Sylvatic Canine Morbillivirus in Captive Panthera Highlights Viral Promiscuity and the Need for Better Prevention Strategies
Abstract
1. Introduction
2. Results
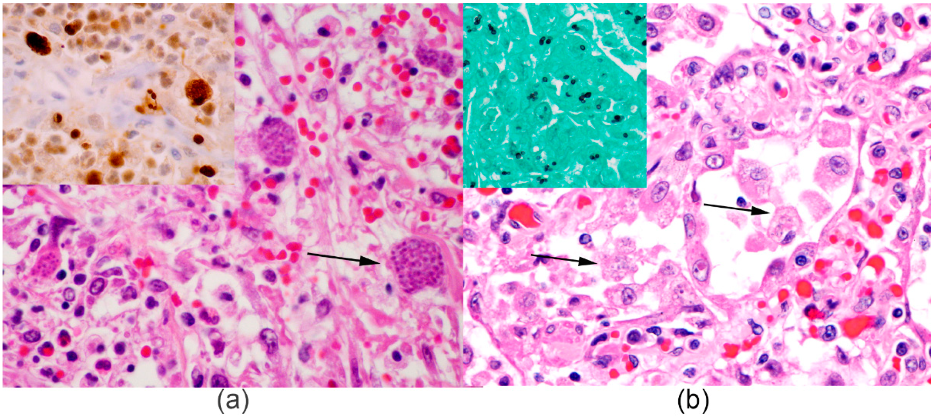
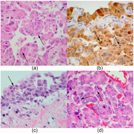
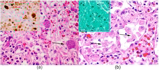
2.1. Clinical Signs, Histopathology and Molecular Testing
2.2. Epidemiologic Study
2.3. H-Gene Sequence Analysis
3. Discussion
4. Materials and Methods
4.1. Case Series
4.2. Laboratory Investigation
4.3. Retrospective Epidemiologic Study
Supplementary Materials
Author Contributions
Funding
Institutional Review Board Statement
Acknowledgments
Conflicts of Interest
References
- Deem, S.L.; Spelman, L.H.; Yates, R.A.; Montali, R.J. Canine distemper in terrestrial carnivores: A review. J. Zoo Wildl. Med. 2000, 31, 441–451. [Google Scholar] [PubMed]
- Sakai, K.; Nagata, N.; Ami, Y.; Seki, F.; Suzaki, Y.; Iwata-Yoshikawa, N.; Suzuki, T.; Fukushi, S.; Mizutani, T.; Yoshikawa, T.; et al. Lethal canine distemper virus outbreak in cynomolgus monkeys in Japan in 2008. J. Virol. 2013, 87, 1105–1114. [Google Scholar] [CrossRef]
- Qiu, W.; Zheng, Y.; Zhang, S.; Fan, Q.; Liu, H.; Zhang, F.; Wang, W.; Liao, G.; Hu, R. Canine distemper outbreak in rhesus monkeys, China. Emerg. Infect. Dis. 2011, 17, 1541–1543. [Google Scholar] [CrossRef]
- Beineke, A.; Baumgärtner, W.; Wohlsein, P. Cross-species transmission of canine distemper virus—An update. One Health 2015, 1, 49–59. [Google Scholar] [CrossRef] [PubMed]
- Appel, M.J.G.; Summers, B.A. Pathogenicity of morbilliviruses for terrestrial carnivores. Vet. Microbiol. 1995, 44, 187–191. [Google Scholar] [CrossRef]
- Suzuki, J.; Nishio, Y.; Kameo, Y.; Terada, Y.; Kuwata, R.; Shimoda, H.; Suzuki, K.; Maeda, K. Canine distemper virus infection among wildlife before and after the epidemic. J. Vet. Med. Sci. 2015, 77, 1457–1463. [Google Scholar] [CrossRef]
- Quigley, K.S.; Evermann, J.F.; Leathers, C.W.; Armstrong, D.L.; Goodrich, J.; Duncan, N.M.; Miquelle, D.G. Morbillivirus infection in a wild siberian tiger in the Russian Far East. J. Wildl. Dis. 2010, 46, 1252–1256. [Google Scholar] [CrossRef]
- Terio, K.A.; Craft, M.E. Canine Distemper Virus (CDV) in Another Big Cat: Should CDV Be Renamed Carnivore Distemper Virus? MBio 2013, 4, 4–6. [Google Scholar] [CrossRef]
- Alexander, K.A.; Apple, M.G.J. Distemper epizootic among domestic dogs near the masai mara national reserve, kenya. Wildl. Dis. Assoc. 1994, 30, 481–485. [Google Scholar] [CrossRef] [PubMed]
- Seimon, T.A.; Miquelle, D.G.; Chang, T.Y. Canine distemper virus: An emerging disease in wild endangered Amur tigers (Panthera tigris altaica). MBio 2013, 4, e00410-13. [Google Scholar] [CrossRef]
- Roelke-Parker, M.E.; Munson, L.; Packer, C.; Kock, R.; Cleaveland, S.; Carpenter, M.; O’Brien, S.J.; Pospischil, A.; Hofmann-Lehmann, R.; Lutz, H.; et al. A canine distemper virus epidemic in Serengeti lions (Panthera leo). Nature 1996, 379, 441–445. [Google Scholar] [CrossRef] [PubMed]
