Selective Arterial Embolization of Ruptured Hepatocellular Carcinoma with N-Butyl Cyanoacrylate and Lipiodol: Safety, Efficacy, and Short-Term Outcomes
Abstract
:1. Introduction
2. Materials and Methods
2.1. Study Design and Patients
2.2. Data Collection
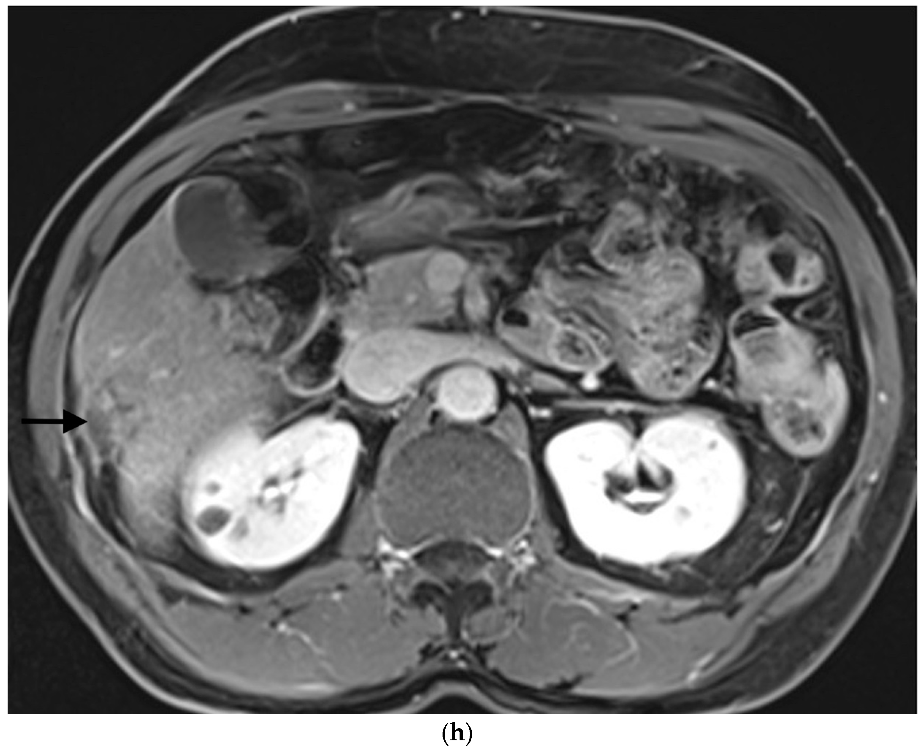
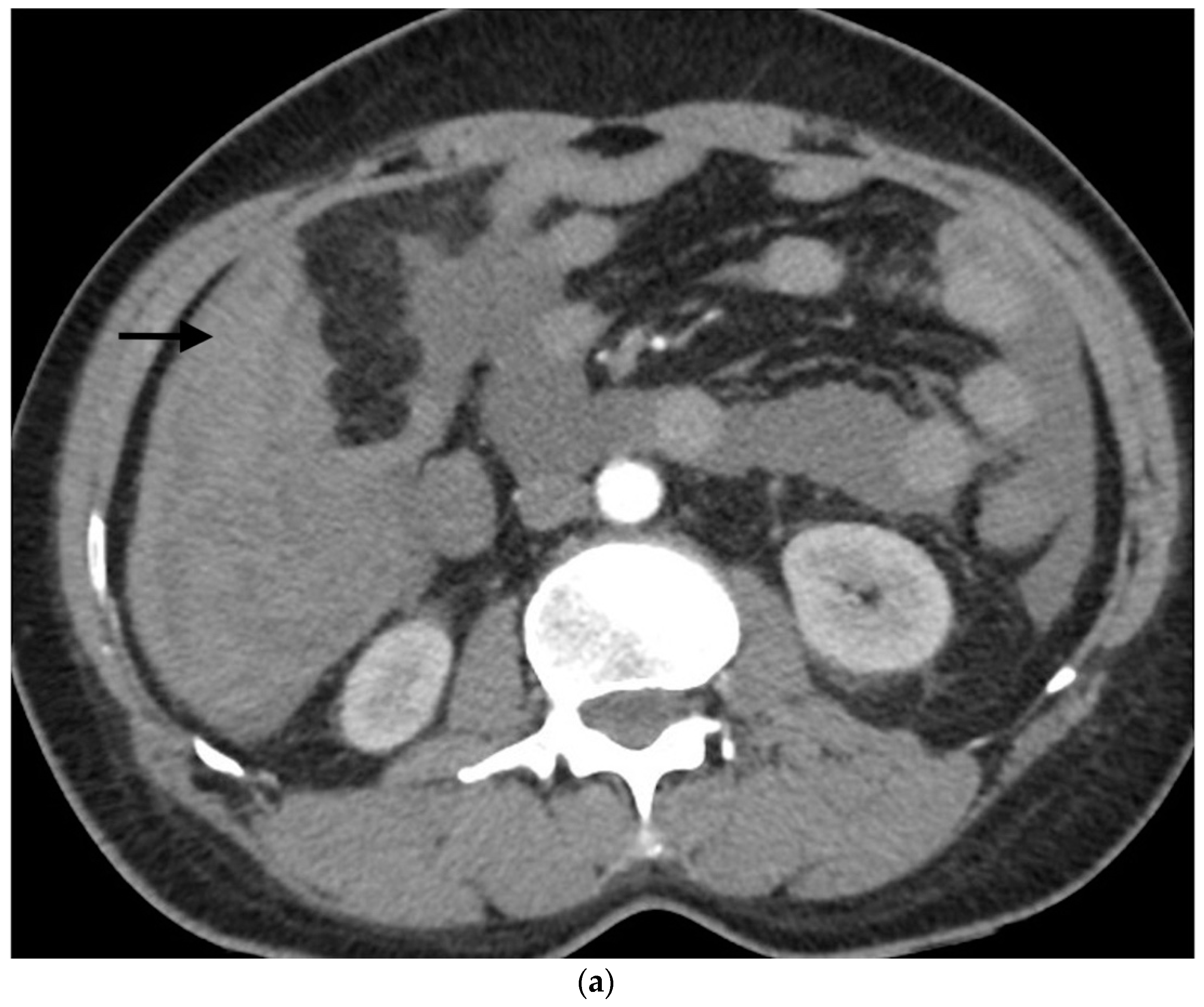
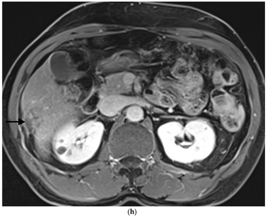
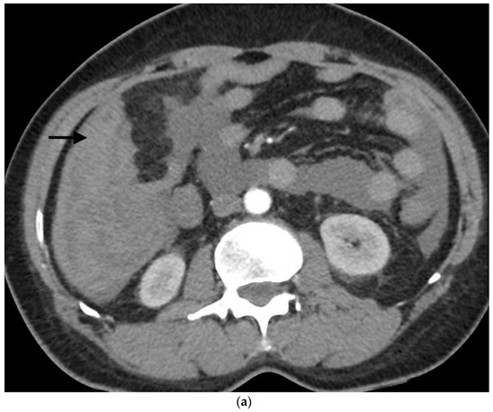
2.3. Diagnosis of Hepatocellular Carcinoma and of Rupture
2.4. Selective Arterial Embolization Procedure
2.5. Outcome Measures
2.6. Statistical Analysis
3. Results
3.1. Patients and Tumors
3.2. SAE Characteristics
3.3. Outcomes
4. Discussion
5. Conclusions
Author Contributions
Funding
Institutional Review Board Statement
Informed Consent Statement
Data Availability Statement
Conflicts of Interest
References
- McGlynn, K.A.; Petrick, J.L.; El-Serag, H.B. Epidemiology of hepatocellular carcinoma. Hepatology 2021, 73 (Suppl. 1), 4–13. [Google Scholar] [CrossRef] [PubMed]
- Petrick, J.L.; McGlynn, K.A. The changing epidemiology of primary liver cancer. Curr. Epidemiol. Rep. 2019, 6, 104–111. [Google Scholar] [CrossRef] [PubMed]
- Yang, J.D.; Hainaut, P.; Gores, G.J.; Amadou, A.; Plymoth, A.; Roberts, L.R. A global view of hepatocellular carcinoma: Trends, risk, prevention and management. Nat. Rev. Gastroenterol. Hepatol. 2019, 16, 589–604. [Google Scholar] [CrossRef] [PubMed]
- Obeidat, A.E.; Wong, L.L. Spontaneous rupture of hepatocellular carcinoma: New insights. J. Clin. Exp. Hepatol. 2022, 12, 483–491. [Google Scholar] [CrossRef]
- Wang, P.; Moses, A.S.; Li, C.; Chen, S.; Qi, X.; Xu, K.; Shao, H.B.; Han, X.J. Prognosis factors of predicting survival in spontaneously ruptured hepatocellular carcinoma. Hepatol. Int. 2022, 16, 1330–1338. [Google Scholar] [CrossRef]
- Zhang, S.Y.; Guo, D.Z.; Zhang, X.; Fan, J.; Zhou, J.; Huang, A. Prognosis of spontaneously ruptured hepatocellular carcinoma: A propensity score matching study. J. Cancer Res. Clin. Oncol. 2023, 149, 8889–8896. [Google Scholar] [CrossRef]
