Bionic Repair of Thermal Fatigue Cracks in Ductile Iron by Laser Melting with Different Laser Parameters
Abstract
1. Introduction
2. Method and Materials
2.1. Experiment Materials
2.2. Sample Preparations
2.3. Experimental Methods
2.4. Tensile Tests
2.5. Thermal Fatigue Test
3. Results and Discussion
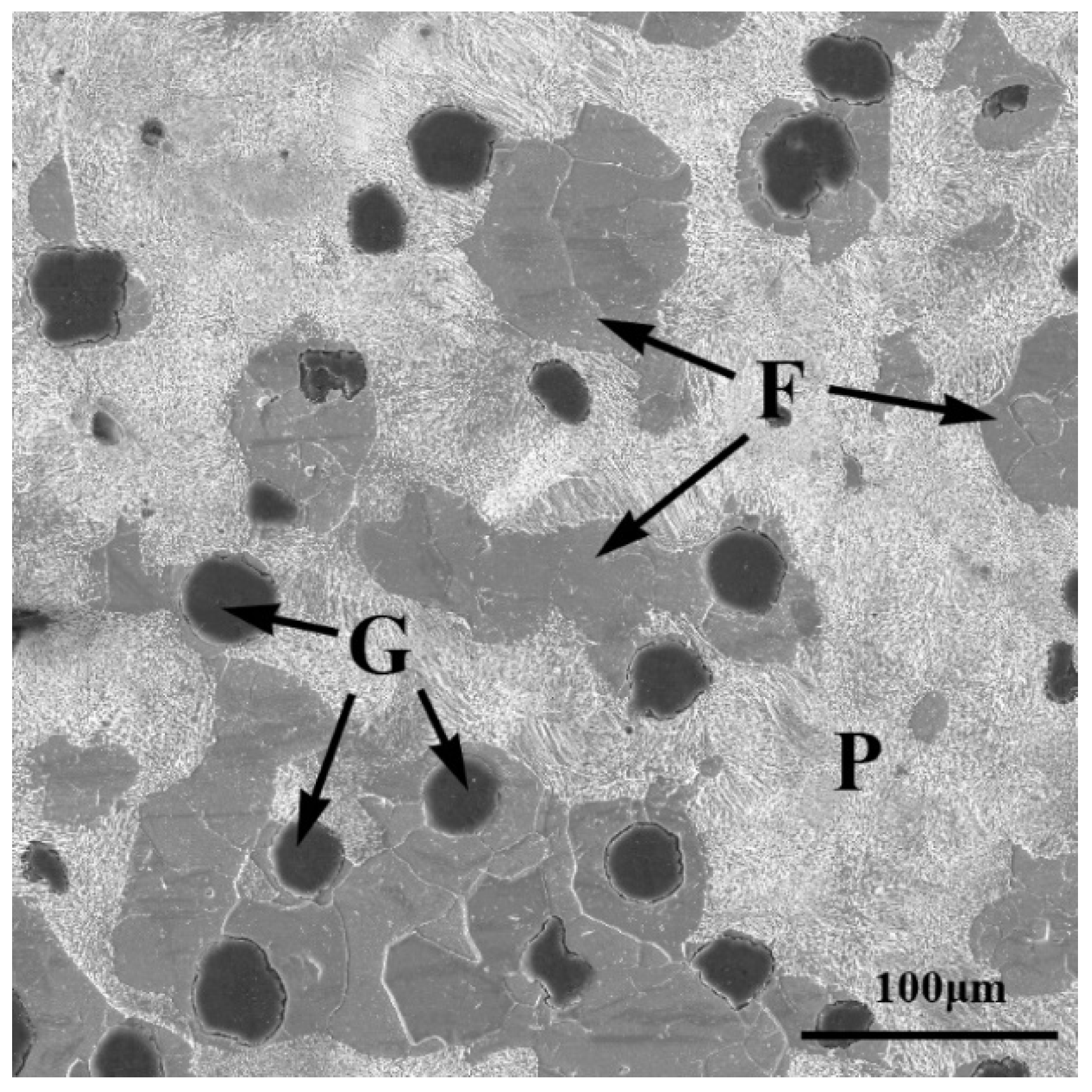
3.1. Microstructure and Sizes of Units
3.2. Tensile Tests with Various Laser Parameters
3.3. Tensile Mechanism
3.4. Thermal Fatigue Tests
3.5. Blocking Mechanisms of Units
3.5.1. Effects of Unit Microstructure
3.5.2. Effects of the Effective Size and Distance of Units
4. Conclusions
- (1)
- The units without defects improved both the thermal fatigue resistance and tensile strength. As the laser energy increased, the depth and microhardness of the units gradually increased, while the grain size gradually decreased. The microhardness and depths of the units reached a maximum at a laser input energy of J/. In addition, the sample treated at this laser energy exhibited the highest tensile force of 40.68 kN, which was 37.11% higher than the unrepaired specimen.
