Respiratory Complications and Weaning Considerations for Patients with Spinal Cord Injuries: A Narrative Review
Abstract
1. Introduction
2. Pathophysiology of Respiratory Complications in SCI
3. Predicting Respiratory Complications in SCI
4. Treatment Considerations for Respiratory Complications of SCI
5. Ventilator Weaning Strategies
6. Cases Demonstrating Key Aspects of Respiratory Complications and Weaning in SCI
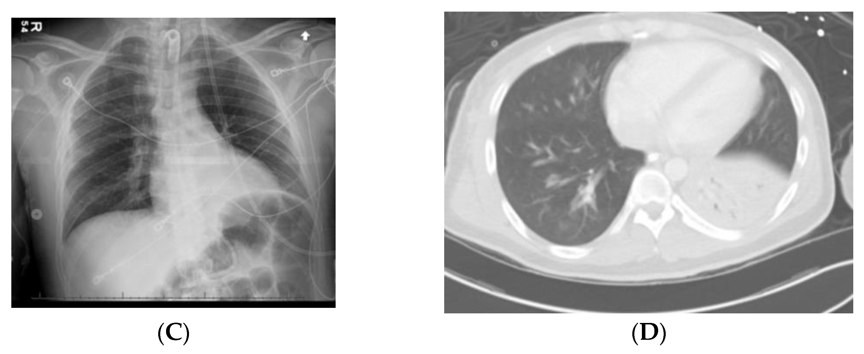
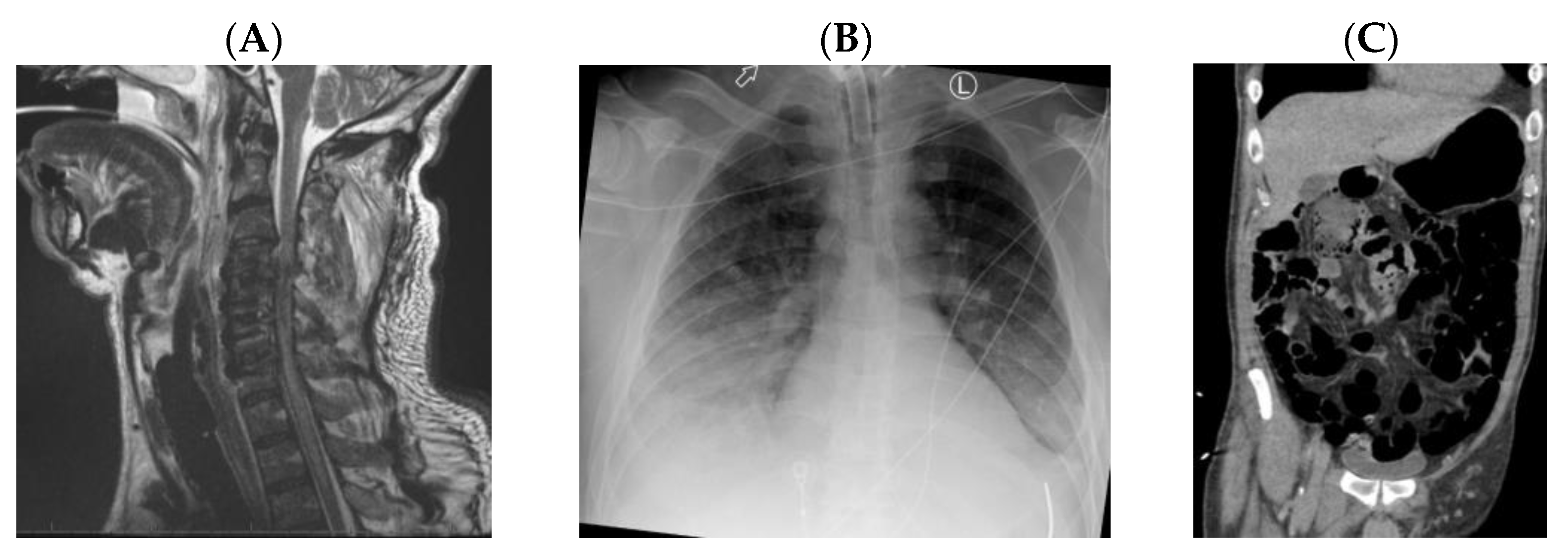
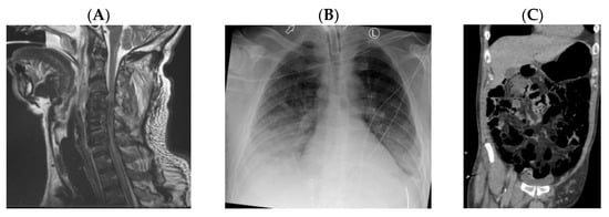
6.1. Case 1
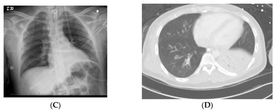
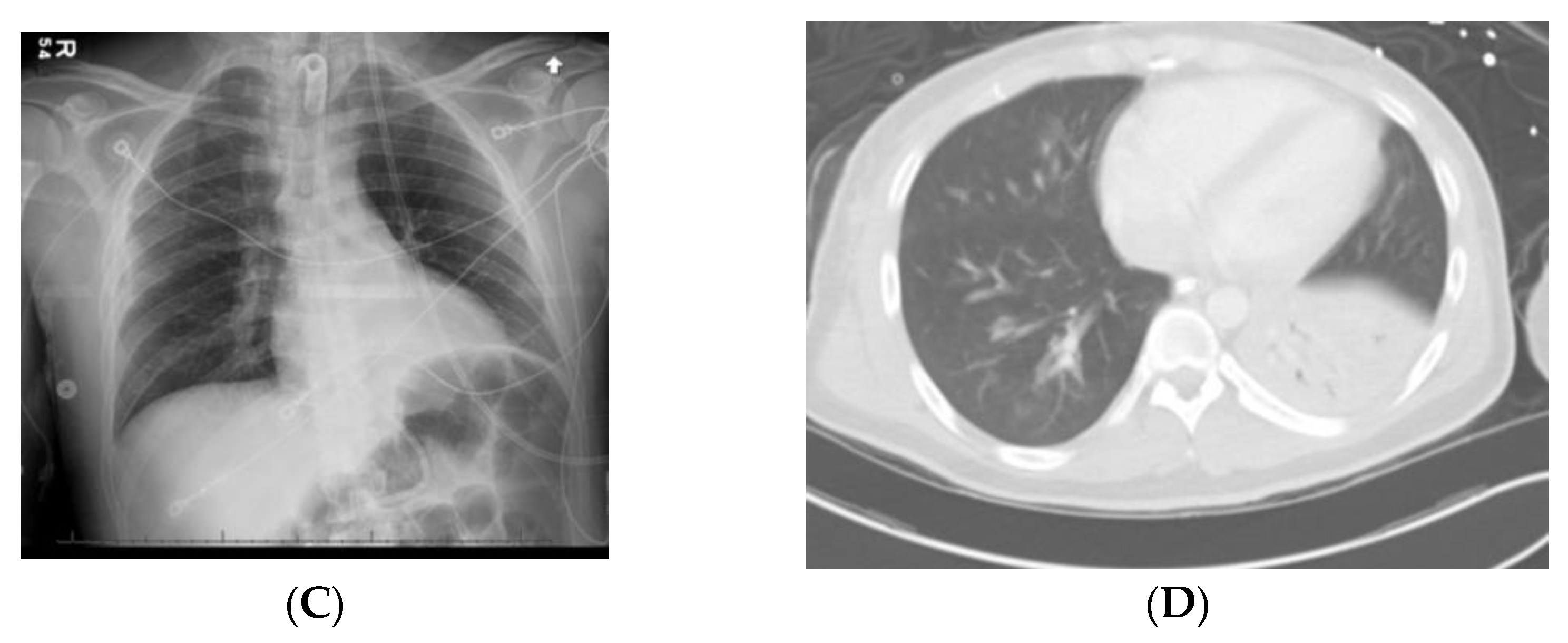
6.2. Case 2
7. Future Directions
8. Conclusions
Author Contributions
Funding
Institutional Review Board Statement
Informed Consent Statement
Data Availability Statement
Conflicts of Interest
References
- McGrath, R.; Hall, O.; Peterson, M.; DeVivo, M.; Heinemann, A.; Kalpakjian, C. The association between the etiology of a spinal cord injury and time to mortality in the United States: A 44-year investigation. J. Spinal Cord Med. 2019, 42, 444–452. [Google Scholar] [CrossRef] [PubMed]
- Higashi, T.; Eguchi, H.; Wakayama, Y.; Sumi, M.; Saito, T.M. Risk factors associated with mortality after traumatic cervical spinal cord injury. OTA Int. 2018, 1, e003. [Google Scholar] [CrossRef] [PubMed]
- Sengupta, D.; Bindra, A.; Kumar, N.; Goyal, K.; Singh, P.K.; Chaturvedi, A.; Malhotra, R.; Mishra, A.K. Respiratory morbidity and mortality of traumatic cervical spinal cord injury at a level I trauma center in India. Spinal Cord Ser. Cases 2021, 7, 36. [Google Scholar] [CrossRef] [PubMed]
- Josefson, C.; Rekand, T.; Lundgren-Nilsson, Å.; Sunnerhagen, K.S. Respiratory complications during initial rehabilitation and survival following spinal cord injury in Sweden: A retrospective study. Spinal Cord 2021, 59, 659–664. [Google Scholar] [CrossRef]
- Aarabi, B.; Harrop, J.S.; Tator, C.H.; Alexander, M.; Dettori, J.R.; Grossman, R.G.; Fehlings, M.G.; Mirvis, S.E.; Shanmuganathan, K.; Zacherl, K.M.; et al. Predictors of pulmonary complications in blunt traumatic spinal cord injury. J. Neurosurg. Spine 2012, 17 (Suppl. 1), 38–45. [Google Scholar] [CrossRef] [PubMed]
- Sampol, J.; González-Viejo, M.; Gómez, A.; Martí, S.; Pallero, M.; Rodríguez, E.; Launois, P.; Sampol, G.; Ferrer, J. Predictors of respiratory complications in patients with C5–T5 spinal cord injuries. Spinal Cord 2020, 58, 1249–1254. [Google Scholar] [CrossRef] [PubMed]
