The Endoscopic Management of Anastomotic Strictures After Esophagogastric Surgery: A Comprehensive Review of Emerging Approaches Beyond Endoscopic Dilation
Abstract
1. Introduction
2. Materials and Methods
3. Endoscopic Technique
3.1. Intra-Lesional Steroid Injection (ILSI)
3.2. MMC Topical Application or Injection
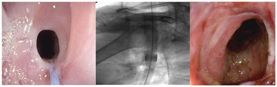
3.3. Endoscopic Incision Technique (EIT)
3.4. Endoscopic Stents
3.4.1. Fully Covered-Self Expandable Metal Stents (FC-SEMSs)
3.4.2. Biodegradable Stents (BDSs)
3.4.3. Lumen-Apposing Metal Stent (LAMS)
4. Discussion
5. Conclusions
Author Contributions
Funding
Institutional Review Board Statement
Informed Consent Statement
Data Availability Statement
Conflicts of Interest
References
- Na, B.; Kang, C.H.; Na, K.J.; Park, S.; Park, I.K.; Kim, Y.T. Risk Factors of Anastomosis Stricture After Esophagectomy and the Impact of Anastomosis Technique. Ann. Thorac. Surg. 2023, 115, 1257–1264. [Google Scholar] [CrossRef] [PubMed]
- Koshy, R.M.; Brown, J.M.; Chmelo, J.; Watkinson, T.; Phillips, A.W. Anastomotic stricture after Ivor Lewis esophagectomy: An evaluation of incidence, risk factors, and treatment. Surgery 2022, 171, 393–398. [Google Scholar] [CrossRef] [PubMed]
- Sutcliffe, R.P.; Forshaw, M.J.; Tandon, R.; Rohatgi, A.; Strauss, D.C.; Botha, A.J.; Mason, R.C. Anastomotic strictures and delayed gastric emptying after esophagectomy: Incidence, risk factors and management. Dis. Esophagus 2008, 21, 712–717. [Google Scholar] [CrossRef]
- Zhong, Y.; Sun, R.; Li, W.; Wang, W.; Che, J.; Ji, L.; Guo, B.; Zhai, C. Risk factors for esophageal anastomotic stricture after esophagectomy: A meta-analysis. BMC Cancer 2024, 24, 872. [Google Scholar] [CrossRef]
- Tanaka, K.; Makino, T.; Yamasaki, M.; Nishigaki, T.; Miyazaki, Y.; Takahashi, T.; Kurokawa, Y.; Nakajima, K.; Takiguchi, S.; Mori, M.; et al. An analysis of the risk factors of anastomotic stricture after esophagectomy. Surg. Today 2018, 48, 449–454. [Google Scholar] [CrossRef] [PubMed]
- Khrucharoen, U.; Weitzner, Z.N.; Chen, Y.; Dutson, E.P. Incidence and risk factors for early gastrojejunostomy anastomotic stricture requiring endoscopic intervention following laparoscopic Roux-en-Y gastric bypass: A MBSAQIP analysis. Surg. Endosc. 2022, 36, 3833–3842. [Google Scholar] [CrossRef]
- Daoud, N.D.; Ghoz, H.; Mzaik, O.; Zaver, H.B.; McKinney, M.; Brahmbhatt, B.; Woodward, T. Endoscopic Management of Luminal Strictures: Beyond Dilation. Dig. Dis. Sci. 2022, 67, 1480–1499. [Google Scholar] [CrossRef]
- Baumann, A.J.; Mramba, L.K.; Hawkins, R.B.; Carpenter, A.-M.; Fleisher, M.S.; Ayzengart, A.L.; Estores, D.S. Endoscopic Dilation of Bariatric RNY Anastomotic Strictures: A Systematic Review and Meta-analysis. Obes. Surg. 2018, 28, 4053–4063. [Google Scholar] [CrossRef]
- Ferguson, D.D. Evaluation and management of benign esophageal strictures. Dis. Esophagus 2005, 18, 359–364. [Google Scholar] [CrossRef]
- Dasari, C.S.; Jegadeesan, R.; Patel, H.K.; Desai, M.; Aziz, M.; Thoguluvachandrasekar, V.; Duvvuri, A.; Kohli, D.R.; Repici, A.; Siersema, P.D.; et al. Intralesional steroids and endoscopic dilation for anastomotic strictures after esophagectomy: Systematic review and meta-analysis. Endoscopy 2020, 52, 721–726. [Google Scholar] [CrossRef]
