DNA Directed Pro-Dopamine Regulation Coupling Subluxation Repair, H-Wave® and Other Neurobiologically Based Modalities to Address Complexities of Chronic Pain in a Female Diagnosed with Reward Deficiency Syndrome (RDS): Emergence of Induction of “Dopamine Homeostasis” in the Face of the Opioid Crisis
Abstract
1. Introduction
1.1. The Opioid Crisis
1.2. Pain Demographics
1.3. Substance and Non-Substance Use and Misuse Is a Global Societal Pandemic
1.4. Why Electrotherapy for Pain
1.5. The Characteristics of H-Wave® Electrotherapy
- · · Low frequency (1–2 Hz) stimulation-induced contraction of smooth and skeletal muscle (red, slow-twitch) fibers leads to tissue loading while retaining the characteristics of low muscle force tension or non-fatiguing by avoiding tetanizing contractions;
- · · NO-dependent arteriolar vasodilation (revealed by rat studies);
- · · Bromouridine staining showed enhanced angiogenesis in repetitive stimulation in rats;
- · · Fluid shifts and reduced edema and protein clearance caused by direct stimulation of smooth muscle fibers in the lymphatic vessels
- Direct stimulation of the smooth muscles of lymphatic vessels and small-diameter skeletal muscle fibers by low-frequency (1–2 Hz) stimulation resulting in interstitial fluid shifts. Long rhythmical contractions of these particular muscles caused by HWDS lead to decline in accretion of inflammation-associated proteins, an essential part of pain and associated disability in chronic injury or trauma patients.
- HWDS at high frequency (60 Hz) affects the function of sodium pumps in nerves leading to analgesic and/or anesthetic effects.
- NO-dependent stimulation of skeletal muscles induced by HWDS results in significant microcirculation increase, as evident from preclinical studies.
- Angiogenesis causes a profound and rapid increase in blood flow, which is seen in rat hind limbs post-repetitive HWDS.
1.6. Why Genetic Addiction Risk Severity (GARS) Test?
1.7. Why Pro-Dopamine Regulation (KB220)
1.8. Precision Addiction Management: The Future Is Now
2. Case Presentation
2.1. Treatment Methods
Clinical History
2.2. GARS Test and Imaging Diagnostics
2.3. Imaging Methods
2.3.1. MRI Brain
2.3.2. DTI Brain
2.3.3. NeuroQuant
2.3.4. MR Angiogram (MRA)
2.4. Therapeutics
3. Diagnostic Results
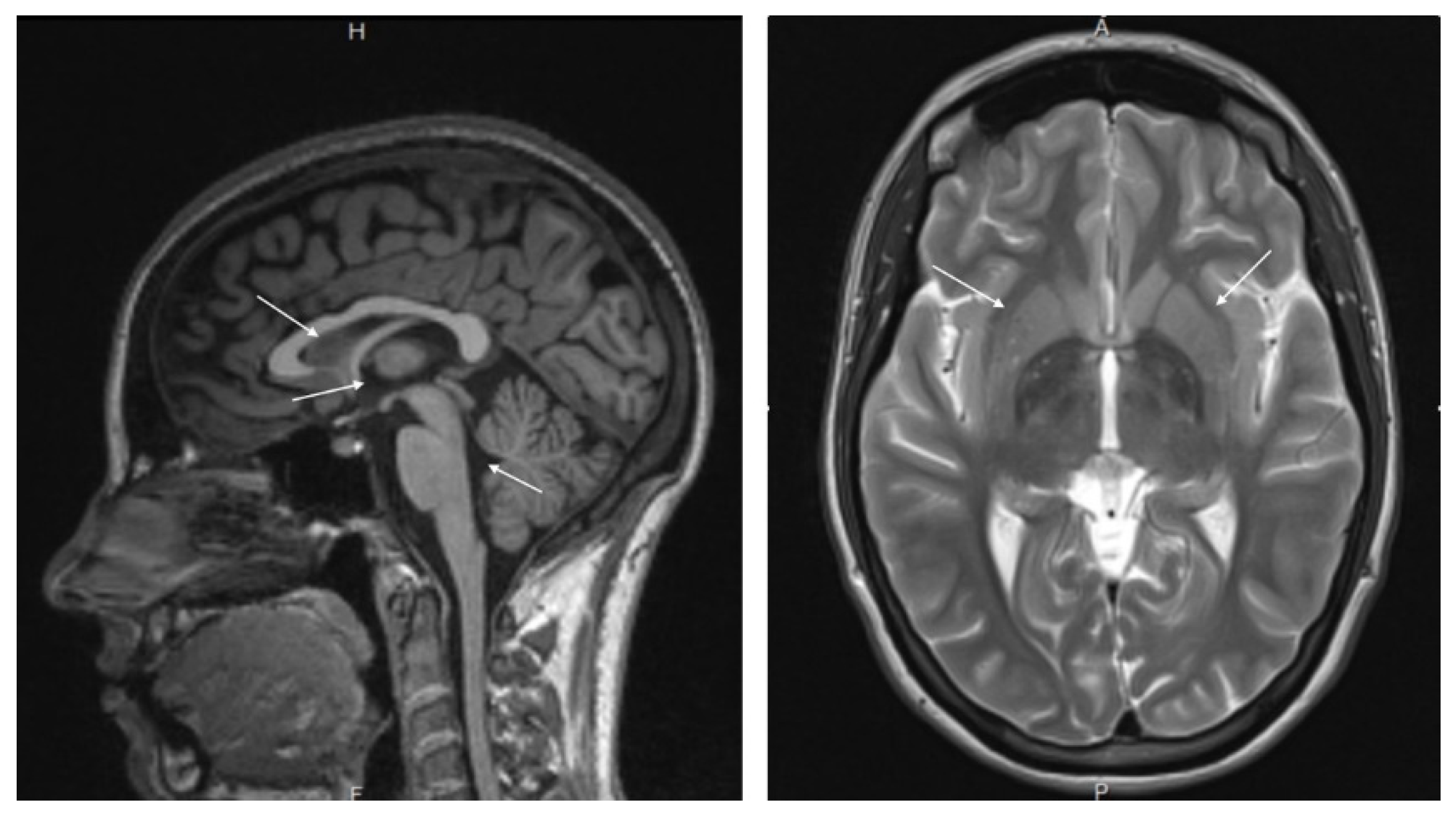
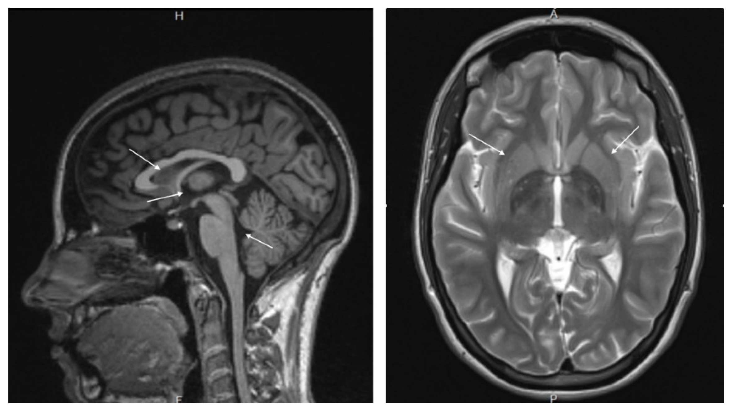
3.1. MRI and MRA Results
3.2. GARS Results
4. Clinical Outcome
5. Discussion
6. Conclusions
Author Contributions
Funding
Institutional Review Board Statement
Informed Consent Statement
Data Availability Statement
Acknowledgments
Conflicts of Interest
References
- Bell, J.; Strang, J. Medication Treatment of Opioid Use Disorder. Biol. Psychiatry 2020, 87, 82–88. [Google Scholar] [CrossRef] [PubMed]
- Beauchamp, G.A.; Nelson, L.S.; Perrone, J.; Lyons, M.S. A theoretical framework and nomenclature to characterize the iatrogenic contribution of therapeutic opioid exposure to opioid induced hyperalgesia, physical dependence, and opioid use disorder. Am. J. Drug Alcohol Abus. 2020, 46, 671–683. [Google Scholar] [CrossRef] [PubMed]
- Han, B.H.; Tuazon, E.; Kunins, H.V.; Mantha, S.; Paone, D. Unintentional drug overdose deaths involving cocaine among middle-aged and older adults in New York City. Drug Alcohol Depend. 2019, 198, 121–125. [Google Scholar] [CrossRef]
- Boyd, S. Heroin and the illegal drug overdose death epidemic: A history of missed opportunities and resistance. Int. J. Drug Policy 2020, 91, 102938. [Google Scholar] [CrossRef]