- Munson, L.; Marker, L.; Dubovi, E.; Spencer, J.A.; Evermann, J.F.; O’brien, S.J. Serosurvey of viral infections in free-ranging namibian cheetahs (Acinonyx jubatus). J. Wildl. Dis. 2004, 40, 23–31. [Google Scholar] [CrossRef]
- Beineke, A.; Puff, C.; Seehusen, F.; Baumgärtner, W. Pathogenesis and immunopathology of systemic and nervous canine distemper. Vet. Immunol. Immunopathol. 2009, 127, 1–18. [Google Scholar] [CrossRef]
- Summers, B.A.; Greisen, H.A.; Appel, M.J.G. Canine distemper encephalomyelitis: Variation with virus strain. J. Comp. Pathol. 1984, 94, 65–75. [Google Scholar] [CrossRef]
- Delpeut, S.; Noyce, R.S.; Richardson, C.D. The V domain of dog PVRL4 (nectin-4) mediates canine distemper virus entry and virus cell-to-cell spread. Virology 2014, 454–455, 109–117. [Google Scholar] [CrossRef] [PubMed]
- Ludlow, M.; Rennick, L.J.; Nambulli, S.; de Swart, R.L.; Duprex, W.P. Using the ferret model to study morbillivirus entry, spread, transmission and cross-species infection. Curr. Opin. Virol. 2014, 4, 15–23. [Google Scholar] [CrossRef]
- Appel, M.J.G.; Yates, R.A.; Foley, G.L.; Bernstein, J.J.; Santinelli, S.; Spelman, L.H.; Miller, L.D.; Arp, L.H.; Anderson, M.; Barr, M.; et al. Canine Distemper Epizootic in Lions, Tigers, and Leopards in North America. J. Vet. Diagn. Investig. 1994, 6, 277–288. [Google Scholar] [CrossRef]
- Trebbien, R.; Chriel, M.; Struve, T.; Hjulsager, C.K.; Larsen, G.; Larsen, L.E. Wildlife Reservoirs of Canine Distemper Virus Resulted in a Major Outbreak in Danish Farmed Mink (Neovison vison). PLoS ONE 2014, 9, e85598. [Google Scholar] [CrossRef]
- Harder, T.C.; Kenter, M.; Vos, H.; Siebelink, K.; Huisman, W.; Van Amerongen, G.; Örvell, C.; Barrett, T.; Appel, M.J.G.; Osterhaus, A.D.M.E. Canine distemper virus from large diseased felids: Biological properties and phylogenetic relationships. J. Gen. Virol. 1996, 77, 397–405. [Google Scholar] [CrossRef]
- Stanton, J.B.; Givens, L.; Evermann, J.F.; Brown, C.C. Immunohistochemical analysis of two strains of lion (Panthera leo)—Adapted canine distemper virus in ferrets (Mustela putorius furo). Vet. Pathol. 2003, 40, 464–467. [Google Scholar] [CrossRef]
- Barron, H.W.; Rosenthal, K.L. Respiratory Diseases. In Ferrets, Rabbits, and Rodents; Quesenberry, K.E., James, W.C., Eds.; Elsevier: St. Luis, Missouri, USA, 2012; pp. 78–85. ISBN 9781416066217. [Google Scholar]
- Chinnadurai, S.K.; Kinsel, M.J.; Adkesson, M.J.; Terio, K. Canine distemper in a vaccinated snow leopard (Panthera uncia). J. Zoo Wildl. Med. 2017, 48, 1200–1203. [Google Scholar] [CrossRef]
- Piewbang, C.; Radtanakatikanon, A.; Puenpa, J.; Poovorawan, Y.; Techangamsuwan, S. Genetic and evolutionary analysis of a new Asia-4 lineage and naturally recombinant canine distemper virus strains from Thailand. Sci. Rep. 2019, 9, 3198. [Google Scholar] [CrossRef]
- Duque-Valencia, J.; Sarute, N.; Olarte-Castillo, X.A.; Ruíz-Sáenz, J. Evolution and Interspecies Transmission of Canine Distemper Virus—An Outlook of the Diverse Evolutionary Landscapes of a Multi-Host Virus. Viruses 2019, 11, 582. [Google Scholar] [CrossRef]