- (2)
- Compared with the substrate, the units without graphite effectively prevented crack propagation. In this experiment, after 2000 thermal fatigue cycles, the crack width of the unrepaired specimen increased by 499.21 μm, while the crack width of the repaired specimen increased between 118.31 and 412.34 μm. The crack width of the sample with a laser energy density of J/ increased by 118.31 μm, which was 23.70% of the unrepaired sample, showing the best crack blocking effect.
- (3)
- A larger effective depth resulted in a better blocking effect of thermal fatigue cracks. The presence of cracks and holes reduced the strength of the unit and weakened its crack arresting effect, which was also affected by the distance between adjacent units. In this experiment, after 2000 thermal fatigue cycles, the increase in the crack width of the unit sample with a spacing of 7 mm was 150.62 μm, while the crack width in the unit sample with a spacing of 3 mm increased by 57.68 μm, which was 61.70% smaller than that of the unrepaired sample. This demonstrates the beneficial effects of reducing the spacing of units on inhibiting thermal fatigue crack propagation.
Author Contributions
Funding
Acknowledgments
Conflicts of Interest
References
- Fragassa, C.; Radovic, N.; Pavlovic, A.; Minak, G. Comparison of mechanical properties in compacted and spheroidal graphite irons. Tribol. Ind. 2016, 38, 49–59. [Google Scholar]
- Šamec, B.; Potrč, I.; Šraml, M. Low cycle fatigue of nodular cast iron used for railway brake discs. Eng. Fail. Anal. 2011, 18, 1424–1434. [Google Scholar] [CrossRef]
- Chen, H. Dynamic failure mechanism and reverse design and preparation of new high-speed brake disc composite materials for high-speed trains above 350 km/h. Acad. Trends 2011, 4, 20–24. [Google Scholar]
- Bagnoli, F.; Dolce, F.; Bernabei, M. Thermal fatigue cracks of fire fighting vehicles gray iron brake discs. Eng. Fail. Anal. 2009, 16, 152–163. [Google Scholar] [CrossRef]
- Li, Z.; Han, J.; Yang, Z.; Pan, L. The effect of braking energy on the fatigue crack propagation in railway brake discs. Eng. Fail. Anal. 2014, 44, 272–284. [Google Scholar] [CrossRef]
- Mazánová, V.; Polák, J. Initiation and growth of short fatigue cracks in austenitic Sanicro 25 steel. Fatigue Fract. Eng. Mater. Struct. 2018, 41, 321–330. [Google Scholar] [CrossRef]
- Goo, B.-C.; Lim, C.-H. Thermal fatigue of cast iron brake disk materials. J. Mech. Sci. Technol. 2012, 26, 1719–1724. [Google Scholar] [CrossRef]
- Yang, F.T. Repair of brake disc of new series winch. Coal Mine Mach. 1989, 8, 14–17. [Google Scholar]
- Li, Y.H.; Li, X.F.; Niu, M.L. Repair of front wheel brake plate of electric wheel dumper. Eng. Mach. Maint. 2012, 2, 146. [Google Scholar]
- Ge, M.Z.; Xiang, J.; Zhen, F. Effect of laser cladding repair on fatigue crack propagation rate of TC4 titanium alloy. Mater. Bull. 2108, 32, 98–103. [Google Scholar]
