Xanthogranuloma of the Sellar Region: A Comprehensive Review of Neuroimaging in a Rare Inflammatory Entity
Abstract
1. Introduction
2. Histogenesis and Pathogenesis
3. Demographics and Clinical Presentation
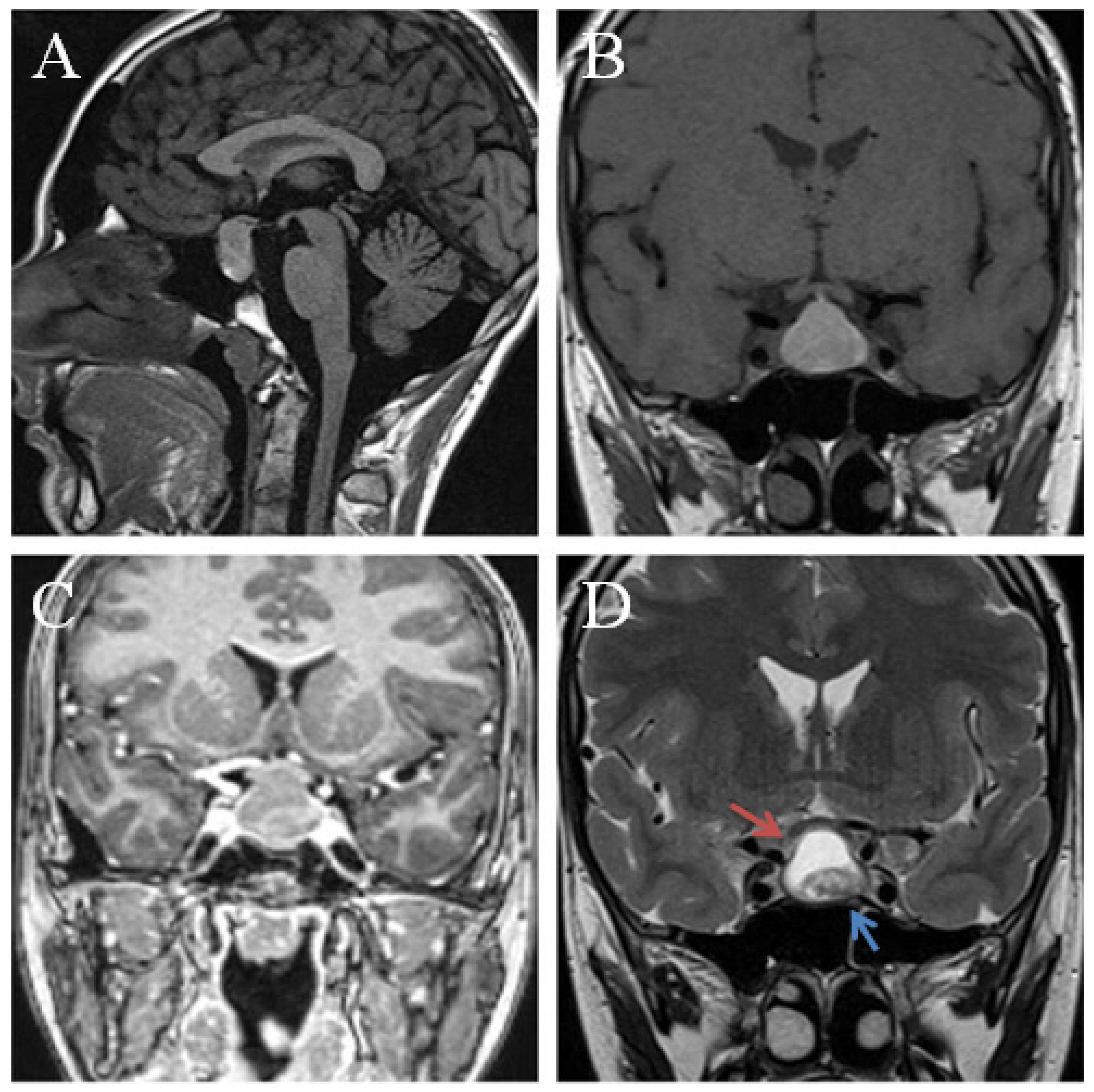
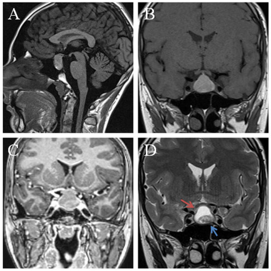
4. Neuroimaging of Sellar Xanthogranulomas
4.1. Demographics in the Reviewed Cases of Sellar Xanthogranuloma
4.2. Sellar Xanthogranulomas MRI Pattern of Morphology
4.3. Contrast Enhancement of Sellar Xanthogranulomas
4.4. Sellar Xanthogranulomas Dimensions, Shape, Location, Epicenter, and Extension to Surrounding Structures
4.5. Pituitary Gland Appearance on MRI
4.6. Additional Signs
4.7. MRI Features of Xanthogranuloma in Correlation with Histopathological Diagnosis
4.8. Imaging Differential Diagnosis of Sellar Xanthogranulomas
| Criteria | Sellar XG | RCC | Adamantinomatous CP | Papillary CP | PA |
|---|---|---|---|---|---|
| Mean age (years) | 41 | 38 | 5–14 | 65–74 | 18–73 |
| Sex prevalence (F/M) | 1:1 | 2:1 | 1:1 | 1:1 | 1:1 |
| Component characteristics | Cystic, mixed (solid, cystic portions) | Cystic, intracystic nodules (77%) [63] | Mixed (solid, cystic, lipid components, calcified portions) [60] | Mostly solid or mixed (solid and cystic) [60] | Mostly solid (may contain cystic component or hemorrhage) |
| Signal intensity on T1WI | Hyperintense cystic component Iso- to hypointense solid component | Hypointense (some are hyperintense) | Hyperintense cystic part [63], variable intensity of the solid part | Isointense solid component | Hypointense [71] |
| Signal intensity on T2WI | Hyperintense cystic component | Hyperintense | Hyperintense cystic component; Variable intensity of the solid component | Isointense solid component | Variable (usually hyperintense) |
| Contrast enhancement pattern | No or linear rim CE of the cystic component Hetero- or homogenous CE of the solid component | No or linear rim CE. | Homo- or inhomogeneous (small necrotic areas) CE of the solid component; Peripheral CE. | Homogenous or reticular CE [60] | Homogenous CE [72] |
| Shape | Round or Ovoid | Round | Multilobulated | Round | Snowman-like |
| Calcifications on C.T. | In ~34% | - | In ~90% [60] | - | Rare |
| Main tumor epicenter | Sellar | Sellar | Suprasellar | Suprasellar | Sellar |
| Tumor extension | Compressing 3rd ventricle | Below optic chiasm [59] | Compressing 3rd ventricle [60] | Compressing 3rd ventricle [60] | Compressing optic chiasm [59] |
5. Future Perspectives in Neuroimagistics of Sellar Xanthogranuloma
6. Beyond Imaging Diagnosis: The Molecular Profile of Sellar Xanthogranulomas
7. Treatment Options, Long-Term Surveillance, and Outcome
