Minimally Invasive Surgical Strategies in Intraventricular Tumors: Preliminary Experience with Tubular Retractors for a Personalized Approach in Intraventricular Meningiomas
Abstract
1. Introduction
2. Materials and Methods
2.1. Perioperative Management
2.2. Operative Technique
3. Results
3.1. Patient Overview
3.2. Illustrative Cases
- Case 1. An 83-year-old man presented with a history of loss of consciousness episodes and ideomotor slowdown. He was otherwise neurologically intact. MRI revealed a large right-sided intraventricular mass in the trigone of the right lateral ventricle consistent with meningioma. We adopted for the patient a supine position, and a minimally invasive tumor excision was performed using the tubular retractor system assisted by neuronavigation. Gross total resection (GTR) was achieved and pathology confirmed WHO grade 1 meningioma. He had an uneventful recovery and remained neurologically intact after surgery. At 3 months from surgery there was no evidence of tumor recurrence, and no evidence of brain injury or progressive neurological deficits (Figure 6).
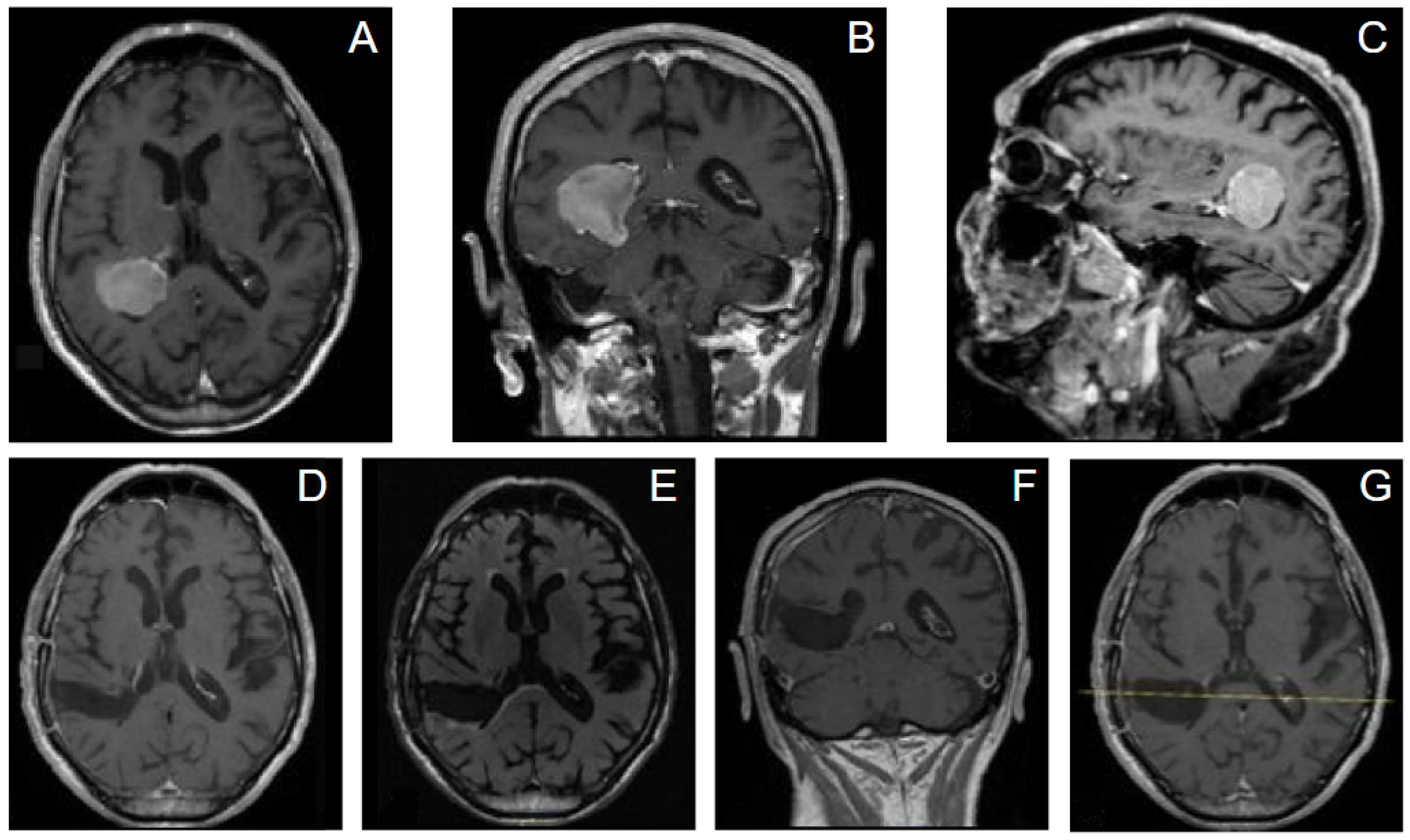
- Case 2. A 56-year-old woman presented with memory impairment; dysarthria and neurological exam revealed hyposthenia at the right limbs. A contrast-enhanced MRI showed a large intraventricular mass in the left trigone with peritrigonal extension consistent with meningioma (Figure 7). We adopted for the patient a lateral position and a trans-sulcal temporal approach with port technique, neuronavigation-assisted. Surgery was uneventful and a gross total resection was obtained. Pathology revealed a WHO grade 2 meningioma. Postoperative MRI confirmed complete resection of the tumor. Adjuvant radiation therapy was not recommended due to complete tumor resection; the patient was neurologically intact and followed up.