- Martella, V.; Cirone, F.; Elia, G.; Lorusso, E.; Decaro, N.; Campolo, M.; Desario, C.; Lucente, M.S.; Bellacicco, A.L.; Blixenkrone-Møller, M.; et al. Heterogeneity within the hemagglutinin genes of canine distemper virus (CDV) strains detected in Italy. Vet. Microbiol. 2006, 116, 301–309. [Google Scholar] [CrossRef]
- Nikolin, V.M.; Wibbelt, G.; Michler, F.-U.F.; Wolf, P.; East, M.L. Susceptibility of carnivore hosts to strains of canine distemper virus from distinct genetic lineages. Vet. Microbiol. 2012, 156, 45–53. [Google Scholar] [CrossRef] [PubMed]
- McCarthy, A.J.; Shaw, M.A.; Goodman, S.J. Pathogen evolution and disease emergence in carnivores. Proc. R. Soc. B Biol. Sci. 2007, 274, 3165–3174. [Google Scholar] [CrossRef] [PubMed]
- Nikolin, V.M.; Osterrieder, K.; von Messling, V.; Hofer, H.; Anderson, D.; Dubovi, E.; Brunner, E.; East, M.L. Antagonistic Pleiotropy and Fitness Trade-Offs Reveal Specialist and Generalist Traits in Strains of Canine Distemper Virus. PLoS ONE 2012, 7, e50955. [Google Scholar] [CrossRef]
- Bhatt, M.; Rajak, K.K.; Chakravarti, S.; Yadav, A.K.; Kumar, A.; Gupta, V.; Chander, V.; Mathesh, K.; Chandramohan, S.; Sharma, A.K.; et al. Phylogenetic analysis of haemagglutinin gene deciphering a new genetically distinct lineage of canine distemper virus circulating among domestic dogs in India. Transbound. Emerg. Dis. 2019, 66, 1252–1267. [Google Scholar] [CrossRef]
- Nikolin, V.M.; Olarte-Castillo, X.A.; Osterrieder, N.; Hofer, H.; Dubovi, E.; Mazzoni, C.J.; Brunner, E.; Goller, K.V.; Fyumagwa, R.D.; Moehlman, P.D.; et al. Canine distemper virus in the Serengeti ecosystem: Molecular adaptation to different carnivore species. Mol. Ecol. 2017, 26, 2111–2130. [Google Scholar] [CrossRef] [PubMed]
- Burrell, C.E.; Anchor, C.; Ahmed, N.; Landolfi, J.; Jarosinski, K.W.; Terio, K.A. Characterization and comparison of slam/cd150 in free-ranging coyotes, raccoons, and skunks in illinois for elucidation of canine distemper virus disease. Pathogens 2020, 9, 510. [Google Scholar] [CrossRef] [PubMed]
- Ohishi, K.; Suzuki, R.; Maeda, T.; Tsuda, M.; Abe, E.; Yoshida, T.; Endo, Y.; Okamura, M.; Nagamine, T.; Yamamoto, H.; et al. Recent host range expansion of canine distemper virus and variation in its receptor, the signaling lymphocyte activation molecule, in carnivores. J. Wildl. Dis. 2014, 50, 596–606. [Google Scholar] [CrossRef] [PubMed]
- Loots, A.K.; Mokgokong, P.S.; Mitchell, E.; Venter, E.H.; Kotze, A.; Dalton, D.L. Phylogenetic analysis of canine distemper virus in South African wildlife. PLoS ONE 2018, 13, e0199993. [Google Scholar] [CrossRef] [PubMed]
- Woma, T.Y.; van Vuuren, M.; Bosman, A.M.; Quan, M.; Oosthuizen, M. Phylogenetic analysis of the haemagglutinin gene of current wild-type canine distemper viruses from South Africa: Lineage Africa. Vet. Microbiol. 2010, 143, 126–132. [Google Scholar] [CrossRef]
