Integrating Intestinal Ultrasound in the Personalized Management of IBD
Abstract
1. Introduction
1.1. Evolution of Personalized Medicine in IBD
1.2. Role of Non-Invasive Monitoring Tools
1.3. Growing Evidence
2. Core Principles and Methodological Framework of IUS in IBD
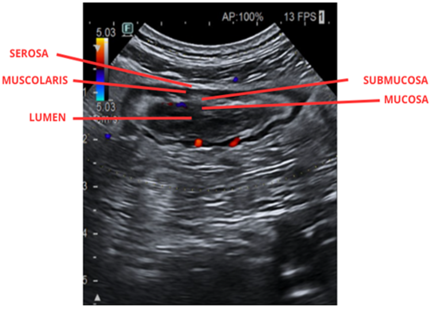
2.1. Technical Aspects
2.2. IUS Parameters and Score
2.3. Feasibility
3. Positioning IUS Among Imaging Modalities in IBD
3.1. Comparison with Other Imaging Modalities (MRI, CT, Endoscopy)
3.1.1. Inflammatory Bowel Disease: Role of Endoscopy and Cross-Sectional Imaging
3.1.2. Crohn’s Disease
3.1.3. Ulcerative Colitis
3.2. Safety, Repeatability, and Patient Acceptability
4. Personalized IBD Management Through IUS-Guided Strategies
4.1. IUS-Guided Treatment Optimization (Tight Control, Treat-to-Target)
4.2. Early Response Assessment and Prediction of Outcomes
4.3. IUS in Assessing Mucosal Healing and Transmural Healing
5. Challenges and Strategies for Reliable IUS Practice
5.1. Operator Dependence (Is It True)?
5.2. Standardization and Reproducibility
5.3. Economic and Logistical Considerations
6. Innovations and Future Perspectives in Intestinal Ultrasound
6.1. Artificial Intelligence in IUS
6.2. CEUS, SICUS and Elastography
6.3. Remote Monitoring and Tele-Ultrasound
7. Conclusions
Author Contributions
Funding
Institutional Review Board Statement
Informed Consent Statement
Data Availability Statement
Conflicts of Interest
Abbreviations
| IBD | Inflammatory bowel disease |
| UC | Ulcerative colitis |
| CD | Crohn’s disease |
| CDAI | Crohn’s disease Activity Index |
| HBI | Harvey–Bradshaw Index |
| CRP | C-reactive protein |
| FC | Fecal calprotectin |
| IUS | Intestinal ultrasound |
| iFAT | Inflammatory mesenteric fat |
| BWT | Bowel wall thickness |
| SMI | Superb Microvascular Imaging |
| TPUS | Transperineal ultrasound |
| BWS | Bowel wall stratification |
| MUC | Milan Ultrasound Criteria |
| CDS | Color Doppler signal |
| EFSUMB | European Federation of Societies for Ultrasound in Medicine and Biology |
| SICUS | Small intestine contrast ultrasonography |
| CEUS | Contrast-enhanced ultrasound |
| IBUS-SAS | International Bowel Ultrasound Segmental Activity Score |
| CTE | Computed tomography-enterography |
| MRE | Magnetic resonance-enterography |
| HHUS | Handheld ultrasound |
| SES-CD | Simple endoscopic score for Crohn’s disease |
| ASUC | Acute severe ulcerative colitis |
| POC | Point-of-care |
| T2T | Treat-to-target |
| IOIBD | International Organization for the Study of Inflammatory Bowel Disease |
| POCUS | Point-of-care ultrasound |
| BUSS | Bowel Ultrasound score |
| RAIUS | Rapid-access intestinal ultrasound |
| CBUS | Cart-based ultrasound |
| CNNs | Convolutional Neural Networks |
| RNNs | Recurrent Neural Networks |
| SB-CD | Small-bowel Crohn’s disease |
| DCE-US | Dynamic contrast-enhanced ultrasound |
| ARFI | Acoustic radiation force impulse |
| SWE | Shear wave elastography |
| SE | Strain elastography |
References
- Ashton, J.J.; Mossotto, E.; Ennis, S.; Beattie, R.M. Personalising medicine in inflammatory bowel disease-current and future perspectives. Transl. Pediatr. 2019, 8, 56–69. [Google Scholar] [CrossRef] [PubMed] [PubMed Central]
- Calderón, P.; Núñez, P.; Nos, P.; Quera, R. Personalised therapy in inflammatory bowel disease. Gastroenterol. Hepatol. 2024, 47, 763–770. [Google Scholar] [CrossRef] [PubMed]
- Turner, D.; Ricciuto, A.; Lewis, A.; D’amico, F.; Dhaliwal, J.; Griffiths, A.M.; Bettenworth, D.; Sandborn, W.J.; Sands, B.E.; Reinisch, W.; et al. STRIDE-II: An Update on the Selecting Therapeutic Targets in Inflammatory Bowel Disease (STRIDE) Initiative of the International Organization for the Study of IBD (IOIBD): Determining Therapeutic Goals for Treat-to-Target strategies in IBD. Gastroenterology 2021, 160, 1570–1583. [Google Scholar] [CrossRef] [PubMed]
- D’Haens, G.R. Top-down therapy for IBD: Rationale and requisite evidence. Nat. Rev. Gastroenterol. Hepatol. 2010, 7, 86–92. [Google Scholar] [CrossRef] [PubMed]
- Noor, N.M.; Verstockt, B.; Parkes, M.; Lee, J.C. Personalised medicine in Crohn’s disease. Lancet Gastroenterol. Hepatol. 2020, 5, 80–92. [Google Scholar] [CrossRef] [PubMed]
- Hewitt, R.J.; Francis, M.; Singanayagam, A.; Kon, O.M. Screening tests for tuberculosis before starting biological therapy. BMJ 2015, 350, h1060. [Google Scholar] [CrossRef]
- Coelho, T.; Andreoletti, G.; Ashton, J.J.; Batra, A.; Afzal, N.A.; Gao, Y.; Williams, A.P.; Beattie, R.M.; Ennis, S. Genes implicated in thiopurine-induced toxicity: Comparing TPMT enzyme activity with clinical phenotype and exome data in a paediatric IBD cohort. Sci. Rep. 2016, 6, 34658. [Google Scholar] [CrossRef]
- Hendy, P.; Hart, A.; Irving, P. Anti-TNF drug and antidrug antibody level monitoring in IBD: A practical guide. Frontline Gastroenterol. 2016, 7, 122–128. [Google Scholar] [CrossRef]
- Sazonovs, A.; Kennedy, N.; Moutsianas, L.; Heap, G.A.; Rice, D.L.; Reppell, M.; Bewshea, C.M.; Chanchlani, N.; Walker, G.J.; Perry, M.H.; et al. HLA-DQA1*05 Carriage Associated with Development of Anti-Drug Antibodies to Infliximab and Adalimumab in Patients with Crohn’s Disease. Gastroenterology 2020, 158, 189–199. [Google Scholar] [CrossRef] [PubMed]
- Kayal, M.; Ungaro, R.C.; Bader, G.; Colombel, J.F.; Sandborn, W.J.; Stalgis, C. Net Remission Rates with Biologic Treatment in Crohn’s Disease: A Reappraisal of the Clinical Trial Data. Clin. Gastroenterol. Hepatol. 2023, 21, 1348–1350. [Google Scholar] [CrossRef] [PubMed]
- Turkay, C.; Kasapoglu, B. Noninvasive methods in evaluation of inflammatory bowel disease: Where do we stand now? An update. Clinics 2010, 65, 221–231. [Google Scholar] [CrossRef] [PubMed] [PubMed Central][Green Version]
- Best, W.R.; Becktel, J.M.; Singleton, J.W.; Kern, F., Jr. Development of a Crohn’s disease activity index: National Cooperative Crohn’s Disease Study. Gastroenterology 1976, 70, 439–444. [Google Scholar] [CrossRef]
- Thia, K.; Faubion, W.A., Jr.; Loftus, E.V., Jr.; Persson, T.; Persson, A.; Sandborn, W.J. Short CDAI: Development and validation of a shortened and simplified Crohn’s disease activity index. Inflamm. Bowel Dis. 2011, 17, 105–111. [Google Scholar] [CrossRef] [PubMed]
- Harvey, R.F.; Bradshaw, J.M. A simple index of Crohn’s-disease activity. Lancet 1980, 1, 514. [Google Scholar] [CrossRef] [PubMed]
- Khanna, R.; Son, S.; Zou, G.; Roshanov, P.S. Estimation of the Harvey Bradshaw Index from the Patient-Reported Outcome 2 in Crohn’s Disease: Results Based on a Large Scale Randomized Controlled Trial. Inflamm. Bowel Dis. 2025, 31, 2097–2105, Erratum in Inflamm. Bowel Dis. 2025, 31, 2329. https://doi.org/10.1093/ibd/izaf014. [Google Scholar] [CrossRef] [PubMed] [PubMed Central]
- Rutgeerts, P.; Sandborn, W.J.; Feagan, B.G.; Reinisch, W.; Olson, A.; Johanns, J.; Travers, S.; Rachmilewitz, D.; Hanauer, S.B.; Lichtenstein, G.R.; et al. Infliximab for induction and maintenance therapy for ulcerative colitis. N. Engl. J. Med. 2005, 353, 2462–2476. [Google Scholar] [CrossRef]
- Schroeder, K.W.; Tremaine, W.J.; Ilstrup, D.M. Coated oral 5-aminosalcylic acid therapy for mildly to moderately active ulcerative colitis. N. Eng. J. Med. 1987, 317, 1625–1629. [Google Scholar] [CrossRef]
- Al-Ani, A.H.; Vaughan, R.; Christensen, B.; Bryant, R.V.; Novak, K.L. Treat to transmural healing: How to incorporate intestinal ultrasound into the treatment of inflammatory bowel disease. Br. J. Radiol. 2022, 95, 20211174. [Google Scholar] [CrossRef] [PubMed] [PubMed Central]
