Severe Pneumonia and Sepsis Caused by Dialister pneumosintes in an Adolescent
Abstract
1. Introduction
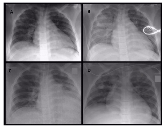
2. Case Report and Review of Literature
3. Discussion
4. Conclusions
Author Contributions
Funding
Institutional Review Board Statement
Informed Consent Statement
Data Availability Statement
Conflicts of Interest
Appendix A
| Patients | Diagnosis | Symptoms | Diagnostics | Culture of D. pneumosintes | Treatment | References |
|---|---|---|---|---|---|---|
| Patient 1: 27-year-old female | Bacteremia Amnion infection syndrome |
| WBC 18.2 G/L | Blood | Anticoagulation | [4] |
| CRP 8.6 mg/dL | Imipinem and rifampicin | |||||
| CT scan (pelvis): thrombosis of the right ovarian vein. | ||||||
| Patient 2: 77-year-old old male Medical history: Aortic valve stenosis lymphatic lymphoma | Bacteremia Endocarditis |
| Temp 37.2 °C WBC 36,55 GPT/l (Neutrophilia 98%) | Blood | Initially: Ampicillin/sulbactam and ceftriaxon | [5] |
| Anemia 8.8 g/dL | ||||||
| CRP 15.77 mg/dL | Day 4: Switch to pencillin G | |||||
| Chest X-ray: Consolidations of the right lung, pleural effusion | Day 5: ampicillin/sulbactam | |||||
| Echocardiography: Endocarditis of the aortic valve | Day 25: Switch to ceftriaxon and metronidazol | |||||
| Patient 3: 62-year-old female Medical history: breast cancer (mastectomy/radiotherapy); caries | Bacteremia Dental caries Sinusitis |
| WBC 34 Gpt/L | Blood | Ampicillin/sulbactam, consecutive ciprofloxancin p.o. | [6] |
| CRP 16 mg/dL | Fever 10 days after hospitalization | |||||
| thrombopenia 73 G/L | Cefepim and levofloxacin for 3 weeks | |||||
| MRI (head): maxillary sinusitis with dental origin (right upper teeth) | ||||||
| Patient 4: 74-year-old male Medical history: smoking, alcohol COPD | Pneumonia |
| WBC 15.6 GPT/L | Broncho-alveoloar lavage | Initially levofloxacin | [10] |
| CRP 3.8 mg/dL | After identification of anaerob, gram negative germ switch to amoxicillin/clavulanic acid. | |||||
| CT-scan (thorax): Pseudonodules in the left anterior superior segment and the right middle lobe, plate atelectasis, augmentation of connective tissue | Continuation of antibiotic treatment after identification of D. pneumosintes: 10 days at beginning of each month for 4 months. | |||||
| Patient 5: No detailed clinical data available | Ventilator-associated pneumonia | Broncho-alveoloar lavage | [11] | |||
| Patient 6: 78-year-old female | Bacteremia Periapical abscess |
| WBC 20.2 Gpt/L (Neutrophilia 85%) CRP 10.8 mg/dL | Blood | Ceftriaxone and clindamycin Drainage of periapical abscess on the right mandible | [13] |
| PCT 2.13 ng/mL | ||||||
| Day 4: CRP: 8.9 mg/dL | ||||||
| Day 8: CRP 2.33 mg/dL | ||||||
| Patient 7: 17-year-old male No risk factors | Bacteremia Brain abscess |
| WBC 13.3 GPT/L CRP 11.8 mg/dL CT scan (head): subdural empyema compressing the right frontal lobe. | Blood | Cefotaxime and metronidazole for 3 weeks i.v. Initially plus aciclovir Frontal craniotomy to evacuate empyema and drain frontal sinuses. Oralization to amoxicillin and ofloxacin for 3 additional weeks | [14] |
| Patient 8: 66-year-old male | Brain abscess |
| WBC 15.4 GPT/L (Neutrophilia 88%) | Pus | Frontal craniotomy to evacuate pus No antibiotics prior to craniotomy. Cefotaxime, fosfomycin and metronidazole for 3 weeks i.v. | [14] |
| CRP 1.56 mg/dL, | ||||||
| CT scan (head): | ||||||