- Siersema, P.D. Treatment options for esophageal strictures. Nat. Clin. Pract. Gastroenterol. Hepatol. 2008, 5, 142–152. [Google Scholar] [CrossRef] [PubMed]
- Josino, I.R.; Madruga-Neto, A.C.; Ribeiro, I.B.; Guedes, H.G.; Brunaldi, V.O.; de Moura, D.T.H.; Bernardo, W.M.; De Moura, E.G.H. Endoscopic Dilation with Bougies versus Balloon Dilation in Esophageal Benign Strictures: Systematic Review and Meta-Analysis. Gastroenterol. Res. Pract. 2018, 2018, 874870. [Google Scholar] [CrossRef] [PubMed]
- Mendelson, A.H.; Small, A.J.; Agarwalla, A.; Scott, F.I.; Kochman, M.L. Esophageal Anastomotic Strictures: Outcomes of Endoscopic Dilation, Risk of Recurrence and Refractory Stenosis, and Effect of Foreign Body Removal. Clin. Gastroenterol. Hepatol. 2015, 13, 263–271.e1. [Google Scholar] [CrossRef] [PubMed]
- Vermeulen, B.D.; de Zwart, M.; Sijben, J.; Soons, E.; van der Weerd, L.; Arese, D.; Hoff, D.W.v.D.; Craviotto, V.; Tan, A.C.T.; Groenen, M.J.; et al. Risk factors and clinical outcomes of endoscopic dilation in benign esophageal strictures: A long-term follow-up study. Gastrointest. Endosc. 2020, 91, 1058–1066. [Google Scholar] [CrossRef]
- Siersema, P.D. How to Approach a Patient With Refractory or Recurrent Benign Esophageal Stricture. Gastroenterology 2019, 156, 7–10. [Google Scholar] [CrossRef]
- Ramage, J.I.; Rumalla, A.; Baron, T.H.; Pochron, N.L.; Zinsmeister, A.R.; Murray, J.A.; Norton, I.D.; Diehl, N.; Romero, Y. A Prospective, Randomized, Double-Blind, Placebo-Controlled Trial of Endoscopic Steroid Injection Therapy for Recalcitrant Esophageal Peptic Strictures. Am. J. Gastroenterol. 2005, 100, 2419–2425. [Google Scholar] [CrossRef]
- Kochhar, R.; Ray, J.D.; Sriram, P.V.J.; Kumar, S.; Singh, K. Intralesional steroids augment the effects of endoscopic dilation in corrosive esophageal strictures. Gastrointest. Endosc. 1999, 49, 509–513. [Google Scholar] [CrossRef]
- Pih, G.Y.; Kim, D.H.; Gong, E.J.; Na, H.K.; Jung, K.W.; Lee, J.H.; Ahn, J.Y.; Choi, K.D.; Song, H.J.; Lee, G.H.; et al. Preventing esophageal strictures with steroids after endoscopic submucosal dissection in superficial esophageal neoplasm. J. Dig. Dis. 2019, 20, 609–616. [Google Scholar] [CrossRef]
- Ishihara, R.; Arima, M.; Iizuka, T.; Oyama, T.; Katada, C.; Kato, M.; Goda, K.; Goto, O.; Tanaka, K.; Yano, T.; et al. Endoscopic submucosal dissection/endoscopic mucosal resection guidelines for esophageal cancer. Dig. Endosc. 2020, 32, 452–493. [Google Scholar] [CrossRef]
- Honkoop, P.; Siersema, P.D.; Tilanus, H.W.; Stassen, L.P.S.; Hop, W.C.J.; Van Blankenstein, M. Benign anastomotic strictures after transhiatal esophagectomy and cervical esophagogastrostomy: Risk factors and management. J. Thorac. Cardiovasc. Surg. 1996, 111, 1141–1148. [Google Scholar] [CrossRef]
- Henskens, N.; Wauters, L.; Vanuytsel, T. Intralesional steroid injections in addition to endoscopic dilation in benign refractory esophageal strictures: A systematic review. Acta Gastro-Enterol. Belg. 2020, 83, 432–440. [Google Scholar]
