Dysregulation of Circadian Markers, HAT1 and Associated Epigenetic Proteins, and the Anti-Aging Protein KLOTHO in Placenta of Pregnant Women with Chronic Venous Disease
Abstract
1. Introduction
2. Patients and Methods
2.1. Study Design
2.2. Participants Enrolled
2.3. Sample Collection and Processing
2.4. Gene Expression Analysis
2.5. Protein Expression Analysis and Histopathological Evaluation
2.6. Statistical Analysis
3. Results
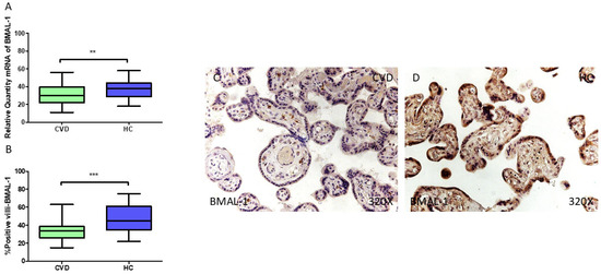
3.1. Placentas of Women Who Undergo Chronic Venous Disease During Pregnancy Display Decreased Expression of Key Circadian Markers
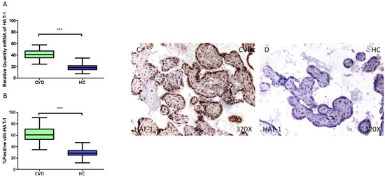
3.2. The Placentas of Women with Chronic Venous Disease During Pregnancy Show Evidence of Altered Epigenetic Markers
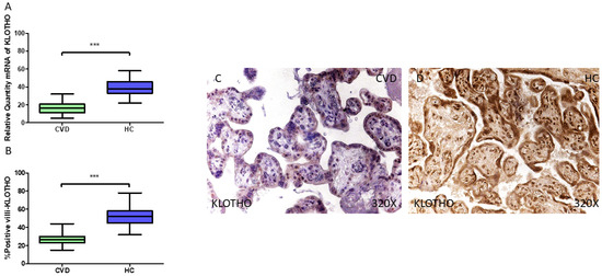
3.3. The Placentas of Women with Chronic Venous Disease During Pregnancy Exhibit Reduced Expression of the Anti-Aging Protein KLOTHO
4. Discussion
5. Conclusions
Author Contributions
Funding
Institutional Review Board Statement
Informed Consent Statement
Data Availability Statement
Conflicts of Interest
References
- Kumar, P.; Khan, I.A.; Das, A.; Shah, H. Chronic Venous Disease. Part 1: Pathophysiology and Clinical Features. Clin. Exp. Dermatol. 2022, 47, 1228–1239. [Google Scholar] [CrossRef]
- Piazza, G. Varicose Veins. Circulation 2014, 130, 582–587. [Google Scholar] [CrossRef]
- Rabe, E.; Régnier, C.; Goron, F.; Salmat, G.; Pannier, F. The Prevalence, Disease Characteristics and Treatment of Chronic Venous Disease: An International Web-Based Survey. J. Comp. Eff. Res. 2020, 9, 1205–1218. [Google Scholar] [CrossRef]
- Cornu-Thenard, A.; Boivin, P. Chronic Venous Disease during Pregnancy. Phlebolymphology 2014, 21, 138–146. [Google Scholar]
- Kodogo, V.; Azibani, F.; Sliwa, K. Role of Pregnancy Hormones and Hormonal Interaction on the Maternal Cardiovascular System: A Literature Review. Clin. Res. Cardiol. 2019, 108, 831–846. [Google Scholar] [CrossRef] [PubMed]
- Taylor, J.; Hicks, C.W.; Heller, J.A. The Hemodynamic Effects of Pregnancy on the Lower Extremity Venous System. J. Vasc. Surg. Venous Lymphat. Disord. 2018, 6, 246–255. [Google Scholar] [CrossRef] [PubMed]
- Ortega, M.A.; Fraile-Martínez, O.; García-Montero, C.; Álvarez-Mon, M.A.; Chaowen, C.; Ruiz-Grande, F.; Pekarek, L.; Monserrat, J.; Asúnsolo, A.; García-Honduvilla, N.; et al. Understanding Chronic Venous Disease: A Critical Overview of Its Pathophysiology and Medical Management. J. Clin. Med. 2021, 10, 3239. [Google Scholar] [CrossRef]
- Asbeutah, A.M.; Al-Azemi, M.; Al-Sarhan, S.; Almajran, A.; Asfar, S.K. Changes in the Diameter and Valve Closure Time of Leg Veins in Primigravida Women during Pregnancy. J. Vasc. Surg. Venous Lymphat. Disord. 2015, 3, 147–153. [Google Scholar] [CrossRef]