- Origgi, F.-C.; Plattet, P.; Sattler, U.; Robert, N.; Casaubon, J.; Pewsner, M.; Wu, N.; Mavrot, F.; Giovannini, S.; Segner, H.; et al. Emergence of a Canine Distemper Virus Strain with Modified Molecular Signature and Enhanced Neuronal Tropism Associated with High Mortality in Wild Carnivores. J. Comp. Pathol. 2012, 146, 50. [Google Scholar] [CrossRef]
- Yuan, C.; Liu, W.; Wang, Y.; Hou, J.; Zhang, L.; Wang, G. Homologous recombination is a force in the evolution of canine distemper virus. PLoS ONE 2017, 12, e0175416. [Google Scholar] [CrossRef]
- Bronson, E.; Terio, K. Felid Taxon Advisory Group Preventative Medicine Recommendations. Available online: https://cdn.ymaws.com/www.aazv.org/resource/resmgr/Docs/Felid_Prevent_Med_Rec_2016.pdf (accessed on 10 July 2018).
- Sadler, R.A.; Ramsay, E.; McAloose, D.; Rush, R.; Wilkes, R.P. evaluation of two canine distemper virus vaccines in captive tigers (Panthera tigris). J. Zoo Wildl. Med. 2016, 47, 558–563. [Google Scholar] [CrossRef]
- Itakura, C.; Nakamura, K.; Nakatsuka, J.; Goto, M. Distemper infection in lesser pandas due to administration of a canine distemper live vaccine. Jpn. J. Vet. Sci. 1979, 41, 561–566. [Google Scholar] [CrossRef] [PubMed]
- Durchfeld, B.; Baumgärtner, W.; Herbst, W.; Brahm, R. Vaccine-associated canine distemper infection in a litter of African hunting dogs (Lycaon pictus). J. Vet. Med. Ser. B 1990, 37, 203–212. [Google Scholar] [CrossRef] [PubMed]
- Nagao, Y.; Nishio, Y.; Shiomoda, H.; Tamaru, S.; Shimojima, M.; Goto, M.; Une, Y.; Sato, A.; Ikebe, Y.; Maeda, K. An Outbreak of Canine Distemper Virus in Tigers (Panthera tigris): Possible Transmission from Wild Animals to Zoo Animals. J. Vet. Med. Sci. 2012, 74, 699–705. [Google Scholar] [CrossRef]
- Packer, C.; Altizer, S.; Appel, M.; Brown, E.; Martenson, J.; O’Brien, S.J.; Roelke-Parker, M.; Hofmann-Lehmann, R.; Lutz, H. Viruses of the Serengeti: Patterns of infection and mortality in African lions. J. Anim. Ecol. 1999, 68, 1161–1178. [Google Scholar] [CrossRef]
- Carpenter, M.A.; Appel, M.J.; Roelke-Parker, M.E.; Munson, L.; Hofer, H.; East, M.; O’Brien, S.J. Genetic characterization of canine distemper virus in Serengeti carnivores. Vet. Immunol. Immunopathol. 1998, 65, 259–266. [Google Scholar] [CrossRef]
- Martella, V.; Elia, G.; Buonavoglia, C. Canine Distemper Virus. Vet. Clin. North Am. Small Anim. Pract. 2008, 38, 787–797. [Google Scholar] [CrossRef] [PubMed]
- Sekulin, K.; Hafner-Marx, A.; Kolodziejek, J.; Janik, D.; Schmidt, P.; Nowotny, N. Emergence of canine distemper in Bavarian wildlife associated with a specific amino acid exchange in the haemagglutinin protein. Vet. J. 2011, 187, 399–401. [Google Scholar] [CrossRef] [PubMed]
- Vanmoll, P.; Alldinger, S.; Baumgartner, W.; Adami, M. Distemper in wild carnivores: An epidemiological, histological and immunocytochemical study. Vet. Microbiol. 1995, 44, 193–199. [Google Scholar] [CrossRef]
