Unilateral Cleft Lip and Palate Has Asymmetry of Bony Orbits: A Retrospective Study
Abstract
1. Introduction
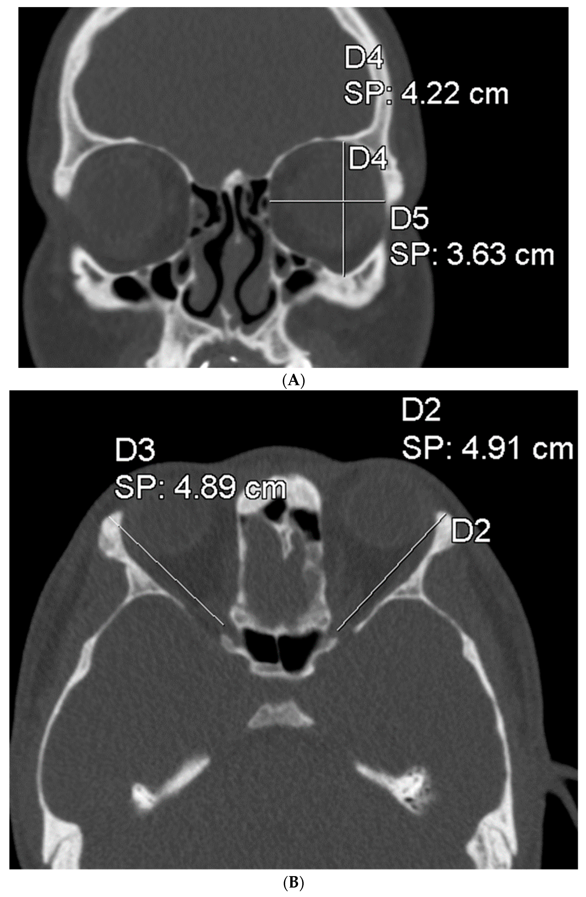
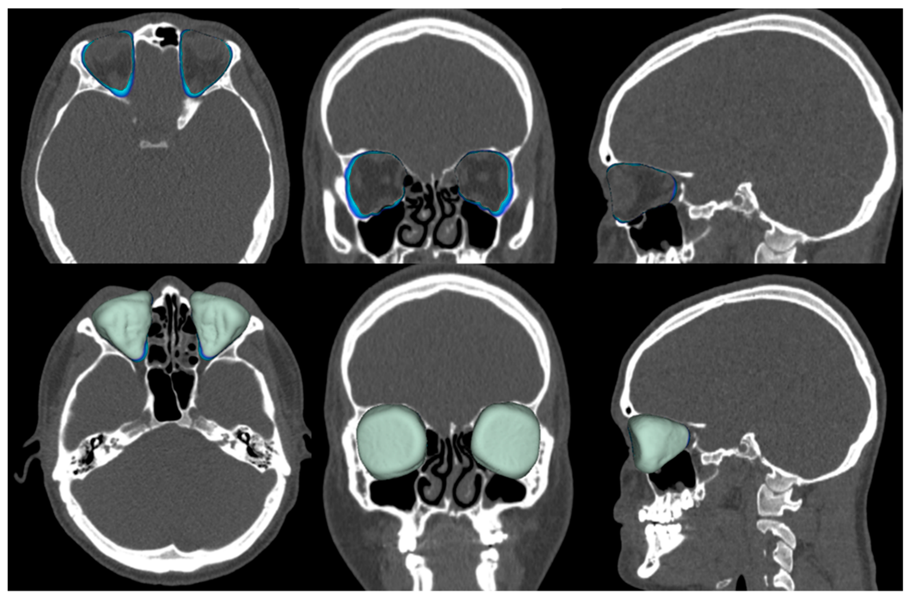
2. Materials and Methods
3. Results
4. Discussion
5. Conclusions
Author Contributions
Funding
Institutional Review Board Statement
Informed Consent Statement
Data Availability Statement
Acknowledgments
Conflicts of Interest
References
- Salari, N.; Darvishi, N.; Heydari, M.; Bokaee, S.; Darvishi, F.; Mohammadi, M. Global prevalence of cleft palate, cleft lip and cleft palate and lip: A comprehensive systematic review and meta-analysis. J. Stomatol. Oral Maxillofac. Surg. 2022, 123, 110–120. [Google Scholar] [CrossRef] [PubMed]
- Good, P.M.; Mulliken, J.B.; Padwa, B.L. Frequency of Le Fort I osteotomy after repaired cleft lip and palate or cleft palate. Cleft Palate-Craniofacial J. 2007, 44, 396–401. [Google Scholar] [CrossRef]
- Daskalogiannakis, J.; Mehta, M.; Meazzini, M.C.; Capello, A.V.; Ventrini, F.; Autelitano, L.; Morabito, A.; Garattini, G.; Brusati, R.; Wu, Y.; et al. The Need for Orthognathic Surgery in Patients with Repaired Complete Unilateral and Complete Bilateral Cleft Lip and Palate. Cleft Palate-Craniofacial J. 2009, 46, 498–502. [Google Scholar] [CrossRef] [PubMed]
- Heliövaara, A.; Rautio, J. A comparison of craniofacial cephalometric morphology and the later need for orthognathic surgery in 6-year-old cleft children. J. Craniomaxillofacial Surg. 2011, 39, 173–176. [Google Scholar] [CrossRef]
- Voshol, I.; van der Wal, K.; van Adrichem, L.; Ongkosuwito, E.; Koudstaal, M. The Frequency of Le Fort I Osteotomy in Cleft Patients. Cleft Palate-Craniofacial J. 2012, 49, 160–166. [Google Scholar] [CrossRef]
- Meazzini, M.C.; Capello, A.V.; Ventrini, F.; Autelitano, L.; Morabito, A.; Garattini, G.; Brusati, R. Long-Term Follow-Up of UCLP Patients: Surgical and Orthodontic Burden of Care during Growth and Final Orthognathic Surgery Need. Cleft Palate-Craniofacial J. 2015, 52, 688–697. [Google Scholar] [CrossRef]
- Ore, C.D.; Schoenbrunner, A.; Brandel, M.; Kronstadt, N.; McIntyre, J.; Jones, M.; Gosman, A. Incidence of Le Fort Surgery in a Mature Cohort of Patients With Cleft Lip and Palate. Ann. Plast. Surg. 2017, 78 (Suppl. S4), S199–S203. [Google Scholar] [CrossRef]
- Jacob, L.; Fahradyan, A.; Paulson, P.; Wlodarczyk, J.R.; Wolfswinkel, E.M.; Jimenez, C.; Urata, M.M.; Hammoudeh, J.A. Orthognathic Surgery Rate in Cleft Care. J. Craniofacial Surg. 2022, 33, 87–92. [Google Scholar] [CrossRef]
