Abstract
This study evaluates the mechanical and electrical properties of copper-clad aluminum (CCA) wire prepared with a total cross-section reduction of 89% through a multistage cold drawing process and subjected to annealing at various temperatures. In addition to the CCA wire, individual samples of oxygen-free copper and aluminum, drawn with a cross-sectional reduction of 50%, were annealed under the same temperature conditions to enable a comparative analysis. Tensile tests for strength and elongation measurements were conducted, while electrical conductivity was assessed through resistivity tests. SEM and EDS analyses were performed to examine the diffusion thickness and the composition of intermetallic compounds generated at the Al/Cu interface of CCA wire. The tensile strength of the CCA wire decreased and its elongation increased up to 250 °C, after which were maintained. As the annealing temperature increased, intermetallic compound layers of Al2Cu, AlCu, and Al4Cu9 were formed at the Al/Cu interface of the CCA wire, and their thickness increased. Electrical conductivity reaches a maximum at 200 °C and then continuously decreases, showing a negative linear correlation with an increase in the diffusion layer thickness of intermetallic compounds. The study confirmed that cold-drawn CCA wire achieves stable mechanical properties and maximum electrical conductivity at the optimal annealing temperature.
1. Introduction
Al/Cu bimetallic composites have relatively superior mechanical properties, electrical properties, and corrosion resistance compared to single materials such as aluminum and copper, and are widely used in the automotive industry, electronic devices, aerospace industry, and shipbuilding components. Excellent mechanical and physical properties are acquired by combining various alloys such as St, Ti, Mg, Ag, Zn, St, and Ni with Al, resulting in the composites being applied to various industries [1,2,3,4,5,6,7]. However, copper-clad aluminum wire (CCAW) has the widest range of applications due to its high electrical conductivity and mechanical properties compared to other materials [8,9].
The biggest advantage of CCAW is that it is more than 50% lighter than copper with the same cross-section even when the copper area ratio of the total cross-sectional area of CCAW exceeds only 15%. The specific gravity of Al is more than 30% lower than that of copper. In addition, it has the advantage of being specialized for electronic devices due to the skin effect, which is the property of allowing a current to flow on the surface under high-frequency conditions [10].
CCAW is usually produced by hot rolling or multistage cold drawing, considering the productivity of the post-process. CCAW requires the formation of intermetallic compounds to prevent delamination of the Al–Cu interface, and annealing is essential for this process. Furthermore, since interfacial delamination serves as a direct cause of deterioration of the mechanical and electrical properties of CCAW, research on the optimization of the annealing process is critical.
Various studies have been conducted on the change in structure and the generation of intermetallic compounds to obtain the desired optimal mechanical and electrical properties through annealing after the formation of CCAW. Lee et al. confirmed that intermetallic compounds were generated in the order of AlCu3, Al3Cu4, AlCu, and Al2Cu at welded Al/Cu joints depending on the annealing temperature and holding time, and that the thickness increased with increasing temperature and time. They showed that the tensile strength and electrical conductivity decreased as the thickness of the intermetallic compounds increased [11]. Moisy et al. showed that the electrical resistance increased as the volume fraction of the intermetallic compounds increased under experimental conditions in which the architectured copper-clad aluminum underwent a re-stacking–drawing process, which was maintained at annealing temperatures of 300 °C, 400 °C, and 500 °C for two to six hours [12]. Amiri et al. reported that when copper-clad aluminum of A6061 and oxygen-free high-conductivity (OFHC) copper were annealed at 300 °C for 0, 15, 30, 45, and 60 min, the maximum intermetallic diffusion layer was 2 to 3 μm, the maximum electrical conductivity was achieved at 30 min, and the maximum elongation was achieved at 60 min [13,14]. Lapovok et al. formed CCAW with Cu area ratios of 16% and 25% by 1-pass forming, 2-pass forming, and severely deformed 2-pass forming and annealed them at 120 °C and 200 °C. They reported that the hardness of Al decreased, but the hardness of the intermetallic compound and copper increased. In addition, the electrical conductivity decreased as the deformation during plastic working increased, and when annealing was performed at 200 °C, 75%IACS, which is higher than the theoretical electrical conductivity of 68%IACS, was obtained [15]. Springs et al. showed similar results, where the strength increased by up to 1.8 times and the electrical conductivity decreased by more than 5% in the formed state depending on the amount of pure copper present, and the hardness decreased rapidly and then stabilized when heat-treated at 150 °C or higher [16]. Fu et al. formed Cu–Al–Cu sandwich sheet materials at a rolling ratio between 40% and 80% and reported that the formed materials exhibited excellent bonding strength at a rolling ratio of 60% or higher. In particular, when the 80% rolled material was annealed at a temperature between 200 °C and 450 °C, the intermetallic compound layer thickness increased as the temperature increased, and Al2Cu, Al4Cu9, and AlCu intermetallic compounds were produced. This was confirmed through backscattered electron (BSE) images of scanning electron microscopy (SEM) and energy-dispersive X-ray spectroscopy (EDX) measurements. In addition, it was found that the tensile strength and elongation changed rapidly at an annealing temperature of 300 °C [17].