- Ortega, M.A.; Fraile-Martínez, O.; García-Montero, C.; Sáez, M.A.; Álvarez-Mon, M.A.; Torres-Carranza, D.; Álvarez-Mon, M.; Bujan, J.; García-Honduvilla, N.; Bravo, C.; et al. The Pivotal Role of the Placenta in Normal and Pathological Pregnancies: A Focus on Preeclampsia, Fetal Growth Restriction, and Maternal Chronic Venous Disease. Cells 2022, 11, 568. [Google Scholar] [CrossRef]
- Gongora, M.C.; Wenger, N.K. Cardiovascular Complications of Pregnancy. Int. J. Mol. Sci. 2015, 16, 23905–23928. [Google Scholar] [CrossRef]
- Ortega, M.A.; Gómez-Lahoz, A.M.; Sánchez-Trujillo, L.; Fraile-Martinez, O.; García-Montero, C.; Guijarro, L.G.; Bravo, C.; De Leon-Luis, J.A.; Saz, J.V.; Bujan, J.; et al. Chronic Venous Disease during Pregnancy Causes a Systematic Increase in Maternal and Fetal Proinflammatory Markers. Int. J. Mol. Sci. 2022, 23, 8976. [Google Scholar] [CrossRef] [PubMed]
- Ortega, M.A.; Romero, B.; Asúnsolo, Á.; Martínez-Vivero, C.; Sainz, F.; Bravo, C.; De León-Luis, J.; Álvarez-Mon, M.; Buján, J.; García-Honduvilla, N. Pregnancy-Associated Venous Insufficiency Course with Placental and Systemic Oxidative Stress. J. Cell. Mol. Med. 2020, 24, 4157–4170. [Google Scholar] [CrossRef]
- Costa, D.; Andreucci, M.; Ielapi, N.; Serraino, G.F.; Mastroroberto, P.; Bracale, U.M.; Serra, R. Molecular Determinants of Chronic Venous Disease: A Comprehensive Review. Int. J. Mol. Sci. 2023, 24, 1928. [Google Scholar] [CrossRef] [PubMed]
- Ligi, D.; Croce, L.; Mannello, F. Chronic Venous Disorders: The Dangerous, the Good, and the Diverse. Int. J. Mol. Sci. 2018, 19, 2544. [Google Scholar] [CrossRef] [PubMed]
- Ortega, M.A.; Sánchez-Trujillo, L.; Bravo, C.; Fraile-Martinez, O.; García-Montero, C.; Saez, M.A.; Alvarez-Mon, M.A.; Sainz, F.; Alvarez-Mon, M.; Bujan, J.; et al. Newborns of Mothers with Venous Disease during Pregnancy Show Increased Levels of Lipid Peroxidation and Markers of Oxidative Stress and Hypoxia in the Umbilical Cord. Antioxidants 2021, 10, 980. [Google Scholar] [CrossRef]
- Guttmacher, A.E.; Maddox, Y.T.; Spong, C.Y. The Human Placenta Project: Placental Structure, Development, and Function in Real Time. Placenta 2014, 35, 303–304. [Google Scholar] [CrossRef]
- Costa, M.A. The Endocrine Function of Human Placenta: An Overview. Reprod. Biomed. Online 2016, 32, 14–43. [Google Scholar] [CrossRef]
- Waddell, B.J.; Wharfe, M.D.; Crew, R.C.; Mark, P.J. A Rhythmic Placenta? Circadian Variation, Clock Genes and Placental Function. Placenta 2012, 33, 533–539. [Google Scholar] [CrossRef]
- van den Berg, C.B.; Chaves, I.; Herzog, E.M.; Willemsen, S.P.; van der Horst, G.T.J.; Steegers-Theunissen, R.P.M. Early- and Late-Onset Preeclampsia and the DNA Methylation of Circadian Clock and Clock-Controlled Genes in Placental and Newborn Tissues. Chronobiol. Int. 2017, 34, 921–932. [Google Scholar] [CrossRef]
- Nelissen, E.C.M.; van Montfoort, A.P.A.; Dumoulin, J.C.M.; Evers, J.L.H. Epigenetics and the Placenta. Hum. Reprod. Update 2011, 17, 397–417. [Google Scholar] [CrossRef]
