Interventional Management of a Rare Combination of Nutcracker and Wilkie Syndromes
Abstract
1. Introduction
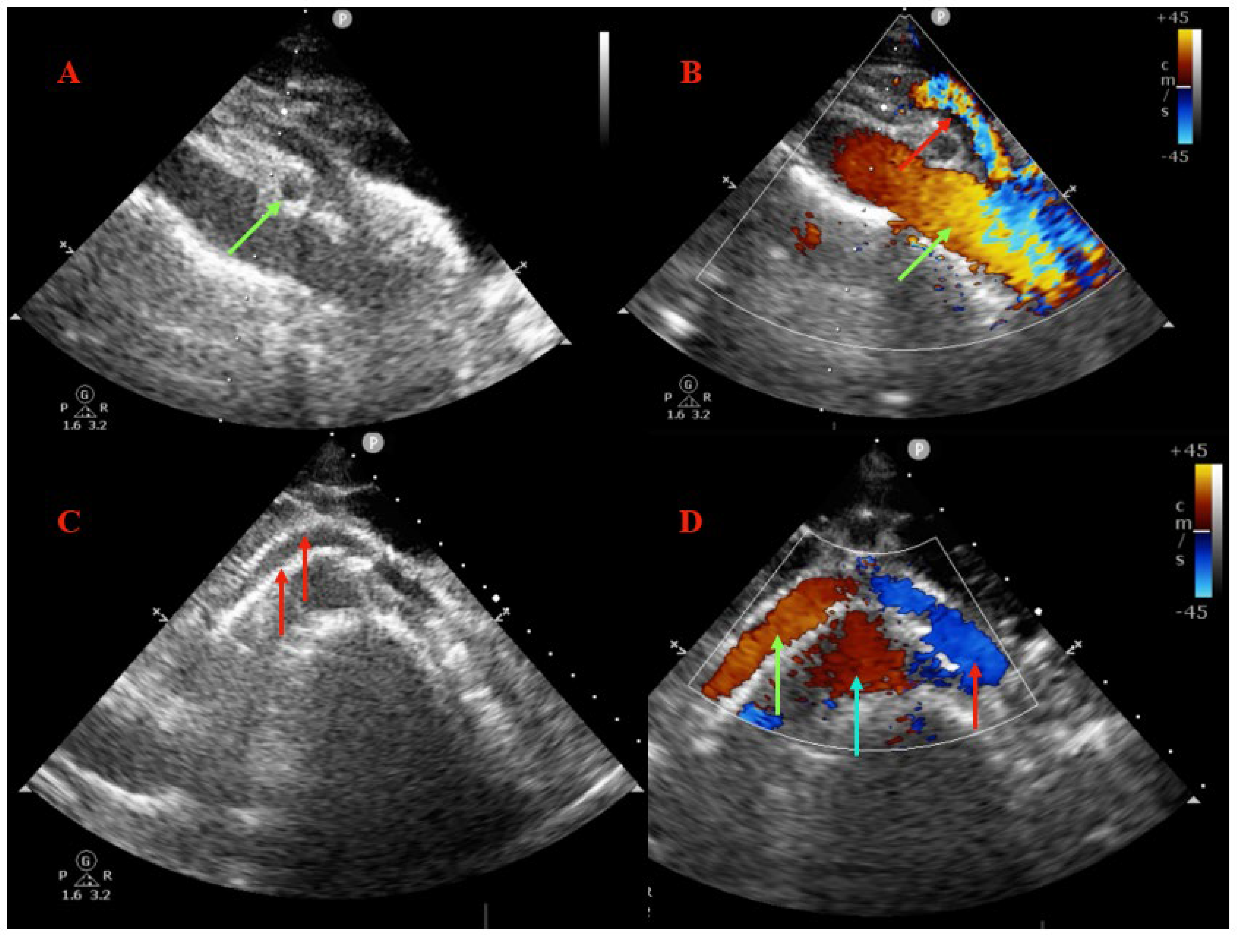
2. Imaging Diagnosis
3. Center Experience
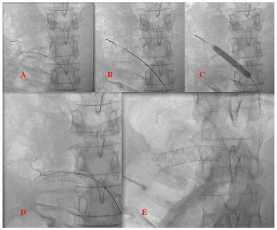
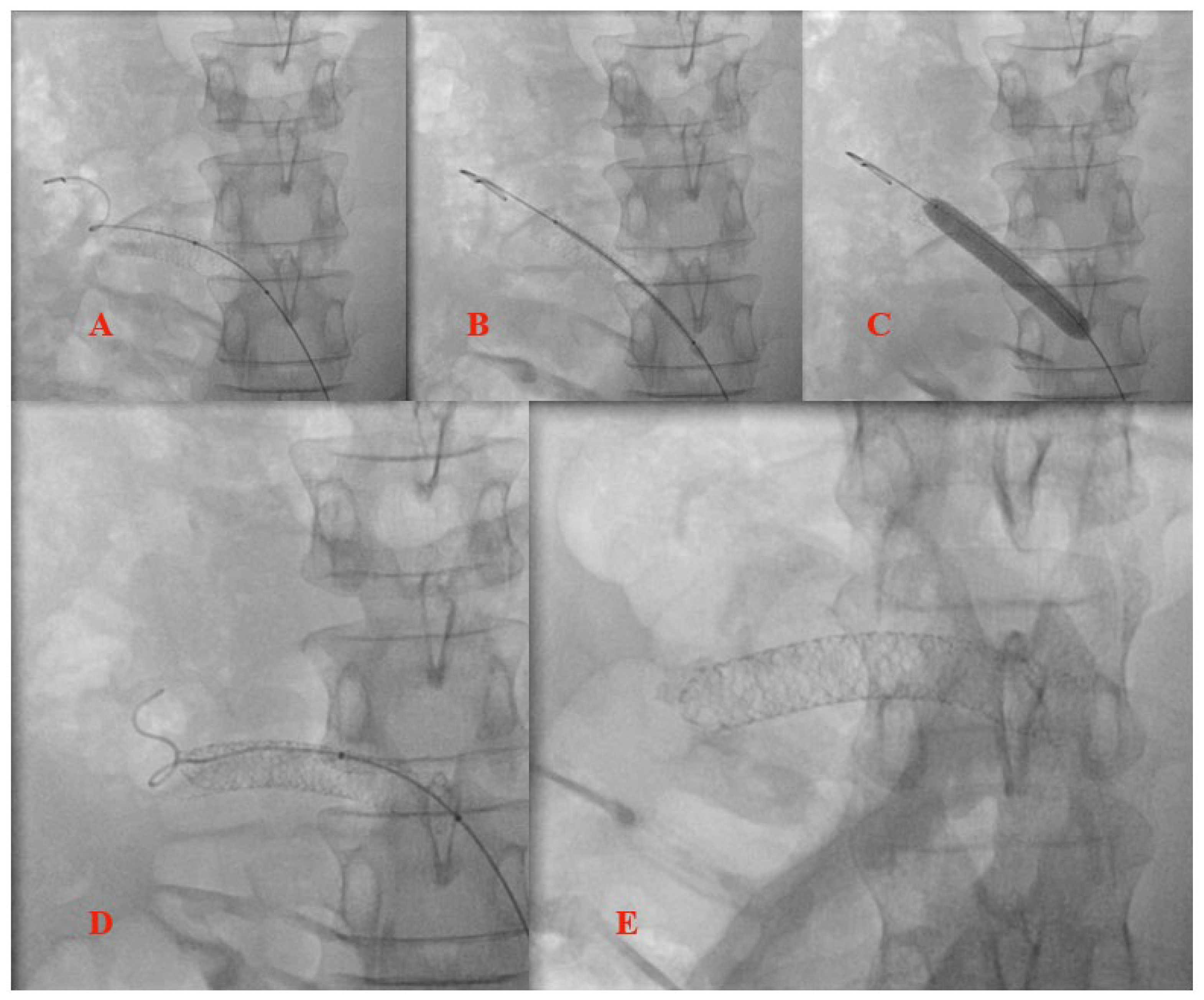
3.1. Case Report
3.2. Stent Migration
4. Surgical or Interventional Management
5. Conclusions
Author Contributions
Funding
Institutional Review Board Statement
Informed Consent Statement
Data Availability Statement
Conflicts of Interest
Abbreviations
References
- Farina, R.; Vasile, T.; Foti, P.V.; Pennisi, I.; Basile, A. Wilkie Syndrome and Pseudo-Nutcracker Syndrome a Rare Combination: Description of a Case. Cureus 2021, 13, e18612. [Google Scholar] [CrossRef] [PubMed]
- Zhang, H.; Li, M.; Jin, W.; San, P.; Xu, P.; Pan, S. The left renal entrapment syndrome: Diagnosis and treatment. Ann. Vasc. Surg. 2007, 21, 198–203. [Google Scholar] [CrossRef] [PubMed]
- Kolber, M.K.; Cui, Z.; Chen, C.K.; Habibollahi, P.; Kalva, S.P. Nutcracker syndrome: Diagnosis and therapy. Cardiovasc. Diagn. Ther. 2021, 11, 1140–1149. [Google Scholar] [CrossRef] [PubMed]
- Shin, J.I.; Park, J.M.; Lee, J.S.; Kim, M.J. Effect of renal Doppler ultrasound on the detection of nutcracker syndrome in children with hematuria. Eur. J. Pediatr. 2007, 166, 399–404. [Google Scholar] [CrossRef]
- Ribeiro, F.S.; Puech-Leão, P.; Zerati, A.E.; Nahas, W.C.; David-Neto, E.; De Luccia, N. Prevalence of left renal vein compression (nutcracker phenomenon) signs on computed tomography angiography of healthy individuals. J. Vasc. Surg. Venous Lymphat. Disord. 2020, 8, 1058–1065. [Google Scholar] [CrossRef]
- Chaudhry, S.R.; Nahian, A.; Chaudhry, K. Anatomy, Abdomen and Pelvis; StatPearls Publishing: Treasure Island, FL, USA, 2022. [Google Scholar]
- Heidbreder, R. Co-occurring superior mesenteric artery syndrome and nutcracker syndrome requiring Roux-en-Y duodenojejunostomy and left renal vein transposition: A case report and review of the literature. J. Med. Case Rep. 2018, 12, 214. [Google Scholar] [CrossRef]
- Beinart, C.; Sniderman, K.W.; Saddekni, S.; Weiner, M.; Vaughan, E.D., Jr.; Sos, T.A. Left renal vein hypertension: A cause of occult hematuria. Radiology 1982, 145, 647–650. [Google Scholar] [CrossRef]
