The First Bacterial Endocarditis Due to Achromobacter xylosoxidans in a Dog
Abstract
1. Introduction
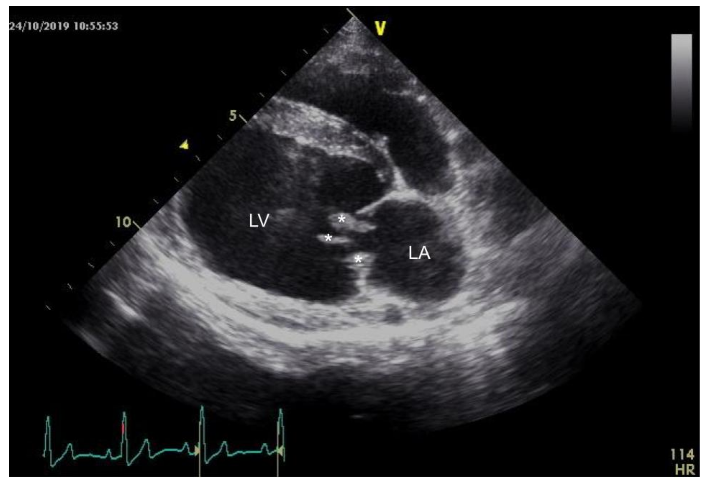
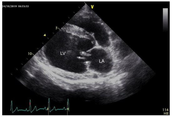
2. Case Description
3. Discussion
4. Conclusions
Author Contributions
Funding
Institutional Review Board Statement
Informed Consent Statement
Acknowledgments
Conflicts of Interest
References
- Yabuuchi, E.; Yano, I.; Goto, S.; Tanimura, E.; Ito, T.; Ohyama, A. Description of Achromobacter xylosoxidans Yabuuchi and Ohyama 1971. Int. J. Syst. Bacteriol. 1974, 24, 470–477. [Google Scholar] [CrossRef]
- Derber, C.; Elam, K.; Forbes, B.A.; Bearman, G. Achromobacter species endocarditis: A case report and literature review. Can. J. Infect. Dis. Med. Microbiol. 2011, 22, e17–e20. [Google Scholar] [CrossRef]
- Tena, D.; González-Praetorius, A.; Pérez-Balsalobre, M.; Sancho, O.; Bisquert, J. Urinary tract infection due toAchromobacter xylosoxidans: Report of 9 cases. Scand. J. Infect. Dis. 2008, 40, 84–87. [Google Scholar] [CrossRef] [PubMed]
- Hansen, C.; Pressler, T.; Nielsen, K.G.; Jensen, P.Ø.; Bjarnsholt, T.; Høiby, N. Inflammation in Achromobacter xylosoxidans infected cystic fibrosis patients. J. Cyst. Fibros. 2010, 9, 51–58. [Google Scholar] [CrossRef] [PubMed]
- Gómez-Cerezo, J.; Suárez, I.; Ríos, J.J.; Peña, P.; García De Miguel, M.J.G.; De José, M.; Monteagudo, O.; Linares, P.; Barbado-Cano, A.; Vázquez, J.J. Achromobacter xylosoxidans Bacteremia: A 10-Year Analysis of 54 Cases. Eur. J. Clin. Microbiol. Infect. Dis. 2003, 22, 360–363. [Google Scholar] [CrossRef]
- Mandrell, T.D. Achromobacter xylosoxidans infection in baboons. Lab. Anim. Sci. 1991, 41, 506–508. [Google Scholar] [PubMed]
- Hřibová, B.; Ceplecha, V.; Řeháková, K.; Proks, P.; Gabriel, V.; Kohoutová, L.; Crha, M. Causes of lower urinary tract disease in Czech cat population. Acta Vet. Brno 2019, 88, 433–441. [Google Scholar] [CrossRef]
- Girling, S.L.; Innes, J.F. Infection of a total hip prosthesis in a dog caused by Achromobacter (Alcaligenes) xylosoxidans. J. Small Anim. Pract. 2006, 47, 747–750. [Google Scholar] [CrossRef]
- Allison, S.O.; Artwohl, J.E.; Fortman, J.D.; Jeanes, J. Iatrogenic hemolytic anemia and endocarditis in New Zealand White rabbits sec-ondary to Achromobacter xylosoxidans infection. J. Am. Assoc. Lab. Anim. Sci. 2007, 46, 58–62. [Google Scholar]
- MacDonald, K. Infective Endocarditis in Dogs: Diagnosis and Therapy. Vet. Clin. N. Am. Small Anim. Pract. 2010, 40, 665–684. [Google Scholar] [CrossRef] [PubMed]
- Barragán, E.P.; Pérez, J.S.; Corbella, L.; Orellana, M.; Orellana, M.Á.; Fernández-Ruiz, M. Achromobacter xylosoxidans bacteremia: Clinical and microbiological features in a 10-year case series. Rev. Esp. Quimioter. 2018, 31, 268–273. [Google Scholar]
