Influence of Tumor Stroma on the Aggressiveness of Poorly Cohesive Gastric Carcinoma
Abstract
1. Introduction
2. Materials and Methods
2.1. Samples
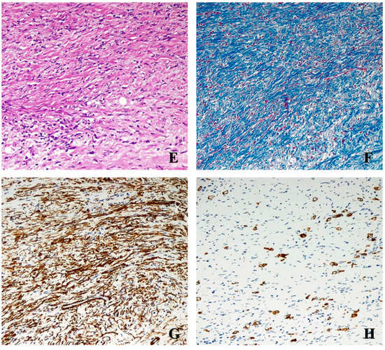
2.2. Immunohistochemistry
2.3. Gene Expression Analysis
2.4. Statistical Methods
3. Results
3.1. Demographic, Histopathological and Clinical Characteristics at Baseline
3.2. Long-Term Prognosis
3.3. Enrichment in Cell Content and Predicted Function of Genes Upregulated in the KRT8-High versus KRT8-Low PCGC Groups
3.4. Enhanced Transcription of Genes Encoding Extracellular Proteins Associated with Increased Overall Survival in the KRT8-High Group and Reduced Overall Survival in the KRT8-Low Group of PC GC
4. Discussion
5. Conclusions
Author Contributions
Funding
Institutional Review Board Statement
Informed Consent Statement
Data Availability Statement
Conflicts of Interest
References
- Bray, F.; Ferlay, J.; Soerjomataram, I.; Siegel, R.L.; Torre, L.A.; Jemal, A. Global cancer statistics 2018: GLOBOCAN estimates of incidence and mortality worldwide for 36 cancers in 185 countries. CA Cancer J. Clin. 2018, 68, 394–424. [Google Scholar] [CrossRef] [PubMed]
- Henson, D.E.; Dittus, C.; Younes, M.; Nguyen, H.; Albores-Saavedra, J. Differential trends in the intestinal diffuse types of gastric carcinoma in the United States, 1973–2000: Increase in the signet ring cell type. Arch. Pathol. Lab. Med. 2004, 128, 765–770. [Google Scholar] [CrossRef] [PubMed]
- Waldum, H.L.; Fossmark, R. Types of Gastric Carcinomas. Int. J. Mol. Sci. 2018, 19, 4109. [Google Scholar] [CrossRef] [PubMed]
- Bosman, F.T.; Carneiro, F.; Hruban, R.H.; Theise, N. WHO Classification of Tumours of the Digestive System, 4th ed.; International Agency for Research on Cancer (IARC): Lyon, France, 2010. [Google Scholar]
- Liu, M.; Xu, J.; Deng, H. Tangled fibroblasts in tumor-stroma interactions. Int. J. Cancer 2011, 129, 1795–1805. [Google Scholar] [CrossRef] [PubMed]
- Joyce, J.A.; Pollard, J.W. Microenvironmental regulation of metastasis. Nat. Rev. Cancer 2009, 9, 239–252. [Google Scholar] [CrossRef] [PubMed]
- Quail, D.F.; Joyce, J.A. Microenvironmental regulation of tumor progression and metastasis. Nat. Med. 2013, 19, 1423–1437. [Google Scholar] [CrossRef]
- Yan, Y.; Wang, L.F.; Wang, R.F. Role of cancer-associated fibroblasts in invasion and metastasis of gastric cancer. World J. Gastroenterol. 2015, 21, 9717–9726. [Google Scholar] [CrossRef]
- Zhang, Q.; Peng, C. Cancer-associated fibroblasts regulate the biological behavior of cancer cells and stroma in gastric cancer. Oncol. Lett. 2018, 15, 691–698. [Google Scholar] [CrossRef]
- Kitadai, Y.; Kodama, M.; Shinagawa, K. Stroma-directed molecular targeted therapy in gastric cancer. Cancers 2011, 3, 4245–4257. [Google Scholar] [CrossRef]
