Uncommon Nasal Mass Presentation: A Radiological Case Series
Abstract
1. Introduction
2. Materials and Methods
3. Pictorial Review
3.1. Non-Neoplastic Lesions
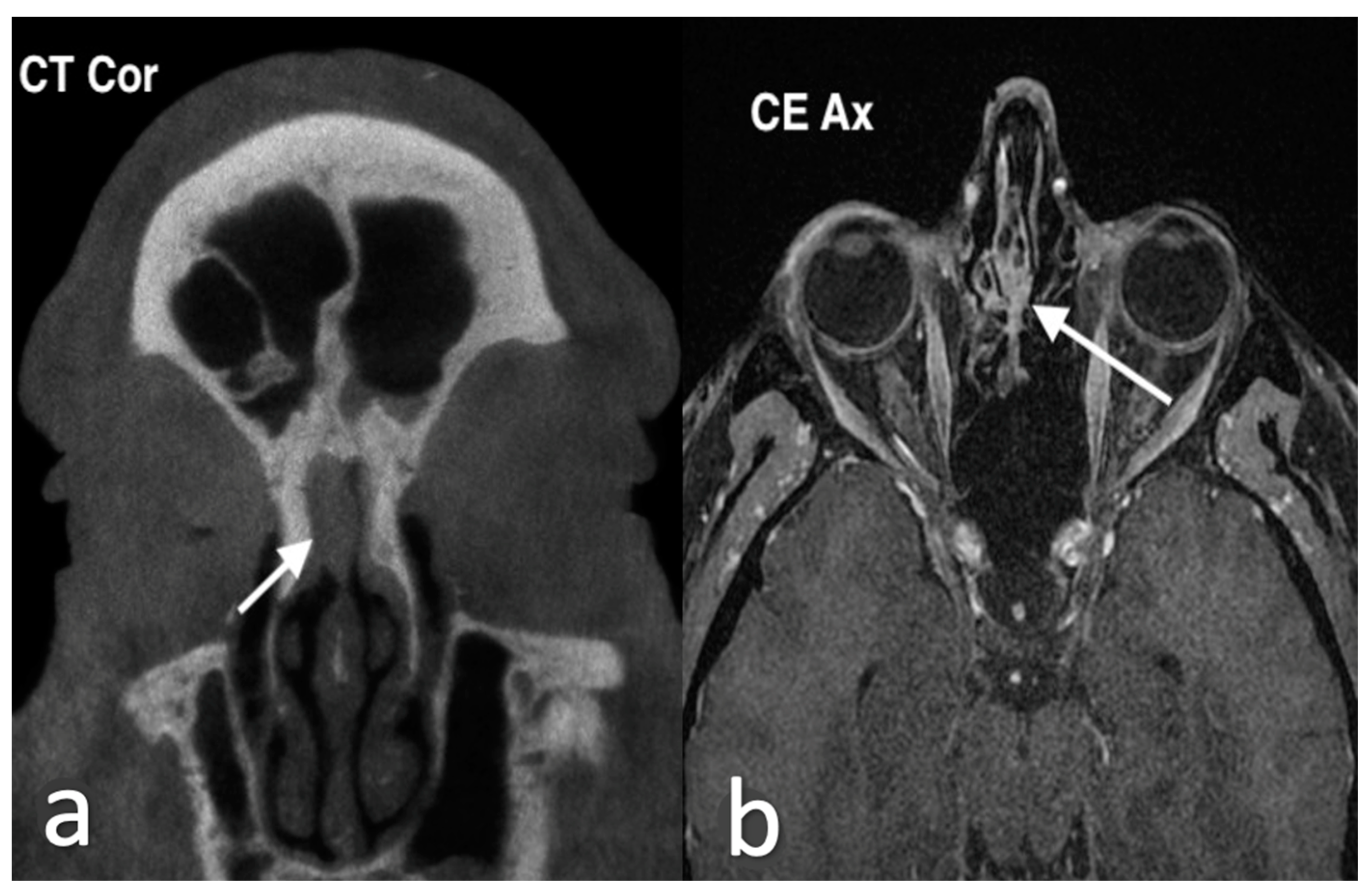
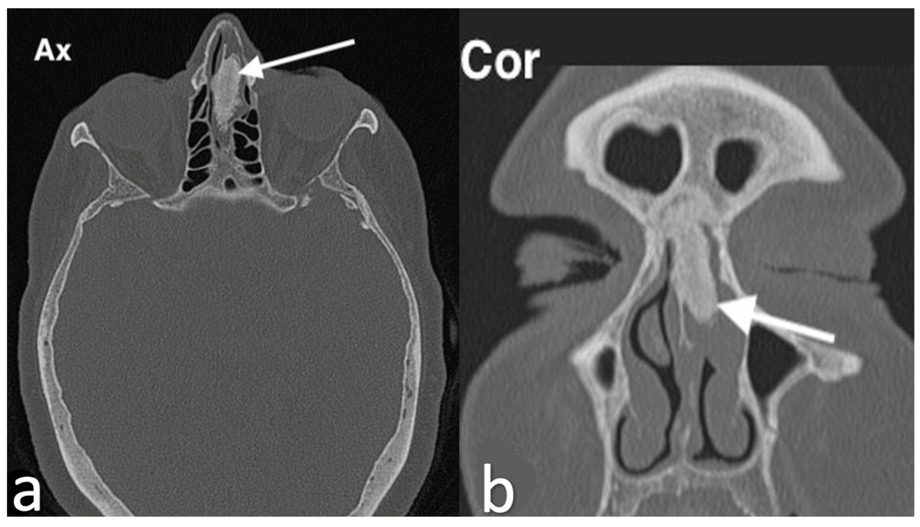
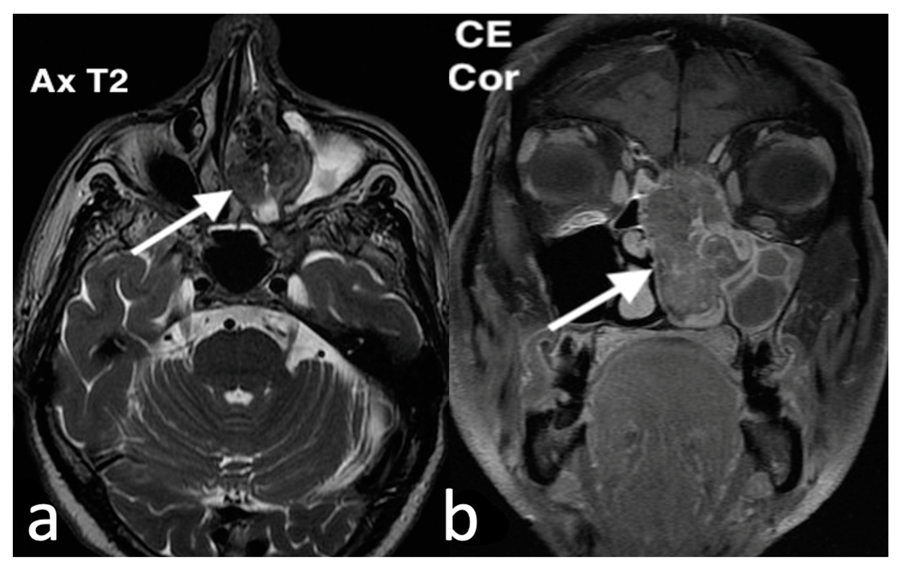
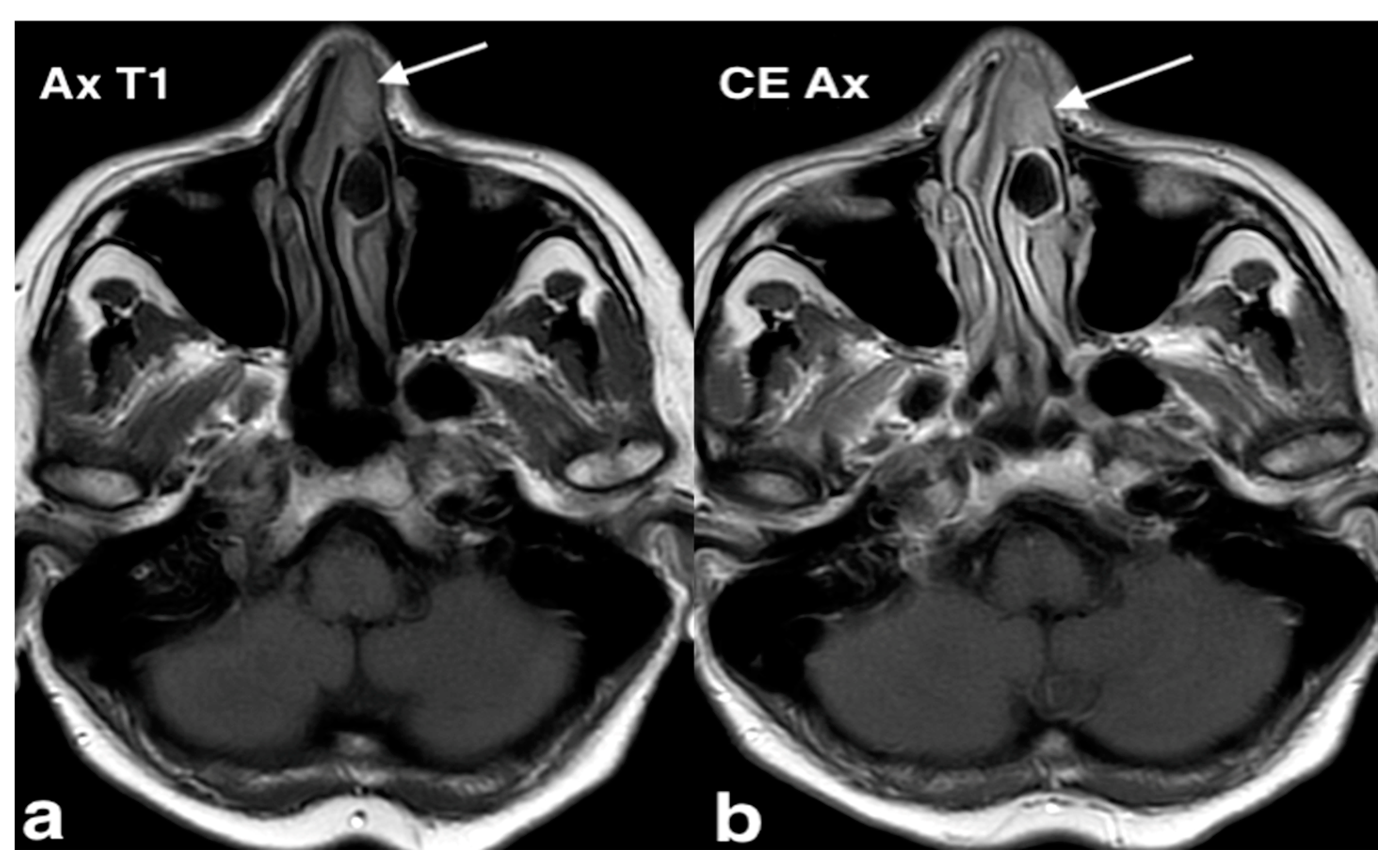
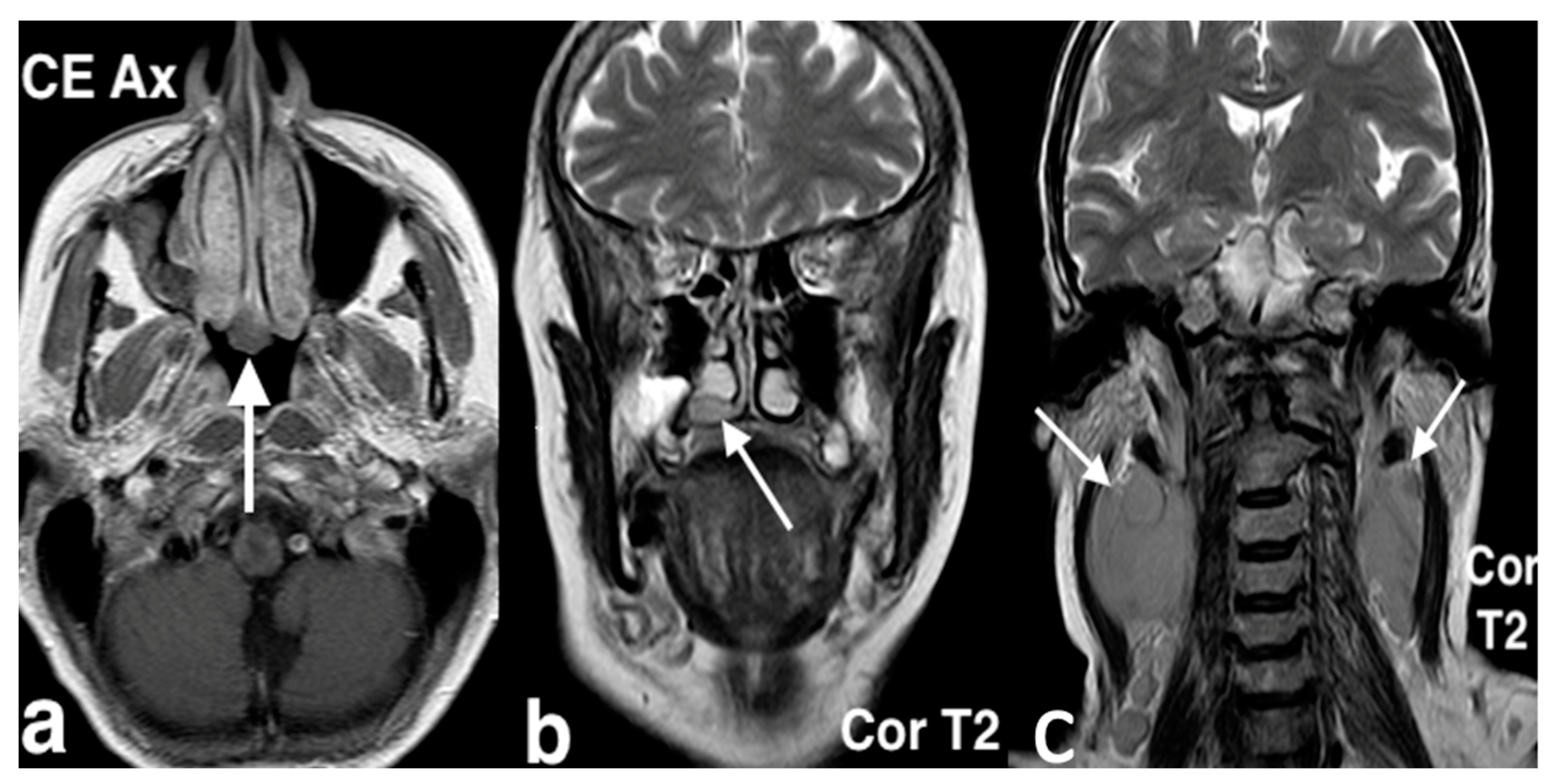
3.1.1. Septal Mucocele
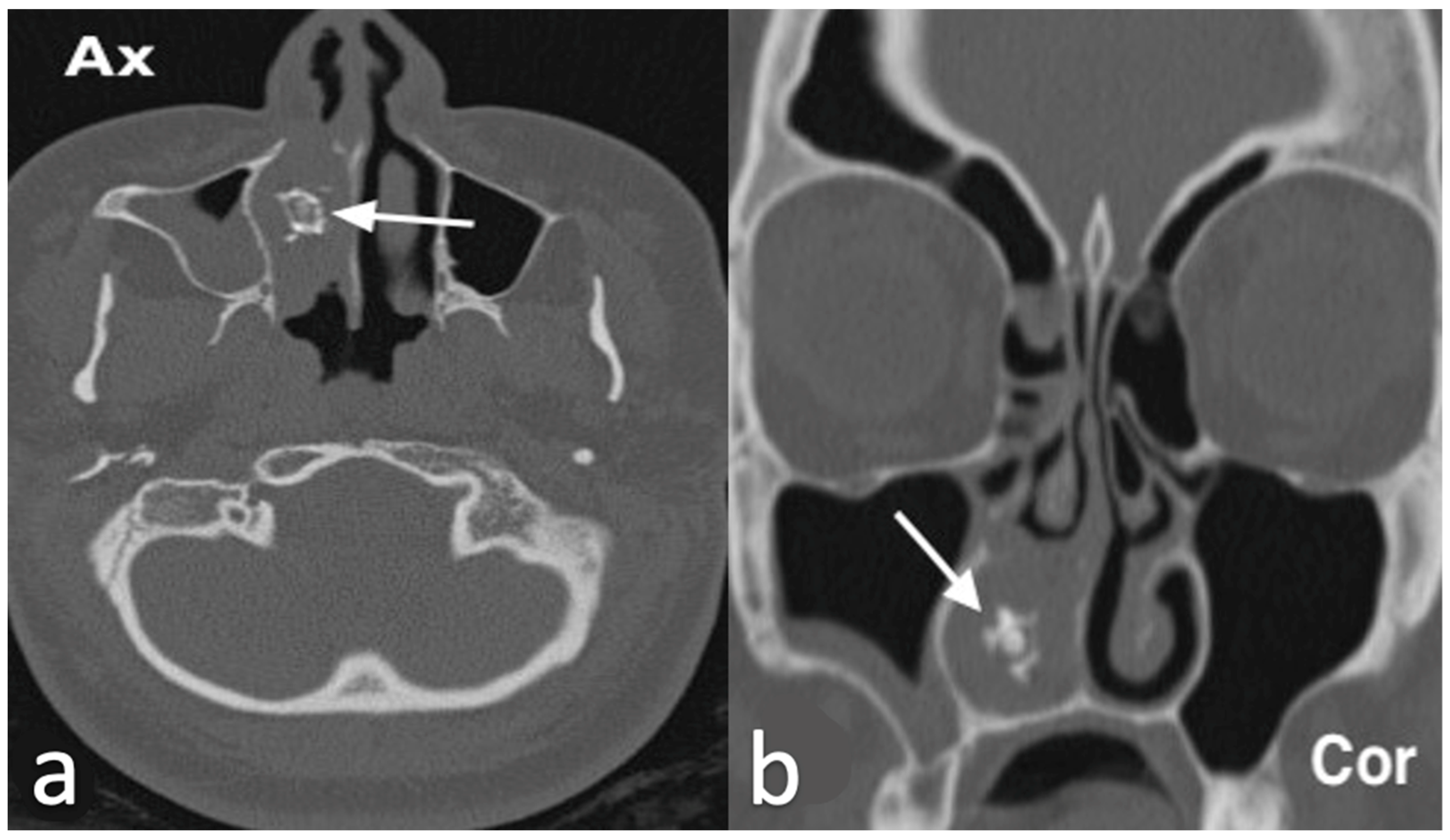
3.1.2. Rinolith
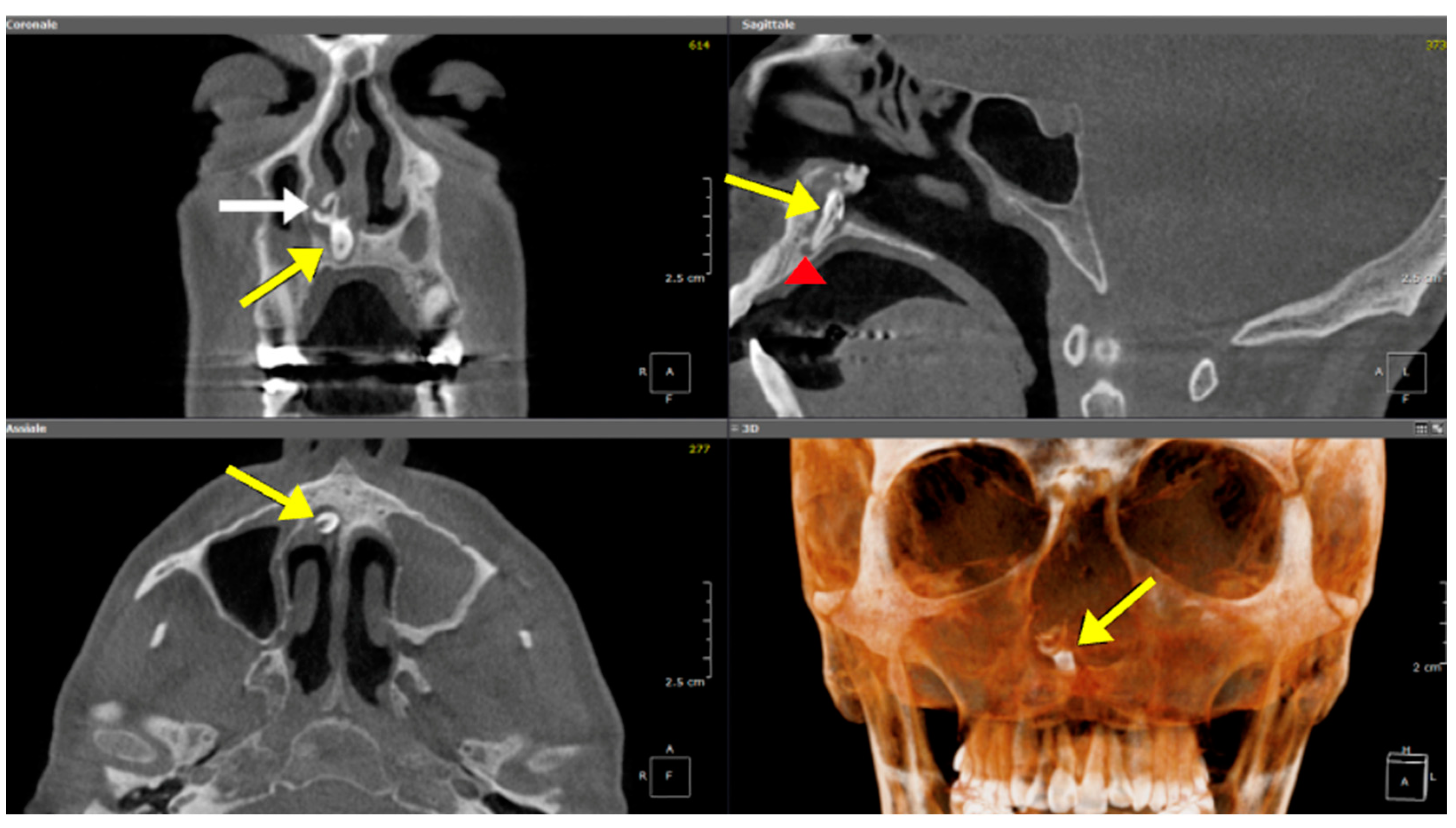
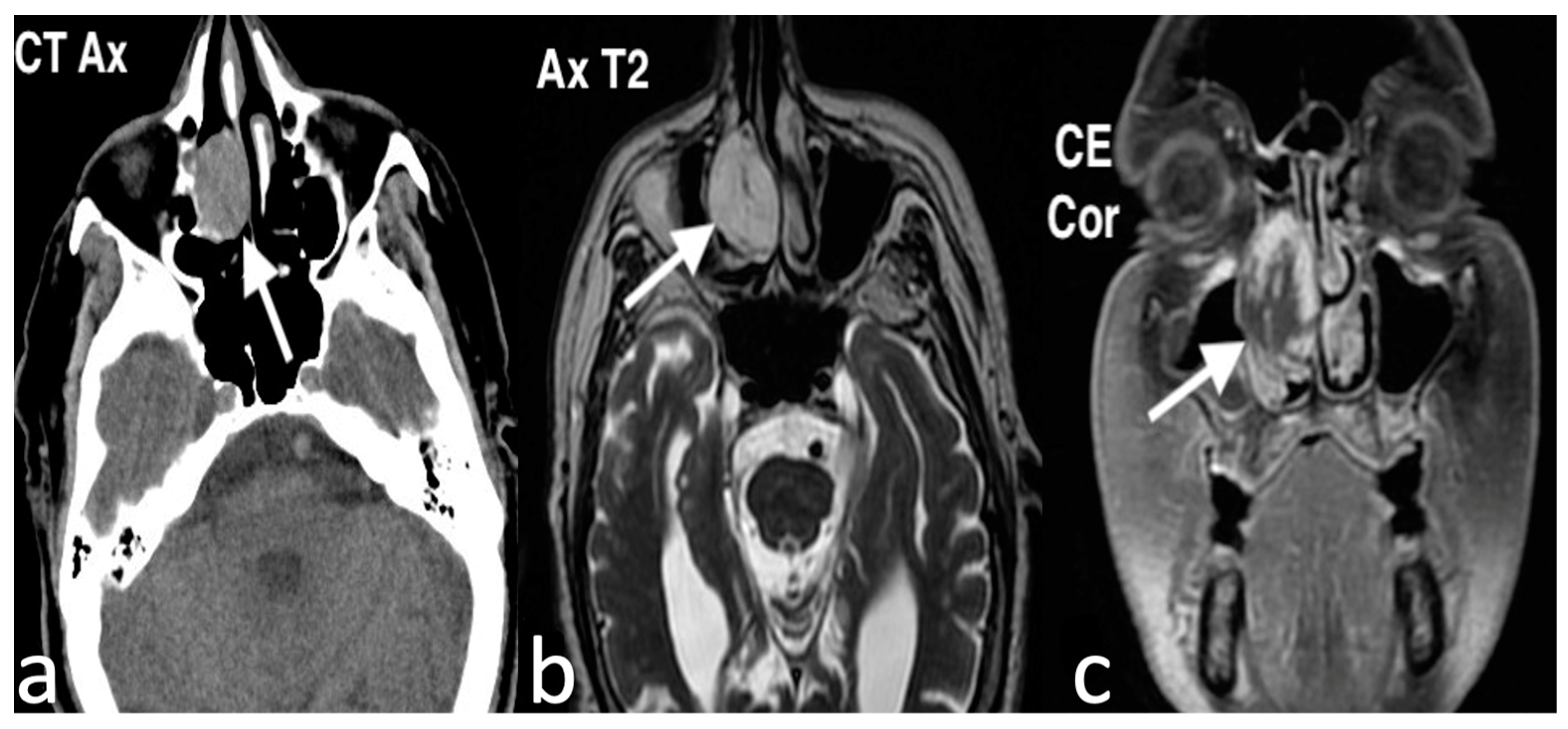
3.1.3. Inverted Mesiodens
3.2. Benign and Borderline Tumors
3.2.1. Lobular Capillary Hemangioma
3.2.2. Chondromesenchymal Hamartoma
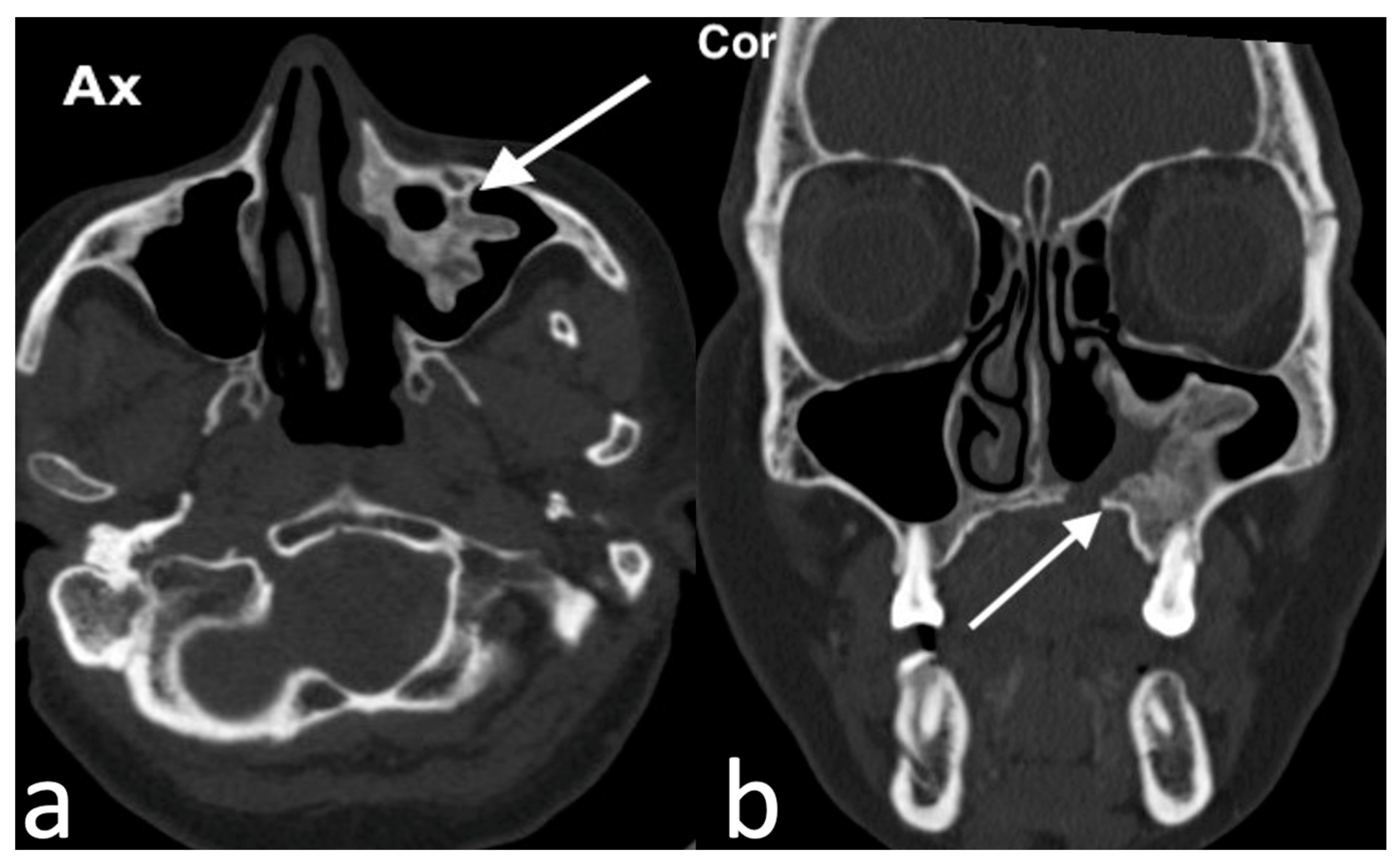
3.2.3. Ossifying Fibroma
3.2.4. Inverted Papilloma
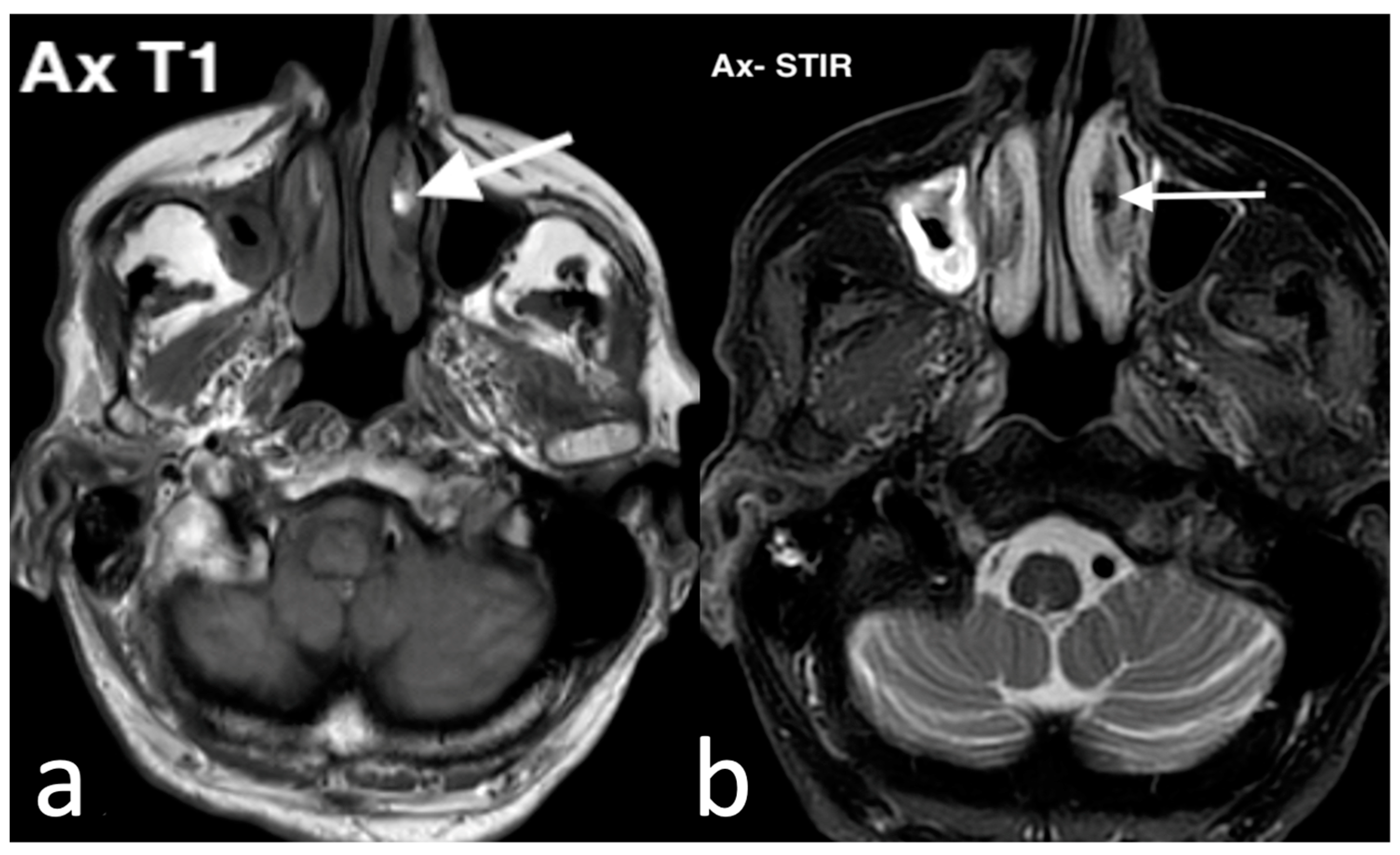
3.2.5. Osteoma
3.2.6. Hemangiopericytoma
3.2.7. Hemangioma
3.2.8. Antrochoanal Polyp
3.2.9. Lipoma
3.2.10. Sinonasal Tract Angiofibroma
3.3. Malignant Neoplasms
3.3.1. Non-Hodgkin Lymphoma
3.3.2. Esthesioneuroblastoma
3.3.3. Intestinal-Type Adenocarcinomas
3.3.4. Melanoma
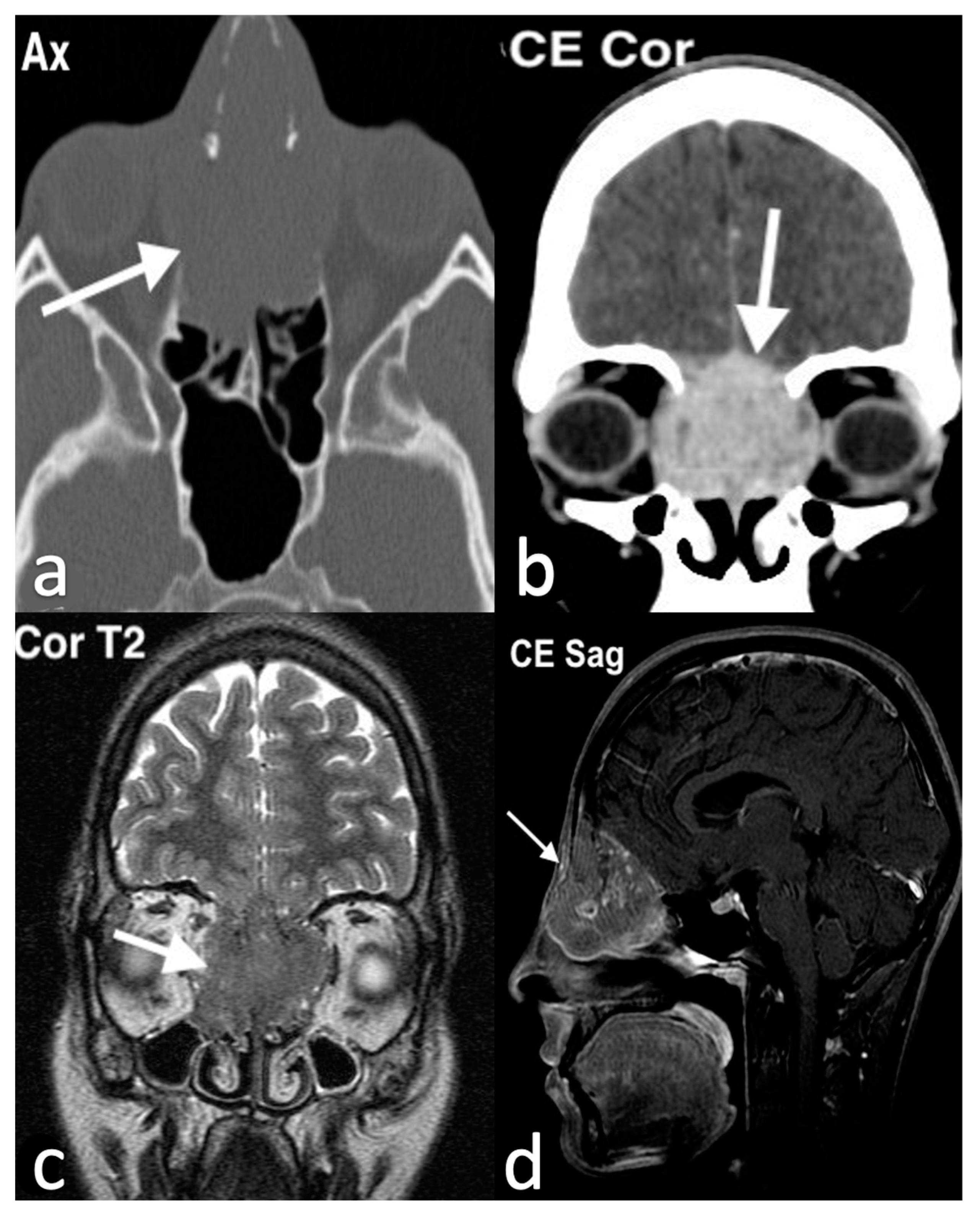
3.3.5. Rhabdomyosarcomas
4. Conclusions
Author Contributions
Funding
Institutional Review Board Statement
Informed Consent Statement
Data Availability Statement
Conflicts of Interest
References
- Giannitto, C.; Carnicelli, G.; Lusi, S.; Ammirabile, A.; Casiraghi, E.; De Virgilio, A.; Esposito, A.A.; Farina, D.; Ferreli, F.; Franzese, C.; et al. The Use of Artificial Intelligence in Head and Neck Cancers: A Multidisciplinary Survey. J. Pers. Med. 2024, 14, 341. [Google Scholar] [CrossRef]
- Lima, A.F.; Moreira, F.C.; Azevedo, C.; Vilarinho, S. Nasal septum mucocele in a patient with two other mucoceles of the paranasal sinuses: Late complications of maxillofacial trauma. Rhinol. Online 2020, 3, 152–156. [Google Scholar] [CrossRef]
