IgG4-Related Oesophageal Disease with Cytomegalovirus Infection: A Case Report
Abstract
1. Introduction
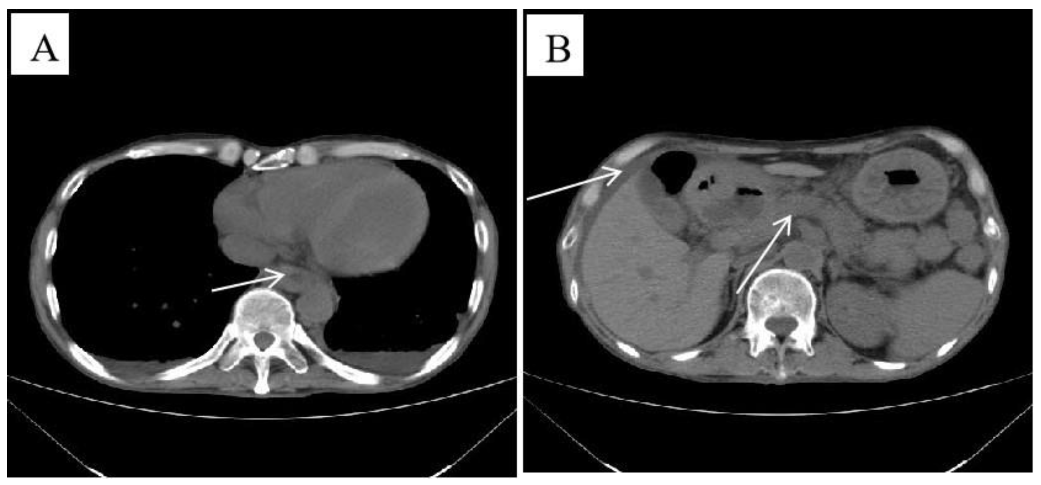
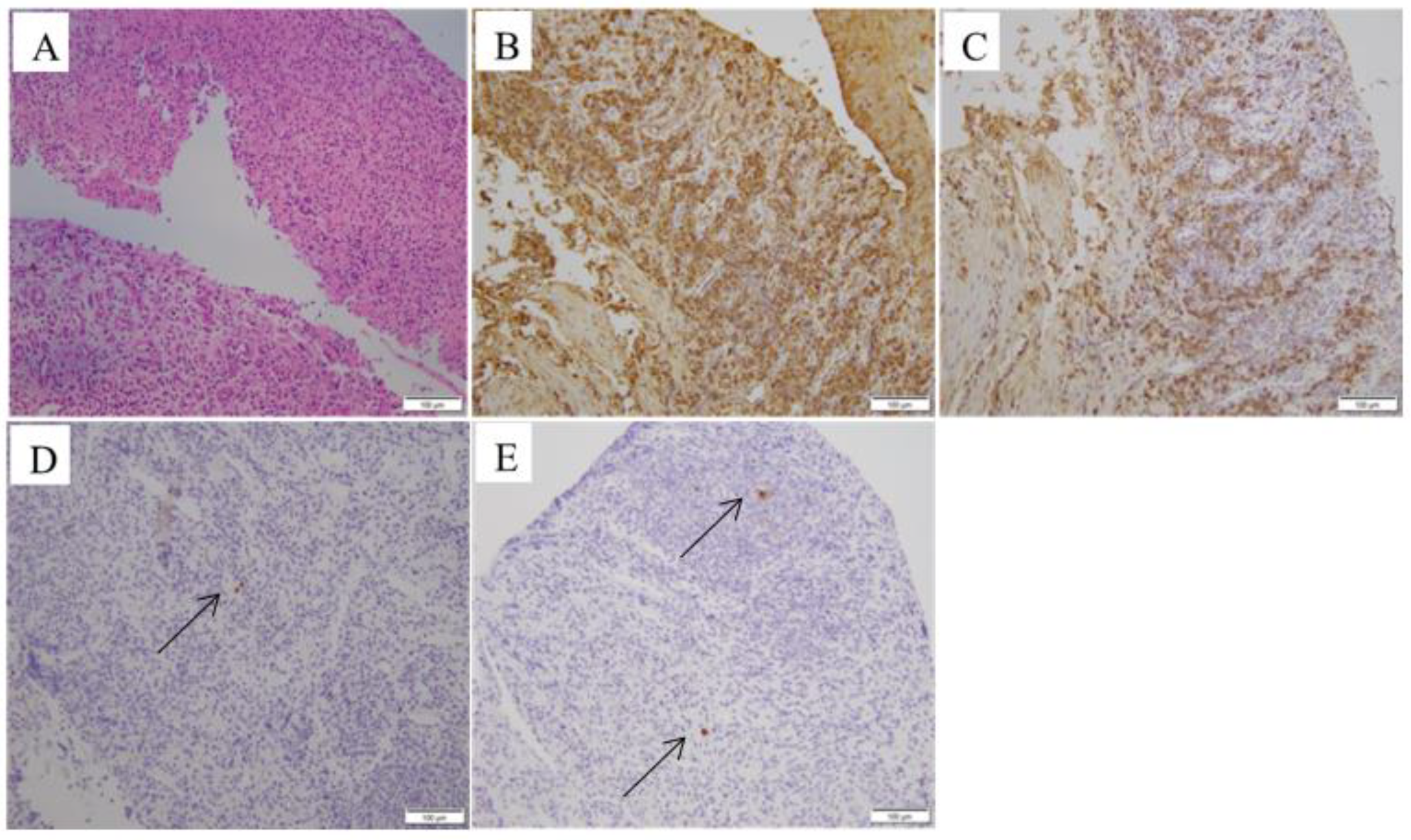
2. Case Presentation
3. Discussion
4. Conclusions
Author Contributions
Funding
Institutional Review Board Statement
Informed Consent Statement
Data Availability Statement
Acknowledgments
Conflicts of Interest
References
- Ekinci, N.; Unal Kocabey, D.; Gun, E.; Aslan, F. Giant IgG4-Related Pseudotumor of the Esophagus Resected with Endoscopic Submucosal Dissection: A Case Report and Review of the Literature. Turk. Patoloji Derg. 2021, 37, 258–263. [Google Scholar] [CrossRef] [PubMed]
- Bledsoe, J.R.; Della-Torre, E.; Rovati, L.; Deshpande, V. IgG4-related disease: Review of the histopathologic features, differential diagnosis, and therapeutic approach. APMIS 2018, 126, 459–476. [Google Scholar] [CrossRef] [PubMed]
- Jang, S.W.; Jeon, M.H.; Shin, H.D. IgG4-Related Disease with Esophageal Involvement. Case Rep. Gastroenterol. 2019, 12, 369–375. [Google Scholar] [CrossRef] [PubMed]
- Umehara, H.; Okazaki, K.; Nakamura, T.; Satoh-Nakamura, T.; Nakajima, A.; Kawano, M.; Mimori, T.; Chiba, T. Current approach to the diagnosis of IgG4-related disease-Combination of comprehensive diagnostic and organ-specific criteria. Mod. Rheumatol. 2017, 27, 381–391. [Google Scholar] [CrossRef]
- Notohara, K.; Kamisawa, T.; Uchida, K.; Zen, Y.; Kawano, M.; Kasashima, S.; Sato, Y.; Shiokawa, M.; Uehara, T.; Yoshifuji, H.; et al. Gastrointestinal manifestation of immunoglobulin G4-related disease: Clarification through a multicenter survey. J. Gastroenterol. 2018, 53, 845–853. [Google Scholar] [CrossRef]
- Della-Torre, E.; Lanzillotta, M.; Doglioni, C. Immunology of IgG4-related disease. Clin. Exp. Immunol. 2015, 181, 191–206. [Google Scholar] [CrossRef]
- Mattoo, H.; Mahajan, V.S.; Maehara, T.; Deshpande, V.; Della-Torre, E.; Wallace, Z.S.; Kulikova, M.; Drijvers, J.M.; Daccache, J.; Carruthers, M.N.; et al. Clonal expansion of CD4(+) cytotoxic T lymphocytes in patients with IgG4-related disease. J. Allergy Clin. Immunol. 2016, 138, 825–838. [Google Scholar] [CrossRef]