- Wang, K.; Ma, W.; Wang, J.; Yu, L.; Zhang, X.; Wang, Z.; Tan, B.; Wang, N.; Bai, B.; Yang, S.; et al. Tumor-stroma ratio is an independent predictor for survival in esophageal squamous cell carcinoma. J. Thorac. Oncol. 2012, 7, 1457–1461. [Google Scholar] [CrossRef]
- de Kruijf, E.M.; van Nes, J.G.; van de Velde, C.J.; Putter, H.; Smit, V.T.; Liefers, G.J.; Kuppen, P.J.K.; Tollenaar, R.A.E.M.; Mesker, W.E. Tumor-stroma ratio in the primary tumor is a prognostic factor in early breast cancer patients, especially in triple-negative carcinoma patients. Breast Cancer Res. Treat. 2011, 125, 687–696. [Google Scholar] [CrossRef]
- Huijbers, A.; Tollenaar, R.A.; v Pelt, G.W.; Zeestraten, E.C.; Dutton, S.; McConkey, C.C.; Domingo, E.; Smit, V.T.H.B.M.; Midgley, R.; Warren, B.F.; et al. The proportion of tumor-stroma as a strong prognosticator for stage II and III colon patients: Validation in the VICTOR trial. Ann. Oncol. 2013, 24, 179–185. [Google Scholar] [CrossRef]
- Zhang, X.L.; Jiang, C.; Zhang, Z.X.; Liu, F.; Zhang, F.; Cheng, Y.F. The Tumor-Stroma Ratio is an independent predictor for survival in nasopharyngeal cancer. Oncol. Res. Treat. 2014, 37, 480–484. [Google Scholar] [CrossRef] [PubMed]
- Lv, Z.; Cai, X.; Weng, X.; Xiao, H.; Du, C.; Cheng, J.; Zhou, L.; Xie, H.; Sun, K.; Wu, J.; et al. Tumor stroma ratio is a prognostic factor for survival in hepatocellular carcinoma patients after liver resection or transplantation. Surgery 2015, 158, 142–150. [Google Scholar] [CrossRef]
- Zhang, R.; Song, W.; Wang, K.; Zou, S. Tumor-stroma ratio(TSR) as a potential novel predictor of prognosis in digestive system cancers: A meta-analysis. Clin. Chim. Acta 2017, 472, 64–68. [Google Scholar] [CrossRef]
- Wu, J.; Liang, C.; Chen, M.; Su, W. Association between tumor-stroma ratio and prognosis in solid tumor patients: A systematic review and meta-analysis. Oncotarget 2016, 7, 68954–68965. [Google Scholar] [CrossRef] [PubMed]
- de Bruijn, I.; Kundra, R.; Mastrogiacomo, B.; Tran, T.N.; Sikina, L.; Mazor, T.; Li, X.; Ochoa, A.; Zhao, G.; Lai, B.; et al. Analysis and Visualization of Longitudinal Genomic and Clinical Data from the AACR Project GENIE Biopharma Collaborative in cBioPortal. Cancer Res. 2023, 83, 3861–3867. [Google Scholar] [CrossRef]
- Watson, J.; Smith, M.; Francavilla, C.; Schwartz, J.M. SubcellulaRVis: A web-based tool to simplify and visualise subcellular compartment enrichment. Nucleic Acids Res. 2022, 50, W718–W725. [Google Scholar] [CrossRef] [PubMed]
- Xie, Z.; Bailey, A.; Kuleshov, M.V.; Clarke, D.J.B.; Evangelista, J.E.; Jenkins, S.L.; Lachmann, A.; Wojciechowicz, M.L.; Kropiwnicki, E.; Jagodnik, K.M.; et al. Gene set knowledge discovery with Enrichr. Curr. Protoc. 2021, 1, e90. [Google Scholar] [CrossRef] [PubMed]
- Győrffy, B. Discovery and ranking of the most robust prognostic biomarkers in serous ovarian cancer. GeroScience 2023, 45, 1889–1898. [Google Scholar] [CrossRef]
- SEER. 2020. Available online: https://seer.cancer.gov/publications/monographs.html (accessed on 1 December 2023).