The previous studies on the mechanical and electrical properties and the intermetallic compound formation by annealing are summarized as follows: First, the tensile strength is decreased by heat treatment; Second, the elongation increases; Third, as the intermetallic compound layer becomes thicker, the electrical conductivity decreases; and Fourth, there are differences depending on the cross-sectional ratio and formed amount of CCAW. Previous studies have shown that the mechanical and electrical properties, intermetallic compound composition, and thickness vary depending on the components, manufacturing method, and heat treatment of bimetallic composites. In this study, the mechanical and electrical properties of multistage cold-drawn 20% CCAW, in which the copper area ratio of the total cross-section area of CCAW is 20%, were investigated according to the drawing state and annealing conditions to derive the annealing conditions for optimizing the electrical properties. To this end, the drawn state and the changes in the mechanical and electrical properties after annealing were analyzed for CCAW and Al and Cu materials constituting CCAW with a cross-sectional reduction rate of 50%. By comparing the measured characteristic changes in CCAW and the calculated properties using the area ratio of Al and Cu materials with varying annealing temperatures, the effect of the intermetallic compound thickness on the mechanical and electrical properties was analyzed. Through this, the annealing conditions were derived to obtain the optimal electrical properties of CCAW with a cross-sectional reduction ratio of 89%.
2. Experimental Procedure
CCAW is a material cladded with Al and Cu, and the effective strain of Al in the core and Cu on the surface are different due to multistage formation. In addition, since the recrystallization temperatures of Al and Cu are different, the temperature at which the mechanical and electrical properties change is different depending on the annealing temperature [18,19,20,21,22]. Annealing was performed for three hours and the selected temperatures of CCAW, Al, and Cu were 120 °C, 200 °C, 250 °C, 280 °C, 300 °C, 320 °C, and 340 °C with reference to the previous studies. In the present study, CCAW was formed through a multistage drawing process in three stages from Φ 8.9 mm to the final Φ 2.9 mm, and the final cross-sectional reduction rate was 89% with a longitudinal strain (ε) of 8.4 mm/mm (3A Corporation, Chungju, Republic of Korea). Details of the dimensions and shapes in the three stages are shown in Table 1 and Figure 1, respectively. To prevent breakage due to ductility reduction during the drawing process of CCAW, the drawing process was designed by applying a die half angle of 10° and a cross-sectional reduction rate of 20% between the stages as suggested by Sichani et al. [23]. The drawing speed of the last stage is set as 120 m/min and the drawing dies are immersed in a graphite-based lubricant.
Table 1.
Dimension and area reduction in the multistage drawing process of CCAW.
Figure 1.
Multistage drawing process for CCAW manufacturing.
After annealing, the cold-drawn Al and Cu bars and the 20% cross-sectional reduced CCAW manufactured by the multistage drawing process were subjected to a tensile test according to ASTM E8 [24]. The CCAW was subjected to a tensile test using a Φ 2.9 mm wire material using a tensile tester. The specimens before and after the tensile test of Al and Cu bars and the photograph of the tensile test with CCAW are shown in Figure 2.
Figure 2.
The specimens and the tensile test of Al and Cu materials and CCAW. (a) The dimensions of the tensile test specimens. (b) The tensile test specimens of Al and Cu materials and the specimens after the tensile test.
