Filtration-Histogram Based Magnetic Resonance Texture Analysis (MRTA) for the Distinction of Primary Central Nervous System Lymphoma and Glioblastoma
Abstract
1. Introduction
2. Materials and Methods
2.1. Patient Cohort
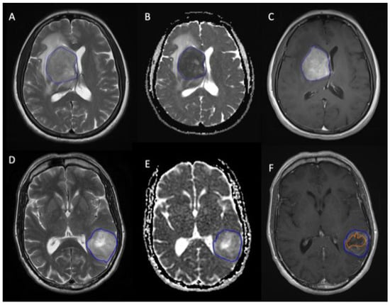
2.2. Tumour Segmentations
2.3. Texture Analysis (MRTA)
2.4. Visual Inspection
2.5. Statistical Analysis
3. Results
3.1. Patient Cohort
3.2. Analysis of All Tumours
3.2.1. All Tumours, ROI_T1a and ROI_T1b
3.2.2. All Tumours, T2 (ROI_T2)
3.2.3. All Tumours, ADC (ROI_ADC)
3.3. Subgroup Analysis of Predominantly Solid (<1/3 Necrosis) Tumours
3.4. Subgroup Analysis of Partially Necrotic (≥1/3 Necrosis) Tumours
3.5. Visual Rating
4. Discussion
5. Conclusions
Author Contributions
Funding
Institutional Review Board Statement
Informed Consent Statement
Data Availability Statement
Conflicts of Interest
References
- Chihara, D.; Fowler, N.H.; Oki, Y.; Fanale, M.A.; Nastoupil, L.J.; Westin, J.R.; Fayad, L.E.; Neelapu, S.S.; Cheah, C.Y. Impact of histologic subtypes and treatment modality among patients with primary central nervous system lymphoma: A SEER database analysis. Oncotarget 2018, 9, 28897–28902. [Google Scholar] [CrossRef] [PubMed]
- Brandao, L.A.; Castillo, M. Lymphomas-Part 1. Neuroimaging Clin. N. Am. 2016, 26, 511–536. [Google Scholar] [CrossRef] [PubMed]
- Phillips, E.H.; Fox, C.P.; Cwynarski, K. Primary CNS lymphoma. Curr. Hematol. Malig. Rep. 2014, 9, 243–253. [Google Scholar] [CrossRef] [PubMed]
- Ferreri, A.J.; Cwynarski, K.; Pulczynski, E.; Ponzoni, M.; Deckert, M.; Politi, L.S.; Torri, V.; Fox, C.P.; Rosee, P.L.; Schorb, E.; et al. Chemoimmunotherapy with methotrexate, cytarabine, thiotepa, and rituximab (MATRix regimen) in patients with primary CNS lymphoma: Results of the first randomisation of the International Extranodal Lymphoma Study Group-32 (IELSG32) phase 2 trial. Lancet Haematol. 2016, 3, e217–e227. [Google Scholar] [CrossRef]
- Kuker, W.; Nagele, T.; Korfel, A.; Heckl, S.; Thiel, E.; Bamberg, M.; Weller, M.; Herrlinger, U. Primary central nervous system lymphomas (PCNSL): MRI features at presentation in 100 patients. J. Neuro-Oncol. 2005, 72, 169–177. [Google Scholar] [CrossRef]
- Sutherland, T.; Yap, K.; Liew, E.; Tartaglia, C.; Pang, M.; Trost, N. Primary central nervous system lymphoma in immunocompetent patients: A retrospective review of MRI features. J. Med. Imaging Radiat. Oncol. 2012, 56, 295–301. [Google Scholar] [CrossRef]
- Johnson, B.A.; Fram, E.K.; Johnson, P.C.; Jacobowitz, R. The variable MR appearance of primary lymphoma of the central nervous system: Comparison with histopathologic features. AJNR Am. J. Neuroradiol. 1997, 18, 563–572. [Google Scholar] [CrossRef][Green Version]
- Gittleman, H.; Boscia, A.; Ostrom, Q.T.; Truitt, G.; Fritz, Y.; Kruchko, C.; Barnholtz-Sloan, J.S. Survivorship in adults with malignant brain and other central nervous system tumor from 2000–2014. Neuro-Oncology 2018, 20, vii6–vii16. [Google Scholar] [CrossRef]
- Malikova, H.; Koubska, E.; Weichet, J.; Klener, J.; Rulseh, A.; Liscak, R.; Vojtech, Z. Can morphological MRI differentiate between primary central nervous system lymphoma and glioblastoma? Cancer Imaging 2016, 16, 40. [Google Scholar] [CrossRef]