- Case 3. A 79-year-old man presented with memory impairment, ideomotor slowdown and left hemitemporal hemianopsia; he was otherwise neurologically intact. Routine magnetic resonance imaging (MRI) revealed a large homogeneously enhancing tumor involving the right ventricular trigone that appeared consistent with a meningioma. He was scheduled for operation, and we adopted for the patient a prone position. Resection was achieved via the posterior aspect of the superior parietal lobule with a neuronavigated port technique. Surgery was uneventful and a total resection was obtained. Pathology revealed a WHO grade I meningioma. He recovered uneventfully and, at 1-year postoperative follow-up, there was no evidence of tumor recurrence, and no evidence of brain injury or progressive neurological deficits (Figure 8).
4. Discussion
- Plan the corridor first: prioritize a trans-sulcal parafascicular route aligned to the ventricular target, integrating tractography when available.
- Keep the corticectomy small (15–20 mm) and avoid unnecessary cortical coagulation.
- Secure the port to minimize torque; favor endoscopic inspection over wide angulation.
- Control CSF egress with irrigation to reduce ventricular collapse and maintain visualization.
- Have a conversion strategy: if uncontrolled bleeding or inadequate working angle occurs, broaden exposure early rather than persist with unsafe constraints.
5. Conclusions
Author Contributions
Funding
Institutional Review Board Statement
Informed Consent Statement
Data Availability Statement
Acknowledgments
Conflicts of Interest
Abbreviations
| WHO | World Health Organization grading system |
| Fig. | figure |
| MRI | Magnetic Resonance Imaging |
| CT | computed tomography |
| Tab. | table |
| d | days |
| Y | years |
| M | male |
| F | female |
| P | patient |
| A | age |
| GTR | gross total removal |
| L | localization |
| L | left |
| R | right |
| PTV | preoperative tumor volume |
| D | tumor depth |
| EOR | extent of resection |
| NB | neurological status before surgery |
| LOC | loss of consciousness |
| R | retractor used (1: Endopath, 2: NICO) |
| LOR | length of retractor |
| COR | corticectomy dimension |
| NA | neurological status after surgery |
| LH | length of hospital stay |
| FU | months of follow-up |
| LP | late postoperative complications. |
References
- Jamshidi, A.O.; Beer-Furlan, A.; Hardesty, D.A.; Ditzel Filho, L.F.S.; Prevedello, L.M.; Prevedello, D.M. Management of large intraventricular meningiomas with minimally invasive port technique: A three-case series. Neurosurg. Rev. 2021, 44, 2369–2377. [Google Scholar] [CrossRef] [PubMed]
- Yaşargil, M.G.; Abdulrauf, S.I. Surgery of intraventricular tumors. Neurosurgery 2008, 62, 1029–1040, discussion 1040-1. [Google Scholar] [CrossRef] [PubMed]
- Chuchuca, A.V.; Hasing, L.M.; Wong-Achi, X.; Egas, M. Minimally invasive surgery with tubular retractor system for deep-seated or intraventricular brain tumors: Report of 13 cases and technique description. Interdiscip. Neurosurg. 2021, 25, 101260. [Google Scholar] [CrossRef]
- Mayol Del Valle, M.; De Jesus, O. Intraventricular Meningioma. [Updated 12 February 2023]; In StatPearls [Internet]; StatPearls Publishing: Treasure Island, FL, USA, 2023. Available online: https://www.ncbi.nlm.nih.gov/books/NBK562202 (accessed on 22 January 2026).