- Sachar, D.B. Biomarkers Task Force of the IOIBD Role of biomarkers in the study and management of inflammatory bowel disease: A “nonsystematic” review. Inflamm. Bowel Dis. 2014, 20, 2511–2518. [Google Scholar] [CrossRef]
- Vigushin, D.M.; Pepys, M.B.; Hawkins, P.N. Metabolic and scintigraphic studies of radioiodinated human C-reactive protein in health and disease. J. Clin. Investig. 1993, 91, 1351–1357. [Google Scholar] [CrossRef]
- Mosli, M.H.; Zou, G.; Garg, S.K.; Feagan, S.G.; MacDonald, J.K.; Chande, N.; Sandborn, W.J.; Feagan, B.G. C-Reactive protein, fecal calprotectin, and stool lactoferrin for detection of endoscopic activity in symptomatic inflammatory bowel disease patients: A systematic review and meta-analysis. Off. J. Am. Coll. Gastroenterol.|ACG 2015, 110, 802–819. [Google Scholar] [CrossRef] [PubMed]
- Maaser, C.; Sturm, A.; Vavricka, S.R.; Kucharzik, T.; Fiorino, G.; Annese, V.; Calabrese, E.; Baumgart, D.C.; Bettenworth, D.; Borralho Nunes, P.; et al. ECCO-ESGAR Guideline for Diagnostic Assessment in IBD Part 1: Initial diagnosis, monitoring of known IBD, detection of complications. J. Crohn’s Colitis 2019, 13, 144–164. [Google Scholar] [CrossRef] [PubMed]
- Røseth, A.G.; Schmidt, P.N.; Fagerhol, M.K. Correlation between Faecal Excretion of Indium-111-Labelled Granulocytes and Calprotectin, a Granulocyte Marker Protein, in Patients with Inflammatory Bowel Disease. Scand. J. Gastroenterol. 1999, 34, 50–54. [Google Scholar] [CrossRef] [PubMed]
- Kostas, A.; Siakavellas, S.I.; Kosmidis, C.; Takou, A.; Nikou, J.; Maropoulos, G.; Vlachogiannakos, J.; Papatheodoridis, G.V.; Papaconstantinou, I.; Bamias, G. Fecal calprotectin measurement is a marker of short-term clinical outcome and presence of mucosal healing in patients with inflammatory bowel disease. World J. Gastroenterol. 2017, 23, 7387–7396. [Google Scholar] [CrossRef]
- Tomašić, V.; Bišćanin, A.; Kralj, D.; Ćaćić, P.; Ogresta, D. Non-Invasive Methods of Diagnosis and Management of Patients with Ulcerative Colitis; IntechOpen: London, UK, 2024. [Google Scholar] [CrossRef]
- Bryant, R.V.; Friedman, A.B.; Wright, E.K.; Taylor, K.M.; Begun, J.; Maconi, G.; Maaser, C.; Novak, K.L.; Kucharzik, T.; Atkinson, N.S.S.; et al. Gastrointestinal ultrasound in inflammatory bowel disease: An underused resource with potential paradigm-changing application. Gut 2018, 67, 973–985. [Google Scholar] [CrossRef]
- Dolinger, M.T.; Kayal, M. Intestinal ultrasound as a non-invasive tool to monitor inflammatory bowel disease activity and guide clinical decision making. World J. Gastroenterol. 2023, 29, 2272–2282. [Google Scholar] [CrossRef] [PubMed] [PubMed Central]
- Parra-Izquierdo, V.; De Avila, J.; Gómez, O.; Barrero, N.; Duarte, M.; Romero-Sánchez, C. Non-Invasive vs. Invasive Markers in Ulcerative Colitis: A Systematic Review of Intestinal Ultrasound, Biopsy, and Faecal Calprotectin. Int. J. Mol. Sci. 2025, 26, 8129. [Google Scholar] [CrossRef]
- Massironi, S.; Zilli, A.; Furfaro, F.; Allocca, M.; Peyrin-Biroulet, L.; Jairath, V.; Danese, S. Systematic Review: Ultrasound Goes Echo-Decarbonising Inflammatory Bowel Disease Care Through Intestinal Ultrasound. Aliment. Pharmacol. Ther. 2025, 62, 966–982. [Google Scholar] [CrossRef] [PubMed] [PubMed Central]
- Frederick-Dyer, K.; Thiel, C.L.; Leschied, J.R.; Struk, O.; Vigil-Garcia, M.; Meijer, C.; Gehrels, J.; Omary, R.A.; Scheel, J.R.; Carver, D.E. Harmonizing Diagnostic Ultrasound Practice with Environmental Sustainability: A Life Cycle Assessment of Diagnostic Ultrasound in a Single Adult University Hospital. J. Am. Coll. Radiol. 2025; in press. [CrossRef] [PubMed]
- Calabrese, E.; Kucharzik, T.; Maaser, C.; Maconi, G.; Strobel, D.; Wilson, S.R.; Zorzi, F.; Novak, K.L.; Bruining, D.H.; Iacucci, M.; et al. Real-time Interobserver Agreement in Bowel Ultrasonography for Diagnostic Assessment in Patients with Crohn’s Disease: An International Multicenter Study. Inflamm. Bowel Dis. 2018, 24, 2001–2006. [Google Scholar] [CrossRef] [PubMed]
- Hoffmann, J.C.; Ungewitter, T. Role of Intestinal Ultrasound for IBD Care: A Practical Approach. Diagnostics 2024, 14, 1639. [Google Scholar] [CrossRef] [PubMed] [PubMed Central]
- Rimola, J.; Torres, J.; Kumar, S.; Taylor, S.A.; Kucharzik, T. Recent advances in clinical practice: Advances in cross-sectional imaging in inflammatory bowel disease. Gut 2022, 71, 2587–2597. [Google Scholar] [CrossRef] [PubMed] [PubMed Central]
- Allocca, M.; Dal Buono, A.; D’Alessio, S.; Spaggiari, P.; Garlatti, V.; Spinelli, A.; Faita, F.; Danese, S. Relationships Between Intestinal Ultrasound Parameters and Histopathologic Findings in a Prospective Cohort of Patients with Crohn’s Disease Undergoing Surgery. J. Ultrasound Med. 2023, 42, 1717–1728. [Google Scholar] [CrossRef] [PubMed]
- Ripollés, T.; Martínez-Pérez, M.J.; Paredes, J.M.; Vizuete, J.; García-Martínez, E.; Jiménez-Restrepo, D.H. Contrast-enhanced ultrasound in the differentiation between phlegmon and abscess in Crohn’s disease and other abdominal conditions. Eur. J. Radiol. 2013, 82, e525–e531. [Google Scholar] [CrossRef] [PubMed]
- Dal Buono, A.; Faita, F.; Peyrin-Biroulet, L.; Danese, S.; Allocca, M. Ultrasound Elastography in Inflammatory Bowel Diseases: A Systematic Review of Accuracy Compared with Histopathological Assessment. J. Crohns Colitis 2022, 16, 1637–1646. [Google Scholar] [CrossRef] [PubMed] [PubMed Central]
- Kucharzik, T.; Ellul, P.; Greuter, T.; Rahier, J.F.; Verstockt, B.; Abreu, C.; Albuquerque, A.; Allocca, M.; Esteve, M.; Farraye, F.A.; et al. ECCO Guidelines on the Prevention, Diagnosis, and Management of Infections in Inflammatory Bowel Disease. J. Crohn’s Colitis 2021, 15, 879–913. [Google Scholar] [CrossRef]
- Allocca, M.; Craviotto, V.; Bonovas, S.; Furfaro, F.; Zilli, A.; Peyrin-Biroulet, L.; Fiorino, G.; Danese, S. Predictive Value of Bowel Ultrasound in Crohn’s Disease: A 12-Month Prospective Study. Clin. Gastroenterol. Hepatol. 2022, 20, e723–e740. [Google Scholar] [CrossRef]
- Maaser, C.; Petersen, F.; Helwig, U.; Fischer, I.; Roessler, A.; Rath, S.; Lang, D.; Kucharzik, T.; German IBD Study Group and the TRUST&UC study group. Intestinal ultrasound for monitoring therapeutic response in patients with ulcerative colitis: Results from the TRUST&UC study. Gut 2020, 69, 1629–1636. [Google Scholar] [CrossRef] [PubMed] [PubMed Central]
- Ilvemark, J.F.K.F.; Hansen, T.; Goodsall, T.M.; Seidelin, J.B.; Farhan, H.A.; Allocca, M.; Begun, J.; Bryant, R.V.; Carter, D.; Christensen, B.; et al. Defining Transabdominal Intestinal Ultrasound Treatment Response and Remission in Inflammatory Bowel Disease: Systematic Review and Expert Consensus Statement. J. Crohn’s Colitis 2022, 16, 554–580. [Google Scholar] [CrossRef]
- Allocca, M.; Kucharzik, T.; Rubin, D.T. Intestinal Ultrasound in the Assessment and Management of Inflammatory Bowel Disease: Is It Ready for Standard Practice? Gastroenterology 2023, 164, 851–855. [Google Scholar] [CrossRef] [PubMed]
- Atkinson, N.S.S.; Bryant, R.V.; Dong, Y.; Maaser, C.; Kucharzik, T.; Maconi, G.; Asthana, A.K.; Blaivas, M.; Goudie, A.; Gilja, O.H.; et al. How to perform gastrointestinal ultrasound: Anatomy and normal findings. World J. Gastroenterol. 2017, 23, 6931–6941. [Google Scholar] [CrossRef] [PubMed] [PubMed Central]
- Hölscher, M.; Gräf, C.; Stickelmann, A.L.; Stickeler, E.; Najjari, L. Perianal ultrasound (PAUS): Visualization of sphincter muscles and comparison with digital-rectal examination (DRE) in females. BMC Women’s Health 2021, 21, 247. [Google Scholar] [CrossRef] [PubMed] [PubMed Central]
