Effects of Ultrasound-Guided Injection Combined with a Targeted Therapeutic Exercise in Breast Cancer Women with Subacromial Pain Syndrome: A Randomized Clinical Study
Abstract
1. Introduction
2. Materials and Methods
2.1. Participants
2.2. Intervention
- –
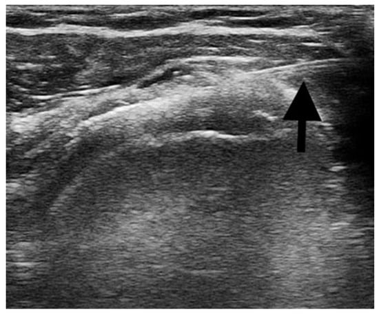
- Ultrasound-guided injections: the procedures were performed with the patient supine and positioned with the shoulder adducted and slightly extra rotated, the upper limb laying along the side. A US machine (Mindray® M7 Bio-Medical Electronics Co, Ltd., Shenzhen, China) with a linear transducer (8–12 MHz) was used to identify the subacromial bursa and to guide the injection procedure. After the preparation of the sterile field, a US-guided percutaneous injection of 1 mL of 40 mg triamcinolone acetonide combined with 3 mL of 1% lidocaine was performed in the affected subacromial bursa [31,32]. A 22-gauge needle was used and the correct positioning of the needle directly into the bursa was real-time confirmed under US guidance. Figure 1 shows the US image of the percutaneous injection procedure.
- –
- Therapeutic exercise program: the rehabilitation program was composed of a 1 h session performed daily for 1 week, for a total of 5 sessions in accordance with previous studies [33,34], with the aim of improve neuromotor control and patients’ education to self-training. The therapeutic exercise program started with Codman exercises, passive mobilization exercises, and active mobilization exercises in abduction, flexion, extra rotation, and intra rotation of the shoulder were performed targeting the maximum range of motion without pain. Moreover, stretching and manual therapy including myofascial release techniques were performed. This first warm-up phase lasted 20–25 min.Subsequently, active extra- and intra-rotation exercises with elastic bands were performed to improve the strength of rotator cuff. In more detail, the elastic resistance exercises were performed elastic band selected starting by a criterion of maximum repetitions. Patients were asked to perform at least 10 repetitions with a good quality of movement and without exacerbating pain with different elastic bands. The elastic bands were characterized by a color code to a specific level of resistance: yellow (thin), red (medium), green (heavy), and blue (extra-heavy). Patients performed each exercise for 3 sets of 10–15 repetitions with a 60 s rest period between each set, for a total of 4 different exercises counting 20 min of training. This exercise protocol aimed to achieve progressions during the rehabilitation program. In particular, the progression during the study program was standardized from graduating repetition counts starting from 3 sets of 10 repetitions to 3 sets of 15 repetitions. The target number of repetition was set to the maximum repetition criteria, i.e., the target the repetition was that permitted the patient to reach the point of fatigue. Exercises for the scapular stabilizing muscles were performed by scapular motions of elevation, depression, protraction, and retraction as well as joint kinesthesia and range of motion with a visual biofeedback. Lastly, proprioceptive exercises, stretching exercises, and core exercises were performed. This cooling down phase duration was 15–20 min. A therapist/patient rate of 1:1 was performed for each rehabilitation session.
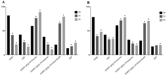
2.3. Outcome Measures
- –
- Hand Grip Strength test (HGS), using a Jamar® hydraulic hand dynamometer (Sammons Preston, Rolyon, Bolingbrook, IL, USA). This outcome measure was assessed to identify the potential implications of interventions in terms of skeletal muscle strength. The measures were standardized in accordance with previous studies [5,35]. In more detail, the test was conducted three times with the participant seated on a chair. The shoulder was adducted and the elbow flexed at 90°, while the forearm was positioned in neutral, with the thumb parallel to the humerus. The wrist ulnar deviation ranges between 0° and 15° degrees and the extension between 0° and 30°. The final score was calculated by the mean of the three different measures.
- –
- Oxford Shoulder Score (OSS) to assess shoulder function [36]. This scale was chosen to precisely target shoulder function given that it allows a specific assessment of disability from the shoulder, and it is influenced as little as possible by other co-morbidities [37]. It included 12 items (4 items assessing pain, 8 items assessing physical function). Each item is scored on a 5-point scale ranging from 1 (minimum) to 5 (maximum). As a result, the minimum score is 12 and corresponds to no disability, while a score of 60 represents the maximum disability.