- Lin, M.; Bakhsheshian, J.; Strickland, B.; Rennert, R.C.; Chu, R.M.; Chaichana, K.L.; Zada, G. Exoscopic resection of atrial intraventricular meningiomas using a navigation-assisted channel-based trans-sulcal approach: Case series and literature review. J. Clin. Neurosci. 2020, 71, 58–65. [Google Scholar] [CrossRef] [PubMed]
- Okasha, M.; Ineson, G.; Pesic-Smith, J.; Surash, S. Transcortical Approach to Deep-Seated Intraventricular and Intra-axial Tumors Using a Tubular Retractor System: A Technical Note and Review of the Literature. J. Neurol. Surg. A Cent. Eur. Neurosurg. 2021, 82, 270–277. [Google Scholar] [CrossRef] [PubMed]
- Harada, S.; Nakamura, T. Retraction induced brain edema. Acta Neurochir. Suppl. 1994, 60, 449–451. [Google Scholar] [CrossRef] [PubMed]
- Zhong, J.; Dujovny, M.; Perlin, A.R.; Perez-Arjona, E.; Park, H.K.; Diaz, F.G. Brain retraction injury. Neurol. Res. 2003, 25, 831–838. [Google Scholar] [CrossRef] [PubMed]
- Kelly, P.J.; Goerss, S.J.; Kall, B.A. The stereotaxic retractor in computer-assisted stereotaxic microsurgery. Technical note. J. Neurosurg. 1988, 69, 301–306. [Google Scholar] [CrossRef] [PubMed]
- Singh, H.; Patir, R.; Vaishya, S.; Miglani, R.; Kaur, A. Syringe Port: A Convenient, Safe, and Cost-Effective Tubular Retractor for Transportal Removal of Deep-Seated Lesions of the Brain. World Neurosurg. 2018, 114, 117–120. [Google Scholar] [CrossRef] [PubMed]
- Liu, X.; Qiu, Y.; Zhang, F.; Wei, X.; Zhou, Z.; Zhang, F.; Xue, Y.; Ma, Z.; Wang, X.; Shen, H.; et al. Combined intra- and extra-endoscopic techniques for endoscopic intraventricular surgery with a new mini-tubular port. Front. Surg. 2022, 9, 933726. [Google Scholar] [CrossRef] [PubMed] [PubMed Central]
- Bander, E.D.; Jones, S.H.; Kovanlikaya, I.; Schwartz, T.H. Utility of tubular retractors to minimize surgical brain injury in the removal of deep intraparenchymal lesions: A quantitative analysis of FLAIR hyperintensity and apparent diffusion coefficient maps. J. Neurosurg. 2016, 124, 1053–1060. [Google Scholar] [CrossRef] [PubMed]
- Almenawer, S.A.; Crevier, L.; Murty, N.; Kassam, A.; Reddy, K. Minimal access to deep intracranial lesions using a serial dilatation technique: Case-series and review of brain tubular retractor systems. Neurosurg. Rev. 2013, 36, 321–329, discussion 329-30. [Google Scholar] [CrossRef] [PubMed]
- Cohen-Gadol, A. Minitubular transcortical microsurgical approach for gross total resection of third ventricular colloid cysts: Technique and assessment. World Neurosurg. 2013, 79, 7–10. [Google Scholar] [CrossRef]
- Newman, W.C.; Engh, J.A. Stereotactic-Guided Dilatable Endoscopic Port Surgery for Deep-Seated Brain Tumors: Technical Report with Comparative Case Series Analysis. World Neurosurg. 2019, 125, e812–e819. [Google Scholar] [CrossRef] [PubMed]
- RAssina, S.; Rubino, C.; Sarris, C.; Gandhi, C. Prestigiacomo, The history of brain retractors throughout the development of neurological surgery. Neurosurg. Focus. 2014, 36, E8. [Google Scholar] [CrossRef]
- DEichberg, S.; Buttrick, D.; Brusko, M.; Ivan, R.; Starke, R. Komotar, Use of tubular retractor for resection of deep-seated cerebral tumors and colloid cysts: Single surgeon experience and review of the literature. World Neurosurg. 2018, 112, e50–e60. [Google Scholar] [CrossRef] [PubMed]
