Clinicopathological Findings and Comprehensive Review of Buschke–Lowenstein Tumors Based on a Case Study
Abstract
1. Introduction
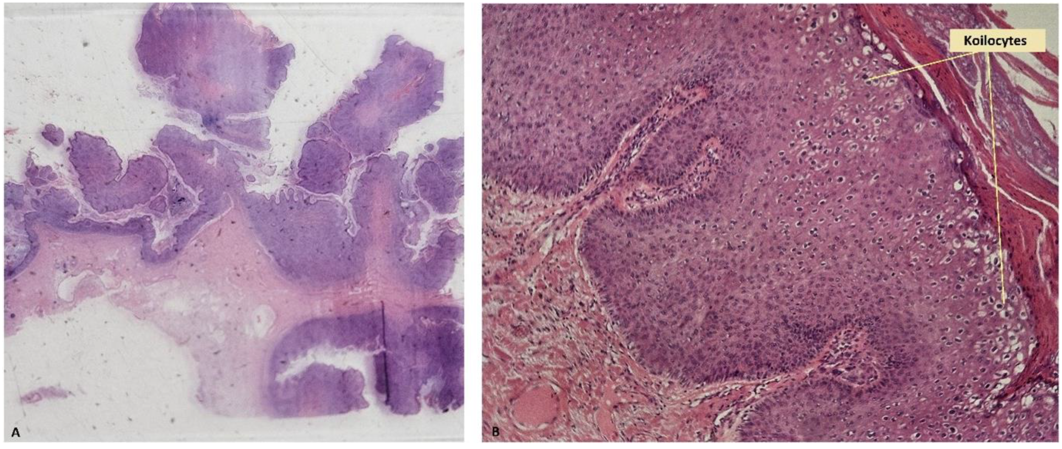
2. Case Presentation
3. Discussion and Literature Review
4. Conclusions
Author Contributions
Funding
Institutional Review Board Statement
Informed Consent Statement
Data Availability Statement
Conflicts of Interest
References
- Costa Almeida, C.E.; Azevedo, J.; Botelho, I.; Vilaça, J. Buschke-Löwenstein tumour: A rare and challenging entity. BMJ Case Rep. 2021, 14, e244192. [Google Scholar] [CrossRef] [PubMed] [PubMed Central]
- Buschke, A.; Loewenstein, L. Über Carcinomähnliche Condylomata Acuminata des penis. Klin. Wochenschr. 1925, 4, 1726–1728. [Google Scholar] [CrossRef]
- Irshad, U.; Puckett, Y. Giant Condylomata Acuminata of Buschke and Lowenstein. [Updated 14 Apr 2023]. In StatPearls [Internet]; StatPearls Publishing: Treasure Island, FL, USA, 2024. Available online: https://www.ncbi.nlm.nih.gov/books/NBK560714/ (accessed on 13 July 2024).
- Nieves-Condoy, J.F.; Acuña-Pinzón, C.L.; Chavarría-Chavira, J.L.; Hinojosa-Ugarte, D.; Zúñiga-Vázquez, L.A. Giant Condyloma Acuminata (Buschke-Lowenstein Tumor): Review of an Unusual Disease and Difficult to Manage. Infect. Dis. Obstet. Gynecol. 2021, 30, 9919446. [Google Scholar] [CrossRef] [PubMed]
- Mihailov, R.; Tatu, A.L.; Niculet, E.; Olaru, I.; Manole, C.; Olaru, F.; Mihailov, O.M.; Guliciuc, M.; Beznea, A.; Bușilă, C.; et al. Surgical Management of Perianal Giant Condyloma Acuminatum of Buschke and Löwenstein: Case Presentation. Life 2023, 13, 1916. [Google Scholar] [CrossRef] [PubMed] [PubMed Central]
- Ajagbe, O.A.; Ayandipo, O.O.; Afuwape, O.O.; Idowu, O.K.; Adeleye, A.O.; Ogundiran, T.O. Surgical treatment of perineal giant condylomata acuminata (Buschke Lowenstein tumor): Case series from a developing country. Int. J. Surg. Case Rep. 2024, 121, 109994. [Google Scholar] [CrossRef] [PubMed] [PubMed Central]
- Rydzewska-Rosołowska, A.; Kakareko, K.; Kowalik, M.; Zaręba, K.; Zbroch, E.; Hryszko, T. An unexpected giant problem—Giant condyloma (Buschke-Lowenstein tumor). Int. J. Infect. Dis. 2021, 103, 280–281. [Google Scholar] [CrossRef] [PubMed]
- Purzycka-Bohdan, D.; Nowicki, R.J.; Herms, F.; Casanova, J.L.; Fouéré, S.; Béziat, V. The Pathogenesis of Giant Condyloma Acuminatum (Buschke-Lowenstein Tumor): An Overview. Int. J. Mol. Sci. 2022, 23, 4547. [Google Scholar] [CrossRef] [PubMed] [PubMed Central]
- Jain, M.; Yadav, D.; Jarouliya, U.; Chavda, V.; Yadav, A.K.; Chaurasia, B.; Song, M. Epidemiology, Molecular Pathogenesis, Immuno-Pathogenesis, Immune Escape Mechanisms and Vaccine Evaluation for HPV-Associated Carcinogenesis. Pathogens 2023, 12, 1380. [Google Scholar] [CrossRef] [PubMed] [PubMed Central]
- Ntanasis-Stathopoulos, I.; Kyriazoglou, A.; Liontos, M.; ADimopoulos, M.; Gavriatopoulou, M. Current trends in the management and prevention of human papillomavirus (HPV) infection. J. BUON 2020, 25, 1281–1285. [Google Scholar] [PubMed]