- Hirdes, M.M.; van Hooft, J.E.; Koornstra, J.J.; Timmer, R.; Leenders, M.; Weersma, R.K.; Weusten, B.L.; van Hillegersberg, R.; Henegouwen, M.I.v.B.; Plukker, J.T.; et al. Endoscopic Corticosteroid Injections Do Not Reduce Dysphagia After Endoscopic Dilation Therapy in Patients With Benign Esophagogastric Anastomotic Strictures. Clin. Gastroenterol. Hepatol. 2013, 11, 795–801.e1. [Google Scholar] [CrossRef] [PubMed]
- Pereira-Lima, J.C.; Lemos Bonotto, M.; Hahn, G.D.; Watte, G.; Lopes, C.V.; Dos Santos, C.E.O.; Teixeira, C.R. A prospective randomized trial of intralesional triamcinolone injections after endoscopic dilation for complex esophagogastric anastomotic strictures: Steroid injection after endoscopic dilation. Surg. Endosc. 2015, 29, 1156–1160. [Google Scholar] [CrossRef]
- Hanaoka, N.; Ishihara, R.; Motoori, M.; Takeuchi, Y.; Uedo, N.; Matsuura, N.; Hayashi, Y.; Yamada, T.; Yamashina, T.; Higashino, K.; et al. Endoscopic Balloon Dilation Followed By Intralesional Steroid Injection for Anastomotic Strictures After Esophagectomy: A Randomized Controlled Trial. Am. J. Gastroenterol. 2018, 113, 1468–1474. [Google Scholar] [CrossRef] [PubMed]
- Gillespie, M.B.; Day, T.A.; Sharma, A.K.; Brodsky, M.B.; Martin-Harris, B. Role of mitomycin in upper digestive tract stricture. Head Neck 2007, 29, 12–17. [Google Scholar] [CrossRef]
- Queiroga, T.L.O.; Cataneo, D.C.; Martins, R.H.G.; Reis, T.A.; Cataneo, A.J.M. Mitomycin C in the Endoscopic Treatment of Laryngotracheal Stenosis: Systematic Review and Proportional Meta-Analysis. Int. Arch. Otorhinolaryngol. 2020, 24, e112–e124. [Google Scholar] [CrossRef] [PubMed]
- Bartel, M.J.; Seeger, K.; Jeffers, K.; Clayton, D.; Wallace, M.B.; Raimondo, M.; Woodward, T.A. Topical Mitomycin C application in the treatment of refractory benign esophageal strictures in adults and comprehensive literature review. Dig. Liver Dis. Off. J. Ital. Soc. Gastroenterol. Ital. Assoc. Study Liver 2016, 48, 1058–1065. [Google Scholar] [CrossRef]
- Zhang, Y.; Wang, X.; Liu, L.; Chen, J.P.; Fan, Z.N. Intramuscular injection of mitomycin C combined with endoscopic dilation for benign esophageal strictures. J. Dig. Dis. 2015, 16, 370–376. [Google Scholar] [CrossRef]
- Nissenkorn, I.; Herrod, H.; Soloway, M.S. Side Effects Associated with Intravesical Mitomycin C. J. Urol. 1981, 126, 596–597. [Google Scholar] [CrossRef]
- Brandimarte, G.; Tursi, A. Endoscopic Treatment of Benign Anastomotic Esophageal Stenosis with Electrocautery. Endoscopy 2002, 34, 399–401. [Google Scholar] [CrossRef]
- Lee, T.H.; Lee, S.-H.; Park, J.-Y.; Lee, C.K.; Chung, I.-K.; Kim, H.S.; Park, S.-H.; Kim, S.-J.; Hong, S.J.; Lee, M.S. Primary incisional therapy with a modified method for patients with benign anastomotic esophageal stricture. Gastrointest. Endosc. 2009, 69, 1029–1033. [Google Scholar] [CrossRef]
- Hordijk, M.L.; Siersema, P.D.; Tilanus, H.W.; Kuipers, E.J. Electrocautery therapy for refractory anastomotic strictures of the esophagus. Gastrointest. Endosc. 2006, 63, 157–163. [Google Scholar] [CrossRef] [PubMed]
- Jimoh, Z.; Jogiat, U.; Hajjar, A.; Verhoeff, K.; Turner, S.; Wong, C.; Kung, J.Y.; Bédard, E.L.R. Endoscopic incisional therapy for benign anastomotic strictures after esophagectomy or gastrectomy: A systematic review and meta-analysis. Surg. Endosc. 2024, 38, 2995–3003. [Google Scholar] [CrossRef]
