Primary Pleural Lymphoma in an Immune-Competent Patient: A Diagnostic and Therapeutic Challenge
Abstract
1. Introduction
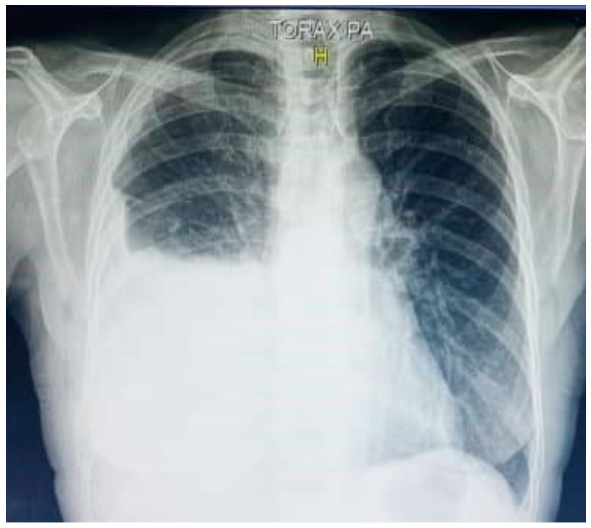
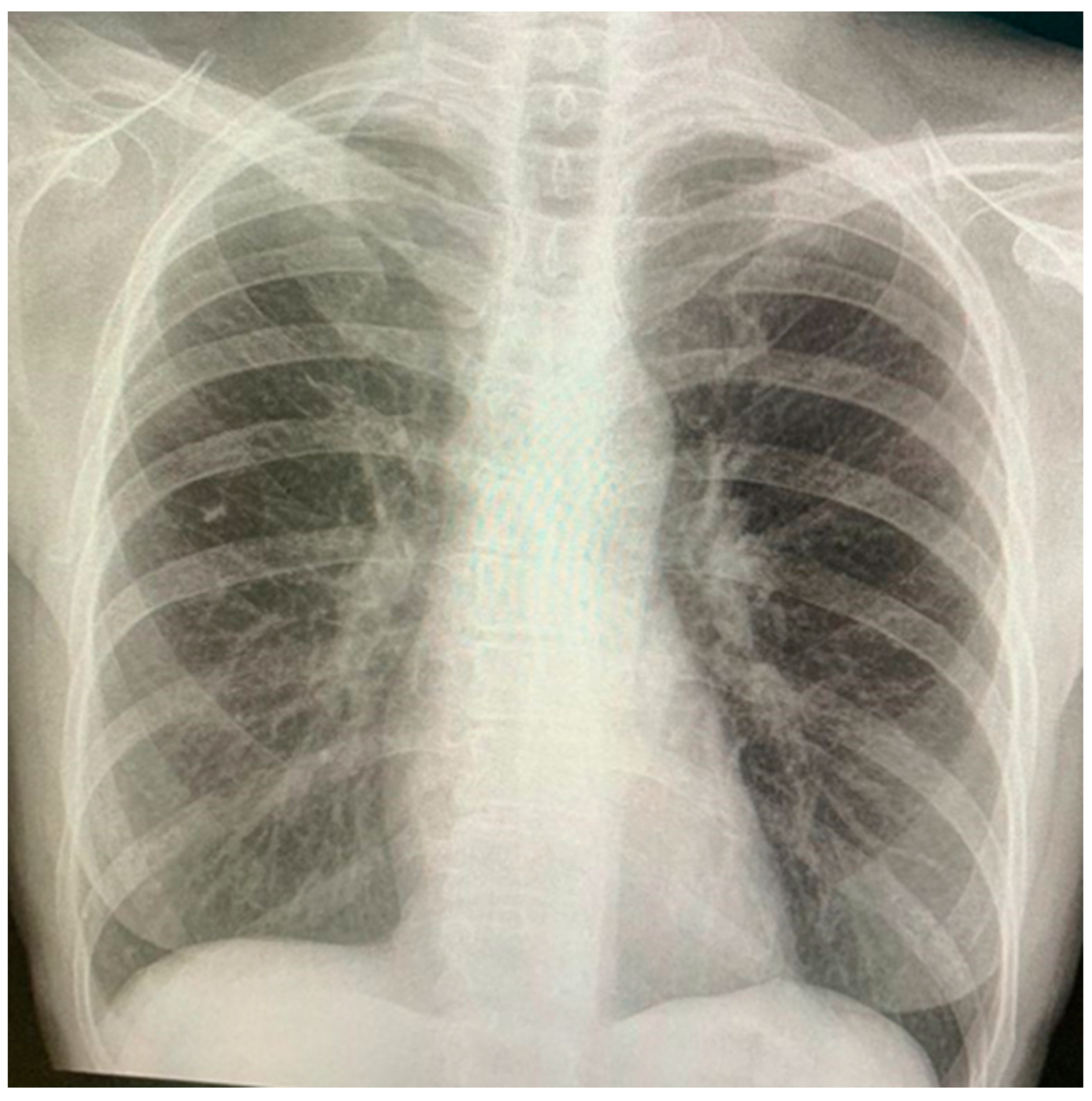
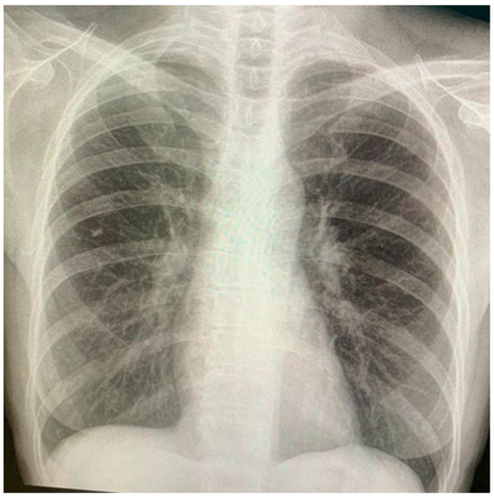
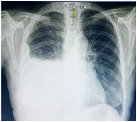
2. Case Presentation
2.1. Diagnostic Imaging and Video-Assisted Thoracoscopic Surgery (VATS)
2.2. Pathology
2.3. Treatment and Follow-Up
3. Discussion
4. Conclusions
Author Contributions
Funding
Institutional Review Board Statement
Informed Consent Statement
Data Availability Statement
Conflicts of Interest
References
- Pereira, L.J.; Mohrbacher, S.; Neves, P.D.M.d.M.; Zacchi, F.F.S.; Medeiros, I.U.D.; Sato, V.A.H.; Oliveira, É.S.; Pereira, L.V.B.; Cuvello-Neto, A.L.; Baiocchi, O.; et al. Primary Effusion Lymphoma: A Rare and Challenging Diagnosis for Recurrent Pleural Effusion. Diagnostics 2023, 13, 370. [Google Scholar] [CrossRef] [PubMed]
- Attanoos, R.L.; Pugh, M.R. The diagnosis of pleural tumors other than mesothelioma. Arch. Pathol. Lab. Med. 2018, 142, 902–913. [Google Scholar] [CrossRef]
- Guerra, S.S.; Coutinho, S.; Abrantes, T.; Rocha, P.; Silva, H.M. Primary pleural lymphoma-A rare diagnosis. Pulmonology 2022, 29, 94–96. [Google Scholar] [CrossRef] [PubMed]
- Farissi, Y.; Kouevidjin-Eppou, G.; Mazieres, J.; Abakarim, O. Primary pleural lymphoma: A case report. PAMJ Clin. Med. 2024, 14, 45. [Google Scholar] [CrossRef]
- Jiménez, L.P.; Martín, A.R.; Graves, M.G.; Mesa, A.M.; de Neumología, S.; de la Victoria, H.U.V. Linfoma pleural primario asociado a piotórax. Rev. Esp. Patol. Torác. 2018, 30, 196–199. [Google Scholar]
- Farrés, M.T.; Dock, W.; Augustin, I.; Windhager, R.; Riegler, M.; Eibenberger, K.; Grabenwöger, F. Radiologisches Erscheinungsbild des primären Knochenlymphoms. In RöFo-Fortschritte auf dem Gebiet der Röntgenstrahlen und der Bildgebenden Verfahren; © Georg Thieme Verlag Stuttgart: New York, NY, USA, 1993; Volume 158, pp. 589–593. [Google Scholar]
- Hasegawa, T.; Matsuno, Y.; Shimoda, T.; Hasegawa, F.; Sano, T.; Hirohashi, S. Extrathoracic solitary fibrous tumors: Their histological variability and potentially aggressive behavior. Hum. Pathol. 1999, 30, 1464–1473. [Google Scholar] [CrossRef]
- Tiwari, N.; Kumbhare, R.; Walke, R.R. Physical therapy rehabilitation for a chronic Alcoholic Patient with loculated pleural effusion. Cureus 2022, 14, e30368. [Google Scholar] [CrossRef]