Electrical conductivity, which is an electrical characteristic, was measured by processing Al and Cu materials into Φ 8 mm round bars, polishing the cross-section, and using a thermoelectric evaluation system (ZEM-3M8). The electrical conductivity of CCAW was obtained by taking the reciprocal of the resistivity of 1 m long CCAW measured with a resistance meter. The specimens and equipment for measuring the electrical conductivity and the electrical resistance measurement method of CCAW are shown in Figure 3.

Figure 3.
The specimens and electrical conductivity measurement systems of Al and Cu materials, (a) the Al and Cu specimens for measuring the electrical conductivity, (b) the thermoelectric evaluation system, and (c) the method for measuring the electrical conductivity through the resistivity measurement.
The cross-section of CCAW drawn into Φ 2.9 mm (the cross-section before annealing) was analyzed by an optical microscope. The interface morphologies and chemical compositions of intermetallic compounds after annealing were analyzed using SEM (CLARA GMH, TESCAN, Brno, Czech Republic) and EDX (AZtecLive advanced EDX, Ultim Max 100, OXFORD, High Wycombe, UK), respectively.
3. Results and Discussion
A tensile test, an electrical conductivity test, SEM and EDS tests, and the like, were performed with the prepared Al 1070 and OFHC copper specimens and CCAW to analyze the formation of intermetallic compounds at the Al/Cu interface and the resulting changes in the mechanical and electrical properties.
3.1. Al/Cu Intermixing Investigation of Multistage Cold-Drawn CCAW
The morphology of the Al/Cu interface and the generation of intermetallic compounds in the multistage drawn Φ 2.9 mm CCAW were analyzed using an optical microscope and SEM. Figure 4 shows the interface measured after Al/Cu formation at ×100 magnification, indicating that an Al/Cu interface was well formed. The CCAW, which was formed by multistage formation with a cross-sectional reduction rate of about 20% in each stage, did not exhibit a large strain in each unit stage. It was reported that when CCAW was formed by forward extrusion [13] or equal channel angular pressing (ECAP) [15], intermixing between Al and Cu occurred after the formation. However, Figure 4a,b shows that the Al/Cu interface had a uniform contact surface, as in the case of formation by multistage drawing [23].
Figure 4.
Optical microscopy and SEM images of CCAW. (a) x200 optical microscopy, and (b) SEM and chemical composition.
SEM and EDS analyses were performed to confirm whether Al and Cu were intermixed into the opposite metals. Intermixing of Al/Cu was not observed in the SEM image at a magnification of ×50,000. The diameter of the burning circle in the EDS measurement was 1.2 μm, as shown in Figure 5. If the radius of the interface between Al and Cu had been 0.6 μm, it would have resulted in Al and Cu being analyzed simultaneously.
Figure 5.
Burning area verification of EDS measurement.
As shown in the EDS measurement results in Figure 6, Spectrum 1 was measured at a position 1.2 μm away from the Al/Cu interface, and Spectrum 2 was measured at a position 0.4 μm away therefrom. According to the energy chart shown in Figure 6, no intermetallic compound was measured in Spectrum 1, but 97% Al and 3% Cu were measured in Spectrum 2. However, since Spectrum 2 was positioned 0.4 μm away from the interface, which was within the burning circle radius of 0.6 μm, it was not considered as the measurement of an intermetallic compound but as an error due to the performance limitations of the EDS analysis equipment. Additionally, no intermixing into the Cu area was observed in the SEM image.
Figure 6.
EDS measurement of the Al/Cu interface for the verification of the burning criteria error.
From the above analytical results, it can be determined that the CCAW manufactured by multistage cold drawing did not undergo excessive deformation to the extent that intermixing of the Al/Cu particles occurred during the drawing process, and thus, no mechanical bonding occurred.