- –
- European Organisation for Research and Treatment of Cancer Quality of Life Questionnaire (EORTC QLQ—C30) to assess breast cancer patient’s symptoms, physical function, and quality of life [38]. The scale is composed of 30 different items. In more detail, 28 items have a score ranging from 1 to 4, and 2 items have a score ranging from 1 to 7. The items were differently combined to provide a score of the three EORTC QLQ—C30 subscales: Global health Subscale, Functional Subscale, and Symptom Subscale [39].
- –
- Global Perceived Effect (GPE) to assess patients’ satisfaction with the treatment performed. The scale is a 7-point Likert scale ranging from 1 (unsatisfaction) to 7 (best satisfaction) [40].
2.4. Statistical Analysis
3. Results
4. Discussion
5. Conclusions
Author Contributions
Funding
Institutional Review Board Statement
Informed Consent Statement
Data Availability Statement
Acknowledgments
Conflicts of Interest
References
- Nardin, S.; Mora, E.; Varughese, F.M.; D’Avanzo, F.; Vachanaram, A.R.; Rossi, V.; Saggia, C.; Rubinelli, S.; Gennari, A. Breast Cancer Survivorship, Quality of Life, and Late Toxicities. Front. Oncol. 2020, 10, 864. [Google Scholar] [CrossRef] [PubMed]
- D’Egidio, V.; Sestili, C.; Mancino, M.; Sciarra, I.; Cocchiara, R.; Backhaus, I.; Mannocci, A.; De Luca, A.; Frusone, F.; Monti, M.; et al. Counseling interventions delivered in women with breast cancer to improve health-related quality of life: A systematic review. Qual. Life Res. 2017, 26, 2573–2592. [Google Scholar] [CrossRef] [PubMed]
- Burguin, A.; Diorio, C.; Durocher, F. Breast Cancer Treatments: Updates and New Challenges. J. Pers. Med. 2021, 11, 808. [Google Scholar] [CrossRef] [PubMed]
- Van der Gucht, E.; Dams, L.; Meeus, M.; Devoogdt, N.; Beintema, A.; Penen, F.; Hoelen, W.; De Vrieze, T.; De Groef, A. Kinesiophobia contributes to pain-related disability in breast cancer survivors: A cross-sectional study. Support Care Cancer 2020, 28, 4501–4508. [Google Scholar] [CrossRef]
- Invernizzi, M.; de Sire, A.; Lippi, L.; Venetis, K.; Sajjadi, E.; Gimigliano, F.; Gennari, A.; Criscitiello, C.; Cisari, C.; Fusco, N. Impact of Rehabilitation on Breast Cancer Related Fatigue: A Pilot Study. Front. Oncol. 2020, 10, 556718. [Google Scholar] [CrossRef] [PubMed]
- de Sire, A.; Lippi, L.; Venetis, K.; Morganti, S.; Sajjadi, E.; Curci, C.; Ammendolia, A.; Criscitiello, C.; Fusco, N.; Invernizzi, M. Efficacy of Antiresorptive Drugs on Bone Mineral Density in Post-Menopausal Women with Early Breast Cancer Receiving Adjuvant Aromatase Inhibitors: A Systematic Review of Randomized Controlled Trials. Front. Oncol. 2021, 11, 829875. [Google Scholar] [CrossRef]
- Park, S.B.; Tamburin, S.; Schenone, A.; Kleckner, I.R.; Velasco, R.; Alberti, P.; Kanzawa-Lee, G.; Lustberg, M.; Dorsey, S.G.; Mantovani, E.; et al. Optimal outcome measures for assessing exercise and rehabilitation approaches in chemotherapy-induced peripheral-neurotoxicity: Systematic review and consensus expert opinion. Expert. Rev. Neurother. 2022, 22, 65–76. [Google Scholar] [CrossRef]
- de Sire, A.; Fusco, N.; Sajjadi, E.; Lippi, L.; Cisari, C.; Invernizzi, M. Lymphedema Rehabilitation Using Self-Adaptive Inelastic Compression in Breast Cancer: A Proof-of-Principle Study. Appl. Sci. 2021, 11, 1901. [Google Scholar] [CrossRef]
