Electrophysiologic Considerations in Adult Patients with Ebstein’s Anomaly
Abstract
1. Introduction
- (1)
- Failure of delamination of the tricuspid valve (TV) leaflets from the underlying right ventricular (RV) myocardium, with a resultant adherence of the (septal and posterior) TV leaflets to the myocardium.
- (2)
- Apical displacement of the functional tricuspid annular hinge points by at least 8 mm. From most to least frequent, the septal, posterior, and anterior leaflets of the TV are involved.
- (3)
- Dilation of the “atrialized” portion of the RV with variable degrees of hypertrophy and thinning of the wall.
- (4)
- Anterior leaflet fenestrations, redundancy, and tethering.
- (5)
- Right atrioventricular (AV) junction (true tricuspid annulus) dilation.
1.1. Embryology
1.2. Epidemiology and Genetics
2. Diagnosis
2.1. Early Symptoms
2.2. ECG Findings
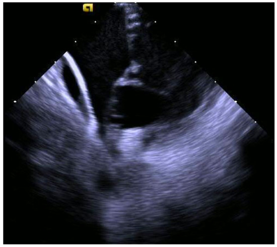
2.3. Echocardiography
2.4. Cardiac MRI
3. Associated Arrhythmias
3.1. Atrial Arrhythmias
3.2. Supraventricular Tachycardia
3.3. Ventricular Arrhythmia (VA)
4. Indications for Intervention
4.1. EP Study
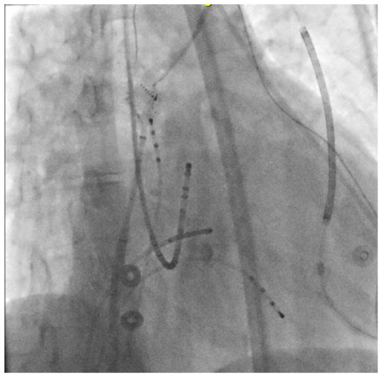
4.2. EPS and Catheter Ablation
4.2.1. Cases
4.2.2. Case 1
4.2.3. Case 2
4.3. Surgical Intervention
Intra-Op EP Procedures
5. Complications Post-Intervention
Cardiac Implantable Electronic Device (CIED) Management
6. Conclusions
Author Contributions
Funding
Institutional Review Board Statement
Informed Consent Statement
Data Availability Statement
Conflicts of Interest
Abbreviations
| Adult congenital heart disease | (ACHD) |
| Accessory pathway | (AP) |
| Atrial septal defect | (ASD) |
| Atrioventricular | (AV) |
| Atrioventricular nodal reentrant tachycardia | (AVNRT) |
| Ebstein anomaly | (EA) |
| Patent foramen ovale | (PFO) |
| Right ventricle | (RV) |
| Supraventricular tachycardia | (SVT) |
| Sudden cardiac death | (SCD) |
| Tricuspid valve | (TV) |
| Ventricular arrhythmia | (VA) |
| Wolff–Parkinson–White | (WPW) |
References
- Qureshi, M.Y.; Sommer, R.J.; Cabalka, A.K. Tricuspid Valve Imaging and Intervention in Pediatric and Adult Patients with Congenital Heart Disease. JACC Cardiovasc. Imaging 2019, 12, 637–651. [Google Scholar] [CrossRef] [PubMed]
- Qureshi, M.Y.; O’Leary, P.W.; Connolly, H.M. Cardiac imaging in Ebstein anomaly. Trends Cardiovas. Med. 2018, 28, 403–409. [Google Scholar] [CrossRef] [PubMed]
- Holst, K.; Ammash, N.; Dearani, J. Ebstein Anomaly. In Diagnosis and Management of Adult Congenital Heart Disease, 3rd ed.; Gatzoulis, M., Webb, G., Daubeney, P., Eds.; Elsevier: Amsterdam, The Netherlands, 2017; pp. 442–449. [Google Scholar]
- Edwards, W. Embryology and Pathologic Features of Ebstein’s Anomaly. Prog. Pediatr. Cardiol. 1993, 2, 5–15. [Google Scholar] [CrossRef]
- Lamers, W.H.; Viragh, S.; Wessels, A.; Moorman, A.F.; Anderson, R.H. Formation of the tricuspid valve in the human heart. Circulation 1995, 91, 111–121. [Google Scholar] [CrossRef] [PubMed]
- Stout, K.K.; Daniels, C.J.; Aboulhosn, J.A.; Bozkurt, B.; Broberg, C.S.; Colman, J.M.; Crumb, S.R.; Dearani, J.A.; Fuller, S.; Gurvitz, M.; et al. 2018 AHA/ACC Guideline for the Management of Adults With Congenital Heart Disease: A Report of the American College of Cardiology/American Heart Association Task Force on Clinical Practice Guidelines. Circulation 2019, 139, e698–e800. [Google Scholar] [CrossRef]
- Cappato, R.; Schluter, M.; Weiss, C.; Antz, M.; Koschyk, D.H.; Hofmann, T.; Kuck, K.H. Radiofrequency current catheter ablation of accessory atrioventricular pathways in Ebstein’s anomaly. Circulation 1996, 94, 376–383. [Google Scholar] [CrossRef]