- Mahan, J.D.; Turman, M.A.; Mentser, M.I. Evaluation of hematuria, proteinuria, and hypertension in adolescents. Pediatr. Clin. N. Am. 1997, 44, 1573–1589. [Google Scholar] [CrossRef]
- Ito, K.; Ookawara, S.; Ueda, Y.; Morishita, Y. Nutcracker syndrome with pelvic congestion: A case report. Intern. Med. 2017, 56, 2811. [Google Scholar] [CrossRef][Green Version]
- Welsch, T.; Büchler, M.W.; Kienle, P. Recalling superior mesenteric artery syndrome. Dig. Surg. 2007, 24, 149–156. [Google Scholar] [CrossRef]
- Erben, Y.; Gloviczki, P.; Kalra, M.; Bjarnason, H.; Reed, N.R.; Duncan, A.A.; Oderich, G.S.; Bower, T.C. Treatment of nutcracker syndrome with open and endovascular interventions. J. Vasc. Surg. 2015, 3, 389–396. [Google Scholar] [CrossRef]
- Grant, J.C.B. Method of Anatomy; Williams & Wilkins: Baltimore, MD, USA, 1937; p. 158. [Google Scholar]
- de Schepper, A. “Nutcracker”-fenomeen van de vena renalis en veneuze pathologie van de linker nier [“Nutcracker” phenomenon of the renal vein and venous pathology of the left kidney]. J. Belge Radiol. 1972, 55, 507–511. [Google Scholar]
- Vulliamy, P.; Hariharan, V.; Gutmann, J.; Mukherjee, D. Superior mesenteric artery syndrome and the ‘nutcracker phenomenon’. BMJ Case Rep. 2013, 2013, bcr2013008734. [Google Scholar] [CrossRef]
- Nunn, R.; Henry, J.; Slesser, A.A.P.; Fernando, R.; Behar, N. A model example: Coexisting superior mesenteric artery syndrome and the nutcracker phenomenon. Case Rep. Surg. 2015, 2015, 649469. [Google Scholar] [CrossRef][Green Version]
- Oh, M.J. Superior mesenteric artery syndrome combined with renal nutcracker syndrome in a young male: A case report. Korean J. Gastroenterol. 2017, 70, 253–260. [Google Scholar] [CrossRef]
- Al-Zoubi, N.A. Nutcracker Syndrome Accompanying With Superior Mesenteric Artery Syndrome: A Case Report. Clin. Med. Insights Case Rep. 2019, 12, 1179547619855383. [Google Scholar] [CrossRef]
- Barsoum, M.K.; Shepherd, R.F.; Welch, T.J. Patient with both Wilkie syndrome and nutcracker syndrome. Vasc. Med. 2008, 13, 247–250. [Google Scholar] [CrossRef]
- Farina, R.; Iannace, F.A.; Foti, P.V.; Conti, A.; Inì, C.; Libra, F.; Fanzone, L.; Coronella, M.E.; Santonocito, S.; Basile, A. A Case of Nutcracker Syndrome Combined with Wilkie Syndrome with Unusual Clinical Presentation. Am. J. Case Rep. 2020, 21, e922715. [Google Scholar] [CrossRef]