- Horii, M.; Matsushita, T. Regulatory B cells and T cell Regulation in Cancer. J. Mol. Biol. 2021, 433, 166685. [Google Scholar] [CrossRef] [PubMed]
- Fakhreddine, A.Y.; Frenette, C.T.; Konijeti, G.G. A Practical Review of Cytomegalovirus in Gastroenterology and Hepatology. Gastroenterol. Res. Pract. 2019, 2019, 6156581. [Google Scholar] [CrossRef]
- Yeh, P.J.; Wu, R.C.; Chen, C.M.; Chiu, C.T.; Lai, M.W.; Chen, C.C.; Kuo, C.J.; Hsu, J.T.; Su, M.Y.; Le, P.H. Risk Factors, Clinical and Endoscopic Features, and Clinical Outcomes in Patients with Cytomegalovirus Esophagitis. J. Clin. Med. 2022, 11, 1583. [Google Scholar] [CrossRef]
- Hoversten, P.; Kamboj, A.K.; Wu, T.T.; Katzka, D.A. Risk Factors, Endoscopic Features, and Clinical Outcomes of Cytomegalovirus Esophagitis Based on a 10-year Analysis at a Single Center. Clin. Gastroenterol. Hepatol. 2020, 18, 736–738. [Google Scholar] [CrossRef] [PubMed]
- Suzaki, K.; Kobayashi, K.; Matsuoka, M.; Okura, Y.; Nozaka, T.; Yauchi, M.; Watabe, T.; Matsumoto, T.; Furumoto, Y.; Horiuchi, T.; et al. A case of cytomegalovirus esophagitis during topical steroid therapy for eosinophilic esophagitis. Clin. J. Gastroenterol. 2020, 13, 1046–1050. [Google Scholar] [CrossRef]
- Marques, S.; Carmo, J.; Pinto, D.; Bispo, M.; Ramos, S.; Chagas, C. Cytomegalovirus Disease of the Upper Gastrointestinal Tract: A 10-Year Retrospective Study. GE Port. J. Gastroenterol. 2017, 24, 262–268. [Google Scholar] [CrossRef] [PubMed]
- Yoon, J.; Lee, J.; Kim, D.S.; Lee, J.W.; Hong, S.W.; Hwang, H.W.; Hwang, S.W.; Park, S.H.; Yang, D.H.; Ye, B.D.; et al. Endoscopic features and clinical outcomes of cytomegalovirus gastroenterocolitis in immunocompetent patients. Sci. Rep. 2021, 11, 6284. [Google Scholar] [CrossRef] [PubMed]
- Bernard, S.; Germi, R.; Lupo, J.; Laverrière, M.H.; Masse, V.; Morand, P.; Gavazzi, G. Symptomatic cytomegalovirus gastrointestinal infection with positive quantitative real-time PCR findings in apparently immunocompetent patients: A case series. Clin. Microbiol. Infect. 2015, 21, 1121.e1–1121.e7. [Google Scholar] [CrossRef]