- Smola, S. Immunopathogenesis of HPV-Associated Cancers and Prospects for Immunotherapy. Viruses 2017, 9, 254. [Google Scholar] [CrossRef] [PubMed]
- Mattoscio, D.; Gheit, T.; Strati, K.; Venuti, A. Editorial: HPV and Host Interaction. Front. Cell Infect. Microbiol. 2021, 11, 638005. [Google Scholar] [CrossRef] [PubMed] [PubMed Central]
- Templeton, C.W.; Laimins, L.A. p53-dependent R-loop formation and HPV pathogenesis. Proc. Natl. Acad. Sci. USA 2023, 120, e2305907120. [Google Scholar] [CrossRef] [PubMed] [PubMed Central]
- Hussain, S.S.; Lundine, D.; Leeman, J.E.; Higginson, D.S. Genomic Signatures in HPV-Associated Tumors. Viruses 2021, 13, 1998. [Google Scholar] [CrossRef] [PubMed] [PubMed Central]
- Mlynarczyk-Bonikowska, B.; Rudnicka, L. HPV Infections-Classification, Pathogenesis, and Potential New Therapies. Int. J. Mol. Sci. 2024, 25, 7616. [Google Scholar] [CrossRef] [PubMed] [PubMed Central]
- Agarwal, S.; Nirwal, G.K.; Singh, H. Buschke-Lowenstein tumour of glans penis. Int. J. Surg. Case Rep. 2014, 5, 215–218. [Google Scholar] [CrossRef] [PubMed] [PubMed Central]
- Pineda-Murillo, J.; Lugo-García, J.A.; Martínez-Carrillo, G.; Torres-Aguilar, J.; Viveros-Contreras, C.; Schettino-Peredo, M.V. Buschke–Löwenstein tumor of the penis. Afr. J. Urol. 2019, 25, 9. [Google Scholar] [CrossRef]
- Balla, D.; Ba, P.A.; Diouf, A.; NDiaye, B.; Sarre, S.M.; Sylla, C. Peri-Anal and Genital Localization of Giant Condyloma Acuminatum or Buschke-Lowenstein’s Tumor: A Report of Two Cases. J. West Afr. Coll. Surg. 2020, 10, 42–46. [Google Scholar] [CrossRef] [PubMed] [PubMed Central]
- Rodríguez-Gutiérrez, R.; Rodarte-Shade, M.; González-Saldivar, G.; González-González, J.G. Buschke-Lowenstein tumor. Am. J. Med. Sci. 2015, 349, e1. [Google Scholar] [CrossRef] [PubMed]
- Zhang, D.; Gonzalez, R.S.; Feely, M.; Umrau, K.; Lee, H.; Allende, D.S.; Karamchandani, D.M.; Zaleski, M.; Lin, J.; Westerhoff, M.; et al. Clinicopathologic features of Buschke-Löwenstein tumor: A multi-institutional analysis of 38 cases. Virchows Arch. 2020, 476, 543–550. [Google Scholar] [CrossRef] [PubMed]
- Balogh, N.; Kolozsi, P.; Tóth, D. A rare malignancy: A case report of early progression of anal Buschke-Löwenstein tumor into squamous cell carcinoma in an immunocompetent patient. Int. J. Surg. Case Rep. 2024, 119, 109715. [Google Scholar] [CrossRef] [PubMed] [PubMed Central]
- Boda, D.; Cutoiu, A.; Bratu, D.; Bejinariu, N.; Crutescu, R. Buschke-Löwenstein tumors: A series of 7 case reports. Exp. Ther. Med. 2022, 23, 393. [Google Scholar] [CrossRef] [PubMed] [PubMed Central]
- Pennycook, K.B.; McCready, T.A. Condyloma Acuminata. In StatPearls [Internet]; StatPearls Publishing: Treasure Island, FL, USA, 2024. Available online: https://www.ncbi.nlm.nih.gov/books/NBK547667/ (accessed on 10 July 2024).