- Kapil, S.; Yeary, T.J. Canine Distemper Spillover in Domestic Dogs from Urban Wildlife. Vet. Clin. North Am. Small Anim. Pract. 2011, 41, 1069–1086. [Google Scholar] [CrossRef]
- Yoshikawa, Y.; Ochikubo, F.; Matsubara, Y.; Tsuruoka, H.; Ishii, M.; Shirota, K.; Nomura, Y.; Sugiyama, M.; Yamanouchi, K. Natural infection with canine distemper virus in a Japanese monkey (Macaca fuscata). Vet. Microbiol. 1989, 20, 193–205. [Google Scholar] [CrossRef]
- Bieringer, M.; Han, J.W.; Kendl, S.; Khosravi, M.; Plattet, P.; Schneider-Schaulies, J. Experimental Adaptation of Wild-Type Canine Distemper Virus (CDV) to the Human Entry Receptor CD150. PLoS ONE 2013, 8, e57488. [Google Scholar] [CrossRef]
- Ikeda, Y.; Nakamura, K.; Miyazawa, T.; Chen, M.; Kuo, T.; Lin, J.A.; Kai, C.; Takahashi, E. Seroprevalence of Canine Distemper Virus in Cats Seroprevalence of Canine Distemper Virus in Cats. Clin. Diagn. Lab. Immunol. 2001, 8, 641–644. [Google Scholar] [CrossRef] [PubMed]
- Ferreira, A.; Nava, D.; Cullen, L.; Sana, D.A.; Nardi, M.S.; Domingues, J.; Filho, R.; Lima, T.F.; Abreu, K.C.; Ferreira, F. First Evidence of Canine Distemper in Brazilian Free-Ranging Felids. EcoHealth 2008, 5, 513–518. [Google Scholar] [CrossRef]
- Daoust, P.-Y.; McBurney, S.R.; Godson, D.L.; van de Bildt, M.W.G.; Osterhaus, A.D.M.E. Canine Distemper Virus–Associated Encephalitis in Free-Living Lynx (Lynx canadensis) and Bobcats (Lynx rufus) of Eastern Canada. J. Wildl. Dis. 2009, 45, 611–624. [Google Scholar] [CrossRef] [PubMed]
- Lan, N.T.; Yamaguchi, R.; Inomata, A.; Furuya, Y.; Uchida, K.; Sugano, S.; Tateyama, S. Comparative analyses of canine distemper viral isolates from clinical cases of canine distemper in vaccinated dogs. Vet. Microbiol. 2006, 115, 32–42. [Google Scholar] [CrossRef] [PubMed]



| Case | Animal | Sex | Age (Years) | Symptomatic Prior to Death (Days) | Lethargy | Anorexia | Nasal Discharge 1 | Labored Breathing | Diarrhea 2 | Neurologic |
|---|---|---|---|---|---|---|---|---|---|---|
| 1 | Tiger | Male | 18 | 14 | - | + | + | - | + | - |
| 2 | Tiger | Male | 14 | 5 | - | + | + | + | - | - |
| 3 | Lion | Male | 20 | <1 | - | - | + | - | - | - |
| 4 | Tiger | Female | >16 | 3 | + | + | - | - | - | - |
| 5 | Tiger | Male | 18 | 33 | - | - | + | - | + | - |
| 6 | Tiger | Male | >5 | 40 | - | + | + | - | + | - |
| 7 | Tiger | Male | 16 | 23 | + | + | + | - | + | - |
| 8 | Tiger | Female | 18 | 9 | + | + | + | - | - | - |
| Case | FA-Lung | FA-Brain | Virus Isolation 1 | IHC-Lung | IHC-Brain | PCR Lung | H-Gene |
|---|---|---|---|---|---|---|---|
| 1 | + | N.A. | - | + | N.A. | + | + |
| 2 | N.A. | N.A. | N.A. | + | N.A. | + | + |
| 3 | + | - | + | + | N.A. | + | + |
| 4 | + | N.A. | + | + | N.A. | + | + |
| 5 | + | N.A. | - 2 | + | N.A. | + | + |
| 6 | + | N.A. | - | + | N.A. | + | + |
| 7 | - | - | - | + | N.A. | + | + |
| 8 | N.A. | N.A. | + | + | - | + | + |
| Species | Unit A | Unit B | CDV-Susceptible | CDV-Like Signs 1 | CDV-Death |
|---|---|---|---|---|---|
| African Servals | 6 (0) | 0 | n.r 2 | 0 | 0 |
| Bobcat | 9 (0) | 2 (1) | 11 | 0 | 0 |