- Ravensbergen, H.J.; de Groot, S.; Post, M.W.; Slootman, H.J.; van der Woude, L.H.; Claydon, V.E. Cardiovascular function after spinal cord injury: Prevalence and progression of dysfunction during inpatient rehabilitation and 5 years following discharge. Neurorehabil. Neural. Repair. 2014, 28, 219–229. [Google Scholar] [CrossRef]
- Xie, Y.; Wang, Y.; Zhou, Y.; Liu, M.; Li, S.; Bao, Y.; Jiang, W.; Tang, S.; Li, F.; Xue, H.; et al. A Nomogram for Predicting Acute Respiratory Failure After Cervical Traumatic Spinal Cord Injury Based on Admission Clinical Findings. Neurocrit. Care 2022, 36, 421–433. [Google Scholar] [CrossRef]
- Hayashi, T.; Fujiwara, Y.; Kawano, O.; Yamamoto, Y.; Kubota, K.; Sakai, H.; Masuda, M.; Morishita, Y.; Kobayakawa, K.; Yokota, K.; et al. Incidence and risk factors of pneumonia following acute traumatic cervical spinal cord injury. J. Spinal Cord Med. 2022, 1–7, ahead of print. [Google Scholar] [CrossRef]
- Jones, T.S.; Burlew, C.C.; Johnson, J.L.; Jones, E.; Kornblith, L.Z.; Biffl, W.L.; Stovall, R.T.; Pieracci, F.M.; Stahel, P.F.; Moore, E.E. Predictors of the necessity for early tracheostomy in patients with acute cervical spinal cord injury: A 15-year experience. Am. J. Surg. 2015, 209, 363–368. [Google Scholar] [CrossRef]
- Liebscher, T.; Niedeggen, A.; Estel, B.; Seidl, R.O. Airway complications in traumatic lower cervical spinal cord injury: A retrospective study. J. Spinal Cord Med. 2015, 38, 607–614. [Google Scholar] [CrossRef] [PubMed]
- Menaker, J.; Kufera, J.A.; Glaser, J.; Stein, D.M.; Scalea, T.M. Admission ASIA motor score predicting the need for tracheostomy after cervical spinal cord injury. J. Trauma Acute Care Surg. 2013, 75, 629–634. [Google Scholar] [CrossRef] [PubMed]
- Nakashima, H.; Yukawa, Y.; Imagama, S.; Ito, K.; Hida, T.; Machino, M.; Kanbara, S.; Morita, D.; Hamajima, N.; Ishiguro, N.; et al. Characterizing the need for tracheostomy placement and decannulation after cervical spinal cord injury. Eur. Spine J. 2013, 22, 1526–1532. [Google Scholar] [CrossRef] [PubMed]
- Leelapattana, P.; Fleming, J.C.; Gurr, K.R.; Bailey, S.I.; Parry, N.; Bailey, C.S. Predicting the need for tracheostomy in patients with cervical spinal cord injury. J. Trauma Acute Care Surg. 2012, 73, 880–884. [Google Scholar] [CrossRef] [PubMed]
- Long, P.; Sun, D.; Zhang, Z. Risk Factors for Tracheostomy after Traumatic Cervical Spinal Cord Injury: A 10-Year Study of 456 Patients. Orthop. Surg. 2022, 14, 10–17. [Google Scholar] [CrossRef] [PubMed]
- Mu, Z.; Zhang, Z. Risk factors for tracheostomy after traumatic cervical spinal cord injury. J. Orthop. Surg. 2019, 27, 2309499019861809. [Google Scholar] [CrossRef] [PubMed]