- Zhang, Z.; Xu, J.; Xu, J.; Xu, M.; Chen, S.; Zhong, Y.; Zhang, Y.; Chen, W.; Ma, L.; Qin, W.; et al. Endoscopic radial incision versus endoscopic balloon dilation as initial treatments of benign esophageal anastomotic stricture. J. Gastroenterol. Hepatol. 2022, 37, 2272–2281. [Google Scholar] [CrossRef] [PubMed]
- Pih, G.Y.; Kim, D.H.; Na, H.K.; Ahn, J.Y.; Lee, J.H.; Jung, K.W.; Choi, K.D.; Song, H.J.; Lee, G.H.; Jung, H.-Y. Comparison of the Efficacy and Safety of Endoscopic Incisional Therapy and Balloon Dilatation for Esophageal Anastomotic Stricture. J. Gastrointest. Surg. 2021, 25, 1690–1695. [Google Scholar] [CrossRef]
- Jie, M.M.; Hu, C.J.; Tang, B.; Xie, X.; Lin, H.; Yu, J.; Yang, S.M. Circular incision and cutting, a novel treatment for patients with esophageal cancer with anastomotic stricture after esophagectomy. J. Dig. Dis. 2019, 20, 25–30. [Google Scholar] [CrossRef]
- Wang, F.; Zhang, D.; Zeng, J.; Chen, J. Comparison of endoscopic radial incision and Savary-Gilliard’s bougie dilation in efficacy on refractory esophagogastric anastomosis strictures. Ann. Palliat. Med. 2021, 10, 10963–10970. [Google Scholar] [CrossRef] [PubMed]
- Muto, M.; Ezoe, Y.; Yano, T.; Aoyama, I.; Yoda, Y.; Minashi, K.; Morita, S.; Horimatsu, T.; Miyamoto, S.; Ohtsu, A.; et al. Usefulness of endoscopic radial incision and cutting method for refractory esophagogastric anastomotic stricture (with video). Gastrointest. Endosc. 2012, 75, 965–972. [Google Scholar] [CrossRef]
- Dell’Anna, G.; Fanti, L.; Fanizza, J.; Barà, R.; Barchi, A.; Fasulo, E.; Elmore, U.; Rosati, R.; Annese, V.; Laterza, L.; et al. VAC-Stent in the Treatment of Post-Esophagectomy Anastomotic Leaks: A New “Kid on the Block” Who Marries the Best of Old Techniques-A Review. J. Clin. Med. 2024, 13, 3805. [Google Scholar] [CrossRef]
- Mandarino, F.V.; Barchi, A.; Leone, L.; Fanti, L.; Azzolini, F.; Viale, E.; Esposito, D.; Salmeri, N.; Puccetti, F.; Barbieri, L.; et al. Endoscopic vacuum therapy versus self-expandable metal stent for treatment of anastomotic leaks < 30 mm following oncologic Ivor-Lewis esophagectomy: A matched case-control study. Surg. Endosc. 2023, 37, 7039–7050. [Google Scholar] [CrossRef]
- Vermeulen, B.D.; Siersema, P.D. Esophageal Stenting in Clinical Practice: An Overview. Curr. Treat. Options Gastroenterol. 2018, 16, 260–273. [Google Scholar] [CrossRef] [PubMed]
- Spaander, M.C.W.; Van Der Bogt, R.D.; Baron, T.H.; Albers, D.; Blero, D.; De Ceglie, A.; Conio, M.; Czakó, L.; Everett, S.; Garcia-Pagán, J.-C.; et al. Esophageal stenting for benign and malignant disease: European Society of Gastrointestinal Endoscopy (ESGE) Guideline—Update 2021. Endoscopy 2021, 53, 751–762. [Google Scholar] [CrossRef]
- Mohan, B.P.; Chandan, S.; Garg, R.; Mohamed, S.; Shakhatreh, M.; Dugyala, S.; Mashiana, H.S.; Ponnada, S.; Asokkumar, R.; Adler, D.G. Lumen-apposing Metal Stents, Fully Covered Self-expanding Metal Stents, and Biodegradable Stents in the Management of Benign of GI Strictures: A Systematic Review and Meta-Analysis. J. Clin. Gastroenterol. 2019, 53, 560–573. [Google Scholar] [CrossRef] [PubMed]
