Prediction of the Hamstring Graft Size for ACL Reconstruction Using Different Axial Layers in Preoperative MRI
Abstract
1. Introduction
2. Materials and Methods
2.1. Participants
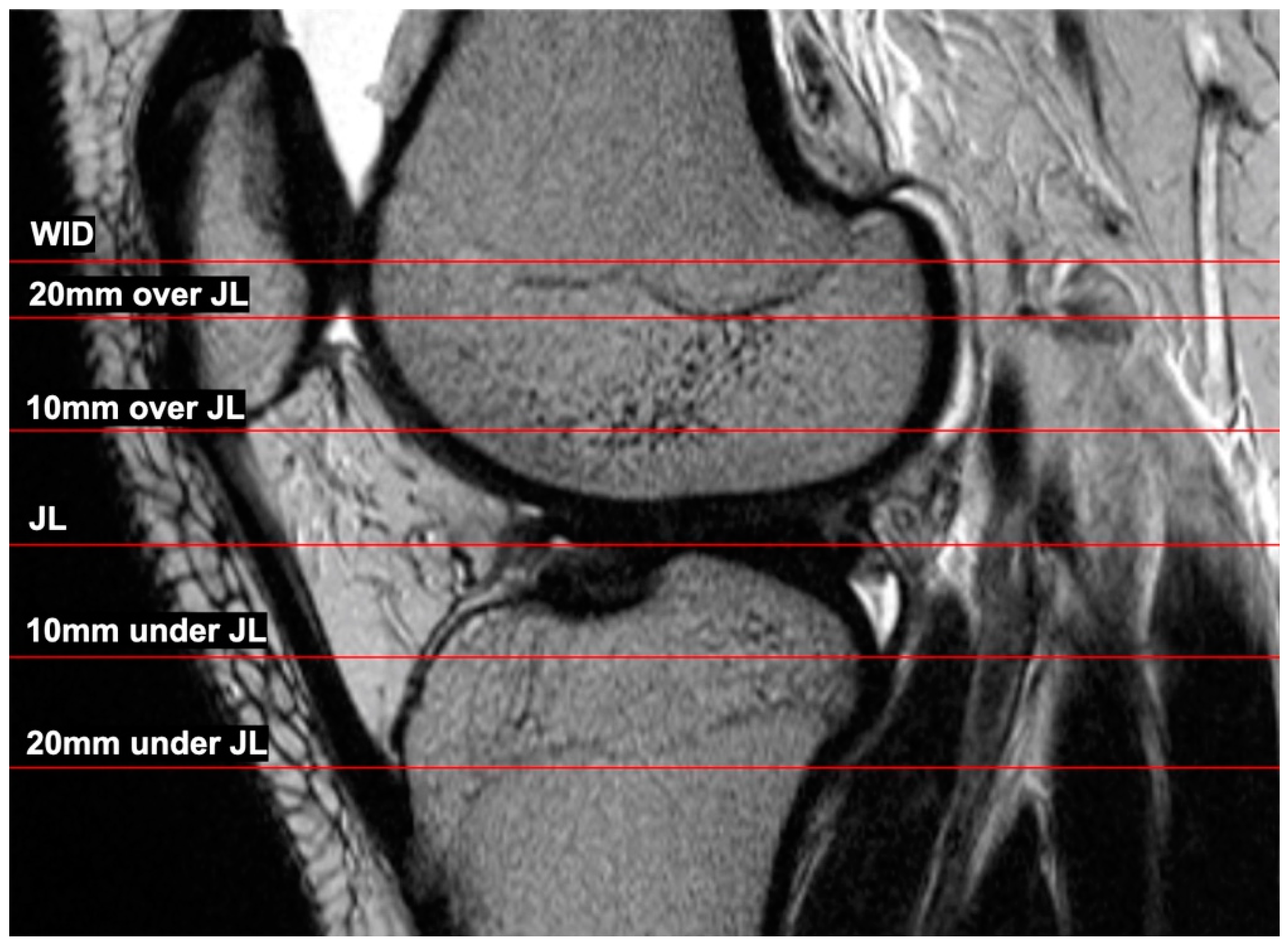
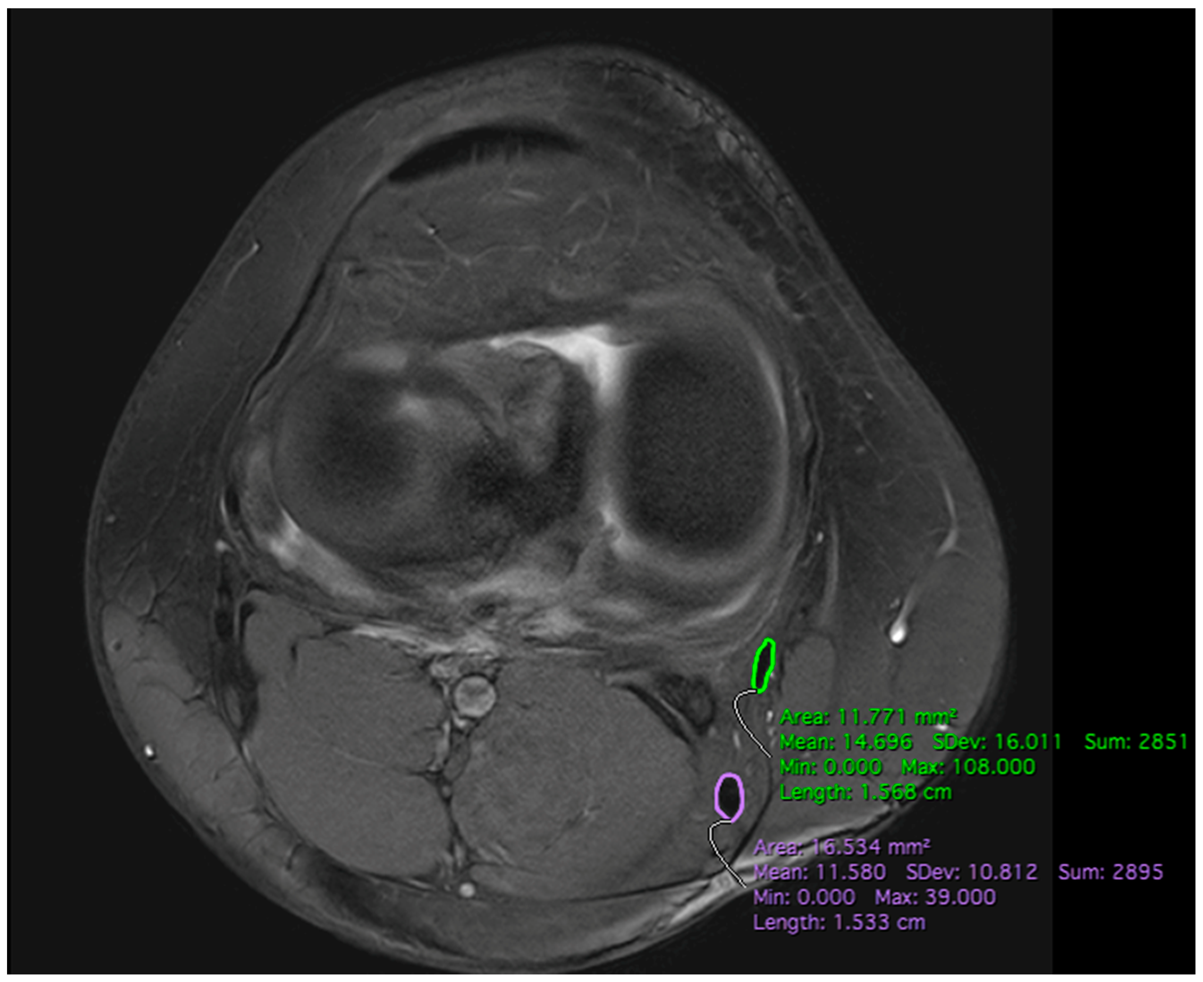
2.2. MRI Measurements
- Level of the widest intercondylar dimension (WID);
- 20 mm over joint line (20 mm);
- 10 mm over joint line (10 mm);
- Joint line level (JL);
- 10 under joint line (−10 mm);
- 20 mm under joint line (−20 mm).