- Moskovitz, A.H.; Anderson, B.O.; Yeung, R.S.; Byrd, D.R.; Lawton, T.J.; Moe, R.E. Axillary web syndrome after axillary dissection. Am. J. Surg. 2001, 181, 434–439. [Google Scholar] [CrossRef]
- Yang, S.; Chu, S.; Gao, Y.; Ai, Q.; Liu, Y.; Li, X.; Chen, N. A Narrative Review of Cancer-Related Fatigue (CRF) and Its Possible Pathogenesis. Cells 2019, 8, 738. [Google Scholar] [CrossRef]
- Invernizzi, M.; Lippi, L.; Folli, A.; Turco, A.; Zattoni, L.; Maconi, A.; de Sire, A.; Fusco, N. Integrating molecular biomarkers in breast cancer rehabilitation. What is the current evidence? A systematic review of randomized controlled trials. Front. Mol. Biosci. 2022, 8, 930361. [Google Scholar] [CrossRef] [PubMed]
- Hayes, S.C.; Johansson, K.; Stout, N.L.; Prosnitz, R.; Armer, J.M.; Gabram, S.; Schmitz, K.H. Upper-body morbidity after breast cancer: Incidence and evidence for evaluation, prevention, and management within a prospective surveillance model of care. Cancer 2012, 118, 2237–2249. [Google Scholar] [CrossRef] [PubMed]
- Min, J.; Kim, J.Y.; Yeon, S.; Ryu, J.; Min, J.J.; Park, S.; Kim, S.I.; Jeon, J.Y. Change in Shoulder Function in the Early Recovery Phase after Breast Cancer Surgery: A Prospective Observational Study. J. Clin. Med. 2021, 10, 416. [Google Scholar] [CrossRef] [PubMed]
- Belmonte, R.; Monleon, S.; Bofill, N.; Alvarado, M.L.; Espadaler, J.; Royo, I. Long thoracic nerve injury in breast cancer patients treated with axillary lymph node dissection. Support Care Cancer 2015, 23, 169–175. [Google Scholar] [CrossRef] [PubMed]
- Lang, A.E.; Dickerson, C.R.; Kim, S.Y.; Stobart, J.; Milosavljevic, S. Impingement pain affects kinematics of breast cancer survivors in work-related functional tasks. Clin. Biomech. 2019, 70, 223–230. [Google Scholar] [CrossRef] [PubMed]
- Invernizzi, M.; Runza, L.; de Sire, A.; Lippi, L.; Blundo, C.; Gambini, D.; Boldorini, R.; Ferrero, S.; Fusco, N. Integrating Augmented Reality Tools in Breast Cancer Related Lymphedema Prognostication and Diagnosis. J. Vis. Exp. 2020, 6, 156. [Google Scholar] [CrossRef]
- Koehler, L.A.; Hunter, D.W.; Blaes, A.H.; Haddad, T.C. Function, Shoulder Motion, Pain, and Lymphedema in Breast Cancer With and Without Axillary Web Syndrome: An 18-Month Follow-Up. Physical therapy. 2018, 98, 518–527. [Google Scholar] [CrossRef]
- De Groef, A.; Van Kampen, M.; Dieltjens, E.; Christiaens, M.R.; Neven, P.; Geraerts, I.; Devoogdt, N. Effectiveness of postoperative physical therapy for upper-limb impairments after breast cancer treatment: A systematic review. Arch. Phys. Med. Rehabil. 2015, 96, 1140–1153. [Google Scholar] [CrossRef]
- Myung, Y.; Choi, B.; Kwon, H.; Heo, C.Y.; Kim, E.K.; Kang, E.; Jeong, J.H.; Yang, E.J. Quantitative analysis of shoulder function and strength after breast reconstruction: A retrospective cohort study. Medicine 2018, 97, e10979. [Google Scholar] [CrossRef]
- Chang, P.J.; Asher, A.; Smith, S.R. A Targeted Approach to Post-Mastectomy Pain and Persistent Pain following Breast Cancer Treatment. Cancers 2021, 13, 5191. [Google Scholar] [CrossRef]
- Jeong, H.J.; Sim, Y.-J.; Hwang, K.H.; Kim, G.C. Causes of Shoulder Pain in Women with Breast Cancer-Related Lymphedema: A Pilot Study. Yonsei Med. J. 2011, 52, 661. [Google Scholar] [CrossRef] [PubMed]
