Distribution and Severity of Placental Lesions Caused by the Chlamydia abortus 1B Vaccine Strain in Vaccinated Ewes
Abstract
1. Introduction
2. Materials and Methods
2.1. Ethics Statement
2.2. Scoring of Histopathological Features
2.3. Scoring for Immunolabelling in the Tissues
2.4. Statistical Analysis
3. Results
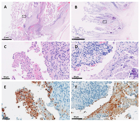
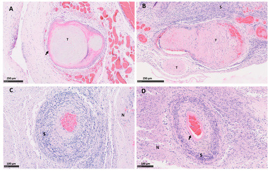
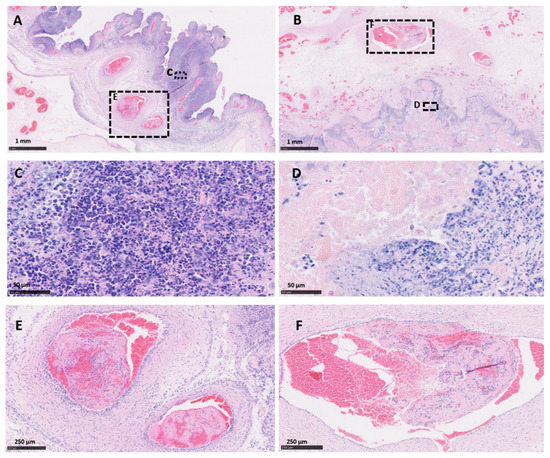
3.1. Histopathological Analysis
3.2. Immunohistochemical Labelling
3.3. Statistical Analysis
4. Discussion
5. Conclusions
Author Contributions
Funding
Institutional Review Board Statement
Informed Consent Statement
Data Availability Statement
Acknowledgments
Conflicts of Interest
References
- Longbottom, D.; Coulter, L. Animal Chlamydioses and Zoonotic Implications. J. Comp. Pathol. 2003, 128, 217–244. [Google Scholar] [CrossRef] [PubMed]
- Buxton, D.; Anderson, I.; Longbottom, D.; Livingstone, M.; Wattegedera, S.; Entrican, G. Ovine Chlamydial Abortion: Characterization of the Inflammatory Immune Response in Placental Tissues. J. Comp. Pathol. 2002, 127, 133–141. [Google Scholar] [CrossRef]
- Sammin, D.; Markey, B.; Bassett, H.; Buxton, D. The ovine placenta and placentitis—A review. Vet. Microbiol. 2009, 135, 90–97. [Google Scholar] [CrossRef] [PubMed]
- Livingstone, M.; Wheelhouse, N.; Ensor, H.; Rocchi, M.; Maley, S.; Aitchison, K.; Wattegedera, S.; Wilson, K.; Sait, M.; Siarkou, V.; et al. Pathogenic outcome following experimental infection of sheep with Chlamydia abortus variant strains LLG and POS. PLoS ONE 2017, 12, e0177653. [Google Scholar] [CrossRef] [PubMed]
- Livingstone, M.; Wheelhouse, N.; Maley, S.W.; Longbottom, D. Molecular detection of Chlamydophila abortus in post-abortion sheep at oestrus and subsequent lambing. Vet. Microbiol. 2009, 135, 134–141. [Google Scholar] [CrossRef] [PubMed]
- Laroucau, K.; Aaziz, R.; Vorimore, F.; Menard, M.; Longbottom, D.; Denis, G. Abortion storm induced by the live C. abortus vaccine 1B strain in a vaccinated sheep flock, mimicking a natural wild-type infection. Vet. Microbiol. 2018, 225, 31–33. [Google Scholar] [CrossRef] [PubMed]
- Rodolakis, A.; Souriau, A. Response of ewes to temperature-sensitive mutants of Chlamydia psittaci (var ovis) obtained by NTG mutagenesis. Ann. Rech. Vet. Ann. Veter Res. 1983, 14, 155–161. [Google Scholar]
