Untangling the Modern Treatment Paradigm for Unruptured Brain Arteriovenous Malformations
Abstract
:1. Epidemiology
2. Rupture Risk
3. The ARUBA Trial
4. Treatment Options
4.1. Microsurgery
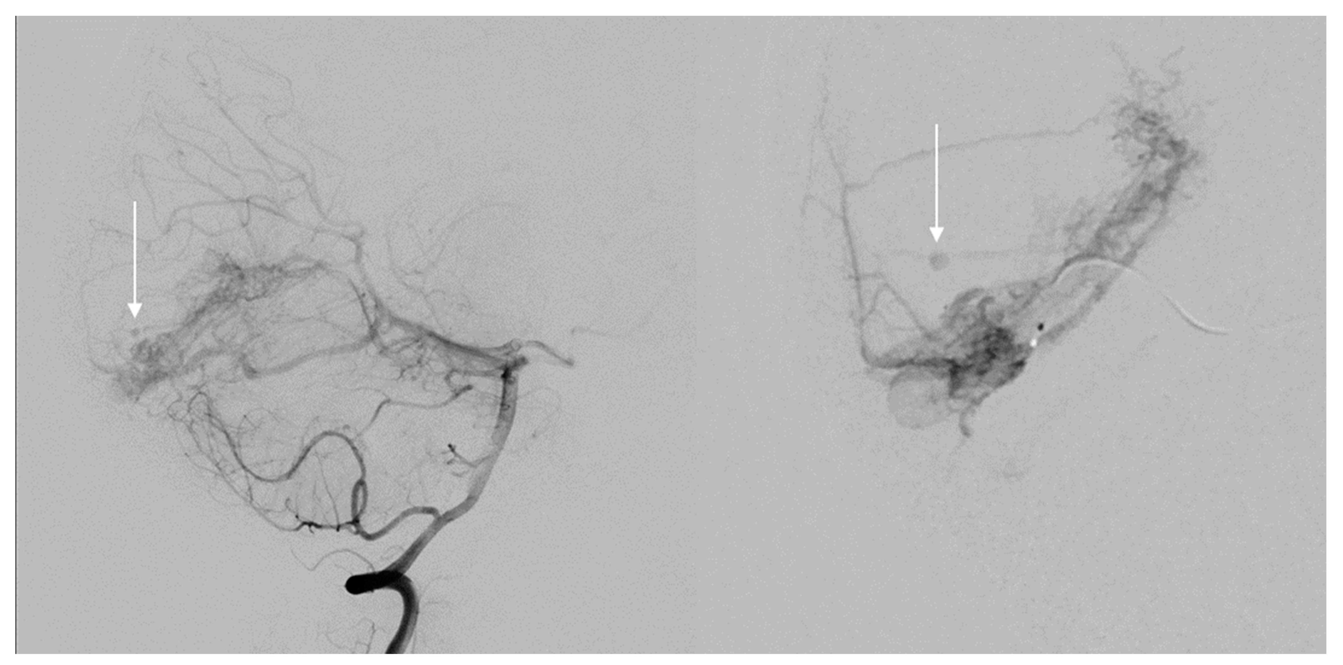
4.2. Endovascular Embolization
4.3. Stereotactic Radiosurgery
4.4. Multimodality Therapy
5. Conclusions
Author Contributions
Funding
Institutional Review Board Statement
Informed Consent Statement
Conflicts of Interest
References
- Chen, C.J.; Ding, D.; Derdeyn, C.P.; Lanzino, G.; Friedlander, R.M.; Southerland, A.M.; Lawton, M.T.; Sheehan, J.P. Brain arteriovenous malformations: A review of natural history, pathobiology, and interventions. Neurology 2020, 95, 917–927. [Google Scholar] [CrossRef] [PubMed]
- Rutledge, C.; Cooke, D.L.; Hetts, S.W.; Abla, A.A. Brain arteriovenous malformations. Handb. Clin. Neurol. 2021, 176, 171–178. [Google Scholar] [PubMed]
- Diaz, O.; Scranton, R. Endovascular treatment of arteriovenous malformations. Handb. Clin. Neurol. 2016, 136, 1311–1317. [Google Scholar] [PubMed]
- Ruigrok, Y.M. Management of Unruptured Cerebral Aneurysms and Arteriovenous Malformations. Contin. Lifelong Learn. Neurol. 2020, 26, 478–498. [Google Scholar] [CrossRef] [PubMed]
- Sugiyama, T.; Grasso, G.; Torregrossa, F.; Fujimura, M. Current Concepts and Perspectives on Brain Arteriovenous Malformations: A Review of Pathogenesis and Multidisciplinary Treatment. World Neurosurg. 2021, 159, 314–326. [Google Scholar] [CrossRef] [PubMed]
- Naylor, R.M.; Flemming, K.D.; Brinjikji, W.; Brown, R.D., Jr.; Chiu, S.; Lanzino, G. Changes in Clinical Presentation and Treatment over Time in Patients with Unruptured Intracranial Arteriovenous Malformations. World Neurosurg. 2020, 141, e261–e265. [Google Scholar] [CrossRef]
- Stapf, C.; Mohr, J.P.; Choi, J.H.; Hartmann, A.; Mast, H. Invasive treatment of unruptured brain arteriovenous malformations is experimental therapy. Curr. Opin. Neurol. 2006, 19, 63–68. [Google Scholar] [CrossRef]
- Mohr, J.P.; Parides, M.K.; Stapf, C.; Moquete, E.; Moy, C.S.; Overbey, J.R.; Salman, R.A.-S.; Vicaut, E.; Young, W.L.; Houdart, E.; et al. Medical management with or without interventional therapy for unruptured brain arteriovenous malformations (ARUBA): A multicentre, non-blinded, randomised trial. Lancet 2014, 383, 614–621. [Google Scholar] [CrossRef] [Green Version]
- Mohr, J.P.; Overbey, J.R.; Hartmann, A.; von Kummer, R.; Salman, R.A.-S.; Kim, H.; van der Worp, H.B.; Parides, M.K.; Stefani, M.A.; Houdart, E.; et al. Medical management with interventional therapy versus medical management alone for unruptured brain arteriovenous malformations (ARUBA): Final follow-up of a multicentre, non-blinded, randomised controlled trial. Lancet Neurol. 2020, 19, 573–581. [Google Scholar] [CrossRef]