- Leclercq, R.; Cantón, R.; Brown, D.; Giske, C.; Heisig, P.; MacGowan, A.; Mouton, J.; Nordmann, P.; Rodloff, A.; Rossolini, G.M.; et al. EUCAST expert rules in antimicrobial susceptibility testing. Clin. Microbiol. Infect. 2013, 19, 141–160. [Google Scholar] [CrossRef]
- Lepuschitz, S.; Huhulescu, S.; Hyden, P.; Springer, B.; Rattei, T.; Allerberger, F.; Mach, R.; Ruppitsch, W. Characterization of a community-acquired-MRSA USA300 isolate from a river sample in Austria and whole genome sequence based comparison to a diverse collection of USA300 isolates. Sci. Rep. 2018, 8, 9467. [Google Scholar] [CrossRef] [PubMed]
- Bankevich, A.; Nurk, S.; Antipov, D.; Gurevich, A.A.; Dvorkin, M.; Kulikov, A.S.; Lesin, V.M.; Nikolenko, S.I.; Pham, S.; Prjibelski, A.D.; et al. SPAdes: A New Genome Assembly Algorithm and Its Applications to Single-Cell Sequencing. J. Comput. Biol. 2012, 19, 455–477. [Google Scholar] [CrossRef]
- Lepuschitz, S.; Schill, S.; Stoeger, A.; Pekard-Amenitsch, S.; Huhulescu, S.; Inreiter, N.; Hartl, R.; Kerschner, H.; Sorschag, S.; Springer, B.; et al. Whole genome sequencing reveals resemblance between ESBL-producing and carbapenem resistant Klebsiella pneumoniae isolates from Austrian rivers and clinical isolates from hospitals. Sci. Total Environ. 2019, 662, 227–235. [Google Scholar] [CrossRef]
- Richter, M.; Rosselló-Móra, R.; Glöckner, F.O.; Peplies, J. JSpeciesWS: A web server for prokaryotic species circumscription based on pairwise genome comparison. Bioinformatics 2016, 32, 929–931. [Google Scholar] [CrossRef] [PubMed]
- Jolley, K.A.; Bray, J.E.; Maiden, M.C.J. Open-access bacterial population genomics: BIGSdb software, the PubMLST.org website and their applications. Wellcome Open Res. 2018, 3, 124. [Google Scholar] [CrossRef]
- Alcock, B.P.; Raphenya, A.R.; Lau, T.T.Y.; Tsang, K.K.; Bouchard, M.; Edalatmand, A.; Huynh, W.; Nguyen, A.-L.V.; Cheng, A.A.; Liu, S.; et al. CARD 2020: Antibiotic resistome surveillance with the comprehensive antibiotic resistance database. Nucleic Acids Res. 2020, 48, D517–D525. [Google Scholar] [CrossRef]
- Sykes, J.E.; Kittleson, M.D.; Pesavento, P.A.; Byrne, B.A.; Macdonald, K.A.; Chomel, B.B. Evaluation of the relationship between causative organisms and clinical characteristics of infective endocarditis in dogs: 71 cases (1992–2005). J. Am. Vet.- Med Assoc. 2006, 228, 1723–1734. [Google Scholar] [CrossRef]
- Holmes, B.; Snell, J.J.; Lapage, S.P. Strains of Achromobacter xylosoxidans from clinical material. J. Clin. Pathol. 1977, 30, 595–601. [Google Scholar] [CrossRef] [PubMed]