- Diab, S.; Hayek, F. Combined Superior Mesenteric Artery Syndrome and Nutcracker Syndrome in a Young Patient: A Case Report and Review of the Literature. Am. J. Case Rep. 2020, 21, e922619. [Google Scholar] [CrossRef]
- Granata, A.; Distefano, G.; Sturiale, A.; Figuera, M.; Foti, P.V.; Palmucci, S.; Basile, A. From Nutcracker Phenomenon to Nutcracker Syndrome: A Pictorial Review. Diagnostics 2021, 11, 101. [Google Scholar] [CrossRef] [PubMed]
- Takebayashi, S.; Ueki, T.; Ikeda, N.; Fujikawa, A. Diagnosis of the nutcracker syndrome with color Doppler sonography: Correlation with fl ow patterns on retrograde left renal venography. Am. J. Roentgenol. 1999, 172, 39–43. [Google Scholar] [CrossRef] [PubMed]
- Kurklinsky, A.K.; Rooke, T.W. Nutcracker phenomenon and nutcracker syndrome. Mayo Clin. Proc. 2010, 85, 552–559. [Google Scholar] [CrossRef]
- Belczak, S.Q.; Coelho Neto, F.; de Araújo, W.J.B.; Godoy, J.M.P. Endovascular treatment of anterior nutcracker syndrome and pelvic varices in a patient with an anterior and a posterior renal vein. BMJ Case Rep. 2020, 13, e235284. [Google Scholar] [CrossRef]
- Chen, S.; Zhang, H.; Shi, H.; Tian, L.; Jin, W.; Li, M. Endovascular stenting for treatment of Nutcracker syndrome: Report of 61 cases with long-term followup. J. Urol. 2011, 186, 570–575. [Google Scholar] [CrossRef] [PubMed]
- Rana, M.A.; Oderich, G.S.; Bjarnason, H. Endovenous removal of dislodged left renal vein stent in a patient with Nutcracker syndrome. Semin. Vasc. Surg. 2013, 26, 43–47. [Google Scholar] [CrossRef]
- Wu, Z.; Zheng, X.; He, Y.; Fang, X.; Li, D.; Tian, L.; Zhang, H. Stent migration after endovascular stenting in patients with nutcracker syndrome. J. Vasc. Surg. Venous Lymphat. Disord. 2016, 4, 193–199. [Google Scholar] [CrossRef]
- Park, Y.B.; Lim, S.H.; Ahn, J.H.; Kang, E.; Myung, S.C.; Shim, H.J.; Yu, S.H. Nutcracker syndrome: Intravascular stenting approach. Nephrol. Dial. Transplant. 2000, 15, 99–101. [Google Scholar] [CrossRef]
- Achim, A.; Lackó, D.; Hüttl, A.; Csobay-Novák, C.; Csavajda, Á.; Sótonyi, P.; Merkely, B.; Nemes, B.; Ruzsa, Z. Impact of Diabetes Mellitus on Early Clinical Outcome and Stent Restenosis after Carotid Artery Stenting. J. Diabetes Res. 2022, 2022, 4196195. [Google Scholar] [CrossRef]
- Achim, A.; Stanek, A.; Homorodean, C.; Spinu, M.; Onea, H.L.; Lazăr, L.; Marc, M.; Ruzsa, Z.; Olinic, D.M. Approaches to Peripheral Artery Disease in Diabetes: Are There Any Differences? Int. J. Environ. Res. Public Health 2022, 19, 9801. [Google Scholar] [CrossRef]