- Aurello, P.; Berardi, G.; Giulitti, D.; Palumbo, A.; Tierno, S.M.; Nigri, G.; D’Angelo, F.; Pilozzi, E.; Ramacciato, G. Tumor-Stroma Ratio is an independent predictor for overall survival and disease free survival in gastric cancer patients. Surgeon 2017, 15, 329–335. [Google Scholar] [CrossRef] [PubMed]
- Aoyama, T.; Hutchins, G.; Arai, T.; Sakamaki, K.; Miyagi, Y.; Tsuburaya, A.; Ogata, T.; Oshima, T.; Earle, S.; Yoshikawa, T.; et al. Identification of a high-risk subtype of intestinal-type Japanese gastric cancer by quantitative measurement of the luminal tumor proportion. Cancer Med. 2018, 7, 4914–4923. [Google Scholar] [CrossRef] [PubMed]
- Kemi, N.; Eskuri, M.; Herva, A.; Leppänen, J.; Huhta, H.; Helminen, O.; Saarnio, J.; Karttunen, T.J.; Kauppila, J.H. Tumour-stroma ratio and prognosis in gastric adenocarcinoma. Br. J. Cancer 2018, 119, 435–439. [Google Scholar] [CrossRef] [PubMed]
- Vennin, C.; Mélénec, P.; Rouet, R.; Nobis, M.; Cazet, A.S.; Murphy, K.J.; Herrmann, D.; Reed, D.A.; Lucas, M.C.; Warren, S.C.; et al. CAF hierarchy driven by pancreatic cancer cell p53-status creates a pro-metastatic and chemoresistant environment via perlecan. Nat. Commun. 2019, 10, 3637. [Google Scholar] [CrossRef] [PubMed]
- Lee, D.; Ham, I.H.; Son, S.Y.; Han, S.U.; Kim, Y.B.; Hur, H. Intratumor stromal proportion predicts aggressive phenotype of gastric signet ring cell carcinomas. Gastric Cancer 2017, 20, 591–601. [Google Scholar] [CrossRef] [PubMed]
- Mariette, C.; Carneiro, F.; Grabsch, H.I.; van der Post, R.S.; Allum, W.; de Manzoni, G.; European Chapter of International Gastric Cancer Association. Consensus on the pathological definition and classification of poorly cohesive gastric carcinoma. Gastric Cancer 2019, 22, 1–9. [Google Scholar] [CrossRef] [PubMed]
- Moreira, A.M.; Pereira, J.; Melo, S.; Fernandes, M.S.; Carneiro, P.; Seruca, R.; Figueiredo, J. The Extracellular Matrix: An Accomplice in Gastric Cancer Development and Progression. Cells 2020, 9, 394. [Google Scholar] [CrossRef]
- Oya, Y.; Hayakawa, Y.; Koike, K. Tumor microenvironment in gastric cancers. Cancer Sci. 2020, 111, 2696–2707. [Google Scholar] [CrossRef]
- Liu, Y.; Li, C.; Lu, Y.; Liu, C.; Yang, W. Tumor microenvironment-mediated immune tolerance in development and treatment of gastric cancer. Front. Immunol. 2022, 13, 1016817. [Google Scholar] [CrossRef]




| Stroma-Poor (n = 48) | Stroma-Rich (n = 27) | p Value | |
|---|---|---|---|
| Sex (men) | 27 (56.3%) | 10 (37%) | 0.150 |
| Age (median, p25–p75) | 65.8 (50–74) | 59.1 (49–70) | 0.269 |
| Site | 0.725 | ||
| Fundus | 3 (75.0%) | 1 (25.0%) | |
| Body | 11 (55.0%) | 9 (45%) | |
| Antrum | 27 (65.9%) | 14 (34.2%) | |
| Whole stomach | 3 (50.0%) | 3 (50.0%) | |
| Stump | 2 (100%) | ----- | |
| Signet Ring Cell (%) | 0.083 | ||
| ≤90% | 37 (80.4%) | 25 (96.2%) | |
| >90% | 9 (19.6%) | 1 (3.9%) | |
