Tailoring the Management of Colonic Lipomas: A 10-Year Experience of Surgical and Endoscopic Resection
Abstract
1. Introduction
2. Material and Methods
2.1. Data Collection
2.2. Patient Selection
2.3. Clinical Management and Decision-Making
2.4. Endoscopic Techniques
2.5. Surgical Techniques
2.6. Follow-Up and Outcome Measures
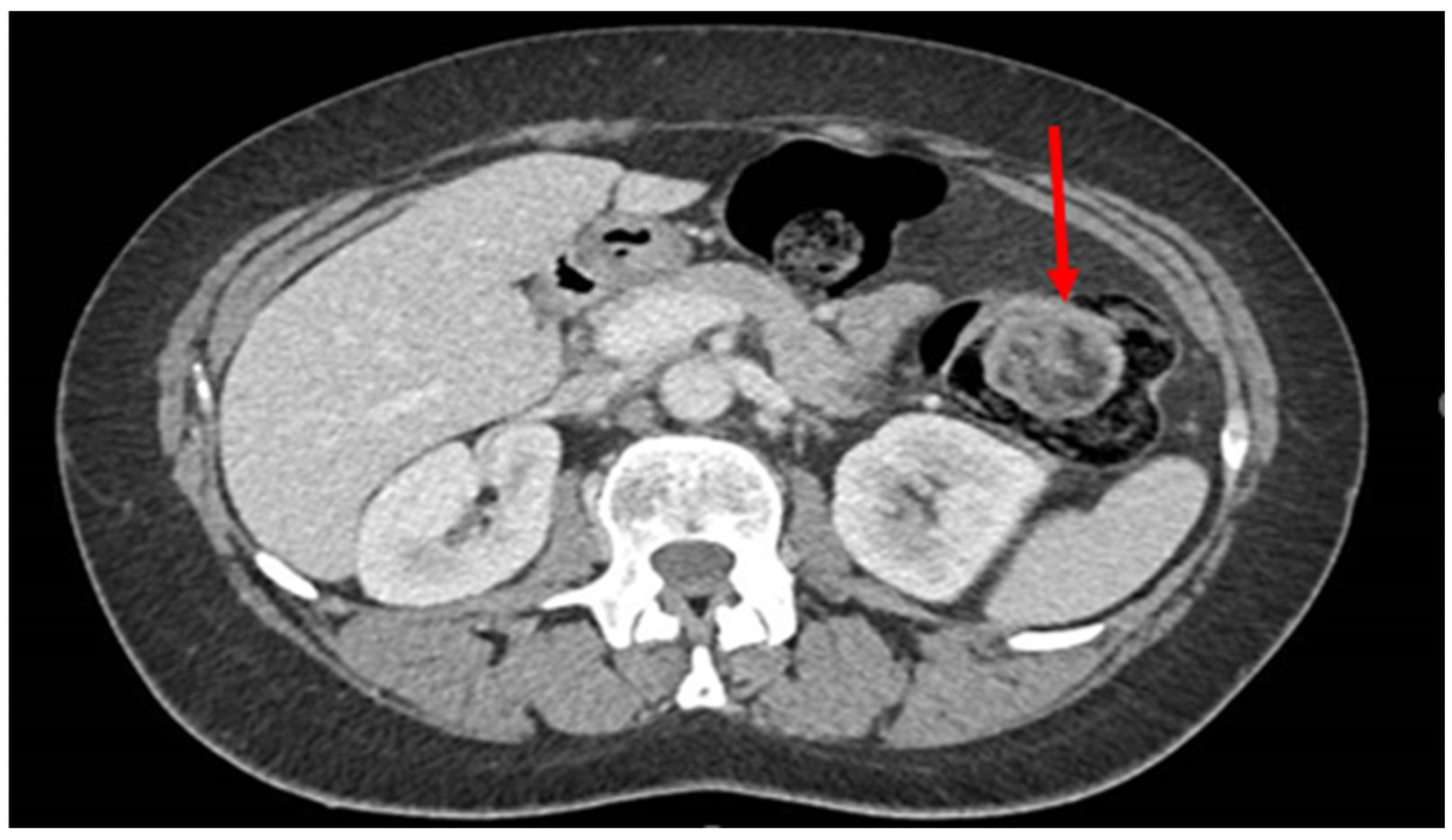
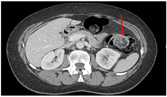
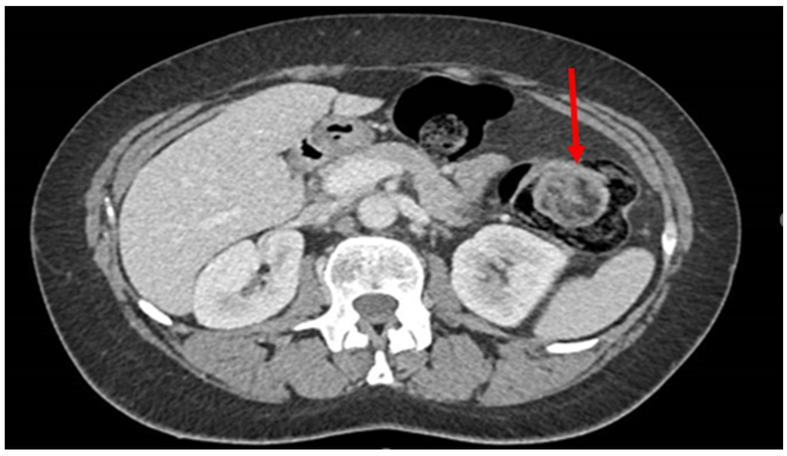
3. Results
- 3 completely asymptomatic cases where the presence of colon lipomas was found only after histological examination of the specimen (surgery performed for other reasons).
- 7 cases in which the lipoma was presumably associated with symptoms including abdominal pain, hematochezia, and even intussusception. In 3 of these cases, we had a pre-treatment diagnosis as the symptoms required the execution of pre-endoscopic radiological examinations.
- 8 cases in which the discovery and subsequent removal of the lipoma seem to be accidental, made during routine check-ups or follow-ups (obviously without warning symptoms).
- n° 6 in the ascending colon (3 at ileocecal valve);
- n° 6 in the transverse colon;
- n° 1 in the descending colon;
- n° 5 in the sigma.
4. Discussion
5. Conclusions
Author Contributions
Funding
Institutional Review Board Statement
Informed Consent Statement
Data Availability Statement
Conflicts of Interest
References
- Chung, Y.F.; Ho, Y.H.; Nyam, D.C.; Leong, A.F.; Seow-Choen, F. Management of colonic lipomas. Aust. N. Z. J. Surg. 1998, 68, 133–135. [Google Scholar] [CrossRef] [PubMed]
- Yalamarthi, S.; Smith, R.C. Adult intussusception: Case reports and review of literature. Postgrad. Med. J. 2005, 81, 174–177. [Google Scholar] [CrossRef] [PubMed]
- Fiordaliso, M.; Lovaglio, U.M.; De Marco, F.A.; Costantini, R.; Nasti, G.A.; Lelli Chiesa, P. Colonic lipoma, a rare cause of intestinal intussusception: A narrative review and how to diagnose it. Medicine 2024, 103, e39579. [Google Scholar] [CrossRef] [PubMed]
- Meunier, M.; Limgba, A.; Schumacker, I.; Mehdi, A. Intussusception related to transverse colonic lipoma: A case report and review of the literature. Acta Chir. Belg. 2022, 122, 51–55. [Google Scholar] [CrossRef] [PubMed]
