A Pathophysiological Approach to Spontaneous Orbital Meningoceles: Case Report and Systematic Review
Abstract
1. Introduction
2. Materials and Methods
2.1. Case Report
2.2. Systematic Review
3. Results
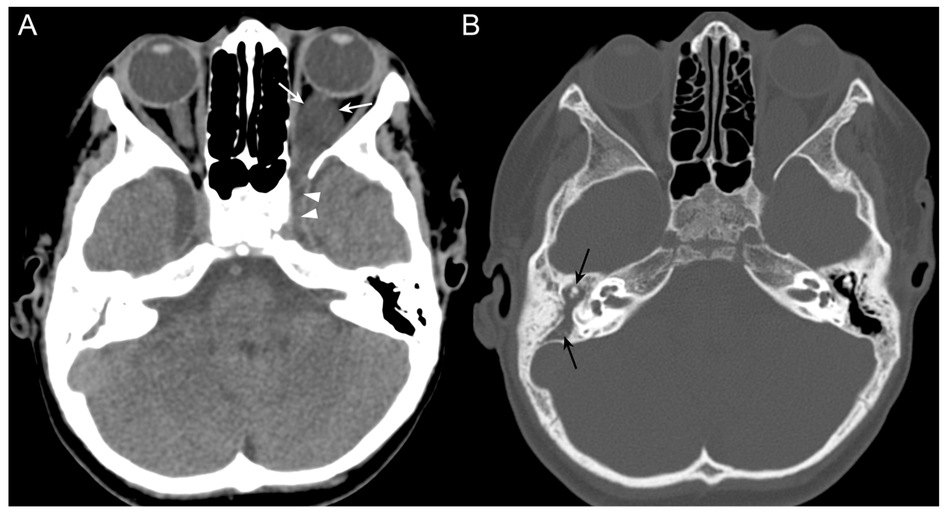
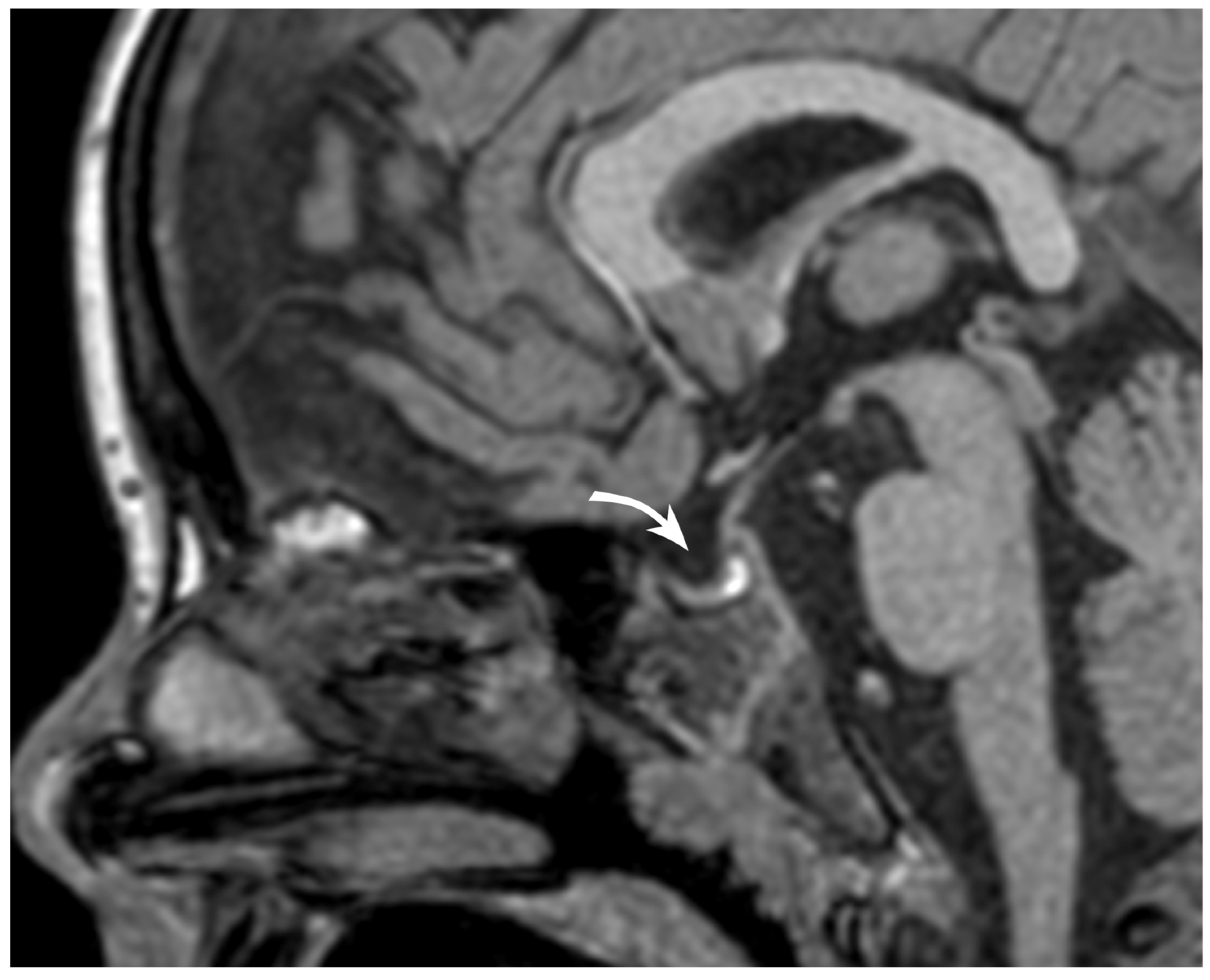
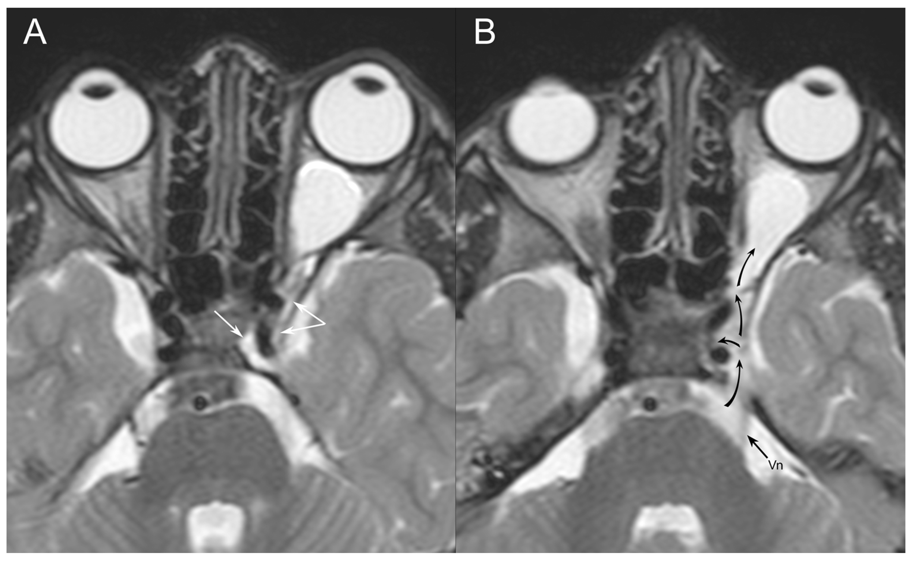
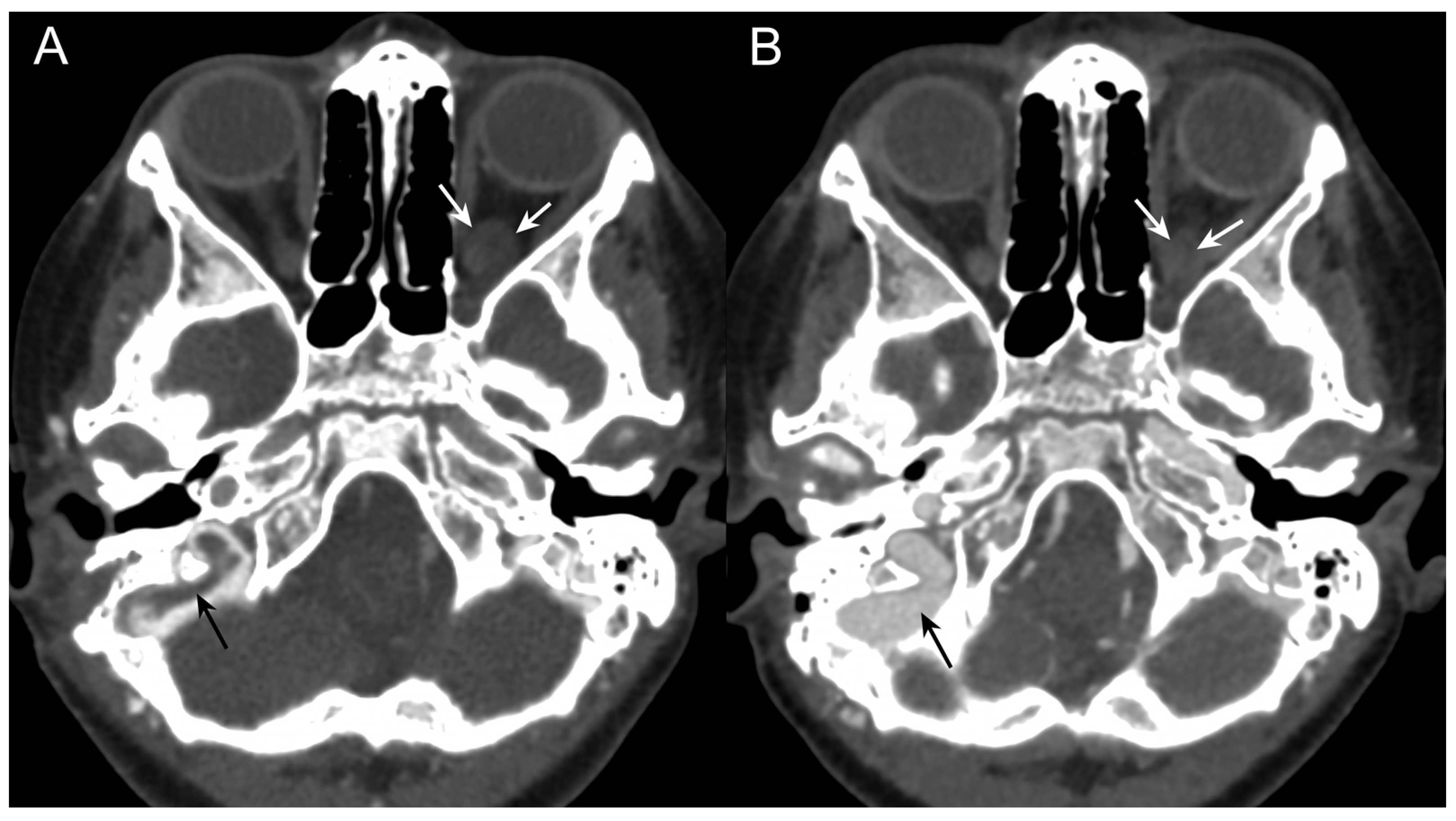