- Gao, D.K.; Fu, Y.M.; Wang, P. Crack prevention and repair of 3Cr2W8V thermal fatigue crack. China Surf. Eng. 2001, 14, 42–44. [Google Scholar]
- Liu, Y.; Zhou, H.; Yang, C.Y.; Chen, J.Y. Thermal Fatigue Resistance of Bionic Compacted Graphite Cast Iron Treated with the Twice Laser Process in Water. Strength Mater. 2015, 47, 170–176. [Google Scholar] [CrossRef]
- Xin, T.; Hong, Z.; Li, C.; Zhang, Z.-H.; Ren, L. Effects of c content on the thermal fatigue resistance of cast iron with biomimetic non-smooth surface. Int. J. Fatigue 2008, 30, 1125–1133. [Google Scholar] [CrossRef]
- Liang, Y.; Huang, H.; Li, X.; Ren, L. Fabrication and Analysis of the Multi-Coupling Bionic Wear-Resistant Material. J. Bionic Eng. 2010, 7, S24–S29. [Google Scholar] [CrossRef]
- Ren, L.Q.; Liang, Y.H. Biological couplings: Classification and characteristic rules. Sci. China Ser. E Technol. Sci. 2009, 52, 2791–2800. [Google Scholar] [CrossRef]
- Kamat, S.; Su, X.; Ballarini, R.; Heuer, A.H. Structural Basis for the Fracture Toughness of the Shell of the Conch Strombus Gigas. Nature 2000, 405, 1036–1040. [Google Scholar] [CrossRef]
- Ren, L.Q.; Li, X. Functional characteristics of dragonfly wings and progress in bionic research. Sci. China Sci. Technol. 2013, 56, 11–25. [Google Scholar] [CrossRef]
- Chen, Z.; Zhu, Q.; Wang, J.; Yun, X.; He, B.; Luo, J. Behaviors of 40Cr steel treated by laser quenching on impact abrasive wear. Opt. Laser Technol. 2018, 103, 118–125. [Google Scholar] [CrossRef]
- Faisal, T.R.; Abad, E.M.K.; Hristozov, N.; Pasini, D. The Impact of Tissue Morphology, Cross-Section and Turgor Pressure on the Mechanical Properties of the Leaf Petiole in Plants. J. Bionic Eng. 2010, 7, S11–S23. [Google Scholar] [CrossRef]
- Zhou, H.; Tong, X.; Zhang, Z.; Li, X.; Ren, L. The thermal fatigue resistance of cast iron with biomimetic non-smooth surface processed by laser with different parameters. Mater. Sci. Eng. A 2006, 428, 141–147. [Google Scholar] [CrossRef]
- Chang, G.; Zhou, T.; Zhou, H.; Zhang, P.; Ma, S.; Zhi, B.; Wang, S. Effect of Composition on the Mechanical Properties and Wear Resistance of Low and Medium Carbon Steels with a Biomimetic Non-Smooth Surface Processed by Laser Remelting. Metals 2020, 10, 37. [Google Scholar] [CrossRef]
- Wang, Y.; Huang, G.; Su, Y.; Zhang, M.; Tong, Z.; Cui, C. Numerical Analysis of the Effects of Pulsed Laser Spot Heating Parameters on Brazing of Diamond Tools. Metals 2019, 9, 612. [Google Scholar] [CrossRef]
- Lu, H.; Liu, M.; Yu, D.; Zhou, T.; Zhou, H.; Zhang, P.; Bo, H.; Su, W.; Zhang, Z.; Bao, H. Effects of Different Graphite Types on the Thermal Fatigue Behavior of Bionic Laser-Processed Gray Cast Iron. Metall. Mater. Trans. A 2018, 49, 5848–5857. [Google Scholar] [CrossRef]
- Babenko, A.A.; Zhuchkov, V.I.; Selmenskih, N.I. Effect of Boron on the Microstructure and Mechanical Properties of Low-Carbon Tube Steel. Mater. Sci. Forum 2019, 946, 374–379. [Google Scholar] [CrossRef]