- Volovici, V.; Schouten, J.W.; Gruber, A.; Meling, T.R.; Dammers, R. Letter: Medical Management With Interventional Therapy Versus Medical Management Alone for Unruptured Brain Arteriovenous Malformations (ARUBA): Final Follow-up of a Multicentre, Nonblinded, Randomised Controlled Trial. Neurosurgery 2020, 87, E729–E730. [Google Scholar] [CrossRef]
- Hong, C.S.; Peterson, E.C.; Ding, D.; Sur, S.; Hasan, D.; Dumont, A.S.; Chalouhi, N.; Jabbour, P.; Starke, R.M. Intervention for a randomized trial of unruptured brain arteriovenous malformations (ARUBA)—Eligible patients: An evidence-based review. Clin. Neurol. Neurosurg. 2016, 150, 133–138. [Google Scholar] [CrossRef] [PubMed]
- Link, T.W.; Winston, G.; Schwarz, J.T.; Lin, N.; Patsalides, A.; Gobin, P.; Pannullo, S.; Stieg, P.E.; Knopman, J. Treatment of Unruptured Brain Arteriovenous Malformations: A Single-Center Experience of 86 Patients and a Critique of the a Randomized Trial of Unruptured Brain Arteriovenous Malformations (ARUBA) Trial. World Neurosurg. 2018, 120, e1156–e1162. [Google Scholar] [CrossRef] [PubMed]
- Joyce, C.; Gomez, C.R. Reimagining ARUBA: Theoretical Optimization of the Treatment of Unruptured Brain Arteriovenous Malformations. J. Stroke Cerebrovasc. Dis. 2018, 27, 3100–3107. [Google Scholar] [CrossRef] [PubMed]
- Volovici, V.; Schouten, J.W.; Vajkoczy, P.; Dammers, R.; Meling, T.R. Unruptured Arteriovenous Malformations: Do We Have an Answer after the Final Follow-Up of ARUBA? A Bayesian Viewpoint. Stroke 2021, 52, 1143–1146. [Google Scholar] [CrossRef]
- Nerva, J.D.; Mantovani, A.; Barber, J.; Kim, L.J.; Rockhill, J.K.; Hallam, D.K.; Ghodke, B.V.; Sekhar, L.N. Treatment Outcomes of Unruptured Arteriovenous Malformations with a Subgroup Analysis of ARUBA (A Randomized Trial of Unruptured Brain Arteriovenous Malformations)-Eligible Patients. Neurosurgery 2015, 76, 563–570. [Google Scholar] [CrossRef] [Green Version]
- Stefani, M.; Ribeiro, D.S.; Mohr, J.P. Grades of brain arteriovenous malformations and risk of hemorrhage and death. Ann. Clin. Transl. Neurol. 2019, 6, 508–514. [Google Scholar] [CrossRef]
- Feghali, J.; Huang, J. Updates in arteriovenous malformation management: The post-ARUBA era. Stroke Vasc. Neurol. 2019, 5, 34–39. [Google Scholar] [CrossRef] [Green Version]
- Reynolds, A.S.; Chen, M.L.; Merkler, A.E.; Chatterjee, A.; Díaz, I.; Navi, B.B.; Kamel, H. Effect of A Randomized trial of Unruptured Brain Arteriovenous Malformation on Interventional Treatment Rates for Unruptured Arteriovenous Malformations. Cerebrovasc. Dis. 2019, 47, 299–302. [Google Scholar] [CrossRef]