- Chidambaranathan-Reghupaty, S.; Fisher, P.B.; Sarkar, D. Hepatocellular carcinoma (HCC): Epidemiology, etiology and molecular classification. Adv. Cancer Res. 2021, 149, 1–61. [Google Scholar] [CrossRef]
- Sahu, S.K.; Chawla, Y.K.; Dhiman, R.K.; Singh, V.; Duseja, A.; Taneja, S.; Kalra, N.; Gorsi, U. Rupture of hepatocellular carcinoma: A review of literature. J. Clin. Exp. Hepatol. 2019, 9, 245–256. [Google Scholar] [CrossRef]
- Chen, C.Y.; Lin, X.Z.; Shin, J.S.; Lin, C.Y.; Leow, T.C.; Chang, T.T. Spontaneous rupture of hepatocellular carcinoma. A review of 141 Taiwanese cases and comparison with nonrupture cases. J. Clin. Gastroenterol. 1995, 21, 238–242. [Google Scholar] [CrossRef]
- Li, J.; Huang, L.; Liu, C.F.; Cao, J.; Yan, J.J.; Xu, F.; Wu, M.C.; Yan, Y.Q. Risk factors and surgical outcomes for spontaneous rupture of BCLC stages A and B hepatocellular carcinoma: A case-control study. World J. Gastroenterol. 2014, 20, 9121–9127. [Google Scholar] [CrossRef]
- Zhu, L.X.; Geng, X.P.; Fan, S.T. Spontaneous rupture of hepatocellular carcinoma and vascular injury. Arch. Surg. 2001, 136, 682–687. [Google Scholar] [CrossRef] [PubMed]
- Sandomenico, F.; Arpaia, V.; De Rosa, F.; Catalano, O.; Buonaiuto, R.A.; Notarangelo, M.; Iovino, M.; Giovine, S.; Brunetti, A.; Scaglione, M. Spontaneously ruptured hepatocellular carcinoma: Computed tomography-based assessment. Diagnostics 2023, 13, 1021. [Google Scholar] [CrossRef]
- Singhal, M.; Sinha, U.; Kalra, N.; Duseja, A.; Khandelwal, N. Enucleation sign: A computed tomographic appearance of ruptured hepatocellular carcinoma. J. Clin. Exp. Hepatol. 2016, 6, 335–336. [Google Scholar] [CrossRef] [PubMed]
- Yan, J.; Li, T.; Deng, M.; Fan, H. Ruptured hepatocellular carcinoma: What do interventional radiologists need to know? Front. Oncol. 2022, 12, 927123. [Google Scholar] [CrossRef] [PubMed]