- Yuan, Y.; Zhang, P.; Zhao, G.; Gao, Y.; Tao, L.; Chen, H.; Zhang, J.; Zhou, H. Effects of Laser Energies on Wear and Tensile Properties of Biomimetic 7075 Aluminum Alloy. J. Mater. Eng. Perform. 2018, 27, 1361–1368. [Google Scholar] [CrossRef]
- Aqida, S.N.; Brabazon, D.; Naher, S. An investigation of phase transformation and crystallinity in laser surface modified H13 steel. Appl. Phys. A Mater. Sci. Process. 2013, 110, 673–678. [Google Scholar] [CrossRef]
- Busisiwe, J.M.; Ntombizodwa, R.M.; Tshabalala, L.C.; Popoola, P.A.I. The Effect of Stress Relief on the Mechanical and Fatigue Properties of Additively Manufactured AlSi10Mg Parts. Metals 2019, 9, 1216. [Google Scholar]
- Pan, S.; Gang, Y.; Li, S. Experimental and numerical study of crack damage under variable amplitude thermal fatigue for compacted graphite iron EN-GJV-450. Int. J. Fatigue 2018, 113, 184–192. [Google Scholar] [CrossRef]

















| Element | C | Si | Mn | P | S | Mg | Fe |
|---|---|---|---|---|---|---|---|
| Composition (wt%) | 3.65 | 2.42 | 0.60 | 0.05 | 0.02 | 0.05 | Bal. |
| Sample | Electric Current (A) | Pulse Duration (ms) | Frequency (Hz) | Laser Spot Diameter (mm) | Laser Energy Density (J/mm2) | Laser Power (W) |
|---|---|---|---|---|---|---|
| NO. 1 | 95 | 8 | 10 | 1 | 80.4 | 212.8 |
| NO. 2 | 110 | 8 | 10 | 1 | 96.3 | 246.4 |
| NO. 3 | 125 | 8 | 10 | 1 | 116.4 | 280.0 |
| NO. 4 | 140 | 8 | 10 | 1 | 144.8 | 313.6 |
| NO. 5 | 155 | 8 | 10 | 1 | 165.5 | 347.2 |
| Sample | No. 1 | No. 2 | No. 3 | No. 4 | No. 5 | Untreated Sample |
|---|---|---|---|---|---|---|
| Depth (mm) | 0.11 | 0.25 | 0.37 | 0.44 | 0.59 | - |
| Width (mm) | 0.69 | 0.75 | 0.89 | 0.95 | 1.03 | - |
| Microhardness (HV0.2) | 501 | 545 | 581 | 637 | 680 | 298 |
© 2020 by the authors. Licensee MDPI, Basel, Switzerland. This article is an open access article distributed under the terms and conditions of the Creative Commons Attribution (CC BY) license (http://creativecommons.org/licenses/by/4.0/).
Share and Cite
Ma, S.; Zhou, T.; Zhou, H.; Chang, G.; Zhi, B.; Wang, S. Bionic Repair of Thermal Fatigue Cracks in Ductile Iron by Laser Melting with Different Laser Parameters. Metals 2020, 10, 101. https://doi.org/10.3390/met10010101
Ma S, Zhou T, Zhou H, Chang G, Zhi B, Wang S. Bionic Repair of Thermal Fatigue Cracks in Ductile Iron by Laser Melting with Different Laser Parameters. Metals. 2020; 10(1):101. https://doi.org/10.3390/met10010101
Chicago/Turabian StyleMa, Siyuan, Ti Zhou, Hong Zhou, Geng Chang, Benfeng Zhi, and Siyang Wang. 2020. "Bionic Repair of Thermal Fatigue Cracks in Ductile Iron by Laser Melting with Different Laser Parameters" Metals 10, no. 1: 101. https://doi.org/10.3390/met10010101
APA StyleMa, S., Zhou, T., Zhou, H., Chang, G., Zhi, B., & Wang, S. (2020). Bionic Repair of Thermal Fatigue Cracks in Ductile Iron by Laser Melting with Different Laser Parameters. Metals, 10(1), 101. https://doi.org/10.3390/met10010101