- Dydyk, A.M.; Jain, N.K.; Gupta, M. Opioid Use Disorder. In StatPearls; StatPearls Publishing: Treasure Island, FL, USA, 2021. [Google Scholar]
- Kuo, Y.-F.; Baillargeon, J.; Raji, M.A. Overdose deaths from nonprescribed prescription opioids, heroin, and other synthetic opioids in Medicare beneficiaries. J. Subst. Abus. Treat. 2021, 124, 108282. [Google Scholar] [CrossRef]
- Wu, Z.H.; Yong, Q.; Walker, J.M.; Grady, J.J.; Laurencin, C.T. Fentanyl, Heroin, and Cocaine Overdose Fatalities are Shifting to the Black Community: An Analysis of the State of Connecticut. J. Racial Ethn. Health Disparities 2021, 9, 722–730. [Google Scholar] [CrossRef]
- Dumas, E.O.; Pollack, G.M. Opioid Tolerance Development: A Pharmacokinetic/Pharmacodynamic Perspective. AAPS J. 2008, 10, 537–551. [Google Scholar] [CrossRef] [PubMed]
- Blum, K.; Kazmi, S.; Modestino, E.J.; Downs, B.W.; Bagchi, D.; Baron, D.; McLaughlin, T.; Green, R.; Jalali, R.; Thanos, P.; et al. A Novel Precision Approach to Overcome the “Addiction Pandemic” by Incorporating Genetic Addiction Risk Severity (GARS) and Dopamine Homeostasis Restoration. J. Pers. Med. 2021, 11, 212. [Google Scholar] [CrossRef]
- Blum, K.; Raza, A.; Schultz, T.; Jalali, R.; Green, R.; Brewer, R.; Thanos, P.K.; McLaughlin, T.; Baron, D.; Bowirrat, A.; et al. Should We Embrace the Incorporation of Genetically Guided “Dopamine Homeostasis” in the Treatment of Reward Deficien-cy Syndrome (RSD) as a Frontline Therapeutic Modality? Acta Sci. Neurol. 2021, 4, 17–24. [Google Scholar]
- Freda, P.J.; Moore, J.H.; Kranzler, H.R. The phenomics and genetics of addictive and affective comorbidity in opioid use disorder. Drug Alcohol Depend. 2021, 221, 108602. [Google Scholar] [CrossRef]
- Moran, M.; Blum, K.; Ponce, J.V.; Lott, L.; Gondré–Lewis, M.C.; Badgaiyan, S.; Brewer, R.; Downs, B.W.; Fynman, P.; Weingarten, A.; et al. High Genetic Addiction Risk Score (GARS) in Chronically Prescribed Severe Chronic Opioid Probands Attending Multi-pain Clinics: An Open Clinical Pilot Trial. Mol. Neurobiol. 2021, 58, 3335–3346. [Google Scholar] [CrossRef] [PubMed]
- Peacock, A.; Leung, J.; Larney, S.; Colledge, S.; Hickman, M.; Rehm, J.; Giovino, G.A.; West, R.; Hall, W.; Griffiths, P.; et al. Global statistics on alcohol, tobacco and illicit drug use: 2017 status report. Addiction 2018, 113, 1905–1926. [Google Scholar] [CrossRef] [PubMed]
- Stevens, M.W.; Dorstyn, D.; Delfabbro, P.H.; King, D.L. Global prevalence of gaming disorder: A systematic review and meta-analysis. Aust. N. Z. J. Psychiatry 2020, 55, 553–568. [Google Scholar] [CrossRef]
- Slavova, S.; Rock, P.; Bush, H.M.; Quesinberry, D.; Walsh, S.L. Signal of increased opioid overdose during COVID-19 from emergency medical services data. Drug Alcohol Depend. 2020, 214, 108176. [Google Scholar] [CrossRef] [PubMed]
- Schiller, E.Y.; Goyal, A.; Mechanic, O.J. Opioid Overdose. In StatPearls; StatPearls Publishing: Treasure Island, FL, USA, 2021. [Google Scholar]
- Kotyuk, E.; Magi, A.; Eisinger, A.; Király, O.; Vereczkei, A.; Barta, C.; Griffiths, M.D.; Székely, A.; Kökönyei, G.; Farkas, J.; et al. Co-occurrences of substance use and other potentially addictive behaviors: Epidemiological results from the Psychological and Genetic Factors of the Addictive Behaviors (PGA) Study. J. Behav. Addict. 2020, 9, 272–288. [Google Scholar] [CrossRef]
- Blum, K. Reward Deficiency Syndrome. In The Sage Encyclopedia of Abnormal Clinical Psychology; Wenzel, A., Ed.; Sage Publications: Pennsylvania, PA, USA, 2017. [Google Scholar]