- Zhong, F.; Cheng, X.S.; He, K.; Sun, S.B.; Zhou, J.; Chen, H.M. Treatment outcomes of spontaneous rupture of hepatocellular carcinoma with hemorrhagic shock: A multicenter study. Springerplus 2016, 5, 1101. [Google Scholar] [CrossRef] [PubMed]
- Xu, X.; Chen, C.; Liu, Q.; Huang, X. A Meta-analysis of TAE/TACE versus emergency surgery in the treatment of ruptured HCC. Cardiovasc. Intervent. Radiol. 2020, 43, 1263–1276. [Google Scholar] [CrossRef] [PubMed]
- Yoshida, H.; Mamada, Y.; Taniai, N.; Uchida, E. Spontaneous ruptured hepatocellular carcinoma. Hepatol. Res. 2016, 46, 13–21. [Google Scholar] [CrossRef]
- Park, J.; Jeong, Y.S.; Suh, Y.S.; Kim, H.C.; Chung, J.W.; Choi, J.W. Clinical course and role of embolization in patients with spontaneous rupture of hepatocellular carcinoma. Front. Oncol. 2022, 12, 999557. [Google Scholar] [CrossRef]
- Zhang, W.; Huang, Z.; Che, X. Emergency versus delayed hepatectomy following transarterial embolization in spontaneously ruptured hepatocellular carcinoma survivors: A systematic review and meta-analysis. World J. Surg. Oncol. 2022, 20, 365. [Google Scholar] [CrossRef]
- Deng, Z.; Wang, Y. Predictors of liver failure after transarterial chemoembolization in patients with spontaneously ruptured hepatocellular carcinoma: A retrospective study. J. Interv. Med. 2023, 6, 35–40. [Google Scholar] [CrossRef]
- Zhou, C.; Zu, Q.Q.; Liu, X.L.; Wang, B.; Zhou, C.G.; Shi, H.B.; Liu, S. Treatment strategies and prognosis for initially unresectable ruptured hepatocellular carcinoma: A single-center experience in 94 patients. Diagn. Interv. Radiol. 2020, 26, 223–229. [Google Scholar] [CrossRef] [PubMed]
- Pan, T.; Gao, F.; Huang, X.; Xu, X. Transarterial embolization followed by staged hepatectomy versus emergency hepatectomy for ruptured HCC: A meta-analysis. Clin. Transl. Oncol. 2023. ahead of print. [Google Scholar] [CrossRef] [PubMed]