- Kotton, C.N.; Kamar, N. New Insights on CMV Management in Solid Organ Transplant Patients: Prevention, Treatment, and Management of Resistant/Refractory Disease. Infect. Dis. Ther. 2023, 12, 333–342. [Google Scholar] [CrossRef]
- Sánchez-Oro, R.; Alonso-Muñoz, E.M.; Martí Romero, L. Review of IgG4-related disease. Gastroenterol. Hepatol. 2019, 42, 638–647. [Google Scholar] [CrossRef]
- Karadeniz, H.; Vaglio, A. IgG4-related disease: A contemporary review. Turk. J. Med. Sci. 2020, 50, 1616–1631. [Google Scholar] [CrossRef]
- Gravito-Soares, E.; Almeida, N. Cytomegalovirus Disease of the Upper Gastrointestinal Tract: An Emerging Infection in Immunocompetent Hosts. GE Port. J. Gastroenterol. 2017, 24, 259–261. [Google Scholar] [CrossRef]
- Sebastian, A.; Sebastian, M.; Misterska-Skóra, M.; Donizy, P.; Hałoń, A.; Chlebicki, A.; Lipiński, A.; Wiland, P. The variety of clinical presentations in IgG4-related disease in Rheumatology. Rheumatol. Int. 2018, 38, 303–309. [Google Scholar] [CrossRef]
- Khan, S.; Zhu, L.P.; Jiang, K.; Liu, W.; Chen, X.; Wang, B.M. Immunoglobulin G4-Related Disease Manifesting as Isolated, Typical, and Nontypical Gastroesophageal Lesion: A Research of Literature Review. Digestion 2020, 101, 506–521. [Google Scholar] [CrossRef]
- Wang, H.W.; Kuo, C.J.; Lin, W.R.; Hsu, C.M.; Ho, Y.P.; Lin, C.J.; Su, M.Y.; Chiu, C.T.; Wang, C.L.; Chen, K.H. The clinical characteristics and manifestations of cytomegalovirus esophagitis. Dis. Esophagus. 2016, 29, 392–399. [Google Scholar] [CrossRef] [PubMed]
- Lopes, J.; Hochwald, S.N.; Lancia, N.; Dixon, L.R.; Ben-David, K. Autoimmune esophagitis: IgG4-related tumors of the esophagus. J. Gastrointest. Surg. 2010, 14, 1031–1034. [Google Scholar] [CrossRef] [PubMed]
- Oh, J.H.; Lee, T.H.; Kim, H.S.; Jung, C.S.; Lee, J.S.; Hong, S.J.; Jin, S.Y. Esophageal Involvement of Immunoglobulin G4-Related Disease: A Case Report and Literature Review. Medicine 2015, 94, e2122. [Google Scholar] [CrossRef]
- Legatowicz-Koprowska, M. IgG4-related disease: Why is it so important? Cent. Eur. J. Immunol. 2018, 43, 204–208. [Google Scholar] [CrossRef]