- Klotz, E.; Towers, W.; Kurtom, K. Minimizing cortical disturbance to access ventricular subependymoma—A novel approach utilizing spinal minimally invasive tubular retractor system. Surg. Neurol. Int. 2019, 10, 95. [Google Scholar] [CrossRef] [PubMed] [PubMed Central]
- Wong, W.S.F. A safe optically guided entry technique using Endopath Xcel Trocars in laparoscopic surgery: A personal series of 821 patients. Gynecol. Minim. Invasive Ther. 2013, 2, 30–33. [Google Scholar] [CrossRef]
- Li, B.; Kim, M.G.; Dominguez, J.; Feldstein, E.; Kleinman, G.; Hanft, S. Intraventricular Choroid Plexus Cavernoma Resection Using Tubular Retractor System and Exoscope Visualization: A Technical Case Report. Oper. Neurosurg. 2022, 22, e134–e137. [Google Scholar] [CrossRef] [PubMed]
- Bahar, M.; Hashem, H.; Tekautz, T.; Worley, S.; Tang, A.; de Blank, P. Choroid plexus tumors in adult and pediatric populations: The Cleveland clinic and university hospitals experience. J. Neurooncol. 2017, 132, 427–432. [Google Scholar] [CrossRef]
- Eliyas, J.K.; Glynn, R.; Kulwin, C.G.; Rovin, R.; Young, R.; Alzate, J.; Pradilla, G.; Shah, M.V.; Kassam, A.; Ciric, I.; et al. Minimally invasive transsulcal resection of intraventricular and periventricular lesions through a tubular retractor system: Multicentric experience and results. World Neurosurg. 2016, 90, 556–564. [Google Scholar] [CrossRef] [PubMed]
- Gungör, A.; Baydin, S.; Middlebrooks, E.H.; Tanriover, N.; Isler, C.; Rhoton, A.L. The white matter tracts of the cerebrum in ventricular surgery and hydrocephalus. J. Neurosurg. 2017, 126, 945–971. [Google Scholar] [CrossRef]
- Marenco-Hillembrand, L.; Prevatt, C.; Suarez-Meade, P.; Ruiz-Garcia, H.; Quinones-Hinojosa, A.; Chaichana, K.L. Minimally invasive surgical outcomes for deep-seated brain lesions treated with different tubular retraction systems: A systematic review and meta-analysis. World Neurosurg. 2020, 143, 537–545.e3. [Google Scholar] [CrossRef]
- Shapiro, S.Z.; Sabacinski, K.A.; Mansour, S.A.; Echeverry, N.B.; Shah, S.S.; Stein, A.A.; Snelling, B.M. Use of Vycor tubular retractors in the management of deep brain lesions: A review of current studies. World Neurosurg. 2020, 133, 283–290. [Google Scholar] [CrossRef]
- Iacoangeli, A.; Capelli, S.; Held, A.; Barba, M.; Marasi, A.; DEBenedictis, A.; Iacoangeli, M.; Locatelli, D.; Fontanella, M.M.; Giussani, C.G.; et al. Pre-surgical planning with extended reality in neurosurgery: A survey-based study describing a preliminary experience in Italy. J. Neurosurg. Sci. 2025, 69, 236–244. [Google Scholar] [CrossRef] [PubMed]
- Iacoangeli, A.; Greco, F.; Iacoangeli, M.; Bonifacio, F.; Cavicchioni, G.; Gladi, M.; Aiudi, D.; Salvinelli, F. Minimally Invasive Endonasal Endoscopic Approaches in the Grand Elderly. J. Neurol. Surg. B Skull Base 2023, 84, S1–S344. [Google Scholar] [CrossRef]
- da Silva, C.E.; de Freitas, P.E.P. Surgical Removal of Skull Base Meningiomas in Symptomatic Elderly Patients. World Neurosurg. 2018, 120, e1149–e1155. [Google Scholar] [CrossRef]
- Abdala-Vargas, N.J.; Umana, G.E.; Patiño-Gomez, J.G.; Ordoñez-Rubiano, E.; Cifuentes-Lobelo, H.A.; Palmisciano, P.; Ferini, G.; Viola, A.; Zagardo, V.; Casanova-Martínez, D.; et al. Standardization of Strategies to Perform a Parafascicular Tubular Approach for the Resection of Brain Tumors in Eloquent Areas. Brain Sci. 2023, 13, 498. [Google Scholar] [CrossRef] [PubMed] [PubMed Central]