- Sagami, S.; Kobayashi, T.; Aihara, K.; Umeda, M.; Morikubo, H.; Matsubayashi, M.; Kiyohara, H.; Nakano, M.; Ohbu, M.; Hibi, T. Transperineal ultrasound predicts endoscopic and histological healing in ulcerative colitis. Aliment. Pharmacol. Ther. 2020, 51, 1373–1383. [Google Scholar] [CrossRef] [PubMed]
- Kucharzik, T.; Kannengiesser, K.; Petersen, F. The use of ultrasound in inflammatory bowel disease. Ann. Gastroenterol. 2017, 30, 135–144. [Google Scholar] [CrossRef] [PubMed] [PubMed Central]
- Maconi, G.; Nylund, K.; Ripolles, T.; Calabrese, E.; Dirks, K.; Dietrich, C.F.; Hollerweger, A.; Sporea, I.; Saftoiu, A.; Maaser, C.; et al. EFSUMB Recommendations and Clinical Guidelines for Intestinal Ultrasound (GIUS) in Inflammatory Bowel Diseases. Ultraschall Med. Eur. J. Ultrasound 2018, 39, 304–317. [Google Scholar] [CrossRef] [PubMed]
- Limberg, B. Diagnosis of chronic inflammatory bowel disease by ultrasonography. Z. Gastroenterol. 1999, 37, 495–508. [Google Scholar]
- Jauregui-Amezaga, A.; Rimola, J. Role of Intestinal Ultrasound in the Management of Patients with Inflammatory Bowel Disease. Life 2021, 11, 603. [Google Scholar] [CrossRef]
- Maconi, G.; Di Sabatino, A.; Ardizzone, S.; Greco, S.; Colombo, E.; Russo, A.; Cassinotti, A.; Casini, V.; Corazza, G.R.; Bianchi Porro, G. Prevalence and clinical significance of sonographic detection of enlarged regional lymph nodes in Crohn’s disease. Scand. J. Gastroenterol. 2005, 40, 1328–1333. [Google Scholar]
- Lin, W.-C.; Chang, C.-W.; Chen, M.-J.; Wang, H.-Y. Intestinal Ultrasound in Inflammatory Bowel Disease: A Novel and Increasingly Important Tool. J. Med. Ultrasound 2023, 31, 86–91. [Google Scholar] [CrossRef]
- Novak, K.L.; Nylund, K.; Maaser, C.; Petersen, F.; Kucharzik, T.; Lu, C.; Allocca, M.; Maconi, G.; de Voogd, F.; Christensen, B.; et al. Expert Consensus on Optimal Acquisition and Development of the International Bowel Ultrasound Segmental Activity Score [IBUS-SAS]: A Reliability and Inter-rater Variability Study on Intestinal Ultrasonography in Crohn’s Disease. J. Crohn’s Colitis 2020, 15, 609–616. [Google Scholar] [CrossRef]
- Long, X.; Peng, C.; Zhang, X.; Kong, W.; Gong, L. Different imaging techniques’ diagnostic efficacy for Crohn’s disease activity and external validation and comparison of MDCTAs, SES-CD and IBUSSAS. BMC Gastroenterol. 2024, 24, 277. [Google Scholar] [CrossRef]
- Allocca, M.; Craviotto, V.; Dell’Avalle, C.; Furfaro, F.; Zilli, A.; D’Amico, F.; Bonovas, S.; Peyrin-Biroulet, L.; Fiorino, G.; Danese, S. Bowel ultrasound score is accurate in assessing response to therapy in patients with Crohn’s disease. Aliment. Pharmacol. Ther. 2021, 55, 446–454. [Google Scholar] [CrossRef] [PubMed]
- Allocca, M.; Dell’aValle, C.; Craviotto, V.; Furfaro, F.; Zilli, A.; D’aMico, F.; Bonovas, S.; Peyrin-Biroulet, L.; Fiorino, G.; Danese, S. Predictive value of Milan ultrasound criteria in ulcerative colitis: A prospective observational cohort study. United Eur. Gastroenterol. J. 2022, 10, 190–197. [Google Scholar] [CrossRef] [PubMed]
- Civitelli, F.; Di Nardo, G.; Oliva, S.; Nuti, F.; Ferrari, F.; Dilillo, A.; Viola, F.; Pallotta, N.; Cucchiara, S.; Aloi, M. Ultrasonography of the Colon in Pediatric Ulcerative Colitis: A Prospective, Blind, Comparative Study with Colonoscopy. J. Pediatr. 2014, 165, 78–84.e2. [Google Scholar] [CrossRef]
- Calabrese, E.; Maaser, C.; Zorzi, F.; Kannengiesser, K.; Hanauer, S.B.; Bruining, D.H.; Iacucci, M.; Maconi, G.; Novak, K.L.; Panaccione, R.; et al. Bowel Ultrasonography in the Management of Crohn’s Disease. A Review with Recommendations of an International Panel of Experts. Inflamm. Bowel Dis. 2016, 22, 1168–1183. [Google Scholar] [CrossRef]
- Sævik, F.; Eriksen, R.; Eide, G.E.; Gilja, O.H.; Nylund, K. Development and Validation of a Simple Ultrasound Activity Score for Crohn’s Disease. J. Crohn’s Colitis 2020, 15, 115–124. [Google Scholar] [CrossRef]
- Pruijt, M.J.; A E de Voogd, F.; Montazeri, N.S.M.; van Etten-Jamaludin, F.S.; D’haens, G.R.; Gecse, K.B. Diagnostic Accuracy of Intestinal Ultrasound in the Detection of Intra-Abdominal Complications in Crohn’s Disease: A Systematic Review and Meta-Analysis. J. Crohn’s Colitis 2024, 18, 958–972. [Google Scholar] [CrossRef]
- Nylund, K.; Maconi, G.; Hollerweger, A.; Ripolles, T.; Pallotta, N.; Higginson, A.; Serra, C.; Dietrich, C.F.; Sporea, I.; Saftoiu, A.; et al. EFSUMB Recommendations and Guidelines for Gastrointestinal Ultrasound—Part 1: Examination Techniques and Normal Findings (Long version). Ultraschall Med.-Eur. J. Ultrasound 2017, 38, e1–e15. [Google Scholar] [CrossRef]
- Heldwein, W.; Sommerlatte, T.H.; Lehnert, P.; Littig, G.; Müller-Lissner, S.; Hasford, J. Evaluation of the usefulness of dimethicone and/or senna extract in improving the visualization of abdominal organs. J. Clin. Ultrasound 1987, 15, 455–458. [Google Scholar] [CrossRef]
- van der Woude, C.; Ardizzone, S.; Bengtson, M.; Fiorino, G.; Fraser, G.; Katsanos, K.; Kolacek, S.; Juillerat, P.; Mulders, A.; Pedersen, N.; et al. The second European evidenced-based consensus on reproduction and pregnancy in inflammatory bowel disease. J. Crohn’s Colitis 2015, 9, 107–124. [Google Scholar] [CrossRef]
- De Voogd, F.; Joshi, H.; Van Wassenaer, E.; Bots, S.; D’Haens, G.; Gecse, K. Intestinal Ultrasound to Evaluate Treatment Response During Pregnancy in Patients with Inflammatory Bowel Disease. Inflamm. Bowel Dis. 2022, 28, 1045–1052. [Google Scholar] [CrossRef] [PubMed] [PubMed Central]
- Rispo, A.; Imperatore, N.; Testa, A.; Nardone, O.M.; Luglio, G.; Caporaso, N.; Castiglione, F. Diagnostic Accuracy of Ultrasonography in the Detection of Postsurgical Recurrence in Crohn’s Disease: A Systematic Review with Meta-analysis. Inflamm. Bowel Dis. 2018, 24, 977–988. [Google Scholar] [CrossRef] [PubMed]
- Furfaro, F.; D’Amico, F.; Zilli, A.; Craviotto, V.; Aratari, A.; Bezzio, C.; Spinelli, A.; Gilardi, D.; Radice, S.; Saibeni, S.; et al. Noninvasive Assessment of Postoperative Disease Recurrence in Crohn’s Disease: A Multicenter, Prospective Cohort Study on Behalf of the Italian Group for Inflammatory Bowel Disease. Clin. Gastroenterol. Hepatol. 2023, 21, 3143–3151. [Google Scholar] [CrossRef] [PubMed]
- Hudson, A.S.; Isaac, D.M.; Ma, H.; Lo, C.; Kim, J.; Kuc, A.; Novak, K.L.; Carroll, M.W.; Wine, E.; Huynh, H.Q. Four intestinal ultrasound scores and bowel wall thickness alone correlated well with pediatric ulcerative colitis disease activity. J. Pediatr. Gastroenterol. Nutr. 2024, 79, 1000–1008. [Google Scholar] [CrossRef] [PubMed]
- Wang, L.; Zhang, Y.; Wu, H.; Tang, Z.; Wang, Y.; Huang, Y. Intestinal ultrasound score predicts therapeutic outcomes of infliximab in pediatric patients with Crohn’s disease. Scand. J. Gastroenterol. 2023, 59, 156–163. [Google Scholar] [CrossRef]
- Castiglione, F.; Imperatore, N.; Testa, A.; De Palma, G.D.; Nardone, O.M.; Pellegrini, L.; Caporaso, N.; Rispo, A. One-year clinical outcomes with biologics in Crohn’s disease: Transmural healing compared with mucosal or no healing. Aliment. Pharmacol. Ther. 2019, 49, 1026–1039. [Google Scholar] [CrossRef]
- Rimola, J.; Alfaro, I.; Fernández-Clotet, A.; Castro-Poceiro, J.; Vas, D.; Rodríguez, S.; Masamunt, M.C.; Ordás, I.; Ricart, E.; Panés, J. Persistent damage on magnetic resonance enterography in patients with Crohn’s disease in endoscopic remission. Aliment. Pharmacol. Ther. 2018, 48, 1232–1241. [Google Scholar] [CrossRef] [PubMed]