- Culver, E.L.; Sadler, R.; Simpson, D.; Cargill, T.; Makuch, M.; Bateman, A.C.; Ellis, A.J.; Collier, J.; Chapman, R.W.; Klenerman, P.; et al. Elevated Serum IgG4 Levels in Diagnosis, Treatment Response, Organ Involvement, and Relapse in a Prospective IgG4-Related Disease UK Cohort. Am. J. Gastroenterol. 2016, 111, 733–743. [Google Scholar] [CrossRef] [PubMed]
- Nagata, N.; Kobayakawa, M.; Shimbo, T.; Hoshimoto, K.; Yada, T.; Gotoda, T.; Akiyama, J.; Oka, S.; Uemura, N. Diagnostic value of antigenemia assay for cytomegalovirus gastrointestinal disease in immunocompromised patients. World J. Gastroenterol. 2011, 17, 1185–1191. [Google Scholar] [CrossRef] [PubMed]
- Umehara, H.; Okazaki, K.; Kawa, S.; Takahashi, H.; Goto, H.; Matsui, S.; Ishizaka, N.; Akamizu, T.; Sato, Y.; Kawano, M.R. esearch Program for Intractable Disease by the Ministry of Health, Labor and Welfare (MHLW) Japan. The 2020 revised comprehensive diagnostic (RCD) criteria for IgG4-RD. Mod. Rheumatol. 2021, 31, 529–533. [Google Scholar] [CrossRef] [PubMed]
- Deng, X.; Fang, R.; Zhang, J.; Li, R. Multivisceral IgG4-related disease presenting as recurrent massive gastrointestinal bleeding: A case report and literature review. BMC Gastroenterol. 2018, 18, 136. [Google Scholar] [CrossRef]
- Chen, D.; Zhao, R.; Cao, W.; Zhou, W.; Jiang, Y.; Zhang, S.; Chen, Y.; Fei, G.; Li, J.; Qian, J. Clinical characteristics of cytomegalovirus gastritis: A retrospective study from a tertiary medical center. Medicine 2020, 99, e18927. [Google Scholar] [CrossRef]
- Kitagawa, K.; Okada, H.; Miyazaki, S.; Funakoshi, Y.; Sanada, Y.; Chayahara, N.; Mayahara, H.; Fujii, M. Cytomegalovirus reactivation in esophageal cancer patients receiving chemoradiotherapy: A retrospective analysis. Cancer Med. 2021, 10, 7525–7533. [Google Scholar] [CrossRef] [PubMed]




| Laboratory Tests | Result | Reference Values |
|---|---|---|
| Haemoglobin | 42 g/L | 130–175 g/L |
| Plasma albumin | 26.67 g/L | 35–52 g/L |
| Serum IgG4 | 4.05 g/L | 0–2 g/L |
| Anti-CMV IgG | 500 U/mL | <1 U/mL |
