Histological and Immunohistochemical Characterization of Vascular Alterations in Meninges of Cats Infected with Gurltia paralysans
Abstract
1. Introduction
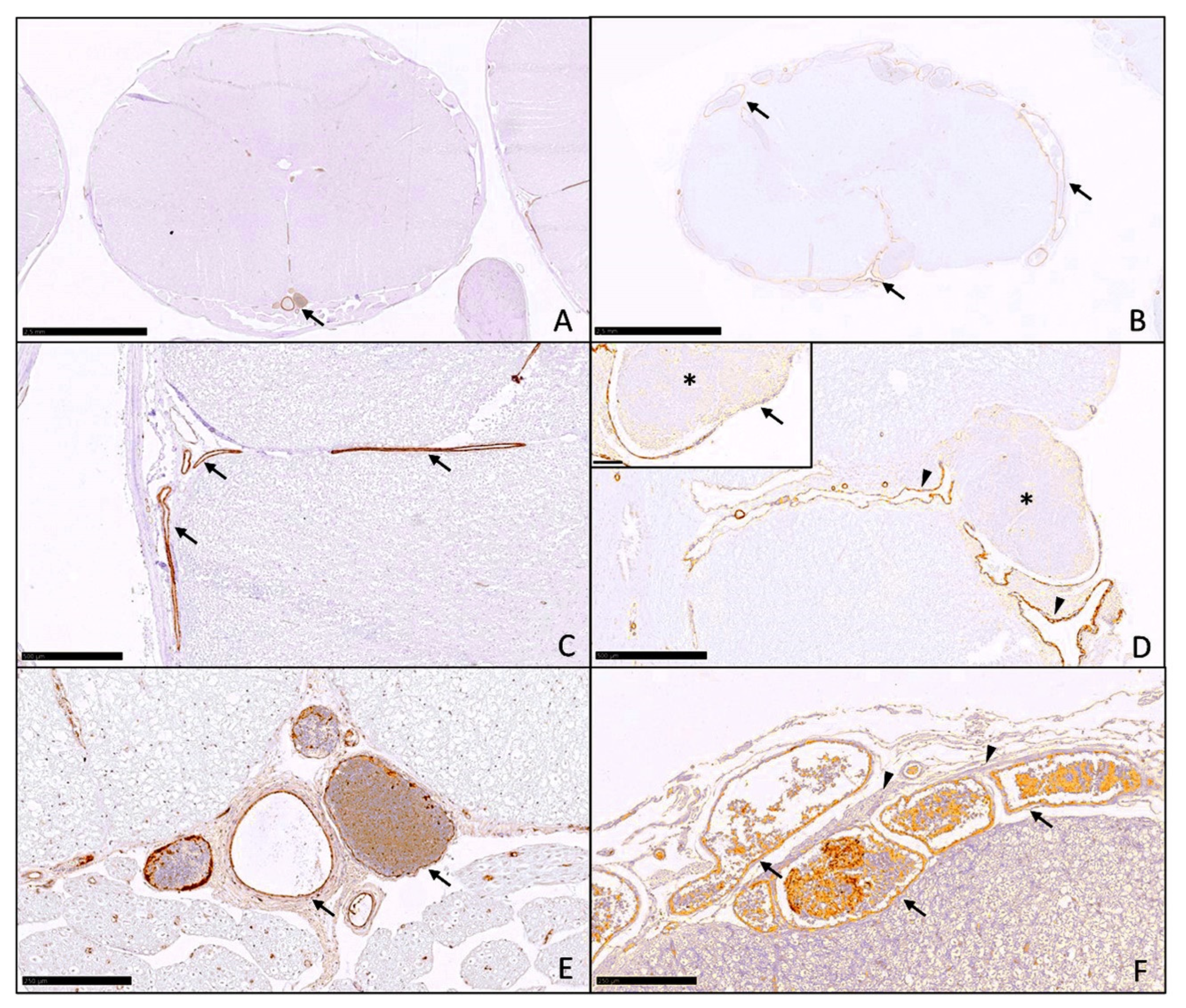
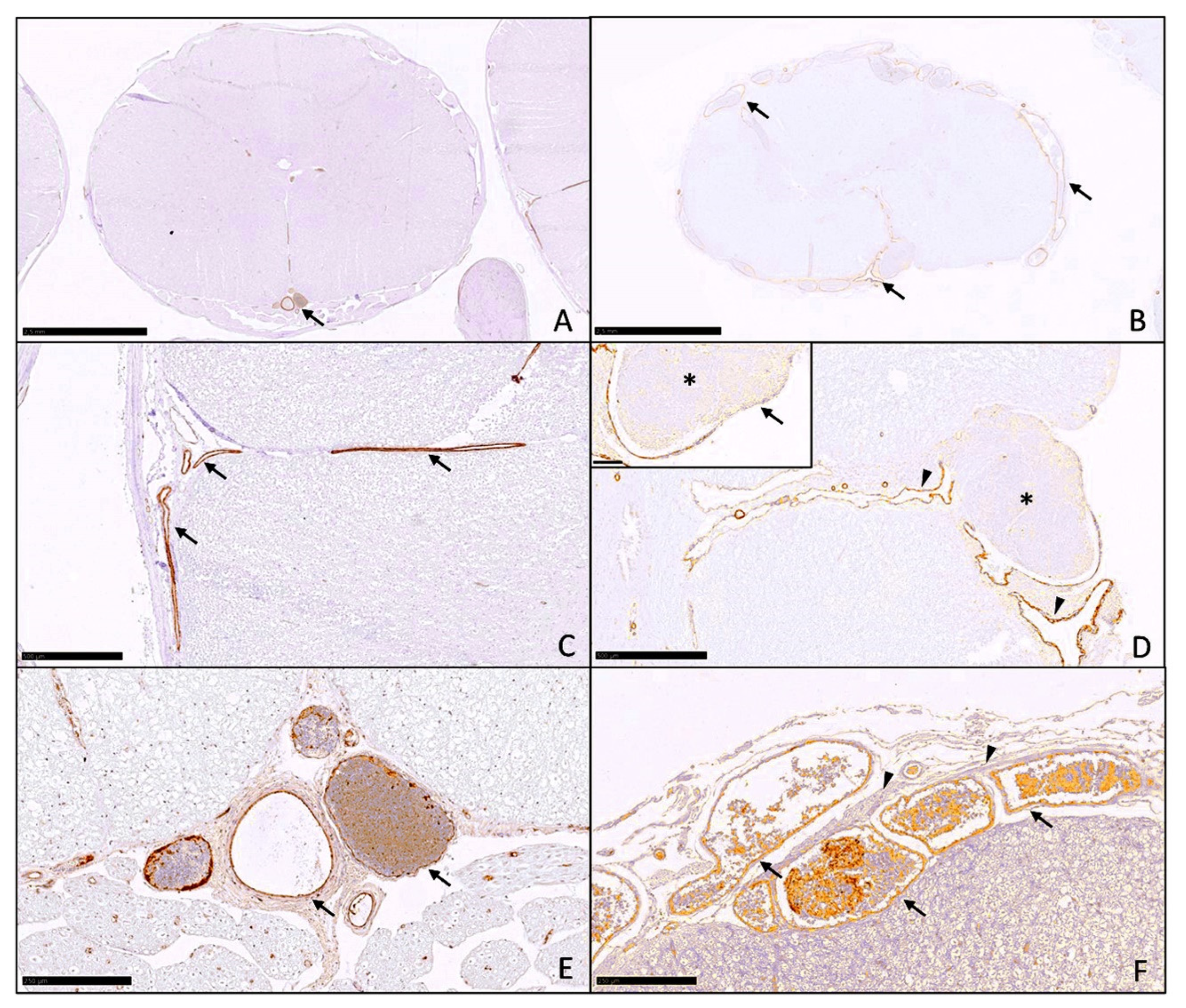
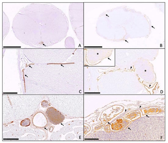
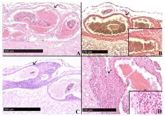
2. Results
3. Discussion
4. Material and Methods
Author Contributions
Funding
Institutional Review Board Statement
Informed Consent Statement
Data Availability Statement
Acknowledgments
Conflicts of Interest
References
- Wolffhügel, K. Paraplegia cruralis parasitaria felis, causada por Gurltia paralysans nov. Gen, n. sp. Rev. Chil Hist Nat. 1933, 192, 190–222. [Google Scholar]
- Moroni, M.; Munoz, P.; Gomez, M.; Mieres, M.; Rojas, M.; Lillo, C.; Aguirre, F.; Acosta-Jamett, G.; Kaiser, M.; Lindsay, D.S. Gurltia paralysans (wolffhugel, 1933): Description of adults and additional case reports of neurological diseases in three domestic cats from southern chile. Vet. Parasitol. 2012, 184, 377–380. [Google Scholar] [CrossRef] [PubMed]