- Ebaugh, D.; Spinelli, B.; Schmitz, K.H. Shoulder impairments and their association with symptomatic rotator cuff disease in breast cancer survivors. Med. Hypotheses 2011, 77, 481–487. [Google Scholar] [CrossRef] [PubMed]
- Diercks, R.; Bron, C.; Dorrestijn, O.; Meskers, C.; Naber, R.; De Ruiter, T.; Willems, J.; Winters, J.; Van Der Woude, H.J. Guideline for diagnosis and treatment of subacromial pain syndrome. Acta Orthop. 2014, 85, 314–322. [Google Scholar] [CrossRef]
- Hsieh, L.F.; Lin, Y.J.; Hsu, W.C.; Kuo, Y.C.; Liu, Y.C.; Chiang, Y.P.; Wang, C.P. Comparison of the corticosteroid injection and hyaluronate in the treatment of chronic subacromial bursitis: A randomized controlled trial. Clin. Rehabil. 2021, 35, 1305–1316. [Google Scholar] [CrossRef] [PubMed]
- Soh, E.; Li, W.; Ong, K.O.; Chen, W.; Bautista, D. Image-guided versus blind corticosteroid injections in adults with shoulder pain: A systematic review. BMC Musculoskelet. Disord. 2011, 12, 137. [Google Scholar] [CrossRef]
- De Sire, A.; Lippi, L.; Ammendolia, A.; Cisari, C.; Venetis, K.; Sajjadi, E.; Fusco, N.; Invernizzi, M. Physical Exercise with or without Whole-Body Vibration in Breast Cancer Patients Suffering from Aromatase Inhibitor—Induced Musculoskeletal Symptoms: A Pilot Randomized Clinical Study. J. Pers. Med. 2021, 11, 1369. [Google Scholar] [CrossRef]
- Worsley, P.; Warner, M.; Mottram, S.; Gadola, S.; Veeger, H.E.J.; Hermens, H.; Morrissey, D.; Little, P.; Cooper, C.; Carr, A.; et al. Motor control retraining exercises for shoulder impingement: Effects on function, muscle activation, and biomechanics in young adults. J. Shoulder Elb. Surg. 2013, 22, e11–e19. [Google Scholar] [CrossRef]
- de Sire, A.; Moggio, L.; Marotta, N.; Fortunato, F.; Spalek, R.; Inzitari, M.T.; Paolucci, T.; Ammendolia, A. Ultrasound-Guided Injections and Proprioceptive Neuromuscular Facilitation as Shoulder Rehabilitation for Multiple Sclerosis and Neuropathic Pain. Healthcare 2022, 10, 1869. [Google Scholar] [CrossRef]
- Chen, Y.H.; Liang, W.A.; Lin, C.R.; Huang, C.Y. A randomized controlled trial of scapular exercises with electromyography biofeedback in oral cancer patients with accessory nerve dysfunction. Support Care Cancer 2022, 30, 8241–8250. [Google Scholar] [CrossRef]
- Schulz, K.F.; Altman, D.G.; Moher, D. CONSORT 2010 Statement: Updated guidelines for reporting parallel group randomised trials. BMC Med. 2010, 8, 18. [Google Scholar] [CrossRef]
- Molini, L.; Mariacher, S.; Bianchi, S. US guided corticosteroid injection into the subacromial-subdeltoid bursa: Technique and approach. J. Ultrasound 2012, 15, 61–68. [Google Scholar] [CrossRef] [PubMed]
- Ekeberg, O.M.; Bautz-Holter, E.; Tveita, E.K.; Juel, N.G.; Kvalheim, S.; Brox, J.I. Subacromial ultrasound guided or systemic steroid injection for rotator cuff disease: Randomised double blind study. BMJ 2009, 338, a3112. [Google Scholar] [CrossRef] [PubMed]
- Richmond, H.; Lait, C.; Srikesavan, C.; Williamson, E.; Moser, J.; Newman, M.; Betteley, L.; Fordham, B.; Rees, S.; Lamb, S.E.; et al. Development of an exercise intervention for the prevention of musculoskeletal shoulder problems after breast cancer treatment: The prevention of shoulder problems trial (UK PROSPER). BMC Health Serv. Res. 2018, 18, 463. [Google Scholar] [CrossRef] [PubMed]