- Pastershank, S.P. Left renal vein obstruction by a superior mesenteric artery. J. Can. Assoc. Radiol. 1974, 25, 52–54. [Google Scholar]
- Shin, J.I.; Park, J.M.; Lee, S.M.; Shin, Y.H.; Kim, J.H.; Lee, J.S.; Kim, M.J. Factors affecting spontaneous resolution of hematuria in childhood nutcracker syndrome. Pediatr. Nephrol. 2005, 20, 609–613. [Google Scholar] [CrossRef]
- Thompson, P.N.; Darling, R.C., 3rd; Chang, B.B.; Shah, D.M.; Leather, R.P. A case of nutcracker syndrome: Treatment by mesoaortic transposition. J. Vasc. Surg. 1992, 16, 663–665. [Google Scholar] [CrossRef]
- Shaper, K.R.; Jackson, J.E.; Williams, G. The nutcracker syndrome: An uncommon cause of haematuria. Br. J. Urol. 1994, 74, 144–146. [Google Scholar] [CrossRef]
- Chuang, C.K.; Chu, S.H.; Lai, P.C. The nutcracker syndrome managed by autotransplantation. J. Urol. 1997, 157, 1833–1834. [Google Scholar] [CrossRef]
- Chung, B.I.; Gill, I.S. Laparoscopic splenorenal venous bypass for nutcracker syndrome. J. Vasc. Surg. 2009, 49, 1319–1323. [Google Scholar] [CrossRef][Green Version]
- Barnes, R.W.; Fleisher, H.L., III; Redman, J.F.; Smith, J.W.; Harshfield, D.L.; Ferris, E.J. Mesoaortic compression of the left renal vein (the so-called nutcracker syndrome): Repair by a new stenting procedure. J. Vasc. Surg. 1988, 8, 415–421. [Google Scholar] [CrossRef]
- Rogers, A.; Beech, A.; Braithwaite, B. Transperitoneal laparoscopic left gonadal vein ligation can be the right treatment option for pelvic congestion symptoms secondary to nutcracker syndrome. Vascular 2007, 15, 238–240. [Google Scholar] [CrossRef]
- Neste, M.G.; Narasimham, D.L.; Belcher, K.K. Endovascular stent placement as a treatment for renal venous hypertension. J. Vasc. Interv. Radiol. 1996, 7, 859–861. [Google Scholar] [CrossRef]
- Mallat, F.; Hmida, W.; Jaidane, M.; Mama, N.; Mosbah, F. Nutcracker syndrome complicated by left renal vein thrombosis. Case Rep. Urol. 2013, 2013, 168057. [Google Scholar] [CrossRef]
- Hori, K.; Yamamoto, S.; Kosukegawa, M.; Yamashita, N.; Shinno, Y. Nutcracker syndrome as the main cause of left renal vein thrombus and pulmonary thromboembolism. IJU Case Rep. 2021, 5, 24–27. [Google Scholar] [CrossRef]