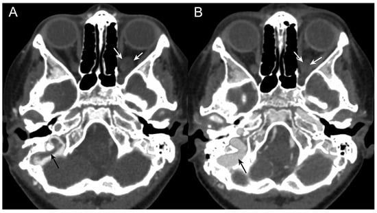
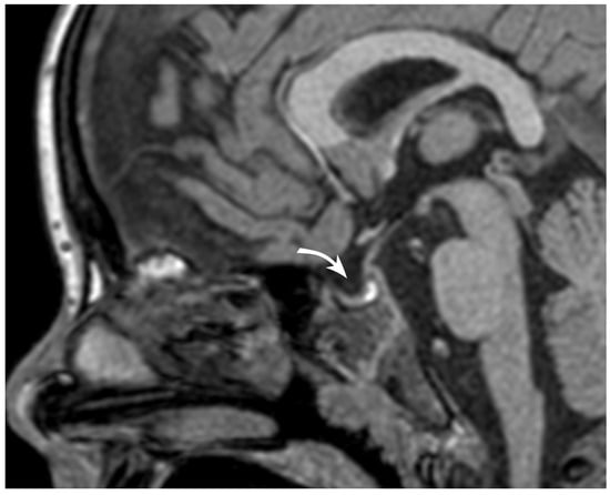
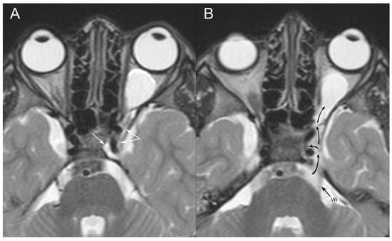
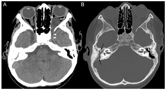
3.1. Case Report
3.2. Systematic Review
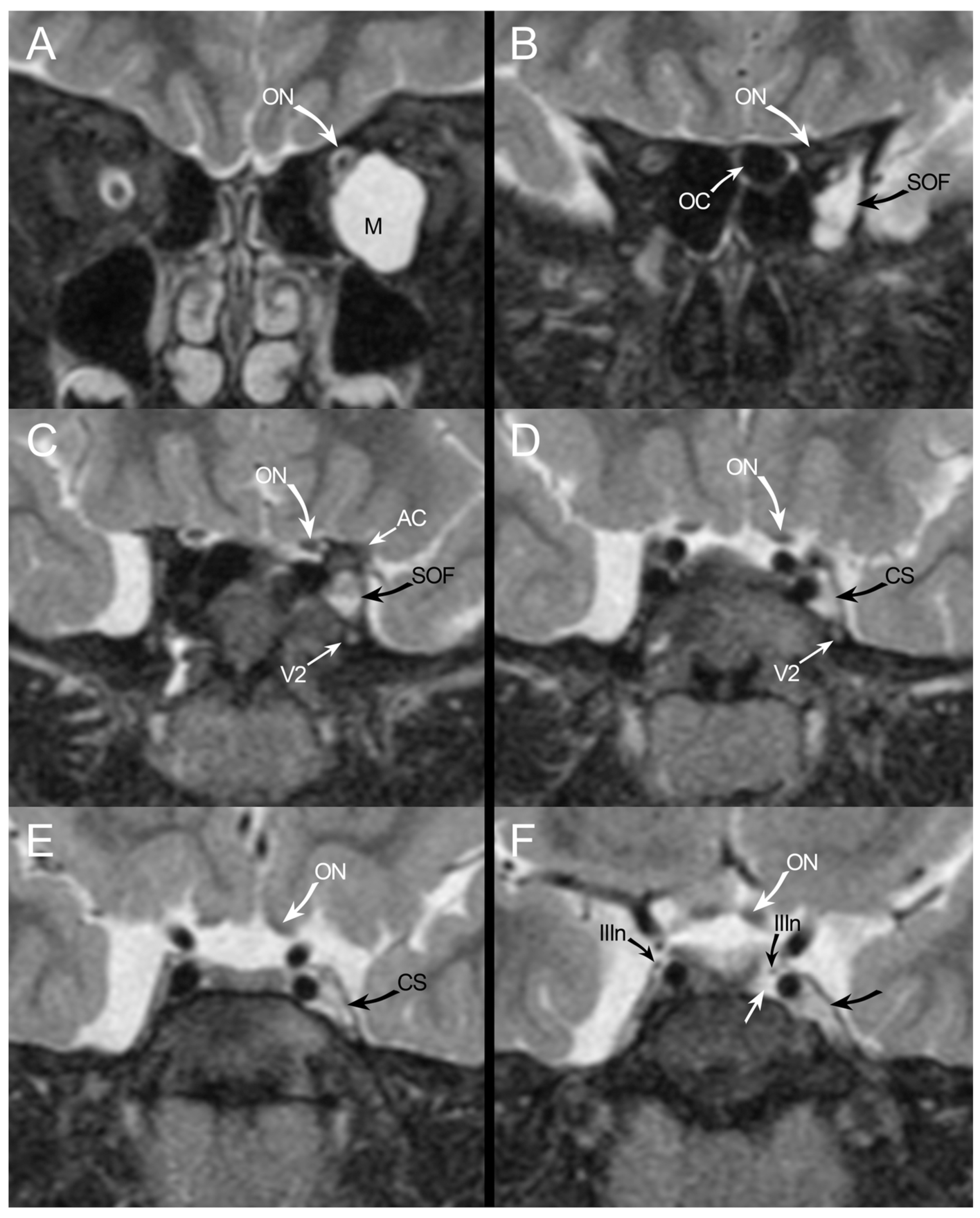
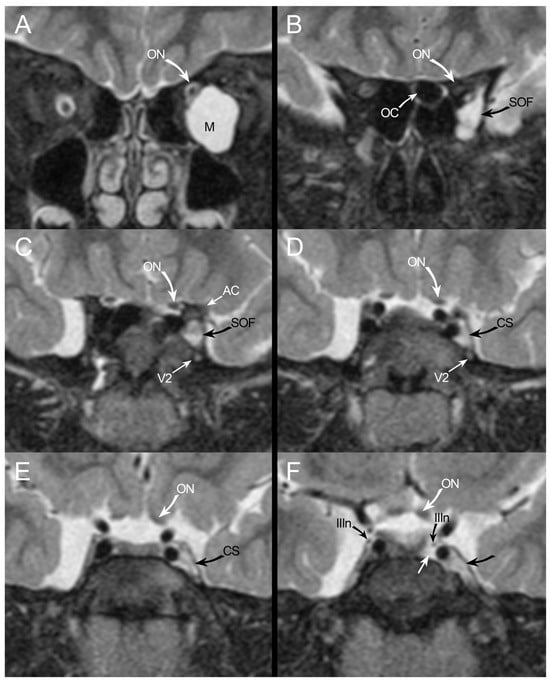
4. Discussion
5. Conclusions
Supplementary Materials
Author Contributions
Funding
Institutional Review Board Statement
Informed Consent Statement
Data Availability Statement
Conflicts of Interest
References
- Flint, P.W.; Haughey, B.H.; Lund, V.J.; Robbins, K.T.; Thomas, J.R.; Lesperance, M.M.; Francis, H.W. Cummings Otolaryngology–International Edition: Head and Neck Surgery. 2020, Volume 7, pp. 1323–1344. Available online: https://www.worldcat.org/title/1239324944 (accessed on 19 January 2024).