- Gomez, M.; Mieres, M.; Moroni, M.; Mora, A.; Barrios, N.; Simeone, C.; Lindsay, D.S. Meningomyelitis due to nematode infection in four cats. Vet. Parasitol. 2010, 170, 327–330. [Google Scholar] [CrossRef] [PubMed]
- Dazzi, C.C.; Santos, A.D.; Machado, T.P.; Ataide, M.W.; Rodriguez, R.; Pereira, A.M.; Garcia, P.S.; Motta, A.C.D. First case report of nematode parasitic myelopathy in a wild feline in brazil. Rev. Bras. Parasitol. Vet. 2020, 29, e014619. [Google Scholar] [CrossRef] [PubMed]
- Togni, M.; Panziera, W.; Souza, T.M.; Oliveira Filho, J.C.; Mazzanti, A.; Barros, C.S.L.; Fighera, R.A. Epidemiological, clinical and pathological aspects of gurltia paralysans infection in cats. Pesq. Vet. Bras. 2013, 33, 363–371. [Google Scholar] [CrossRef][Green Version]
- Rivero, R.; Matto, C.; Adrien Mde, L.; Nan, F.; Bell, T.; Gardiner, C. Parasite meningomyelitis in cats in uruguay. Rev. Bras. Parasitol. Vet. 2011, 20, 259–261. [Google Scholar] [CrossRef][Green Version]