- Rahat, B.; Hamid, A.; Najar, R.A.; Bagga, R.; Kaur, J. Epigenetic Mechanisms Regulate Placental C-Myc and HTERT in Normal and Pathological Pregnancies; c-Myc as a Novel Fetal DNA Epigenetic Marker for Pre-Eclampsia. Mol. Hum. Reprod. 2014, 20, 1026–1040. [Google Scholar] [CrossRef] [PubMed]
- Popova, L.V.; Nagarajan, P.; Lovejoy, C.M.; Sunkel, B.D.; Gardner, M.L.; Wang, M.; Freitas, M.A.; Stanton, B.Z.; Parthun, M.R. Epigenetic Regulation of Nuclear Lamina-Associated Heterochromatin by HAT1 and the Acetylation of Newly Synthesized Histones. Nucleic Acids Res. 2021, 49, 12136–12151. [Google Scholar] [CrossRef]
- Ortega, M.A.; De Leon-Oliva, D.; Garcia-Montero, C.; Fraile-Martinez, O.; Boaru, D.L.; del Val Toledo Lobo, M.; García-Tuñón, I.; Royuela, M.; García-Honduvilla, N.; Bujan, J.; et al. Understanding HAT1: A Comprehensive Review of Noncanonical Roles and Connection with Disease. Genes. 2023, 14, 915. [Google Scholar] [CrossRef]
- Zhou, G.; Winn, E.; Nguyen, D.; Kasten, E.P.; Petroff, M.G.; Hoffmann, H.M. Co-Alterations of Circadian Clock Gene Transcripts in Human Placenta in Preeclampsia. Sci. Rep. 2022, 12, 17856. [Google Scholar] [CrossRef]
- Yi, Y.; Wang, T.; Xu, W.; Zhang, S.-H. Epigenetic Modifications of Placenta in Women with Gestational Diabetes Mellitus and Their Offspring. World J. Diabetes 2024, 15, 378–391. [Google Scholar] [CrossRef] [PubMed]
- Wang, X.; Liu, Y.; Wu, Y.; Lin, C.; Yang, S.; Yang, Y.; Chen, D.; Yu, B. Methylation Alterations of Imprinted Genes in Different Placental Diseases. Clin. Epigenetics 2024, 16, 132. [Google Scholar] [CrossRef] [PubMed]
- Pan, M.; Zhou, J.; Wang, J.; Cao, W.; Li, L.; Wang, L. The Role of Placental Aging in Adverse Pregnancy Outcomes: A Mitochondrial Perspective. Life Sci. 2023, 329, 121924. [Google Scholar] [CrossRef]
- Cecati, M.; Giannubilo, S.R.; Saccucci, F.; Sartini, D.; Ciavattini, A.; Emanuelli, M.; Tranquilli, A.L. Potential Role of Placental Klotho in the Pathogenesis of Preeclampsia. Cell Biochem. Biophys. 2016, 74, 49–57. [Google Scholar] [CrossRef]
- Miranda, J.; Romero, R.; Korzeniewski, S.J.; Schwartz, A.G.; Chaemsaithong, P.; Stampalija, T.; Yeo, L.; Dong, Z.; Hassan, S.S.; Chrousos, G.P.; et al. The Anti-Aging Factor α-Klotho during Human Pregnancy and Its Expression in Pregnancies Complicated by Small-for-Gestational-Age Neonates and/or Preeclampsia. J. Matern. Fetal Neonatal Med. 2013, 27, 449. [Google Scholar] [CrossRef]
- Lurie, F.; Passman, M.; Meisner, M.; Dalsing, M.; Masuda, E.; Welch, H.; Bush, R.L.; Blebea, J.; Carpentier, P.H.; De Maeseneer, M.; et al. The 2020 Update of the CEAP Classification System and Reporting Standards. J. Vasc. Surg. Venous Lymphat. Disord. 2020, 8, 342–352. [Google Scholar] [CrossRef]