- Taylor, S.A.; Mallett, S.; Bhatnagar, G.; Baldwin-Cleland, R.; Bloom, S.; Gupta, A.; Hamlin, P.J.; Hart, A.L.; Higginson, A.; Jacobs, I.; et al. Diagnostic accuracy of magnetic resonance enterography and small bowel ultrasound for the extent and activity of newly diagnosed and relapsed Crohn’s disease (METRIC): A multicentre trial. Lancet Gastroenterol. Hepatol. 2018, 3, 548–558. [Google Scholar] [CrossRef]
- Panés, J.; Bouzas, R.; Chaparro, M.; García-Sánchez, V.; Gisbert, J.P.; de Guereñu, B.M.; Mendoza, J.L.; Paredes, J.M.; Quiroga, S.; Ripollés, T.; et al. Systematic review: The use of ultrasonography, computed tomography and magnetic resonance imaging for the diagnosis, assessment of activity and abdominal complications of Crohn’s disease. Aliment. Pharmacol. Ther. 2011, 34, 125–145. [Google Scholar] [CrossRef]
- Rispo, A.; de Sire, R.; Mainenti, P.P.; Imperatore, N.; Testa, A.; Maurea, S.; Ricciolino, S.; Nardone, O.M.; Olmo, O.; Castiglione, F. David Against Goliath: Direct Comparison of Handheld Bowel Sonography and Magnetic Resonance Enterography for Diagnosis of Crohn’s Disease. Inflamm. Bowel Dis. 2023, 29, 563–569. [Google Scholar] [CrossRef] [PubMed]
- Lovett, G.C.; Schulberg, J.D.; Hamilton, A.L.; Wilding, H.E.; Kamm, M.A.; Wright, E.K. Intestinal Ultrasound and MRI for Monitoring Therapeutic Response in Luminal Crohn’s Disease: A Systematic Review. J. Am. Coll. Radiol. 2024, 21, 441–463. [Google Scholar] [CrossRef] [PubMed]
- Castiglione, F.; Mainenti, P.P.; De Palma, G.D.; Testa, A.; Bucci, L.; Pesce, G.; Camera, L.; Diaferia, M.; Rea, M.; Caporaso, N.; et al. Noninvasive diagnosis of small bowel Crohn’s disease: Direct comparison of bowel sonography and magnetic resonance enterography. Inflamm. Bowel Dis. 2013, 19, 991–998. [Google Scholar] [CrossRef] [PubMed]
- Allocca, M.; Fiorino, G.; Bonifacio, C.; Furfaro, F.; Gilardi, D.; Argollo, M.; Peyrin-Biroulet, L.; Danese, S. Comparative accuracy of bowel ultrasound versus Magnetic resonance enterography in combination with colonoscopy in assessing Crohn’s disease and guiding clinical decision-making. J. Crohn’s Colitis 2018, 12, 1280–1287. [Google Scholar] [CrossRef] [PubMed]
- Novak, K.; Tanyingoh, D.; Petersen, F.; Kucharzik, T.; Panaccione, R.; Ghosh, S.; Kaplan, G.G.; Wilson, A.; Kannengiesser, K.; Maaser, C. Clinic-based Point of Care Transabdominal Ultrasound for Monitoring Crohn’s Disease: Impact on Clinical Decision Making. J. Crohn’s Colitis 2015, 9, 795–801. [Google Scholar] [CrossRef] [PubMed]
- Dragoni, G.; Gottin, M.; Innocenti, T.; Lynch, E.N.; Bagnoli, S.; Macrì, G.; Bonanomi, A.G.; Orlandini, B.; Rogai, F.; Milani, S.; et al. Correlation of Ultrasound Scores with Endoscopic Activity in Crohn’s Disease: A Prospective Exploratory Study. J. Crohn’s Colitis 2023, 17, 1387–1394. [Google Scholar] [CrossRef]
- Ukashi, O.; Lahat, A.; Ungar, B.; Veisman, I.; Levy, H.; Sharif, K.; Eidler, P.; Eliakim, R.; Kopylov, U.; Carter, D.; et al. Intestinal Ultrasound Measures are Strongly Correlated with Small Bowel Endoscopic Lewis Score in Active Crohn’s Disease. Inflamm. Bowel Dis. 2025, 31, 2164–2172. [Google Scholar] [CrossRef] [PubMed]
- Khan, S.; Dahiya, D.S.; Jadoon, A.K.; Khan, D.A.; Khan, M.A.; Hamo, F.; Ullah, H.; Bharadwaj, H.R.; Zafar, Y.; Basida, S.; et al. A network meta-analysis of capsule endoscopy versus imaging modalities for diagnosing small bowel Crohn’s disease. J. Crohn’s Colitis 2025, 19, jjaf127. [Google Scholar] [CrossRef] [PubMed]
- Brodersen, J.B.; Rafaelsen, S.R.; Juel, M.A.; Knudsen, T.; Kjeldsen, J.; Jensen, M.D. Assessment of Treatment Response in Known Crohn’s Disease-A Prospective Blinded Study Comparing the Diagnostic Accuracy of Intestinal Ultrasound, Magnetic Resonance Enterocolonography, Panenteric Capsule Endoscopy, and Fecal Calprotectin. Inflamm. Bowel Dis. 2025, 31, 1891–1901. [Google Scholar] [CrossRef] [PubMed]
- Tarján, Z.; Tóth, G.; Györke, T.; Mester, A.; Karlinger, K.; Makó, E.K. Ultrasound in Crohn’s disease of the small bowel. Eur. J. Radiol. 2000, 35, 176–182. [Google Scholar] [CrossRef]
- Ma, C.; Hanzel, J.; Panaccione, R.; Sandborn, W.J.; D’Haens, G.R.; Ahuja, V.; Atreya, R.; Bernstein, C.N.; Bossuyt, P.; Bressler, B.; et al. CORE-IBD: A Multidisciplinary International Consensus Initiative to Develop a Core Outcome Set for Randomized Controlled Trials in Inflammatory Bowel Disease. Gastroenterology 2022, 163, 950–964. [Google Scholar] [CrossRef]
- Shah, S.C.; Colombel, J.F.; Sands, B.E.; Narula, N. Mucosal Healing Is Associated with Improved Long-term Outcomes of Patients with Ulcerative Colitis: A Systematic Review and Meta-analysis. Clin. Gastroenterol. Hepatol. 2016, 14, 1245–1255.e8. [Google Scholar] [CrossRef] [PubMed]
- Sagami, S.; Kobayashi, T.; Miyatani, Y.; Okabayashi, S.; Yamazaki, H.; Takada, T.; Kinoshita, K.; Allocca, M.; Kunisaki, R.; Ramaswamy, P.K.; et al. Accuracy of Ultrasound for Evaluation of Colorectal Segments in Patients with Inflammatory Bowel Diseases: A Systematic Review and Meta-analysis. Clin. Gastroenterol. Hepatol. 2021, 19, 908–921.e6. [Google Scholar] [CrossRef] [PubMed]
- de Voogd, F.A.; Bots, S.J.; van Wassenaer, E.A.; de Jong, M.; Pruijt, M.J.; D’Haens, G.R.; Gecse, K.B. Early Intestinal Ultrasound Predicts Clinical and Endoscopic Treatment Response and Demonstrates Drug-Specific Kinetics in Moderate-to-Severe Ulcerative Colitis. Inflamm. Bowel Dis. 2024, 30, 1992–2003. [Google Scholar] [CrossRef] [PubMed] [PubMed Central]
- Ilvemark, J.F.K.F.; Wilkens, R.; Thielsen, P.; Dige, A.; Boysen, T.; Brynskov, J.; Bjerrum, J.T.; Seidelin, J.B. Early Intestinal Ultrasound Predicts Intravenous Corticosteroid Response in Hospitalised Patients with Severe Ulcerative Colitis. J. Crohn’s Colitis 2022, 16, 1725–1734. [Google Scholar] [CrossRef] [PubMed]
- Badawy, H.M.; Mohammed, E.S.; Ghait, R.S.; Ahmed, A.A.E.K. Colonoscopy versus Bowel Ultrasound in Assessment of Disease Activity and Severity in Patients with Ulcerative Colitis. QJM Int. J. Med. 2023, 116, hcad069.355. [Google Scholar] [CrossRef]
- Allocca, M.; Fiorino, G.; Bonovas, S.; Furfaro, F.; Gilardi, D.; Argollo, M.; Magnoni, P.; Peyrin-Biroulet, L.; Danese, S. Accuracy of Humanitas Ultrasound Criteria in Assessing Disease Activity and Severity in Ulcerative Colitis: A Prospective Study. J. Crohn’s Colitis 2018, 12, 1385–1391. [Google Scholar] [CrossRef] [PubMed] [PubMed Central]
- Allocca, M.; Filippi, E.; Costantino, A.; Bonovas, S.; Fiorino, G.; Furfaro, F.; Peyrin-Biroulet, L.; Fraquelli, M.; Caprioli, F.; Danese, S. Milan ultrasound criteria are accurate in assessing disease activity in ulcerative colitis: External validation. United Eur. Gastroenterol. J. 2021, 9, 438–442. [Google Scholar] [CrossRef] [PubMed] [PubMed Central]
- Allocca, M.; Dell’Avalle, C.; Furfaro, F.; Zilli, A.; D’Amico, F.; Peyrin-Biroulet, L.; Fiorino, G.; Danese, S. Early Intestinal Ultrasound Predicts LongTerm Endoscopic Response to Biologics in Ulcerative Colitis. J. Crohn’s Colitis 2023, 17, 1579–1586. [Google Scholar] [CrossRef] [PubMed]
- de Voogd, F.; van Wassenaer, E.A.; Mookhoek, A.; Bots, S.; van Gennep, S.; Löwenberg, M.; D’Haens, G.R.; Gecse, K.B. Intestinal Ultrasound Is Accurate to Determine Endoscopic Response and Remission in Patients with Moderate to Severe Ulcerative Colitis: A Longitudinal Prospective Cohort Study. Gastroenterology 2022, 163, 1569–1581. [Google Scholar] [CrossRef] [PubMed]
