] [CrossRef] [PubMed]
- Stride, M.C.; Nowak, B.F. Epitheliocystis in three wild fish species in Tasmanian waters. J. Fish Dis. 2014, 37, 157–162. [Google Scholar] [CrossRef]
- Katharios, P.; Papadaki, M.; Papandroulakis, N.; Divanach, P. Severe mortality in mesocosm-reared sharpsnout sea bream Diplodus puntazzo larvae due to epitheliocystis infection. Dis. Aquat. Organ. 2008, 82, 55–60. [Google Scholar] [CrossRef] [PubMed] [Green Version]
- Landsberg, J.H.; Newton, J.; Cullen, J. Ecotoxicology and Histopathology Conducted in Response to Sea Turtle and Fish Mortalities along the Texas Coast: May–June 1994. Rep. NMFS 1998, 143, 73–80. [Google Scholar]
- Yarza, P.; Yilmaz, P.; Pruesse, E.; Glöckner, F.O.; Ludwig, W.; Schleifer, K.-H.; Whitman, W.B.; Euzéby, J.; Amann, R.; Rosselló-Móra, R. Uniting the classification of cultured and uncultured bacteria and archaea using 16S rRNA gene sequences. Nat. Rev. Microbiol. 2014, 12, 635–645. [Google Scholar] [CrossRef] [PubMed]
- Meyer, F.P. Aquaculture disease and health management. J. Anim. Sci. 1991, 69, 4201–4208. [Google Scholar] [CrossRef]
- Sola, L.; Moretti, A.; Crosetti, D.; Karaiskou, N.; Magoulas, A.; Rossi, A.R.; Rye, M.; Triantafyllidis, A.; Tsigenopoulos, C.S. Gilthead seabream—Sparus aurata. Genet. Impact Aquac. Act. Nativ. Popul. 2007, 47. Available online: https://www.researchgate.net/profile/Philip-Mcginnity/publication/268359165_Research_Priorities_for_Modelling/links/547459fb0cf2778985abd9ef/Research-Priorities-for-Modelling.pdf#page=47 (accessed on 20 March 2022).
- Pavlidis, M.A.; Mylonas, C.C. Sparidae: Biology and Aquaculture of Gilthead Sea Bream and Other Species; John Wiley & Sons: Hoboken, NJ, USA, 2011; ISBN 1444392204. [Google Scholar]
- Jerez Herrera, S.; Vassallo Agius, R. FAO 2022. Seriola Dumerili. Cultured Aquatic Species Information Programme. Fisheries and Aquaculture Division. Available online: https://www.fao.org/fishery/en/culturedspecies/seriola_dumerili/en (accessed on 29 March 2022).
- Crespo, S.; Zarza, C.; Padrós, F. Short communication Epitheliocystis hyperinfection in sea bass, Dicentrarchus labrax (L.): Light and electron microscope observations. J. Fish Dis. 2001, 24, 557–560. [Google Scholar] [CrossRef]
- Crespo, S.; Zarza, C.; Padros, F.; de Mateo, M.M. Epitheliocystis agents in sea bream Sparus aurata: Morphological evidence for two distinct chlamydia-like developmental cycles. Dis. Aquat. Organ. 1999, 37, 61–72. [Google Scholar] [CrossRef] [PubMed]
- Grau, A.; Crespo, S. Epitheliocystis in the wild and cultured amberjack, Seriola dumerili Risso: Ultrastructural observations. Aquaculture 1991, 95, 1–6. [Google Scholar] [CrossRef]
- Bik, E.M.; Costello, E.K.; Switzer, A.D.; Callahan, B.J.; Holmes, S.P.; Wells, R.S.; Carlin, K.P.; Jensen, E.D.; Venn-Watson, S.; Relman, D.A. Marine mammals harbor unique microbiotas shaped by and yet distinct from the sea. Nat. Commun. 2016, 7, 10516. [Google Scholar] [CrossRef] [PubMed] [Green Version]
- Kramer, D. Synopsis of the Biological Data on the Pacific Mackerel, Scomber Japonicus, Houttuyn (Northeast Pacific); FAO Fisheries Synopsys 40; Bureau of Commercial Fisheries: Washinghton, DC, USA, 1969; Circular 302. [Google Scholar]




Publisher’s Note: MDPI stays neutral with regard to jurisdictional claims in published maps and institutional affiliations. |
© 2022 by the authors. Licensee MDPI, Basel, Switzerland. This article is an open access article distributed under the terms and conditions of the Creative Commons Attribution (CC BY) license (https://creativecommons.org/licenses/by/4.0/).
Share and Cite
Cascarano, M.C.; Katharios, P. Expansion of the Beta-Proteobacterial Genus Ca. Ichthyocystis: A Case Report of Epitheliocystis in the Pompano Trachinotus ovatus. Pathogens 2022, 11, 421. https://doi.org/10.3390/pathogens11040421
Cascarano MC, Katharios P. Expansion of the Beta-Proteobacterial Genus Ca. Ichthyocystis: A Case Report of Epitheliocystis in the Pompano Trachinotus ovatus. Pathogens. 2022; 11(4):421. https://doi.org/10.3390/pathogens11040421
Chicago/Turabian StyleCascarano, Maria Chiara, and Pantelis Katharios. 2022. "Expansion of the Beta-Proteobacterial Genus Ca. Ichthyocystis: A Case Report of Epitheliocystis in the Pompano Trachinotus ovatus" Pathogens 11, no. 4: 421. https://doi.org/10.3390/pathogens11040421
APA StyleCascarano, M. C., & Katharios, P. (2022). Expansion of the Beta-Proteobacterial Genus Ca. Ichthyocystis: A Case Report of Epitheliocystis in the Pompano Trachinotus ovatus. Pathogens, 11(4), 421. https://doi.org/10.3390/pathogens11040421