- Ye, J.; Coulouris, G.; Zaretskaya, I.; Cutcutache, I.; Rozen, S.; Madden, T.L. Primer-BLAST: A Tool to Design Target-Specific Primers for Polymerase Chain Reaction. BMC Bioinform. 2012, 13, 134. [Google Scholar] [CrossRef] [PubMed]
- Vallone, P.M.; Butler, J.M. AutoDimer: A Screening Tool for Primer-Dimer and Hairpin Structures. Biotechniques 2004, 37, 226–231. [Google Scholar] [CrossRef] [PubMed]
- Jang, S.J.; Jeon, R.H.; Kim, H.D.; Hwang, J.C.; Lee, H.J.; Bae, S.G.; Lee, S.L.; Rho, G.J.; Kim, S.J.; Lee, W.J. TATA Box Binding Protein and Ribosomal Protein 4 Are Suitable Reference Genes for Normalization during Quantitative Polymerase Chain Reaction Study in Bovine Mesenchymal Stem Cells. Asian-Australas. J. Anim. Sci. 2020, 33, 2021–2030. [Google Scholar] [CrossRef]
- Meyerholz, D.K.; Beck, A.P. Principles and approaches for reproducible scoring of tissue stains in research. Lab. Investig. 2018, 98, 844–855. [Google Scholar] [CrossRef]
- Reddy, S.; Reddy, V.; Sharma, S. Physiology, Circadian Rhythm; StatPearls: Tampa, FL, USA, 2023. [Google Scholar]
- Pérez, S.; Murias, L.; Fernández-Plaza, C.; Díaz, I.; González, C.; Otero, J.; Díaz, E. Evidence for Clock Genes Circadian Rhythms in Human Full-Term Placenta. Syst. Biol. Reprod. Med. 2015, 61, 360–366. [Google Scholar] [CrossRef] [PubMed]
- Hsu, C.N.; Tain, Y.L. Light and Circadian Signaling Pathway in Pregnancy: Programming of Adult Health and Disease. Int. J. Mol. Sci. 2020, 21, 2232. [Google Scholar] [CrossRef]
- Patke, A.; Young, M.W.; Axelrod, S. Molecular Mechanisms and Physiological Importance of Circadian Rhythms. Nat. Rev. Mol. Cell Biol. 2020, 21, 67–84. [Google Scholar] [CrossRef]
- Fagiani, F.; Di Marino, D.; Romagnoli, A.; Travelli, C.; Voltan, D.; Mannelli, L.D.C.; Racchi, M.; Govoni, S.; Lanni, C. Molecular Regulations of Circadian Rhythm and Implications for Physiology and Diseases. Signal Transduct. Target. Ther. 2022, 7, 41. [Google Scholar] [CrossRef]
- Bates, K.; Herzog, E.D. Maternal-Fetal Circadian Communication During Pregnancy. Front. Endocrinol. 2020, 11, 519328. [Google Scholar] [CrossRef]
- Li, Y.; Li, J.; Hou, Y.; Huang, L.; Bian, Y.; Song, G.; Qiao, C. Circadian clock gene Clock is involved in the pathogenesis of preeclampsia through hypoxia. Life Sci. 2020, 247, 117441. [Google Scholar] [CrossRef]
- Diallo, A.B.; Coiffard, B.; Desbriere, R.; Katsogiannou, M.; Donato, X.; Bretelle, F.; Mezouar, S.; Mege, J.L. Disruption of the Expression of the Placental Clock and Melatonin Genes in Preeclampsia. Int. J. Mol. Sci. 2023, 24, 2363. [Google Scholar] [CrossRef]
- Joseph, T.T.; Schuch, V.; Hossack, D.J.; Chakraborty, R.; Johnson, E.L. Melatonin: The Placental Antioxidant and Anti-Inflammatory. Front. Immunol. 2024, 15, 1339304. [Google Scholar] [CrossRef]