- Suwanwela, C.; Suwanwela, N. A morphological classification of sincipital encephalomeningoceles. J. Neurosurg. 1972, 36, 201–211. [Google Scholar] [CrossRef] [PubMed]
- Van Rumund, A.; Verrips, A.; Verhagen, W.I.M. Pulsatile Proptosis due to Intraorbital Meningocele. Front. Neurol. 2017, 8, 290. [Google Scholar] [CrossRef] [PubMed]
- Sadashivam, S. Isolated Orbital Roof Fracture: Can It Be Catastrophic? Asian J. Neurosurg. 2018, 13, 935. [Google Scholar] [CrossRef] [PubMed]
- Gelabert-González, M.; García-Allut, A.; Villa, J.F.; Martínez-Rumbo, R. Orbital meningocystocele. Neurocirugia 2003, 14, 145–147; discussion 148. [Google Scholar] [CrossRef] [PubMed]
- Yan, J.; Li, Y.; Chen, Q.; Ye, X.; Li, J. Rare orbital cystic lesions in children. J. Craniomaxillofac. Surg. 2014, 43, 238–243. [Google Scholar] [CrossRef] [PubMed]
- Pahwa, S.; Sharma, S.; Das, C.J.; Dhamija, E.; Agrawal, S. Intraorbital Cystic Lesions: An Imaging Spectrum. Curr. Probl. Diagn. Radiol. 2015, 44, 437–448. [Google Scholar] [CrossRef] [PubMed]
- Kaufman, L.M.; Villablanca, J.P.; Mafee, M.F. Diagnostic imaging of cystic lesions in the child’s orbit. Radiol. Clin. N. Am. 1998, 36, 1149–1163. [Google Scholar] [CrossRef] [PubMed]
- Sioufi, K.; Say, E.A.T.; Gray, H.M.; Shields, C.L. Optic nerve Meningocele simulating extraocular extension of choroidal melanoma. Retin. Cases Brief. Rep. 2017, 11, S174–S177. [Google Scholar] [CrossRef] [PubMed]
- Downey, E.F.D., Jr.; Weinstein, Z.R. Unusual case of orbital encephalocele. AJNR Am. J. Neuroradiol. 1984, 5, 199–200. [Google Scholar]
- Morello, A.; Bianconi, A.; Cogoni, M.; Borgarello, S.; Garbossa, D.; Micon, B.M. Bilateral idiopathic optic nerve sheath meningocele: A case report and literature review. J. Neurosci. Rural Pract. 2022, 13, 781. [Google Scholar] [CrossRef]
- Jain, D.H.; Noronha, V.O.; Mukherjee, B. Optic Nerve Sheath Meningocele with Optic Disc Pit: A Rare Finding. Ophthalmic Plast. Reconstr. Surg. 2019, 35, E85. [Google Scholar] [CrossRef] [PubMed]
- Peto, I.; Molcanyi, M.; Noureldine, M.H.A.; Bajric, J.; Agazzi, S. Transpalpebral transorbital neuroendoscopic (TONES) repair of orbital meningoencephalocele: A technical note. Br. J. Neurosurg. 2023, 37, 1904–1908. [Google Scholar] [CrossRef]
- Trivedi, A.; Garg, A.K.; Hiran, S. Partial thickness autologus calvarial bone orbitocranioplasty for a sphenorbital encephalocele presenting as pulsatile exophthalmos. Asian J. Neurosurg. 2015, 10, 119–122. [Google Scholar] [CrossRef] [PubMed]
- Page, M.J.; McKenzie, J.E.; Bossuyt, P.M.; Boutron, I.; Hoffmann, T.C.; Mulrow, C.D.; Shamseer, L.; Tetzlaff, J.M.; Akl, E.A.; Brennan, S.E.; et al. The PRISMA 2020 statement: An updated guideline for reporting systematic reviews. BMJ 2021, 372, n71. [Google Scholar] [CrossRef] [PubMed]
- Riley, D.S.; Barber, M.S.; Kienle, G.S.; Aronson, J.K.; von Schoen-Angerer, T.; Tugwell, P.; Kiene, H.; Helfand, M.; Altman, D.G.; Sox, H.; et al. CARE guidelines for case reports: Explanation and elaboration document. J. Clin. Epidemiol. 2017, 89, 218–235. [Google Scholar] [CrossRef] [PubMed]
- Gagnier, J.J.; Kienle, G.; Altman, D.G.; Moher, D.; Sox, H.; Riley, D. The CARE Guidelines: Consensus-based Clinical Case Reporting Guideline Development. Glob. Adv. Health Med. 2013, 2, 38. [Google Scholar] [CrossRef] [PubMed]
- Aromataris, E.; Lockwood, C.; Porritt, K.; Pilla, B.; Jordan, Z. (Eds.) Chapter 7: Systematic reviews of etiology and risk. In JBI Manual for Evidence Synthesis; Joanna Briggs Institute Reviewer’s Manual; Joanna Briggs Institute: Adelaide, Australia, 2020. [Google Scholar] [CrossRef]
- Weizman, Z.; Tenembaum, A.; Perlman, M.; Sahar, A. Orbital meningocele presenting as periorbital cellulitis. Childs Brain 1981, 8, 207–210. [Google Scholar] [CrossRef] [PubMed]
- Bornemann, A.; Schwarz, M.; Brühl, K.; Goebel, H.H. A sphenoorbital encephalocele–clinical, radiological, and morphological findings. Neurosurg. Rev. 1988, 11, 205–206. [Google Scholar] [CrossRef] [PubMed]
- Garrity, J.A.; Trautmann, J.C.; Bartley, G.B.; Forbes, G.; Bullock, J.D.; Jones, T.W.; Waller, R.R. Optic Nerve Sheath Meningoceles: Clinical and Radiographic Features in 13 Cases with a Review of the Literature. Ophthalmology 1990, 97, 1519–1531. [Google Scholar] [CrossRef]