- Magboul, N.A.; Alzubaidi, A.A.; Abumsmar, L.A.; Alzarei, A.; Al-Ahmari, M.; Alshehri, M.A. Mucocele of the Paranasal Sinuses: Retrospective Analysis of a Series of Eight Cases. Cureus 2023, 15, e41986. [Google Scholar] [CrossRef] [PubMed]
- Halawani, R.T.; Banjar, A. Mucocele of the nasal septum post inferior turbunectomy. Int. J. Otorhinolaryngol. Head Neck Surg. 2016, 2, 102. [Google Scholar] [CrossRef]
- Rawl, J.W.; Rossi, N.A.; Chaaban, M.R.; Brindley, P. Intraseptal Mucocele as a Long-term Complication of Revision Septorhino-plasty: A Case Report and Review of a Rare Entity. Allergy Rhinol. (Provid.) 2019, 10, 2152656719845325. [Google Scholar] [CrossRef] [PubMed]
- Sireci, F.; Dispenza, F.; Lorusso, F.; Immordino, A.; Immordino, P.; Gallina, S.; Peretti, G.; Canevari, F.R. Tumours of Nasal Septum: A Retrospective Study of 32 Patients. Int. J. Environ. Res. Public Health 2022, 19, 1713. [Google Scholar] [CrossRef] [PubMed]
- Lo Casto, A.; Lorusso, F.; Lombardo, F.; Speciale, R. Secondary septal mucocele diagnosed by MRI and CBCT and treated surgically. B-ENT 2014, 10, 221–225. [Google Scholar]
- Mayo-Patiño, M.; Delgado, K.; Pérez-Árana, M. Uncommon tumor like manifestation of a nasal septal mucocele. Otolaryngol. Case Rep. 2022, 24, 100415. [Google Scholar] [CrossRef]
- Maheshwari, N.; Etikaala, B.; Syed, A.Z. Rhinolith: An incidental radiographic finding. Imaging Sci. Dent. 2021, 51, 333–336. [Google Scholar] [CrossRef]
- Aksakal, C. Rhinolith: Examining the clinical, radiological and surgical features of 23 cases. Auris Nasus Larynx. 2019, 46, 542–547. [Google Scholar] [CrossRef]
- Indeewar, H.; Dutt, S.N. Endoscopic Removal of Intranasal Supernumerary Tooth: A Case Report. Indian J. Otolaryngol. Head Neck Surg. 2019, 71, 2036–2038. [Google Scholar] [CrossRef] [PubMed]
- Accorona, R.; Colombo, G.; Ferrari, M.; Fazio, E.; Bolzoni-Villaret, A. Inverted supernumerary intranasal teeth as unusual indications of endoscopic surgery. Iran. J. Otorhinolaryngol. 2020, 32, 181–186. [Google Scholar] [PubMed]