3.2. Intermetallic Compound Layer Investigation
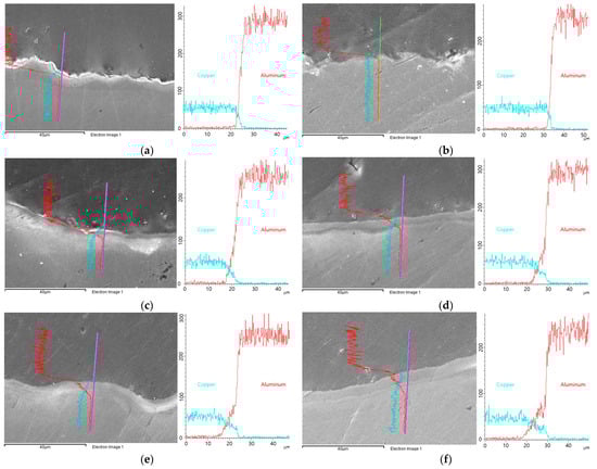
Annealing treatment increases the activation energy of Al and Cu molecules, causing diffusion. The annealing conditions selected by summarizing the previous studies were 120 °C, 200 °C, 250 °C, 280 °C, 300 °C, 320 °C, and 340 °C for three hours. The Al/Cu interface morphology and intermetallic compound thickness measured through SEM and EDS line profile analyses are compared in Figure 7.
Figure 7.
The Al/Cu interface and intermetallic compound thickness at the annealing temperatures of (a) 120 °C, (b) 200 °C, (c) 250 °C, (d) 300 °C, (e) 320 °C, and (f) 340 °C. (red line Aluminum and cyan line Copper Contents).
Using the line profiles shown in Figure 7, the intermetallic compound thicknesses were summarized by the heat treatment temperature, as shown in Table 2. It can be seen that as the temperature increased, the intermetallic compound thickness due to diffusion increased. It was also found that a 3 μm diffusion layer was formed at 120 °C and a maximum 15 μm diffusion layer was formed at 340 °C.
Table 2.
Al/Cu intermetallic compound thickness according to the annealing temperature.
The BSE images of the annealed CCAW interface and the EDS results in Figure 7 show that the number of intermetallic compound layers with color differences and their thickness increased as the annealing temperature increased. To identify these intermetallic compound layers, XRD was performed on the specimens shown in Figure 7, and the results are shown in Figure 8.
Figure 8.
EDS measurements of the Al/Cu interface and intermetallic compound composition at the annealing temperatures of (a) 200 °C, (b) and (c) 250 °C, and (d–f) 320 °C.
Point EDS measurement was performed with the Al/Cu diffusion layers in the BSE images shown in Figure 8 to analyze the composition of the intermetallic compounds. The representative intermetallic compounds of the Al/Cu alloy were Al2Cu, AlCu, and Al4Cu9, and the Al/Cu mass ratios obtained from the EDS measurement results at each composition were 45.9%:54.1%, 29.8%:70.2%, and 15.9%:84.1%, respectively [11].
The intermetallic compound composition annealed at 120 °C and 200 °C exhibited an Al/Cu mass ratio of 50.2%:49.8%, which can be seen as Al2Cu. From 250 °C to 300 °C, two layers were formed with the Al/Cu mass ratios of 45.9%:54.1% and 29.8%:70.2%, indicating that Al2Cu and AlCu intermetallic compounds were formed. Above 320 °C, three layers were analyzed, which were Al2Cu, AlCu, and Al4Cu9. Some compositional fluctuation in the intermetallic compound layer was observed because of the very small investigation area.
3.3. Mechanical Properties Measurement
The change in the mechanical properties of the Al and Cu materials and CCAW was investigated through a tensile test. The tensile test was performed with the Al and Cu materials and cold-drawn CCAW after heat treatment at predetermined annealing temperatures. Figure 9 shows the stress and strain relationship after the tensile test at each heat treatment temperature. The tensile tests were performed in triplicate for each heat treatment condition.
Figure 9.
Stress and strain relationship of Tensile test (a) Al Alloy (b) Cu Alloy (c) CCA wire.
The results of the tensile test are shown in Figure 9a, where the tensile strength decreased, and the elongation increased as the strain hardening of the drawn material was softened through annealing treatment. The results show the same trend as the tensile test results of Al material with the strain of 0.5, 1.0, 1.5, and 2.0 mm/mm imposed by rotary swaging [25]. The average values of tensile strength and elongation according to the drawn state (RT) and annealing temperature of CCAW, Al, and Cu materials are shown in Table 3.
Table 3.
Changes in the mechanical properties of the Al and Cu materials and CCAW according to the annealing temperature.