- Reverdy, M.E.; Freney, J.; Fleurette, J.; Coulet, M.; Surgot, M.; Marmet, D.; Ploton, C. Nosocomial colonization and infection by Achromobacter xylosoxidans. J. Clin. Microbiol. 1984, 19, 140–143. [Google Scholar] [CrossRef]
- Reina, J.; Antich, M.; Siquier, B.; Alomar, P. Nosocomial outbreak of Achromobacter xylosoxidans associated with a diagnostic contrast solution. J. Clin. Pathol. 1988, 41, 920–921. [Google Scholar] [CrossRef][Green Version]
- Granowitz, E.V.; Keenholtz, S.L. A pseudoepidemic of Alcaligenes xylosoxidans attributable to contaminated saline. Am. J. Infect. Control. 1998, 26, 146–148. [Google Scholar] [CrossRef]
- Ye, L.; Guo, M.; Ren, P.; Wang, G.; Bian, Y.; Xiao, Y.; Zhou, Y. First report of a cross-kingdom pathogenic bacterium, Achromobacter xylosoxidans isolated from stipe-rot Coprinus comatus. Microbiol. Res. 2018, 207, 249–255. [Google Scholar] [CrossRef]
- Okła, H.; Sosnowska, M.; Jasik, K.P.; Słodki, J.; Wojtyczka, R.D. Nonspecific Bacterial Flora Isolated from the Body Surface and Inside Ixodes ricinus Ticks. Pol. J. Microbiol. 2012, 61, 205–209. [Google Scholar] [CrossRef]
- Amoureux, L.; Bador, J.; Zouak, F.B.; Chapuis, A.; de Curraize, C.; Neuwirth, C. Distribution of the species of Achromobacter in a French Cystic Fibrosis Centre and multilocus sequence typing analysis reveal the predominance of A. xylosoxidans and clonal relationships between some clinical and environmental isolates. J. Cyst. Fibros. 2016, 15, 486–494. [Google Scholar] [CrossRef] [PubMed]
- Amoureux, L.; Bador, J.; Fardeheb, S.; Mabille, C.; Couchot, C.; Massip, C.; Salignon, A.-L.; Berlie, G.; Varin, V.; Neuwirth, C. Detection of Achromobacter xylosoxidans in Hospital, Domestic, and Outdoor Environmental Samples and Comparison with Human Clinical Isolates. Appl. Environ. Microbiol. 2013, 79, 7142–7149. [Google Scholar] [CrossRef] [PubMed]
- Hansen, C.; Pressler, T.; Ridderberg, W.; Johansen, H.; Skov, M. Achromobacter species in cystic fibrosis: Cross-infection caused by indirect patient-to-patient contact. J. Cyst. Fibros. 2013, 12, 609–615. [Google Scholar] [CrossRef] [PubMed]
- Hu, Y.; Zhu, Y.; Ma, Y.; Liu, F.; Lu, N.; Yang, X.; Luan, C.; Yi, Y.; Zhu, B. Genomic Insights into Intrinsic and Acquired Drug Resistance Mechanisms in Achromobacter xylosoxidans. Antimicrob. Agents Chemother. 2014, 59, 1152–1161. [Google Scholar] [CrossRef] [PubMed]
- EUCAST—European Committee and Antimicrobial Susceptibility Testing. Intrinsic Resistance and Unusual Phenotypes Version 3.2 February 2020. Available online: https://eucast.org/expert_rules_and_intrinsic_resistance/ (accessed on 21 June 2021).