- Sugawara, Y.; Harii, K.; Hirabayashi, S.; Sakurai, A.; Sasaki, T. A spheno-orbital encephalocele with unilateral exophthalmos. Ann. Plast. Surg. 1996, 36, 410–412. [Google Scholar] [CrossRef]
- Lunardi, P.; Farah, J.O.; Ruggeri, A.; Nardacci, B.; Ferrante, L.; Puzzilli, F. Surgically verified case of optic sheath nerve meningocele: Case report with review of the literature. Neurosurg. Rev. 1997, 20, 201–205. [Google Scholar] [CrossRef] [PubMed]
- Shanmuganathan, V.; Leatherbarrow, B.; Ansons, A.; Laitt, R. Bilateral idopathic optic nerve sheath meningocele associated with unilateral transient cystoid macular oedema. Eye 2002, 16, 800–802. [Google Scholar] [CrossRef] [PubMed]
- Mesa-Gutiérrez, J.C.; Quiñones, S.M.; Ginebreda, J.A. Optic nerve sheath meningocele. Clin. Ophthalmol. 2008, 2, 661. [Google Scholar] [CrossRef] [PubMed][Green Version]
- Knopp, U.; Knopp, A.; Stellmacher, F.; Reusche, E.; Löning, M.; Kantelhardt, S.R.; von Domarus, H.; Arnold, H.; Giese, A. A non-midline spheno-orbital encephalocele in a newborn. Cent. Eur. Neurosurg. 2009, 70, 43–47. [Google Scholar] [CrossRef] [PubMed]
- Spooler, J.C.; Cho, D.; Ray, A.; Zouros, A. Patient with congenital optic nerve meningocele presenting with left orbital cyst. Childs Nerv. Syst. 2008, 25, 267–269. [Google Scholar] [CrossRef] [PubMed]
- Ahmed, A.; Noureldin, R.; Gendy, M.; Sakr, S.; Naby, M.A. Antenatal sonographic appearance of a large orbital encephalocele: A case report and differential diagnosis of orbital cystic mass. J. Clin. Ultrasound 2012, 41, 327–331. [Google Scholar] [CrossRef] [PubMed]
- Halimi, E.; Wavreille, O.; Rosenberg, R.; Bouacha, I.; Lejeune, J.-P.; Defoort-Dhellemmes, S. Optic Nerve Sheath Meningocele: A Case Report. Neuroophthalmology 2013, 37, 78–81. [Google Scholar] [CrossRef] [PubMed][Green Version]
- Sharma, M.; Mally, R.; Velho, V.; Agarwal, V. Spheno-orbital encephalocele: A rare entity—A case report and review of literature. Asian J. Neurosurg. 2014, 9, 108. [Google Scholar] [CrossRef] [PubMed]
- Germano, R.A.S.; Silva, M.V.; Germano, F.A.S.; Brandão, M.M.; Germano, C.S.; de Souza, B.L.; Kawai, R.M.; Germano, J.E. Eyelid liquoric fistula secondary to orbital meningocele. Rev. Bras. Oftalmol. 2015, 74, 46–48. [Google Scholar] [CrossRef]
- Hoang, A.; Maugans, T.; Ngo, T.; Ikeda, J. Nontraumatic orbital roof encephalocele. J. AAPOS 2016, 21, 81–83. [Google Scholar] [CrossRef]
- Mahatma, G.; Sadaka, A.; Berry, S.; Malik, A.; Lee, A.G. Stabilization of visual function after optic nerve sheath fenestration for optic nerve meningocele. Ophthalmic Plast. Reconstr. Surg. 2017, 33, e160–e161. [Google Scholar] [CrossRef] [PubMed]
- Algarni, M.; Maralani, P.J.; Sundaram, A.N.E. Optic nerve sheath meningocele. Int. Med. Case Rep. J. 2018, 11, 213. [Google Scholar] [CrossRef] [PubMed]
- Shaikh, M.; Khera, P.; Yadav, T.; Garg, P. Dural Ectasia of the Optic Nerve: A Rare Presentation in Neurofibromatosis Type I. J. Neurosci. Rural Pract. 2019, 10, 349–351. [Google Scholar] [CrossRef] [PubMed]
- Zurita, M.; Candanedo, C.; Moscovici, S.; Kaye, A.H.; Spektor, S. Spontaneous symptomatic orbital meningoencephalocele in an adult patient. Case report and review of the literature. J. Clin. Neurosci. 2020, 77, 224–226. [Google Scholar] [CrossRef]
- Mbaye, M.; Thiam, A.B.; Cissue, M.A.; Faye, M.; Ndiaye, S.Y.E.H.C.; Thioub, M.; Ndoye, N.; Ba, M.C.; Badiane, S.B. Orbital meningocele in two case studies. Surg. Neurol. Int. 2020, 11, 119. [Google Scholar] [CrossRef] [PubMed]
- Kulkarni, V.M.; Chitalkar, S.B.; Khaladkar, S.M.; Navani, R.S.; Lamghare, P. Arachnoid Cyst in Middle Cranial Fossa with Intraorbital Cyst (Orbital Meningocele). Cureus 2021, 13, e18795. [Google Scholar] [CrossRef] [PubMed]
- Lai, Y.-F.; Lee, L.-C.; Chen, Y.-H.; Chien, K.-H. Pulsating proptosis and heavy eye syndrome precipitated by neurofibromatosis type 1: A case report. Medicine 2021, 100, e27575. [Google Scholar] [CrossRef] [PubMed]
- Rajabi, M.T.; Mohammadi, A.; Besharati, S. Proptosis due to Isolated Intra-orbital Meningocele-a case Report. Case Rep. Clin. Pract. 2023, 8, 42–45. [Google Scholar] [CrossRef]