- Sun, D.; Zhao, H.; Zhang, Z. Classification and regression tree (CART) model to assist clinical prediction for tracheostomy in patients with traumatic cervical spinal cord injury: A 7-year study of 340 patients. Eur. Spine J. 2022, 31, 1283–1290. [Google Scholar] [CrossRef]
- Schilero, G.J.; Bauman, W.A.; Radulovic, M. Traumatic Spinal Cord Injury: Pulmonary Physiologic Principles and Management. Clin. Chest Med. 2018, 39, 411–425. [Google Scholar] [CrossRef]
- Rogers, W.K.; Todd, M. Acute spinal cord injury. Best Pract. Res. Clin. Anaesthesiol. 2016, 30, 27–39. [Google Scholar] [CrossRef]
- Wilson, M.; Nickels, M.; Wadsworth, B.; Kruger, P.; Semciw, A. Acute cervical spinal cord injury and extubation failure: A systematic review and meta-analysis. Aust. Crit. Care 2020, 33, 97–105. [Google Scholar] [CrossRef]
- Scantling, D.; Granche, J.; Williamson, J.; Gracely, E.; Thosani, D.; McCracken, B. Development of clinical tracheostomy score to identify cervical spinal cord injury patients requiring prolonged ventilator support. J. Trauma Acute Care Surg. 2019, 87, 195–199. [Google Scholar] [CrossRef]
- Sankari, A.; Vaughan, S.; Bascom, A.; Martin, J.L.; Badr, M.S. Sleep-Disordered Breathing and Spinal Cord Injury: A State-of-the-Art Review. Chest 2019, 155, 438–445. [Google Scholar] [CrossRef] [PubMed]
- Verma, A.; Sim, W.Y.; Tai, D.Y.; Goh, S.K.; Kor, A.C.; Phua, C.K.; Ho, B.; Lim, A.Y.; Lew, S.J.; Xu, H.; et al. Role of Bronchoscopy in Prompt Discharge From the Intensive Care Unit. J. Bronchol. Interv. Pulmonol. 2016, 23, 123–130. [Google Scholar] [CrossRef] [PubMed]
- Qiao, Z.; Yu, J.; Yu, K.; Zhang, M. The benefit of daily sputum suction via bronchoscopy in patients of chronic obstructive pulmonary disease with ventilators: A randomized controlled trial. Medicine 2018, 97, e11631. [Google Scholar] [CrossRef]
- van der Hoeven, S.; Ball, L.; Constantino, F.; van Meenen, D.M.; Pelosi, P.; Beenen, L.F.; Schultz, M.J.; Paulus, F. For the NEBULAE-investigators Effect of routine vs on-demand nebulization of acetylcysteine with salbutamol on accumulation of airway secretions in endotracheal tubes: Substudy of a randomized clinical trial. Intensiv. Care Med. Exp. 2020, 8 (Suppl. 1), 71. [Google Scholar] [CrossRef] [PubMed]
- Korupolu, R.; Stampas, A.; Uhlig-Reche, H.; Ciammaichella, E.; Mollett, P.J.; Achilike, E.C.; Pedroza, C. Comparing outcomes of mechanical ventilation with high vs. moderate tidal volumes in tracheostomized patients with spinal cord injury in acute inpatient rehabilitation setting: A retrospective cohort study. Spinal Cord 2021, 59, 618–625. [Google Scholar] [CrossRef] [PubMed]