| Anti-CMV IgM | 0.26 COI | <1 |
| CMV DNA | Negative | 0–1000 copies/mL |
| Anti-HIV | 0.189 | <1 |
| T-SPOT.TB | Negative | Negative |
| Lymphocyte counts | 1167/μL | 1530–3700/μL |
| Total T lymphocyte count | 927/μL | 723–2737/μL |
| B Lymphocyte count | 50/μL | 80–616/μL |
| NK cell count | 198/μL | 84–724/μL |
| Tumour mark | Normal | Normal |
| Stool occult blood test | Positive | Negative |
| anti-SSA | Negative | Negative |
| anti-SSB | Negative | Negative |
| anti-RO-52 | Negative | Negative |
| anti-dsDNA | Negative | Negative |
| MPO-ANCA | Negative | Negative |
| PR3-ANCA | Negative | Negative |
Disclaimer/Publisher’s Note: The statements, opinions and data contained in all publications are solely those of the individual author(s) and contributor(s) and not of MDPI and/or the editor(s). MDPI and/or the editor(s) disclaim responsibility for any injury to people or property resulting from any ideas, methods, instructions or products referred to in the content. |
© 2023 by the authors. Licensee MDPI, Basel, Switzerland. This article is an open access article distributed under the terms and conditions of the Creative Commons Attribution (CC BY) license (https://creativecommons.org/licenses/by/4.0/).
Share and Cite
Zhang, B.; Lai, Y.; Xu, Y.; Wang, J.; Xu, P. IgG4-Related Oesophageal Disease with Cytomegalovirus Infection: A Case Report. J. Pers. Med. 2023, 13, 493. https://doi.org/10.3390/jpm13030493
Zhang B, Lai Y, Xu Y, Wang J, Xu P. IgG4-Related Oesophageal Disease with Cytomegalovirus Infection: A Case Report. Journal of Personalized Medicine. 2023; 13(3):493. https://doi.org/10.3390/jpm13030493
Chicago/Turabian StyleZhang, Bacui, Yuexing Lai, Yongwei Xu, Jing Wang, and Ping Xu. 2023. "IgG4-Related Oesophageal Disease with Cytomegalovirus Infection: A Case Report" Journal of Personalized Medicine 13, no. 3: 493. https://doi.org/10.3390/jpm13030493
APA StyleZhang, B., Lai, Y., Xu, Y., Wang, J., & Xu, P. (2023). IgG4-Related Oesophageal Disease with Cytomegalovirus Infection: A Case Report. Journal of Personalized Medicine, 13(3), 493. https://doi.org/10.3390/jpm13030493