- El Khoury, A.; Jensen, J.C.; Pacioles, T. Neoadjuvant chemotherapy and penile conservation in the management of Buschke—Lowenstein tumor, a case report. Urol. Case Rep. 2019, 29, 101111. [Google Scholar] [CrossRef] [PubMed] [PubMed Central]
- Safi, F.; Bekdache, O.; Al-Salam, S.; Alashari, M.; Mazen, T.; El-Salhat, H. Management of peri-anal giant condyloma acuminatum—A case report and literature review. Asian J. Surg. 2013, 36, 43–52. [Google Scholar] [CrossRef] [PubMed]
- Yildiz, A.; Leventoglu, S.; Yildiz, A.; Inan, A.; Mentes, B.B. Radical surgical management of perianal giant condyloma acuminatum of Buschke and Löwenstein: Long-term results of 11 cases. Ann. Coloproctol. 2023, 39, 204–209. [Google Scholar] [CrossRef] [PubMed] [PubMed Central]
- Kosmidis, C.; Sevva, C.; Magra, V.; Varsamis, N.; Koulouris, C.; Charalampous, I.; Papadopoulos, K.; Roulia, P.; Dagher, M.; Theodorou, V.; et al. HPV-Induced Anal and Peri-Anal Neoplasia, a Surgeon’s Experience: 5-Year Case Series. Diagnostics 2023, 13, 702. [Google Scholar] [CrossRef] [PubMed]
- Meites, E.; Szilagyi, P.G.; Chesson, H.W.; Unger, E.R.; Romero, J.R.; Kowitz, L.E. Human Papillomavirus Vaccination for Adults: Updated Recommendations of the Advisory Committee on Immunization Practices. MMWR Morb. Mortal. Wkly. Rep. 2019, 68, 698–702. [Google Scholar] [CrossRef] [PubMed Central]
- Kowo, M.; Nzoume Nsope Mengang, J.M.; Simeni Njonnou, S.R.; Kouotou, E.A.; Atangana, P.J.A.; Ankouane Andoulo, F. Giant anogenital tumor of Buschke-Löwenstein in a patient living with human immunodeficiency virus/acquired immunodeficiency syndrome: A case report. J. Med. Case Rep. 2022, 16, 116. [Google Scholar] [CrossRef] [PubMed] [PubMed Central]
- Dos Santos, L.M.; de Souza, J.D.; Mbakwa, H.A.; Nobre, A.F.S.; Vieira, R.C.; Ferrari, S.F.; Rodrigues, A.R.; Ishikawa, E.A.Y.; Guerreiro, J.F.; de Sousa, M.S. High prevalence of sexual infection by human papillomavirus and Chlamydia trachomatis in sexually-active women from a large city in the Amazon region of Brazil. PLoS ONE 2022, 17, e0270874. [Google Scholar] [CrossRef] [PubMed] [PubMed Central]
- Goldstone, S.; Palefsky, J.M.; Giuliano, A.R.; Moreira, E.D., Jr.; Aranda, C.; Jessen, H.; Hillman, R.J.; Ferris, D.G.; Coutlee, F.; Liaw, K.-L.; et al. Prevalence of and risk factors for human papillomavirus (HPV) infection among HIV-seronegative men who have sex with men. J. Infect. Dis. 2011, 203, 66–74. [Google Scholar] [CrossRef] [PubMed] [PubMed Central]
- Wulandari, D.; Meidyandra, R.W.; Andrijono. Genotype profiles of high-risk human papillomavirus in women of reproductive age: A community-based study. PLoS ONE 2023, 18, e0287399. [Google Scholar] [CrossRef] [PubMed] [PubMed Central]
- Hewavisenti, R.V.; Arena, J.; Ahlenstiel, C.L.; Sasson, S.C. Human papillomavirus in the setting of immunodeficiency: Pathogenesis and the emergence of next-generation therapies to reduce the high associated cancer risk. Front. Immunol. 2023, 14, 1112513. [Google Scholar] [CrossRef] [PubMed] [PubMed Central]
- Ates, M.; Akbulut, S.; Tuncer, A.; Sahin, E.; Karabulut, E.; Sarici, K.B. Squamous Cell Carcinoma Arising from Perianal Buschke-Lowenstein Tumor (Giant Condyloma Acuminatum): Comprehensive Literature Review. J. Gastrointest. Cancer 2022, 53, 1083–1092. [Google Scholar] [CrossRef] [PubMed]
- Achdiat, P.A.; Maharani, R.H.; Hamada, N.; Dwiyana, R.F.; Tsaqilah, L.; Usman, H.A.; Zulfan. Vulvar squamous cell carcinoma due to human papillomavirus type 11. Ski. Res. Technol. 2023, 29, e13436. [Google Scholar] [CrossRef] [PubMed]
