Reproducibility of 2D and 3D Ramus Height Measurements in Facial Asymmetry
Abstract
1. Introduction
2. Materials and Methods
- Older than 16 years of age;
- A panorex image where the condyle and the gonial angle are visible on both sides;
- A CBCT with a slice thickness of 0.4 mm.
- Prior mandibular surgery.
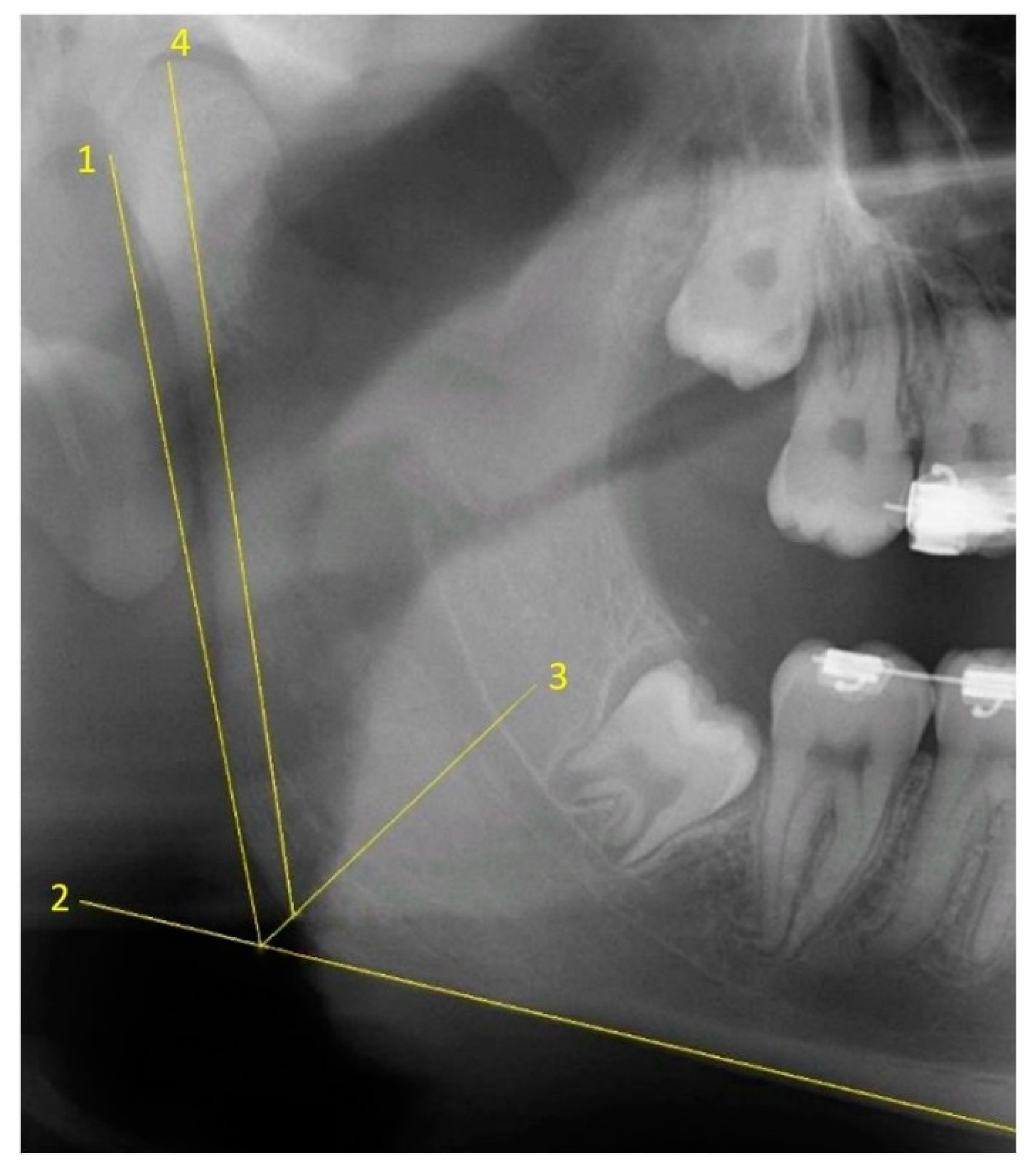
2.1. Two-Dimensional Methods
2.2. Three-Dimensional Method
2.3. Sample Size
2.4. Statistical Analysis
3. Results
4. Discussion
Author Contributions
Funding
Institutional Review Board Statement
Informed Consent Statement
Data Availability Statement
Conflicts of Interest
Appendix A. Bland–Altman Plots of All the Intra- and Inter-Observer Tests

References
- Obwegeser, H.L.; Makek, M.S. Hemimandibular hyperplasia–hemimandibular elongation. J. Maxillofac. Surg. 1986, 14, 183–208. [Google Scholar] [CrossRef]
- Karssemakers, L.H.E. Unilaterale condylaire hyperactiviteit. Ned. Tijdschr. Tandheelkd. 2012, 119, 500–504. [Google Scholar] [CrossRef] [PubMed][Green Version]
- Saridin, C.P.; Raijmakers, P.G.H.M.; Tuinzing, D.B.; Becking, A.G. Comparison of planar bone scintigraphy and single photon emission computed tomography in patients suspected of having unilateral condylar hyperactivity. Oral Surg. Oral Med. Oral Pathol. Oral Radiol. Endodontol. 2008, 106, 426–432. [Google Scholar] [CrossRef] [PubMed]
- Maniskas, S.A.; Ly, C.L.; Pourtaheri, N.; Parsaei, Y.; Steinbacher, D.M. Concurrent High Condylectomy and Orthognathic Surgery for Treatment of Patients with Unilateral Condylar Hyperplasia. J. Craniofac. Surg. 2020, 31, 2217–2221. [Google Scholar] [CrossRef]
- Almeida, L.E.; Zacharias, J.; Pierce, S. Condylar hyperplasia: An updated review of the literature. Korean J. Orthod. 2015, 45, 333–340. [Google Scholar] [CrossRef]
- Mouallem, G.; Vernex-Boukerma, Z.; Longis, J.; Perrin, J.P.; Delaire, J.; Mercier, J.M.; Corre, P. Efficacy of proportional condylectomy in a treatment protocol for unilateral condylar hyperplasia: A review of 73 cases. J. Cranio-Maxillofac. Surg. 2017, 45, 1083–1093. [Google Scholar] [CrossRef]
- Fariña, R.; Olate, S.; Raposo, A.; Araya, I.; Alister, J.P.; Uribe, F. High condylectomy versus proportional condylectomy: Is secondary orthognathic surgery necessary? Int. J. Oral Maxillofac. Surg. 2016, 45, 72–77. [Google Scholar] [CrossRef]