8. Conclusions
Author Contributions
Funding
Institutional Review Board Statement
Informed Consent Statement
Data Availability Statement
Conflicts of Interest
References
- Miyajima, Y.; Oka, H.; Utsuki, S.; Fujii, K. Rathke’s Cleft Cyst with Xanthogranulomatous Change—Case Report. Neurol. Med. Chir. 2011, 51, 740–742. [Google Scholar] [CrossRef] [PubMed]
- Pear, B.L. Xanthogranuloma of the Choroid Plexus. AJR Am. J. Roentgenol. 1984, 143, 401–402. [Google Scholar] [CrossRef] [PubMed]
- Paulus, W.; Honegger, J.; Keyvani, K.; Fahlbusch, R. Xanthogranuloma of the Sellar Region: A Clinicopathological Entity Different from Adamantinomatous Craniopharyngioma. Acta Neuropathol. 1999, 97, 377–382. [Google Scholar] [CrossRef] [PubMed]
- Gherini, S.G.; Brackmann, D.E.; Lo, W.W.M.; Solti-Bohman, L.G. Cholesterol Granuloma of the Petrous Apex. Laryngoscope 1985, 95, 659–664. [Google Scholar] [CrossRef]
- Yang, B.; Yang, C.; Fang, J.; Li, G.; Wang, J.; Jia, G.; Liu, P.; Jia, W.; Wang, S. Clinicoradiologic Features and Surgical Outcomes of Sellar Xanthogranulomas: A Single-Center 10-Year Experience. World Neurosurg. 2017, 99, 439–447. [Google Scholar] [CrossRef]
- Ferguson, C.; Walling, S.; Easton, A.; Shankar, J.J.S. Fourth Ventricle Choroid Plexus Xanthogranuloma Causing Hydrocephalus. Can. J. Neurol. Sci. J. Can. Sci. Neurol. 2015, 42, 454–456. [Google Scholar] [CrossRef]
- Tatter, S.B.; Ogilvy, C.S.; Golden, J.A.; Ojemann, R.G.; Louis, D.N. Third Ventricular Xanthogranulomas Clinically and Radiologically Mimicking Colloid Cysts. Report of Two Cases. J. Neurosurg. 1994, 81, 605–609. [Google Scholar] [CrossRef]
- Miranda, P.; Lobato, R.D.; Ricoy, J.R. Xanthogranuloma of the Choroid Plexus of the Third Ventricle: Case Report and Literature Review. Neurocirugía 2005, 16, 518–522. [Google Scholar] [CrossRef]
- Shirataki, K.; Okada, S.; Matsumoto, S. Histopathological study of the “cholesterol granuloma reaction” in the sellar and juxta-sellar tumors. No Shinkei 1988, 40, 133–139. [Google Scholar]
- Burt, M.G.; Morey, A.L.; Turner, J.J.; Pell, M.; Sheehy, J.P.; Ho, K.K. Xanthomatous Pituitary Lesions: A Report of Two Cases and Review of the Literature. Pituitary. 2003. Available online: https://www.google.com/search?q=Burt+MG%2C+Morey+AL%2C+Turner+JJ%2C+Pell+M%2C+Sheehy+JP%2C+Ho+KK.+Xanthomatous+pituitary+lesions%3A+a+report+of+two+cases+and+review+of+the+literature.+Pituitary.+2003&oq=Burt+MG%2C+Morey+AL%2C+Turner+JJ%2C+Pell+M%2C+Sheehy+JP%2C+Ho+KK.+Xanthomatous+pituitary+lesions%3A+a+report+of+two+cases+and+review+of+the+literature.+Pituitary.+2003&aqs=chrome..69i57.272j0j4&sourceid=chrome&ie=UTF-8 (accessed on 9 February 2022).