2.3. Intraoperative Measurements
2.4. Statistical Analysis
3. Results
3.1. Interrater Reliability
3.2. MRI CSA STGT
3.3. Correlation CSA STGT with Intraoperative Graft Diameter
4. Discussion
Limitations
5. Conclusions
Author Contributions
Funding
Institutional Review Board Statement
Informed Consent Statement
Data Availability Statement
Acknowledgments
Conflicts of Interest
References
- Domnick, C.; Garcia, P.; Raschke, M.J.; Glasbrenner, J.; Lodde, G.; Fink, C.; Herbort, M. Trends and Incidences of Ligament-Surgeries and Osteotomies of the Knee: An Analysis of German Inpatient Records 2005–2013. Arch. Orthop. Trauma Surg. 2017, 137, 989–995. [Google Scholar] [CrossRef] [PubMed]
- Weiler, A.; Scheffler, S.; Höher, J. Graft selection for primary anterior cruciate ligament reconstruction. Orthopäde 2014, 31, 731–740. [Google Scholar] [CrossRef] [PubMed]
- Conte, E.J.; Hyatt, A.E.; Gatt, C.J.; Dhawan, A. Hamstring Autograft Size Can Be Predicted and Is a Potential Risk Factor for Anterior Cruciate Ligament Reconstruction Failure. Arthrosc. J. Arthrosc. Relat. Surg. 2014, 30, 882–890. [Google Scholar] [CrossRef] [PubMed]
- Magnussen, R.A.; Lawrence, J.T.R.; West, R.L.; Toth, A.P.; Taylor, D.C.; Garrett, W.E. Graft Size and Patient Age Are Predictors of Early Revision after Anterior Cruciate Ligament Reconstruction with Hamstring Autograft. Arthrosc. J. Arthrosc. Relat. Surg. 2012, 28, 526–531. [Google Scholar] [CrossRef] [PubMed]
- Mariscalco, M.W.; Flanigan, D.C.; Mitchell, J.; Pedroza, A.D.; Jones, M.H.; Andrish, J.T.; Parker, R.D.; Kaeding, C.C.; Magnussen, R.A. The Influence of Hamstring Autograft Size on Patient-Reported Outcomes and Risk of Revision after Anterior Cruciate Ligament Reconstruction: A Multicenter Orthopaedic Outcomes Network (MOON) Cohort Study. Arthroscopy 2013, 29, 1948–1953. [Google Scholar] [CrossRef] [PubMed]
- Noyes, F.R.; Butler, D.L.; Grood, E.S.; Zernicke, R.F.; Hefzy, M.S. Biomechanical Analysis of Human Ligament Grafts Used in Knee-Ligament Repairs and Reconstructions. J. Bone Jt. Surg. Am. 1984, 66, 344–352. [Google Scholar] [CrossRef]
- Pichler, W.; Tesch, N.P.; Schwantzer, G.; Fronhöfer, G.; Boldin, C.; Hausleitner, L.; Grechenig, W. Differences in Length and Cross-Section of Semitendinosus and Gracilis Tendons and Their Effect on Anterior Cruciate Ligament Reconstruction: A Cadaver Study. J. Bone Jt. Surg. Br. 2008, 90, 516–519. [Google Scholar] [CrossRef] [PubMed]
- Tohyama, H.; Beynnon, B.D.; Johnson, R.J.; Nichols, C.E.; Renström, P.A. Morphometry of the Semitendinosus and Gracilis Tendons with Application to Anterior Cruciate Ligament Reconstruction. Knee Surg. Sports Traumatol. Arthrosc. 1993, 1, 143–147. [Google Scholar] [CrossRef]
- An, V.; Scholes, C.; Mhaskar, V.A.; Parker, D.A.; Fritsch, B.A. Regression Modelling Combining MRI Measurements and Patient Anthropometry for Patient Screening and Prediction of Graft Diameter in Hamstring Autograft Arthroscopic ACL Reconstruction. Asia-Pac. J. Sports Med. Arthrosc. Rehabil. Technol. 2017, 8, 24–31. [Google Scholar] [CrossRef] [PubMed]