| left posterior frontal lesion surrounded by edema. | ||||||
| Patient 9: 30-year-old woman No risk factors | Bacteremia Mediastinal abscess with extension in the neck caused by dental abscess |
| WBC 29.1 GPT/L CRP 15.4 mg/dL CT scan of the neck-thorax-abdomen-pelvis detected a septated, peripherally enhancing, anterior mediastinal abscess as well as lower premolar tooth in the X-ray orthopantomogram | Blood | Initially intravenous piperacillin/tazobactam; metronidazole was added after identification of the tooth abscess and before surgery. | [15] |
| ICU treatment due complications (right internal jugular vein injury, pulmonary embolism, deep vein thrombosis of the right upper limb). | ||||||
| Hereafter, switch to meropenem, vancomycin and oral fluconazole; subsequent 21-day course of oral antibiotic amoxicillin/clavulanic acid and metronidazole. | ||||||
| Patient 10: 51-year-old female Medical history: untreated psoriasis, bartholinitis | Hepatic abscess |
| CT scan (abdomen): | Pus | Amoxicillin/clavulanic acid | [16] |
| multiloculated abscess (46 × 35 mm) in the liver | Following CT Imaging switch to ceftriaxon and metronidazol | |||||
| MRI abdomen (2 weeks later) showed progredient liver lesions (61 × 47 mm and a secondary lesion of 15 mm) | Despite intervention clinical condition worsened (abdominal pain, persistent fever, and elevated serum CRP)—switch to piperacillin/tazobactam | |||||
| surgery with abscess drainage | After identification of D. pneumosintes: extended periodontitis in four teeth with need for surgery (after 3 weeks of antibiotics) |
References
- Doan, N.; Contreras, A.; Flynn, J.; Slots, J.; Chen, C. Molecular Identification of Dialister pneumosintes in Subgingival Plaque of Humans. J. Clin. Microbiol. 2000, 38, 3043–3047. [Google Scholar] [CrossRef] [PubMed]
- Olitsky, P.K.; Gates, F.L. Experimental studies of the nasopharyngeal secretions from influenza patients. J. Exp. Med. 1921, 33, 125–145. [Google Scholar] [CrossRef]
- Contreras, A.; Doan, N.; Chen, C.; Rusitanonta, T.; Flynn, M.J.; Slots, J. Importance of Dialister pneumosintes in human periodontitis. Oral Microbiol. Immunol. 2000, 15, 269–272. [Google Scholar] [CrossRef] [PubMed]
- Lepargneur, J.P.; Dubreuil, L.; Levy, J. Isolation of Dialister pneumosintes isolated from a bacteremia of vaginal origin. Anaerobe 2006, 12, 274–275. [Google Scholar] [CrossRef] [PubMed]
- Park, J.E.; Huh, H.J.; Ha, Y.E.; Kim, W.S.; Ki, C.-S.; Lee, N.Y. A Case of Bacteremia Caused byDialister pneumosinteswithStreptococcus anginosus. Ann. Clin. Microbiol. 2015, 18, 60. [Google Scholar] [CrossRef]
- Kogure, M.; Suzuki, H.; Ishiguro, S.; Ueda, A.; Nakahara, T.; Tamai, K.; Notake, S.; Shiotani, S.; Umemoto, T.; Morishima, I.; et al. Dialister pneumosintes Bacteremia Caused by Dental Caries and Sinusitis. Intern. Med. 2015, 54, 663–667. [Google Scholar] [CrossRef] [PubMed][Green Version]
- Mehra, P.; Jeong, D. Maxillary sinusitis of odontogenic origin. Curr. Allergy Asthma Rep. 2009, 9, 238–243. [Google Scholar] [CrossRef] [PubMed]
- Patel, N.A.; Ferguson, B.J. Odontogenic sinusitis. Curr. Opin. Otolaryngol. Head Neck Surg. 2012, 20, 24–28. [Google Scholar] [CrossRef] [PubMed]
- Moore, W.E.; Holdeman, L.V.; Smibert, R.M.; Cato, E.P.; Burmeister, J.A.; Palcanis, K.G.; Ranney, R.R. Bacteriology of experimental gingivitis in children. Infect. Immun. 1984, 46, 1–6. [Google Scholar] [CrossRef] [PubMed]