- Silva, L.L.D.; Teles, A.M.; Santos, J.M.O.; Souza de Andrade, M.; Medeiros, R.; Faustino-Rocha, A.I.; Oliveira, P.A.; Dos Santos, A.P.A.; Ferreira Lopes, F.; Braz, G.; et al. Malignancy Associated with Low-Risk HPV6 and HPV11: A Systematic Review and Implications for Cancer Prevention. Cancers 2023, 15, 4068. [Google Scholar] [CrossRef] [PubMed] [PubMed Central]
- Kidd, L.C.; Chaing, S.; Chipollini, J.; Giuliano, A.R.; Spiess, P.E.; Sharma, P. Relationship between human papillomavirus and penile cancer-implications for prevention and treatment. Transl. Androl. Urol. 2017, 6, 791–802. [Google Scholar] [CrossRef] [PubMed] [PubMed Central]
- Jorgaqi, E.; Jafferany, M. Giant condyloma acuminatum (Buschke-Lowenstein tumor): Combined treatment with surgery and chemotherapy. Dermatol. Ther. 2020, 33, e13193. [Google Scholar] [CrossRef] [PubMed]
- Li, F.; Xu, Y.; Wang, H.; Chen, B.O.; Wang, Z.; Zhao, Y.; Zhu, S.; Chen, G. Diagnosis and treatment of penile verrucous carcinoma. Oncol. Lett. 2015, 9, 1687–1690. [Google Scholar] [CrossRef] [PubMed] [PubMed Central][Green Version]
- Lau, W.D.; Ong, C.H.; Lim, T.P.; Teo, C. Penile cancer: A local case series and literature review. Singap. Med. J. 2015, 56, 637–640. [Google Scholar] [CrossRef] [PubMed] [PubMed Central]
- Hariga, C.S.; Achim, S.C.; Savu, A.C.; Enache, V.; Jecan, C.R. A case of extrapleural solitary fibrous tumor of the thigh with eight years follow-up. Rom. J. Morphol. Embryol. 2016, 57, 303–306. [Google Scholar] [PubMed]
- Putra, A.A.; Bramono, I.A.; Harahap, E.U.; Santoso, R.B.; Suzanna, E.; Rahman, F. Malignant solitary fibrous tumor of the penis: A case report of rare malignancy. Urol. Case Rep. 2023, 49, 102418. [Google Scholar] [CrossRef] [PubMed] [PubMed Central]
- Castellani, D.; Sebastiani, G.; Maurelli, S.; Andrisano, A.; Mazzone, L.; Feroce, A.; Primi, F.; Verrico, G.; Rizzotto, A. Solitary fibrous tumor/hemangiopericytoma of the penis: Report of the first case. Urol. J. 2015, 82, 127–129. [Google Scholar] [CrossRef] [PubMed]
- Chokoeva, A.; Tchernev, G.; Cardoso, J.; Patterson, J.; Dechev, I.; Valkanov, S.; Zanardelli, M.; Lotti, T.; Wollina, U. Vulvar sarcomas: Short guideline for histopathological recognition and clinical management. Part 1. Int. J. Immunopathol. Pharmacol. 2015, 28, 168–177. [Google Scholar] [CrossRef] [PubMed]
- Venyo, A.K.G. Kaposi’s sarcoma of the penis: A review of the literature and update. MOJ Tumor. Res. 2018, 1, 187–195. [Google Scholar]
- Hoyos, J.A.; Catano, J.G.; Serrano, J.; Meek, E. Primary Radiation-Induced Sarcoma of the Penis: Case Report and Review of the Literature. Int. Arch. Urol. Complic. 2022, 8, 085. [Google Scholar] [CrossRef]
- Elsayed, A.G.; Sola-Rufai, S.T.; Griswold, D.; Pacioles, T. Verrucous carcinoma arising in a long standing Buschke-Löwenstein tumor. Clin. Case Rep. 2019, 7, 836–838. [Google Scholar] [CrossRef] [PubMed] [PubMed Central]
- Leone, P.; Carvajal, M. Buschke–Löwenstein Tumor: Presentation of a Case. Rev. Oncol. 2022, 32, 253–265. [Google Scholar] [CrossRef]
- Fischer, A. Fundamentals of Cytological Diagnosis and Its Biological Basis. In Pathobiology of Human Disease [Internet]; Elsevier: Amsterdam, The Netherlands, 2014; pp. 3311–3344. Available online: https://linkinghub.elsevier.com/retrieve/pii/B9780123864567065011 (accessed on 9 July 2024).