- Conticchio, M.; Delvecchio, A.; Ferraro, V.; Stasi, M.; Casella, A.; Chetta, N.; De Marinis, E.; Madaro, A.; Raele, M.; Filippo, R.; et al. Robotic emergency liver resection of ruptured hepatocellular carcinoma. Int. J. Med. Robot. 2023, 19, e2537. [Google Scholar] [CrossRef] [PubMed]
- Wang, W.; Meng, T.; Chen, Y.; Xu, Y.C.; Zhao, Y.J.; Zhang, Y.; Yang, M.Y.; Zhang, Z.H.; Huang, F.; Zhao, H.C.; et al. Propensity score matching study of 325 patients with spontaneous rupture of hepatocellular carcinoma. Hepatobiliary Surg. Nutr. 2022, 11, 808–821. [Google Scholar] [CrossRef]
- Kung, C.T.; Liu, B.M.; Ng, S.H.; Lee, T.Y.; Cheng, Y.F.; Chen, M.C.; Ko, S.F. Transcatheter arterial embolization in the emergency department for hemodynamic instability due to ruptured hepatocellular carcinoma: Analysis of 167 cases. AJR Am. J. Roentgenol. 2008, 191, W231–W239. [Google Scholar] [CrossRef]
- Lai, E.C.H.; Lau, W.Y. Spontaneous rupture of hepatocellular carcinoma: A systematic review. Arch. Surg. 2006, 141, 191–198. [Google Scholar] [CrossRef]
- Zhou, C.; Zu, Q.Q.; Wang, B.; Zhou, C.G.; Shi, H.B.; Liu, S. Efficacy and prognostic factors of transarterial embolization as initial treatment for spontaneously ruptured hepatocellular carcinoma: A single-center retrospective analysis in 57 patients. Jpn. J. Radiol. 2019, 37, 255–263. [Google Scholar] [CrossRef]
- Shin, B.S.; Park, M.H.; Jeon, G.S. Outcome and prognostic factors of spontaneous ruptured hepatocellular carcinoma treated with transarterial embolization. Acta Radiol. 2011, 52, 331–335. [Google Scholar] [CrossRef]
- Cheng, Y.T.; Teng, W.; Lui, K.W.; Hsieh, Y.C.; Chen, W.T.; Huang, C.H.; Jeng, W.J.; Hung, C.F.; Lin, C.C.; Lin, C.Y.; et al. MELD score is the better predictor for 30-day mortality in patients with ruptured hepatocellular carcinoma treated by trans-arterial embolization. Am. J. Cancer Res. 2021, 11, 3726–3734. [Google Scholar]