- Sánchez-Gil, M.A.; Fraile-Martinez, O.; García-Montero, C.; De Leon-Oliva, D.; Boaru, D.L.; De Castro-Martinez, P.; Camacho-Alcázar, A.; De León-Luis, J.A.; Bravo, C.; Díaz-Pedrero, R.; et al. Exacerbated Activation of the NLRP3 Inflammasome in the Placentas from Women Who Developed Chronic Venous Disease during Pregnancy. Int. J. Mol. Sci. 2024, 25, 5528. [Google Scholar] [CrossRef]
- Yao, W.; Hu, X.; Wang, X. Crossing Epigenetic Frontiers: The Intersection of Novel Histone Modifications and Diseases. Signal Transduct. Target. Ther. 2024, 9, 232. [Google Scholar] [CrossRef] [PubMed]
- Ashraf, U.M.; Hall, D.L.; Rawls, A.Z.; Alexander, B.T. Epigenetic Processes during Preeclampsia and Effects on Fetal Development and Chronic Health. Clin. Sci. 2021, 135, 2307–2327. [Google Scholar] [CrossRef] [PubMed]
- Panchenko, P.E.; Voisin, S.; Jouin, M.; Jouneau, L.; Prézelin, A.; Lecoutre, S.; Breton, C.; Jammes, H.; Junien, C.; Gabory, A. Expression of Epigenetic Machinery Genes Is Sensitive to Maternal Obesity and Weight Loss in Relation to Fetal Growth in Mice. Clin. Epigenetics 2016, 8, 22. [Google Scholar] [CrossRef] [PubMed]
- Chang, S.F.; Tsai, H.E.; Kuo, J.T.; Ruan, Y.R.; Chen, C.Y.; Wang, S.Y.; Liu, P.Y.; Lee, D.Y. Blood Reflux-Induced Epigenetic Factors HDACs and DNMTs Are Associated with the Development of Human Chronic Venous Disease. Int. J. Mol. Sci. 2022, 23, 12536. [Google Scholar] [CrossRef]
- He, R.; Cai, H.; Jiang, Y.; Liu, R.; Zhou, Y.; Qin, Y.; Yao, C.; Wang, S.; Hu, Z. Integrative Analysis Prioritizes the Relevant Genes and Risk Factors for Chronic Venous Disease. J. Vasc. Surg. Venous Lymphat. Disord. 2022, 10, 738–748.e5. [Google Scholar] [CrossRef]
- Campos, E.I.; Fillingham, J.; Li, G.; Zheng, H.; Voigt, P.; Kuo, W.H.W.; Seepany, H.; Gao, Z.; Day, L.A.; Greenblatt, J.F.; et al. The Program for Processing Newly-Synthesized Histones H3.1 and H4. Nat. Struct. Mol. Biol. 2010, 17, 1343–1351. [Google Scholar] [CrossRef]
- Gruber, J.J.; Geller, B.; Lipchik, A.M.; Chen, J.; Salahudeen, A.A.; Ram, A.N.; Ford, J.M.; Kuo, C.J.; Snyder, M.P. HAT1 Coordinates Histone Production and Acetylation via H4 Promoter Binding. Mol. Cell 2019, 75, 711–724.e5. [Google Scholar] [CrossRef]
- Ortega, M.A.; Jiménez-Álvarez, L.; Fraile-Martinez, O.; Garcia-Montero, C.; Guijarro, L.G.; Pekarek, L.; Barrena-Blázquez, S.; Asúnsolo, Á.; López-González, L.; Del, M.; et al. Prognostic Value of Histone Acetyl Transferase 1 (HAT-1) and Inflammatory Signatures in Pancreatic Cancer. Curr. Issues Mol. Biol. 2024, 46, 3839–3865. [Google Scholar] [CrossRef] [PubMed]
- Moosavi, A.; Ardekani, A.M. Role of Epigenetics in Biology and Human Diseases. Iran. Biomed. J. 2016, 20, 246–258. [Google Scholar] [PubMed]
- Hochberg, Z.; Feil, R.; Constancia, M.; Fraga, M.; Junien, C.; Carel, J.C.; Boileau, P.; Le Bouc, Y.; Deal, C.L.; Lillycrop, K.; et al. Child Health, Developmental Plasticity, and Epigenetic Programming. Endocr. Rev. 2010, 32, 159–224. [Google Scholar] [CrossRef]