- Knottenbelt, D.C.; Patterson-Kane, J.C.; Snalune, K.L. Squamous cell carcinoma. In Clinical Equine Oncology [Internet]; Elsevier: Amsterdam, The Netherlands, 2015; pp. 220–236. Available online: https://linkinghub.elsevier.com/retrieve/pii/B978070204266900012X (accessed on 11 July 2024).
- Ledouble, V.; Sclafani, F.; Hendlisz, A.; Gomez Galdon, M.; Liberale, G. Buschke-Löwenstein tumor in a human immunodeficiency virus-positive patient: A case report and short literature review. Acta Gastroenterol. Belg. 2021, 84, 343–345. [Google Scholar] [CrossRef] [PubMed]
- Radovanovic, Z.; Radovanovic, D.; Semnic, R.; Nikin, Z.; Petrovic, T.; Kukic, B. Highly aggressive Buschke-löwenstein tumor of the perineal region with fatal outcome. Indian J. Dermatol. Venereol. Leprol. 2012, 78, 648–650. [Google Scholar] [CrossRef]
- Russano, F.; Russo, I.; Del Fiore, P.; Di Prata, C.; Mocellin, S.; Alaibac, M. Bleomycin-based electrochemotherapy for the treatment of a Buschke-Löwenstein tumor (perianal giant condyloma) in an HIV-positive kidney transplant recipient: A case report. Oncol. Lett. 2022, 24, 466. [Google Scholar] [CrossRef] [PubMed] [PubMed Central]
- Gholam, P.; Enk, A.; Hartschuh, W. Successful surgical management of giant condyloma acuminatum (Buschke-Löwenstein tumor) in the genitoanal region: A case report and evaluation of current therapies. Dermatology 2009, 218, 56–59. [Google Scholar] [CrossRef] [PubMed]
- Ulas, M.; Bostanci, E.B.; Teke, Z.; Karaman, K.; Ercan, M.; Sakaogullari, Z.; Akoglu, M. Giant anorectal condyloma acuminatum of buschke-lowenstein: Successful plastic reconstruction with bilateral gluteal musculocutaneous v-y advancement flap. Indian J. Surg. 2013, 75 (Suppl. 1), 168–170. [Google Scholar] [CrossRef] [PubMed] [PubMed Central][Green Version]
- Nthumba, P.M.; Ngure, P.; Nyoro, P. Giant condyloma acuminatum of the scrotum in a man with AIDS: A case report. J. Med. Case Rep. 2011, 5, 272. [Google Scholar] [CrossRef] [PubMed] [PubMed Central]
- Atkinson, A.L.; Pursell, N.; Sisay, A. The giant condyloma (buschke-löwenstein tumor) in the immunocompromised patient. Case Rep. Obstet. Gynecol. 2014, 2014, 793534. [Google Scholar] [CrossRef] [PubMed] [PubMed Central]
- Reichert, M.; Eckerth, L.; Fritzenwanker, M.; Imirzalioglu, C.; Amati, A.L.; Askevold, I.; Padberg, W.; Hecker, A.; Liese, J.; Bender, F. New Perianal sis Risk Score Predicts Outcome of Elderly Patients with Perianal Abscesses. J. Clin. Med. 2023, 12, 5219. [Google Scholar] [CrossRef] [PubMed] [PubMed Central]
- Bender, F.; Eckerth, L.; Fritzenwanker, M.; Liese, J.; Askevold, I.; Imirzalioglu, C.; Padberg, W.; Hecker, A.; Reichert, M. Drug resistant bacteria in perianal abscesses are frequent and relevant. Sci. Rep. 2022, 12, 14866. [Google Scholar] [CrossRef] [PubMed] [PubMed Central]
- Hodea, F.V.; Lazarescu, A.L.; Grosu-Bularda, A.; Cretu, A.; Teodoreanu, R.N.; Lascar, I.; Hariga, C.S. Antimicrobial resistance of ESKAPE pathogens in major burns patients—One-year retrospective study. Farmacia 2023, 71, 549–555. [Google Scholar] [CrossRef]