- Akkoca, O.; Tuzuner, A.; Demirci, S.; Unlu, C.; Uzunkulaoglu, H.; Arslan, N.; Aktar, G. Patient Characteristics and Frequent Localizations of Rhinoliths. Turk. Arch. Otorhinolaryngol. 2016, 54, 154–157. [Google Scholar] [CrossRef] [PubMed]
- Ali, M. Giant ‘staghorn’ rhinolith in a 15-year-old girl. BMJ Case Rep. 2018, 11, e227587. [Google Scholar] [CrossRef] [PubMed]
- Adib, H.; El Natout, M.A.; Zaytoun, G.; Al Hadi, U. Rhinolithiasis: A Misleading Entity. Allergy Rhinol. 2018, 9, 2152656718783596. [Google Scholar] [CrossRef]
- Lahma, J.; Hejjouji, R.; Azzam, I.; Oujilal, A.; Essakalli, L. Rhinolithasis: About an observation of a rare condition. Pan Afr. Med. J. 2018, 31, 78. [Google Scholar] [CrossRef]
- Arora, N.; Singh, J.; Parmar, S.; Davessar, J.L. Management of recurrent lobular capillary hemangioma of nasal septum. J. Otolaryngol. Res. 2018, 10, 1. [Google Scholar] [CrossRef]
- Albesher, M.B.; Alharbi, M.H.; Alsumairi, M.B.; Hussein, N.M. Nasal lobular capillary hemangioma: Report of a case managed by endoscopic excision and pre-operative angio-embolization. Int. J. Surg. Case Rep. 2023, 102, 107866. [Google Scholar] [CrossRef]
- Alghamdi, B.; Al-Kadi, M.; Alkhayal, N.; Alhedaithy, R.; Al Mahdi, M.J. Intranasal lobular capillary hemangioma: A series of five cases. Respir. Med. Case Rep. 2020, 30, 101073. [Google Scholar] [CrossRef]
- Thirunavukkarasu, B.; Chatterjee, D.; Mohindra, S.; Radotra, B.D.; Prashant, S.J. Nasal Chondromesenchymal Hamartoma. Head Neck Pathol. 2020, 14, 1041–1045. [Google Scholar] [CrossRef]
- Cui, Y.-Q.; Wang, L.-L.; Huang, G.; Zhao, L.-P. Computed tomography and magnetic resonance imaging findings of nasal chondromesenchymal hamartoma in a young child: A case report. J. Int. Med. Res. 2020, 48, 0300060520920431. [Google Scholar] [CrossRef] [PubMed]
- Rueckert, J.; Dueber, J.C. nasal chondromesenchymal hamartoma with review of sinonasal tract cartilaginous lesions. Hum. Pathol. Rep. 2022, 29, 300662. [Google Scholar] [CrossRef]