- Dell’Anna, G.; Nunziata, R.; Delogu, C.; Porta, P.; Grassini, M.V.; Dhar, J.; Barà, R.; Bencardino, S.; Fanizza, J.; Mandarino, F.V.; et al. The Role of Therapeutic Endoscopic Ultrasound in Management of Malignant Double Obstruction (Biliary and Gastric Outlet): A Comprehensive Review with Clinical Scenarios. J. Clin. Med. 2024, 13, 7731. [Google Scholar] [CrossRef]
- Dell’Anna, G.; Ogura, T.; Vanella, G.; Nishikawa, H.; Lakhtakia, S.; Arcidiacono, P.G. Endoscopic ultrasound guided biliary interventions. Best Pract. Res. Clin. Gastroenterol. 2022, 60–61, 101810. [Google Scholar] [CrossRef]
- Vanella, G.; Dell’Anna, G.; Arcidiacono, P.G. Plastic Versus Metal EUS-Guided Drainage of Pancreatic Fluid Collections: Do We Really Know When to Use the Hard Way? Clin. Gastroenterol. Hepatol. Off. Clin. Pract. J. Am. Gastroenterol. Assoc. 2022, 20, e1507–e1508. [Google Scholar] [CrossRef] [PubMed]
- Bethge, N.; Sommer, A.; Gross, U.; Von Kleist, D.; Vakil, N. Human tissue responses to metal stents implanted in vivo for the palliation of malignant stenoses. Gastrointest. Endosc. 1996, 43, 596–602. [Google Scholar] [CrossRef]
- Nelson, D.B.; Axelrad, A.M.; Fleischer, D.E.; Kozarek, R.A.; Silvis, S.E.; Benjamin, S.B.; Freeman, M.L. Silicone-covered Wallstent prototypes for palliation of malignant esophageal obstruction and digestive-respiratory fistulas. Gastrointest. Endosc. 1997, 45, 31–37. [Google Scholar] [CrossRef]
- Hindy, P.; Hong, J.; Lam-Tsai, Y.; Gress, F. A comprehensive review of esophageal stents. Gastroenterol. Hepatol. 2012, 8, 526–534. [Google Scholar]
- Kantsevoy, S.V.; Bitner, M. Esophageal stent fixation with endoscopic suturing device (with video). Gastrointest. Endosc. 2012, 76, 1251–1255. [Google Scholar] [CrossRef]
- Jena, A.; Chandnani, S.; Jain, S.; Sharma, V.; Rathi, P. Efficacy of endoscopic over-the-scope clip fixation for preventing migration of self-expandable metal stents: A systematic review and meta-analysis. Surg. Endosc. 2023, 37, 3410–3418. [Google Scholar] [CrossRef] [PubMed]
- Law, R.; Prabhu, A.; Fujii-Lau, L.; Shannon, C.; Singh, S. Stent migration following endoscopic suture fixation of esophageal self-expandable metal stents: A systematic review and meta-analysis. Surg. Endosc. 2018, 32, 675–681. [Google Scholar] [CrossRef]
- Liu, J.; Hu, Y.; Cui, C.; Li, Y.; Lin, X.; Fu, J. Removable, Fully Covered, Self-expandable Metal Stents for the Treatment of Refractory Benign Esophagogastric Anastomotic Strictures. Dysphagia 2012, 27, 260–264. [Google Scholar] [CrossRef]
- Bakken, J.C.; Wong Kee Song, L.M.; De Groen, P.C.; Baron, T.H. Use of a fully covered self-expandable metal stent for the treatment of benign esophageal diseases. Gastrointest. Endosc. 2010, 72, 712–720. [Google Scholar] [CrossRef]
- Eloubeidi, M.A.; Talreja, J.P.; Lopes, T.L.; Al-Awabdy, B.S.; Shami, V.M.; Kahaleh, M. Success and complications associated with placement of fully covered removable self-expandable metal stents for benign esophageal diseases (with videos). Gastrointest. Endosc. 2011, 73, 673–681. [Google Scholar] [CrossRef]