- Castellanos-Monedero, J.J.; Gómez, E.P.; González, R.C. Neumonía por Dialister pneumosintes en un paciente con EPOC. Arch. Bronconeumol. 2010, 46, 663–664. [Google Scholar] [CrossRef] [PubMed]
- Bahrani-Mougeot, F.K.; Paster, B.J.; Coleman, S.; Barbuto, S.; Brennan, M.T.; Noll, J.; Kennedy, T.; Fox, P.C.; Lockhart, P.B. Molecular Analysis of Oral and Respiratory Bacterial Species Associated with Ventilator-Associated Pneumonia. J. Clin. Microbiol. 2007, 45, 1588–1593. [Google Scholar] [CrossRef] [PubMed]
- Umbrello, M.; Fumagalli, J.; Pesenti, A.; Chiumello, D. Pathophysiology and Management of Acute Respiratory Distress Syndrome in Obese Patients. Semin. Respir. Crit. Care Med. 2019, 40, 40–56. [Google Scholar] [CrossRef] [PubMed]
- Lee, M.Y.; Kim, Y.J.; Gu, H.J.; Lee, H.J. A case of bacteremia caused by Dialister pneumosintes and Slackia exigua in a patient with periapical abscess. Anaerobe 2016, 38, 36–38. [Google Scholar] [CrossRef] [PubMed]
- Rousée, J.M.; Bermond, D.; Piémont, Y.; Tournoud, C.; Heller, R.; Kehrli, P.; Harlay, M.L.; Monteil, H.; Jaulhac, B. Dialister pneumosintes Associated with Human Brain Abscesses. J. Clin. Microbiol. 2002, 40, 3871–3873. [Google Scholar] [CrossRef] [PubMed]
- Mannan, S.; Ahmad, T.; Naeem, A.; Patel, V. A Case of Dialister pneumosintes Bacteremia-Associated Neck and Mediastinal Abscess. Am. J. Case Rep. 2021, 22, e930559-1. [Google Scholar] [CrossRef] [PubMed]
- Soeiro, C.; Quilici, I.R.; Le Goff, A.; Oussalah, M.B.; Morin, M.; Alauzet, C.; Charmillon, A. Hepatic abscess due to Dialister pneumosintes—A case report. Anaerobe 2019, 59, 35–37. [Google Scholar] [CrossRef] [PubMed]
- Gajdács, M.; Ábrók, M.; Lázár, A.; Terhes, G.; Urbán, E. Anaerobic blood culture positivity at a University Hospital in Hungary: A 5-year comparative retrospective study. Anaerobe 2020, 63, 102200. [Google Scholar] [CrossRef] [PubMed]
- Brook, I. Spectrum and treatment of anaerobic infections. J. Infect. Chemother. 2016, 22, 1–13. [Google Scholar] [CrossRef] [PubMed]


Publisher’s Note: MDPI stays neutral with regard to jurisdictional claims in published maps and institutional affiliations. |
© 2021 by the authors. Licensee MDPI, Basel, Switzerland. This article is an open access article distributed under the terms and conditions of the Creative Commons Attribution (CC BY) license (https://creativecommons.org/licenses/by/4.0/).
Share and Cite
Kaiser, M.; Weis, M.; Kehr, K.; Varnholt, V.; Schroten, H.; Tenenbaum, T. Severe Pneumonia and Sepsis Caused by Dialister pneumosintes in an Adolescent. Pathogens 2021, 10, 733. https://doi.org/10.3390/pathogens10060733
Kaiser M, Weis M, Kehr K, Varnholt V, Schroten H, Tenenbaum T. Severe Pneumonia and Sepsis Caused by Dialister pneumosintes in an Adolescent. Pathogens. 2021; 10(6):733. https://doi.org/10.3390/pathogens10060733
Chicago/Turabian StyleKaiser, Maximilian, Meike Weis, Katharina Kehr, Verena Varnholt, Horst Schroten, and Tobias Tenenbaum. 2021. "Severe Pneumonia and Sepsis Caused by Dialister pneumosintes in an Adolescent" Pathogens 10, no. 6: 733. https://doi.org/10.3390/pathogens10060733
APA StyleKaiser, M., Weis, M., Kehr, K., Varnholt, V., Schroten, H., & Tenenbaum, T. (2021). Severe Pneumonia and Sepsis Caused by Dialister pneumosintes in an Adolescent. Pathogens, 10(6), 733. https://doi.org/10.3390/pathogens10060733