- Ha, S.Y.; Sung, Y.H. The effect of scapular strengthening exercise using elastic band on balance and quality of life in the old people. J. Exerc. Rehabil. 2021, 17, 214–219. [Google Scholar] [CrossRef] [PubMed]
- Desrosiers, J.; Bravo, G.; Hébert, R.; Dutil, E. Normative data for grip strength of elderly men and women. Am. J. Occup. Ther. 1995, 49, 637–644. [Google Scholar] [CrossRef]
- Dawson, J.; Rogers, K.; Fitzpatrick, R.; Carr, A. The Oxford shoulder score revisited. Arch. Orthop. Trauma Surg. 2009, 129, 119–123. [Google Scholar] [CrossRef]
- Younis, F.; Sultan, J.; Dix, S.; Hughes, P.J. The range of the Oxford Shoulder Score in the asymptomatic population: A marker for post-operative improvement. Ann. R. Coll. Surg. Engl. 2011, 93, 629–633. [Google Scholar] [CrossRef]
- Kasper, B. The EORTC QLQ-C30 Summary Score as a Prognostic Factor for Survival of Patients with Cancer: A Commentary. Oncologist 2020, 25, e610–e611. [Google Scholar] [CrossRef]
- Aaronson, N.K.; Ahmedzai, S.; Bergman, B.; Bullinger, M.; Cull, A.; Duez, N.J.; Filiberti, A.; Flechtner, H.; Fleishman, S.B.; de Haes, J.C.; et al. The European Organization for Research and Treatment of Cancer QLQ-C30: A quality-of-life instrument for use in international clinical trials in oncology. J. Natl. Cancer Inst. 1993, 85, 365–376. [Google Scholar] [CrossRef]
- Meisingset, I.; Stensdotter, A.K.; Woodhouse, A.; Vasseljen, O. Predictors for global perceived effect after physiotherapy in patients with neck pain: An observational study. Physiotherapy 2018, 104, 400–407. [Google Scholar] [CrossRef]
- Kraal, T.; Sierevelt, I.; Deurzen, D.V.; Bekerom, M.P.V.D.; Beimers, L. Corticosteroid injection alone vs. additional physiotherapy treatment in early stage frozen shoulders. World J. Orthop. 2018, 9, 165–172. [Google Scholar] [CrossRef]
- Gasparre, G.; Fusaro, I.; Galletti, S.; Volini, S.; Benedetti, M.G. Effectiveness of ultrasound-guided injections combined with shoulder exercises in the treatment of subacromial adhesive bursitis. Musculoskelet. Surg. 2012, 96, 57–61. [Google Scholar] [CrossRef]
- Olsson Möller, U.; Beck, I.; Rydén, L.; Malmström, M. A comprehensive approach to rehabilitation interventions following breast cancer treatment - a systematic review of systematic reviews. BMC Cancer 2019, 19, 1–20. [Google Scholar] [CrossRef]
- Ellegaard, K.; Christensen, R.; Rosager, S.; Bartholdy, C.; Torp-Pedersen, S.; Bandholm, T.; Danneskiold-Samsøe, B.; Bliddal, H.; Henriksen, M. Exercise therapy after ultrasound-guided corticosteroid injections in patients with subacromial pain syndrome: A randomized controlled trial. Arthritis Res. Ther. 2016, 18, 129. [Google Scholar] [CrossRef]
- Bennell, K.; Wee, E.; Coburn, S.; Green, S.; Harris, A.; Staples, M.; Forbes, A.; Buchbinder, R. Efficacy of standardised manual therapy and home exercise programme for chronic rotator cuff disease: Randomised placebo controlled trial. BMJ 2010, 340, c2756. [Google Scholar] [CrossRef]
- Holmgren, T.; Hallgren, H.B.; Oberg, B.; Adolfsson, L.; Johansson, K. Effect of specific exercise strategy on need for surgery in patients with subacromial impingement syndrome: Randomised controlled study. Br. J. Sports Med. 2014, 48, 1456–1457. [Google Scholar] [CrossRef]
- Brudvig, T.J.; Kulkarni, H.; Shah, S. The effect of therapeutic exercise and mobilization on patients with shoulder dysfunction: A systematic review with meta-analysis. J. Orthop. Sports Phys. Ther. 2011, 41, 734–748. [Google Scholar] [CrossRef]