- Rajagopalan, A.; Sathananthan, D.; An, Y.K.; Van De Ven, L.; Martin, S.; Fon, J.; Costello, S.P.; Begun, J.; Bryant, R.V. Gastrointestinal ultrasound in inflammatory bowel disease care: Patient perceptions and impact on disease-related knowledge. JGH Open 2019, 4, 267–272. [Google Scholar] [CrossRef] [PubMed] [PubMed Central]
- Buisson, A.; Gonzalez, F.; Poullenot, F.; Nancey, S.; Sollellis, E.; Fumery, M.; Pariente, B.; Flamant, M.; Trang-Poisson, C.; Bonnaud, G.; et al. Comparative Acceptability and Perceived Clinical Utility of Monitoring Tools: A Nationwide Survey of Patients with Inflammatory Bowel Disease. Inflamm. Bowel Dis. 2017, 23, 1425–1433. [Google Scholar] [CrossRef] [PubMed]
- On behalf of the METRIC investigators; Miles, A.; Bhatnagar, G.; Halligan, S.; Gupta, A.; Tolan, D.; Zealley, I.; Taylor, S.A. Magnetic resonance enterography, small bowel ultrasound and colonoscopy to diagnose and stage Crohn’s disease: Patient acceptability and perceived burden. Eur. Radiol. 2018, 29, 1083–1093. [Google Scholar] [CrossRef] [PubMed]
- Abraham, B.P.; Reddy, D.; Saleh, A. Integrating Intestinal Ultrasound into an Inflammatory Bowel Disease Practice: How to Get Started. Crohn’s Colitis 2023, 360, otad043. [Google Scholar] [CrossRef] [PubMed] [PubMed Central]
- Fraquelli, M.; Sarno, A.; Girelli, C.; Laudi, C.; Buscarini, E.; Villa, C.; Robotti, D.; Porta, P.; Cammarota, T.; Ercole, E.; et al. Reproducibility of bowel ultrasonography in the evaluation of Crohn’s disease. Dig. Liver Dis. 2008, 40, 860–866. [Google Scholar] [CrossRef] [PubMed]
- Bovenschulte, H.; Schlüter-Brust, K.; Liebig, T.; Erdmann, E.; Eysel, P.; Zobel, C. MRI in patients with pacemakers: Overview and procedural management. Dtsch. Arztebl. Int. 2012, 109, 270–275. [Google Scholar] [CrossRef] [PubMed] [PubMed Central]
- Siddiqui, U.; Denise Proctor, D. Flexible sigmoidoscopy and colonoscopy during pregnancy. Gastrointest. Endosc. Clin. N. Am. 2006, 16, 59–69. [Google Scholar] [CrossRef] [PubMed]
- Peyrin-Biroulet, L.; Reinisch, W.; Colombel, J.F.; Mantzaris, G.J.; Kornbluth, A.; Diamond, R.; Rutgeerts, P.; Tang, L.K.; Cornillie, F.J.; Sandborn, W.J. Clinical disease activity, C-reactive protein normalisation and mucosal healing in Crohn’s disease in the SONIC trial. Gut 2014, 63, 88–95. [Google Scholar] [CrossRef]
- Srinivasan, A.R. Treat to target in Crohn’s disease: A practical guide for clinicians. World J. Gastroenterol. 2024, 30, 50–69. [Google Scholar] [CrossRef]
- Peyrin-Biroulet, L.; Sandborn, W.; Sands, B.E.; Reinisch, W.; Bemelman, W.; Bryant, R.V.; D’Haens, G.; Dotan, I.; Dubinsky, M.; Feagan, B.; et al. Selecting Therapeutic Targets in Inflammatory Bowel Disease (STRIDE): Determining Therapeutic Goals for Treat-to-Target. Am. J. Gastroenterol. 2015, 110, 1324–1338. [Google Scholar] [CrossRef]
- Gonczi, L.; Bessissow, T.; Lakatos, P.L. Disease monitoring strategies in inflammatory bowel diseases: What do we mean by “tight control”? World J. Gastroenterol. 2019, 25, 6172–6189. [Google Scholar] [CrossRef] [PubMed] [PubMed Central]
- Colombel, J.F.; Panaccione, R.; Bossuyt, P.; Lukas, M.; Baert, F.; Vaňásek, T.; Danalioglu, A.; Novacek, G.; Armuzzi, A.; Hébuterne, X.; et al. Effect of tight control management on Crohn’s disease (CALM): A multicentre, randomised, controlled phase 3 trial. Lancet 2018, 390, 2779–2789. [Google Scholar] [CrossRef] [PubMed]
- Panaccione, R.; Colombel, J.-F.; Travis, S.P.L.; Bossuyt, P.; Baert, F.; Vaňásek, T.; Danalıoğlu, A.; Novacek, G.; Armuzzi, A.; Reinisch, W.; et al. Tight control for Crohn’s disease with adalimumab-based treatment is cost-effective: An economic assessment of the CALM trial. Gut 2020, 69, 658–664. [Google Scholar] [CrossRef] [PubMed]
- Saleh, A.; Abraham, B.P. Utility of Intestinal Ultrasound in Clinical Decision-Making for Inflammatory Bowel Disease. Crohn’s Colitis 2023, 360, otad027. [Google Scholar] [CrossRef] [PubMed] [PubMed Central]
- Vaughan, R.; Tjandra, D.; Patwardhan, A.; Mingos, N.; Gibson, R.; Boussioutas, A.; Ardalan, Z.; Al-Ani, A.; Gibson, P.R.; Christensen, B. Toward transmural healing: Sonographic healing is associated with improved long-term outcomes in patients with Crohn’s disease. Aliment. Pharmacol. Ther. 2022, 56, 84–94. [Google Scholar] [CrossRef] [PubMed] [PubMed Central]
- Calabrese, E.; Rispo, A.; Zorzi, F.; De Cristofaro, E.; Testa, A.; Costantino, G.; Viola, A.; Bezzio, C.; Ricci, C.; Prencipe, S.; et al. Ultrasonography Tight Control and Monitoring in Crohn’s Disease During Different Biological Therapies: A Multicenter Study. Clin. Gastroenterol. Hepatol. 2022, 20, e711–e722. [Google Scholar] [CrossRef] [PubMed]
- Madsen, G.R.; Attauabi, M.; Wilkens, R.; Ilvemark, J.F.K.F.; Theede, K.; Bjerrum, J.T.; Dorn-Rasmussen, M.; Jansson, S.; Wewer, A.V.; Bendtsen, F.; et al. DOP10 Intestinal Ultrasound at IBD diagnosis predicts major disease events–A Copenhagen IBD cohort study. J. Crohn’s Colitis 2022, 16, i059–i060. [Google Scholar] [CrossRef]
- Kucharzik, T.; Wittig, B.M.; Helwig, U.; Börner, N.; Rössler, A.; Rath, S.; Maaser, C.; Naumann, A.; Pelster, G.; Spengler, J.; et al. Use of intestinal ultrasound to monitor Crohn’s disease activity. Clin. Gastroenterol. Hepatol. 2017, 15, 535–542.e2. [Google Scholar] [CrossRef]
- Vos, H.; Teichert, C.; de Voogd, F.; Pruijt, M.; D’hAens, G.; Benninga, M.; Koot, B.; Gecse, K. P1096 The predictive value of intestinal ultrasound for treatment response in Inflammatory Bowel Disease: A systematic review and pooled data analysis. J. Crohn’s Colitis 2025, 19, i2013–i2014. [Google Scholar] [CrossRef]
- Sands, B.E.; Danese, S.; Chapman, J.C.; Gurjar, K.; Grieve, S.; Thakur, D.; Griffith, J.; Joshi, N.; Kligys, K.; Dignass, A. Mucosal and Transmural Healing and Long-term Outcomes in Crohn’s Disease. Inflamm. Bowel Dis. 2025, 31, 857–877. [Google Scholar] [CrossRef] [PubMed] [PubMed Central]
- Peyrin-Biroulet, L. Mucosal healing in Crohn’s disease and ulcerative colitis. Gastroenterol. Hepatol. 2020, 16, 206–208. [Google Scholar]
- Parente, F.; Molteni, M.; Marino, B.; Colli, A.; Ardizzone, S.; Greco, S.; Sampietro, G.; Gallus, S. Bowel Ultrasound and Mucosal Healing in Ulcerative Colitis. Dig. Dis. 2009, 27, 285–290. [Google Scholar] [CrossRef] [PubMed]
- Yzet, C.; Brazier, F.; Hautefeuille, V.; Decrombecque, C.; Sarba, R.; Aygalenq, P.; Venezia, F.; Buisson, A.; Pichois, R.; Michaud, A.; et al. P303 Ultrasound is effective to identify mucosal healing in Crohn’s disease patients: Results of a cross-sectional study. J. Crohn’s Colitis 2023, 17, i448–i449. [Google Scholar] [CrossRef]
- Wilkens, R.; Novak, K.L.; Maaser, C.; Panaccione, R.; Kucharzik, T. Relevance of monitoring transmural disease activity in patients with crohn’s disease: Current status and future perspectives. Therap. Adv. Gastroenterol. 2021, 14, 17562848211006672. [Google Scholar] [CrossRef] [PubMed]
- Geyl, S.; Guillo, L.; Laurent, V.; D’Amico, F.; Danese, S.; Peyrin-Biroulet, L. Transmural healing as a therapeutic goal in Crohn’s disease: A systematic review. Lancet Gastroenterol. Hepatol. 2021, 6, 659–667. [Google Scholar] [CrossRef] [PubMed]
- Bezzio, C.; Saibeni, S.; Vernero, M.; Furfaro, F.; Monteleone, M.; Ribaldone, D.; Fiorino, G.; Friedman, A.B.; Armuzzi, A.; Scalvini, D.; et al. The learning curve for using intestinal ultrasonography. Dig. Liver Dis. 2024, 56, 1511–1516. [Google Scholar] [CrossRef] [PubMed]