- Li, L.; Huang, H.; Li, J. Giant ascending colonic lipoma accompanied by intussusception. Rev. Esp. Enfermedades Dig. 2023, 115, 101–102. [Google Scholar] [CrossRef] [PubMed]
- Fatima, H.; Gregory, A.; Matthews, D. Colocolonic intussusception secondary to an intraluminal lipoma. Clin. Gastroenterol. Hepatol. 2007, 5, e38. [Google Scholar] [CrossRef] [PubMed]
- Bronswijk, M.; Vandenbroucke, A.M.; Bossuyt, P. Endoscopic treatment of large symptomatic colon lipomas: A systematic review of efficacy and safety. United Eur. Gastroenterol. J. 2020, 8, 1147–1154. [Google Scholar] [CrossRef] [PubMed]
- Ware, J.E., Jr.; Sherbourne, C.D. The MOS 36-item short-form health survey (SF-36): I. Conceptual framework and item selection. Med. Care 1992, 30, 473–483. [Google Scholar] [CrossRef] [PubMed]
- Wu, D.; Wang, J. Impact of enhanced recovery after surgery on postoperative pain management and functional recovery in patients with colorectal cancer. World J. Gastrointest. Surg. 2025, 17, 107356. [Google Scholar] [CrossRef] [PubMed]
- Nallamothu, G.; Adler, D.G. Large colonic lipomas. Gastroenterol. Hepatol. 2011, 7, 490–492. [Google Scholar]
- Dadigamuwage, S.D.; Macaulay, A.; Jaufer, M. Massive Lower Gastrointestinal Bleeding From Colonic Submucosal Lipoma and Diverticular Disease: A Rare Case Requiring Surgical Interventions and Postoperative Management Challenges. Cureus 2025, 17, e82133. [Google Scholar] [CrossRef] [PubMed]
- Belabbes, F.; Abdallaoui Maane, L.; Al Bouzidi, A.; El Idrissi Lamghari, A.; Rouibaa, F. Endoscopic Resection of a Large Colonic Lipoma Simulating a Tumor Revealed by Hemorrhage: A Case Report and Literature Review. Cureus 2022, 14, e24987. [Google Scholar] [CrossRef] [PubMed]
- Liyen Cartelle, A.; Uy, P.P.; Yap, J.E.L. Giant Colonic Lipoma Presenting as Intermittent Colonic Obstruction with Hematochezia. Cureus 2020, 12, e11434. [Google Scholar] [CrossRef] [PubMed]
- Menegon Tasselli, F.; Urraro, F.; Sciaudone, G.; Bagaglini, G.; Pagliuca, F.; Reginelli, A.; Ferraraccio, F.; Cappabianca, S.; Selvaggi, F.; Pellino, G. Colonic Lipoma Causing Bowel Intussusception: An Up-to-Date Systematic Review. J. Clin. Med. 2021, 10, 5149. [Google Scholar] [CrossRef] [PubMed]