- Niño-Sandoval, T.C.; Maia, F.P.A.; Vasconcelos, B.C.E. Efficacy of proportional versus high condylectomy in active condylar hyperplasia—A systematic review. J. Cranio-Maxillofac. Surg. 2019, 47, 1222–1232. [Google Scholar] [CrossRef]
- Markic, G.; Müller, L.; Patcas, R.; Roos, M.; Lochbühler, N.; Peltomäki, T.; Karlo, C.A.; Ullrich, O.; Kellenberger, C.J. Assessing the length of the mandibular ramus and the condylar process: A comparison of OPG, CBCT, CT, MRI, and lateral cephalometric measurements. Eur. J. Orthod. 2015, 37, 13–21. [Google Scholar] [CrossRef]
- Türp, J.C.; Vach, W.; Harbich, K.; Alt, K.W.; Strub, J.R. Determining mandibular condyle and ramus height with the help of an Orthopantomogram®—A valid method? J. Oral Rehabil. 1996, 23, 395–400. [Google Scholar] [CrossRef]
- de Oliveira, F.T.; Soares, M.Q.S.; Sarmento, V.A.; Rubira, C.M.F.; Lauris, J.R.P.; Rubira-Bullen, I.R.F. Mandibular ramus length as an indicator of chronological age and sex. Int. J. Legal Med. 2014, 129, 195–201. [Google Scholar] [CrossRef] [PubMed]
- Laster, W.S.; Ludlow, J.B.; Bailey, L.J.; Hershey, H.G. Accuracy of measurements of mandibular anatomy and prediction of asymmetry in panoramic radiographic images. Dentomaxillofacial Radiol. 2005, 34, 343–349. [Google Scholar] [CrossRef] [PubMed]
- Kjellberg, H.; Ekestubbe, A.; Kiliaridis, S.; Thilander, B. Condylar height on panoramic radiographs: A methodologic study with a clinical application. Acta Odontol. Scand. 1994, 52, 43–50. [Google Scholar] [CrossRef] [PubMed]
- Puricelli, E. Panorametry: Suggestion of a method for mandibular measurements on panoramic radiographs. Head Face Med. 2009, 5, 19. [Google Scholar] [CrossRef]
- Parma, C. Die Röntgendiagnostik der Kiefergelenke. Röntgenpraxis 1932, 7, 633–639. [Google Scholar]
- Caufield, P.W. Tracing Technique and Identification of Landmarks. In Radiographic Cephalometry, from Basics to 3-D Imaging; Jacobson, A., Jacobson, R.L., Eds.; Quintessence Books; Quintessence Pub. Co.: Berlin, Germany, 2006. [Google Scholar]
- Kambylafkas, P.; Murdock, E.; Gilda, E.; Tallents, R.H.; Kyrkanides, S. Validity of panoramic radiographs for measuring mandibular asymmetry. Angle Orthod. 2006, 76, 388–393. [Google Scholar] [CrossRef]