- Bove, L.; Meyer, J.; Collins, M.; Frampas, E.; Bourreille, A.; Le Berre, C. Understanding the learning curve of intestinal ultrasound in inflammatory bowel disease: A comparative study between novice, regular and expert. Clin. Res. Hepatol. Gastroenterol. 2025, 49, 102548. [Google Scholar] [CrossRef] [PubMed]
- van Wassenaer, E.A.; van Rijn, R.R.; de Voogd, F.A.; Noels, F.L.; Deurloo, E.E.; van Schuppen, J.; Verbeke, J.I.; Gecse, K.B.; D’Haens, G.R.; Benninga, M.A.; et al. A healthcare physician can be trained to perform intestinal ultrasound in children with inflammatory bowel disease. J. Pediatr. Gastroenterol. Nutr. 2022, 74, e143–e147. [Google Scholar] [CrossRef]
- Asthana, A.K.; Friedman, A.B.; Maconi, G.; Maaser, C.; Kucharzik, T.; Watanabe, M.; Gibson, P.R. Failure of gastroenterologists to apply intestinal ultrasound in inflammatory bowel disease in the Asia-Pacific: A need for action. J. Gastroenterol. Hepatol. 2015, 30, 446–452. [Google Scholar] [CrossRef]
- Felicani, C.; Trovati, A.; Franchi, E.; Zanni, F.; Verzelloni, F.; Bianchini, A.; Mazzotta, E.; Andreone, P. Transabdominal Gastro-Intestinal UltraSound (GIUS): A visual approach to intestinal pathology. Explor. Dig. Dis. 2024, 3, 241–261. [Google Scholar] [CrossRef]
- Allocca, M.; D’Amico, F.; Fiorino, G.; Jairath, V.; Kucharzik, T.; Peyrin-Biroulet, L.; Danese, S. Systematic review on definitions of intestinal ultrasound treatment response and remission in inflammatory bowel disease. J Crohn’s Colitis 2025, 19, jjaf011. [Google Scholar] [CrossRef] [PubMed]
- Allocca, M.; Jairath, V.; Sands, B.E.; Rubin, D.T.; Caron, B.; Laurent, V.; Novak, K.; Panaccione, R.; Bossuyt, P.; Bruining, D.H.; et al. International consensus on the use of intestinal ultrasound in inflammatory bowel disease trials. J. Crohn’s Colitis 2025, 19, jjaf170. [Google Scholar] [CrossRef] [PubMed]
- Panes, J.; Bouhnik, Y.; Reinisch, W.; Stoker, J.; Taylor, S.A.; Baumgart, D.C.; Danese, S.; Halligan, S.; Marincek, B.; Matos, C.; et al. Imaging techniques for assessment of inflammatory bowel disease: Joint ECCO and ESGAR evidence-based consensus guidelines. J. Crohn’s Colitis 2013, 7, 556–585. [Google Scholar] [CrossRef] [PubMed]
- A Taylor, S.; Mallett, S.; Bhatnagar, G.; Morris, S.; Quinn, L.; Tomini, F.; Miles, A.; Baldwin-Cleland, R.; Bloom, S.; Gupta, A.; et al. Magnetic resonance enterography compared with ultrasonography in newly diagnosed and relapsing Crohn’s disease patients: The METRIC diagnostic accuracy study. Health Technol. Assess. 2019, 23, 1–162. [Google Scholar] [CrossRef] [PubMed]
- Tan, Y.Y.; Cheong, E.H.T.; Lim, C.T.; Cai, S.; Tay, S.W.; Leong, J.W.H.; Salazar, E.; Cheng, L.T.-E.; Low, A.S.C. Clinical and environmental impact of intestinal ultrasound for inflammatory bowel disease: A tertiary centre experience in Southeast Asia. Scand. J. Gastroenterol. 2025, 60, 889–899. [Google Scholar] [CrossRef]
- Cai, S.; Lim, C.T.; Tan, Y.Y.; Tay, Y.X.; Cheong, E.H.T.; Tan, M.T.K. Intestinal ultrasound for Crohn’s disease: A single-centre experience in cost and carbon emissions reduction through transdisciplinary collaboration. Radiography 2025, 31, 103114. [Google Scholar] [CrossRef] [PubMed]
- Fernandes, R.G.; Khoo, E.; Harris, H.J.; Gilmore, R.; Khaing, M.M.; Ennever, J.; Mullen, K.; Begun, J.; An, Y.-K. Cost-effective inflammatory bowel disease flare pathway with nurse-led triage and rapid access intestinal ultrasound reduces hospital resource use with high patient satisfaction. J. Crohn’s Colitis 2025, 19, jjaf221. [Google Scholar] [CrossRef]
- Pal, P.; Mateen, M.A. Editorial: Leveraging existing mid-end ultrasound machine for point-of-care intestinal ultrasound in lowresource settings: Prospective, realworld impact on clinical decision making. Authors’ reply. Aliment. Pharmacol. Ther. 2024, 60, 656–657. [Google Scholar] [CrossRef]
- Sathananthan, D.; Rajagopalan, A.; Van De Ven, L.; Martin, S.; Fon, J.; Costello, S.; Bryant, R.V. Point-of-care gastrointestinal ultrasound in inflammatory bowel disease: An accurate alternative for disease monitoring. JGH Open 2019, 4, 273–279. [Google Scholar] [CrossRef] [PubMed] [PubMed Central]
- Bots, S.; De Voogd, F.; De Jong, M.; Ligtvoet, V.; Löwenberg, M.; Duijvestein, M.; Ponsioen, C.Y.; D’Haens, G.; Gecse, K.B. Point-of-care Intestinal Ultrasound in IBD Patients: Disease Management and Diagnostic Yield in a Real-world Cohort and Proposal of a Point-of-care Algorithm. J. Crohn’s Colitis 2022, 16, 606–615. [Google Scholar] [CrossRef] [PubMed] [PubMed Central]
- Segura-Grau, A.; Salcedo-Joven, I.; Montes-Belloso, E.; Cinza-Sanjurjo, S.; Segura-Fragoso, A.; Segura-Grau, E. Usefulness of handheld ultrasound devices in the assessment of abdominal pathology and comparison with high-end ultrasound devices. Ultrasound J. 2025, 17, 38. [Google Scholar] [CrossRef]
- Fernandes, R.; Swe, E.; Khaing, M.M.; Gilmore, R.; Khoo, E.; An, Y.K.; Begun, J. P1175 Handheld ultrasound devices are an accurate alternative to cart-based ultrasound for IBD disease activity assessment. J. Crohn’s Colitis 2025, 19, i2138–i2139. [Google Scholar] [CrossRef]
- Rispo, A.; Calabrese, G.; Testa, A.; Imperatore, N.; Patturelli, M.; Allocca, M.; Guarino, A.D.; Cantisani, N.M.; Toro, B.; Castiglione, F. Hocus Pocus: The Role of Hand-held Ultrasonography in Predicting Disease Extension and Endoscopic Activity in Ulcerative Colitis. J. Crohn’s Colitis 2023, 17, 1089–1096. [Google Scholar] [CrossRef] [PubMed]
- Dai, J.; Xu, H.; Chen, T.; Huang, T.; Liang, W.; Zhang, R.; Xu, G.; Zhang, Z.; Xue, L.; Gao, Y.; et al. Artificial intelligence for medicine 2025: Navigating the endless frontier. Innov. Med. 2025, 3, 100120. [Google Scholar] [CrossRef]
- Morone, G.; De Angelis, L.; Martino Cinnera, A.; Carbonetti, R.; Bisirri, A.; Ciancarelli, I.; Iosa, M.; Negrini, S.; Kiekens, C.; Negrini, F. Artificial intelligence in clinical medicine: A state-of-the-art overview of systematic reviews with methodological recommendations for improved reporting. Front. Digit. Health 2025, 7, 1550731. [Google Scholar] [CrossRef] [PubMed]
- Hoogenboom, S.A.; Bagci, U.; Wallace, M.B. Artificial intelligence in gastroenterology. The current state of play and the potential. How will it affect our practice and when? Tech. Innov. Gastrointest. Endosc. 2019, 22, 42–47. [Google Scholar] [CrossRef]
- Le Berre, C.; Sandborn, W.J.; Aridhi, S.; Devignes, M.D.; Fournier, L.; Smaïl-Tabbone, M.; Danese, S.; Peyrin-Biroulet, L. Application of Artificial Intelligence to Gastroenterology and Hepatology. Gastroenterology 2020, 158, 76–94.e2. [Google Scholar] [CrossRef]
- Kröner, P.T.; Engels, M.M.; Glicksberg, B.S.; Johnson, K.W.; Mzaik, O.; van Hooft, J.E.; Wallace, M.B.; El-Serag, H.B.; Krittanawong, C. Artificial intelligence in gastroenterology: A state-of-the-art review. World J. Gastroenterol. 2021, 27, 6794–6824. [Google Scholar] [CrossRef] [PubMed] [PubMed Central]
- Xin, Y.; Kong, L.; Liu, Z.; Chen, Y.; Li, Y.; Zhu, H.; Gao, M.; Hou, H.; Wang, C. Machine Learning and Deep Learning Methods for Cybersecurity. IEEE Access 2018, 6, 35365–35381. [Google Scholar] [CrossRef]
- Alqudah, A.; Moussavi, Z. A Review of Deep Learning for Biomedical Signals: Current Applications, Advancements, Future Prospects, Interpretation, and Challenges. Computers. Comput. Mater. Contin. 2025, 83, 3753–3841. [Google Scholar] [CrossRef]
- Liu, R.X.; Li, H.; Towbin, A.J.; Ata, N.A.; Smith, E.A.; Tkach, J.A.; Denson, L.A.; He, L.; Dillman, J.R. Machine Learning Diagnosis of Small-Bowel Crohn Disease Using T2-Weighted MRI Radiomic and Clinical Data. AJR Am. J. Roentgenol. 2024, 222, e2329812. [Google Scholar] [CrossRef] [PubMed]