- Sargison, N.D.; Truyers, I.G.R.; Howie, F.E.; Thomson, J.R.; Cox, A.L.; Livingstone, M.; Longbottom, D. Identification of the 1B vaccine strain ofChlamydia abortusin aborted placentas during the investigation of toxaemic and systemic disease in sheep. N. Z. Vet. J. 2015, 63, 284–287. [Google Scholar] [CrossRef] [PubMed]
- Wheelhouse, N.; Aitchison, K.; Laroucau, K.; Thomson, J.; Longbottom, D. Evidence of Chlamydophila abortus vaccine strain 1B as a possible cause of ovine enzootic abortion. Vaccine 2010, 28, 5657–5663. [Google Scholar] [CrossRef] [PubMed]
- Caspe, S.G.; Livingstone, M.; Frew, D.; Aitchison, K.; Wattegedera, S.R.; Entrican, G.; Palarea-Albaladejo, J.; McNeilly, T.N.; Milne, E.; Sargison, N.D.; et al. The 1B vaccine strain of Chlamydia abortus produces placental pathology indistinguishable from a wild type infection. PLoS ONE 2020, 15, e0242526. [Google Scholar] [CrossRef] [PubMed]
- Jolliffe, I.T.; Cadima, J. Principal component analysis: A review and recent developments. Philos. Trans. R. Soc. A Math. Phys. Eng. Sci. 2016, 374, 20150202. [Google Scholar] [CrossRef] [PubMed]
- Livingstone, M.; Aitchison, K.; Wattegedera, S.; Rocchi, M.; Wilson, K.; Sait, M.; Wheelhouse, N.; Chianini, F.; Entrican, G.; Longbottom, D. Development of a new vaccine to protect sheep from ovine enzootic abortion. In Proceedings of the Fifth European Meeting on Animal Chlamydioses and Zoonotic Implications (EMAC-5), Odessa, Ukraine, 3–5 October 2018; pp. 25–26. [Google Scholar]
- Bankhead, P.; Loughrey, M.B.; Fernández, J.A.; Dombrowski, Y.; McArt, D.G.; Dunne, P.D.; McQuaid, S.; Gray, R.T.; Murray, L.J.; Coleman, H.G.; et al. QuPath: Open source software for digital pathology image analysis. Sci. Rep. 2017, 7, 1–7. [Google Scholar] [CrossRef] [PubMed]
- Buxton, D.; Rae, A.; Maley, S.; Thomson, K.; Livingstone, M.; Jones, G.; Herring, A. Pathogenesis of Chlamydia psittaci infection in sheep: Detection of the organism in a serial study of the lymph node. J. Comp. Pathol. 1996, 114, 221–230. [Google Scholar] [CrossRef]
- Goodall, C.; Gifi, A. Nonlinear Multivariate Analysis. Technometrics 1992, 34, 357. [Google Scholar] [CrossRef]
- R Core Team. R: A Language and Environment for Statistical Computing; R Foundation for Statistical Computing: Vienna, Austria; Available online: http://www.R-project.org/ (accessed on 11 March 2021).
- Mair, P.; De Leeuw, J. Gifi: Multivariate Analysis with Optimal Scaling. R Package Version 0.3-9. Available online: https://cran.r-project.org/web/packages/Gifi/index.html (accessed on 25 June 2019).