- Velasquez, C.A.; Saeyeldin, A.; Zafar, M.A.; Brownstein, A.J.; Erben, Y. A systematic review on management of nutcracker syndrome. J. Vasc. Surg. Venous Lymphat. Disord. 2018, 6, 271–278. [Google Scholar] [CrossRef]
- Scultetus, A.H.; Villavicencio, J.L.; Gillespie, D.L. The nutcracker syndrome: Its role in the pelvic venous disorders. J. Vasc. Surg. 2001, 34, 812–819. [Google Scholar] [CrossRef] [PubMed]
- O’Sullivan, G.J.; Sheehan, J.; Lohan, D.; McCann-Brown, J.A. Iliofemoral venous stenting extending into the femoral region: Initial clinical experience with the purpose-designed Zilver Vena stent. J. Cardiovasc. Surg. 2013, 54, 255–261. [Google Scholar]
- Cherfan, P.; Avgerinos, E.D.; Chaer, R.A. Left renal vein stenting in nutcracker syndrome: Outcomes and implications. Vasc. Endovasc. Rev. 2020, 3, e17. [Google Scholar] [CrossRef]
- Wang, H.; Guo, Y.T.; Jiao, Y.; He, D.L.; Wu, B.; Yuan, L.J.; Li, Y.Y.; Yang, Y.; Cao, T.S.; Zhang, B. A minimally invasive alternative for the treatment of nutcracker syndrome using individualized three-dimensional printed extravascular titanium stents. Chin. Med. J. 2019, 132, 1454–1460. [Google Scholar] [CrossRef] [PubMed]
- Achim, A.; Marc, M.; Ruzsa, Z. Surgical Turned-Downed CHIP Cases-Can PCI Save the Day? Front. Cardiovasc. Med. 2022, 9, 872398. [Google Scholar] [CrossRef]
- Chen, W.; Chu, J.; Yang, J.Y.; Li, H.P.; Zhuang, W.Q.; Huang, Y.H.; Guo, W.B. Endovascular stent placement for the treatment of nutcracker phenomenon in three pediatric patients. J. Vasc. Interv. Radiol. 2005, 16, 1529–1533. [Google Scholar] [CrossRef]
- Hartung, O.; Grisoli, D.; Boufi, M.; Marani, I.; Hakam, Z.; Barthelemy, P.; Alimi, Y.S. Endovascular stenting in the treatment of pelvic vein congestion caused by nutcracker syndrome: Lessons learned from the first five cases. J. Vasc. Surg. 2005, 42, 275–280. [Google Scholar] [CrossRef]
- Basile, A.; Tsetis, D.; Calcara, G.; Figuera, M.; Patti, M.T.; Ettorre, G.C.; Granata, A. Percutaneous nitinol stent implantation in the treatment of nutcracker syndrome in young adults. J. Vasc. Interv. Radiol. 2007, 18, 1042–1046. [Google Scholar] [CrossRef]
- Baldi, S.; Rabellino, M.; Zander, T.; González, G.; Maynar, M. Endovascular treatment of the nutcracker syndrome: Report of two cases. Minim. Invasive Ther. Allied Technol. 2011, 20, 356–359. [Google Scholar] [CrossRef]