- Mølsted, K.; Dahl, E. Asymmetry of the maxilla in children with complete unilateral cleft lip and palate. Cleft Palate J. 1990, 27, 184–190, Erratum in Cleft Palate J. 1990, 27, 444. [Google Scholar]
- Ras, F.; Habets, L.L.; Van Ginkel, F.C.; Prahl-Andersen, B. Three-Dimensional Evaluation of Facial Asymmetry in Cleft Lip and Palate. Cleft Palate-Craniofacial J. 1994, 31, 116–121. [Google Scholar] [CrossRef] [PubMed]
- Smahel, Z.; Brejcha, M. Differences in craniofacial morphology between complete and incomplete unilateral cleft lip and palate in adults. Cleft Palate J. 1983, 20, 113–127. [Google Scholar] [PubMed]
- Kuijpers, M.A.R.; Chiu, Y.-T.; Nada, R.M.; Carels, C.E.L.; Fudalej, P.S. Three-dimensional Imaging Methods for Quantitative Analysis of Facial Soft Tissues and Skeletal Morphology in Patients with Orofacial Clefts: A Systematic Review. PLoS ONE 2014, 9, e93442. [Google Scholar] [CrossRef] [PubMed]
- Wang, X.; Pastewait, M.; Wu, T.; Lian, C.; Tejera, B.; Lee, Y.; Lin, F.; Wang, L.; Shen, D.; Li, S.; et al. 3D morphometric quantification of maxillae and defects for patients with unilateral cleft palate via deep learning-based CBCT image auto-segmentation. Orthod. Craniofacial Res. 2021, 24, 108–116. [Google Scholar] [CrossRef] [PubMed]
- Farkas, L.G.; Lindsay, W.K.; Vanderby, M.B. Morphology of the orbital region in adults following the cleft lip/palate repair in childhood. Am. J. Phys. Anthr. 1972, 37, 65–73. [Google Scholar] [CrossRef] [PubMed]
- Harikrishnan, P.; Balakumaran, V. Analysis of Intramaxillary and Mid-Face Skeletal Asymmetry in a Three-Dimensional Model with Complete Unilateral Cleft Lip and Palate. J. Craniofacial Surg. 2018, 29, e759–e762. [Google Scholar] [CrossRef]
- Patel, D.S.; Jacobson, R.; Duan, Y.; Zhao, L.; Morris, D.; Cohen, M.N. Cleft Skeletal Asymmetry. Cleft Palate-Craniofacial J. 2018, 55, 348–355. [Google Scholar] [CrossRef]
- Zemann, W.; Santler, G.; Kärcher, H. Analysis of midface asymmetry in patients with cleft lip, alveolus and palate at the age of 3 months using 3D-COSMOS measuring system. J. Cranio-Maxillofacial Surg. 2002, 30, 148–152. [Google Scholar] [CrossRef]
- Ed-Dhahraouy, M.; Riri, H.; Ezzahmouly, M.; Bourzgui, F.; El Moutaoukkil, A. A new methodology for automatic detection of reference points in 3D cephalometry: A pilot study. Int. Orthod. 2018, 16, 328–337. [Google Scholar] [CrossRef]