- Geeraerts, T.; Newcombe, V.F.; Coles, J.P.; Abate, M.G.; E Perkes, I.; Hutchinson, P.J.; Outtrim, J.G.; A Chatfield, D.; Menon, D.K. Use of T2-weighted magnetic resonance imaging of the optic nerve sheath to detect raised intracranial pressure. Crit. Care 2008, 12, R114. [Google Scholar] [CrossRef]
- Wang, J.; Li, K.; Li, H.; Ji, C.; Wu, Z.; Chen, H.; Chen, B. Ultrasonographic optic nerve sheath diameter correlation with ICP and accuracy as a tool for noninvasive surrogate ICP measurement in patients with decompressive craniotomy. J. Neurosurg. 2019, 133, 514–520. [Google Scholar] [CrossRef]
- Munawar, K.; Khan, M.T.; Hussain, S.W.; Qadeer, A.; Shad, Z.S.; Bano, S.; Abdullah, A. Optic Nerve Sheath Diameter Correlation with Elevated Intracranial Pressure Determined via Ultrasound. Cureus 2019, 11, e4145. [Google Scholar] [CrossRef] [PubMed]
- Russo, C.; Russo, C.; Cascone, D.; Mazio, F.; Santoro, C.; Covelli, E.M.; Cinalli, G. Non-oncological neuroradiological manifestations in nf1 and their clinical implications. Cancers 2021, 13, 1831. [Google Scholar] [CrossRef] [PubMed]
- Naran, S.; Swanson, J.W.; Ligh, C.A.; Shubinets, V.; Taylor, J.A.; Bartlett, S.P. Sphenoid dysplasia in neurofibromatosis: Patterns of presentation and outcomes of treatment. Plast. Reconstr. Surg. 2018, 142, 518E–526E. [Google Scholar] [CrossRef] [PubMed]
- Viskochil, D.H.; Stevenson, D.A. Skeletal Manifestations in NF1. Multidisciplinary Approach to Neurofibromatosis Type 1, Springer: Cham, Switzerland, 2020; 85–99. [Google Scholar] [CrossRef]
- Chapman, P.H.; Curtin, H.D.; Cunningham, M.J. An unusual pterygopalatine meningocele associated with neurofibromatosis type 1. Case report. J. Neurosurg. 2000, 93, 480–483. [Google Scholar] [CrossRef] [PubMed]
- Bedarida, V.; Labeyrie, M.; Eliezer, M.; Saint-Maurice, J.; Jourdaine, C.; Gargalas, S.; Herman, P.; Houdart, E.; Verillaud, B. Association of spontaneous cerebrospinal fluid rhinorrhea with transverse venous sinus stenosis: A retrospective matched case-control study. Int. Forum Allergy Rhinol. 2020, 10, 1295–1299. [Google Scholar] [CrossRef] [PubMed]
- Morris, P.P.; Black, D.F.; Port, J.; Campeau, N. Transverse Sinus Stenosis Is the Most Sensitive MR Imaging Correlate of Idiopathic Intracranial Hypertension. AJNR Am. J. Neuroradiol. 2017, 38, 471. [Google Scholar] [CrossRef] [PubMed]
- Millán, D.S.; Hallak, B.; Wanke, I.; Wetzel, S.; Van Dommelen, K.; Rüfenacht, D.; Gailloud, P. Dural venous sinus stenting as a stand-alone treatment for spontaneous skull base CSF leak secondary to venous pseudotumor cerebri syndrome. Neuroradiology 2019, 61, 1103–1106. [Google Scholar] [CrossRef] [PubMed]
- Zhao, K.; Gu, W.; Liu, C.; Kong, D.; Zheng, C.; Chen, W.; Li, X.; Liang, Y.; Zhou, H. Advances in the Understanding of the Complex Role of Venous Sinus Stenosis in Idiopathic Intracranial Hypertension. J. Magn. Reson. Imaging 2022, 56, 645. [Google Scholar] [CrossRef] [PubMed]
- Lele, A.V.; Hoefnagel, A.L.; Schloemerkemper, N.; Wyler, D.A.; Chaikittisilpa, N.; Vavilala, M.S.; Naik, B.I.; Williams, J.H.; Raghavan, L.V.; Koerner, I.P. Perioperative management of adult patients with external ventricular and lumbar drains: Guidelines from the society for neuroscience in anesthesiology and critical care. J. Neurosurg. Anesthesiol. 2017, 29, 191–210. [Google Scholar] [CrossRef]
- Ferro, J.M.; Bousser, M.-G.; Canhão, P.; Coutinho, J.M.; Crassard, I.; Dentali, F.; di Minno, M.; Maino, A.; Martinelli, I.; Masuhr, F.; et al. European Stroke Organization guideline for the diagnosis and treatment of cerebral venous thrombosis-Endorsed by the European Academy of Neurology. Eur. Stroke J. 2017, 2, 195–221. [Google Scholar] [CrossRef]
- Wei, H.; Jiang, H.; Zhou, Y.; Liu, L.; Zhou, C.; Ji, X. Intracranial hypertension after cerebral venous thrombosis—Risk factors and outcomes. CNS Neurosci. Ther. 2023, 29, 2540–2547. [Google Scholar] [CrossRef] [PubMed]
- Ferro, J.M.; Bousser, M.-G.; Canhão, P.; Coutinho, J.M.; Crassard, I.; Dentali, F.; di Minno, M.; Maino, A.; Martinelli, I.; Masuhr, F.; et al. Idiopathic intracranial hypertension: Consensus guidelines on management. J. Neurol. Neurosurg. Psychiatry 2018, 89, 1088–1100. [Google Scholar] [CrossRef]