- Blum, K.; Sheridan, P.J.; Wood, R.C.; Braverman, E.R.; Chen, T.J.H.; Cull, J.G.; E Comings, D. The D2 Dopamine Receptor Gene as a Determinant of Reward Deficiency Syndrome. J. R. Soc. Med. 1996, 89, 396–400. [Google Scholar] [CrossRef]
- Gold, M.S.; Baron, D.; Bowirrat, A.; Blum, K. Neurological correlates of brain reward circuitry linked to opioid use disorder (OUD): Do homo sapiens acquire or have a reward deficiency syndrome? J. Neurol. Sci. 2020, 418, 117137. [Google Scholar] [CrossRef]
- Borsook, D.; Linnman, C.; Faria, V.; Strassman, A.M.; Becerra, L.; Elman, I. Reward deficiency and anti-reward in pain chronification. Neurosci. Biobehav. Rev. 2016, 68, 282–297. [Google Scholar] [CrossRef]
- Bowirrat, A.; Oscar-Berman, M. Relationship between dopaminergic neurotransmission, alcoholism, and reward deficiency syndrome. Am. J. Med. Genet. Part B Neuropsychiatr. Genet. 2004, 132B, 29–37. [Google Scholar] [CrossRef]
- Rice, J.B.; White, A.G.; Birnbaum, H.G.; Schiller, M.; Brown, D.A.; Roland, C. A model to identify patients at risk for prescrip-tion opioid abuse, dependence, and misuse. Pain Med. 2012, 13, 1162–1173. [Google Scholar] [CrossRef]
- Chen, A.L.; Chen, T.J.; Waite, R.L.; Reinking, J.; Tung, H.L.; Rhoades, P.; Downs, B.W.; Braverman, E.; Braverman, D.; Kerner, M.; et al. Hypothesizing that brain reward circuitry genes are genetic antecedents of pain sensitivity and critical diagnostic and pharmacogenomic treatment targets for chronic pain conditions. Med. Hypotheses 2009, 72, 14–22. [Google Scholar] [CrossRef] [PubMed]
- Blum, K.; Chen, A.L.; Thanos, P.K.; Febo, M.; Demetrovics, Z.; Dushaj, K.; Kovoor, A.; Baron, D.; Smith, D.E.; Lll, A.K.R.; et al. Genetic addiction risk score GARS™ a predictor of vulnerability to opioid dependence. Front. Biosci. 2018, 10, 175–196. [Google Scholar] [CrossRef] [PubMed]
- Kwok, C.H.; Trang, T. Pain: From genes and proteins to cells in the living organism. J. Neurosci. Res. 2017, 95, 1239–1241. [Google Scholar] [CrossRef] [PubMed]
- Blum, K.; Bowirrat, A.; Baron, D.; Lott, L.; Ponce, J.V.; Brewer, R.; Siwicki, D.; Boyett, B.; Gondre-Lewis, M.C.; Smith, D.E.; et al. Biotechnical development of genetic addiction risk score (GARS) and selective evidence for inclusion of polymorphic allelic risk in substance use disorder (SUD). J. Syst. Integr. Neurosci. 2020, 6, 10.15761/JSIN.1000221. [Google Scholar] [CrossRef]
- Williamson, T.K.; Rodriguez, H.C.; Gonzaba, A.; Poddar, N.; Norwood, S.M.; Gupta, A. H-Wave Device Stimulation: A Critical Review. J. Pers. Med. 2021, 11, 1134. [Google Scholar] [CrossRef]
- Blum, K.; Chen, A.L.; Chen, T.J.; Prihoda, T.J.; Schoolfield, J.; DiNubile, N.; Waite, R.L.; Arcuri, V.; Kerner, M.; Braverman, E.R.; et al. The H-Wave® device is an effective and safe non-pharmacological analgesic for chronic pain: A meta-analysis. Adv. Ther. 2008, 25, 644–657. [Google Scholar] [CrossRef]
- Van Der Schier, R.; Roozekrans, M.; Van Velzen, M.; Dahan, A.; Niesters, M. Opioid-induced respiratory depression: Reversal by non-opioid drugs. F1000Prime Rep. 2014, 6, 79. [Google Scholar] [CrossRef]
- Blum, K.; Ho, C.-K.; Chen, A.L.; Fulton, M.; Fulton, B.; Westcott, W.L.; Reinl, G.; Braverman, E.R.; DiNubile, N.; Chen, T.J. The H-Wave® Device Induces NODependent Augmented Microcirculation and Angiogenesis, Providing Both Analgesia and Tissue Healing in Sports Injuries. Physician Sportsmed. 2008, 36, 103–114. [Google Scholar] [CrossRef]