- Ernst, S.; Ouyang, F.; Antz, M. Catheter ablation of atrioventricular reentry. In Cardiac Electrophysiology from Cell to Bedside, 4th ed.; Zipes, D., Jalife, J., Eds.; WB Saunders: Abingdon, UK, 2003; pp. 1078–1086. [Google Scholar]
- Yuan, S.M. Ebstein’s Anomaly: Genetics, Clinical Manifestations, and Management. Pediatr. Neonatol. 2017, 58, 211–215. [Google Scholar] [CrossRef]
- Carmona, R.; López-Sánchez, C.; García-Martinez, V. Deciphering the Involvement of the Epicardium in Cardiac Diseases. Hearts 2023, 4, 81–93. [Google Scholar] [CrossRef]
- He, B.J.; Merriman, A.F.; Cakulev, I.; Stambler, B.S.; Srivastava, D.; Scheinman, M.M. Ebstein’s Anomaly Review of Arrhythmia Types and Morphogenesis of the Anomaly. Clin. Electrophysiol. 2021, 7, 1198–1206. [Google Scholar] [CrossRef]
- Kolditz, D.P.; Wijffels, M.C.E.F.; Blom, N.A.; van der Laarse, A.; Hahurij, N.D.; Lie-Venema, H.; Markwald, R.R.; Poelmann, R.E.; Schalij, M.J.; Gittenberger-de Groot, A.C. Epicardium-derived cells in development of annulus fibrosis and persistence of accessory pathways. Circulation 2008, 117, 1508–1517. [Google Scholar] [CrossRef]
- Gaussin, V.; Morley, G.E.; Cox, L.; Zwijsen, A.; Vance, K.M.; Emile, L.; Tian, Y.M.; Liu, J.; Hong, C.; Myers, D.; et al. Alk3/Bmpr1a receptor is required for development of the atrioventricular canal into valves and annulus fibrosus. Circ. Res. 2005, 97, 219–226. [Google Scholar] [CrossRef] [PubMed]
- Khairy, P.; Van Hare, G.F.; Balaji, S.; Berul, C.I.; Cecchin, F.; Cohen, M.I.; Daniels, C.J.; Deal, B.J.; Dearani, J.A.; de Groot, N.; et al. PACES/HRS Expert Consensus Statement on the Recognition and Management of Arrhythmias in Adult Congenital Heart Disease. Heart Rhythm 2014, 11, E102–E165. [Google Scholar] [CrossRef] [PubMed]
- Bharadwaj P, D.R.; Sofat, S. Catheter ablation of an elusive accessory pathway in Ebstein’s anomaly—Innovative surrogate for electroanatomic mapping. Med. J. Armed Forces India 2015, 71, S79–S81. [Google Scholar] [CrossRef] [PubMed]
- Saul, J.P.; Kanter, R.J.; Abrams, D.; Asirvatham, S.; Bar-Cohen, Y.; Blaufox, A.D.; Cannon, B.; Clark, J.; Dick, M.; Freter, A.; et al. PACES/HRS expert consensus statement on the use of catheter ablation in children and patients with congenital heart disease. Heart Rhythm 2016, 13, e251–e289. [Google Scholar] [CrossRef]
- Iturralde, P.; Nava, S.; Sálica, G.; Medeiros, A.; Márquez, M.F.; Colin, L.; Victoria, D.; De Micheli, A.; Gonzalez, M.D. Electrocardiographic characteristics of patients with Ebstein’s anomaly before and after ablation of an accessory atrioventricular pathway. J. Cardiovasc. Electr. 2006, 17, 1332–1336. [Google Scholar] [CrossRef]
- Cohen, M.I.; Triedman, J.K.; Cannon, B.C.; Davis, A.M.; Drago, F.; Janousek, J.; Klein, G.J.; Law, I.H.; Morady, F.J.; Paul, T.; et al. PACES/HRS Expert Consensus Statement on the Management of the Asymptomatic Young Patient with a Wolff-Parkinson-White (WPW, Ventricular Preexcitation) Electrocardiographic Pattern. Heart Rhythm 2012, 9, 1006–10024. [Google Scholar] [CrossRef]
- Attenhofer Jost, C.H.; Tan, N.Y.; Hassan, A.; Vargas, E.R.; Hodge, D.O.; Dearani, J.A.; Connolly, H.; Asirvatham, S.J.; McLeod, C.J. Sudden death in patients with Ebstein anomaly. Eur. Heart J. 2018, 39, 1970–1977. [Google Scholar] [CrossRef]
- Carpentier, A.; Chauvaud, S.; Mace, L.; Relland, J.; Mihaileanu, S.; Marino, J.P.; Abry, B.; Guibourt, P. A New Reconstructive Operation for Ebsteins-Anomaly of the Tricuspid-Valve. J. Thorac. Cardiov. Sur. 1988, 96, 92–101. [Google Scholar] [CrossRef]