- Nicholson, P.; Brinjikji, W.; Radovanovic, I.; Hilditch, C.A.; Tsang, A.C.O.; Krings, T.; Pereira, V.M.; Lenck, S. Venous sinus stenting for idiopathic intracranial hypertension: A systematic review and meta-analysis. J. Neurointerventional Surg. 2019, 11, 380–385. [Google Scholar] [CrossRef] [PubMed]
- Malem, A.; Sheth, T.; Muthusamy, B. Paediatric Idiopathic Intracranial Hypertension (IIH)-A Review. Life 2021, 11, 632. [Google Scholar] [CrossRef]
- Bialer, O.Y.; Rueda, M.P.; Bruce, B.B.; Newman, N.J.; Biousse, V.; Saindane, A.M. Meningoceles in idiopathic intracranial hypertension. AJR Am. J. Roentgenol. 2014, 202, 608–613. [Google Scholar] [CrossRef]










| Publication (First Author, Year) | Number of Cases | Age | Gender | Side | Diagnosis | Ich | Erniation Point Identification | Surgery or IP | Medical Treatment for Ich | Associated Medical Conditions |
|---|---|---|---|---|---|---|---|---|---|---|
| Weizman, 1981 [19] | 1 | 15 days | F | U | MC | Non susp | ORD | Yes | Yes | |
| Downey, Jr, 1983 [10] | 1 | 1 year | M | U | MEC | Non susp | SOF | No | No | Contralateral retinoblastoma |
| Bornemann, 1988 [20] | 1 | Pediatric NOS | M | U | MEC | Non susp | SOF | Yes | ||
| Garrity, 1990 [21] | 13 | 3–61 years (3 pediatrics NOS) | 7M 6F | 11 B 2 U | 13 MC | 2 Yes 1 Susp 10 Non susp | 13 OC | 3 Yes 10 No | 3 NF1 | |
| Sugawara, 1995 [22] | 1 | 5 years | M | U | MEC | Non susp | GSWD | Yes | Suspected NF1 | |
| Lunardi, 1997 [23] | 1 | 15 years | M | U | MC | No | OC | Yes | ||
| Shanmuganathan, 2002 [24] | 1 | 59 years | M | B | MC | Yes | OC | No | ||
| Mesa-Gutiérrez, 2008 [25] | 1 | 53 years | M | U | MC | Yes | OC | No | Acetazolami (250 mg ×2) | |
| Knopp, 2009 [26] | 1 | 4 days | M | U | MEC | Non susp | GSWD | Yes | ||
| Spooler, 2009 [27] | 1 | 5 years | M | U | MC | Susp | OC | Yes | Multiple malformations | |
| Ahmed, 2012 [28] | 1 | Prenatal period | F | U | MEC | SOF | Yes | No | ||
| Halimi, 2013 [29] | 1 | 39 years | F | U | MC | Susp | OC | No | Acetazolami (125 mg ×2–3) | |
| Sharma, 2014 [30] | 1 | 22 years | M | U | MEC | Non susp | GSWD | Yes | ||
| Germano, 2015 [31] | 1 | 51 years | F | U | MC | Non susp | ORD | Yes | ||
| Trivedi, 2015 [14] | 1 | 10 years | F | U | MC | No | GSWD | Yes | Suspected NF1 | |
| Van Rumund, 2017 [3] | 1 | 79 years | M | U | MC | Non susp | ORD | No | ||
| Hoang, 2017 [32] | 1 | 3 years | F | U | MEC | Non susp | ORD | Yes | No | |
| Mahatma, 2017 [33] | 1 | 10 years | M | B | MC | Susp | OC | Yes | ||
| Sioufi, 2017 [9] | 1 | 53 years | M | B | MC | Non susp | OC | No | No | Left choroidal melanoma |
| Algarni, 2018 [34] | 2 | 82 years 53 years | 1 M 1 F | 2 U | 2 MC | 1 Yes 1 No | 2 OC | 2 No | ||
| Jain, 2019 [12] | 1 | 13 years | F | U | MC | Non susp | OC | No | Acetazolami (250 mg) | |
| Shai kh, 2019 [35] | 1 | 20 years | F | U | MC | Non susp | OC | No | NF1 | |
| Zurita, 2020 [36] | 1 | 41 years | F | U | MEC | Non susp | No | Yes | ||
| Mbaye, 2020 [37] | 1 | 7 years | F | U | MC | Non susp | No | Yes | Acetazolami (250 mg) | |
| Kulkarni, 2021 [38] | 1 | 20 years | M | U | MC | ORD | Yes | |||
| Peto, 2021 [13] | 1 | 50 years | M | U | MEC | ORD | Yes | |||
| Lai, 2021 [39] | 1 | 41 years | F | U | MC | GSWD | Yes | NF1 | ||
| Morello, 2022 [11] | 1 | 46 years | F | B | MC | No | OC | No | Acetazolami (250 mg ×2) | |
| Rajabi, 2023 [40] | 1 | 4 years | F | U | MC | Non susp | GSWD | Yes | ||
| Present case report | 1 | 6 years | M | U | MC | Susp | SOF | Yes | Acetazolami(250 mg) | |
| Overall | 43 | 15 days–82 years | 23 M 20 F | 28 U 15 B | 34 MC 9 MEC | 5 Yes 5 Susp 25 Non susp 4 No | 25 OC 6 ORD 6 GSWD 4 SOF | 22 Yes 21 No | 7 Yes 4 No | 7 NF or suspected 3 other 30 no |
| N (% or CI) | |
|---|---|
| Sex | |
| Male | 23 (53.5%) |
| Female | 20 (46.5%) |
| Median age in years (range) | 27.7 (20.3–35.1) |
| ICH assessment | |
| LP > 200 mmH2O | 5 (11.6%) |
| Suspected | 5 (11.6%) |
| Non suspected | 25 (58.1%) |
| No | 4 (9.3%) |
| Unknown | 4 (9.3%) |