- Bakopoulos, A.; Koliakos, N.; Tsilimigras, D.I.; Schizas, D.; Moris, D.; Angelopoulos, A.; Spanakos, S.; Spartalis, E.; Patapis, P.; Skandalakis, P.; et al. Management of ruptured liver segment IV hepatocellular carcinoma: Is transarterial embolization (TAE) superior to chemoembolization (TACE)?—The jury is still out. Ann. Transl. Med. 2018, 6, 272. [Google Scholar] [CrossRef]
- Comby, P.O.; Guillen, K.; Chevallier, O.; Lenfant, M.; Pellegrinelli, J.; Falvo, N.; Midulla, M.; Loffroy, R. Endovascular use of cyanoacrylate-lipiodol mixture for peripheral embolization: Properties, techniques, pitfalls, and applications. J. Clin. Med. 2021, 10, 4320. [Google Scholar] [CrossRef] [PubMed]
- Bardin, F.; Chevallier, O.; Bertaut, A.; Delorme, E.; Moulin, M.; Pottecher, P.; Di Marco, L.; Gehin, S.; Mourey, E.; Cormier, L.; et al. Selective arterial embolization of symptomatic and asymptomatic renal angiomyolipomas: A retrospective study of safety, outcomes and tumor size reduction. Quant. Imaging Med. Surg. 2017, 7, 8–23. [Google Scholar] [CrossRef] [PubMed]
- Lopez, O.; Chevallier, O.; Guillen, K.; Comby, P.O.; Pellegrinelli, J.; Tinel, C.; Falvo, N.; Midulla, M.; Mourey, E.; Loffroy, R. Selective arterial embolization with n-butyl cyanoacrylate prior to ct-guided percutaneous cryoablation of kidney malignancies: A single-center experience. J. Clin. Med. 2021, 10, 4986. [Google Scholar] [CrossRef]
- Prigent, F.V.; Guillen, K.; Comby, P.O.; Pellegrinelli, J.; Falvo, N.; Midulla, M.; Majbri, N.; Chevallier, O.; Loffroy, R. Selective arterial embolization of renal angiomyolipomas with a N-butyl cyanoacrylate-Lipiodol mixture: Efficacy, safety, short- and mid-term outcomes. J. Clin. Med. 2021, 10, 4062. [Google Scholar] [CrossRef] [PubMed]
- American College of Radiology. CT/MRI Liver Imaging Reporting and Data System Version 2018. Available online: https://www.acr.org/Clinical-Resources/Reporting-and-Data-Systems/LI-RADS (accessed on 1 July 2023).