- Amano, K.; Kubo, O.; Komori, T.; Tanaka, M.; Kawamata, T.; Hori, T.; Okada, Y. Clinicopathological Features of Sellar Region Xanthogranuloma: Correlation with Rathke’s Cleft Cyst. Brain Tumor Pathol. 2013, 30, 233–241. [Google Scholar] [CrossRef]
- Arai, A.; Nishihara, M.; Sasayama, T.; Aihara, H.; Hosoda, K.; Itoh, T.; Sakagami, Y.; Kuwamura, K.; Kohmura, E. Xanthogranuloma of the Sellar Region—Case Report. Neurol. Med. Chir. 2010, 50, 488–491. [Google Scholar] [CrossRef] [PubMed]
- Kamoshima, Y.; Sawamura, Y.; Motegi, H.; Kubota, K.; Houkin, K. Xanthogranuloma of the Sellar Region of Children: Series of Five Cases and Literature Review. Neurol. Med. Chir. 2011, 51, 689–693. [Google Scholar] [CrossRef] [PubMed]
- Sugata, S.; Hirano, H.; Yatsushiro, K.; Yunoue, S.; Nakamura, K.; Arita, K. Xanthogranuloma in the Suprasellar Region. Neurol. Med. Chir. 2009, 49, 124–127. [Google Scholar] [CrossRef] [PubMed]
- Petrakakis, I.; Pirayesh, A.; Krauss, J.K.; Raab, P.; Hartmann, C.; Nakamura, M. The Sellar and Suprasellar Region: A “Hideaway” of Rare Lesions. Clinical Aspects, Imaging Findings, Surgical Outcome and Comparative Analysis. Clin. Neurol. Neurosurg. 2016, 149, 154–165. [Google Scholar] [CrossRef] [PubMed]
- Nishimura, F.; Park, Y.-S.; Motoyama, Y.; Nakagawa, I.; Yamada, S.; Nakase, H. Pediatric Case of Xanthogranuloma in the Sellar Region Presenting a Visual Disturbance Successfully Treated with Endoscopic Endonasal Surgery. World Neurosurg. 2018, 114, 22–26. [Google Scholar] [CrossRef]
- Rahmani, R.; Sukumaran, M.; Donaldson, A.M.; Akselrod, O.; Lavi, E.; Schwartz, T.H. Parasellar Xanthogranulomas. J. Neurosurg. 2015, 122, 812–817. [Google Scholar] [CrossRef]
- Kleinschmidt-DeMasters, B.K.; Lillehei, K.O.; Hankinson, T.C. Review of Xanthomatous Lesions of the Sella. Brain Pathol. Zurich Switz. 2017, 27, 377–395. [Google Scholar] [CrossRef]
- Cozzutto, C.; Carbone, A. The Xanthogranulomatous Process. Xanthogranulomatous Inflammation. Pathol. Res. Pract. 1988, 183, 395–402. [Google Scholar] [CrossRef]
- Cheng, D.; Yang, F.; Li, Z.; Qv, F.; Liu, W. Juvenile Xanthogranuloma of the Sellar Region with a 5-Year Medical History: Case Report and Literature Review. Pediatr. Neurosurg. 2021, 56, 440–447. [Google Scholar] [CrossRef]
- Nishioka, H.; Shibuya, M.; Ohtsuka, K.; Ikeda, Y.; Haraoka, J. Endocrinological and MRI Features of Pituitary Adenomas with Marked Xanthogranulomatous Reaction. Neuroradiology 2010, 52, 997–1002. [Google Scholar] [CrossRef]
- Ved, R.; Logier, N.; Leach, P.; Davies, J.S.; Hayhurst, C. Pituitary Xanthogranulomas: Clinical Features, Radiological Appearances and Post-Operative Outcomes. Pituitary 2018, 21, 256–265. [Google Scholar] [CrossRef] [PubMed]
- Li, G.; Zhang, C.; Sun, Y.; Mu, Q.; Huang, H. Xanthogranulomatous Pituitary Adenoma: A Case Report and Literature Review. Mol. Clin. Oncol. 2018, 8, 445–448. [Google Scholar] [CrossRef] [PubMed]
- Stagno, V.; Baldo, S.; Caro, M.D.B.D.; Esposito, F.; Cavallo, L.M.; Cappabianca, P. Xanthogranuloma of the Sellar Region in a Patient with Acromegaly. World J. Pathol. 2013, 2, 29–34. [Google Scholar]
- Vasquez, C.A.; Downes, A.; Kleinschmidt-DeMasters, B.K.; Youssef, A.S. Functioning Pituitary Adenoma with Xanthogranulomatous Features: Review of Literature and Case Report. J. Neurol. Surg. Part B Skull Base 2019, 80, 449–457. [Google Scholar] [CrossRef]
- Nishiuchi, T.; Murao, K.; Imachi, H.; Kushida, Y.; Haba, R.; Kawai, N.; Tamiya, T.; Ishida, T. Xanthogranuloma of the Intrasellar Region Presenting in Pituitary Dysfunction: A Case Report. J. Med. Case Rep. 2012, 6, 119. [Google Scholar] [CrossRef]
- Hanna, B.; Li, Y.M.; Beutler, T.; Goyal, P.; Hall, W.A. Xanthomatous Hypophysitis. J. Clin. Neurosci. Off. J. Neurosurg. Soc. Australas. 2015, 22, 1091–1097. [Google Scholar] [CrossRef]
- Tashiro, T.; Sano, T.; Xu, B.; Wakatsuki, S.; Kagawa, N.; Nishioka, H.; Yamada, S.; Kovacs, K. Spectrum of Different Types of Hypophysitis: A Clinicopathologic Study of Hypophysitis in 31 Cases. Endocr. Pathol. 2002, 13, 183–195. [Google Scholar] [CrossRef]
- Abla, A.A.; Wilson, D.A.; Eschbacher, J.M.; Spetzler, R.F. Neurosurgical Biopsy as the Initial Diagnosis of Xanthogranuloma of the Erdheim-Chester Disease Variety of the Infundibulum and Optic Apparatus: Letter to the Editor. Acta Neurochir. 2010, 152, 925–927. [Google Scholar] [CrossRef]
- Reithmeier, T.; Trost, H.A.; Wolf, S.; Stölzle, A.; Feiden, W.; Lumenta, C.B. Xanthogranuloma of the Erdheim-Chester Type within the Sellar Region: Case Report. Clin. Neuropathol. 2002, 21, 24–28. [Google Scholar]