- De Bont, L.G.M.; van der Kuijl, B.; Stegenga, B.; Vencken, L.M.; Boering, G. Computed tomography in differential diagnosis of temporomandibular joint disorders. Int. J. Oral Maxillofac. Surg. 1993, 22, 200–209. [Google Scholar] [CrossRef]
- Nolte, J.W.; Verhoeven, T.J.; Schreurs, R.; Bergé, S.J.; Karssemakers, L.H.E.; Becking, A.G.; Maal, T.J.J. 3-Dimensional CBCT analysis of mandibular asymmetry in unilateral condylar hyperplasia. J. Cranio-Maxillofac. Surg. 2016, 44, 1970–1976. [Google Scholar] [CrossRef]
- Field, A. Discovering Statistics Using IBM SPSS Statistics; SAGE Publications Ltd.: Thousand Oaks, CA, USA, 2005. [Google Scholar]
- Koo, T.K.; Li, M.Y. A Guideline of Selecting and Reporting Intraclass Correlation Coefficients for Reliability Research. J. Chiropr. Med. 2016, 15, 155–163. [Google Scholar] [CrossRef]
- Nunnally, J.C.; Bernstein, I.H. Psychometric Theory; McGraw-Hill Series in Psychology: New York, NY, USA, 1994; p. 583. [Google Scholar]
- Van den Bempt, M.; Liebregts, J.; Maal, T.; Bergé, S.; Xi, T. Toward a higher accuracy in orthognathic surgery by using intraoperative computer navigation, 3D surgical guides, and/or customized osteosynthesis plates: A systematic review. J. Cranio-Maxillofac. Surg. 2018, 46, 2108–2119. [Google Scholar] [CrossRef]
- Almukhtar, A.; Ju, X.; Khambay, B.; McDonald, J.; Ayoub, A. Comparison of the accuracy of voxel based registration and surface based registration for 3D assessment of surgical change following orthognathic surgery. PLoS ONE 2014, 9, e93402. [Google Scholar] [CrossRef] [PubMed]
- Beloor Vasudeva, S.; Kameko, N.; Endo, A.; Okano, T. Influence of horizontal condylar angle and X-ray projection angle on the appearance of the condyle on lateral temporomandibular joint panoramic radiographs. Oral Health Dent. Manag. 2012, 11, 177–184. [Google Scholar] [PubMed]
- Moerenhout, B.A.M.M.L.; Gelaude, F.; Swennen, G.; Casselman, J.; Van Der Sloten, J.; Mommaerts, M. Accuracy and repeatability of cone-beam computed tomography (CBCT) measurements used in the determination of facial indices in the laboratory setup. J. Craniomaxillofac. Surg. 2008, 37, 18–23. [Google Scholar] [CrossRef] [PubMed]