- Wasnik, A.P.; Al-Hawary, M.M.; Enchakalody, B.; Wang, S.C.; Su, G.L.; Stidham, R.W. Machine learning methods in automated detection of CT enterography findings in Crohn’s disease: A feasibility study. Clin. Imaging 2024, 113, 110231. [Google Scholar] [CrossRef] [PubMed] [PubMed Central]
- Ma, L.; Chen, Y.; Fu, X.; Qin, J.; Luo, Y.; Gao, Y.; Li, W.; Xiao, M.; Cao, Z.; Shi, J.; et al. Predicting mucosal healing in Crohn’s disease: Development of a deep-learning model based on intestinal ultrasound images. Insights Imaging 2025, 16, 125. [Google Scholar] [CrossRef] [PubMed]
- Crăciun, R.; Bumbu, A.L.; Ichim, V.A.; Tanțău, A.I.; Tefas, C. Artificial Intelligence in Endoscopic and Ultrasound Imaging for Inflammatory Bowel Disease. J. Clin. Med. 2025, 14, 4291. [Google Scholar] [CrossRef] [PubMed]
- Carter, D.; Albshesh, A.; Shimon, C.; Segal, B.; Yershov, A.; Kopylov, U.; Meyers, A.; Brzezinski, R.Y.; Ben Horin, S.; Hoffer, O. Automatized Detection of Crohn’s Disease in Intestinal Ultrasound Using Convolutional Neural Network. Inflamm. Bowel Dis. 2023, 29, 1901–1906. [Google Scholar] [CrossRef] [PubMed]
- Kumaralingam, L.; Le May, K.; Dang, V.B.; Alavi, J.; Huynh, H.Q.; Le, L.H. Artificial intelligence-assisted approach to assessing bowel wall thickness in pediatric inflammatory bowel disease using intestinal ultrasound images. J. Crohn’s Colitis 2025, 19, jjaf037. [Google Scholar] [CrossRef]
- Gu, P.; Chang, J.H.; Carter, D.; McGovern, D.P.B.; Moore, J.; Wang, P.; Huang, X. Radiomics-Based Analysis of Intestinal Ultrasound Images for Inflammatory Bowel Disease: A Feasibility Study. Crohn’s Colitis 2024, 360, otae034. [Google Scholar] [CrossRef] [PubMed] [PubMed Central]
- Lu, C.; Merrill, C.; Medellin, A.; Novak, K.; Wilson, S.R. Bowel Ultrasound State of the Art: Grayscale and Doppler Ultrasound, Contrast Enhancement, and Elastography in Crohn Disease. J. Ultrasound Med. 2019, 38, 271–288. [Google Scholar] [CrossRef]
- Pecere, S.; Holleran, G.; Ainora, M.E.; Garcovich, M.; Scaldaferri, F.; Gasbarrini, A.; Zocco, M.A. Usefulness of contrast-enhanced ultrasound (CEUS) in Inflammatory Bowel Disease (IBD). Dig. Liver Dis. 2018, 50, 761–767. [Google Scholar] [CrossRef]
- Piscaglia, F.; Nolsøe, C.; Dietrich, C.; Cosgrove, D.; Gilja, O.; Nielsen, M.B.; Albrecht, T.; Barozzi, L.; Bertolotto, M.; Catalano, O.; et al. The EFSUMB guidelines and recommendations on the clinical practice of contrast enhanced ultrasound (CEUS): Update 2011 on non-hepatic applications. Ultraschall Med.-Eur. J. Ultrasound 2011, 33, 33–59. [Google Scholar] [CrossRef]
- de Voogd, F.; Beek, K.J.; Pruijt, M.; van Rijn, K.; van der Bilt, J.; Buskens, C.; Bemelman, W.; Neefjes-Borst, A.; Mookhoek, A.; D’Haens, G.; et al. Intestinal Ultrasound and Its Advanced Modalities in Characterizing Strictures in Crohn’s Disease. Clin. Gastroenterol. Hepatol. 2025, 24, 474–483.e8. [Google Scholar] [CrossRef] [PubMed]
- Mocci, G.; Migaleddu, V.; Cabras, F.; Sirigu, D.; Scanu, D.; Virgilio, G.; Marzo, M. SICUS and CEUS imaging in Crohn’s disease: An update. J. Ultrasound. 2017, 20, 1–9. [Google Scholar] [CrossRef] [PubMed] [PubMed Central]
- Pal, P.; Mateen, M.A.; Pooja, K.; Rajadurai, N.; Gupta, R.; Tandan, M.; Duvvuru, N.R. Intestinal ultrasound in Crohn’s disease: A systematic review of its role in diagnosis, monitoring, and treatment response. World J. Meta-Anal. 2025, 13, 104080. [Google Scholar] [CrossRef]
- Hakim, A.; Alexakis, C.; Pilcher, J.; Tzias, D.; Mitton, S.; Paul, T.; Saxena, S.; Pollok, R.; Kumar, S. Comparison of small intestinal contrast ultrasound with magnetic resonance enterography in pediatric Crohn’s disease. JGH Open 2020, 4, 126–131. [Google Scholar] [CrossRef] [PubMed]
- Kumar, S.; Hakim, A.; Alexakis, C.; Chhaya, V.; Tzias, D.; Pilcher, J.; Vlahos, J.; Pollok, R. Small intestinal contrast ultrasonography for the detection of small bowel complications in Crohn’s disease: Correlation with intraoperative findings and magnetic resonance enterography. J. Gastroenterol. Hepatol. 2015, 30, 86–91. [Google Scholar] [CrossRef]
- Ślósarz, D.; Poniewierka, E.; Neubauer, K.; Kempiński, R. Ultrasound elastography in the assessment of the intestinal changes in inflammatory bowel disease-systematic review. J. Clin. Med. 2021, 10, 4044. [Google Scholar] [CrossRef]
- Chen, Y.J.; Mao, R.; Li, X.H.; Cao, Q.H.; Chen, Z.H.; Liu, B.X.; Chen, S.L.; Chen, B.L.; He, Y.; Zeng, Z.R.; et al. Real-Time Shear Wave Ultrasound Elastography Differentiates Fibrotic from Inflammatory Strictures in Patients with Crohn’s Disease. Inflamm. Bowel Dis. 2018, 24, 2183–2190. [Google Scholar] [CrossRef] [PubMed] [PubMed Central]
- Dillman, J.R.; Stidham, R.W.; Higgins, P.D.; Moons, D.S.; Johnson, L.A.; Rubin, J.M. US elastography-derived shear wave velocity helps distinguish acutely inflamed from fibrotic bowel in a Crohn disease animal model. Radiology 2013, 267, 757–766. [Google Scholar] [CrossRef] [PubMed] [PubMed Central]
- Dietrich, C.F.; Barr, R.G.; Farrokh, A.; Dighe, M.; Hocke, M.; Jenssen, C.; Dong, Y.; Saftoiu, A.; Havre, R.F. Strain Elastography-How to Do It? Ultrasound Int. Open 2017, 3, E137–E149. [Google Scholar] [CrossRef] [PubMed] [PubMed Central]
- Ferretti, F.; Cannatelli, R.; Ardizzone, S.; Maier, J.A.; Maconi, G. Ultrasonographic Evaluation of Intestinal Fibrosis and Inflammation in Crohn’s Disease. the state of the art. Front. Pharmacol. 2021, 12, 679924. [Google Scholar] [CrossRef] [PubMed] [PubMed Central]
- Lu, C.; Gui, X.; Chen, W.; Fung, T.; Novak, K.; Wilson, S.R. Ultrasound Shear Wave Elastography and Contrast Enhancement: Effective Biomarkers in Crohn’s Disease Strictures. Inflamm. Bowel Dis. 2017, 23, 421–430. [Google Scholar] [CrossRef]
- Serra, C.; Rizzello, F.; Pratico’, C.; Felicani, C.; Fiorini, E.; Brugnera, R.; Mazzotta, E.; Giunchi, F.; Fiorentino, M.; D’Errico, A.; et al. Real-time elastography for the detection of fibrotic and inflammatory tissue in patients with stricturing Crohn’s disease. J. Ultrasound 2017, 20, 273–284. [Google Scholar] [CrossRef] [PubMed] [PubMed Central]
- Baumgart, D.C.; Müller, H.P.; Grittner, U.; Metzke, D.; Fischer, A.; Guckelberger, O.; Pascher, A.; Sack, I.; Vieth, M.; Rudolph, B. US-based Real-time Elastography for the Detection of Fibrotic Gut Tissue in Patients with Stricturing Crohn Disease. Radiology 2015, 275, 889–899. [Google Scholar] [CrossRef] [PubMed]
- Quaia, E.; Gennari, A.G.; Cova, M.A.; van Beek, E.J.R. Differentiation of Inflammatory from Fibrotic Ileal Strictures among Patients with Crohn’s Disease Based on Visual Analysis: Feasibility Study Combining Conventional B-Mode Ultrasound, Contrast-Enhanced Ultrasound and Strain Elastography. Ultrasound Med. Biol. 2018, 44, 762–770. [Google Scholar] [CrossRef] [PubMed]
- Adhikari, S.; Blaivas, M.; Lyon, M.; Shiver, S. Transfer of real-time ultrasound video of FAST examinations from a simulated disaster scene via a mobile phone. Prehosp. Disaster Med. 2014, 29, 290–293. [Google Scholar] [CrossRef]
- Britton, N.; Miller, M.A.; Safadi, S.; Siegel, A.; Levine, A.R.; McCurdy, M.T. Tele-ultrasound in resource-limited settings: A systematic review. Front. Public Health 2019, 7, 244. [Google Scholar] [CrossRef]
- Uschnig, C.; Recker, F.; Blaivas, M.; Dong, Y.; Dietrich, C.F. Tele-ultrasound in the Era of COVID-19: A Practical Guide. Ultrasound Med. Biol. 2022, 48, 965–974. [Google Scholar] [CrossRef] [PubMed] [PubMed Central]