- van den Dolder, P.A.; Roberts, D.L. A trial into the effectiveness of soft tissue massage in the treatment of shoulder pain. Aust. J. Physiother. 2003, 49, 183–188. [Google Scholar] [CrossRef]
- Yang, J.L.; Chen, S.Y.; Hsieh, C.L.; Lin, J.J. Effects and predictors of shoulder muscle massage for patients with posterior shoulder tightness. BMC Musculoskelet Disord. 2012, 13, 46. [Google Scholar] [CrossRef]
- Michelotti, A.; Invernizzi, M.; Lopez, G.; Lorenzini, D.; Nesa, F.; De Sire, A.; Fusco, N. Tackling the diversity of breast cancer related lymphedema: Perspectives on diagnosis, risk assessment, and clinical management. Breast 2019, 44, 15–23. [Google Scholar] [CrossRef]
- de Sire, A.; Invernizzi, M.; Lippi, L.; Cisari, C.; Ozcakar, L.; Franchignoni, F. Blurred lines between axillary web syndrome and Mondor’s disease after breast cancer surgery: A case report. Ann. Phys. Rehabil. Med. 2020, 63, 365–367. [Google Scholar] [CrossRef]
- Invernizzi, M.; Michelotti, A.; Noale, M.; Lopez, G.; Runza, L.; Giroda, M.; Despini, L.; Blundo, C.; Maggi, S.; Gambini, D.; et al. Breast Cancer Systemic Treatments and Upper Limb Lymphedema: A Risk-Assessment Platform Encompassing Tumor-Specific Pathological Features Reveals the Potential Role of Trastuzumab. J. Clin. Med. 2019, 8, 138. [Google Scholar] [CrossRef]
- Invernizzi, M.; Corti, C.; Lopez, G.; Michelotti, A.; Despini, L.; Gambini, D.; Lorenzini, D.; Guerini-Rocco, E.; Maggi, S.; Noale, M.; et al. Lymphovascular invasion and extranodal tumour extension are risk indicators of breast cancer related lymphoedema: An observational retrospective study with long-term follow-up. BMC Cancer 2018, 18, 935. [Google Scholar] [CrossRef]
- Ha, K.J.; Lee, S.Y.; Lee, H.; Choi, S.J. Synergistic Effects of Proprioceptive Neuromuscular Facilitation and Manual Lymphatic Drainage in Patients with Mastectomy-Related Lymphedema. Front. Physiol. 2017, 8, 959. [Google Scholar] [CrossRef]
- Brookham, R.L.; Cudlip, A.C.; Dickerson, C.R. Examining upper limb kinematics and dysfunction of breast cancer survivors in functional dynamic tasks. Clin. Biomech. 2018, 55, 86–93. [Google Scholar] [CrossRef]
- Bernetti, A.; Agostini, F.; de Sire, A.; Mangone, M.; Tognolo, L.; Di Cesare, A.; Ruiu, P.; Paolucci, T.; Invernizzi, M.; Paoloni, M. Neuropathic Pain and Rehabilitation: A Systematic Review of International Guidelines. Diagnostics 2021, 11, 74. [Google Scholar] [CrossRef]
- Schmitz, K.H.; Courneya, K.S.; Matthews, C.; Demark-Wahnefried, W.; Galvão, D.A.; Pinto, B.M.; Irwin, M.L.; Wolin, K.Y.; Segal, R.J.; Lucia, A.; et al. American College of Sports Medicine roundtable on exercise guidelines for cancer survivors. Med. Sci. Sports Exerc. 2010, 42, 1409–1426. [Google Scholar] [CrossRef]
- Holmes, M.D.; Chen, W.Y.; Feskanich, D.; Kroenke, C.H.; Colditz, G.A. Physical activity and survival after breast cancer diagnosis. JAMA 2005, 293, 2479–2486. [Google Scholar] [CrossRef]
- Sweegers, M.G.; Altenburg, T.M.; Brug, J.; May, A.M.; van Vulpen, J.K.; Aaronson, N.K.; Arbane, G.; Bohus, M.; Courneya, K.S.; Daley, A.J.; et al. Effects and moderators of exercise on muscle strength, muscle function and aerobic fitness in patients with cancer: A meta-analysis of individual patient data. Br. J. Sports Med. 2019, 53, 812. [Google Scholar] [CrossRef]