- Huo, M.; Zhang, J.; Huang, W.; Wang, Y. Interplay Among Metabolism, Epigenetic Modifications, and Gene Expression in Cancer. Front. Cell Dev. Biol. 2021, 9, 793428. [Google Scholar] [CrossRef]
- Xiao, L.; Dang, Y.; Hu, B.; Luo, L.; Zhao, P.; Wang, S.; Zhang, K. Overlapping Functions of RBBP4 and RBBP7 in Regulating Cell Proliferation and Histone H3.3 Deposition during Mouse Preimplantation Development. Epigenetics 2021, 17, 1205–1218. [Google Scholar] [CrossRef] [PubMed]
- Mousson, F.; Ochsenbein, F.; Mann, C. The Histone Chaperone Asf1 at the Crossroads of Chromatin and DNA Checkpoint Pathways. Chromosoma 2007, 116, 79–93. [Google Scholar] [CrossRef]
- Kuro-o, M. The Klotho Proteins in Health and Disease. Nat. Rev. Nephrol. 2019, 15, 27–44. [Google Scholar] [CrossRef]
- Kanbay, M.; Mutlu, A.; Bakir, C.N.; Peltek, I.B.; A Canbaz, A.; Tocados, J.M.D.; Haarhaus, M. Klotho in Pregnancy and Intrauterine Development—Potential Clinical Implications: A Review from the European Renal Association CKD-MBD Working Group. Nephrol. Dial. Transplant. 2024, 39, 1574–1582. [Google Scholar] [CrossRef]
- Kanbay, M.; Mutlu, A.; Bakir, C.N.; Peltek, I.B.; Canbaz, A.A.; Díaz Tocados, J.M.; Haarhaus, M. Klotho in pregnancy and intrauterine development-potential clinical implications: A review from the European Renal Association CKD-MBD Working Group. Nephrol Dial Transplant. 2024, 39, 1574–1582. [Google Scholar] [CrossRef]
- Iñiguez, G.; Gallardo, P.; Castro, J.J.; Gonzalez, R.; Garcia, M.; Kakarieka, E.; San Martin, S.; Johnson, M.C.; Mericq, V.; Cassorla, F. Klotho Gene and Protein in Human Placentas According to Birth Weight and Gestational Age. Front. Endocrinol. 2019, 9, 797. [Google Scholar] [CrossRef]
- Franklin, A.; Freedman, A.; Borders, A.; Keenan Devlin, L.; Proctor, E.S.; Price, E.; Cole, S.; Miller, G.; Ernst, L.M. Decreased Alpha Klotho Expression in Placentas Exposed to Severe Maternal Vascular Malperfusion. Pediatr. Dev. Pathol. 2024, 27, 559–568. [Google Scholar] [CrossRef] [PubMed]
- Loichinger, M.H.; Towner, D.; Thompson, K.S.; Ahn, H.J.; Bryant-Greenwood, G.D. Systemic and Placental α-Klotho: Effects of Preeclampsia in the Last Trimester of Gestation. Placenta 2016, 41, 53–61. [Google Scholar] [CrossRef] [PubMed][Green Version]
- Franklin, A.D.; Saqibuddin, J.; Stephens, K.; Birkett, R.; Marsden, L.; Ernst, L.; Mestan, K.K. Cord Blood Alpha Klotho Is Decreased in Small for Gestational Age Preterm Infants with Placental Lesions of Accelerated Aging. Placenta 2019, 87, 1–7. [Google Scholar] [CrossRef]
- Prud’homme, G.J.; Kurt, M.; Wang, Q. Pathobiology of the Klotho Antiaging Protein and Therapeutic Considerations. Front. Aging 2022, 3, 931331. [Google Scholar] [CrossRef] [PubMed]