- Mieres, M.; Gomez, M.A.; Lillo, C.; Rojas, M.A.; Moroni, M.; Munoz, P.; Acosta-Jamett, G.; Wiegand, R. Clinical, imaging, and pathologic characteristics of gurltia paralysans myelopathy in domestic cats from chile. Vet. Radiol. Ultrasound 2013, 54, 237–244. [Google Scholar] [CrossRef]
- Udiz-Rodríguez, R.; Garcia-Livia, K.; Valladares-Salmerón, M.; Dorta-Almenar, M.N.; Martín-Carrillo, N.; Martin-Alonso, A.; Izquierdo-Rodriguez, E.; Feliu, C.; Valladares, B.; Foronda, P. First ocular report of gurltia paralysans (wolffhügel, 1933) in cat. Vet. Parasitol. 2018, 255, 74–77. [Google Scholar] [CrossRef] [PubMed]
- Munoz, P.; Hirzmann, J.; Rodriguez, E.; Moroni, M.; Taubert, A.; Gibbons, L.; Hermosilla, C.; Gomez, M. Redescription and first molecular characterization of the little known feline neurotropic nematode gurltia paralysans (nematoda: Metastrongyloidea). Vet. Parasitol. Reg. Stud. Rep. 2017, 10, 119–125. [Google Scholar]
- Bowman, D. Canine and Feline Lungworms (Proceedings). 1 April 2009. Available online: https://www.dvm360.com/view/canine-and-feline-lungworms-proceedings (accessed on 20 December 2021).