- Kotaniemi, K.V.; Heliövaara, A.; Kotaniemi, M.; Stoor, P.; Leikola, J.; Palotie, T.; Suojanen, J. Comparison of postoperative skeletal stability of maxillary segments after Le Fort I osteotomy, using patient-specific implant versus mini-plate fixation. J. Cranio-Maxillofacial Surg. 2019, 47, 1020–1030. [Google Scholar] [CrossRef]
- Jacobson, R.; Sarver, D.M. The predictability of maxillary repositioning in LeFort I orthognathic surgery. Am. J. Orthod. Dentofac. Orthop. 2002, 122, 142–154. [Google Scholar] [CrossRef]
- Wu, T.-J.; Lee, Y.-H.; Chang, Y.-J.; Lin, S.-S.; Lin, F.-C.; Kim, Y.-I.; Ko, C.-C.; Lai, J.-P. Three-Dimensional Outcome Assessments of Cleft Lip and Palate Patients Undergoing Maxillary Advancement. Plast. Reconstr. Surg. 2019, 143, 1255e–1265e. [Google Scholar] [CrossRef] [PubMed]
- Hsu, P.-J.; Denadai, R.; Pai, B.C.J.; Lin, H.-H.; Lo, L.-J. Outcome of facial contour asymmetry after conventional two-dimensional versus computer-assisted three-dimensional planning in cleft orthognathic surgery. Sci. Rep. 2020, 10, 2346. [Google Scholar] [CrossRef]
- Merta, M.; Heliövaara, A.; Leikola, J.; Suojanen, J. Early experience of wafer-free Le Fort I osteotomy with patient-specific implants in cleft lip and palate patients. J. Plast. Reconstr. Aesthetic Surg. 2023, 77, 78–86. [Google Scholar] [CrossRef]
- Wang, Y.; Zhang, Z.; Liu, Y.; Ye, B.; Luo, E.; Li, J. Virtual Surgical Planning Assisted Management for Cleft-Related Maxillary Hypoplasia. J. Craniofacial Surg. 2019, 30, 1745–1749. [Google Scholar] [CrossRef] [PubMed]
- Chepurnyi, Y.; Chernohorskyi, D.; Prykhodko, D.; Poutala, A.; Kopchak, A. Reliability of orbital volume measurements based on computed tomography segmentation: Validation of different algorithms in orbital trauma patients. J. Cranio-Maxillofacial Surg. 2020, 48, 574–581. [Google Scholar] [CrossRef] [PubMed]
- Kormi, E.; Männistö, V.; Lusila, N.; Naukkarinen, H.; Suojanen, J. Accuracy of Patient-Specific Meshes as a Reconstruction of Orbital Floor Blow-Out Fractures. J. Craniofacial Surg. 2021, 32, e116–e119. [Google Scholar] [CrossRef] [PubMed]
- Andrades, P.R.; Cuevas, P.E.; Hernández, R.; Danilla, S.V.; Villalobos, R. Characterization of the orbital volume in normal population. J. Cranio-Maxillofacial Surg. 2018, 46, 594–599. [Google Scholar] [CrossRef]
- Shyu, V.B.-H.; Hsu, C.-E.; Chen, C.-H.; Chen, C.-T. 3D-Assisted Quantitative Assessment of Orbital Volume Using an Open-Source Software Platform in a Taiwanese Population. PLoS ONE 2015, 10, e0119589. [Google Scholar] [CrossRef]
- FFuruta, M. Measurement of Orbital Volume by Computed Tomography Especially on the Growth of the Orbit. Jpn. J. Ophthalmol. 2001, 45, 600–606. [Google Scholar] [CrossRef]