- Sussman, E.S.; Iyer, A.K.; Teo, M.; Pendharkar, A.V.; Ho, A.L.; Steinberg, G.K. Interventional therapy for brain arteriovenous malformations before and after ARUBA. J. Clin. Neurosci. 2017, 37, 54–56. [Google Scholar] [CrossRef]
- Talaat, M.; Premat, K.; Lenck, S.; Shotar, E.; Boch, A.-L.; Bessar, A.; Taema, M.; Hassan, F.; Elserafy, T.S.; Degos, V.; et al. Exclusion treatment of ruptured and unruptured low-grade brain arteriovenous malformations: A systematic review. Neuroradiology 2021, 64, 5–14. [Google Scholar] [CrossRef]
- Liu, R.; Zhan, Y.; Piao, J.; Yang, Z.; Wei, Y.; Liu, P.; Chen, X.; Jiang, Y. Treatments of unruptured brain arteriovenous malformations: A systematic review and meta-analysis. Medicine 2021, 100, e26352. [Google Scholar] [CrossRef] [PubMed]
- Unnithan, A. Overview of the current concepts in the management of arteriovenous malformations of the brain. Postgrad. Med. J. 2020, 96, 212–220. [Google Scholar] [CrossRef] [PubMed]
- Lawton, M.T.; Lang, M.J. The future of open vascular neurosurgery: Perspectives on cavernous malformations, AVMs, and bypasses for complex aneurysms. J. Neurosurg. 2019, 130, 1409–1425. [Google Scholar] [CrossRef] [PubMed] [Green Version]
- Kaya, I.; Cakir, V.; Cingoz, I.D.; Atar, M.; Gurkan, G.; Sahin, M.C.; Saygili, S.K.; Yuceer, N. Comparison of cerebral AVMs in patients undergoing surgical resection with and without prior endovascular embolization. Int. J. Neurosci. 2021, 10, 1–9. [Google Scholar] [CrossRef] [PubMed]
- Wu, E.M.; El Ahmadieh, T.Y.; McDougall, C.M.; Aoun, S.G.; Mehta, N.; Neeley, O.J.; Plitt, A.; Ban, V.S.; Sillero, R.; White, J.A.; et al. Embolization of brain arteriovenous malformations with intent to cure: A systematic review. J. Neurosurg. 2019, 132, 388–399. [Google Scholar] [CrossRef]
- Baharvahdat, H.; Blanc, R.; Fahed, R.; Smajda, S.; Ciccio, G.; Desilles, J.-P.; Redjem, H.; Escalard, S.; Mazighi, M.; Chauvet, D.; et al. Endovascular Treatment for Low-Grade (Spetzler-Martin I–II) Brain Arteriovenous Malformations. Am. J. Neuroradiol. 2019, 40, 668–672. [Google Scholar] [CrossRef]
- Baharvahdat, H.; Blanc, R.; Fahed, R.; Pooyan, A.; Mowla, A.; Escalard, S.; Delvoye, F.; Desilles, J.P.; Redjem, H.; Ciccio, G.; et al. Endovascular treatment as the main approach for Spetzler–Martin grade III brain arteriovenous malformations. J. NeuroInterv. Surg. 2021, 13, 241–246. [Google Scholar] [CrossRef]
- Chen, C.-J.; Ding, D.; Lee, C.-C.; Kearns, K.N.; Pomeraniec, I.J.; Cifarelli, C.P.; Arsanious, D.E.; Liscak, R.; Hanuska, J.; Williams, B.J.; et al. Stereotactic radiosurgery with versus without prior Onyx embolization for brain arteriovenous malformations. J. Neurosurg. 2021, 135, 742–750. [Google Scholar] [CrossRef]