- Sulentić, P.; Cupić, H.; Cerina, V.; Vrkljan, M. Xanthogranuloma of the Sellar Region in a Patient with Sarcoidosis. Acta Clin. Croat. 2010, 49, 61–65. [Google Scholar]
- Chakraborty, R.; Hampton, O.A.; Abhyankar, H.; Zinn, D.J.; Grimes, A.; Skull, B.; Eckstein, O.; Mahmood, N.; Wheeler, D.A.; Lopez-Terrada, D.; et al. Activating MAPK1 (ERK2) Mutation in an Aggressive Case of Disseminated Juvenile Xanthogranuloma. Oncotarget 2017, 8, 46065–46070. [Google Scholar] [CrossRef] [PubMed]
- Weitzman, S.; Jaffe, R. Uncommon Histiocytic Disorders: The Non-Langerhans Cell Histiocytoses. Pediatr. Blood Cancer 2005, 45, 256–264. [Google Scholar] [CrossRef] [PubMed]
- Paxton, C.N.; O’Malley, D.P.; Bellizzi, A.M.; Alkapalan, D.; Fedoriw, Y.; Hornick, J.L.; Perkins, S.L.; South, S.T.; Andersen, E.F. Genetic Evaluation of Juvenile Xanthogranuloma: Genomic Abnormalities Are Uncommon in Solitary Lesions, Advanced Cases May Show More Complexity. Mod. Pathol. 2017, 30, 1234–1240. [Google Scholar] [CrossRef] [PubMed]
- Hernández-San Martín, M.J.; Vargas-Mora, P.; Aranibar, L. Juvenile Xanthogranuloma: An Entity With a Wide Clinical Spectrum. Actas Dermo-Sifiliográficas Engl. Ed. 2020, 111, 725–733. [Google Scholar] [CrossRef] [PubMed]
- Maeda, M.; Morimoto, A.; Shioda, Y.; Asano, T.; Koga, Y.; Nakazawa, Y.; Kanegane, H.; Kudo, K.; Ohga, S.; Ishii, E.; et al. Long-term Outcomes of Children with Extracutaneous Juvenile Xanthogranulomas in Japan. Pediatr. Blood Cancer 2020, 67, e28381. [Google Scholar] [CrossRef]
- Emile, J.-F.; Cohen-Aubart, F.; Collin, M.; Fraitag, S.; Idbaih, A.; Abdel-Wahab, O.; Rollins, B.J.; Donadieu, J.; Haroche, J. Histiocytosis. Lancet 2021, 398, 157–170. [Google Scholar] [CrossRef]
- Haroun, F.; Millado, K.; Tabbara, I. Erdheim-Chester Disease: Comprehensive Review of Molecular Profiling and Therapeutic Advances. Anticancer Res. 2017, 37, 2777–2783. [Google Scholar] [CrossRef]
- Liu, Z.-H.; Tzaan, W.-C.; Wu, Y.-Y.; Chen, H.-C. Sellar Xanthogranuloma Manifesting as Obstructive Hydrocephalus. J. Clin. Neurosci. Off. J. Neurosurg. Soc. Australas. 2008, 15, 929–933. [Google Scholar] [CrossRef]
- Müller, H.L.; Gebhardt, U.; Faldum, A.; Warmuth-Metz, M.; Pietsch, T.; Pohl, F.; Calaminus, G.; Sörensen, N. Kraniopharyngeom 2000 Study Committee Xanthogranuloma, Rathke’s Cyst, and Childhood Craniopharyngioma: Results of Prospective Multinational Studies of Children and Adolescents with Rare Sellar Malformations. J. Clin. Endocrinol. Metab. 2012, 97, 3935–3943. [Google Scholar] [CrossRef]
- Fujio, S.; Takajo, T.; Kinoshita, Y.; Hanaya, R.; Arimura, H.; Sugata, J.; Sugata, S.; Bohara, M.; Hiraki, T.; Yoshimoto, K.; et al. Sellar Xanthogranuloma: A Quest Based on Nine Cases Assessed with an Anterior Pituitary Provocation Test. World Neurosurg. 2019, 130, e150–e159. [Google Scholar] [CrossRef]
- Kobayashi, M.; Yagasaki, H.; Kobayashi, K.; Ogiwara, M.; Kinouchi, H.; Sugita, K. Xanthogranuloma of the Sellar Region Accompanied by Growth Hormone Deficiency: Case Report and Literature Review. J. Pediatr. Endocrinol. Metab. JPEM 2018, 31, 1161–1164. [Google Scholar] [CrossRef] [PubMed]
- Pilonieta, M.; Martin, M.; Revuelta Barbero, J.M.; Hardesty, D.A.; Carrau, R.L.; Otto, B.A.; Otero, J.; Ghalib, L.; Prevedello, D.M. Sellar Cholesterol Granuloma Mimicking Cystic Sellar Lesions: A Report of Three Cases and Literature Review. World Neurosurg. 2020, 144, 250–255. [Google Scholar] [CrossRef] [PubMed]
- Shao, X.; Wang, C.; Min, J. Xanthogranuloma of the Sellar Region. Medicine 2020, 99, e22619. [Google Scholar] [CrossRef] [PubMed]
- Cho, S.M.; Cho, H.R.; Park, Y.S.; Chang, H.G. Giant Sellar Xanthogranuloma after Surgical Treatment of Symptomatic Rathke’s Cleft Cyst. Brain Tumor Res. Treat. 2018, 6, 82–85. [Google Scholar] [CrossRef]
- La Rocca, G.; Rigante, M.; Gessi, M.; D’Alessandris, Q.G.; Auricchio, A.M.; Chiloiro, S.; De Marinis, L.; Lauretti, L. Xanthogranuloma of the Sellar Region: A Rare Tumor. Case Illustration and Literature Review. J. Clin. Neurosci. 2019, 59, 318–324. [Google Scholar] [CrossRef]
- Céspedes, M.T.; Vargas, J.P.; Yañez, F.A.; León, L.S.; Arancibia, P.Á.; Putz, T.S. Remarkable Diagnostic Magnetic Resonance Imaging Findings in Sellar Xanthogranuloma: Report of Three First Cases in Latin America. J. Neurol. Surg. Rep. 2017, 78, e26–e33. [Google Scholar] [CrossRef][Green Version]
- Dai, L.; Wang, Y.; Chen, L.; Zheng, J.; Li, J.; Wu, X. MiR-221, a Potential Prognostic Biomarker for Recurrence in Papillary Thyroid Cancer. World J. Surg. Oncol. 2017, 15, 11. [Google Scholar] [CrossRef]
- Gurcay, A.G.; Gurcan, O.; Kazanci, A.; Bozkurt, I.; Senturk, S.; Ferat, M.; Turkoglu, O.F.; Beskonakli, E.; Yavuz, H.O. Xanthogranuloma of the Sellar Region. Neurol. India 2016, 64, 1075. [Google Scholar] [CrossRef]