- Erquicia, J.I.; Gelber, P.E.; Doreste, J.L.; Pelfort, X.; Abat, F.; Monllau, J.C. How to Improve the Prediction of Quadrupled Semitendinosus and Gracilis Autograft Sizes with Magnetic Resonance Imaging and Ultrasonography. Am. J. Sports Med. 2013, 41, 1857–1863. [Google Scholar] [CrossRef]
- Leiter, J.; Elkurbo, M.; McRae, S.; Chiu, J.; Froese, W.; MacDonald, P. Using Pre-Operative MRI to Predict Intraoperative Hamstring Graft Size for Anterior Cruciate Ligament Reconstruction. Knee Surg. Sports Traumatol. Arthrosc. 2016, 25, 229–235. [Google Scholar] [CrossRef] [PubMed]
- Offerhaus, C.; Albers, M.; Nagai, K.; Arner, J.W.; Höher, J.; Musahl, V.; Fu, F.H. Individualized Anterior Cruciate Ligament Graft Matching: In Vivo Comparison of Cross-Sectional Areas of Hamstring, Patellar, and Quadriceps Tendon Grafts and ACL Insertion Area. Am. J. Sports Med. 2018, 46, 2646–2652. [Google Scholar] [CrossRef] [PubMed]
- Serino, J.; Murray, R.; Argintar, E.H. Use of Magnetic Resonance Imaging to Predict Quadrupled Semitendinosus Graft Diameter in All-Inside Anterior Cruciate Ligament Reconstruction. Orthopedics 2017, 40, e617–e622. [Google Scholar] [CrossRef] [PubMed]
- Liau, Z.Q.G.; Ng, M.S.P.; Low, S.S.E.; Chin, B.Z.; Hui, J.H.P.; Kagda, F.H.Y. A Novel Practical Method to Predict Anterior Cruciate Ligament Hamstring Graft Size Using Preoperative MRI. Knee Surg. Relat. Res. 2024, 36, 17. [Google Scholar] [CrossRef] [PubMed]
- Bhamare, D.S.; Sirasala, S.; Jivrajani, P.; Nair, A.; Taori, S. Preoperative MRI Assessment of Hamstring Tendons to Predict the Quadruple Hamstring Graft Diameter in Anterior Cruciate Ligament Reconstruction. Cureus 2022, 14, e21753. [Google Scholar] [CrossRef] [PubMed]
- Pérez-Mozas, M.; Payo-Ollero, J.; Montiel-Terrón, V.; Valentí-Nin, J.R.; Valentí-Azcárate, A. Predicción Preoperatoria Del Diámetro de La Plastia Autóloga de Isquiotibiales En Reconstrucción de Ligamento Cruzado Anterior. Rev. Española Cirugía Ortopédica Y Traumatol. 2020, 64, 310–317. [Google Scholar] [CrossRef] [PubMed]
- Koo, T.K.; Li, M.Y. A Guideline of Selecting and Reporting Intraclass Correlation Coefficients for Reliability Research. J. Chiropr. Med. 2016, 15, 155–163. [Google Scholar] [CrossRef] [PubMed]
- Bickel, B.A.; Fowler, T.T.; Mowbray, J.G.; Adler, B.; Klingele, K.; Phillips, G. Preoperative Magnetic Resonance Imaging Cross-Sectional Area for the Measurement of Hamstring Autograft Diameter for Reconstruction of the Adolescent Anterior Cruciate Ligament. Arthrosc. J. Arthrosc. Relat. Surg. 2008, 24, 1336–1341. [Google Scholar] [CrossRef]
- Corey, S.; Mueller, T.; Hartness, C.; Prasad, B.M. Correlation of Intra-Operative Hamstring Autograft Size with Pre-Operative Anthropometric and MRI Measurements. J. Orthop. 2018, 15, 988–991. [Google Scholar] [CrossRef]
- Grawe, B.M.; Williams, P.N.; Burge, A.; Voigt, M.; Altchek, D.W.; Hannafin, J.A.; Allen, A.A. Anterior Cruciate Ligament Reconstruction with Autologous Hamstring: Can Preoperative Magnetic Resonance Imaging Accurately Predict Graft Diameter? Orthop. J. Sports Med. 2016, 4, 2325967116646360. [Google Scholar] [CrossRef]
- Beyzadeoglu, T.; Akgun, U.; Tasdelen, N.; Karahan, M. Prediction of Semitendinosus and Gracilis Autograft Sizes for ACL Reconstruction. Knee Surg. Sports Traumatol. Arthrosc. 2012, 20, 1293–1297. [Google Scholar] [CrossRef] [PubMed]