As the annealing temperature increased, the Al 1070 material exhibited a gradual decrease in strength and an increase in elongation, and uniquely, a sharp increase in elongation occurred at 340 °C. On the other hand, pure copper exhibited no significant change in strength and elongation up to 250 °C, but from 280 °C, there was a sharp decrease in strength and an increase in elongation. The tensile strength of CCAW decreased sharply from the state without heat treatment (RT) to 250 °C and then was maintained at the level of 125 MPa, and the elongation was similar to that in the state without heat treatment up to 200 °C and then increased drastically at 250 °C. This may be because the residual stress was decreased by annealing.
3.4. Electrical Properties Measurement
To obtain the optimal electrical conductivity of cold-drawn CCAW, the electrical conductivity of Al, Cu, and CCAW was measured. Cold-drawn Al and Cu materials and CCAW formed into Φ 2.9 mm were used for the measurements. The results of the electrical conductivity measurements of Al, Cu, and CCAW Φ 2.9 mm are shown in Table 4 and Figure 10.
Table 4.
Results of electrical conductivity measurement of Al, Cu, and CCAW.
Figure 10.
Changes in the electrical conductivity of Al, Cu, and CCAW according to the annealing temperature. (a) Al 1070, (b) OFHC, and (c) 20% CCAW.
The electrical conductivity of Al 1070 increased significantly up to 200 °C, and the change in the increment was not significant above 200 °C. On the other hand, the electrical conductivity of OFHC did not increase significantly up to 200 °C, but it increased significantly above 200 °C. CCAW exhibited a maximum value of 70.2%IACS at 200 °C, and then the electrical conductivity gradually decreased.
3.5. Discussion
As the annealing temperature increased, Al2Cu was formed at 120 °C and 200 °C by Al/Cu diffusion, and the layer order from the core to the outer surface was arranged as Al > Al2Cu > AlCu > Al4Cu9 > Cu. At 250 °C to 300 °C, an AlCu layer was observed in addition to Al2Cu, and the order was Al > Al2Cu > AlCu > Cu. At 320 °C, an Al4Cu9 layer was added to the Al2Cu and AlCu layers, and the layer order was Al > Al2Cu > AlCu > Al4Cu9 > Cu. It is presumed that at 320 °C, Al2Cu was formed earlier than the AlCu and Al4Cu9 phases because the diffusion rate of Cu in the Al matrix was faster than the Al diffusion rate in the Cu matrix due to the difference in the diffusion rate [17]. The Al2Cu layer may have been formed at 120 °C and 200 °C due to the low diffusion at the low temperatures, and the AlCu layer may have been added at 250 °C to 300 °C and then the Al4Cu9 layer at 320 °C.
As described above, the mechanical and electrical properties of multistage cold-drawn 20% CCAW vary depending on the annealing treatment conditions. The tensile strength of 20% CCAW was the highest at 264.6 MPa in the cold-drawn state, and then it was stabilized at 125 MPa after annealing at 250 °C. The elongation also increased from 1.66% after cold drawing to 29.2% after annealing at 250 °C and then gradually decreased. The elongation was low below 200 °C probably because the work hardening due to the cold forming of Al and Cu was not softened, and there was almost no change in the tensile strength and elongation above 250 °C. This shows that the CCAW was optimized at a temperature more than 50 °C lower than 300 °C at which Cu–Al–Cu bimetallic composites were optimized in a previous study [17], indicating that the optimization temperature may vary depending on the manufacturing method and alloy components.
In terms of the electrical properties, Al 1070 exhibited a uniform conductivity of 62.0%IACS above 280 °C, but OFHC exhibited a trend in which the electrical conductivity increased as the temperature increased. Since the electrical conductivity of normal Al1070 is 62%IACS, and that of OFHC is 101%IACS, the calculation of the electrical conductivity of CCAW with an area ratio of 20% using Equation (1) gives 69.8%.
The conductivity values of the Al and Cu materials calculated by using Equation (1) with the heating temperatures shown Table 4 are schematically compared with the measurements values of CCAW, as shown in Figure 11. The calculated values based on the electrical conductivity measurements of Al and Cu and the measured conductivity values of CCAW increased at a similar rate up to an annealing temperature of 200 °C. However, while the calculated values continuously increased above 250 °C, the measured results of CCAW decrease slowly, reaching 68.5%IACS at 340 °C, which is a decrease of 2.4% compared to 70.2%IACS at 200 °C with a decrement of 1.7%IACS. The temperature at which the electrical conductivity was optimized as described by Lapovok et al. [15].