- Hernández-Estrada, R.A.; Kshettry, V.R.; Vogel, A.N.; Curtis, M.T.; Evans, J.J. Cholesterol Granulomas Presenting as Sellar Masses: A Similar, but Clinically Distinct Entity from Craniopharyngioma and Rathke’s Cleft Cyst. Pituitary 2017, 20, 325–332. [Google Scholar] [CrossRef]
- Ji, K.; Zhang, L.; Wang, L.; Wang, W. Xanthogranuloma of the Sellar Region Diagnosed by Frozen Section. Open Med. Wars. Pol. 2016, 11, 426–428. [Google Scholar] [CrossRef][Green Version]
- Madan Mohan, B.; Mohamed, E.; Jain, S.K.; Jain, M.; Jaiswal, A.K. Serial MR Imaging in Suprasellar Xanthogranuloma: Growth Pattern and New Lesions. J. Neuroimaging 2015, 25, 677–679. [Google Scholar] [CrossRef] [PubMed]
- Agarwal, A.; Agarwal, K.; Lee, H.K. Xanthogranuloma of the Sellar Region. A Case Report. Neuroradiol. J. 2012, 25, 181–184. [Google Scholar] [CrossRef] [PubMed]
- Neubauer, C.; Shah, M.J.; Meckel, S. Sellar xanthogranuloma: MRI imaging and differential diagnosis. ROFO Fortschr. Geb. Rontgenstr. Nuklearmed. 2013, 185, 272–274. [Google Scholar] [CrossRef]
- Pavón de Paz, I.; Peñalver Talavera, D.; Olivar Roldán, J.; Carlos Gómez-Angulo Giner, J.; Santonja Garriga, C.; Monereo Megías, S. Sellar Xanthogranuloma. Endocrinol. Nutr. Organo Soc. Espanola Endocrinol. Nutr. 2008, 55, 102–106. [Google Scholar] [CrossRef]
- Tajima, T.; Sawamura, Y.; Ishizu, K.; Tsubaki, J. Two Children with Xanthogranuloma of the Sellar Region. Clin. Pediatr. Endocrinol. 2006, 15, 85–91. [Google Scholar] [CrossRef]
- Jung, C.S.; Schänzer, A.; Hattingen, E.; Plate, K.H.; Seifert, V. Xanthogranuloma of the Sellar Region. Acta Neurochir. 2006, 148, 473–477. [Google Scholar] [CrossRef]
- Yonezawa, K.; Shirataki, K.; Sakagami, Y.; Kohmura, E. Panhypopituitarism Induced by Cholesterol Granuloma in the Sellar Region--Case Report. Neurol. Med. Chir. 2003, 43, 259–262. [Google Scholar] [CrossRef][Green Version]
- Choi, S.H.; Kwon, B.J.; Na, D.G.; Kim, J.-H.; Han, M.H.; Chang, K.-H. Pituitary Adenoma, Craniopharyngioma, and Rathke Cleft Cyst Involving Both Intrasellar and Suprasellar Regions: Differentiation Using MRI. Clin. Radiol. 2007, 62, 453–462. [Google Scholar] [CrossRef]
- Bonneville, J.-F.; Bonneville, F.; Cattin, F.; Nagi, S. MRI of the Pituitary Gland, 1st ed.; Springer: New York, NY, USA, 2016. [Google Scholar]
- Zimny, A.; Zińska, L.; Bladowska, J.; Neska-Matuszewska, M.; Sąsiadek, M. Intracranial Lesions with High Signal Intensity on T1-Weighted MR Images—Review of Pathologies. Pol. J. Radiol. 2013, 78, 36–46. [Google Scholar] [CrossRef]
- Trifanescu, R.; Ansorge, O.; Wass, J.A.H.; Grossman, A.B.; Karavitaki, N. Rathke’s Cleft Cysts. Clin. Endocrinol. 2012, 76, 151–160. [Google Scholar] [CrossRef]
- The Pituitary—4th Edition. Available online: https://www.elsevier.com/books/the-pituitary/melmed/978-0-12-804169-7 (accessed on 18 March 2022).
- Zada, G.; Lin, N.; Ojerholm, E.; Ramkissoon, S.; Laws, E.R. Craniopharyngioma and Other Cystic Epithelial Lesions of the Sellar Region: A Review of Clinical, Imaging, and Histopathological Relationships. Neurosurg. Focus 2010, 28, E4. [Google Scholar] [CrossRef] [PubMed]
- Gaddikeri, S.; Vattoth, S.; Riley, K.O.; DeHoff, G.W.; Smith, C.B.; Combs, J.T.; Roberson, G.H. Rathke Cleft Cyst. MRI Criteria for Presumptive Diagnosis. Neurosci. Riyadh Saudi Arab. 2013, 18, 258–263. [Google Scholar]
- Hofmann, B.M.; Kreutzer, J.; Saeger, W.; Buchfelder, M.; Blümcke, I.; Fahlbusch, R.; Buslei, R. Nuclear Beta-Catenin Accumulation as Reliable Marker for the Differentiation between Cystic Craniopharyngiomas and Rathke Cleft Cysts: A Clinico-Pathologic Approach. Am. J. Surg. Pathol. 2006, 30, 1595–1603. [Google Scholar] [CrossRef] [PubMed]
- Kurosaki, M.; Sakamoto, M.; Kambe, A.; Ogura, T. Up-To-Date Magnetic Resonance Imaging Findings for the Diagnosis of Hypothalamic and Pituitary Tumors. Yonago Acta Med. 2021, 64, 155–161. [Google Scholar] [CrossRef]
- Zamora, C.; Castillo, M. Sellar and Parasellar Imaging. Neurosurgery 2017, 80, 17–38. [Google Scholar] [CrossRef]
- Chin, B.M.; Orlandi, R.R.; Wiggins, R.H. Evaluation of the Sellar and Parasellar Regions. Magn. Reson. Imaging Clin. N. Am. 2012, 20, 515–543. [Google Scholar] [CrossRef]
- Jipa, A.; Jain, V. Imaging of the Sellar and Parasellar Regions. Clin. Imaging 2021, 77, 254–275. [Google Scholar] [CrossRef]
- Magnetic Resonance Imaging of Sellar and Juxtasellar Abnormalities: Atypical Findings of Common Diseases and Typical Findings of Rare Diseases. Available online: https://pubmed.ncbi.nlm.nih.gov/29559765/ (accessed on 12 April 2022).