- Ortega, M.A.; Fraile-Martínez, O.; Saez, M.A.; Álvarez-Mon, M.A.; Gómez-Lahoz, A.M.; Bravo, C.; De León Luis, J.A.; Sainz, F.; Coca, S.; Asúnsolo, Á.; et al. Abnormal Proinflammatory and Stressor Environmental with Increased the Regulatory Cellular IGF-1/PAPP-A/STC and Wnt-1/β-Catenin Canonical Pathway in Placenta of Women with Chronic Venous Disease during Pregnancy. Int. J. Med. Sci. 2021, 18, 2814–2827. [Google Scholar] [CrossRef]
- Ortega, M.A.; Sáez, M.A.; Fraile-Martínez, O.; Álvarez-Mon, M.A.; García-Montero, C.; Guijarro, L.G.; Asúnsolo, Á.; Álvarez-Mon, M.; Bujan, J.; García-Honduvilla, N.; et al. Overexpression of Glycolysis Markers in Placental Tissue of Pregnant Women with Chronic Venous Disease: A Histological Study. Int. J. Med. Sci. 2022, 19, 186–194. [Google Scholar] [CrossRef]
- Dalton, G.D.; Xie, J.; An, S.W.; Huang, C.L. New Insights into the Mechanism of Action of Soluble Klotho. Front. Endocrinol. 2017, 8, 323. [Google Scholar] [CrossRef]
- López-Otín, C.; Blasco, M.A.; Partridge, L.; Serrano, M.; Kroemer, G. Hallmarks of Aging: An Expanding Universe. Cell 2023, 186, 243–278. [Google Scholar] [CrossRef]












| Clinical Features | CVD (n = 98) | HC (n = 82) |
|---|---|---|
| Median age (IQR), years | 33 (19–41) | 34 (20–41) |
| Median gestational age (IQR), weeks | 40 (39–41.5) | 41 (39–42) |
| C-section delivery, n (%) | 20 (20.4%) | 15 (18.3%) |
| Vaginal delivery, n (%) | 78 (79.6%) | 67 (81.7%) |
| CVD CEAP 1, n (%) | 59 (60.2%) | 0 |
| CVD CEAP 2, n (%) | 32 (32.7%) | 0 |
| CVD CEAP 3, n (%) | 7 (7.1%) | 0 |
| Prior pregnancies, n (%) | 52 (53.1%) | 31 (37.8%) |
| Prior abortions, n (%) | 21 (21.4%) | 14 (17.1%) |
| Regular periods of menstruation, n (%) | 80 (81.6%) | 66 (80.5%) |
| Sedentary profession, n (%) | 65 (66.3%) | 59 (71.9%) |
| Gene | Sequence Fwd (5’→3’) | Sequence Rev (5’→3’) | Temperature |
|---|---|---|---|
| TBP | TGCACAGGAGCCAAGAGTGAA | CACATCACAGCTCCCCACCA | 60 °C |
| BMAL1 | AGGCCTGACTCACGTTTCCT | GAGGCTCATGATGACAGCCA | 58 °C |
| CLOCK | AAAAGGAAACCCCGGAGAGC | CTCGCAGCATGTGACAACAG | 60 °C |
| PER1 | GCAGGCCAACCAGGAATACT | ACAGAAGCGGATAGGGGAGT | 59 °C |
| PER2 | ACTCCTCGGCTTGAAACGG | GCAGCCACTTGTAGATGGGT | 60 °C |
| HAT-1 | TCGGAAATGGCGGGATTTGG | TGTAGCCTACGGTCGCAAAG | 57 °C |
| H3 | GGGCCAACAGTTTCGGATTC | AAGCGCAGGTCGGTCTTAAA | 60 °C |
| H4 | GTGTGCTAAACGGGAGGGAA | CTTTCTGAGAGGGAGTGGGC | 57 °C |
| ASF-1A | CAACCCGTTCCAGTTCGAGA | TCACTTTCTGCAGAGCCCAC | 60 °C |
| RBBP7 | GGAGGAGGCAGGAAAGAAGG | CCCCAGCACTAGCCAATGAA | 59 °C |
| KLOTHO | TACAACAACGTCTTCCGCGA | TGCTCTCGGGATAGTCACCA | 59 °C |
| Antigen | Species | Dilution | Provider | Protocol Specifications |
|---|---|---|---|---|
| Bmal1 | Rabbit monoclonal | 1:1000 | Abcam (ab230822) | ------ |
| Clock | Rabbit polyclonal | 1:100 | Abcam (ab3517) | ------ |
| Per1 | Rabbit polyclonal | 1:20 | Abcam (ab254751) | ------ |
| Per2 | Rabbit polyclonal | 1:100 | Abcam (ab200388) | ------ |
| Hat-1 | Rabbit monoclonal | 1:1000 | Abcam (ab193097) | ------ |