- Suzuki, T.; Siddiqui, A.; Taylor, L.J.; Cox, K.; Hasan, R.A.; Laique, S.N.; Mathew, A.; Wrobel, P.; Adler, D.G. Clinical Outcomes, Efficacy, and Adverse Events in Patients Undergoing Esophageal Stent Placement for Benign Indications: A Large Multicenter Study. J. Clin. Gastroenterol. 2016, 50, 373–378. [Google Scholar] [CrossRef] [PubMed]
- Ham, Y.H.; Kim, G.H. Plastic and Biodegradable Stents for Complex and Refractory Benign Esophageal Strictures. Clin. Endosc. 2014, 47, 295. [Google Scholar] [CrossRef] [PubMed]
- Gkolfakis, P.; Siersema, P.D.; Tziatzios, G.; Triantafyllou, K.; Papanikolaou, I.S. Biodegradable esophageal stents for the treatment of refractory benign esophageal strictures. Ann. Gastroenterol. 2020, 33, 330–337. [Google Scholar] [CrossRef]
- Repici, A.; Vleggaar, F.P.; Hassan, C.; Van Boeckel, P.G.; Romeo, F.; Pagano, N.; Malesci, A.; Siersema, P.D. Efficacy and safety of biodegradable stents for refractory benign esophageal strictures: The BEST (Biodegradable Esophageal Stent) study. Gastrointest. Endosc. 2010, 72, 927–934. [Google Scholar] [CrossRef]
- Van Hooft, J.E.; Van Berge Henegouwen, M.I.; Rauws, E.A.; Bergman, J.J.; Busch, O.R.; Fockens, P. Endoscopic treatment of benign anastomotic esophagogastric strictures with a biodegradable stent. Gastrointest. Endosc. 2011, 73, 1043–1047. [Google Scholar] [CrossRef]
- Walter, D.; Van Den Berg, M.; Hirdes, M.; Vleggaar, F.; Repici, A.; Deprez, P.; Viedma, B.; Lovat, L.; Weusten, B.; Bisschops, R.; et al. Dilation or biodegradable stent placement for recurrent benign esophageal strictures: A randomized controlled trial. Endoscopy 2018, 50, 1146–1155. [Google Scholar] [CrossRef] [PubMed]
- Binmoeller, K.; Shah, J. A novel lumen-apposing stent for transluminal drainage of nonadherent extraintestinal fluid collections. Endoscopy 2011, 43, 337–342. [Google Scholar] [CrossRef]
- Suresh Kumar, V.C.; Singh, S.; Moond, V.; Mohan, B.P.; Aswath, G.; Khan, H.M.A.; Sapkota, B.; Adler, D.G. Safety and efficacy of lumen-apposing metal stents for endoscopic ultrasound-guided drainage of pancreatic fluid collections: A systematic review and meta-analysis. Endoscopy 2024, 57, 282–290. [Google Scholar] [CrossRef] [PubMed]
- Capurso, G.; Tacelli, M.; Vanella, G.; Ponz de Leon Pisani, R.; Dell’Anna, G.; Abati, M.; Mele, R.; Lauri, G.; Panaitescu, A.; Nunziata, R.; et al. Managing complications of chronic pancreatitis: A guide for the gastroenterologist. Expert Rev. Gastroenterol. Hepatol. 2023, 17, 1267–1283. [Google Scholar] [CrossRef]
- Bhenswala, P.; Lakhana, M.; Gress, F.G.; Andalib, I. Novel Uses of Lumen-apposing Metal Stents: A Review of the Literature. J. Clin. Gastroenterol. 2021, 55, 641–651. [Google Scholar] [CrossRef]
- van Wanrooij, R.L.J.; Bronswijk, M.; Kunda, R.; Everett, S.M.; Lakhtakia, S.; Rimbas, M.; Hucl, T.; Badaoui, A.; Law, R.; Arcidiacono, P.G.; et al. Therapeutic endoscopic ultrasound: European Society of Gastrointestinal Endoscopy (ESGE) Technical Review. Endoscopy 2022, 54, 310–332. [Google Scholar] [CrossRef]
- Vanella, G.; Dell’Anna, G.; Arcidiacono, P.G. EUS-directed transenteric ERCP with giant intrahepatic stone lithotripsy after a LAMS-in-LAMS rescue in response to a misdeployment. VideoGIE Off. Video J. Am. Soc. Gastrointest. Endosc. 2024, 9, 150–153. [Google Scholar] [CrossRef] [PubMed]