- Zhang, Y.; Chen, C.; Tian, Z.; Xu, J. Discrimination between Pituitary Adenoma and Craniopharyngioma Using MRI-Based Image Features and Texture Features. Jpn. J. Radiol. 2020, 38, 1125–1134. [Google Scholar] [CrossRef]
- Park, M.; Lee, S.-K.; Choi, J.; Kim, S.-H.; Kim, S.H.; Shin, N.-Y.; Kim, J.; Ahn, S.S. Differentiation between Cystic Pituitary Adenomas and Rathke Cleft Cysts: A Diagnostic Model Using MRI. AJNR Am. J. Neuroradiol. 2015, 36, 1866–1873. [Google Scholar] [CrossRef]
- Zhang, X.; Zhang, W.; Fu, L.; Cheng, J.; Liu, B.; Cao, W.; Fei, Z.; Zhang, J.; Liu, W.; Zhen, H. Hemorrhagic Pituitary Macroadenoma: Characteristics, Endoscopic Endonasal Transsphenoidal Surgery, and Outcomes. Ann. Surg. Oncol. 2011, 18, 246–252. [Google Scholar] [CrossRef]
- Kurihara, N.; Takahashi, S.; Higano, S.; Ikeda, H.; Mugikura, S.; Singh, L.N.; Furuta, S.; Tamura, H.; Ishibashi, T.; Maruoka, S.; et al. Hemorrhage in Pituitary Adenoma: Correlation of MR Imaging with Operative Findings. Eur. Radiol. 1998, 8, 971–976. [Google Scholar] [CrossRef] [PubMed]
- Park, H.J.; Dho, Y.-S.; Kim, J.H.; Kim, J.W.; Park, C.-K.; Kim, Y.H. Recurrence Rate and Prognostic Factors for the Adult Craniopharyngiomas in Long-Term Follow-Up. World Neurosurg. 2020, 133, e211–e217. [Google Scholar] [CrossRef] [PubMed]
- Lu, V.M.; Ravindran, K.; Perry, A.; Graffeo, C.S.; Dawood, H.Y.; Van Gompel, J.J.; Mekary, R.A.; Smith, T.R. Recurrence of Rathke’s Cleft Cysts Based on Gross Total Resection of Cyst Wall: A Meta-Analysis. Neurosurg. Rev. 2020, 43, 957–966. [Google Scholar] [CrossRef] [PubMed]
- Mohammad, F.F.; Hasan, D.I.; Ammar, M.G. MR Spectroscopy and Diffusion MR Imaging in Characterization of Common Sellar and Supra-Sellar Neoplastic Lesions. Egypt. J. Radiol. Nucl. Med. 2014, 45, 859–867. [Google Scholar] [CrossRef]
- Kwak, E.S.; Marrero, D.E.; Pfannl, R.; Erbay, S.H. Sterile Brain Abscess Due to Juvenile Xanthogranuloma: DWI Characteristics. J. Neuroimaging 2013, 23, 437–440. [Google Scholar] [CrossRef]
- Kinoshita, Y.; Yamasaki, F.; Tominaga, A.; Ohtaki, M.; Usui, S.; Arita, K.; Sugiyama, K.; Kurisu, K. Diffusion-Weighted Imaging and the Apparent Diffusion Coefficient on 3T MR Imaging in the Differentiation of Craniopharyngiomas and Germ Cell Tumors. Neurosurg. Rev. 2016, 39, 207–213; discussion 213. [Google Scholar] [CrossRef]
- Kunii, N.; Abe, T.; Kawamo, M.; Tanioka, D.; Izumiyama, H.; Moritani, T. Rathke’s Cleft Cysts: Differentiation from Other Cystic Lesions in the Pituitary Fossa by Use of Single-Shot Fast Spin-Echo Diffusion-Weighted MR Imaging. Acta Neurochir. 2007, 149, 759–769; discussion 769. [Google Scholar] [CrossRef]
- Raman, S.P.; Chen, Y.; Schroeder, J.L.; Huang, P.; Fishman, E.K. CT Texture Analysis of Renal Masses: Pilot Study Using Random Forest Classification for Prediction of Pathology. Acad. Radiol. 2014, 21, 1587–1596. [Google Scholar] [CrossRef]
- Brastianos, P.K.; Taylor-Weiner, A.; Manley, P.E.; Jones, R.T.; Dias-Santagata, D.; Thorner, A.R.; Lawrence, M.S.; Rodriguez, F.J.; Bernardo, L.A.; Schubert, L.; et al. Exome Sequencing Identifies BRAF Mutations in Papillary Craniopharyngiomas. Nat. Genet. 2014, 46, 161–165. [Google Scholar] [CrossRef]
- Oikonomou, E.; Barreto, D.C.; Soares, B.; De Marco, L.; Buchfelder, M.; Adams, E.F. Beta-Catenin Mutations in Craniopharyngiomas and Pituitary Adenomas. J. Neurooncol. 2005, 73, 205–209. [Google Scholar] [CrossRef]
- Sekine, S.; Shibata, T.; Kokubu, A.; Morishita, Y.; Noguchi, M.; Nakanishi, Y.; Sakamoto, M.; Hirohashi, S. Craniopharyngiomas of Adamantinomatous Type Harbor Beta-Catenin Gene Mutations. Am. J. Pathol. 2002, 161, 1997–2001. [Google Scholar] [CrossRef]
- Marucci, G.; de Biase, D.; Zoli, M.; Faustini-Fustini, M.; Bacci, A.; Pasquini, E.; Visani, M.; Mazzatenta, D.; Frank, G.; Tallini, G. Targeted BRAF and CTNNB1 Next-Generation Sequencing Allows Proper Classification of Nonadenomatous Lesions of the Sellar Region in Samples with Limiting Amounts of Lesional Cells. Pituitary 2015, 18, 905–911. [Google Scholar] [CrossRef] [PubMed]