- Anchlia, S.; Rao, K.S.; Bonanthaya, K.; Anupama, B.; Nayak, I.V. Ophthalmic Considerations in Cleft Lip and Palate Patients. J. Maxillofac. Oral Surg. 2011, 10, 14–19. [Google Scholar] [CrossRef]
- Sanchez, M.L.N.; Benjamin, R.H.; Mitchell, L.E.; Langlois, P.H.; Canfield, M.A.; Swartz, M.D.; Scheuerle, A.E.; Scott, D.A.; Northrup, H.; Schaaf, C.P.; et al. Birth Defect Co-Occurrence Patterns Among Infants With Cleft Lip and/or Palate. Cleft Palate-Craniofacial J. 2022, 59, 417–426. [Google Scholar] [CrossRef]
- Weinberg, S.; Leslie, E.J.; Hecht, J.T.; Wehby, G.L.; Deleyiannis, F.W.; Moreno, L.M.; Christensen, K.; Marazita, M.L. Hypertelorism and Orofacial Clefting Revisited: An Anthropometric Investigation. Cleft Palate-Craniofacial J. 2017, 54, 631–638. [Google Scholar] [CrossRef]
- Bill, J.; Proff, P.; Bayerlein, T.; Blens, T.; Gedrange, T.; Reuther, J. Orthognathic surgery in cleft patients. J. Cranio-Maxillofacial Surg. 2006, 34, 77–81. [Google Scholar] [CrossRef]
- Lilius, G.P. Clefts with Associated Anomalies and Syndromes in Finland. Scand. J. Plast. Reconstr. Surg. Hand Surg. 1992, 26, 185–196. [Google Scholar] [CrossRef] [PubMed]
- Şibar, S.; Doruk, M.; Gülşen, A.; Özdemir, A.; Tosun, G.; Üçüncü, N. Evaluation of Orbitomalar Region Projection in Patients With Operated Cleft Lip and Palate (Cephalometric Study). Cleft Palate-Craniofacial J. 2022; epub ahead of print. [Google Scholar] [CrossRef]
- Cho, R.I.; Kahana, A. Embryology of the Orbit. J. Neurol. Surg. Part B Skull Base 2021, 82, 2–6. [Google Scholar] [CrossRef]
- Schoenwolf, G.C.; Bleyl, S.B.; Brauer, P.R.; Francis-West, P.H. Larsen’s Human Embryology, 5th ed.; Elsevier Saunders: Philadelphia, PA, USA, 2015. [Google Scholar]
- Gabrick, K.S.; Wu, R.T.; Singh, A.; Bartlett, S.P.; Taylor, J.A.; Persing, J.A.; Alperovich, M. Assessing Facial Asymmetry in Postoperative Patients With Unilateral Coronal Craniosynostosis. J. Craniofacial Surg. 2020, 31, 1000–1005. [Google Scholar] [CrossRef] [PubMed]
- Kronig, S.A.J.; Kronig, O.D.M.; Zurek, M.; Van Adrichem, L.N.A. Orbital volume, ophthalmic sequelae and severity in unilateral coronal synostosis. Child’s Nerv. Syst. 2021, 37, 1687–1694. [Google Scholar] [CrossRef] [PubMed]
- Öwall, L.; Darvann, T.A.; Larsen, P.; Hove, H.D.; Hermann, N.V.; Bøgeskov, L.; Kreiborg, S. Facial Asymmetry in Children with Unicoronal Synostosis who have Undergone Craniofacial Reconstruction in Infancy. Cleft Palate-Craniofacial J. 2016, 53, 385–393. [Google Scholar] [CrossRef]