- Liu, J.J.; Thompson, L.D.R.; Janisiewicz, A.M.; Shibuya, T.Y.; Keschner, D.B.; Garg, R.; Lee, J.T. Ossifying fibroma of the maxilla and sinonasal tract: Case series. Allergy Rhinol. 2017, 8, 32–36. [Google Scholar] [CrossRef] [PubMed]
- Azab, M.A. Ossifying fibroma of the ethmoid and sphenoid sinuses: A report of a rare case and literature review. Surg. Neurol. Int. 2024, 15, 38. [Google Scholar] [CrossRef] [PubMed]
- McCollister, K.B.; Hopper, B.D.; Michel, M.A. Sinonasal neoplasms: Update on classification, imaging features, and management. Appl. Radiol. 2015, 44, 7–15. [Google Scholar] [CrossRef]
- Eid, M.; Eissa, L. Imaging of sino-nasal inverted papilloma: How can we emphasize the usefulness of the “striated pattern” sign? Egypt. J. Radiol. Nucl. Med. 2020, 51, 29. [Google Scholar] [CrossRef]
- Chawla, A.; Shenoy, J.; Chokkappan, K.; Chung, R. Imaging Features of Sinonasal Inverted Papilloma: A Pictorial Review. Curr. Probl. Diagn. Radiol. 2016, 45, 347–353. [Google Scholar] [CrossRef]
- Watanabe, N.; Tsurubuchi, T.; Amano, T.; Sugii, N.; Sakamoto, N.; Matsuda, M.; Takano, S.; Ishikawa, E. Frontal sinus giant osteoma with radiologically unusual component suggesting blood supply: A case report. Radiol. Case Rep. 2022, 18, 567–571. [Google Scholar] [CrossRef]
- Farah, R.A.; Poletti, A.; Han, A.; Navarro, R. Giant frontal sinus osteoma and its potential consequences: Illustrative case. J. Neurosurg. Case Lessons 2021, 1, CASE21105. [Google Scholar] [CrossRef]
- El-Amin, M.; Warner, L.; Bhalla, R. Giant middle turbinate osteoma diagnosis and management. Otolaryngol. Case Rep. 2020, 16, 100200. [Google Scholar] [CrossRef]
- Abir, M.; Mouna, K.; Malika, O.; Bellakhdhar, M.; Jihen, H.; Wassim, K.; Abdelkefi, M. Sinonasal hemangiopericytoma: Report of two cases and review of literature. Int. J. Surg. Case Rep. 2022, 95, 107241. [Google Scholar] [CrossRef]