- Wang, Y.; Guo, Z.; Fan, D.; Lu, H.; Xie, D.; Zhang, D.; Jiang, Y.; Li, P.; Teng, H. A Meta-Analysis of the Influencing Factors for Tracheostomy after Cervical Spinal Cord Injury. BioMed Res. Int. 2018, 2018, 5895830. [Google Scholar] [CrossRef] [PubMed]
- Jeong, T.S.; Lee, S.G.; Kim, W.K.; Ahn, Y.; Son, S. Predictive Values of Magnetic Resonance Imaging Features for Tracheostomy in Traumatic Cervical Spinal Cord Injury. J. Korean Neurosurg. Soc. 2018, 61, 582–591. [Google Scholar] [CrossRef]
- Foran, S.J.B.; Taran, S.; Singh, J.M.; Kutsogiannis, D.J.M.; McCredie, V.M. Timing of tracheostomy in acute traumatic spinal cord injury: A systematic review and meta-analysis. J. Trauma Acute Care Surg. 2022, 92, 223–231. [Google Scholar] [CrossRef]
- Mubashir, T.; Arif, A.A.; Ernest, P.; Maroufy, V.; Chaudhry, R.; Balogh, J.; Suen, C.; Reskallah, A.; Williams, G.W. Early Versus Late Tracheostomy in Patients With Acute Traumatic Spinal Cord Injury: A Systematic Review and Meta-analysis. Anesth. Analg. 2021, 132, 384–394. [Google Scholar] [CrossRef]
- Korupolu, R.; Uhlig-Reche, H.; Achilike, E.C.; Reeh, C.; Pedroza, C.; Stampas, A. Factors Associated With Ventilator Weaning Success and Failure in People With Spinal Cord Injury in an Acute Inpatient Rehabilitation Setting: A Retrospective Study. Top. Spinal Cord Inj. Rehabil. 2022, 28, 129–138. [Google Scholar] [CrossRef] [PubMed]
- Füssenich, W.; Araujo, S.H.; Kowald, B.; Hosman, A.; Auerswald, M.; Thietje, R. Discontinuous ventilator weaning of patients with acute SCI. Spinal Cord 2018, 56, 461–468. [Google Scholar] [CrossRef] [PubMed]
- Kornblith, L.Z.; Kutcher, M.E.; Callcut, R.A.; Redick, B.J.; Hu, C.K.; Cogbill, T.H.; Baker, C.C.; Shapiro, M.L.; Burlew, C.C.; Kaups, K.L.; et al. Mechanical ventilation weaning and extubation after spinal cord injury: A Western Trauma Association multicenter study. J. Trauma Acute Care Surg. 2013, 75, 1060–1070. [Google Scholar] [CrossRef] [PubMed]
- Fenton, J.J.; Warner, M.L.; Lammertse, D.; Charlifue, S.; Martinez, L.; Dannels-McClure, A.; Kreider, S.; Pretz, C. A comparison of high vs standard tidal volumes in ventilator weaning for individuals with sub-acute spinal cord injuries: A site-specific randomized clinical trial. Spinal Cord 2016, 54, 234–238. [Google Scholar] [CrossRef] [PubMed]