- Win, K.Y.; Choomchuay, S.; Hamamoto, K.; Raveesunthornkiat, M.; Rangsirattanakul, L.; Pongsawat, S. Computer aided diagnosis system for detection of cancer cells on cytological pleural effusion images. Biomed Res. Int. 2018, 2018, 6456724. [Google Scholar] [CrossRef]
- Sun, M.-L.; Shang, B.; Gao, J.-H.; Jiang, S.-J. Rare case of primary pleural lymphoma presenting with pleural effusion. Thorac. cancer 2016, 7, 145–150. [Google Scholar] [CrossRef]
- Gastesi, A.; Kapadia, D. Primary pleural lymphoma. Respir. Med. Case Rep. 2024, 50, 102046. [Google Scholar] [CrossRef]
- Oikonomou, A.; Giatromanolaki, A.; Margaritis, D.; Froudarakis, M.; Prassopoulos, P. Primary pleural lymphoma: Plaque-like thickening of the pleura. Jpn. J. Radiol. 2010, 28, 62–65. [Google Scholar] [CrossRef] [PubMed]
- Shimada, K.; Hayakawa, F.; Kiyoi, H. Biology and management of primary effusion lymphoma. Blood 2018, 132, 1879–1888. [Google Scholar] [CrossRef]
- Pandey, S.; Tan, E.F.S.; Tun, M.M.; Bellamkonda, A.; Htet, S.Y.; Kunwar, K.; Kalavar, M. Primary Effusion Lymphoma Secondary to Human Herpesvirus 8 (HHV-8) Infection in an Immunocompetent Host: A Case Report. Cureus 2024, 16, e55774. [Google Scholar] [CrossRef]
- Kligerman, S.J.; Franks, T.J.; Galvin, J.R. Primary extranodal lymphoma of the thorax. Radiol. Clin. 2016, 54, 673–687. [Google Scholar] [CrossRef]
- Mitchell, A.; Meunier, C.; Ouellette, D.; Colby, T. Extranodal marginal zone lymphoma of mucosa-associated lymphoid tissue with initial presentation in the pleura. Chest 2006, 129, 791–794. [Google Scholar] [CrossRef]
- Zhang, Q.; Ju, Y.; Qu, T.; Wang, T.; Liu, X. Primary diffuse large B-cell lymphoma as a chest-wall mass: A case report. Medicine 2018, 97, e13291. [Google Scholar] [CrossRef] [PubMed]
- Iuchi, K.; Aozasa, K.; Yamamoto, S.; Mori, T.; Tajima, K.; Minato, K.; Mukai, K.; Komatsu, H.; Tagaki, T.; Kobashi, Y. Non-Hodgkin’s lymphoma of the pleural cavity developing from long-standing pyothorax. Summary of clinical and pathological findings in thirty-seven cases. Jpn. J. Clin. Oncol. 1989, 19, 249–257. [Google Scholar]
- Aozasa, K. Pyothorax-associated lymphoma. J. Clin. Exp. Hematop. 2006, 46, 5–10. [Google Scholar] [CrossRef] [PubMed]
- Cerezo-Hernández, A.; García-Gallardo Sanz, M.V.; Arroyo Domingo, C.A.; Campo Matías, F.D. Linfoma pleural asociado a empiema crónico. Arch. Bronconeumol.(Ed. Impr.) 2018, 54, 400–401. [Google Scholar] [CrossRef]
- Yachoui, R.; Leon, C.; Sitwala, K.; Kreidy, M. Pulmonary MALT lymphoma in patients with Sjögren’s syndrome. Clin. Med. Res. 2017, 15, 6–12. [Google Scholar] [CrossRef]
- Alunno, A.; Leone, M.C.; Giacomelli, R.; Gerli, R.; Carubbi, F. Lymphoma and lymphomagenesis in primary Sjögren’s syndrome. Front. Med. 2018, 5, 102. [Google Scholar] [CrossRef]