- Kim, H.C.; Yang, D.M.; Jin, W.; Park, S.J. The various manifestations of ruptured hepatocellular carcinoma: CT imaging findings. Abdom. Imaging 2008, 33, 633–642. [Google Scholar] [CrossRef] [PubMed]
- Sacks, D.; McClenny, T.E.; Cardella, J.F.; Lewis, C.A. Society of Interventional Radiology clinical practice guidelines. J. Vasc. Interv. Radiol. 2003, 14, S199–S202. [Google Scholar] [CrossRef] [PubMed]
- Qiu, Y.; Wang, T.; Yang, X.; Shen, S.; Yang, Y.; Wang, W. Development and validation of artificial neural networks for survival prediction model for patients with spontaneous hepatocellular carcinoma rupture after transcatheter arterial embolization. Cancer Manag. Res. 2021, 13, 7463–7477. [Google Scholar] [CrossRef]
- Hsueh, K.C.; Fan, H.L.; Chen, T.W.; Chan, D.C.; Yu, J.C.; Tsou, S.S.; Chang, T.M.; Hsieh, C.B. Management of spontaneously ruptured hepatocellular carcinoma and hemoperitoneum manifested as acute abdomen in the emergency room. World J. Surg. 2012, 36, 2670–2676. [Google Scholar] [CrossRef]
- Zhang, D.Z.; Zhang, K.; Wang, X.P.; Cai, H. Patients with spontaneously ruptured hepatocellular carcinoma benefit from staged surgical resection after successful transarterial embolization. Asian Pac. J. Cancer Prev. 2015, 16, 315–319. [Google Scholar] [CrossRef]
- Loewe, C.; Cejna, M.; Schoder, M.; Thurnher, M.M.; Lammer, J.; Thurnher, S.A. Arterial embolization of unresectable hepatocellular carcinoma with use of cyanoacrylate and lipiodol. J. Vasc. Interv. Radiol. 2002, 13, 61–69. [Google Scholar] [CrossRef]
- Berghammer, P.; Pfeffel, F.; Winkelbauer, F.; Wiltschke, C.; Schenk, T.; Lammer, J.; Müller, C.; Zielinski, C. Arterial hepatic embolization of unresectable hepatocellular carcinoma using a cyanoacrylate/lipiodol mixture. Cardiovasc. Intervent. Radiol. 1998, 21, 214–218. [Google Scholar] [CrossRef] [PubMed]
- Huang, Y.S.; Chang, C.C.; Liou, J.M.; Jaw, F.S.; Liu, K.L. Transcatheter arterial embolization with N-butyl cyanoacrylate for nonvariceal upper gastrointestinal bleeding in hemodynamically unstable patients: Results and predictors of clinical outcomes. J. Vasc. Interv. Radiol. 2014, 25, 1850–1857. [Google Scholar] [CrossRef] [PubMed]
- Loffroy, R.; Guiu, B. Role of transcatheter arterial embolization for massive bleeding from gastroduodenal ulcers. World J. Gastroenterol. 2009, 15, 5889–5897. [Google Scholar] [CrossRef] [PubMed]
- Loffroy, R.; Falvo, N.; Nakai, M.; Pescatori, L.; Aho-Gléglé, S.; Gehin, S.; Berthod, P.E.; Né, R.; Vincent, J.; Ghiringhelli, F.; et al. Partial splenic embolization with Glubran®2/Lipiodol® mixture for oncological patients with hypersplenism-related thrombocytopenia requiring systemic chemotherapy. Quant. Imaging Med. Surg. 2019, 9, 409–417. [Google Scholar] [CrossRef]
- Vinters, H.V.; Galil, K.A.; Lundie, M.J.; Kaufmann, J.C. The histotoxicity of cyanoacrylates. A selective review. Neuroradiology 1985, 27, 279–291. [Google Scholar] [CrossRef]