Figure 11.
The comparison of the measured electrical conductivity of CCAW with the calculated values of the Al and Cu materials.
The tendency that the electrical conductivity of Al and Cu increased as the annealing temperature increased is considered as the result of the reduction in the residual stress and recrystallization of the plastically deformed structure. The electrical conductivity of CCAW exhibited a maximum value at 200 °C and then decreased as the annealing temperature increased, which may be due to the effect of the intermetallic compounds formed at the interface of Al and Cu in CCAW. This is consistent with the results of a previous study that the electrical conductivity decreased with increasing intermetallic thickness. The gap between the measured and calculated electrical conductivity values in Figure 11 was calculated, and its relationship with the intermetallic thickness in Table 2 is schematically shown in Figure 12. The relationship shows that the electrical conductivity decreased linearly as the intermetallic thickness increased.
Figure 12.
The relationship between the CCAW electrical conductivity gap between the measured values and the calculated values with the intermetallic thickness.
4. Conclusions
The following conclusions were obtained through a study conducted with multistage cold-drawn CCAW with a total cross-sectional reduction of 89% and a longitudinal strain (ε) of 8.4 in order to optimize the mechanical and electrical properties according to the annealing temperature.
As the annealing temperature of CCAW increased, the thickness of the intermetallic layer increased. An Al2Cu layer was formed at low temperatures of 120 °C and 200 °C, while Al2Cu and AlCu layers were formed at 250 °C to 300 °C, and Al2Cu, AlCu, and Al4Cu9 layers were formed at 320 °C or higher, as the different intermetallic compounds were produced.
The mechanical properties of Al, Cu, and CCAW were analyzed according to the annealing temperature, and the results show that Al and Cu materials exhibited distinct changes in the tensile strength and elongation above 250 °C, but CCAW exhibited uniform results at 250 °C or higher. This may be due to the difference in the amount of deformation among the analyzed materials, which were Al, Cu, and CCAW, but further analysis is required to determine the cause of the uniform results of CCAW above 250 °C.
In this study, the mechanical properties of Al and Cu were quantified, and a discrepancy was observed between the calculated mechanical properties of CCA wire, consisting of 20% Cu and 80% Al in the cross-section, and the results obtained from experiments. Further research is needed to investigate the differences in these mechanical properties.
The electrical conductivity of Al increased drastically up to 200 °C, but the increment decreased above 200 °C. The electrical conductivity of Cu increased gradually up to 200 °C, but increased rapidly above 200 °C. The electrical conductivity of CCAW exhibited the best result of 70.2%IACS at 200 °C, so the optimal temperature to achieve the best electrical conductivity of CCAW manufactured by multistage drawing may be 200 °C.
The electrical conductivity of CCAW decreased continuously after 200 °C and showed a linear relationship with the increase in intermetallic thickness at the Al/Cu interface. It is believed that the decrease in electrical conductivity in intermetallic compounds is greater than the increase in electrical conductivity due to the annealing treatment of Al and Cu.
This study demonstrates that the mechanical and electrical properties of CCA wire are significantly influenced by the annealing process, particularly in optimizing the diffusion layer thickness and intermetallic compounds. This optimization contributes to the enhancement of the mechanical properties and conductivity in wire applications.
Author Contributions
Conceptualization, J.-W.S. and J.-H.K.; methodology, J.-P.H., S.-H.K. (Sung-Heon Kim) and S.-H.K. (Seong-Hoon Kang); resources, J.-S.P.; formal analysis, J.-P.H., S.-H.S. and Y.-J.A.; writing—original draft preparation, J.-W.S., J.-P.H.; writing—review and editing, S.-H.K. (Sung-Heon Kim), S.-H.K. (Seong-Hoon Kang) and J.-H.K.; visualization, S.-H.S. and Y.-J.A.; funding acquisition, J.-S.P., S.-H.K. (Seong-Hoon Kang) and J.-H.K. All authors have read and agreed to the published version of the manuscript.