- Warman, M.; Syn-Hershko, A.; Cohen, O.; Tzipin, Y.; Lahav, Y.; Tessler, I. Sino-nasal hemangiopericytoma: A case series and systematic literature review. Eur. Arch. Oto-Rhino-Laryngol. 2022, 279, 3989–3996. [Google Scholar] [CrossRef]
- Baki, A. Nasal Cavity Hemangiomas; IntechOpen: London, UK, 2020. [Google Scholar] [CrossRef]
- Tan, S.N.; Gendeh, H.S.; Gendeh, B.S.; Ramzisham, A.R. The Nasal Hemangioma. Indian J. Otolaryngol. Head Neck Surg. 2019, 71, 1683–1686. [Google Scholar] [CrossRef]
- Chagarlamudi, K.; O’Brien, W.T.; Towbin, R.B.; Towbin, A.J. Antrochoanal polyp. Appl. Radiol. 2019, 48, 38–40. [Google Scholar] [CrossRef]
- Islas, F.A.E.; González, J.L.T.; Camarillo, J.M.M. Antrochoanal Polyp: A Literature Update. J. Otolaryngol. Rhinol. 2018, 4, 049. [Google Scholar]
- Jahandideh, H.; Firouzabadi, F.D.; Firouzabadi, M.D.; Jan, D.; Roomiani, M. Lipoma of the nasal septum: A case report. Clin. Case Rep. 2020, 8, 3027–3030. [Google Scholar] [CrossRef]
- Baba, A.; Kurokawa, R.; Kurokawa, M.; Srinivasan, A. MRI features of sinonasal tract angiofibroma/juvenile nasopharyngeal angiofibroma: Case series and systematic review. J. Neuroimaging 2023, 33, 675–687. [Google Scholar] [CrossRef]
- Alimli, A.; Ucar, M.; Oztunali, C.; Akkan, K.; Boyunaga, O.; Damar, C.; Derinkuyu, B.; Tokgöz, N. Juvenile Nasopharyngeal Angiofibroma: Magnetic Resonance Imaging Findings. J. Belg. Soc. Radiol. 2016, 100, 63. [Google Scholar] [CrossRef] [PubMed]
- Choi, S.; Zhang, V.J.; Zhu, X.; Ito, C.J. Nasopharyngeal Angiofibroma in an Adult Male: A Case Report and Review of the Literature. Cureus 2023, 15, e49127. [Google Scholar] [CrossRef]
- Safadi, A.; Schreiber, A.; Fliss, D.M.; Nicolai, P. Juvenile Angiofibroma: Current Management Strategies. J. Neurol. Surg. Part B Skull Base 2018, 79, 021–030. [Google Scholar] [CrossRef]