- Ortega, M.A.; Fraile-Martínez, O.; García-Montero, C.; Pekarek, L.; Guijarro, L.G.; Castellanos, A.J.; Sanchez-Trujillo, L.; García-Honduvilla, N.; Álvarez-Mon, M.; Buján, J.; et al. Physical Activity as an Imperative Support in Breast Cancer Management. Cancers 2020, 13, 55. [Google Scholar] [CrossRef]
- Tonorezos, E.S.; Ford, J.S.; Wang, L.; Ness, K.K.; Yasui, Y.; Leisenring, W.; Sklar, C.A.; Robison, L.L.; Oeffinger, K.C.; Nathan, P.C.; et al. Impact of exercise on psychological burden in adult survivors of childhood cancer: A report from the Childhood Cancer Survivor Study. Cancer 2019, 125, 3059–3067. [Google Scholar] [CrossRef]




| Group A (n: 19) | Group B (n: 18) | p-Value | |
|---|---|---|---|
| Age (years) | 56.05 ± 10.30 | 58.39 ± 12.09 | 0.146 |
| Sex (female) | 19 (100.0) | 18 (100.0) | 0.999 |
| BMI (kg/m2) | 23.58 ± 2.79 | 22.72 ± 3.16 | 0.186 |
| Smoker | 4 (21.1) | 6 (33.3) | 0.999 |
| Time from surgery (days) | 674 ± 378 | 713 ± 322 | 0.174 |
| Breast surgery | |||
| Conservative | 7 (36.8) | 5 (27.8) | 0.728 |
| Mastectomy | 12 (63.2) | 13 (72.2) | 0.728 |
| Axillary surgery | |||
| Sentinel lymph node | 6 (31.6) | 6 (33.3) | 0.999 |
| En bloc dissection | 13 (68.4) | 12 (66.7) | 0.999 |
| Radiotherapy | 13 (68.4) | 13 (72.2) | 0.999 |
| Hormone therapy | 11 (57.9) | 12 (66.7) | 0.737 |
| Trastuzumab | 5 (26.3) | 8 (44.4) | 0.313 |
| BCRL | 3 (15.8) | 4 (22.2) | 0.693 |
Publisher’s Note: MDPI stays neutral with regard to jurisdictional claims in published maps and institutional affiliations. |
© 2022 by the authors. Licensee MDPI, Basel, Switzerland. This article is an open access article distributed under the terms and conditions of the Creative Commons Attribution (CC BY) license (https://creativecommons.org/licenses/by/4.0/).
Share and Cite
Lippi, L.; de Sire, A.; Folli, A.; Maconi, A.; Polverelli, M.; Vecchio, C.; Fusco, N.; Invernizzi, M. Effects of Ultrasound-Guided Injection Combined with a Targeted Therapeutic Exercise in Breast Cancer Women with Subacromial Pain Syndrome: A Randomized Clinical Study. J. Pers. Med. 2022, 12, 1833. https://doi.org/10.3390/jpm12111833
Lippi L, de Sire A, Folli A, Maconi A, Polverelli M, Vecchio C, Fusco N, Invernizzi M. Effects of Ultrasound-Guided Injection Combined with a Targeted Therapeutic Exercise in Breast Cancer Women with Subacromial Pain Syndrome: A Randomized Clinical Study. Journal of Personalized Medicine. 2022; 12(11):1833. https://doi.org/10.3390/jpm12111833
Chicago/Turabian StyleLippi, Lorenzo, Alessandro de Sire, Arianna Folli, Antonio Maconi, Marco Polverelli, Carlo Vecchio, Nicola Fusco, and Marco Invernizzi. 2022. "Effects of Ultrasound-Guided Injection Combined with a Targeted Therapeutic Exercise in Breast Cancer Women with Subacromial Pain Syndrome: A Randomized Clinical Study" Journal of Personalized Medicine 12, no. 11: 1833. https://doi.org/10.3390/jpm12111833
APA StyleLippi, L., de Sire, A., Folli, A., Maconi, A., Polverelli, M., Vecchio, C., Fusco, N., & Invernizzi, M. (2022). Effects of Ultrasound-Guided Injection Combined with a Targeted Therapeutic Exercise in Breast Cancer Women with Subacromial Pain Syndrome: A Randomized Clinical Study. Journal of Personalized Medicine, 12(11), 1833. https://doi.org/10.3390/jpm12111833