- Kumar, D.; Marshall, H.J. Diabetic Peripheral Neuropathy: Amelioration of Pain With Transcutaneous Electrostimulation. Diabetes Care 1997, 20, 1702–1705. [Google Scholar] [CrossRef]
- Kumar, D.; Alvaro, M.S.; Julka, I.S.; Marshall, H.J. Diabetic Peripheral Neuropathy: Effectiveness of electrotherapy and amitriptyline for symptomatic relief. Diabetes Care 1998, 21, 1322–1325. [Google Scholar] [CrossRef]
- Julka, I.S.; Alvaro, M.; Kumar, D. Beneficial effects of electrical stimulation on neuropathic symptoms in diabetes patients. J. Foot Ankle Surg. 1998, 37, 191–194. [Google Scholar] [CrossRef]
- Blum, K.; Oscar-Berman, M.; Blum, S.H.; Madigan, M.A.; Waite, R.L.; McLaughlin, T.; Barh, D. Can Genetic Testing Coupled with Enhanced Dopaminergic Activation Reduce Recidivism Rates in the Workers Compensation Legacy Cases? J. Alcohol. Drug Depend. 2014, 2, 161. [Google Scholar] [CrossRef]
- Ammon-Treiber, S.; Höllt, V. Morphine-induced Changes of Gene Expression in the Brain. Addict. Biol. 2005, 10, 81–89. [Google Scholar] [CrossRef] [PubMed]
- Lister, B.J. Dilemmas in the treatment of chronic pain. Am. J. Med. 1996, 101, 2S–5S. [Google Scholar] [CrossRef]
- Blum, K.; Kozlowski, G.P. Ethanol and neuromodulator interactions: A cascade model of reward. In Alcohol and Behavior; Ollat, H., Parvez, S., Parvez, H., Eds.; VSP: Utrecht, The Netherlands, 1990; p. 131149. [Google Scholar]
- Gondré-Lewis, M.C.; Bassey, R.; Blum, K. Pre-clinical models of reward deficiency syndrome: A behavioral octopus. Neurosci. Biobehav. Rev. 2020, 115, 164–188. [Google Scholar] [CrossRef]
- Blum, K.; Oscar-Berman, M.; Demetrovics, Z.; Barh, D.; Gold, M.S. Genetic Addiction Risk Score (GARS): Molecular Neurogenetic Evidence for Predisposition to Reward Deficiency Syndrome (RDS). Mol. Neurobiol. 2014, 50, 765–796. [Google Scholar] [CrossRef] [PubMed]
- Konstan, D. Epicurus. In The Stanford Encyclopedia of Philosophy; Zalta, E., Ed.; Metaphysics Research Lab, Stanford University: Stanford, CA, USA, 2018. [Google Scholar]
- Berridge, K.C.; Kringelbach, M.L. Pleasure Systems in the Brain. Neuron 2015, 86, 646–664. [Google Scholar] [CrossRef]
- Berridge, K.C.; Ho, C.Y.; Richard, J.M.; Difeliceantonio, A.G. The Tempted Brain Eats: Pleasure and Desire Circuits in Obesity and Eating Disorders. Brain Res. 2010, 1350, 43–64. [Google Scholar] [CrossRef]
- Neumann, I.d.; Landgraf, R. Balance of Brain Oxytocin and Vasopressin: Implications for Anxiety, Depression, and Social Behaviors. Trends Neurosci. 2012, 35, 649–659. [Google Scholar] [CrossRef]
- Michels, L.; Schulte-Vels, T.; Schick, M.; O’gorman, R.L.; Zeffiro, T.; Hasler, G.; Mueller-Pfeiffer, C. Prefrontal Gaba and Gluta-thione Imbalance in Posttraumatic Stress Disorder: Preliminary Findings. Psychiatry Res. 2014, 224, 288–295. [Google Scholar] [CrossRef]
- Lopresti, A.L.; Drummond, P.D. Obesity and Psychiatric Disorders: Commonalities in Dysregulated Biological Pathways and Their Implications for Treatment. Prog. Neuropsychopharmacol. Biol. Psychiatry 2013, 45, 92–99. [Google Scholar] [CrossRef] [PubMed]
- Pennington, D.L.; Abé, C.; Batki, S.L.; Meyerhoff, D.J. A Preliminary Examination of Cortical Neurotransmitter Levels Asso-ciated With Heavy Drinking in Posttraumatic Stress Disorder. Psychiatry Res. 2014, 224, 281–287. [Google Scholar] [CrossRef] [PubMed]
- Mukherjee, S.; Das, S.K.; Vaidyanathan, K.; Vasudevan, D.M. Consequences of Alcohol Consumption on Neurotransmit-ters—An Overview. Curr. Neurovasc. Res. 2008, 5, 266–272. [Google Scholar] [CrossRef] [PubMed]