- Sepulveda-Garcia, P.; Gomez, M.; Moroni, M.; Munoz, P.; Muller, A. Evaluation of terrestrial gastropods as possible intermediate hosts of gurltia paralysans in southern chile. Rev. Bras. Parasitol. Vet. 2021, 30, e025020. [Google Scholar] [CrossRef] [PubMed]
- Gomez, M.; Garcia, C.; Maldonado, I.; Pantchev, N.; Taubert, A.; Hermosilla, C.; Moroni, M.; Munoz, P.; Duran, A.; Mieres, M.; et al. Intra vitam diagnosis of neglected gurltia paralysans infections in domestic cats (felis catus) by a commercial serology test for canine angiostrongylosis and insights into clinical and histopathological findings-four-case report. Pathogens 2020, 9, 921. [Google Scholar] [CrossRef] [PubMed]
- Gómez, G.; Aranzazu, D.; Alzate, A.; Chaparro, J.J. Domestic cat paraplegia compatible with gurltia paralysans nematode. First cases reported in colombia. Rev. Colomb. Cienc. Pecu. 2011, 24, 663–669. [Google Scholar]
- Gómez, M.; Moroni, M.; Muñoz, P.; Taubert, A.; Hermosilla, C.; Hirzmann, J.; Rojas, L. Gurltia paralysans: A neglected parasite of domestic cats. Austral. J. Vet. Sci. 2021, 53, 33–45. [Google Scholar] [CrossRef]
- Lopez-Contreras, F.; Rojas-Baron, L.; Gomez, M.; Morera, F.; Sepulveda, P.; Moroni, M.; Munoz, P.; Acosta-Jammett, G.; Mieres, M.; Hirzmann, J.; et al. Molecular detection of gurltia paralysans by semi-nested pcr in cerebrospinal fluid and serum samples from domestic cats (felis catus). Animals 2020, 10, 1169. [Google Scholar] [CrossRef] [PubMed]
- Barrios, N.; Gómez, M.; Zanelli, M.; Rojas-Barón, L.; Sepúlveda-García, P.; Alabí, A.; Adasme, M.; Müller, A.; Rosenfeld, C.; González-Lagos, C.; et al. A molecular survey on neglected gurltia paralysans and aelurostrongylus abstrusus infections in domestic cats (felis catus) from southern chile. Pathogens 2021, 10, 1195. [Google Scholar] [CrossRef] [PubMed]
- Elsheikha, H.M.; Schnyder, M.; Traversa, D.; Di Cesare, A.; Wright, I.; Lacher, D.W. Updates on feline aelurostrongylosis and research priorities for the next decade. Parasit. Vectors 2016, 9, 389. [Google Scholar] [CrossRef] [PubMed]
- Moskvina, T.V. Current knowledge about aelurostrongylus abstrusus biology and diagnostic. Ann. Parasitol. 2018, 64, 3–11. [Google Scholar] [PubMed]
- Hamilton, J.M. Experimental lungworm disease of the cat: Association of the condition with lesions of the pulmonary arteries. J. Comp. Path. 1966, 76, 147–157. [Google Scholar] [CrossRef]
- Dimzas, D.; Morelli, S.; Traversa, D.; Di Cesare, A.; Van Bourgonie, Y.R.; Breugelmans, K.; Backeljau, T.; di Regalbono, A.F.; Diakou, A. Intermediate gastropod hosts of major feline cardiopulmonary nematodes in an area of wildcat and domestic cat sympatry in Greece. Parasit. Vectors 2020, 13, 345. [Google Scholar] [CrossRef] [PubMed]
- Fuehrer, H.P.; Morelli, S.; Bleicher, J.; Brauchart, T.; Edler, M.; Eisschiel, N.; Hering, T.; Lercher, S.; Mohab, K.; Reinelt, S.; et al. Detection of Crenosoma spp., Angiostrongylus vasorum and Aelurostrongylus abstrusus in Gastropods in Eastern Austria. Pathogens 2020, 9, 1046. [Google Scholar] [CrossRef] [PubMed]


| Animal Number | Age | Gender | Origin | Clinical Presentation | Sample Regions in CNS |
|---|---|---|---|---|---|