- Gribova, M.N.; Pluijmers, B.I.; Resnick, C.M.; Caron, C.J.; Borghi, A.; Koudstaal, M.; Padwa, B.L. Is There a Difference in Orbital Volume Between Affected and Unaffected Sides in Patients With Unilateral Craniofacial Microsomia? J. Oral Maxillofac. Surg. 2018, 76, 2625–2629. [Google Scholar] [CrossRef]
- Chen, Y.-H.; Liao, Y.-F.; Chang, C.-S.; Lu, T.-C.; Chen, K.-T. Patient satisfaction and quality of life after orthodontic treatment for cleft lip and palate deformity. Clin. Oral Investig. 2021, 25, 5521–5529. [Google Scholar] [CrossRef] [PubMed]
- Suojanen, J.; Leikola, J.; Stoor, P. The use of patient-specific implants in orthognathic surgery: A series of 32 maxillary osteotomy patients. J. Cranio-Maxillofacial Surg. 2016, 44, 1913–1916. [Google Scholar] [CrossRef]
- Heufelder, M.; Wilde, F.; Pietzka, S.; Mascha, F.; Winter, K.; Schramm, A.; Rana, M. Clinical accuracy of waferless maxillary positioning using customized surgical guides and patient specific osteosynthesis in bimaxillary orthognathic surgery. J. Cranio-Maxillofacial Surg. 2017, 45, 1578–1585. [Google Scholar] [CrossRef]
- Järvinen, S.; Suojanen, J.; Suomalainen, A.; Stoor, P. Virtual Surgical Planning Combined With Intraoperative Navigation in Mandibular Bilateral Sagittal Split Osteotomy for Accurate Placement of Patient Specific Implants. J. Craniofacial Surg. 2021, 32, 2666–2670. [Google Scholar] [CrossRef] [PubMed]
- Alam, M.K.; Alfawzan, A.A.; Akhter, F.; Alswairki, H.J.; Chaudhari, P.K. Evaluation of Lip Morphology and Nasolabial Angle in Non-Syndromic Cleft Lip and/Palate and Non-Cleft Individuals. Appl. Sci. 2022, 12, 357. [Google Scholar] [CrossRef]
- Kaczorowska, N.; Mikulewicz, M. Impact of Cleft Palate Anastomosis in Cleft Lip and Palate Patients with Coexisting Cleft Lip Anastomosis Scar Based on Cephalometric Measurements. Appl. Sci. 2022, 12, 1104. [Google Scholar] [CrossRef]
- Kochhar, A.S.; Nucci, L.; Sidhu, M.S.; Prabhakar, M.; Grassia, V.; Perillo, L.; Kochhar, G.K.; Bhasin, R.; Dadlani, H.; D’apuzzo, F. Reliability and Reproducibility of Landmark Identification in Unilateral Cleft Lip and Palate Patients: Digital Lateral Vis-A-Vis CBCT-Derived 3D Cephalograms. J. Clin. Med. 2021, 10, 535. [Google Scholar] [CrossRef] [PubMed]
- Krooks, L.; Pirttiniemi, P.; Kanavakis, G.; Lähdesmäki, R. Prevalence of malocclusion traits and orthodontic treatment in a Finnish adult population. Acta Odontol. Scand. 2016, 74, 362–367. [Google Scholar] [CrossRef] [PubMed]