- Berke, J.D. What does dopamine mean? Nat. Neurosci. 2018, 21, 787–793. [Google Scholar] [CrossRef]
- Blum, K.; Liu, Y.; Wang, W.; Wang, Y.; Zhang, Y.; Oscar-Berman, M.; Smolen, A.; Febo, M.; Han, D.; Simpatico, T.; et al. rsfMRI effects of KB220Z on neural pathways in reward circuitry of abstinent genotyped heroin addicts. Postgrad. Med. 2015, 127, 232–241. [Google Scholar] [CrossRef]
- Blum, K.; Trachtenberg, M.C.; Elliott, C.E.; Dingler, M.L.; Sexton, R.L.; Samuels, A.I.; Cataldie, L. Enkephalinase inhibition and precur-sor amino acid loading improves inpatient treatment of alcohol and polydrug abusers: Double-blind placebo-controlled study of the nutritional adjunct SAAVE. Alcohol 1988, 5, 481–493. [Google Scholar] [CrossRef]
- McLaughlin, T.; Blum, K.; Steinberg, B.; Modestino, E.J.; Fried, L.; Baron, D.; Siwicki, D.; Braverman, E.R.; Badgaiyan, R.D. Pro-dopamine regulator, KB220Z, attenuates hoarding and shopping behavior in a female, diagnosed with SUD and ADHD. J. Behav. Addict. 2018, 7, 192–203. [Google Scholar] [CrossRef]
- McLaughlin, T.; Blum, K.; Oscar-Berman, M.; Febo, M.; Demetrovics, Z.; Agan, G.; Fratantonio, J.; Gold, M.S. Using the Neu-roadaptagen KB200z™ to Ameliorate Terrifying, Lucid Nightmares in RDS Patients: The Role of Enhanced, Brain-Reward, Functional Connectivity and Dopaminergic Homeostasis. J. Reward Defic. Syndr. 2015, 1, 24–35. [Google Scholar] [CrossRef]
- Febo, M.; Blum, K.; Badgaiyan, R.D.; Perez, P.D.; Colon-Perez, L.; Thanos, P.K.; Ferris, C.F.; Kulkarni, P.; Giordano, J.; Baron, D.; et al. Enhanced functional connectivity and volume between cognitive and reward centers of naïve rodent brain produced by pro-dopaminergic agent KB220Z. PLoS ONE 2017, 12, e0174774. [Google Scholar] [CrossRef]
- Solanki, N.; Abijo, T.; Galvao, C.; Darius, P.; Blum, K.; Gondré-Lewis, M.C. Administration of a putative pro-dopamine regulator, a neuronutrient, mitigates alcohol intake in alcohol-preferring rats. Behav. Brain Res. 2020, 385, 112563. [Google Scholar] [CrossRef]
- Chen, W.; Wang, H.J.; Shang, N.N.; Liu, J.; Li, J.; Tang, D.H.; Li, Q. Moderate intensity treadmill exercise alters food preference via dopaminergic plasticity of ventral tegmental area-nucleus accumbens in obese mice. Neurosci. Lett. 2017, 641, 56–61. [Google Scholar] [CrossRef] [PubMed]
- Robison, L.S.; Swenson, S.; Hamilton, J.; Thanos, P.K. Exercise Reduces Dopamine D1R and Increases D2R in Rats: Implications for Addiction. Med. Sci. Sports Exerc. 2018, 50, 1596–1602. [Google Scholar] [CrossRef] [PubMed]
- Thanos, P.K.; Hamilton, J.; O’Rourke, J.R.; Napoli, A.; Febo, M.; Volkow, N.D.; Blum, K.; Gold, M. Dopamine D2 gene expression interacts with environmental enrichment to impact lifespan and behavior. Oncotarget 2016, 7, 19111–19123. [Google Scholar] [CrossRef]
- Kjaer, T.W.; Bertelsen, C.; Piccini, P.; Brooks, D.; Alving, J.; Lou, H.C. Increased dopamine tone during meditation-induced change of consciousness. Brain Res. Cogn. Brain Res. 2002, 13, 255–259. [Google Scholar] [CrossRef]
- Kenneth, B.; Edward, M.J.; Marjorie, G.L.C.; David, B.; Bruce, S.; Panayotis, T.K.; William, D.B.; Davis, S.; Lisa, L.; Eric, B.R.; et al. Pro-Dopamine Regulator (KB220) A Fifty Year Sojourn to Combat Reward Deficiency Syndrome (RDS): Evidence Based Bibliog-raphy (Annotated). CPQ Neurol Psychol. 2018, 1. Available online: https://www.cientperiodique.com/journal/fulltext/CPQNP/1/2/13 (accessed on 1 June 2022).