Funding
This work was supported by the Technology Innovation Program (RS-2024-00421212) funded By the Ministry of Trade, Industry and Energy (MOTIE, Republic of Korea).
Data Availability Statement
The original contributions presented in this study are included in the article. Further inquiries can be directed to the corresponding author.
Conflicts of Interest
Author Sung-Heon Kim was employed by the company Gyeongnam Technopark. The remaining authors declare that the research was conducted in the absence of any commercial or financial relationships that could be construed as a potential conflict of interest.
References
- Wu, B.; Li, L.; Xia, C.; Guo, X.; Zhou, D. Effect of surface nitriding treatment in a steel plate on the interfacial bonding strength of the aluminum/steel clad sheets by the cold roll bonding process. Mater. Sci. Eng. A 2017, 682, 270. [Google Scholar] [CrossRef]
- Marr, T.; Freudenberger, J.; Kauffmann, A.; Romberg, J.; Okulov, I.; Petters, R.; Scharnweber, J.; Eschke, A.; Oertel, C.-G.; Kühn, U.; et al. Processing of Intermetallic Titanium Aluminide Wires. Metals 2013, 3, 188–201. [Google Scholar] [CrossRef]
- Feng, B.; Xin, Y.; Yu, H.; Hong, R.; Liu, Q. Mechanical behavior of a Mg/Al composite rod containing a soft Mg sleeve and an ultra hard Al core. Mater. Sci. Eng. A 2016, 675, 204. [Google Scholar] [CrossRef]
- Rdzawski, Z.; Głuchowski, W.; Stobrawa, J.; Kempiński, W.; Andrzejewski, B. Microstructure and properties of Cu–Nb and Cu–Ag nanofiber composites. Arch. Civ. Mech. Eng. 2015, 15, 689. [Google Scholar] [CrossRef]
- Mahdavian, M.M.; Ghalandari, L.; Reihanian, M. Accumulative roll bonding of multilayered Cu/Zn/Al: An evaluation of microstructure and mechanical properties. Mater. Sci. Eng. A 2013, 579, 99. [Google Scholar] [CrossRef]
- Shen, Z.; Chen, Y.; Haghshenas, M.; Nguyen, T. Interfacial microstructure and properties of copper clad steel produced using friction stir welding versus gas metal arc welding. Mater. Charact. 2015, 104, 1. [Google Scholar] [CrossRef]
- Tian, S.; Zhao, F.; Liu, X. Effects of drawing speed on microstructure and properties of Cu-Ni-Si alloy clad AA8030 alloy composites prepared by continuous casting composite technology. Mater. Today Commun. 2024, 40, 109802. [Google Scholar] [CrossRef]
- Kocich, R.; Kunčická, L.; Davis, C.F.; Lowe, T.C.; Szurman, I.; Macháčková, A. Deformation behavior of multilayered Al–Cu clad composite during cold-swaging. Mater. Des. 2016, 90, 379. [Google Scholar] [CrossRef]
- Kim, W.N.; Hong, S.I. Interactive deformation and enhanced ductility of tri-layered Cu/Al/Cu clad composite. Mater. Sci. Eng. A 2016, 651, 976. [Google Scholar] [CrossRef]
- Ueda, K.; Hung, C. The high-frequency phenomenon of copper clad aluminum wires which are lower the alternating current resistance than copper solid wires, and the application of copper clad aluminum wires to the electrical equipment. Trans. Power Energy 2023, 143, 194. [Google Scholar] [CrossRef]
- Lee, W.B.; Bang, K.S.; Jung, S.B. Effects of intermetallic compound on the electrical and mechanical properties of friction welded Cu/Al bimetallic joints during annealing. J. Alloys Compd. 2005, 390, 212. [Google Scholar] [CrossRef]
- Moisy, F.; Gueydan, A.; Sauvage, X.; Guillet, A.; Keller, C.; Guilmeau, E.; Hug, E. Influence of intermetallic compounds on the electrical resistivity of architectured copper clad aluminum composites elaborated by a restacking drawing method. Mater. Des. 2018, 155, 366. [Google Scholar] [CrossRef]