- Zakrasek, E.C.; Nielson, J.; Kosarchuk, J.J.; Crew, J.D.; Ferguson, A.; McKenna, S. Pulmonary outcomes following specialized respiratory management for acute cervical spinal cord injury: A retrospective analysis. Spinal Cord 2017, 55, 559–565. [Google Scholar] [CrossRef]
- Berlowitz, D.J.; Tamplin, J. Respiratory muscle training for cervical spinal cord injury. Cochrane Database Syst. Rev. 2013, 7, CD008507. [Google Scholar] [CrossRef]
- Morrow, B.; Argent, A.; Zampoli, M.; Human, A.; Corten, L.; Toussaint, M. Cough augmentation techniques for people with chronic neuromuscular disorders. Cochrane Database Syst. Rev. 2021, 4, CD013170. [Google Scholar] [CrossRef]
- Morrow, B.; Zampoli, M.; van Aswegen, H.; Argent, A. Mechanical insufflation-exsufflation for people with neuromuscular disorders. Cochrane Database Syst. Rev. 2013, 12, CD010044. [Google Scholar] [CrossRef]
- Stehling, F.; Bouikidis, A.; Schara, U.; Mellies, U. Mechanical insufflation/exsufflation improves vital capacity in neuromuscular disorders. Chronic Respir. Dis. 2015, 12, 31–35. [Google Scholar] [CrossRef]
- Bach, J.; Saporito, L.; Shah, H.; Sinquee, D. Decanulation of patients with severe respiratory muscle insufficiency: Efficacy of mechanical insufflation-exsufflation. J. Rehabil. Med. 2014, 46, 1037–1041. [Google Scholar] [CrossRef]
- Jeong, J.-H.; Yoo, W.-G. Effects of air stacking on pulmonary function and peak cough flow in patients with cervical spinal cord injury. J. Phys. Ther. Sci. 2015, 27, 1951–1952. [Google Scholar] [CrossRef] [PubMed]
- Torres-Castro, R.; Vilaró, J.; Vera-Uribe, R.; Monge, G.; Avilés, P.; Suranyi, C. Use of air stacking and abdominal compression for cough assistance in people with complete tetraplegia. Spinal Cord 2014, 52, 354–357. [Google Scholar] [CrossRef] [PubMed][Green Version]
- Kim, T.W.; Yang, J.H.; Huh, S.C.; Koo, B.I.; A Yoon, J.; Lee, J.S.; Ko, H.-Y.; Shin, Y.B. Motor and Sensory Function as a Predictor of Respiratory Function Associated With Ventilator Weaning After High Cervical Cord Injury. Ann. Rehabil. Med. 2018, 42, 457–464. [Google Scholar] [CrossRef] [PubMed]
- Wijkstra, P.J.; van der Aa, H.; Hofker, H.S.; Curto, F.; Giacomini, M.; Stagni, G.; Agullo, M.A.D.; Casanoves, F.X.C.; Benito-Penalva, J.; Martinez-Barenys, C.; et al. Diaphragm Pacing in Patients with Spinal Cord Injury: A European Experience. Respiration 2022, 101, 18–24. [Google Scholar] [CrossRef] [PubMed]
- Onders, R.P.; Elmo, M.; Kaplan, C.; Schilz, R.; Katirji, B.; Tinkoff, G. Long-term experience with diaphragm pacing for traumatic spinal cord injury: Early implantation should be considered. Surgery 2018, 164, 705–711. [Google Scholar] [CrossRef] [PubMed]