- Nolte, J.W.; Karssemakers, L.H.E.; Grootendorst, D.C.; Tuinzing, D.B.; Becking, A.G. Panoramic imaging is not suitable for quantitative evaluation, classification, and follow up in unilateral condylar hyperplasia. Br. J. Oral Maxillofac. Surg. 2015, 53, 446–450. [Google Scholar] [CrossRef] [PubMed]
- Sembronio, S.; Tel, A.; Costa, F.; Robiony, M. An Updated Protocol for the Treatment of Condylar Hyperplasia: Computer-Guided Proportional Condylectomy. J. Oral Maxillofac. Surg. 2019, 77, 1457–1465. [Google Scholar] [CrossRef]



| Difference in Ramus Height Left vs. Right N = 32 * | Intra-Observer Reliability N = 10 † | Inter-Observer Reliability N = 10 ‡ | |||
|---|---|---|---|---|---|
| Method | Mean ± SD | Mean diff ± SD | ICC (95% CI) | Mean diff ± SD | ICC (95% CI) |
| OPG-FH | 2.15 ± 3.53 | 0.85 ± 0.50 | 0.95 (0.82–0.99) | 1.53 ± 0.87 | 0.86 (0.06–0.97) |
| OPG-B | 0.93 ± 3.34 | 0.65 ± 0.58 | 0.95 (0.82–0.99) | 0.72 ± 0.37 | 0.96 (0.78–0.99) |
| CBCT | 1.41 ± 2.50 | 0.56 ± 0.39 | 0.92 (0.73–0.98) | 0.76 ± 0.58 | 0.87 (0.56–0.97) |
Publisher’s Note: MDPI stays neutral with regard to jurisdictional claims in published maps and institutional affiliations. |
© 2022 by the authors. Licensee MDPI, Basel, Switzerland. This article is an open access article distributed under the terms and conditions of the Creative Commons Attribution (CC BY) license (https://creativecommons.org/licenses/by/4.0/).
Share and Cite
van Bakelen, N.B.; van der Graaf, J.W.; Kraeima, J.; Spijkervet, F.K.L. Reproducibility of 2D and 3D Ramus Height Measurements in Facial Asymmetry. J. Pers. Med. 2022, 12, 1181. https://doi.org/10.3390/jpm12071181
van Bakelen NB, van der Graaf JW, Kraeima J, Spijkervet FKL. Reproducibility of 2D and 3D Ramus Height Measurements in Facial Asymmetry. Journal of Personalized Medicine. 2022; 12(7):1181. https://doi.org/10.3390/jpm12071181
Chicago/Turabian Stylevan Bakelen, Nicolaas B., Jasper W. van der Graaf, Joep Kraeima, and Frederik K. L. Spijkervet. 2022. "Reproducibility of 2D and 3D Ramus Height Measurements in Facial Asymmetry" Journal of Personalized Medicine 12, no. 7: 1181. https://doi.org/10.3390/jpm12071181
APA Stylevan Bakelen, N. B., van der Graaf, J. W., Kraeima, J., & Spijkervet, F. K. L. (2022). Reproducibility of 2D and 3D Ramus Height Measurements in Facial Asymmetry. Journal of Personalized Medicine, 12(7), 1181. https://doi.org/10.3390/jpm12071181