| Depth of tumor invasion | 0.002 | ||
| pT1 | 14 (29.1%) | ----- | |
| pT2 | 1 (2.1%) | ----- | |
| pT3 | 6 (12.5%) | 3 (11.1%) | |
| pT4 | 27 (56.3%) | 24 (88.9%) | |
| Nodal metastases | 0.074 | ||
| pN0 | 19 (39.6%) | 5 (18.5%) | |
| pN+ | 29 (60.4%) | 22 (81.5%) | |
| pM+ | 3 (6.3%) | 7 (25.9%) | 0.030 |
| Excised nodes (median, p25–p75) | 36 (21–48) | 33 (25–44) | 0.873 |
| Positive nodes (median, p25–p75) | 2 (0–16) | 9 (3–15) | 0.232 |
| Gastrectomy | 0.803 | ||
| Subtotal | 32 (66.7%) | 17 (62.9%) | |
| Total | 16 (33.3%) | 10 (37.0%) | |
| Lymphadenectomy | 0.115 | ||
| D1 | 6 (12.5%) | 6 (22.2%) | |
| D2 | 28 (58.3%) | 9 (33.3%) | |
| D3 | 14 (29.2.%) | 12 (44.4%) | |
| Curativity | 0.055 | ||
| R0 | 43 (89.6%) | 19 (70.4%) | |
| R1 | 5 (10.4%) | 8 (29.6%) | |
| Adjuvant chemotherapy | 1.000 | ||
| Unknown or no | 36 (75%) | 20 (74.1%) | |
| yes | 12 (25%) | 7 (25.9%) |
| HR (95% CI) | p-Value | |
|---|---|---|
| Sex: women vs. men | 0.55 (0.31–0.99) | 0.048 |
| Age (+10 years) | 1.01 (0.89–1.34) | 0.390 |
| Depth of tumor invasion | ||
| pT3 vs. pT1/pT2 | 1.71 (0.30–9.77) | 0.548 |
| pT4 vs. pT1/pT2 | 2.86 (0.91–9.05) | 0.073 |
| Nodal metastases: pN+ vs. pN0 | 3.88 (1.58–9.54) | 0.003 |
| SRC proportion: >90% vs. ≤90% | 0.64 (0.27–1.52) | 0.311 |
| Stromal content: rich vs. poor | 1.61 (0.86–3.02) | 0.134 |
| Compartment | p-Value | FDR | n | Genes |
|---|---|---|---|---|
| Extracellular space | 1.94 × 10−5 | 0.00027 | 41 | ANXA2,FUCA2,JUP,LAMB3,LGALS3BP,OAS1,P4HB,PSMA5,RNPEP,S100A6,SPINT1,SPINT2,CDCP1,ANXA2P2,CLIC1,SFN,MOV10,ST14,PDIA4,MYDGF,LSR,AAMP,CEACAM1, GSS,ITGB4,KRT18,KRT19,PLS1,PTBP1,GPRC5A,GIPC1,CD2AP,PLXNB2,SDCBP2,EPS8L1,TMBIM1,EPS8L2,COASY,VPS25,CRB3 |
| Cytoplasm | 3.12 × 10−5 | 0.00040 | 77 | AP1S1,PSEN1,WDR45B,VPS25,MOV10,ANXA2,ANXA2P2,BIRC5,BCL2L1,CLIC1,SFN,JUP,KRT8,KRT18,LLGL2,LMO7,OAS1,SLC22A18,PLS1,PTPRH,S100A6,PHLDA2,ARHGEF5,OASL,RPS6KA4,TRAF4,SPINT2,GIPC1,PKP3,TTLL12,CD2AP,POC1A,PLEK2,SDCBP2,SIRT7,DOK4,MYO19,PSRC1,TUBA1C,TRIM15,MARVELD3, DTX2, TEDC1, RNF149, FAM83H,BAK1,SLC25A10,HK2,MRPL44,COASY,RAB5IF,FUCA2,CYB561,TMBIM1,CLN6,P4HB,PDIA4,AGAT2,ERO1A,TMEM33,MYDGF,SGPP2,NCLN,AAMP,GSS,KRT19,PSMA5,TK1,TTLL4,EPS8L1,CNOT11,EPS8L2,ABHD17C,RHOV,CEACAM1,GPRC5A,LGA”S3BP |
| Cytoskeleton | 0.00015 | 0.0018 | 24 | POC1A,PSRC1,ARHGEF5,BCL2L1,HK2,PSEN1,TEDC1,KRT18,TTLL12,JUP,P4HB,TRAF4,PLEK2,TTLL4,TUBA1C,BIRC5,KRT19,PLS1,CD2AP,MYO19,AAMP,LLGL2,FAM83H |
| Plasma membrane | 0.00018 | 0.0020 | 45 | JUP,PKP3,AAMP,ANXA2,ANXA2P2,CEACAM1, CLIC1, GPR35,GPR39,HK2,ITGB4,KRT19,LLGL2,SLC22A18,PSEN1,RNPEP,S100A6,SPINT1,ST14,ARHGEF5,GPRC5A,TRAF4,AGAT2,SPINT2,CD2AP,PLEK2,CNNM4,SDCBP2,LSR,EPS8L1,ABHD17C,TMBIM1,EPS8L2,CDCP1,MRPL44,MFSD5,CRB3,RHOV,PTPRH,PLXNB2,AP1S1,KRT18,P4HB,KRT8,LMO7 |