- Kótyuk, E.; Urbán, R.; Hende, B.; Richman, M.; Magi, A.; Király, O.; Barta, C.; Griffiths, M.D.; Potenza, M.N.; Badgaiyan, R.D.; et al. Development and validation of the Reward Deficiency Syndrome Questionnaire (RDSQ-29). J. Psychopharmacol. 2022, 36, 409–422. [Google Scholar] [CrossRef] [PubMed]
- Vereczkei, A.; Barta, C.; Magi, A.; Farkas, J.; Eisinger, A.; Király, O.; Belik, A.; Griffiths, M.D.; Szekely, A.; Sasvári-Székely, M.; et al. FOXN3 and GDNF Polymorphisms as Common Genetic Factors of Substance Use and Addictive Behaviors. J. Pers. Med. 2022, 12, 690. [Google Scholar] [CrossRef]
- Blum, K.; McLaughlin, T.; Bowirrat, A.; Modestino, E.J.; Baron, D.; Gomez, L.L.; Ceccanti, M.; Braverman, E.R.; Thanos, P.K.; Cadet, J.L.; et al. Reward Deficiency Syndrome (RDS) Surprisingly Is Evolutionary and Found Everywhere: Is It “Blowin’ in the Wind”? J. Pers. Med. 2022, 12, 321. [Google Scholar] [CrossRef]
- Brantingham, J.W. A critical look at the subluxation hypothesis. J. Manip. Physiol. Ther. 1988, 11, 130–132. [Google Scholar]
- Powell, M.; Seid, M.; Szer, I.S. Efficacy of custom foot orthotics in improving pain and functional status in children with juvenile idiopathic arthritis: A randomized trial. J. Rheumatol. 2005, 32, 943–950. [Google Scholar]
- Blum, K.; Chen, T.J.H.; Morse, S.; Giordano, J.; Chen, A.L.C.; Thompson, J.; Allen, C.; Smolen, A.; Lubar, J.; Stice, E.; et al. Overcoming qEEG Abnormalities and Reward Gene Deficits during Protracted Abstinence in Male Psychostimulant and Polydrug Abusers Utilizing Putative Dopamine D2 Agonist Therapy: Part 2. Postgrad. Med. 2010, 122, 214–226. [Google Scholar] [CrossRef]
- Chen, T.J.; Blum, K.; Chen, A.L.; Bowirrat, A.; Downs, W.B.; Madigan, M.A.; Waite, R.L.; Bailey, J.A.; Kerner, M.; Yeldandi, S.; et al. Neurogenetics and Clinical Evidence for the Putative Activation of the Brain Reward Circuitry by a Neuroadaptagen: Proposing an Addiction Candidate Gene Panel Map. J. Psychoact. Drugs 2011, 43, 108–127. [Google Scholar] [CrossRef] [PubMed]
- Waite, R.L.; Oscar-Berman, M.; Braverman, E.R.; Barh, D.; Blum, K. Quantitative Electroencephalography Analysis (qEEG) of Neuro-Electro- Adaptive Therapy 12™ [NEAT12] Up-Regulates Cortical Potentials in an Alcoholic during Protracted Abstinence: Putative Anti-Craving Implications. J. Addict. Res. Ther. 2013, 5, 1–7. [Google Scholar] [CrossRef]
- Miller, D.K.; Bowirrat, A.; Manka, M.; Miller, M.; Stokes, S.; Manka, D.; Allen, C.; Gant, C.; Downs, B.W.; Smolen, A.; et al. Acute Intravenous Synaptamine Complex Variant KB220™ “Normalizes” Neurological Dysregulation in Patients during Protracted Abstinence from Alcohol and Opiates as Observed Using Quantitative Electroencephalographic and Genetic Analysis for Reward Polymorphisms: Part 1, Pilot Study with 2 Case Reports. Postgrad. Med. 2010, 122, 188–213. [Google Scholar] [CrossRef]
- Braverman, E.R.; Blum, K. Substance Use Disorder Exacerbates Brain Electrophysiological Abnormalities in a Psychiatrically-III Population. Clin. Electroencephalogr. 1996, 27, 5–28, Erratum in Clin. Electroencephalogr. 1997, 28, 63. [Google Scholar] [CrossRef] [PubMed]
- Thoma, N.; Pilecki, B.; McKay, D. Contemporary Cognitive Behavior Therapy: A Review of Theory, History, and Evidence. Psychodyn. Psychiatry 2015, 43, 423–461. [Google Scholar] [CrossRef] [PubMed]
- Kuffler, D.P. Photobiomodulation in promoting wound healing: A review. Regen. Med. 2016, 11, 107–122. [Google Scholar] [CrossRef] [PubMed]
- Fried, L.; Modestino, E.J.; Siwicki, D.; Lott, L.; Thanos, P.K.; Baron, D.; Badgaiyan, R.D.; Ponce, J.V.; Giordano, J.; Downs, W.B.; et al. Hypodopaminergia and “Precision Behavioral Management” (PBM): It is a Generational Family Affair. Curr. Pharm. Biotechnol. 2020, 21, 528–541. [Google Scholar] [CrossRef] [PubMed]
- Blum, K.; Steinberg, B.; Gondré-Lewis, M.C.; Baron, D.; Modestino, E.J.; Badgaiyan, R.D.; Downs, B.W.; Bagchi, D.; Brewer, R.; McLaughlin, T.; et al. A Review of DNA Risk Alleles to Determine Epigenetic Repair of mRNA Expression to Prove Therapeutic Effectiveness in Reward Deficiency Syndrome (RDS): Embracing “Precision Behavioral Management”. Psychol. Res. Behav. Manag. 2021, 14, 2115–2134. [Google Scholar] [CrossRef]
- Jarrin, S.; Finn, D.P. Optogenetics and its application in pain and anxiety research. Neurosci. Biobehav. Rev. 2019, 105, 200–211. [Google Scholar] [CrossRef]
- Storebø, O.J.; Pedersen, N.; Ramstad, E.; Kielsholm, M.L.; Nielsen, S.S.; Krogh, H.B.; Moreira-Maia, C.R.; Magnusson, F.L.; Holmskov, M.; Gerner, T.; et al. Methylphenidate for attention deficit hyperactivity disorder (ADHD) in children and adolescents—Assessment of adverse events in non-randomised studies. Cochrane Database Syst. Rev. 2018, 5, CD012069. [Google Scholar] [CrossRef]