- Koskela, A.; Neittaanmäki, A.; Rönnberg, K.; Palotie, A.; Ripatti, S.; Palotie, T. The relation of severe malocclusion to patients’ mental and behavioral disorders, growth, and speech problems. Eur. J. Orthod. 2021, 43, 159–164. [Google Scholar] [CrossRef]




| Cleft Patients | |||
|---|---|---|---|
| W | df | Sig. | |
| Cleft height | 0.947 | 12 | 0.594 |
| Contralat height | 0.900 | 12 | 0.159 |
| Cleft width | 0.910 | 12 | 0.211 |
| Contralat width | 0.951 | 12 | 0.654 |
| Cleft depth | 0.942 | 12 | 0.520 |
| Contralat depth | 0.921 | 12 | 0.295 |
| Cleft position | 0.916 | 12 | 0.255 |
| Contralat position | 0.946 | 12 | 0.585 |
| Cleft volume | 0.933 | 12 | 0.408 |
| Contralat volume | 0.863 | 12 | 0.053 |
| Non-Cleft Patients | |||
| W | df | Sig. | |
| Right height | 0.910 | 14 | 0.157 |
| Left height | 0.934 | 14 | 0.342 |
| Right width | 0.961 | 14 | 0.733 |
| Left width | 0.896 | 14 | 0.100 |
| Right depth | 0.893 | 14 | 0.090 |
| Left depth | 0.958 | 14 | 0.687 |
| Right position | 0.923 | 14 | 0.246 |
| Left position | 0.945 | 14 | 0.487 |
| Right volume | 0.973 | 14 | 0.919 |
| Left volume | 0.959 | 14 | 0.710 |
| Age | Sex | Type | Cleft Side | Ocular | Osteotomy | Previous Operations |
|---|---|---|---|---|---|---|
| pathology | ||||||
| 20 y 7 mo | M | UCLP | Left | No | Le Fort 1 | Primary lip repair and soft palate closure 4 mo. |
| Hard palate closure 11 mo. | ||||||
| Alveolar bone graft 9 y 6 mo. | ||||||
| 18 y 3 mo | M | UCLP | Right | Myopia | Bimaxillary | Primary lip repair 3 mo and soft palate closure 3 mo. |
| astigmatism | Hard palate closure 9 mo. | |||||
| Alveolar bone graft 11 y 2 mo. | ||||||
| 18 y 10 mo | M | UCLP | Left | No | Le Fort 1 | Primary lip repair 4 mo. One-stage palatal closure 11 mo. |
| VPI surgery (Furlow Z-plasty) 6 y 7 mo. | ||||||
| Alveolar bone graft 10 y 10 mo. Early Le Fort 1 osteotomy 14 y 4 mo. | ||||||
| 20 y 7 mo | M | UCLP | Left | No | Bimaxillary | Primary lip repair and soft palate closure 4 mo. |
| Hard palate closure 11 mo. Secondary lip repair 6 y 9 mo. | ||||||
| Secondary lip repair and rhinoplasty 11 y 9 mo. Alveolar bone graft 11 y 7 mo. | ||||||
| 13 y 4 mo | F | UCLP | Left | No | Le Fort 1 | Primary lip repair 3 mo. One-stage palatal closure 1 y 2 mo. |
| Alveolar bone graft and fistula closure 9 y 2 mo. | ||||||
| 12 y 5 mo | F | UCLP | Left | No | Le Fort 1 | Primary lip repair 4 mo. One-stage palatal closure 8 mo. |
| Fistula closure 5 y 4 mo. Alveolar bone graft 9 y 3 mo. | ||||||