- Sinha, S.; Kalyal, N.; Gallagher, M.J.; Richardson, D.; Kalaitzoglou, D.; Abougamil, A.; Silva, M.; Oviedova, A.; Patel, S.; Mirallave-Pescador, A.; et al. Impact of Preoperative Mapping and Intraoperative Neuromonitoring in Minimally Invasive Parafascicular Surgery for Deep-Seated Lesions. World Neurosurg. 2024, 181, e1019–e1037. [Google Scholar] [CrossRef] [PubMed]
- Sangha, M.S.; Rajwani, K.M.; Price, S.A.; Wren, H.; Pescador, A.M.; Gullan, R.; Ashkan, K.; Vergani, F.; Bhangoo, R.; Lavrador, J.P. Awake minimally invasive parafascicular approach to a language eloquent brain tumour-surgical video. J. Surg. Case Rep. 2023, 2023, rjad519. [Google Scholar] [CrossRef] [PubMed] [PubMed Central]








| Data | Description |
|---|---|
| Number of patients | 11 |
| Age (years) | mean 72.6; range 56–83 |
| Sex | M: 5; F: 6 |
| Location | Trigone/atrium: R 4, L 5; Foramen of Monro region: 2 |
| Histology | WHO grade I: 9; WHO grade II: 2 |
| Mean pre-op tumor volume (cm3) | 45.1 |
| Mean tumor depth (cm) | 3.72 |
| Extent of resection | GTR in 11/11 |
| Permanent major deficit | 1/11 (venous infarction suspected) |
| Transient postoperative symptoms/deficits | 4/11 |
| Pt | Tumor Region | Corridor/Entry Gyrus (Trans-Sulcal when Possible) | Tracts at Risk |
|---|---|---|---|
| 1 | Right trigone/atrium | Posterior superior parietal lobule via intraparietal sulcus (IPS) → atrium | Optic radiations (posterior/Baum’s loop); SLF (parietal segment); callosal fibers near splenium; cingulum (posterior) |
| 2 | Right trigone/atrium | Precuneus via parieto-occipital sulcus → medial atrium | Optic radiations; forceps major/splenial fibers; posterior cingulum; inferior fronto-occipital fasciculus (IFOF, posterior) |
| 3 | Right trigone/atrium | Superior occipital gyrus | Optic radiations (high risk); forceps major; IFOF (posterior); inferior longitudinal fasciculus (ILF) |
| 4 | Right trigone/atrium | Angular gyrus region via posterior IPS | SLF; IFOF; posterior optic radiations; parietal “attention” networks (non-dominant but clinically relevant) |
| 5 | Left trigone/atrium | Posterior superior parietal lobule via IPS → atrium | Optic radiations; SLF/arcuate complex (dominant); IFOF (dominant semantic pathway); splenial/callosal fibers |
| 6 | Left trigone/atrium | Precuneus via parieto-occipital sulcus → medial atrium | Optic radiations; forceps major/splenium; posterior cingulum; IFOF (posterior) |
| 7 | Left trigone/atrium | Posterior middle temporal gyrus | Meyer’s loop (optic radiations, very high risk); ILF; IFOF; arcuate/SLF (dominant) |
| 8 | Left trigone/atrium | Inferior parietal lobule (supramarginal/angular region) | Arcuate fasciculus/SLF (language); IFOF; optic radiations; parietal language cortex (dominant) |
| 9 | Left trigone/atrium | Superior parietal lobule | SLF/arcuate; optic radiations (posterior); cingulum; callosal fibers (posterior) |
| 10 | Foramen of Monro region | Middle frontal gyrus via superior frontal sulcus/frontal horn (transcortical transventricular to Monro) | Corticospinal tract (subcortical); SLF (frontal segment); frontal aslant tract (speech initiation, dominant); anterior thalamic radiation; caudate head |
| 11 | Foramen of Monro region | Superior frontal gyrus (more medial frontal horn trajectory; minimized eloquent lateral cortex) | Cingulum; forceps minor (callosal frontal fibers); anterior thalamic radiation; corticospinal tract (if too posterior); fornix (critical near Monro, memory) |