- Celermajer, D.S.; Bull, C.; Till, J.A.; Cullen, S.; Vassillikos, V.P.; Sullivan, I.D.; Allan, L.; Nihoyannopoulos, P.; Somerville, J.; Deanfield, J.E. Ebstein’s anomaly: Presentation and outcome from fetus to adult. J. Am. Coll. Cardiol. 1994, 23, 170–176. [Google Scholar] [CrossRef]
- Khositseth, A.; Danielson, G.K.; Dearani, J.A.; Munger, T.M.; Porter, C.J. Supraventricular tachyarrhythmias in Ebstein anomaly: Management and outcome. J. Thorac. Cardiov. Sur. 2004, 128, 826–833. [Google Scholar] [CrossRef]
- Moore, J.P.; Gallotti, R.G.; Chiriac, A.; McLeod, C.J.; Stephenson, E.A.; Maghrabi, K.; Fish, F.A.; Kilinc, O.U.; Bradley, D.; Krause, U.; et al. Catheter ablation of supraventricular tachycardia after tricuspid valve surgery in patients with congenital heart disease: A multicenter comparative study. Heart Rhythm 2020, 17, 58–65. [Google Scholar] [CrossRef] [PubMed]
- de Miguel, I.M.; Madhavan, M.; Miranda, W.R.; Connolly, H.M.; Egbe, A.C. Prognostic implications of atrial fibrillation in adults with Ebstein anomaly. Heart 2023, 109, 442–448. [Google Scholar] [CrossRef] [PubMed]
- Martin de Miguel, I.; Miranda, W.R.; Madhavan, M.; Connolly, H.M.; Dearani, J.A.; Egbe, A.C. Risk Factors for Atrial Arrhythmias in Adults With Ebstein Anomaly. JACC Adv. 2022, 1, 100058. [Google Scholar] [CrossRef] [PubMed]
- Hassan, A.; Tan, N.Y.; Aung, H.; Connolly, H.M.; Hodge, D.O.; Vargas, E.R.; Cannon, B.C.; Packer, D.L.; Asirvatham, S.J.; McLeod, C.J. Outcomes of atrial arrhythmia radiofrequency catheter ablation in patients with Ebstein’s anomaly. EP Europace 2018, 20, 535–540. [Google Scholar] [CrossRef]
- Olson, T.; Porter, C.-B. Electrocardiographic and electrophysiologic findings in Ebstein’s anomaly: Pathophysiology, diagnosis, and management. Prog. Pediatr. Cardiol. 1993, 2, 38–50. [Google Scholar] [CrossRef]
- Wei, W.; Zan, X.; Xue, Y.; Xianhong, F.; Hongtao, L.; Hai, D.; Yuanhong, L.; Wu, S. Features of accessory pathways in adult Ebstein’s anomaly. Europace 2014, 16, 1619–1625. [Google Scholar] [CrossRef]
- El-Assaad, I.; DeWitt, E.S.; Mah, D.Y.; Gauvreau, K.; Abrams, D.J.; Alexander, M.E.; Triedman, J.K.; Walsh, E.P. Accessory pathway ablation in Ebstein anomaly: A challenging substrate. Heart Rhythm 2021, 18, 1844–1851. [Google Scholar] [CrossRef]
- Tan, N.Y.; Amin, M.; Dearani, J.A.; McLeod, C.J.; Stephens, E.H.; Cannon, B.C.; Miranda, W.R.; Connolly, H.M.; Egbe, A.; Asirvatham, S.J.; et al. Cardiac Implantable Electronic Devices in Ebstein Anomaly: Management and Outcomes. Circ. Arrhythmia Electrophysiol. 2022, 15, e010744. [Google Scholar] [CrossRef]
- Christine, A.J.; Marianne, Z.V.; Katja, G.; Anna, L.; Fabienne, S.; Kerstine, W.; Hildegard, T. Women in cardiology: Past, present and future. Cardiovasc. Med. 2019, 22, 1–6. [Google Scholar]
- Moore, J.P.; Shannon, K.M.; Gallotti, R.G.; McLeod, C.J.; Chiriac, A.; Walsh, E.P.; Sreeram, N.; Patel, A.R.; De Groot, N.M.; von Alvensleben, J.; et al. Catheter Ablation of Ventricular Arrhythmia for Ebstein’s Anomaly in Unoperated and Post-Surgical Patients. JACC Clin. Electrophysiol. 2018, 4, 1300–1307. [Google Scholar] [CrossRef]
- Shivapour, J.K.L.; Sherwin, E.D.; Alexander, M.E.; Cecchin, F.; Mah, D.Y.; Triedman, J.K.; Marx, G.R.; del Nido, P.J.; Walsh, E.P. Utility of preoperative electrophysiologic studies in patients with Ebstein’s anomaly undergoing the Cone procedure. Heart Rhythm 2014, 11, 182–186. [Google Scholar] [CrossRef] [PubMed]