- Constantinescu, E.C.; Nicolau, C.; Săftoiu, A. Recent Developments in Tele-Ultrasonography. Curr. Health Sci. J. 2018, 44, 101–106. [Google Scholar] [CrossRef] [PubMed] [PubMed Central]
- Morel, B.; Hellec, C.; Fievet, A.; Taveau, C.S.; Abimelech, M.; Dujardin, P.A.; Brunereau, L.; Patat, F. Reliability of 3-D Virtual Abdominal Tele-ultrasonography in Pediatric Emergency: Comparison with Standard-of-Care Ultrasound Examination. Ultrasound Med. Biol. 2022, 48, 2310–2321. [Google Scholar] [CrossRef] [PubMed]
- Krugliak Cleveland, N.; Miyatani, Y.; Picker, E.A.; Rubin, D.T. At-home Disease Monitoring by Patient-performed Intestinal Ultrasound in Severe Ulcerative Colitis. Inflamm. Bowel Dis. 2023, 29, 1997–1998. [Google Scholar] [CrossRef] [PubMed] [PubMed Central]
- Del Hoyo, J.; Nos, P.; Faubel, R.; Muñoz, D.; Domínguez, D.; Bastida, G.; Valdivieso, B.; Correcher, M.; Aguas, M. A Web-Based Telemanagement System for Improving Disease Activity and Quality of Life in Patients with Complex Inflammatory Bowel Disease: Pilot Randomized Controlled Trial. J. Med. Internet Res. 2018, 20, e11602. [Google Scholar] [CrossRef] [PubMed] [PubMed Central]



| IUS PARAMETERS | DEFINITION | PATHOLOGICAL FINDING |
|---|---|---|
| Bowel wall thickness | Perpendicular measurement in mm from the luminal boundary to the serosa | Ileocolic: >3 mm Rectum: >4 mm |
| Color Doppler signal (CDS) | Blood Flow Assessment in the blood vessels of the intestines | Limberg Score >2 |
| Bowel wall stratification | Distinct bowel layers seen as alternating hyperechoic and hypoechoic bands | Focal or extended loss of delineation of the layers |
| Mesenteric lymph nodes | Hypoechoic cortex and hyperechoic hilum, well-defined borders, <5 mm on the short axis | >5 mm on the short axis |
| Motility | Assessment of bowel movements | Altered or absent due to inflammation or fibrosis |
| Haustrations | Regular, parallel lines or folds in the colonic wall | Absent, reduced, or disorganized |
| Inflammatory fat (iFAT) | Hypoechoic tissue surrounding the intestines and mesentery. | Fat wrapping the bowel, with an increased echogenicity |
| IUS Score | Formula | Parameters | Cut-Off for Activity |
|---|---|---|---|
| CROHN’S DISEASE AND ULCERATIVE COLITIS | |||
| IBUS-SAS [51] | (4 × BWT) + (7 × CDS) + (4 × BWS) + (15 × iFAT). | BWT: measurement in mm CDS: absent (0), short signals (1), long signals inside bowel (2), long signals inside and outside bowel (3) BWS: normal (0), uncertain (1), focal if ≤3 cm (2); extensive if >3 cm (3) i-FAT: absent (0), uncertain (1), present (2) | From 4 (no disease activity) to 100 (worst disease activity). |
| CROHN’S DISEASE | |||
| BUSS [53] | 0.75 × BWT + 1.65 × CDS | BWT: measurement in mm CDS: absent (0), present (1) | >3.52 |
| ULCERATIVE COLITIS | |||
| MUC [54] | 1.4 × BWT + 2.0 × CWF | BTW: measurement in mm CWF: absent (0), present (1) | >6.2 |
| Civitelli Index [55] | 1 point for abnormal findings in IUS parameters, 0 for normal | BWT: measurement in mm Loss of bowel wall stratification Increased vascularity Absence of haustra coli | >1: moderate to severe endoscopic inflammation (ranging from 0 to 4) |
| MRE | ||||||
|---|---|---|---|---|---|---|
| Authors | Aim of the Study | MRE Sensitivity | IUS Sensitivity | MRE Specificity | IUS Specificity | Other Results |
| Taylor S.A. et al. [69] | Per-patient difference in sensitivity, correct identification, and localization of SB-CD. | Disease extent: 80% Disease presence: 97% | Disease extent: 70% Disease presence: 92% | Disease extent: 95% Disease presence: 96% | Disease extent: 80% (95% CI 72–86) Disease presence: 84% | SE extent: difference of 10% (1–18; p = 0·027) SE presence: 5% (1–9; p = 0·025) SP extent: difference of 14% (1–27; p = 0·039) SP presence: difference 12% [0–25]; p = 0·054) |
| Panès J et al. [70] | Diagnostic accuracy of cross-sectional imaging techniques. | 93% | 84% | 90% | 92% | Both have SE and SP > 0.80 for identifying fistulas, abscesses, and stenosis, but IUS produces false-positive results for abscesses. |
| Rispo A. et al. [71] | Comparison of diagnostic accuracy. | 91.67% | 87.5% | 94.59% | 91.89% | No significant differences (89.41% for HHUS vs. 92.94% for MRE, p = NS). |
| Castiglione et al. [73] | Comparison of diagnostic accuracy in SB-CD. | 96% | 94% | 94% | 97% | IUS was less accurate in determining CD extent (r = 0.69), with high agreement in CD location (k = 0.81) and fair concordance for strictures (k = 0.82), abscesses (k = 0.88), and enteroenteric fistulas (k = 0.67). |
| VCE | ||||||
| Authors | Aim of the Study | VCE Sensitivity | IUS Sensitivity | VCE Specificity | IUS Specificity | Other Results |
| Shahryar et al. [78] | Head-to-head comparison and network meta-analysis of VCE vs. imaging techniques to diagnose SB-CD. | (pooled) 89.6% | (pooled) 89.3% | (pooled) 86.2% | (pooled) 72% | Ranking analysis identified VCE (p-score: 0.97) as the most effective diagnostic tool for SB-CD, followed by IUS, MRE, and CTE. |
| Brodersen et al. [79] | IUS, MRE, PCE, and FC for determining response to medical treatment in ileocolonic CD. | 87.5% (95% CI, 61.7–98.4) | 80.0% (95% CI, 56.3–94.3) | 86.7% (95% CI, 59.5–98.3) | 77.8% (95% CI, 52.4–93.6), | Activity scores decreased in patients who achieved endoscopic response: SUS-CD 2.2 vs. 6.1 (p < 0.001), MaRIA from 37.1 to 29.0 (p = 0.05), SES-CD with PCE from 12.8 to 3.1 (p < 0.001), and FC from 1339.9 to 115.3 mg/kg (p < 0.001). |
| CT | ||||||
| Authors | Aim of the Study | CT Sensitivity | IUS Sensitivity | CT Specificity | IUS Specificity | Other Results |
| Zsolt et al. [80] | IUS vs. enteroclysis, CT, and immunoscintigraphy in SB-CD | 90.7% | 88.4% | 83.3% | 93.3% | Enteroclysis proved to be the most accurate method (accuracy: 98.6%), with IUS close behind at 90.4%. |
Disclaimer/Publisher’s Note: The statements, opinions and data contained in all publications are solely those of the individual author(s) and contributor(s) and not of MDPI and/or the editor(s). MDPI and/or the editor(s) disclaim responsibility for any injury to people or property resulting from any ideas, methods, instructions or products referred to in the content. |
© 2026 by the authors. Licensee MDPI, Basel, Switzerland. This article is an open access article distributed under the terms and conditions of the Creative Commons Attribution (CC BY) license.
Share and Cite
Lanzotti, C.; Allocca, M.; Zilli, A.; D’Amico, F.; Solitano, V.; Massironi, S.; Danese, S.; Furfaro, F. Integrating Intestinal Ultrasound in the Personalized Management of IBD. J. Pers. Med. 2026, 16, 199. https://doi.org/10.3390/jpm16040199
Lanzotti C, Allocca M, Zilli A, D’Amico F, Solitano V, Massironi S, Danese S, Furfaro F. Integrating Intestinal Ultrasound in the Personalized Management of IBD. Journal of Personalized Medicine. 2026; 16(4):199. https://doi.org/10.3390/jpm16040199
Chicago/Turabian StyleLanzotti, Cristina, Mariangela Allocca, Alessandra Zilli, Ferdinando D’Amico, Virginia Solitano, Sara Massironi, Silvio Danese, and Federica Furfaro. 2026. "Integrating Intestinal Ultrasound in the Personalized Management of IBD" Journal of Personalized Medicine 16, no. 4: 199. https://doi.org/10.3390/jpm16040199
APA StyleLanzotti, C., Allocca, M., Zilli, A., D’Amico, F., Solitano, V., Massironi, S., Danese, S., & Furfaro, F. (2026). Integrating Intestinal Ultrasound in the Personalized Management of IBD. Journal of Personalized Medicine, 16(4), 199. https://doi.org/10.3390/jpm16040199