- Wolf, J.M.; Cameron, K.L.; Owens, B.D. Impact of Joint Laxity and Hypermobility on the Musculoskeletal System. J. Am. Acad. Orthop. Surg. 2011, 19, 463–471. [Google Scholar] [CrossRef] [PubMed]
- Blum, K.; Gold, M.S.; Febo, M.; Baron, D.; Modestino, E.J.; Elman, I.; Badgaiyan, R.D. Molecular role of dopamine in anhedonia linked to reward deficiency syndrome RDS and anti- reward systems. Front. Biosci. 2018, 10, 309–325. [Google Scholar] [CrossRef]
- Blum, K.; Downs, B.W.; Dushaj, K.; Li, M.; Braverman, E.R.; Fried, L.; Waite, R.; Demotrovics, Z.; Badgaiyan, R.D. The benefits of cus-tomized DNA directed nutrition to balance the brain reward circuitry and reduce addictive behaviors. Precis. Med. 2016, 1, 18–33. [Google Scholar]
- Blum, K.; Febo, M.; Fried, L.; Baron, D.; Braverman, E.R.; Dushaj, K.; Li, M.; Demetrovics, Z.; Badgaiyan, R.D. Pro-Dopamine Regulator—(KB220) to Balance Brain Reward Circuitry in Reward Deficiency Syndrome (RDS). J. Reward Defic. Syndr. Addict. Sci. 2017, 3, 3–13. [Google Scholar] [CrossRef]
- Blum, K.; Modestino, E.J.; Lewis, M.G.; Downs, B.W.; Baron, D.; Steinberg, B.; Siwicki, D.; Giordano, J.; McLaughlin, T.; Neary, J.; et al. “Dopamine homeostasis” requires balanced polypharmacy: Issue with destructive, powerful dopamine agents to combat America’s drug epidemic. J. Syst. Integr. Neurosci. 2017, 3. [Google Scholar] [CrossRef] [PubMed][Green Version]
- Blum, K.; Liu, Y.; Shriner, R.; Gold, M.S. Reward Circuitry Dopaminergic Activation Regulates Food and Drug Craving Behavior. Curr. Pharm. Des. 2011, 17, 1158–1167. [Google Scholar] [CrossRef]
- Blum, K.; Marcelo, F.; Dushaj, K.; Fried, L.; Badgaiyan, R.D. “Pro-Dopamine Regulation (KB220Z™)” as a Long-Term Therapeutic Modality to Overcome Reduced Resting State Dopamine Tone in Opiate /Opioid Epidemic in America. J. Syst. Integr. Neurosci. 2016, 2, 162–165. [Google Scholar] [CrossRef][Green Version]
- Blum, K.; Febo, M.; Fried, L.; Li, M.; Dushaj, K.; Braverman, E.R.; McLaughlin, T.; Steinberg, B.; Badgaiyan, R.D. Hypothesizing That Neuropharmacological and Neuroimaging Studies of Glutaminergic-Dopaminergic Optimization Complex (KB220Z) Are Associated With “Dopamine Homeostasis” in Reward Deficiency Syndrome (RDS). Subst. Use Misuse 2016, 52, 535–547. [Google Scholar] [CrossRef][Green Version]
- Duquette, L.L.; Mattiace, F.; Blum, K.; Waite, R.L.; Boland, T.; McLaughlin, T.; Dushaj, K.; Febo, M.; Badgaiyan, R.D. Neurobiology of KB220Z-Glutaminergic-Dopaminergic Optimization Complex [GDOC] as a Liquid Nano: Clinical Activation of Brain in a Highly Functional Clinician Improving Focus, Motivation and Overall Sensory Input Following Chronic Intake. Clin. Med. Rev. Case Rep. 2016, 3, 104. [Google Scholar] [CrossRef][Green Version]
- Blum, K.; Febo, M.; Badgaiyan, R.D. Fifty Years in the Development of a Glutaminergic-Dopaminergic Optimization Complex (KB220) to Balance Brain Reward Circuitry in Reward Deficiency Syndrome: A Pictorial. Austin Addict. Sci. 2016, 1, 1006. [Google Scholar]
- Blum, K.; Badgaiyan, R.D.; Braverman, E.R.; Dushaj, K.; Li, M.; Thanos, P.K.; Demetrovics, Z.; Febo, M. Hypothesizing that, A Pro-Dopamine Regulator (KB220Z) Should Optimize, but Not Hyper-Activate the Activity of Trace Amine-Associated Receptor 1 (TAAR-1) and Induce Anti-Craving of Psychostimulants in the Long-Term. J. Reward Defic. Syndr. Addict. Sci. 2016, 2, 14–21. [Google Scholar] [CrossRef] [PubMed]
- Blum, K.; Febo, M.; Fahlke, C.; Archer, T.; Berggren, U.; Demetrovics, Z.; Dushaj, K.; Badgaiyan, R.D. Hypothesizing Balancing Endorphinergic and Glutaminergic Systems to Treat and Prevent Relapse to Reward Deficiency Behaviors: Coupling D-Phenylalanine and N-Acetyl-L-Cysteine (NAC) as a Novel Therapeutic Modality. Clin. Med. Rev. Case Rep. 2015, 2, 943–950. [Google Scholar] [CrossRef] [PubMed]
- Karila, L.; Marillier, M.; Chaumette, B.; Billieux, J.; Franchitto, N.; Benyamina, A. New synthetic opioids: Part of a new addiction landscape. Neurosci. Biobehav. Rev. 2018, 106, 133–140. [Google Scholar] [CrossRef] [PubMed]
- Miller, D.; Miller, M.; Blum, K.; Badgaiyan, R.; Febo, M. Addiction Treatment in America: After Money or Aftercare? J. Reward Defic. Syndr. 2015, 1, 87–94. [Google Scholar] [CrossRef]
- Blum, K.; Chen, T.J.H.; Bailey, J.; Bowirrat, A.; Femino, J.; Chen, A.L.C.; Simpatico, T.; Morse, S.; Giordano, J.; Damle, U.; et al. Can the Chronic Administration of the Combination of Buprenorphine and Naloxone Block Dopaminergic Activity Causing Anti-reward and Relapse Potential? Mol. Neurobiol. 2011, 44, 250–268. [Google Scholar] [CrossRef][Green Version]