- Hara, N.; Fujimoto, N.; Miyamoto, Y.; Yamagishi, T.; Asano, M.; Fuchimoto, Y.; Wada, S.; Ozaki, S.; Kishimoto, T. Lymphoproliferative disorder in pleural effusion in a subject with past asbestos exposure. Respir. Med. Case Rep. 2015, 16, 169–171. [Google Scholar] [CrossRef] [PubMed]
- Jaramillo, F.A.; Gutierrez, F.; Bhalla, S. Pleural tumours and tumour-like lesions. Clin. Radiol. 2018, 73, 1014–1024. [Google Scholar] [CrossRef]
- Tian, P.; Qiu, R.; Wang, M.; Xu, S.; Cao, L.; Yang, P.; Li, W. Prevalence, Causes, and Health Care Burden of Pleural Effusions Among Hospitalized Adults in China. JAMA Netw. Open 2021, 4, e2120306. [Google Scholar] [CrossRef] [PubMed]
- Ferreiro, L.; Toubes, M.E.; San José, M.E.; Suárez-Antelo, J.; Golpe, A.; Valdés, L. Advances in pleural effusion diagnostics. Expert Rev. Respir. Med. 2020, 14, 51–66. [Google Scholar] [CrossRef] [PubMed]
- Taghizadeh, N.; Fortin, M.; Tremblay, A. US Hospitalizations for Malignant Pleural Effusions: Data From the 2012 National Inpatient Sample. Chest 2017, 151, 845–854. [Google Scholar] [CrossRef]
- Shao, C.; Guo, Y.; Xu, X.; Pan, D.; Wang, B.; Tang, Y.; Xu, S. Non-pyothorax-associated primary pleural lymphoma without pleural effusion in an immunocompetent patient: A case report and literature review. J. Thorac. Dis. 2018, 10, E368–E371. [Google Scholar] [CrossRef]
- Hirai, S.; Hamanaka, Y.; Mitsui, N.; Morifuji, K.; Sutoh, M. Primary malignant lymphoma arising in the pleura without preceding long-standing pyothorax. Ann. Thorac. Cardiovasc. Surg. Off. J. Assoc. Thorac. Cardiovasc. Surg. Asia 2004, 10, 297–300. [Google Scholar]
- Rabadão, T.; Naia, L.; Ferreira, F.; Teixeira, M.; Aveiro, M.; Eulálio, M.; Silva, F. Not Always (and Only) Heart Failure—A Case Report of Primary Pleural Lymphoma in an Elderly Patient. Clin. Pract. 2021, 11, 32–36. [Google Scholar] [CrossRef]
- Ru, X.; Ge, M.; Li, L.; Lin, Y.; Liu, L. Primary pleural lymphoma: A rare case and a synopsis of the literature. J. Thorac. Dis. 2013, 5, E121–E123. [Google Scholar] [CrossRef]
- Li, S.; Young, K.H.; Medeiros, L.J. Diffuse large B-cell lymphoma. Pathology 2018, 50, 74–87. [Google Scholar] [CrossRef] [PubMed]
- Truong, G.T.D.; Creech, Z.A.; Shaffer, K.V.; Merrill, M. Diffuse Large B-cell Lymphoma Presenting as a Primary Pleural Mass: A Case Report and Literature Review. Cureus 2022, 14, e22765. [Google Scholar] [CrossRef] [PubMed]