| 16 y 2 mo | F | UCLP | Left | No | Le Fort 1 | Primary lip repair 3 mo. One-stage palatal closure 1 y. |
| Previous operations abroad, no specific data. | ||||||
| Alveolar bone graft 10 y 8 mo. Early Le Fort 1 osteotomy 13 y 3 mo. | ||||||
| 16 y 2 mo | F | UCLP | Left | No | Le Fort 1 | Primary lip repair and palatal closure around 1 y. |
| Previous operations abroad, no specific data. | ||||||
| Alveolar bone grafts 9 y 2 mo and 10 y 2 mo. Fistula closure 11 y 3 mo. | ||||||
| 27 y 8 mo | F | UCLP | Left | No | Bimaxillary | Primary lip repair 3 mo. One-stage palatal closure 9 mo. |
| Secondary lip repair 8 y 9 mo. | ||||||
| Alveolar bone graft 9 y 1 mo. Rhinoplasty 17 y 7 mo. | ||||||
| 18 y 2 mo | F | UCLP | Right | No | Le Fort 1 | Primary lip repair and soft palate closure 3 mo. Hard palate closure 8 mo. |
| VPI surgery (muscular repair of soft palate) 7 y 2 mo. | ||||||
| Alveolar bone graft 16 y 7 mo. | ||||||
| 18 y 10 mo | M | UCLP | Left | No | Le Fort 1 | Primary lip repair and soft palate closure 3 mo. Hard palate closure 1 y. |
| Fistula closure 5 y 6 mo. | ||||||
| Alveolar bone graft 9 y 4 mo. | ||||||
| 21 y 6 mo | M | UCLP | Left | No | Bimaxillary | Primary lip repair 3 mo. One-stage palatal closure 9 mo. |
| VPI surgery (pharyngeal flap, Hogan) 5 y 6 mo. | ||||||
| Alveolar bone graft 9 y 5 mo. | ||||||
| 24 y 3 mo | M | UCLP | Right | No | Le Fort 1 | Primary lip repair 3 mo. One-stage palatal closure 10 mo. |
| Alveolar bone graft 10 y 3 mo. | ||||||
| 16 y 8 mo | F | UCLP | Left | No | Bimaxillary | Primary lip repair 7 mo. One-stage palatal closure 1 y 1 mo. |
| Alveolar bone graft 11 y 7 mo. | ||||||
| 18 y 10 mo | M | UCLP | Right | No | Le Fort 1 | Primary lip repair 3 mo. One-stage palatal closure 1 y. |
| Alveolar bone graft 10 y 1 mo. | ||||||
| Mean 18, 82 y | 8 M, 7 F | 11 left, 4 right | 10 Le Fort 1, 5 Bimax |
| Cleft Side | Contralat. Side | Mean | 95% CI | 95% CI | DF | p-Value | ||
|---|---|---|---|---|---|---|---|---|
| Difference | Lower | Upper | ||||||
| Height, cm | ||||||||
| n = 14 | 3.793 | 3.793 | 0 | −0.0751 | 0.0751 | 13 | 1.00 | NS |
| Width, cm | ||||||||
| n = 14 | 3.300 | 3.343 | −0.0429 | −0.0970 | 0.0113 | 13 | 0.111 | NS |
| Depth, cm | ||||||||
| n = 15 | 4.520 | 4.567 | −0.0467 | −0.1326 | 0.0393 | 14 | 0.264 | NS |
| Position, cm | ||||||||
| n = 15 | 6.660 | 6.888 | −0.1733 | −0.3129 | −0.0338 | 14 | 0.019 | * |
| Volume, mm3 | ||||||||
| n = 12 | 25,596.825 | 26,433.167 | −836.3417 | −1464.8051 | −207.8782 | 11 | 0.014 | * |
| Bimax, Cleft vs. Contralat. % | Le Fort 1, Cleft vs. Contralat. % | p-Value | ||