- Vanella, G.; Dell’Anna, G.; Bronswijk, M.; van Wanrooij, R.L.J.; Rizzatti, G.; Gkolfakis, P.; Larghi, A.; van der Merwe, S.; Arcidiacono, P.G. Endoscopic ultrasound-guided biliary drainage and gastrointestinal anastomoses: The journey from promising innovations to standard of care. Ann. Gastroenterol. 2022, 35, 441–451. [Google Scholar] [CrossRef]
- Giri, S. Efficacy of lumen-apposing metal stents for the management of benign gastrointestinal stricture: A systematic review and meta-analysis. Ann. Gastroenterol. 2023, 36, 524. [Google Scholar] [CrossRef]
- Skidmore, A.P. Use of lumen-apposing metal stents (LAMS) in the management of gastro jejunostomy stricture following Roux-en-Y Gastric Bypass for obesity: A prospective series. BMC Surg. 2021, 21, 314. [Google Scholar] [CrossRef]
- Mandarino, F.V.; Sinagra, E.; Barchi, A.; Danese, S. The Triple-S Advantage of Endoscopic Management in Gastrointestinal Surgery Complications: Safe, Successful, and Savings-Driven. Life 2024, 14, 122. [Google Scholar] [CrossRef] [PubMed]
- Dell’Anna, G.; Mandarino, F.V.; Fanizza, J.; Fasulo, E.; Barchi, A.; Barà, R.; Vespa, E.; Viale, E.; Azzolini, F.; Fanti, L.; et al. Endoscopic Management of Post-Esophagectomy Delayed Gastric Conduit Emptying (DGCE): Results from a Cohort Study in a Tertiary Referral Center with Comparison between Procedures. Cancers 2024, 16, 3457. [Google Scholar] [CrossRef] [PubMed]
- Fugazza, A.; Repici, A. Endoscopic Management of Refractory Benign Esophageal Strictures. Dysphagia 2021, 36, 504–516. [Google Scholar] [CrossRef] [PubMed]
- Hallac, A.; Srikureja, W.; Liu, E.; Dhumal, P.; Thatte, A.; Puri, N. Economical effect of lumen apposing metal stents for treating benign foregut strictures. World J. Gastrointest. Endosc. 2018, 10, 294–300. [Google Scholar] [CrossRef] [PubMed]





| Stent | Manufacturer | Stent Measurements, mm | ||
|---|---|---|---|---|
| Internal Diameter | Flange Diameter | Stent Length | ||
| Axios | Boston Scientific, Marlborough, Massachusetts, USA | 6 | 14 | 8 |
| 8 | 17 | 8 | ||
| 10 | 21 | 10 | ||
| 15 | 24 | 10 | ||
| 15 | 24 | 15 | ||
| 20 | 29 | 10 | ||
| Spaxus | Taewoong Medical, Gyeonggi-do, Republic of Korea | 8 | 23 | 20 |
| 10 | 25 | |||
| 16 | 31 | |||
| Nagi | Taewoong Medical, Gyeonggi-do, Republic of Korea | 10 to 16 | 20 | 10 |
| 20 | 20 | |||
| 20 | 30 | |||
| Z-EUS | M.I.Tech, Seoul, Republic of Korea | 10 | 22 to 28 | 10, 30 |
| 12 | ||||
| 14 | ||||
| 16 | ||||
| Study Title | Design of the Study | Aim of the Study | Patients | NCT Number |
|---|---|---|---|---|
| Oral prednisolone in the treatment of esophageal stricture after esophageal surgery | Not specified | To evaluate: Number of participants with treatment-related AEs Incidence of treatment discontinuations, modifications, and interruptions due to AEs | Patients who develop severe esophageal strictures from 28 days after esophageal surgery | NCT02703376 |
| Cryoablation for benign GI anastomotic strictures | Randomized controlled trial | To evaluate the impact of cryotherapy on clinical outcomes and complications for benign anastomotic strictures following esophagectomy, gastrectomy, and bariatric surgery | History of GI surgery and/or BD | NCT04372784 |