- Amiri, F.S.; Hosseinipour, S.J.; Aval, H.J.; Jamaati, R. Evaluation of strength and electrical conductivity of copper clad-AA6063 bimetallic composite wire after annealing treatment. Mater. Chem. Phys. 2024, 312, 128660. [Google Scholar] [CrossRef]
- Amiri, F.S.; Hosseinipour, S.J.; Aval, H.J.; Jamaati, R. Fabrication of a novel high-strength and high-conductivity copper-clad aluminum composite wire. CIRP J. Manuf. Sci. Technol. 2023, 41, 144. [Google Scholar] [CrossRef]
- Lapovok, R.; Dubrovsky, M.; Kosinova, A.; Raab, G. Effect of Severe Plastic Deformation on the Conductivity and Strength of Copper-Clad Aluminium Conductors. Metals 2019, 9, 960. [Google Scholar] [CrossRef]
- Springs, J.C.; Kao, Y.T.; Srivastava, A.; Levin, Z.S.; Barber, R.E.; Hartwig, K.T. Strength and electrical resistivity of heavily worked copper. IOP Conf. Ser. Mater. Sci. Eng. 2017, 279, 012003. [Google Scholar] [CrossRef]
- Fu, X.; Wang, R.; Zhu, Q.; Wang, P.; Zuo, Y. Effect of Annealing on the Interface and Mechanical Properties of Cu-Al-Cu Laminated Composite Prepared with Cold Rolling. Materials 2020, 13, 369. [Google Scholar] [CrossRef]
- Alshwawreh, N.; Alhamarneh, B.; Altwarah, Q.; Quandour, S.; Barghout, S.; Ayasrah, O. Electrical Resistivity and Tensile Strength Relationship in Heat-Treated All Aluminum Alloy Wire Conductors. Materials 2021, 14, 5738. [Google Scholar] [CrossRef]
- Zhao, Y.; Li, L.; Lu, Z.; Teng, G.; Liu, S.; Hu, Z.; He, A. The effect of annealing temperature on the recrystallization and mechanical properties of severe plastic deformed commercial pure aluminium during ultra-fast annealing. Mater. Res. Express 2021, 8, 046515. [Google Scholar] [CrossRef]
- Zhilyaev, A.P.; Shakhova, I.; Belyakov, A.; Kaibyshev, R. Effect of annealing on wear resistance and electroconductivity of copper processed by high-pressure torsion. J. Mater. Sci. 2014, 49, 2270. [Google Scholar] [CrossRef]
- Wu, B.; Chen, B.; Zou, Z.; Liao, S.; Deng, W. Thermal Stability of Ultrafine Grained Pure Copper Prepared by Large Strain Extrusion Machining. Metals 2018, 8, 381. [Google Scholar] [CrossRef]
- Mao, Q.; Zhang, Y.; Guo, Y. Enhanced electrical conductivity and mechanical properties in thermally stable fine-grained copper wire. Commun. Mater. 2021, 2, 46. [Google Scholar] [CrossRef]
- Sichani, F.F.; Rahnama, S.; Raghebi, M.; Sommitsch, C. An investigation on micro-hardness, micro-structure and ductility of clad layer in copper clad aluminum wire under multistage–NCWD. Mater. Res. Express 2020, 7, 056501. [Google Scholar] [CrossRef]
- ASTM E8/E8M-22; Standard Test Methods for Tension Testing of Metallic Materials. ASTM International: West Conshohocken, PA, USA, 2022.
- Yang, Y.; Nie, J.F.; Mao, Q.Z.; Zhao, Y.H. Improving the combination of electrical conductivity and tensile strength of Al 1070 by rotary swaging deformation. Results Phys. 2019, 13, 102236. [Google Scholar] [CrossRef]
Disclaimer/Publisher’s Note: The statements, opinions and data contained in all publications are solely those of the individual author(s) and contributor(s) and not of MDPI and/or the editor(s). MDPI and/or the editor(s) disclaim responsibility for any injury to people or property resulting from any ideas, methods, instructions or products referred to in the content. |
© 2024 by the authors. Licensee MDPI, Basel, Switzerland. This article is an open access article distributed under the terms and conditions of the Creative Commons Attribution (CC BY) license (https://creativecommons.org/licenses/by/4.0/).