| Surgery or interventional procedure | |
| Surgery | 21 (48.8%) |
| Craniofacial surgery | 15 (71.4%) |
| Cystoperitoneal shunting | 2 (9.5%) |
| Transpalpebral surgery | 1 (4.8%) |
| Other | 3 (14.3%) |
| Interventional procedure | 1 (2.4%) |
| No | 21 (48.8%) |
| Herniation point | |
| Optic canal | 25 (58.1%) |
| Unilateral | 15 (60.0%) |
| Bilateral | 10 (40.0%) |
| Orbital roof defect | 6 (13.9%) |
| Greater sphenoidal wing defect | 6 (13.9%) |
| Superior orbital fissure | 4 (9.3%) |
| Unknown | 2 (4.8%) |
| Medical treatment for ICH (Acetazolamide) | |
| Yes | 7 (16.3%) |
| No | 5 (11.5%) |
| Unknown | 31 (72.2%) |
| Outcome for ocular function | |
| No deficit (diplopia or visual acuity) | 22 (51.2%) |
| Permanent deficit (diplopia or visual acuity) | 15 (34.9%) |
| Unknown | 6 (13.9%) |
| Associated medical conditions | |
| NF1 or suspected NF1 | 7 (16.3%) |
| Others | 3 (7.0%) |
| None | 33 (76.7%) |
| Median follow-up (months) | 9.9 (reported only in 14 cases) |
| Herniation Point | Symptoms | ICH | NF1 |
|---|---|---|---|
| Optic canal (25) | 18 (72.0%) Loss of vision 8 (32.0%) Headache 2 (8.0%) Orbital content displacement 2 (8.0%) Proptosis 2 (8.0%) Orbital pain 1 (4.0%) Asymptomatic | 5 (20.0%) PL > 200 mmH2O 4 (16.0%) suspected 14 (56.0%) Not suspected 2 (8.0%) No | 4 (16.0%) Yes 21 (84.0%) No |
| Orbital roof defect (6) | 3 (50%) Periorbital swelling 3 (50.0%) Proptosis 3 (50%) Orbital pulsation 1 (16.7%) Loss of vision 1 (16.7%) Orbital content displacement 1 (16.7%) Headache 1 (16.7%) Liquorrea | 4 (66.7%) Not suspected 2 (33.3%) Unknown | 6 (100%) No |
| Greater sphenoidal wing defect (6) | 5 (83.3%) Proptosis 3 (50%) Orbital pulsation 3 (50%) Orbital content displacement 2 (33.3%) loss of vision 1 (16.7%) Orbital pain | 4 (66.7%) Not suspected 1 (16.7%) No 1 (16.7%) Unknown | 1 (16.7%) Yes 2 (33.3%) Suspected |
| Superior orbital fissure (4) | 3 (75.0%) Periorbital swelling 2 (50.0%) Proptosis 1 (25.0%) Orbital content displacement 1 (25.0%) Asymptomatic | 2 (50.0%) Not suspected 1 (25.0%) Suspected 1 (25.0%) Unknown | 4 (100%) No |
Disclaimer/Publisher’s Note: The statements, opinions and data contained in all publications are solely those of the individual author(s) and contributor(s) and not of MDPI and/or the editor(s). MDPI and/or the editor(s) disclaim responsibility for any injury to people or property resulting from any ideas, methods, instructions or products referred to in the content. |
© 2024 by the authors. Licensee MDPI, Basel, Switzerland. This article is an open access article distributed under the terms and conditions of the Creative Commons Attribution (CC BY) license (https://creativecommons.org/licenses/by/4.0/).
Share and Cite
Gaudioso, P.; Biancoli, E.; Battistuzzi, V.; Concheri, S.; Saccardo, T.; Franchella, S.; Contro, G.; Taboni, S.; Zanoletti, E.; Causin, F.; et al. A Pathophysiological Approach to Spontaneous Orbital Meningoceles: Case Report and Systematic Review. J. Pers. Med. 2024, 14, 465. https://doi.org/10.3390/jpm14050465
Gaudioso P, Biancoli E, Battistuzzi V, Concheri S, Saccardo T, Franchella S, Contro G, Taboni S, Zanoletti E, Causin F, et al. A Pathophysiological Approach to Spontaneous Orbital Meningoceles: Case Report and Systematic Review. Journal of Personalized Medicine. 2024; 14(5):465. https://doi.org/10.3390/jpm14050465
Chicago/Turabian StyleGaudioso, Piergiorgio, Elia Biancoli, Veronica Battistuzzi, Stefano Concheri, Tommaso Saccardo, Sebastiano Franchella, Giacomo Contro, Stefano Taboni, Elisabetta Zanoletti, Francesco Causin, and et al. 2024. "A Pathophysiological Approach to Spontaneous Orbital Meningoceles: Case Report and Systematic Review" Journal of Personalized Medicine 14, no. 5: 465. https://doi.org/10.3390/jpm14050465
APA StyleGaudioso, P., Biancoli, E., Battistuzzi, V., Concheri, S., Saccardo, T., Franchella, S., Contro, G., Taboni, S., Zanoletti, E., Causin, F., Nico, L., Gabrieli, J. D., Maroldi, R., Nicolai, P., & Ferrari, M. (2024). A Pathophysiological Approach to Spontaneous Orbital Meningoceles: Case Report and Systematic Review. Journal of Personalized Medicine, 14(5), 465. https://doi.org/10.3390/jpm14050465