- Wang, X.; Zhang, Y.; Li, C.; Zhang, H. Results of endovascular treatment for patients with nutcracker syndrome. J. Vasc. Surg. 2012, 56, 142–148. [Google Scholar] [CrossRef]
- Li, H.; Sun, X.; Liu, G.; Zhang, Y.; Chu, J.; Deng, C.; Zhou, B.; Chen, W.; Yang, J. Endovascular stent placement for nutcracker phenomenon. J. X-ray Sci. Technol. 2013, 21, 95–102. [Google Scholar] [CrossRef]
- Policha, A.; Lamparello, P.; Sadek, M.; Berland, T.; Maldonado, T. Endovascular Treatment of Nutcracker Syndrome. Ann. Vasc. Surg. 2016, 36, 295.e1–295.e7. [Google Scholar] [CrossRef]
- Avgerinos, E.D.; Saadeddin, Z.; Humar, R.; Salem, K.; Singh, M.; Hager, E.; Makaroun, M.; Chaer, R.A. Outcomes of left renal vein stenting in patients with nutcracker syndrome. J. Vasc. Surg. Venous Lymphat. Disord. 2019, 7, 853–859. [Google Scholar] [CrossRef]
- Cronan, J.C.; Hawkins, C.M.; Kennedy, S.S.; Marshall, K.W.; Rostad, B.S.; Gill, A.E. Endovascular management of nutcracker syndrome in an adolescent patient population. Pediatr. Radiol. 2021, 51, 1487–1496. [Google Scholar] [CrossRef] [PubMed]





| Study | Year | Cohort (Patients) | Age (Years) | Stent Type | Outcomes | Reintervention/Complications | Follow-Up (Months) |
|---|---|---|---|---|---|---|---|
| Chen et al. [49] | 2005 | 3 | 10 | Optimed (self-expandable) | 100% stent patency at follow-up, resolution of hematuria | None | 36 |
| Hartung et al. [50] | 2005 | 5 | 34 | WALLSTENT | Symptoms resolution in all | 2 patients presented stent migration after 3–4 months and recurrence of symptoms due to re-compression of the vein | 14 |
| Basile et al. [51] | 2007 | 3 | 19 | Luminexx (self-expandable) | 100% stent patency at follow-up, resolution of hematuria | None | 14–18 |
| Chen et al. [26] | 2011 | 61 | 26 | WALLSTENT, SMART, Palmaz | Improvement of symptoms in 59/61 patients; 100% stent patency after 6 years, including the re-stented patients | 2 stent migrations and reinterventions | 66 |
| Baldi et al. [52] | 2011 | 2 | 50 | SMART control | 100% resolution of symptoms | None | 12–24 |
| Wang et al. [53] | 2012 | 30 | 18 | SMART control | 100% stent patency at follow-up, resolution of hematuria | 2 stent migrations (uneventful at follow-up) | 36 |
| Li et al. [54] | 2013 | 3 | 16 | Protégé | 100% stent patency at follow-up, resolution of hematuria | None | 6–60 |