- Pai, S.G.; Carneiro, B.A.; Mota, J.M.; Costa, R.; Leite, C.A.; Barroso-Sousa, R.; Kaplan, J.B.; Chae, Y.K.; Giles, F.J. Wnt/Beta-Catenin Pathway: Modulating Anticancer Immune Response. J. Hematol. Oncol. 2017, 10, 101. [Google Scholar] [CrossRef] [PubMed]
- Liu, J.; Xiao, Q.; Xiao, J.; Niu, C.; Li, Y.; Zhang, X.; Zhou, Z.; Shu, G.; Yin, G. Wnt/β-Catenin Signalling: Function, Biological Mechanisms, and Therapeutic Opportunities. Signal Transduct. Target. Ther. 2022, 7, 3. [Google Scholar] [CrossRef] [PubMed]
- Buslei, R.; Nolde, M.; Hofmann, B.; Meissner, S.; Eyupoglu, I.Y.; Siebzehnrübl, F.; Hahnen, E.; Kreutzer, J.; Fahlbusch, R. Common Mutations of Beta-Catenin in Adamantinomatous Craniopharyngiomas but Not in Other Tumours Originating from the Sellar Region. Acta Neuropathol. 2005, 109, 589–597. [Google Scholar] [CrossRef]
- Bao, S.S.; Rapp, R. Xanthogranuloma as an Unsuspected Cause of Idiopathic Central Diabetes Insipidus. Endocr. Pract. Off. J. Am. Coll. Endocrinol. Am. Assoc. Clin. Endocrinol. 2014, 20, e42–e46. [Google Scholar] [CrossRef]
- Tsai, S.T.; Tsui, Y.K.; Wu, M.W.L.; Chen, T.Y.; Tzeng, W.S. Xanthogranuloma of Sellar Region: A Case Report with Diagnostic Imaging Findings, Treatment Response and Literature Review. J. Radiol. Sci. 2012, 37, 89–94. [Google Scholar] [CrossRef]



| Author, Year, Reference | Tumor Imaging Features | Tumor Location and Extension to Adjacent Structures | Preoperative Diagnosis | ||||||||
|---|---|---|---|---|---|---|---|---|---|---|---|
| Sex/Age | Maximum Diameter (mm) | T1 W1 | T2W1 | Contrast Enhancement | Shape | Calcifications on C.T. | Location, Extension | Cavernous Sinus Infiltration | Optic Chiasma Involvement | ||
| Cheng et al., 2021 [20] | M/16 | 14 | I ant., H post part. | L ant., H/L post. part | - | Ovoid | - | IS. | NA | + | |
| Pilonieta et al., 2020 [43] | F/26 | 19 | Het H | Het H, ↓ density rim | +/- | Inf. lobulated | NA | IS, SS. | - | - | CA/RCC/CP |
| F/42 | NA | Het H | Het H | LR | Snowman | NA | IS, SS. | NA | + | RCC | |
| M/35 | NA | H | H | LR | Sup. lobulated | NA | IS, SS. | NA | + | RCC/AA | |
| Shao et al., 2020 [44] | F/50 | NA | H sup., L inf part | H sup., L inf. part | - | Snowman | NA | IS, SS | NA | + | HA |
| Fujio et al., 2019 [41] | F/73 | NA | H | Het H, ↓ density rim | LR | Ovoid | + | IS, SS. | - | + | NA. |
| M/26 | NA | NA | L | Inh | Ovoid | NA | SS | - | + | CP | |
| M/58 | NA | H | H sup., L inf. part | NA. | Sup. lobulated | - | IS, SS. | NA | + | NA | |
| F/54 | NA | mainly H, patchy L areas | mainly I to H, patchy L areas | NA. | Irregulated | NA | IS, SS. | NA | NA | NA | |
| Cho et al., 2018 [45] | M/36 | 46 | Het H | Het H | LR | Multi-lobulated | + | SS, RS, 3rd V, MTL | NA | + | CP. |
| La Rocca et al., 2018 [46] | F/39 | 14 | mainly H, sup. L mass | mainly L, sup. H mass | Inh | Ovoid | NA | IS. | - | - | A |
| Kobayashi et al., 2018 [42] | F/11 | NA | H | H | - | Ovoid | - | IS, SS. | - | + | CP. |
| Li et al., 2018 [23] | F/56 | 30 | Het I | Het H | ↑↑ | Ovoid | - | IS, SS, Ht, f. Monroe, 3rd V | NA | + | A |
| Nishimura et al., 2018 [16] | M/13 | mainly H, inf. L mass | mainly H, inf. L mass | LR | Snowman | + | IS, SS. | - | + | CP/RCC/CA | |
| Cespedes et al., 2017 [47] | M/10 | 7 | H | Het I | - | Ovoid | NA | IS, SS. | - | + | CP/A |
| M/35 | 35 | H | mainly H, sup. and ant. L area | - | Ovoid | + | IS, SS. | NA | + | NA | |
| M/31 | 16 | mainly H | NA | +/- | Ovoid | NA | IS, SS. | - | +/- | NA | |
| Dai et al., 2017 [48] | F/36 | 18 | H | H | inh | Snowman | NA | IS, SS. | - | + | RCC |
| Gurcay et al., 2016 [49] | F/45 | NA | Het I | Het I | + | Snowman | - | IS, SS. | + | + | A |
| Hernandes-Estrada et al., 2016 [50] | F/35 | 13 | Het H | Het H | - | Ovoid | NA | IS. | - | +/- | RCC/CP/CA |
| F/32 | 25 | H | H | - | Ovoid | NA | IS, SS. | - | + | CP | |
| F/40 | 12 | mainly H, central I area | mainly H, central I area | - | Ovoid | + | IS, SS. | - | NA | CP | |
| Petrakakis et al., 2016 [15] | F/66 | 12 | H | H | - | NA. | - | SS. | - | NA. | NA |
| M/55 | 20 | H | L | + | NA. | + | SS. | - | NA. | NA | |
| F/24 | 17 | H | H | - | NA. | - | SS. | - | NA. | NA | |