- Blum, K.; Thompson, B.; Demotrovics, Z.; Femino, J.; Giordano, J.; Berman, M.O.; Teitelbaum, S.; Smith, D.E.; Roy, A.K.; Agan, G.; et al. The Molecular Neurobiology of Twelve Steps Program & Fellowship: Connecting the Dots for Recovery. J. Reward Defic. Syndr. 2015, 1, 46–64. [Google Scholar] [CrossRef][Green Version]
- Buckner, R.L.; Andrews-Hanna, E.J.R.; Schactera, D.L. The Brain’s Default Network: Anatomy, Function, and Relevance to Disease. Ann. N. Y. Acad. Sci. 2008, 1124, 1–38. [Google Scholar] [CrossRef]
- Blum, K.; Gold, M.S. Neuro-chemical activation of brain reward meso-limbic circuitry is associated with relapse prevention and drug hunger: A hypothesis. Med. Hypotheses 2011, 76, 576–584. [Google Scholar] [CrossRef]
- Baliki, M.N.; Geha, P.; Apkarian, A.V.; Chialvo, D.R. Beyond Feeling: Chronic Pain Hurts the Brain, Disrupting the Default-Mode Network Dynamics. J. Neurosci. 2008, 28, 1398–1403. [Google Scholar] [CrossRef]
- Alshelh, Z.; Marciszewski, K.; Akhter, R.; Di Pietro, F.; Mills, E.; Vickers, E.; Peck, C.; Murray, G.; Henderson, L. Disruption of default mode network dynamics in acute and chronic pain states. NeuroImage Clin. 2017, 17, 222–231. [Google Scholar] [CrossRef]
- Apkarian, A.V.; Sosa, Y.; Sonty, S.; Levy, R.M.; Harden, R.N.; Parrish, T.; Gitelman, D. Chronic Back Pain Is Associated with Decreased Prefrontal and Thalamic Gray Matter Density. J. Neurosci. 2004, 24, 10410–10415. [Google Scholar] [CrossRef] [PubMed]
- Fitz-Ritson, D. The anatomy and physiology of the muscle spindle, and its role in posture and movement: A review. J. Can. Chiropr. Assoc. 1982, 26, 144–150. [Google Scholar]
- Abrahams, V.C. The physiology of neck muscles; their role in head movement and maintenance of posture. Can. J. Physiol. Pharmacol. 1977, 55, 332–338. [Google Scholar] [CrossRef]
- Grant, J.E.; Chamberlain, S.R. Trichotillomania. Am. J. Psychiatry 2016, 173, 868–874. [Google Scholar] [CrossRef] [PubMed]
- Madigan, M.A.; Gupta, A.; Bowirrat, A.; Baron, D.; Badgaiyan, R.D.; Elman, I.; Dennen, C.A.; Braverman, E.R.; Gold, M.S.; Blum, K. Precision Behavioral Management (PBM) and Cognitive Control as a Potential Therapeutic and Prophylactic Modality for Reward Deficiency Syndrome (RDS): Is There Enough Evidence? Int. J. Environ. Res. Public Health 2022, 19, 6395. [Google Scholar] [CrossRef] [PubMed]



Publisher’s Note: MDPI stays neutral with regard to jurisdictional claims in published maps and institutional affiliations. |
© 2022 by the authors. Licensee MDPI, Basel, Switzerland. This article is an open access article distributed under the terms and conditions of the Creative Commons Attribution (CC BY) license (https://creativecommons.org/licenses/by/4.0/).
Share and Cite
Bajaj, A.; Blum, K.; Bowirrat, A.; Gupta, A.; Baron, D.; Fugel, D.; Nicholson, A.; Fitch, T.; Downs, B.W.; Bagchi, D.; et al. DNA Directed Pro-Dopamine Regulation Coupling Subluxation Repair, H-Wave® and Other Neurobiologically Based Modalities to Address Complexities of Chronic Pain in a Female Diagnosed with Reward Deficiency Syndrome (RDS): Emergence of Induction of “Dopamine Homeostasis” in the Face of the Opioid Crisis. J. Pers. Med. 2022, 12, 1416. https://doi.org/10.3390/jpm12091416
Bajaj A, Blum K, Bowirrat A, Gupta A, Baron D, Fugel D, Nicholson A, Fitch T, Downs BW, Bagchi D, et al. DNA Directed Pro-Dopamine Regulation Coupling Subluxation Repair, H-Wave® and Other Neurobiologically Based Modalities to Address Complexities of Chronic Pain in a Female Diagnosed with Reward Deficiency Syndrome (RDS): Emergence of Induction of “Dopamine Homeostasis” in the Face of the Opioid Crisis. Journal of Personalized Medicine. 2022; 12(9):1416. https://doi.org/10.3390/jpm12091416
Chicago/Turabian StyleBajaj, Anish, Kenneth Blum, Abdalla Bowirrat, Ashim Gupta, David Baron, David Fugel, Ayo Nicholson, Taylor Fitch, B. William Downs, Debasis Bagchi, and et al. 2022. "DNA Directed Pro-Dopamine Regulation Coupling Subluxation Repair, H-Wave® and Other Neurobiologically Based Modalities to Address Complexities of Chronic Pain in a Female Diagnosed with Reward Deficiency Syndrome (RDS): Emergence of Induction of “Dopamine Homeostasis” in the Face of the Opioid Crisis" Journal of Personalized Medicine 12, no. 9: 1416. https://doi.org/10.3390/jpm12091416
APA StyleBajaj, A., Blum, K., Bowirrat, A., Gupta, A., Baron, D., Fugel, D., Nicholson, A., Fitch, T., Downs, B. W., Bagchi, D., Dennen, C. A., & Badgaiyan, R. D. (2022). DNA Directed Pro-Dopamine Regulation Coupling Subluxation Repair, H-Wave® and Other Neurobiologically Based Modalities to Address Complexities of Chronic Pain in a Female Diagnosed with Reward Deficiency Syndrome (RDS): Emergence of Induction of “Dopamine Homeostasis” in the Face of the Opioid Crisis. Journal of Personalized Medicine, 12(9), 1416. https://doi.org/10.3390/jpm12091416