- Stevens, D.L.; Bisno, A.L.; Chambers, H.F.; Dellinger, E.P.; Goldstein, E.J.C.; Gorbach, S.L.; Hirschmann, J.V.; Kaplan, S.L.; Montoya, J.G.; Wade, J.C. Practice Guidelines for the Diagnosis and Management of Skin and Soft Tissue Infections: 2014 Update by the Infectious Diseases Society of America. Clin. Infect. Dis. 2014, 59, e10–e52. [Google Scholar] [CrossRef]
- Esposito, S.; Bassetti, M.; Concia, E.; De Simone, G.; De Rosa, F.G.; Grossi, P.; Novelli, A.; Menichetti, F.; Petrosillo, N.; Tinelli, M.; et al. Italian Society of Infectious and Tropical Diseases. Diagnosis and management of skin and soft-tissue infections (SSTI). A literature review and consensus statement: An update. J. Chemother. 2017, 29, 197–214. [Google Scholar] [CrossRef] [PubMed]
- Abu-Baker, A.; Țigăran, A.E.; Peligrad, T.; Ion, D.E.; Gheoca-Mutu, D.E.; Avino, A.; Hariga, C.S.; Moraru, O.E.; Răducu, L.; Jecan, R.C. Exploring an Innovative Approach: Integrating Negative-Pressure Wound Therapy with Silver Nanoparticle Dressings in Skin Graft Procedures. J. Pers. Med. 2024, 14, 206. [Google Scholar] [CrossRef] [PubMed] [PubMed Central]
- Pérez-González, A.; Cachay, E.; Ocampo, A.; Poveda, E. Update on the Epidemiological Features and Clinical Implications of Human Papillomavirus Infection (HPV) and Human Immunodeficiency Virus (HIV) Coinfection. Microorganisms 2022, 10, 1047. [Google Scholar] [CrossRef] [PubMed] [PubMed Central]
- Kombe Kombe, A.J.; Li, B.; Zahid, A.; Mengist, H.M.; Bounda, G.A.; Zhou, Y.; Jin, T. Epidemiology and Burden of Human Papillomavirus and Related Diseases, Molecular Pathogenesis, and Vaccine Evaluation. Front. Public Health 2021, 8, 552028. [Google Scholar] [CrossRef] [PubMed] [PubMed Central]
- Mukherjee, A.G.; Wanjari, U.R.; Gopalakrishnan, A.V.; Kannampuzha, S.; Murali, R.; Namachivayam, A.; Ganesan, R.; Renu, K.; Dey, A.; Vellingiri, B.; et al. Exploring the Molecular Pathogenesis, Pathogen Association, and Therapeutic Strategies against HPV Infection. Pathogens 2022, 12, 25. [Google Scholar] [CrossRef] [PubMed] [PubMed Central]
- Ardhaputri, K.A.D.L.; Lestari, D.P.O.; Armerinayanti, N.W.; Sari, N.L.P.E.K.; Laksmini, L.Y.; Luhur, I.M.J.; Upadana, I.N.; Dewi, K.P. The Proportion of p16 Expression in Penile Squamous Cell Carcinoma Based on Immunohistochemistry Examination in the Balinese Population. Indones. J. Cancer 2022, 16, 94. [Google Scholar] [CrossRef]
- Zargar-Shoshtari, K.; Sharma, P.; Spiess, P.E. Insight into novel biomarkers in penile cancer: Redefining the present and future treatment paradigm? Urol. Oncol. Semin. Orig. Investig. 2018, 36, 433–439. [Google Scholar] [CrossRef] [PubMed]
- Bowie, J.; Singh, S.; O’Hanlon, C.; Shiatis, V.; Brunckhorst, O.; Muneer, A.; Ahmed, K. A systematic review of non-HPV prognostic biomarkers used in penile squamous cell carcinoma. Turk. J. Urol. 2021, 47, 358–365. [Google Scholar] [CrossRef] [PubMed]