- Zakko, P.; Eck, C.F.; Guenther, D.; Irrgang, J.J.; Fu, F.H. Can We Predict the Size of Frequently Used Autografts in ACL Reconstruction? Knee Surg. Sports Traumatol. Arthrosc. 2015, 25, 3704–3710. [Google Scholar] [CrossRef] [PubMed]
- Hollnagel, K.; Johnson, B.M.; Whitmer, K.K.; Hanna, A.; Miller, T.K. Prediction of Autograft Hamstring Size for Anterior Cruciate Ligament Reconstruction Using MRI. Clin. Orthop. Relat. Res. 2019, 477, 2677–2684. [Google Scholar] [CrossRef] [PubMed]



| Mean | SD | Minimum | Maximum | |
|---|---|---|---|---|
| Height (cm) | 174.1 | ±10.9 | 150.0 | 192.0 |
| Weight (kg) | 74.8 | ±10.5 | 52.0 | 92.0 |
| BMI (kg/cm2) | 24.7 | ±3.1 | 18.8 | 32.9 |
| Level | CSA ST | CSA GT | CSA STGT |
|---|---|---|---|
| 20 mm | 0.95 | 0.94 | 0.95 |
| 10 mm | 0.96 | 0.93 | 0.96 |
| JL | 0.84 | 0.95 | 0.92 |
| −10 mm | 0.95 | 0.91 | 0.95 |
| −20 mm | 0.89 | 0.60 | 0.85 |
| WID | 0.92 | 0.87 | 0.94 |
| Level | Mean | SD | Minimum | Maximum |
|---|---|---|---|---|
| 20 mm | 19.58 | ±4.26 | 13.12 | 28.74 |
| 10 mm | 19.92 | ±4.33 | 13.40 | 28.64 |
| JL | 20.97 | ±5.26 | 10.76 | 31.85 |
| −10 mm | 18.84 | ±4.62 | 7.15 | 28.37 |
| −20 mm | 16.60 | ±5.30 | 6.95 | 27.85 |
| WID | 20.45 | ±4.32 | 13.38 | 30.09 |
| Level | Correlation Coefficient r | p-Value |
|---|---|---|
| 20 mm | 0.367 | 0.019 * |
| 10 mm | 0.489 | 0.002 * |
| JL | 0.438 | 0.006 * |
| −10 mm | 0.454 | 0.005 * |
| −20 mm | 0.314 | 0.049 * |
| WID | 0.410 | 0.010 * |
Disclaimer/Publisher’s Note: The statements, opinions and data contained in all publications are solely those of the individual author(s) and contributor(s) and not of MDPI and/or the editor(s). MDPI and/or the editor(s) disclaim responsibility for any injury to people or property resulting from any ideas, methods, instructions or products referred to in the content. |
© 2024 by the authors. Licensee MDPI, Basel, Switzerland. This article is an open access article distributed under the terms and conditions of the Creative Commons Attribution (CC BY) license (https://creativecommons.org/licenses/by/4.0/).
Share and Cite
Mayr, M.F.; Siegel, M.; Taghizadeh, E.; Obid, P.; Schmal, H.; Izadpanah, K. Prediction of the Hamstring Graft Size for ACL Reconstruction Using Different Axial Layers in Preoperative MRI. J. Pers. Med. 2024, 14, 582. https://doi.org/10.3390/jpm14060582
Mayr MF, Siegel M, Taghizadeh E, Obid P, Schmal H, Izadpanah K. Prediction of the Hamstring Graft Size for ACL Reconstruction Using Different Axial Layers in Preoperative MRI. Journal of Personalized Medicine. 2024; 14(6):582. https://doi.org/10.3390/jpm14060582
Chicago/Turabian StyleMayr, Moritz Florian, Markus Siegel, Elham Taghizadeh, Peter Obid, Hagen Schmal, and Kaywan Izadpanah. 2024. "Prediction of the Hamstring Graft Size for ACL Reconstruction Using Different Axial Layers in Preoperative MRI" Journal of Personalized Medicine 14, no. 6: 582. https://doi.org/10.3390/jpm14060582
APA StyleMayr, M. F., Siegel, M., Taghizadeh, E., Obid, P., Schmal, H., & Izadpanah, K. (2024). Prediction of the Hamstring Graft Size for ACL Reconstruction Using Different Axial Layers in Preoperative MRI. Journal of Personalized Medicine, 14(6), 582. https://doi.org/10.3390/jpm14060582