- Chen, C.-J.; Ding, D.; Lee, C.-C.; Kearns, K.N.; Pomeraniec, I.J.; Cifarelli, C.P.; Arsanious, D.E.; Liscak, R.; Hanuska, J.; Williams, B.J.; et al. Stereotactic Radiosurgery with versus without Embolization for Brain Arteriovenous Malformations. Neurosurgery 2021, 88, 313–321. [Google Scholar] [CrossRef]
- Ghali, G.Z.; Ghali, M.G.Z.; Ghali, E.Z. Endovascular Therapy for Brainstem Arteriovenous Malformations. World Neurosurg. 2019, 125, 481–488. [Google Scholar] [CrossRef]
- El-Shehaby, A.M.; Reda, W.A.; Karim, K.M.A.; Eldin, R.M.E.; Nabeel, A.; Tawadros, S.R. Volume-Staged Gamma Knife Radiosurgery for Large Brain Arteriovenous Malformation. World Neurosurg. 2019, 132, e604–e612. [Google Scholar] [CrossRef] [PubMed]
- Nataraj, A.; Mohamed, M.B.; Gholkar, A.; Vivar, R.; Watkins, L.; Aspoas, R.; Gregson, B.; Mitchell, P.; Mendelow, A.D. Multimodality Treatment of Cerebral Arteriovenous Malformations. World Neurosurg. 2014, 82, 149–159. [Google Scholar] [CrossRef] [PubMed]










Publisher’s Note: MDPI stays neutral with regard to jurisdictional claims in published maps and institutional affiliations. |
© 2022 by the authors. Licensee MDPI, Basel, Switzerland. This article is an open access article distributed under the terms and conditions of the Creative Commons Attribution (CC BY) license (https://creativecommons.org/licenses/by/4.0/).
Share and Cite
Morel, B.C.; Wittenberg, B.; Hoffman, J.E.; Case, D.E.; Folzenlogen, Z.; Roark, C.; Seinfeld, J. Untangling the Modern Treatment Paradigm for Unruptured Brain Arteriovenous Malformations. J. Pers. Med. 2022, 12, 904. https://doi.org/10.3390/jpm12060904
Morel BC, Wittenberg B, Hoffman JE, Case DE, Folzenlogen Z, Roark C, Seinfeld J. Untangling the Modern Treatment Paradigm for Unruptured Brain Arteriovenous Malformations. Journal of Personalized Medicine. 2022; 12(6):904. https://doi.org/10.3390/jpm12060904
Chicago/Turabian StyleMorel, Brent C., Blake Wittenberg, Jessa E. Hoffman, David E. Case, Zach Folzenlogen, Christopher Roark, and Joshua Seinfeld. 2022. "Untangling the Modern Treatment Paradigm for Unruptured Brain Arteriovenous Malformations" Journal of Personalized Medicine 12, no. 6: 904. https://doi.org/10.3390/jpm12060904
APA StyleMorel, B. C., Wittenberg, B., Hoffman, J. E., Case, D. E., Folzenlogen, Z., Roark, C., & Seinfeld, J. (2022). Untangling the Modern Treatment Paradigm for Unruptured Brain Arteriovenous Malformations. Journal of Personalized Medicine, 12(6), 904. https://doi.org/10.3390/jpm12060904