| Intracellular vescicles | 0.00032 | 0.0032 | 24 | VPS25,ANXA2,CLN6,PSEN1,GIPC1,ABHD17C,TMBIM1,RHOV,AP1S1,CD2AP,CEACAM1, GPRC5A, BCL2L1, LGALS3BP, MARVELD3, PSMA5, FUCA2, AGPAT2, JUP, ANXA2P2,P4HB,PDIA4,TMEM33,CYB561 |
| Compartment | p-Value | FDR | n | Genes |
|---|---|---|---|---|
| Nucleus | 0.0010 | 0.014 | 55 | PHF21A,FOXN3,ITPKB, MEF2C, NAP1L3, PKD1, POU6F1, MAPK10, STAT5B, TACC1, ZEB1, ZNF157, ZSCAN26, PRDM2, EPM2A, RGS9, TOX, AKT3, CAMTA2, SYNE1, KAT6B, CLIP3, CCDC69, DNAJC27, FAM120C,ZNF471,ZNF667,ZNF671,RNF146,THAP2,NRIP2,FAM172A,ZNF333,ZNF512,ZMAT1,ZNF542P,ZNF781,SYNPO2,ZNF25,ZNF546,NEXMIF,ZC3H6,ITPR1,DTNA,EPHA3,GRIK5,PPP3CB,GIT2,KLF12,KLF8,CEP68,PKNOX2,PWAR5,FILIP1,OSBPL6 |
| Cytoskeleton | 0.0023 | 0.029 | 21 | KATNAL1, PGM5, SYNPO2, CEP68, TACC1, MAP7D3, SNAP25, TMOD1, FNBP1, SYNE1, TTLL7, CNR1, EPHA3, FILIP1, PKNOX2, DUSP22, JAM3, CLIP3, DTNA, CCDC69, NEXMIF |
| Extracellular region | 0.99 | 0.99 | 13 | EPHA3,F8,FGF7,SPARCL1,LGI2,IGIP,STX2,JAM3,ADGRB3, PKNOX2, PKD1, PYGM,NIBAN1 |
Disclaimer/Publisher’s Note: The statements, opinions and data contained in all publications are solely those of the individual author(s) and contributor(s) and not of MDPI and/or the editor(s). MDPI and/or the editor(s) disclaim responsibility for any injury to people or property resulting from any ideas, methods, instructions or products referred to in the content. |
© 2024 by the authors. Licensee MDPI, Basel, Switzerland. This article is an open access article distributed under the terms and conditions of the Creative Commons Attribution (CC BY) license (https://creativecommons.org/licenses/by/4.0/).
Share and Cite
Malpeli, G.; Filippini, F.; Tedone, F.; Torroni, L.; Alloggio, M.; Castelli, C.; Dal Cero, M.; Perris, R.; Tomezzoli, A.; De Manzoni, G.; et al. Influence of Tumor Stroma on the Aggressiveness of Poorly Cohesive Gastric Carcinoma. J. Pers. Med. 2024, 14, 194. https://doi.org/10.3390/jpm14020194
Malpeli G, Filippini F, Tedone F, Torroni L, Alloggio M, Castelli C, Dal Cero M, Perris R, Tomezzoli A, De Manzoni G, et al. Influence of Tumor Stroma on the Aggressiveness of Poorly Cohesive Gastric Carcinoma. Journal of Personalized Medicine. 2024; 14(2):194. https://doi.org/10.3390/jpm14020194
Chicago/Turabian StyleMalpeli, Giorgio, Federica Filippini, Fabrizio Tedone, Lorena Torroni, Mariella Alloggio, Claudia Castelli, Mariagiulia Dal Cero, Roberto Perris, Anna Tomezzoli, Giovanni De Manzoni, and et al. 2024. "Influence of Tumor Stroma on the Aggressiveness of Poorly Cohesive Gastric Carcinoma" Journal of Personalized Medicine 14, no. 2: 194. https://doi.org/10.3390/jpm14020194
APA StyleMalpeli, G., Filippini, F., Tedone, F., Torroni, L., Alloggio, M., Castelli, C., Dal Cero, M., Perris, R., Tomezzoli, A., De Manzoni, G., & Bencivenga, M. (2024). Influence of Tumor Stroma on the Aggressiveness of Poorly Cohesive Gastric Carcinoma. Journal of Personalized Medicine, 14(2), 194. https://doi.org/10.3390/jpm14020194