- Duarte, G.L.; Bethiol, A.L.; Ratti, L.D.S.R.; Franco, G.; Moreno, R.; Tonella, R.M.; Falcão, A.L.E. Transcutaneous electrical diaphragmatic stimulation reduces the duration of invasive mechanical ventilation in patients with cervical spinal cord injury: Retrospective case series. Spinal Cord Ser. Cases 2021, 7, 26. [Google Scholar] [CrossRef] [PubMed]
- Matsuda, Y.; Kubo, T.; Fujino, Y.; Matsuda, S.; Wada, F.; Sugita, A. Relationship Between Depressive State and Treatment Characteristics of Acute Cervical Spinal Cord Injury in Japan. J. Epidemiol. 2016, 26, 30–35. [Google Scholar] [CrossRef]
- DiMarco, A.F.; Geertman, R.T.; Tabbaa, K.; Nemunaitis, G.A.; Kowalski, K.E. Effects of Lower Thoracic Spinal Cord Stimulation on Bowel Management in Individuals With Spinal Cord Injury. Arch. Phys. Med. Rehabil. 2021, 102, 1155–1164. [Google Scholar] [CrossRef]



Disclaimer/Publisher’s Note: The statements, opinions and data contained in all publications are solely those of the individual author(s) and contributor(s) and not of MDPI and/or the editor(s). MDPI and/or the editor(s) disclaim responsibility for any injury to people or property resulting from any ideas, methods, instructions or products referred to in the content. |
© 2022 by the authors. Licensee MDPI, Basel, Switzerland. This article is an open access article distributed under the terms and conditions of the Creative Commons Attribution (CC BY) license (https://creativecommons.org/licenses/by/4.0/).
Share and Cite
Hendershot, K.A.; O’Phelan, K.H. Respiratory Complications and Weaning Considerations for Patients with Spinal Cord Injuries: A Narrative Review. J. Pers. Med. 2023, 13, 97. https://doi.org/10.3390/jpm13010097
Hendershot KA, O’Phelan KH. Respiratory Complications and Weaning Considerations for Patients with Spinal Cord Injuries: A Narrative Review. Journal of Personalized Medicine. 2023; 13(1):97. https://doi.org/10.3390/jpm13010097
Chicago/Turabian StyleHendershot, Kristopher A., and Kristine H. O’Phelan. 2023. "Respiratory Complications and Weaning Considerations for Patients with Spinal Cord Injuries: A Narrative Review" Journal of Personalized Medicine 13, no. 1: 97. https://doi.org/10.3390/jpm13010097
APA StyleHendershot, K. A., & O’Phelan, K. H. (2023). Respiratory Complications and Weaning Considerations for Patients with Spinal Cord Injuries: A Narrative Review. Journal of Personalized Medicine, 13(1), 97. https://doi.org/10.3390/jpm13010097