- Lê, S.; Josse, J.; Husson, F. FactoMineR: AnRPackage for Multivariate Analysis. J. Stat. Softw. 2008, 25, 1–18. [Google Scholar] [CrossRef]
- Livingstone, M.; Entrican, G.; Wattegedera, S.; Buxton, D.; McKendrick, I.J.; Longbottom, D. Antibody Responses to Recombinant Protein Fragments of the Major Outer Membrane Protein and Polymorphic Outer Membrane Protein POMP90 in Chlamydophila abortus-Infected Pregnant Sheep. Clin. Diagn. Lab. Immunol. 2005, 12, 770–777. [Google Scholar] [CrossRef] [PubMed]
- Buxton, D.; Barlow, R.; Finlayson, J.; Anderson, I.; Mackellar, A. Observations on the pathogenesis of Chlamydia psittaci infection of pregnant sheep. J. Comp. Pathol. 1990, 102, 222–237. [Google Scholar] [CrossRef]
- Longbottom, D.; Sait, M.; Livingstone, M.; Laroucau, K.; Sachse, K.; Harris, S.R.; Thomson, N.R.; Seth-Smith, H.M. Genomic evidence that the live Chlamydia abortus vaccine strain 1B is not attenuated and has the potential to cause disease. Vaccine 2018, 36, 3593–3598. [Google Scholar] [CrossRef] [PubMed]






| Location a | Placental Area b | Tissue Staining and Labelling c | ||||
|---|---|---|---|---|---|---|
| Cotyledon (C) | Intercotyledonary Membrane (IC) | Epithelium and Stroma | Blood Vessels d | |||
| Histopathology Features | IHC | Histopathology Features | IHC | |||
| Proximal (Px) | Trophoblast (CT) | Chorionic trophoblast (ICT) | Necrosis (N) | Trophoblast and mesenchyme (TMIHC) | Vascular mural necrosis (VN) | Blood vessels (VIHC) |
| Distal (D) | Mesenchyme | Mesenchyme (ICM) | Polymorphonuclear leukocyte infiltration (PMNI) Mononuclear infiltration (MI) | Polymorphonuclear leukocyte perivascular infiltration (VPMNI) Mononuclear perivascular inflammatory infiltration (VMI) Vascular thrombosis (VT) Vascular endothelial activation (VEA) | ||
Publisher’s Note: MDPI stays neutral with regard to jurisdictional claims in published maps and institutional affiliations. |
© 2021 by the authors. Licensee MDPI, Basel, Switzerland. This article is an open access article distributed under the terms and conditions of the Creative Commons Attribution (CC BY) license (https://creativecommons.org/licenses/by/4.0/).
Share and Cite
Caspe, S.G.; Palarea-Albaladejo, J.; Underwood, C.; Livingstone, M.; Wattegedera, S.R.; Milne, E.; Sargison, N.D.; Chianini, F.; Longbottom, D. Distribution and Severity of Placental Lesions Caused by the Chlamydia abortus 1B Vaccine Strain in Vaccinated Ewes. Pathogens 2021, 10, 543. https://doi.org/10.3390/pathogens10050543
Caspe SG, Palarea-Albaladejo J, Underwood C, Livingstone M, Wattegedera SR, Milne E, Sargison ND, Chianini F, Longbottom D. Distribution and Severity of Placental Lesions Caused by the Chlamydia abortus 1B Vaccine Strain in Vaccinated Ewes. Pathogens. 2021; 10(5):543. https://doi.org/10.3390/pathogens10050543
Chicago/Turabian StyleCaspe, Sergio Gastón, Javier Palarea-Albaladejo, Clare Underwood, Morag Livingstone, Sean Ranjan Wattegedera, Elspeth Milne, Neil Donald Sargison, Francesca Chianini, and David Longbottom. 2021. "Distribution and Severity of Placental Lesions Caused by the Chlamydia abortus 1B Vaccine Strain in Vaccinated Ewes" Pathogens 10, no. 5: 543. https://doi.org/10.3390/pathogens10050543
APA StyleCaspe, S. G., Palarea-Albaladejo, J., Underwood, C., Livingstone, M., Wattegedera, S. R., Milne, E., Sargison, N. D., Chianini, F., & Longbottom, D. (2021). Distribution and Severity of Placental Lesions Caused by the Chlamydia abortus 1B Vaccine Strain in Vaccinated Ewes. Pathogens, 10(5), 543. https://doi.org/10.3390/pathogens10050543