- Bagherzadeh Saba, R.; Sadeghi, A.; Rad, N.; Safari, M.T.; Barzegar, F. Colonic intussusception in descending colon: An unusual presentation of colon lipoma. Gastroenterol. Hepatol. Bed Bench 2016, 9 (Suppl. S1), S93–S96. [Google Scholar] [PubMed]
- Roknsharifi, S.; Ricci, Z.; Kobi, M.; Huo, E.; Yee, J. Colonic lipomas revisited on CT colonography. Abdom. Radiol. 2022, 47, 1788–1797. [Google Scholar] [CrossRef] [PubMed]
- Vasiliadis, K.; Katsamakas, M.; Nikolaidou, A.; Christoforidis, E.; Tsalis, K.; Tsalikidis, A. Submucosal lipoma of the ascending colon as a source of massive lower gastro-intestinal bleeding: A case report. Acta Chir. Belg. 2008, 108, 356–359. [Google Scholar] [CrossRef] [PubMed]
- Cillara, N.; Pileri, G.; Mancosu, G.; Lorrai, P.; Tocco, M.; Piga, M.; Sechi, R. Ileo-colic lipomatosis complicated by cecum perforation and mimicking acute appendicitis: A case report. Acta Biomed. 2022, 93, e2022208. [Google Scholar]
- Caliskan, A.; Kohlmann, W.K.; Affolter, K.E.; Downs-Kelly, E.; Kanth, P.; Bronner, M.P. Intramucosal lipomas of the colon implicate Cowden syndrome. Mod. Pathol. 2018, 31, 643–651. [Google Scholar] [CrossRef] [PubMed]



| Case 1 | M | 71 | colonoscopy | 3 cm | sigma | Surgical | 0 |
| Case 2 | M | 51 | colonoscopy | 3.5 cm | sigma | Endoscopic | 0 |
| Case 3 | M | 74 | colonoscopy | 1.2 cm | ascending colon | Endoscopic | 0 |
| Case 4 | F | 51 | TC-colonoscopy | 6 cm | descending colon | Surgical | 1 |
| Case 5 | F | 72 | colonoscopy | 2.2 cm | ascending colon | Endoscopic | 0 |
| Case 6 | M | 61 | TC-RMN-colonoscopy | 5 cm | sigma | Surgical | 0 |
| Case 7 | F | 60 | colonoscopy | 5.5 cm | transverse colon | Endoscopic | 0 |
| Case 8 | F | 65 | colonoscopy | 0.2 cm | transverse colon | Endoscopic | 0 |
| Case 9 | M | 84 | 4.5 cm | ascending colon | Surgical | 0 | |
| Case 10 | F | 72 | colonoscopy | 3 cm | transverse colon | Surgical | 0 |
| Case 11 | M | 72 | colonoscopy | 1.5 cm | sigma | Endoscopic | 0 |
| Case 12 | F | 71 | colonoscopy | 1.3 cm | ascending colon | Endoscopic | 0 |
| Case 13 | M | 56 | colonoscopy | 0.5 cm | sigma | Endoscopic | 0 |
| Case 14 | F | 80 | 2 cm | Surgical | 0 | ||