- Liu, C.; Wang, Y.; Zhang, D.; Zhou, J.; Wu, Y.; Guo, Y.; Liu, R.-C.; Xu, J.-E. Value of multiparametric magnetic resonance imaging in distinguishing sinonasal lymphoma from sinonasal carcinoma: A case control study. BMC Med. Imaging 2024, 24, 181. [Google Scholar] [CrossRef] [PubMed]
- Keir, G.; Jay, A.K. What the Radiologist Needs to Know About Sinonasal Masses. Contemp. Diagn. Radiol. 2019, 42, 8. [Google Scholar] [CrossRef]
- He, M.; Tang, Z.; Qiang, J.; Xiao, Z.; Zhang, Z. Differentiation between sinonasal natural killer/T-cell lymphomas and diffuse large B-cell lymphomas by RESOLVE DWI combined with conventional MRI. Magn. Reson. Imaging 2019, 62, 10–17. [Google Scholar] [CrossRef] [PubMed]
- Bitner, B.F.; Htun, N.N.; Wang, B.Y.; Brem, E.A.; Kuan, E.C. Sinonasal lymphoma: A primer for otolaryngologists. Laryngoscope Investig. Otolaryngol. 2022, 7, 1712–1724. [Google Scholar] [CrossRef] [PubMed]
- Limaiem, F.; Das, J.M. Esthesioneuroblastoma. [Updated 2023 Jun 26]. In StatPearls [Internet]; StatPearls Publishing: Treasure Island, FL, USA, 2024. [Google Scholar]
- Fiani, B.; Quadri, S.A.; Cathel, A.; Farooqui, M.; Ramachandran, A.; Siddiqi, I.; Ghanchi, H.; Zafar, A.; Berman, B.W.; Siddiqi, J. Esthesioneuroblastoma: A Comprehensive Review of Diagnosis, Management, and Current Treatment Options. World Neurosurg. 2019, 126, 194–211. [Google Scholar] [CrossRef]
- Rao, K.R.; Upadhya, I.B. A Review on Esthesioneuroblastoma. Indian J. Otolaryngol. Head Neck Surg. 2022, 74, 1584–1590. [Google Scholar] [CrossRef]
- Klironomos, G.; Gonen, L.; Au, K.; Monteiro, E.; Mansouri, A.; Turel, M.K.; Witterick, I.; Vescan, A.; Zadeh, G.; Gentili, F. Endoscopic management of Esthesioneuroblastoma: Our experience and review of the literature. J. Clin. Neurosci. 2018, 58, 117–123. [Google Scholar] [CrossRef]
- Sanjai, K.; Sangappa, S.B.; Shivalingaiah, D.; Baker, A.; Rao, R. Intestinal type of si-nonasal adenocarcinoma with condylar metastases: A case report. Med. Rep. 2024, 8, 100124. [Google Scholar]