| Pt | Tumor Region | Case-Specific Complication | Case Detail (Likely Substrate, Tractography Use and Retractor Type) |
|---|---|---|---|
| 2 | Right trigone/atrium | Transient homonymous quadrantanopia improving over weeks | Optic radiations stretch; no tractography; NICO retractor |
| 4 | Right trigone/atrium | Transient left visuospatial neglect (or mild inattention), resolved by discharge/short rehab | Non-dominant parietal network corridor edema; tractography performed; ENDOPATH retractor |
| 6 | Left trigone/atrium | No new deficit; transient postoperative agitation/delirium (24–72 h) | Postop delirium in elderly; no tractography; ENDOPATH retractor |
| 8 | Left trigone/atrium | Transient aphasia + mild right arm weakness, resolved within 1–3 months | Association fibers peri-corridor edema; tractography performed; NICO retractor |
| 11 | Foramen of Monro | Permanent deficit due to suspected venous infarction (right-sided hemiplegia) | Deep venous injury (thalamostriate/septal/internal cerebral veins); tractography performed; ENDOPATH retractor |
Disclaimer/Publisher’s Note: The statements, opinions and data contained in all publications are solely those of the individual author(s) and contributor(s) and not of MDPI and/or the editor(s). MDPI and/or the editor(s) disclaim responsibility for any injury to people or property resulting from any ideas, methods, instructions or products referred to in the content. |
© 2026 by the authors. Licensee MDPI, Basel, Switzerland. This article is an open access article distributed under the terms and conditions of the Creative Commons Attribution (CC BY) license.
Share and Cite
Iacoangeli, A.; Liverotti, V.; Chiapponi, M.; Aiudi, D.; Mattioli, A.; di Somma, L.; Carai, A.; Luzi, M.; Trignani, R.; Mahboob, H.A.; et al. Minimally Invasive Surgical Strategies in Intraventricular Tumors: Preliminary Experience with Tubular Retractors for a Personalized Approach in Intraventricular Meningiomas. J. Pers. Med. 2026, 16, 61. https://doi.org/10.3390/jpm16020061
Iacoangeli A, Liverotti V, Chiapponi M, Aiudi D, Mattioli A, di Somma L, Carai A, Luzi M, Trignani R, Mahboob HA, et al. Minimally Invasive Surgical Strategies in Intraventricular Tumors: Preliminary Experience with Tubular Retractors for a Personalized Approach in Intraventricular Meningiomas. Journal of Personalized Medicine. 2026; 16(2):61. https://doi.org/10.3390/jpm16020061
Chicago/Turabian StyleIacoangeli, Alessio, Valentina Liverotti, Mario Chiapponi, Denis Aiudi, Andrea Mattioli, Lucia di Somma, Andrea Carai, Michele Luzi, Roberto Trignani, Hani A. Mahboob, and et al. 2026. "Minimally Invasive Surgical Strategies in Intraventricular Tumors: Preliminary Experience with Tubular Retractors for a Personalized Approach in Intraventricular Meningiomas" Journal of Personalized Medicine 16, no. 2: 61. https://doi.org/10.3390/jpm16020061
APA StyleIacoangeli, A., Liverotti, V., Chiapponi, M., Aiudi, D., Mattioli, A., di Somma, L., Carai, A., Luzi, M., Trignani, R., Mahboob, H. A., Luzardo, G., Feletti, A., Marras, C. E., Iacoangeli, M., & Gladi, M. (2026). Minimally Invasive Surgical Strategies in Intraventricular Tumors: Preliminary Experience with Tubular Retractors for a Personalized Approach in Intraventricular Meningiomas. Journal of Personalized Medicine, 16(2), 61. https://doi.org/10.3390/jpm16020061