- Chen, S.A.; Hsia, C.P.; Chiang, C.E.; Chiou, C.W.; Yang, C.J.; Cheng, C.C.; Tsang, W.P.; Ting, C.T.; Wang, S.P.; Chiang, B.N.; et al. Reappraisal of Radiofrequency Ablation of Multiple Accessory Pathways. Am. Heart J. 1993, 125, 760–771. [Google Scholar] [CrossRef] [PubMed]
- Marcondes, L.; Sanders, S.P.; del Nido, P.J.; Walsh, E.P. Examination of pathologic features of the right atrioventricular groove in hearts with Ebstein anomaly and correlation with arrhythmias. Heart Rhythm 2020, 17, 1092–1098. [Google Scholar] [CrossRef] [PubMed]
- Roten, L.L.P.; Groot, N.; Nielsen, J.C.; Szili-Torok, T.; Jensen, H.K.; Zimmermann, M.; Delacrétaz, E. Catheter ablation of arrhythmias in ebstein’s anomaly: A multicenter study. J. Cardiovasc. Electrophysiol. 2011, 22, 1391–1396. [Google Scholar] [CrossRef] [PubMed]
- Kotake, Y.; Campbell, T.; Bennett, R.G.; Turnbull, S.; Huang, K.; Ross, N.; Trivic, I.; De Silva, K.; Bhaskaran, A.; Kumar, S. Clinical and Electrophysiological Characteristics of Ventricular Tachycardias From the Basal Septum in Structural Heart Disease. Clin. Electrophysiol. 2021, 7, 1274–1284. [Google Scholar] [CrossRef] [PubMed]
















| Rhythm | Normal sinus rhythm Possible ectopic atrial rhythm Supraventricular tachycardia Atrial fibrillation; intra-atrial reentrant tachycardia (40%) |
| PR interval | Usually long (1st degree AVB) Short with WPW |
| QRS axis | Normal Left axis deviation |
| QRS configuration | Low-amplitude multiphasic atypical right bundle branch block (RBBB) If no RBBB present, consider right sided pathway |
| Atrial enlargement | Common, with Himalayan p waves |
| Ventricular hypertrophy | None; diminutive RV |
| Unique features | Accessory pathway common Q waves present in inferior (II, III, avF) and anterior (V1–V4) leads |
| Wide complex tachyarrhythmias | Multiple APs have a higher probability of antidromic reciprocating tachycardia Ventricular tachycardias likely a late cause of SCD |
Disclaimer/Publisher’s Note: The statements, opinions and data contained in all publications are solely those of the individual author(s) and contributor(s) and not of MDPI and/or the editor(s). MDPI and/or the editor(s) disclaim responsibility for any injury to people or property resulting from any ideas, methods, instructions or products referred to in the content. |
© 2024 by the authors. Licensee MDPI, Basel, Switzerland. This article is an open access article distributed under the terms and conditions of the Creative Commons Attribution (CC BY) license (https://creativecommons.org/licenses/by/4.0/).
Share and Cite
Hsiung, I.; Fatunde, O.A.; Srivathsan, K.; Madhavan, M.; Majdalany, D.S. Electrophysiologic Considerations in Adult Patients with Ebstein’s Anomaly. J. Pers. Med. 2024, 14, 1113. https://doi.org/10.3390/jpm14111113
Hsiung I, Fatunde OA, Srivathsan K, Madhavan M, Majdalany DS. Electrophysiologic Considerations in Adult Patients with Ebstein’s Anomaly. Journal of Personalized Medicine. 2024; 14(11):1113. https://doi.org/10.3390/jpm14111113
Chicago/Turabian StyleHsiung, Ingrid, Olubadewa A. Fatunde, Komandoor Srivathsan, Malini Madhavan, and David S. Majdalany. 2024. "Electrophysiologic Considerations in Adult Patients with Ebstein’s Anomaly" Journal of Personalized Medicine 14, no. 11: 1113. https://doi.org/10.3390/jpm14111113
APA StyleHsiung, I., Fatunde, O. A., Srivathsan, K., Madhavan, M., & Majdalany, D. S. (2024). Electrophysiologic Considerations in Adult Patients with Ebstein’s Anomaly. Journal of Personalized Medicine, 14(11), 1113. https://doi.org/10.3390/jpm14111113