- Mrouj, K.; Andrés-Sánchez, N.; Dubra, G.; Singh, P.; Sobecki, M.; Chahar, D.; Al Ghoul, E.; Aznar, A.B.; Prieto, S.; Pirot, N.; et al. Ki-67 regulates global gene expression and promotes sequential stages of carcinogenesis. Proc. Natl. Acad. Sci. USA 2021, 118, e2026507118. [Google Scholar] [CrossRef] [PubMed] [PubMed Central]
- Shetty, M.; Adiga, D.S.A.; Chaithra, G.V. Study of Expression of P16 in Premalignant and Malignant Lesions of Penis and Their Significance. Iran. J. Pathol. 2024, 19, 50–58. [Google Scholar] [CrossRef] [PubMed] [PubMed Central]
- Parza, K.; Mustasam, A.; Ionescu, F.; Paravathaneni, M.; Sandstrom, R.; Safa, H.; Grass, G.D.; Johnstone, P.A.; Eschrich, S.A.; Chadha, J.; et al. The Prognostic Role of Human Papillomavirus and p16 Status in Penile Squamous Cell Carcinoma-A Systematic Review. Cancers 2023, 15, 3713. [Google Scholar] [CrossRef] [PubMed] [PubMed Central]






Disclaimer/Publisher’s Note: The statements, opinions and data contained in all publications are solely those of the individual author(s) and contributor(s) and not of MDPI and/or the editor(s). MDPI and/or the editor(s) disclaim responsibility for any injury to people or property resulting from any ideas, methods, instructions or products referred to in the content. |
© 2024 by the authors. Licensee MDPI, Basel, Switzerland. This article is an open access article distributed under the terms and conditions of the Creative Commons Attribution (CC BY) license (https://creativecommons.org/licenses/by/4.0/).
Share and Cite
Grosu-Bularda, A.; Hariga, C.-S.; Dumitru, C.-S.; Calcaianu, N.; Creanga, C.-A.; Enache, V.; Tache, S.-E.; Bordeanu-Diaconescu, E.-M.; Ratoiu, V.-A.; Teodoreanu, R.-N.; et al. Clinicopathological Findings and Comprehensive Review of Buschke–Lowenstein Tumors Based on a Case Study. J. Pers. Med. 2024, 14, 887. https://doi.org/10.3390/jpm14080887
Grosu-Bularda A, Hariga C-S, Dumitru C-S, Calcaianu N, Creanga C-A, Enache V, Tache S-E, Bordeanu-Diaconescu E-M, Ratoiu V-A, Teodoreanu R-N, et al. Clinicopathological Findings and Comprehensive Review of Buschke–Lowenstein Tumors Based on a Case Study. Journal of Personalized Medicine. 2024; 14(8):887. https://doi.org/10.3390/jpm14080887
Chicago/Turabian StyleGrosu-Bularda, Andreea, Cristian-Sorin Hariga, Catalina-Stefania Dumitru, Nicolae Calcaianu, Cosmin-Antoniu Creanga, Valentin Enache, Silvia-Elena Tache, Eliza-Maria Bordeanu-Diaconescu, Vladut-Alin Ratoiu, Razvan-Nicolae Teodoreanu, and et al. 2024. "Clinicopathological Findings and Comprehensive Review of Buschke–Lowenstein Tumors Based on a Case Study" Journal of Personalized Medicine 14, no. 8: 887. https://doi.org/10.3390/jpm14080887
APA StyleGrosu-Bularda, A., Hariga, C.-S., Dumitru, C.-S., Calcaianu, N., Creanga, C.-A., Enache, V., Tache, S.-E., Bordeanu-Diaconescu, E.-M., Ratoiu, V.-A., Teodoreanu, R.-N., & Lascar, I. (2024). Clinicopathological Findings and Comprehensive Review of Buschke–Lowenstein Tumors Based on a Case Study. Journal of Personalized Medicine, 14(8), 887. https://doi.org/10.3390/jpm14080887