|---|---|---|---|---|
| Height | 101.56 | 99.04 | 0.518 | NS |
| Width | 98.82 | 98.72 | 0.898 | NS |
| Depth | 97.05 | 100.07 | 0.099 | NS |
| Position | 94.53 | 99.00 | 0.040 | * |
| Volume | 95.71 | 97.97 | 0.343 | NS |
| Right | Left | Mean | 95% CI | DF | p-Value | |||
|---|---|---|---|---|---|---|---|---|
| Difference | Lower | Upper | ||||||
| Height, cm | ||||||||
| n = 14 | 3.836 | 3.867 | −0.0214 | 0.09 | 0.0472 | 13 | 0.512 | NS |
| Width, cm | ||||||||
| n = 15 | 3.49333 | 3.507 | −0.0113 | −0.0545 | −0.0545 | 14 | 0.499 | NS |
| Depth, cm | ||||||||
| n = 16 | 4.919 | 4.875 | 0.0438 | −0.0177 | 0.1052 | 15 | 0.15 | NS |
| Position, cm | ||||||||
| n = 16 | 7.19375 | 7.169 | 0.025 | −0.0465 | 0.0965 | 15 | 0.468 | NS |
| Volume, mm3 | ||||||||
| n = 14 | 24,591.429 | 24,448 | 143.571 | −78.928 | 366.071 | 13 | 0.187 | NS |
Disclaimer/Publisher’s Note: The statements, opinions and data contained in all publications are solely those of the individual author(s) and contributor(s) and not of MDPI and/or the editor(s). MDPI and/or the editor(s) disclaim responsibility for any injury to people or property resulting from any ideas, methods, instructions or products referred to in the content. |
© 2023 by the authors. Licensee MDPI, Basel, Switzerland. This article is an open access article distributed under the terms and conditions of the Creative Commons Attribution (CC BY) license (https://creativecommons.org/licenses/by/4.0/).
Share and Cite
Kormi, E.; Peltola, E.; Lusila, N.; Heliövaara, A.; Leikola, J.; Suojanen, J. Unilateral Cleft Lip and Palate Has Asymmetry of Bony Orbits: A Retrospective Study. J. Pers. Med. 2023, 13, 1067. https://doi.org/10.3390/jpm13071067
Kormi E, Peltola E, Lusila N, Heliövaara A, Leikola J, Suojanen J. Unilateral Cleft Lip and Palate Has Asymmetry of Bony Orbits: A Retrospective Study. Journal of Personalized Medicine. 2023; 13(7):1067. https://doi.org/10.3390/jpm13071067
Chicago/Turabian StyleKormi, Eeva, Elina Peltola, Niilo Lusila, Arja Heliövaara, Junnu Leikola, and Juho Suojanen. 2023. "Unilateral Cleft Lip and Palate Has Asymmetry of Bony Orbits: A Retrospective Study" Journal of Personalized Medicine 13, no. 7: 1067. https://doi.org/10.3390/jpm13071067
APA StyleKormi, E., Peltola, E., Lusila, N., Heliövaara, A., Leikola, J., & Suojanen, J. (2023). Unilateral Cleft Lip and Palate Has Asymmetry of Bony Orbits: A Retrospective Study. Journal of Personalized Medicine, 13(7), 1067. https://doi.org/10.3390/jpm13071067