- Kanno, H.; Naka, N.; Yasunaga, Y.; Iuchi, K.; Yamauchi, S.; Hashimoto, M.; Aozasa, K. Production of the immunosuppressive cytokine interleukin-10 by Epstein-Barr-virus-expressing pyothorax-associated lymphoma: Possible role in the development of overt lymphoma in immunocompetent hosts. Am. J. Pathol. 1997, 150, 349. [Google Scholar]
- Martin, A.; Capron, F.; Liguory-Brunaud, M.D.; De Frejacques, C.; Pluot, M.; Diebold, J. Epstein-Barr virus-associated primary malignant lymphomas of the pleural cavity occurring in longstanding pleural chronic inflammation. Hum. Pathol. 1994, 25, 1314–1318. [Google Scholar] [CrossRef]
- Yang, X.; Xu, X.; Song, B.; Zhou, Q.; Zheng, Y. Misdiagnosis of primary pleural DLBCL as tuberculosis: A case report and literature review. Mol. Clin. Oncol. 2018, 8, 729–732. [Google Scholar] [CrossRef]
- Flores-Uzcanga, M.A.; Tovar-Becerra, A.I.; Narváez-Anzures, E.O.; Padrón-Arredondo, G. Primary Pleural Lymphoma: Case Report. Br. J. Healthc. Med. Res. 2023, 10, 269–272. [Google Scholar] [CrossRef]
- Kim, Y.; Lee, M.; Ryu, Y.J.; Cho, M.-S. The pleural sandwich sign in two cases of primary pleural lymphoma. Korean J. Radiol. 2015, 16, 213–216. [Google Scholar] [CrossRef]
- Froudarakis, M.E. Diagnostic work-up of pleural effusions. Respiration. 2008, 75, 4–13. [Google Scholar] [CrossRef] [PubMed]
- Giardino, A.; O’Regan, K.N.; Hargreaves, J.; Jagannathan, J.; Park, D.; Ramaiya, N.; Fisher, D. Primary pleural lymphoma without associated pyothorax. J. Clin. Oncol. Off. J. Am. Soc. Clin. Oncol. 2011, 29, e413–e415. [Google Scholar] [CrossRef]
- Wang, F.; Lan, H. A case report on the effect of rituximab on pyothorax-associated lymphoma. Medicine 2019, 98, e18393. [Google Scholar] [CrossRef]
- Pfreundschuh, M.; Kuhnt, E.; Trümper, L.; Osterborg, A.; Trneny, M.; Shepherd, L.; Gill, D.S.; Walewski, J.; Pettengell, R.; Jaeger, U.; et al. CHOP-like chemotherapy with or without rituximab in young patients with good-prognosis diffuse large-B-cell lymphoma: 6-year results of an open-label randomised study of the MabThera International Trial (MInT) Group. Lancet. Oncol. 2011, 12, 1013–1022. [Google Scholar] [CrossRef] [PubMed]
- Katkov, D. Challenges in Diagnosing Pleural Thickening: Primary Pleural Follicular Lymphoma. Cureus 2024, 16, e63018. [Google Scholar] [CrossRef]
- Cavalcante Neto, P.M.; Milinavicius, R.; Matias, S.L.K.; Holz, I.M.; Bertoldi, A.R.; Espindula, B.F.; Cruz de Oliveira Castellano, M.V. Primary Pleural Lymphoma: Case Report. In B43. PLEURAL DISEASE CASE REPORTS I; American Thoracic Society: New York, NY, USA, 2019; p. A3225. ISBN 1073-449X. [Google Scholar]