- Loffroy, R.; Guillen, K.; Comby, P.O.; Chevallier, O. Prostate artery embolization for benign prostatic hyperplasia: Rationale for the use of N-butyl cyanoacrylate glue as an embolic agent. Cardiovasc. Intervent. Radiol. 2022, 45, 824–825. [Google Scholar] [CrossRef]
- Chevallier, O.; Comby, P.O.; Guillen, K.; Pellegrinelli, J.; Mouillot, T.; Falvo, N.; Bardou, M.; Midulla, M.; Aho-Glélé, S.; Loffroy, R. Efficacy, safety and outcomes of transcatheter arterial embolization with N-butyl cyanoacrylate glue for non-variceal gastrointestinal bleeding: A systematic review and meta-analysis. Diagn. Interv. Imaging 2021, 102, 479–487. [Google Scholar] [CrossRef]





| Features | Data |
|---|---|
| Males/Females, n (%) | 14 (88)/2 (12) |
| Age, years, mean ± SD | 72.0 ± 9.3 |
| Multifocal HCC, n (%) | 7 (44) |
| Clinical presentation of rHCC, n (%) | |
| Acute abdominal pain | 15 (94) |
| Symptoms of acute anemia | 15 (94) |
| Hemodynamic shock | 3 (19) |
| Chronic liver disease, n (%) | 12 (75) |
| Liver cirrhosis | 12 (75) |
| Child-Pugh A | 4 (25) |
| Child-Pugh B | 5 (38) |
| Child-Pugh C | 3 (19) |
| NASH | 1 (6) |
| Chronic alcohol abuse | 8 (50) |
| HBV | 1 (6) |
| HCV | 0 (0) |
| Laboratory data at presentation | |
| Hemoglobin, g/dL, median [IQR] | 9.6 [7.6–11.2] |
| Platelet count, G/L, median [IQR] | 155 (127–172] |
| Platelets < 50 G/L, n (%) | 0 (0) |
| Prothrombin ratio, median [IQR] | 70 (59–82] |
| Prothrombin ratio < 50%, n (%) | 1 (6.3) |
| Chronic antiplatelet/anticoagulant treatment, n (%) | |
| Anticoagulant therapy | 2 (13) a |
| Antiplatelet therapy | 4 (25) b |
| Features of the Tumors | Data |
|---|---|
| Location, n (%) | |
| Subcapsular | 16 (100) |
| Side | |
| Left liver | 6 (38) |
| Right liver | 10 (62) |
| Largest diameter, cm | |
| Mean ± SD | 5.2 ± 2.6 |
| Median [IQR] | 4.5 [3.6–10.5] |
| CT features | |
| Hemoperitoneum | 14 (88) |
| Subcapsular hematoma | 2 (13) |
| Parenchymal hematoma | 2 (13) |
| Extravasation of contrast medium | 8 (50) |
| Enucleation sign | 0 (0) |
| Features | Data |
|---|---|
| Number (%) of patients with | |
| 1 embolized segment | 12 (75) |
| 2 embolized segments | 2 (13) |
| 3 embolized segments | 1 (6) |
| Contrast medium extravasation during SAE, n (%) of patients | 9 (56) |
| Number (%) of patients a with | |
| 1 embolic agent injection site | 7 (50) |
| 2 embolic agent injection sites | 4 (29) |
| 3 embolic agent injection sites | 3 (21) |
| Type of cyanoacrylate glue, n (%) of patients | |
| Glubran®2 b | 15 (94) |
| MagicGlue® c | 1 (6) |
| NBCA/LUF ratio, n (%) of patients d | |
| 1:2 | 3 (20) |
| 1:3 | 2 (13) |
| 1:4 | 2 (13) |
| 1:5 | 7 (47) |
| 1:6 | 1 (7) |
| Technical success e | 15 (94) |
| Outcomes | Data |
|---|---|
| Rebleeding within 30 days, n (%) | 1 (6) |