- Gallet, P.; Nguyen, D.T.; Russel, A.; Jankowski, R.; Vigouroux, C.; Rumeau, C. Intestinal and non-intestinal nasal cavity adenocarcinoma: Impact of wood dust exposure. Eur. Ann. Otorhinolaryngol. Head Neck Dis. 2018, 135, 383–387. [Google Scholar] [CrossRef]
- Melis, M.; Greco, L.; Croce, G.; De vivo, D.; D’Onofrio, S.; Castellani, F.; Simonetti, G. Intestinal-type sinonasal adenocarcinoma in a patient without previous exposure to dust. Eurorad 2015. Available online: https://www.eurorad.org/case/12165 (accessed on 5 November 2024).
- Rampinelli, V.; Ferrari, M.; Nicolai, P. Intestinal-type adenocarcinoma of the sinonasal tract: An update. Curr. Opin. Otolaryngol. Head Neck Surg. 2018, 26, 115–121. [Google Scholar] [CrossRef] [PubMed]
- Nardi, C.; Vignoli, C.; Vannucchi, M.; Pietragalla, M. Magnetic resonance features of sinonasal melanotic mucosal melanoma. BMJ Case Rep. 2019, 12, e229790. [Google Scholar] [CrossRef] [PubMed]
- Wong, V.K.; Lubner, M.G.; Menias, C.O.; Mellnick, V.M.; Kennedy, T.A.; Bhalla, S.; Pickhardt, P.J. Clinical and imaging features of noncutaneous melanoma. Am. J. Roentgenol. 2017, 5, 942–959. [Google Scholar] [CrossRef] [PubMed]
- Burrascano, D.; Dolores, S.; Immordino, A.; Lorusso, F.; Dispenza, F.; Sireci, F. A Rare Case of Solitary Fibrosus Tumor (SFT) of the Nasal Septum. Iran J. Otorhinolaryngol. 2023, 35, 329–334. [Google Scholar] [PubMed]
- Dilger, A.E.; Schneider, A.L.; Cramer, J.; Smith, S.S. Rhabdomyosarcoma of the Paranasal Sinuses Initially Diagnosed as Acute Sinusitis. Sinusitis 2017, 2, 2. [Google Scholar] [CrossRef]
- Fatah, M.L.; Salh, A.M.; Abdullah, A.M.; Kakamad, F.H. Adult embryonal rhabdomyosarcoma in the nasal cavity; a case report with a review of the literature. Ann. Med. Surg. 2022, 75, 103424. [Google Scholar] [CrossRef]