| H3 | Rabbit polyclonal | 1:100 | Abcam (ab1791) | ------ |
| H4 | Rabbit monoclonal | 1:500 | Abcam (ab51997) | ------ |
| Asf-1 | Rabbit polyclonal | 1:100 | Abcam (ab235358) | ------ |
| Rbbp7 | Rabbit monoclonal | 1:2000 | Abcam (ab259957) | ------ |
| Klotho | Rabbit monoclonal | 1:100 | Abcam (ab181373) | ------ |
| IgG | Rabbit-Mouse monoclonal | 1:1000 | Sigma-Aldrich (RG96/B5283) | ----- |
Disclaimer/Publisher’s Note: The statements, opinions and data contained in all publications are solely those of the individual author(s) and contributor(s) and not of MDPI and/or the editor(s). MDPI and/or the editor(s) disclaim responsibility for any injury to people or property resulting from any ideas, methods, instructions or products referred to in the content. |
© 2025 by the authors. Licensee MDPI, Basel, Switzerland. This article is an open access article distributed under the terms and conditions of the Creative Commons Attribution (CC BY) license (https://creativecommons.org/licenses/by/4.0/).
Share and Cite
Fraile-Martinez, O.; García-Montero, C.; Pekarek, T.; Bujan, J.; Barrena-Blázquez, S.; Pena-Burgos, E.M.; López-González, L.; Pekarek, L.; Díaz-Pedrero, R.; De León-Luis, J.A.; et al. Dysregulation of Circadian Markers, HAT1 and Associated Epigenetic Proteins, and the Anti-Aging Protein KLOTHO in Placenta of Pregnant Women with Chronic Venous Disease. J. Pers. Med. 2025, 15, 107. https://doi.org/10.3390/jpm15030107
Fraile-Martinez O, García-Montero C, Pekarek T, Bujan J, Barrena-Blázquez S, Pena-Burgos EM, López-González L, Pekarek L, Díaz-Pedrero R, De León-Luis JA, et al. Dysregulation of Circadian Markers, HAT1 and Associated Epigenetic Proteins, and the Anti-Aging Protein KLOTHO in Placenta of Pregnant Women with Chronic Venous Disease. Journal of Personalized Medicine. 2025; 15(3):107. https://doi.org/10.3390/jpm15030107
Chicago/Turabian StyleFraile-Martinez, Oscar, Cielo García-Montero, Tatiana Pekarek, Julia Bujan, Silvestra Barrena-Blázquez, Eva Manuela Pena-Burgos, Laura López-González, Leonel Pekarek, Raul Díaz-Pedrero, Juan A. De León-Luis, and et al. 2025. "Dysregulation of Circadian Markers, HAT1 and Associated Epigenetic Proteins, and the Anti-Aging Protein KLOTHO in Placenta of Pregnant Women with Chronic Venous Disease" Journal of Personalized Medicine 15, no. 3: 107. https://doi.org/10.3390/jpm15030107
APA StyleFraile-Martinez, O., García-Montero, C., Pekarek, T., Bujan, J., Barrena-Blázquez, S., Pena-Burgos, E. M., López-González, L., Pekarek, L., Díaz-Pedrero, R., De León-Luis, J. A., Bravo, C., Álvarez-Mon, M., Saez, M. A., García-Honduvilla, N., & Ortega, M. A. (2025). Dysregulation of Circadian Markers, HAT1 and Associated Epigenetic Proteins, and the Anti-Aging Protein KLOTHO in Placenta of Pregnant Women with Chronic Venous Disease. Journal of Personalized Medicine, 15(3), 107. https://doi.org/10.3390/jpm15030107