- Elsayed, M.; Ali, A.; Andrijevskiene, G. Plasmablastic Lymphoma Manifesting As Pleural Thickening and Effusion: A Case Report. Cureus 2024, 16, e73961. [Google Scholar] [CrossRef] [PubMed]
- Gathers, D.A.; Galloway, E.; Kelemen, K.; Rosenthal, A.; Gibson, S.E.; Munoz, J. Primary Effusion Lymphoma: A Clinicopathologic Perspective. Cancers 2022, 14, 722. [Google Scholar] [CrossRef] [PubMed]
- Onatsko, N.; Karam, I.; Thida, A.; Attia, H.; Bhamidipati, D.; Hamadi, R.; Gupta, R.; Preet, M.; Thida, A.M. Pleural Marginal Zone Lymphoma Masquerading as Metastatic Adenocarcinoma of the Lung. Cureus 2024, 16, e73462. [Google Scholar] [CrossRef]
- Fiorelli, A.; D’Andrilli, A.; Carlucci, A.; Vicidomini, G.; Loizzi, D.; Ardò, N.P.; Marasco, R.D.; Ventura, L.; Ampollini, L.; Carbognani, P. Prognostic factors of lung cancer in lymphoma survivors (the LuCiLyS study). Transl. Lung Cancer Res. 2020, 9, 90. [Google Scholar] [CrossRef]
- Devaux, M.; Boulin, M.; Mounier, M.; Caillot, D.; Ahwij, N.; Herbin, A.; Bastie, J.N.; Favennec, C.; Robert, P.; Pistre, P. Clinical and Economic Impact of a Multidisciplinary Follow-Up Program in Lymphoma Patients. Cancers 2022, 14, 2532. [Google Scholar] [CrossRef]
- Agostinelli, G.; Muzzatti, B.; Serpentini, S.; Spina, M.; Annunziata, M.A. Cancer-related psychological distress in lymphoma survivor: An Italian cross-sectional study. Front. Psychol. 2022, 13, 872329. [Google Scholar] [CrossRef]
- Rosenthal, A. Quality of life and survivorship in lymphoma. Curr. Oncol. Rep. 2022, 24, 1113–1120. [Google Scholar] [CrossRef]





| Author | Age and Gender | Primary Site | Other Structures Involvement | Cancer Type | Treatment, Outcome |
|---|---|---|---|---|---|
| Yang et al. [36] | 49, male | Left pleura | Chest wall, presence of left pleural effusion | DLBCL | CHOP chemotherapy was administered with a significant delay. Deceased. |
| Rabadão et al. [30] | 81, female | Right superior lobe pleura | Long-standing pleural effusion, heart Failure | DLBCL | Cyclophosphamide and prednisolone; remission. |
| Sun et al. [10] | 73, male | Left pleura | Left pleural effusion | DLBCL | Cyclophosphamide, pirarubicin, vincristine, and prednisolone (CHOP) chemotherapy; remission |
| Ru et al. [31] | 74, female | Right pleural cavity | Anemia, right-sided pleural effusion | Small B-cell lymphocytic lymphoma (SLL) | Surgery; remission |
| Farissi et al. [4] | 79, NA | Pleura | Tumoral Epiduritis | DLBCL | Initial: Cyclophosphamide, Vincristine, and Prednisone + Subsequent R-CHOP21 |