| Canada Lynx | 1 (0) | 0 | 1 | 0 | 0 |
| Cougar | 5 (0) | 2 (2) | n.r | 0 | 0 |
| Leopard | 3 (0) | 9 (4) | 12 | 0 | 0 |
| Lion | 8 (1) | 13 (7) | 21 | 2 | 1 |
| Savana cat | 5 (0) | 0 | n.r | 0 | 0 |
| Tiger | 47 (4) | 76 (16) | 123 | 23 (1) | 7 (1) |
| Geoffrey’s cat | 1 (0) | 0 | n.r | 0 | 0 |
| Ocelot | 0 | 1 (0) | n.r | 0 | 0 |
| Total | 85 (5) | 103 (28) | 168 | 25 (1) | 8 (1) |
| Sample Origin | Residue 178 | Residue 519 | Residue 530 | Residue 549 |
|---|---|---|---|---|
| lung, case 1 1 | GGC-G | AGA-R | GGT-G | CAC-H |
| lung, case 2 | GGC-G | AGA-R | GGT-G | CAC-H |
| lung, case 3 | GGC-G | AGA-R | GGT-G | CAC-H |
| lung, case 4 | GGC-G | AGA-R | GGT-G | CAC-H |
| lung, case 5 | GGC-G | AGA-R | GGT-G | CAC-H |
| lung, case 6 | GGC-G | AGA-R | GGT-G | CAC-H |
| lymph node, raccoon IN | GGC-G | AGA-R | GGT-G | n.a. 3 |
| lung, case 7 | GGC-G | AGA-R | GGT-G | CAC-H |
| virus isolate, case 8 | GGC-G | AGA-R | GGT-G | CAC-H |
| lung, skunk IL 1 2 | GGC-G | ATA-I | GGC-G | CAC-H |
| lung, skunk2 IL 2 | GGC-G | ATA-I | GGC-G | CAC-H |
| brain, racoon IL 2 | GGC-G | AGA-R | GGT-G | CAC-H |
Publisher’s Note: MDPI stays neutral with regard to jurisdictional claims in published maps and institutional affiliations. |
© 2021 by the authors. Licensee MDPI, Basel, Switzerland. This article is an open access article distributed under the terms and conditions of the Creative Commons Attribution (CC BY) license (https://creativecommons.org/licenses/by/4.0/).
Share and Cite
Batista Linhares, M.; Whiteley, H.E.; Samuelson, J.P.; Hsiao, S.H.; Stern, A.W.; Sprandel, I.T.; Roady, P.J.; Coleman, D.A.; Rizzo, R.; Froderman, S.F.; et al. Sylvatic Canine Morbillivirus in Captive Panthera Highlights Viral Promiscuity and the Need for Better Prevention Strategies. Pathogens 2021, 10, 544. https://doi.org/10.3390/pathogens10050544
Batista Linhares M, Whiteley HE, Samuelson JP, Hsiao SH, Stern AW, Sprandel IT, Roady PJ, Coleman DA, Rizzo R, Froderman SF, et al. Sylvatic Canine Morbillivirus in Captive Panthera Highlights Viral Promiscuity and the Need for Better Prevention Strategies. Pathogens. 2021; 10(5):544. https://doi.org/10.3390/pathogens10050544
Chicago/Turabian StyleBatista Linhares, Mainity, Herbert E. Whiteley, Jonathan P. Samuelson, Shih Hsuan Hsiao, Adam W. Stern, Ian T. Sprandel, Patrick J. Roady, David A. Coleman, Rebecca Rizzo, S. Fred Froderman, and et al. 2021. "Sylvatic Canine Morbillivirus in Captive Panthera Highlights Viral Promiscuity and the Need for Better Prevention Strategies" Pathogens 10, no. 5: 544. https://doi.org/10.3390/pathogens10050544
APA StyleBatista Linhares, M., Whiteley, H. E., Samuelson, J. P., Hsiao, S. H., Stern, A. W., Sprandel, I. T., Roady, P. J., Coleman, D. A., Rizzo, R., Froderman, S. F., & Terio, K. A. (2021). Sylvatic Canine Morbillivirus in Captive Panthera Highlights Viral Promiscuity and the Need for Better Prevention Strategies. Pathogens, 10(5), 544. https://doi.org/10.3390/pathogens10050544