- Fleurbaaij, F.; Henneman, A.A.; Corver, J.; Knetsch, W.; Smits, W.K.; Nauta, S.T.; Giera, M.; Dragan, I.; Kumar, N.; Lawley, T.D.; et al. Proteomic identification of Axc, a novel beta-lactamase with carbapenemase activity in a meropenem-resistant clinical isolate of Achromobacter xylosoxidans. Sci. Rep. 2018, 8, 8181. [Google Scholar] [CrossRef] [PubMed]
- Available online: https://revive.gardp.org/resource/breakpoint-concentration-clinical/?cf=encyclopaedia (accessed on 15 October 2021).
- Papich, M.G. Antibiotic Treatment of Resistant Infections in Small Animals. Vet. Clin. N. Am. Small Anim. Pract. 2013, 43, 1091–1107. [Google Scholar] [CrossRef] [PubMed]
- Plumb, D.C. Meropenem. Pumb´s Veterinary Drugs. Available online: https://www.plumbsveterinarydrugs.com/#!/monograph/6OeDolOpr3/ (accessed on 31 July 2020).
- Bidgood, T.; Papich, M.G. Plasma pharmacokinetics and tissue fluid concentrations of meropenem after intravenous and subcutaneous administration in dogs. Am. J. Vet. Res. 2002, 63, 1622–1628. [Google Scholar] [CrossRef] [PubMed]
- WHO. Critically Important Antimicrobials for Human Medicine, 6th ed.; WHO: Geneva, Switzerland, 2019. [Google Scholar]

Publisher’s Note: MDPI stays neutral with regard to jurisdictional claims in published maps and institutional affiliations. |
© 2021 by the authors. Licensee MDPI, Basel, Switzerland. This article is an open access article distributed under the terms and conditions of the Creative Commons Attribution (CC BY) license (https://creativecommons.org/licenses/by/4.0/).
Share and Cite
Steiner, V.; Rosel, A.C.; Ruppitsch, W.; Allerberger, F.; Carranza Valencia, A.; Markovic, M.; Luckschander-Zeller, N.; Szostak, M.P.; Spergser, J.; Loncaric, I.; et al. The First Bacterial Endocarditis Due to Achromobacter xylosoxidans in a Dog. Pathogens 2021, 10, 1580. https://doi.org/10.3390/pathogens10121580
Steiner V, Rosel AC, Ruppitsch W, Allerberger F, Carranza Valencia A, Markovic M, Luckschander-Zeller N, Szostak MP, Spergser J, Loncaric I, et al. The First Bacterial Endocarditis Due to Achromobacter xylosoxidans in a Dog. Pathogens. 2021; 10(12):1580. https://doi.org/10.3390/pathogens10121580
Chicago/Turabian StyleSteiner, Verena, Adriana Cabal Rosel, Werner Ruppitsch, Franz Allerberger, Alejandra Carranza Valencia, Mato Markovic, Nicole Luckschander-Zeller, Michael P. Szostak, Joachim Spergser, Igor Loncaric, and et al. 2021. "The First Bacterial Endocarditis Due to Achromobacter xylosoxidans in a Dog" Pathogens 10, no. 12: 1580. https://doi.org/10.3390/pathogens10121580
APA StyleSteiner, V., Rosel, A. C., Ruppitsch, W., Allerberger, F., Carranza Valencia, A., Markovic, M., Luckschander-Zeller, N., Szostak, M. P., Spergser, J., Loncaric, I., & Künzel, F. (2021). The First Bacterial Endocarditis Due to Achromobacter xylosoxidans in a Dog. Pathogens, 10(12), 1580. https://doi.org/10.3390/pathogens10121580