| Wu et al. [28] | 2016 | 75 | 27 | WALLSTENT, SMART control | 3/5 patients who had stent migration developed symptoms again | 5 stent migrations, from which 3 required open surgery | 6–126 |
| Policha et al. [55] | 2016 | 3 | 33 | WALLSTENT | 100% stent patency at follow-up, resolution of hematuria | 2 uneventful stent migrations | 20 |
| Avgerinos et al. [56] | 2019 | 18 | 38 | WALLSTENT, Protégé, SMART control, ev3, Zilver | 72% symptoms resolution, 85% primary and 100% primary-assisted patency at 2 years follow-up | 1 re-stenting, 2 balloon post-dilatations, 2 renal auto transplantations | 41 |
| Cronan et al. [57] | 2021 | 10 | 16 | Zilver, Venovo | 70% symptoms resolution, | 2 re-stenting with WALLSTENT for restenosis | 3–37 |
Publisher’s Note: MDPI stays neutral with regard to jurisdictional claims in published maps and institutional affiliations. |
© 2022 by the authors. Licensee MDPI, Basel, Switzerland. This article is an open access article distributed under the terms and conditions of the Creative Commons Attribution (CC BY) license (https://creativecommons.org/licenses/by/4.0/).
Share and Cite
Ober, M.-C.; Lazăr, F.-L.; Achim, A.; Tirinescu, D.C.; Leibundgut, G.; Homorodean, C.; Olinic, M.; Onea, H.L.; Spînu, M.; Tătaru, D.; et al. Interventional Management of a Rare Combination of Nutcracker and Wilkie Syndromes. J. Pers. Med. 2022, 12, 1461. https://doi.org/10.3390/jpm12091461
Ober M-C, Lazăr F-L, Achim A, Tirinescu DC, Leibundgut G, Homorodean C, Olinic M, Onea HL, Spînu M, Tătaru D, et al. Interventional Management of a Rare Combination of Nutcracker and Wilkie Syndromes. Journal of Personalized Medicine. 2022; 12(9):1461. https://doi.org/10.3390/jpm12091461
Chicago/Turabian StyleOber, Mihai-Claudiu, Florin-Leontin Lazăr, Alexandru Achim, Dacian Călin Tirinescu, Gregor Leibundgut, Călin Homorodean, Maria Olinic, Horea Laurențiu Onea, Mihail Spînu, Dan Tătaru, and et al. 2022. "Interventional Management of a Rare Combination of Nutcracker and Wilkie Syndromes" Journal of Personalized Medicine 12, no. 9: 1461. https://doi.org/10.3390/jpm12091461
APA StyleOber, M.-C., Lazăr, F.-L., Achim, A., Tirinescu, D. C., Leibundgut, G., Homorodean, C., Olinic, M., Onea, H. L., Spînu, M., Tătaru, D., Săbiescu, B., & Olinic, D.-M. (2022). Interventional Management of a Rare Combination of Nutcracker and Wilkie Syndromes. Journal of Personalized Medicine, 12(9), 1461. https://doi.org/10.3390/jpm12091461