- Hamou, M.; El Amrani, Y.; Lachkar, A.; Eabdenbitsen, A.; Elayoubi, F.; Ghailan, R. Adult embryonal rhabdomyosarcoma of the nose and paranasal sinuses misdiagnosed as an orbital cellulitis: A case report. PAMJ Clin. Med. 2021, 5, 3. [Google Scholar] [CrossRef]


















Disclaimer/Publisher’s Note: The statements, opinions and data contained in all publications are solely those of the individual author(s) and contributor(s) and not of MDPI and/or the editor(s). MDPI and/or the editor(s) disclaim responsibility for any injury to people or property resulting from any ideas, methods, instructions or products referred to in the content. |
© 2024 by the authors. Licensee MDPI, Basel, Switzerland. This article is an open access article distributed under the terms and conditions of the Creative Commons Attribution (CC BY) license (https://creativecommons.org/licenses/by/4.0/).
Share and Cite
Lo Casto, A.; Lorusso, F.; Palizzolo, E.; Sireci, F.; Dispenza, F.; De Angelis, M.; Immordino, A.; Gallina, S.; Bencivinni, F. Uncommon Nasal Mass Presentation: A Radiological Case Series. J. Pers. Med. 2024, 14, 1145. https://doi.org/10.3390/jpm14121145
Lo Casto A, Lorusso F, Palizzolo E, Sireci F, Dispenza F, De Angelis M, Immordino A, Gallina S, Bencivinni F. Uncommon Nasal Mass Presentation: A Radiological Case Series. Journal of Personalized Medicine. 2024; 14(12):1145. https://doi.org/10.3390/jpm14121145
Chicago/Turabian StyleLo Casto, Antonio, Francesco Lorusso, Ettore Palizzolo, Federico Sireci, Francesco Dispenza, Manfredi De Angelis, Angelo Immordino, Salvatore Gallina, and Francesco Bencivinni. 2024. "Uncommon Nasal Mass Presentation: A Radiological Case Series" Journal of Personalized Medicine 14, no. 12: 1145. https://doi.org/10.3390/jpm14121145
APA StyleLo Casto, A., Lorusso, F., Palizzolo, E., Sireci, F., Dispenza, F., De Angelis, M., Immordino, A., Gallina, S., & Bencivinni, F. (2024). Uncommon Nasal Mass Presentation: A Radiological Case Series. Journal of Personalized Medicine, 14(12), 1145. https://doi.org/10.3390/jpm14121145