| Katkov [43] | 66, male | Pleura | Right pleural Effusion | Low-grade B-cell lymphoma | The patient refused any further diagnostic tests, including PET/CT, as well as any treatment for lymphoma. |
| Gastesi et al. [11] | 57, male | Pleura | Primary pleural Hodgkin’s lymphoma | Not reported | |
| Onatsko et al. [47] | 88, woman | Pleura | Recurrent bilateral pleural effusions | Pleural marginal zone lymphoma (PMZL) | Deceased |
| Elsayed et al. [45] | 34, male | Pleura | Left hemithorax, consistent with a large pleural effusion | Plasmablastic lymphoma. | cyclophosphamide, doxorubicin, vincristine, and prednisolone (CHOP), Deceased |
| Pandey et al. [14] | 76, male | Pleura | bilateral pleural effusion | Primary effusion lymphoma (PEL, non-Hodgkin’s lymphoma) | cyclophosphamide, doxorubicin, vincristine, and prednisone (CHOP) |
Disclaimer/Publisher’s Note: The statements, opinions and data contained in all publications are solely those of the individual author(s) and contributor(s) and not of MDPI and/or the editor(s). MDPI and/or the editor(s) disclaim responsibility for any injury to people or property resulting from any ideas, methods, instructions or products referred to in the content. |
© 2025 by the authors. Licensee MDPI, Basel, Switzerland. This article is an open access article distributed under the terms and conditions of the Creative Commons Attribution (CC BY) license (https://creativecommons.org/licenses/by/4.0/).
Share and Cite
Paredes, C.S.; Lauretta, J.; Semprun, M.; Rivera-Porras, D.; Viloria, M.E.; Bermúdez, V. Primary Pleural Lymphoma in an Immune-Competent Patient: A Diagnostic and Therapeutic Challenge. J. Pers. Med. 2025, 15, 162. https://doi.org/10.3390/jpm15050162
Paredes CS, Lauretta J, Semprun M, Rivera-Porras D, Viloria ME, Bermúdez V. Primary Pleural Lymphoma in an Immune-Competent Patient: A Diagnostic and Therapeutic Challenge. Journal of Personalized Medicine. 2025; 15(5):162. https://doi.org/10.3390/jpm15050162
Chicago/Turabian StyleParedes, Carlos Silva, Juan Lauretta, Marien Semprun, Diego Rivera-Porras, María Elena Viloria, and Valmore Bermúdez. 2025. "Primary Pleural Lymphoma in an Immune-Competent Patient: A Diagnostic and Therapeutic Challenge" Journal of Personalized Medicine 15, no. 5: 162. https://doi.org/10.3390/jpm15050162
APA StyleParedes, C. S., Lauretta, J., Semprun, M., Rivera-Porras, D., Viloria, M. E., & Bermúdez, V. (2025). Primary Pleural Lymphoma in an Immune-Competent Patient: A Diagnostic and Therapeutic Challenge. Journal of Personalized Medicine, 15(5), 162. https://doi.org/10.3390/jpm15050162