| NKI therapy compared to usual care of recurrent esophagogastric anastomotic strictures (SAMURAI) | Multicenter randomized controlled trial | To evaluate the efficacy and cost-effectiveness of NKI followed by EBD compared to standard EBD in patients with recurrent (at least 1 to a maximum of 5 EBD sessions) esophagogastric anastomotic strictures | Patients with recurrent intra- or extrathoracic benign esophagogastric anastomotic stricture after esophagectomy | NCT04406428 |
| Randomized controlled trial of ED: Triamcinolone Injection | Randomized controlled trial | Evaluate whether the addition of triamcinolone injection during the initial ED session decreases the need for repeat dilation procedures | Patients who present for EGD with dilation for dysphagia symptoms thought secondary to either radiation-induced stricture or anastomotic stricture | NCT01873573 |
Disclaimer/Publisher’s Note: The statements, opinions and data contained in all publications are solely those of the individual author(s) and contributor(s) and not of MDPI and/or the editor(s). MDPI and/or the editor(s) disclaim responsibility for any injury to people or property resulting from any ideas, methods, instructions or products referred to in the content. |
© 2025 by the authors. Licensee MDPI, Basel, Switzerland. This article is an open access article distributed under the terms and conditions of the Creative Commons Attribution (CC BY) license (https://creativecommons.org/licenses/by/4.0/).
Share and Cite
Dell’Anna, G.; Fanizza, J.; Mandarino, F.V.; Barchi, A.; Fasulo, E.; Vespa, E.; Fanti, L.; Azzolini, F.; Battaglia, S.; Puccetti, F.; et al. The Endoscopic Management of Anastomotic Strictures After Esophagogastric Surgery: A Comprehensive Review of Emerging Approaches Beyond Endoscopic Dilation. J. Pers. Med. 2025, 15, 111. https://doi.org/10.3390/jpm15030111
Dell’Anna G, Fanizza J, Mandarino FV, Barchi A, Fasulo E, Vespa E, Fanti L, Azzolini F, Battaglia S, Puccetti F, et al. The Endoscopic Management of Anastomotic Strictures After Esophagogastric Surgery: A Comprehensive Review of Emerging Approaches Beyond Endoscopic Dilation. Journal of Personalized Medicine. 2025; 15(3):111. https://doi.org/10.3390/jpm15030111
Chicago/Turabian StyleDell’Anna, Giuseppe, Jacopo Fanizza, Francesco Vito Mandarino, Alberto Barchi, Ernesto Fasulo, Edoardo Vespa, Lorella Fanti, Francesco Azzolini, Silvia Battaglia, Francesco Puccetti, and et al. 2025. "The Endoscopic Management of Anastomotic Strictures After Esophagogastric Surgery: A Comprehensive Review of Emerging Approaches Beyond Endoscopic Dilation" Journal of Personalized Medicine 15, no. 3: 111. https://doi.org/10.3390/jpm15030111
APA StyleDell’Anna, G., Fanizza, J., Mandarino, F. V., Barchi, A., Fasulo, E., Vespa, E., Fanti, L., Azzolini, F., Battaglia, S., Puccetti, F., Cossu, A., Elmore, U., Facciorusso, A., Dell’Anna, A., Fuccio, L., Bruni, A., Massironi, S., Annese, V., Malesci, A., ... Danese, S. (2025). The Endoscopic Management of Anastomotic Strictures After Esophagogastric Surgery: A Comprehensive Review of Emerging Approaches Beyond Endoscopic Dilation. Journal of Personalized Medicine, 15(3), 111. https://doi.org/10.3390/jpm15030111