| 1 | 10 years | Male | Punucapa, Valdi- via, Los Rios region (Southern Chile) | Paraplegia, loss of superficial and deep pain in pelvic limbs, decrease in tail and anal tone | Cerebrum, cerebellum, brain stem |
| 2 | 2 years | Female | Puerto Varas, Los Lagos region (Southern Chile) | Paraplegia, decrease of superficial pain in pelvic limbs, in of tail tone | Hippocampus, cerebellum, brain stem |
| 3 | 2 years | Female | Punucapa, Valdi- via, Los Ríos re- gion (Southern Chile) | Pelvic limb ataxia, ambulatory para- paresis | Cerebrum, cerebellum, brain stem, spinal cord with spinal nerves |
| 4 | 3 years | Male | Paillaco, Itropulli area, Los Ríos region (Southern Chile) | Non-ambulatory paraparesis, loss of superficial and deep pain in pelvic limbs, decrease in tail and anal tone | Cerebrum with hippocampus, cere- bellum, brain stem, spinal cord with spinal nerves |
| 5 | 10 years | Female | Paillaco, sector Itropulli, Los Ríos region (Southern Chile) | Paraplegia, loss of superficial and deep pain in pelvic limbs, decrease in tail and anal tone | Cerebrum with hippocampus, cerebellum, brain stem |
| 6 | 2 months | Male | Germany | Diarrhea, dehydration | Cerebrum, cerebellum, brain stem, spinal cord |
| 7 | 4 years | Female | Germany | Anorexia, sudden death | Cerebrum, cerebellum, spinal cord |
| 8 | 18 years | Male | Germany | Paraparesis due to saddle thrombus in aortic bifurcation | Cerebrum with hippocampus, cerebellum, brain stem, spinal cord |
| Primary Antibody | Dilution | Blocking | Antigen Retrieval | Secondary Antibody | Detection System |
|---|---|---|---|---|---|
| alpha smooth muscle actin (SMA) (monoclonal mouse anti-human clone 1A4 1) | 1:500 | Horse serum 2 | Citrate pH 6 | Biotinylated horse anti-mouse IgG 3 | ABC 3 |
| Factor VIII related antigen (polyclonal rabbit anti-human 1) | 1:1000 | 20% pig serum 2 | Protease | Pig anti-rabbit IgG 3 | Rabbit PAP 1 |
Publisher’s Note: MDPI stays neutral with regard to jurisdictional claims in published maps and institutional affiliations. |
© 2022 by the authors. Licensee MDPI, Basel, Switzerland. This article is an open access article distributed under the terms and conditions of the Creative Commons Attribution (CC BY) license (https://creativecommons.org/licenses/by/4.0/).
Share and Cite
Hartung, S.; Weyrich, A.; Moroni, M.; Gómez, M.; Herden, C. Histological and Immunohistochemical Characterization of Vascular Alterations in Meninges of Cats Infected with Gurltia paralysans. Pathogens 2022, 11, 88. https://doi.org/10.3390/pathogens11010088
Hartung S, Weyrich A, Moroni M, Gómez M, Herden C. Histological and Immunohistochemical Characterization of Vascular Alterations in Meninges of Cats Infected with Gurltia paralysans. Pathogens. 2022; 11(1):88. https://doi.org/10.3390/pathogens11010088
Chicago/Turabian StyleHartung, Svenja, Angelika Weyrich, Manuel Moroni, Marcelo Gómez, and Christiane Herden. 2022. "Histological and Immunohistochemical Characterization of Vascular Alterations in Meninges of Cats Infected with Gurltia paralysans" Pathogens 11, no. 1: 88. https://doi.org/10.3390/pathogens11010088
APA StyleHartung, S., Weyrich, A., Moroni, M., Gómez, M., & Herden, C. (2022). Histological and Immunohistochemical Characterization of Vascular Alterations in Meninges of Cats Infected with Gurltia paralysans. Pathogens, 11(1), 88. https://doi.org/10.3390/pathogens11010088