| Case 15 | M | 86 | 1.3 cm | ascending colon | Surgical | 0 | |
| Case 16 | M | 51 | colonoscopy | 0.07 cm | descending colon | Endoscopic | 0 |
| Case 17 | F | 74 | colonoscopy | 3 cm | ascending colon | Endoscopic | 0 |
| Case 18 | F | 44 | TC-colonoscopy | 5.5 cm | transverse colon | Surgical | 0 |
Disclaimer/Publisher’s Note: The statements, opinions and data contained in all publications are solely those of the individual author(s) and contributor(s) and not of MDPI and/or the editor(s). MDPI and/or the editor(s) disclaim responsibility for any injury to people or property resulting from any ideas, methods, instructions or products referred to in the content. |
© 2025 by the authors. Licensee MDPI, Basel, Switzerland. This article is an open access article distributed under the terms and conditions of the Creative Commons Attribution (CC BY) license (https://creativecommons.org/licenses/by/4.0/).
Share and Cite
Schiavone, V.; Carannante, F.; Melone, G.; Miacci, V.; Costa, G.; Taffon, C.; Caricato, M.; Capolupo, G.T.; Mascianà, G. Tailoring the Management of Colonic Lipomas: A 10-Year Experience of Surgical and Endoscopic Resection. J. Pers. Med. 2025, 15, 544. https://doi.org/10.3390/jpm15110544
Schiavone V, Carannante F, Melone G, Miacci V, Costa G, Taffon C, Caricato M, Capolupo GT, Mascianà G. Tailoring the Management of Colonic Lipomas: A 10-Year Experience of Surgical and Endoscopic Resection. Journal of Personalized Medicine. 2025; 15(11):544. https://doi.org/10.3390/jpm15110544
Chicago/Turabian StyleSchiavone, Vincenzo, Filippo Carannante, Gennaro Melone, Valentina Miacci, Gianluca Costa, Chiara Taffon, Marco Caricato, Gabriella Teresa Capolupo, and Gianluca Mascianà. 2025. "Tailoring the Management of Colonic Lipomas: A 10-Year Experience of Surgical and Endoscopic Resection" Journal of Personalized Medicine 15, no. 11: 544. https://doi.org/10.3390/jpm15110544
APA StyleSchiavone, V., Carannante, F., Melone, G., Miacci, V., Costa, G., Taffon, C., Caricato, M., Capolupo, G. T., & Mascianà, G. (2025). Tailoring the Management of Colonic Lipomas: A 10-Year Experience of Surgical and Endoscopic Resection. Journal of Personalized Medicine, 15(11), 544. https://doi.org/10.3390/jpm15110544