| Died within 30 days, n (%) | 3 (19) |
| Serum creatinine level, µmol/L, mean ± SD | |
| Just before STAE | 125.0 ± 131.4 |
| 48 h after STAE | 119.5 ± 99.9 |
| Serum hemoglobin level, g/dL, mean ± SD | |
| Just before STAE | 9.7 ± 2.1 |
| 48 h after STAE | 9.3 ± 1.1 |
| Serum AST level, IU/L, mean ± SD | |
| Just before STAE | 89.8 ± 79.0 |
| 48 h after STAE | 1260.7 ± 1389.4 |
| 30 days after STAE | 118.1 ± 115.2 |
| Serum ALT level, IU/L, mean ± SD | |
| Just before STAE | 88.3 ± 78.0 |
| 48 h after STAE | 760.8 ± 848.4 |
| 30 days after STAE | 88.3 ± 63.3 |
| Serum AP level, IU/L, mean ± SD | |
| Just before STAE | 103.3 ± 41.7 |
| 48 h after STAE | 124.8 ± 121.8 |
| 30 days after STAE | 114.3 ± 36.1 |
| Serum GGT level, IU/L, mean ± SD | |
| Just before STAE | 248.1 ± 180.1 |
| 48 h after STAE | 201.1 ± 163.2 |
| 30 days after STAE | 208.3 ± 87.5 |
Disclaimer/Publisher’s Note: The statements, opinions and data contained in all publications are solely those of the individual author(s) and contributor(s) and not of MDPI and/or the editor(s). MDPI and/or the editor(s) disclaim responsibility for any injury to people or property resulting from any ideas, methods, instructions or products referred to in the content. |
© 2023 by the authors. Licensee MDPI, Basel, Switzerland. This article is an open access article distributed under the terms and conditions of the Creative Commons Attribution (CC BY) license (https://creativecommons.org/licenses/by/4.0/).
Share and Cite
Cali, J.; Chevallier, O.; Guillen, K.; Latournerie, M.; Mazit, A.; Aho-Glélé, L.S.; Loffroy, R. Selective Arterial Embolization of Ruptured Hepatocellular Carcinoma with N-Butyl Cyanoacrylate and Lipiodol: Safety, Efficacy, and Short-Term Outcomes. J. Pers. Med. 2023, 13, 1581. https://doi.org/10.3390/jpm13111581
Cali J, Chevallier O, Guillen K, Latournerie M, Mazit A, Aho-Glélé LS, Loffroy R. Selective Arterial Embolization of Ruptured Hepatocellular Carcinoma with N-Butyl Cyanoacrylate and Lipiodol: Safety, Efficacy, and Short-Term Outcomes. Journal of Personalized Medicine. 2023; 13(11):1581. https://doi.org/10.3390/jpm13111581
Chicago/Turabian StyleCali, Jory, Olivier Chevallier, Kévin Guillen, Marianne Latournerie, Amin Mazit, Ludwig Serge Aho-Glélé, and Romaric Loffroy. 2023. "Selective Arterial Embolization of Ruptured Hepatocellular Carcinoma with N-Butyl Cyanoacrylate and Lipiodol: Safety, Efficacy, and Short-Term Outcomes" Journal of Personalized Medicine 13, no. 11: 1581. https://doi.org/10.3390/jpm13111581
APA StyleCali, J., Chevallier, O., Guillen, K., Latournerie, M., Mazit, A., Aho-Glélé, L. S., & Loffroy, R. (2023). Selective Arterial Embolization of Ruptured Hepatocellular Carcinoma with N-Butyl Cyanoacrylate and Lipiodol: Safety, Efficacy, and Short-Term Outcomes. Journal of Personalized Medicine, 13(11), 1581. https://doi.org/10.3390/jpm13111581