| M/28 | 38 | mainly H, inf. L mass | mainly H, inf. L mass | - | Snowman | - | IS, SS. | - | + | NA | |
| M/29 | 38 | H | H | - | NA. | + | SS. | - | NA. | NA | |
| M/73 | 44 | H | H | - | NA. | + | IS, SS. | - | NA. | NA | |
| Ji et al., 2016 [51] | F/43 | 16 | Het H | Het H | Inh | Ovoid | NA | IS | - | - | HA |
| Mohan et al., 2014 [52] | M/37 | 17 | I | mainly I, few L areas | Inh | Ovoid | NA | SS, TC. | NA | + | CP/Me/Ge/Ly/Mt |
| Agarwal et al., 2012 [53] | M/41 | Het H | Het L | Inh | Snowman | + | IS, SS. | - | + | HA | |
| Neubauer et al., 2012 [54] | M/59 | 27 | H | H with dorsal I/ L sedimentation | - | Ovoid | - | IS, SS. | - | + | RCC/CP/CA |
| Nishiuchi et al., 2012 [26] | M/47 | 20 | mainly I, central H areas | mainly I, central L area | +/-, LR. | Ovoid | NA | IS, SS. | - | - | RCC/A |
| Miyajima et al., 2011 [1] | M/58 | NA | H | H with central L | LR. | Snowman | + | IS, SS. | + | + | NA |
| Nishioka et al., 2010 [21] | M/33 | 50 | H, I | I, L | Inh | Irregulated | - | IS, SS. | - | NA | DA |
| F/50 | 42 | H, I | H, I, L | Inh | NA | - | IS, SS. | + | + | DA | |
| F/56 | 14 | H, I | H, I | Inh | Ovoid | - | IS, SS. | + | - | RCC | |
| F/62 | 31 | H, I, L | H, L | Inh | NA | - | IS, SS. | - | NA | CA | |
| F/67 | 29 | H, I, L | H, L | Inh | Irregulated | - | IS. | + | NA | CA | |
| Arai et al., 2010 [12] | F/55 | NA | H | mainly H, patchy L inside | - | Ovoid | - | IS, SS. | - | + | HA/RCC |
| Sugata et al., 2009 [14] | M/26 | 30 | mainly I, patchy L | L | Inh | Ovoid | - | SS. | NA | + | CP |
| Pavon et al., 2007 [55] | F/16 | NA | mainly H, inf. L mass | H | + | Ovoid | NA | IS. | - | + | NA |
| Liu et al., 2008 [39] | M/32 | 42 | mainly H, small L area | mainly H, small L area | - | Multi-lobulated | NA | SS, 3rd V, f. Monroe, | + | + | NA |
| Tajima et al., 2006 [56] | M/9 | NA | H | H | - | Ovoid | - | IS. | - | - | RCC |
| M/6 | NA | H | L | - | Ovoid | - | IS. | - | - | NA | |
| Jung et al., 2005 [57] | F/57 | 25 | mainly H, partially L | mainly H, partially L | +/- | Snowman | NA | IS, SS. | - | + | NA |
| NA/5 | 26 | H and L areas | H and L areas | +/- | NA. | NA | IS, SS. | NA | NA | CP | |
| Burt et al., 2003 [10] | M/29 | 18 | Het | Het | LR. | Ovoid | - | IS, SS, SSC. | - | + | NA |
| M/26 | NA | mainly H, inf L | H, inf. L | - | NA. | NA | IS, SS. | NA | NA | NA | |
| Yonezawa et al., 2003 [58] | M/67 | NA | H | mainly L with H areas | - | Ovoid | NA | IS, SS. | - | - | RCC |
Publisher’s Note: MDPI stays neutral with regard to jurisdictional claims in published maps and institutional affiliations. |
© 2022 by the authors. Licensee MDPI, Basel, Switzerland. This article is an open access article distributed under the terms and conditions of the Creative Commons Attribution (CC BY) license (https://creativecommons.org/licenses/by/4.0/).
Share and Cite
Lozovanu, V.; Georgescu, C.E.; Florescu, L.M.; Georgiu, C.; Silaghi, H.; Fratea, A.; Silaghi, C.A. Xanthogranuloma of the Sellar Region: A Comprehensive Review of Neuroimaging in a Rare Inflammatory Entity. J. Pers. Med. 2022, 12, 943. https://doi.org/10.3390/jpm12060943
Lozovanu V, Georgescu CE, Florescu LM, Georgiu C, Silaghi H, Fratea A, Silaghi CA. Xanthogranuloma of the Sellar Region: A Comprehensive Review of Neuroimaging in a Rare Inflammatory Entity. Journal of Personalized Medicine. 2022; 12(6):943. https://doi.org/10.3390/jpm12060943
Chicago/Turabian StyleLozovanu, Vera, Carmen Emanuela Georgescu, Lavinia Maria Florescu, Carmen Georgiu, Horatiu Silaghi, Andrian Fratea, and Cristina Alina Silaghi. 2022. "Xanthogranuloma of the Sellar Region: A Comprehensive Review of Neuroimaging in a Rare Inflammatory Entity" Journal of Personalized Medicine 12, no. 6: 943. https://doi.org/10.3390/jpm12060943
APA StyleLozovanu, V., Georgescu, C. E., Florescu, L. M., Georgiu, C., Silaghi, H., Fratea, A., & Silaghi, C. A. (2022). Xanthogranuloma of the Sellar Region: A Comprehensive Review of Neuroimaging in a Rare Inflammatory Entity. Journal of Personalized Medicine, 12(6), 943. https://doi.org/10.3390/jpm12060943