- Al-Okaili, R.N.; Krejza, J.; Woo, J.H.; Wolf, R.L.; O’Rourke, D.M.; Judy, K.D.; Poptani, H.; Melhem, E.R. Intraaxial brain masses: MR imaging-based diagnostic strategy—Initial experience. Radiology 2007, 243, 539–550. [Google Scholar] [CrossRef]
- Peet, A.C.; Arvanitis, T.N.; Leach, M.O.; Waldman, A.D. Functional imaging in adult and paediatric brain tumours. Nat. Rev. Clin. Oncol. 2012, 9, 700–711. [Google Scholar] [CrossRef]
- Guo, A.C.; Cummings, T.J.; Dash, R.C.; Provenzale, J.M. Lymphomas and high-grade astrocytomas: Comparison of water diffusibility and histologic characteristics. Radiology 2002, 224, 177–183. [Google Scholar] [CrossRef]
- Neska-Matuszewska, M.; Bladowska, J.; Sasiadek, M.; Zimny, A. Differentiation of glioblastoma multiforme, metastases and primary central nervous system lymphomas using multiparametric perfusion and diffusion MR imaging of a tumor core and a peritumoral zone-Searching for a practical approach. PLoS ONE 2018, 13, e0191341. [Google Scholar] [CrossRef]
- Makino, K.; Hirai, T.; Nakamura, H.; Kuroda, J.I.; Shinojima, N.; Uetani, H.; Kitajima, M.; Yano, S. Differentiating Between Primary Central Nervous System Lymphomas and Glioblastomas: Combined Use of Perfusion-Weighted and Diffusion-Weighted Magnetic Resonance Imaging. World Neurosurg. 2018, 112, e1–e6. [Google Scholar] [CrossRef]
- Wen, J.B.; Huang, W.Y.; Xu, W.X.; Wu, G.; Geng, D.Y.; Yin, B. Differentiating Primary Central Nervous System Lymphomas From Glioblastomas and Inflammatory Demyelinating Pseudotumor Using Relative Minimum Apparent Diffusion Coefficients. J. Comput. Assist. Tomogr. 2017, 41, 904–909. [Google Scholar] [CrossRef] [PubMed]
- Shim, W.H.; Kim, H.S.; Choi, C.G.; Kim, S.J. Comparison of Apparent Diffusion Coefficient and Intravoxel Incoherent Motion for Differentiating among Glioblastoma, Metastasis, and Lymphoma Focusing on Diffusion-Related Parameter. PLoS ONE 2015, 10, e0134761. [Google Scholar] [CrossRef]
- Ahn, S.J.; Shin, H.J.; Chang, J.H.; Lee, S.K. Differentiation between primary cerebral lymphoma and glioblastoma using the apparent diffusion coefficient: Comparison of three different ROI methods. PLoS ONE 2014, 9, e112948. [Google Scholar] [CrossRef] [PubMed]
- Kim, Y.; Cho, H.H.; Kim, S.T.; Park, H.; Nam, D.; Kong, D.S. Radiomics features to distinguish glioblastoma from primary central nervous system lymphoma on multi-parametric MRI. Neuroradiology 2018, 60, 1297–1305. [Google Scholar] [CrossRef] [PubMed]
- Suh, H.B.; Choi, Y.S.; Bae, S.; Ahn, S.S.; Chang, J.H.; Kang, S.G.; Kim, E.H.; Kim, S.H.; Lee, S.K. Primary central nervous system lymphoma and atypical glioblastoma: Differentiation using radiomics approach. Eur. Radiol. 2018, 28, 3832–3839. [Google Scholar] [CrossRef]
- Yun, J.; Park, J.E.; Lee, H.; Ham, S.; Kim, N.; Kim, H.S. Radiomic features and multilayer perceptron network classifier: A robust MRI classification strategy for distinguishing glioblastoma from primary central nervous system lymphoma. Sci. Rep. 2019, 9, 5746. [Google Scholar] [CrossRef]
- Kang, D.; Park, J.E.; Kim, Y.H.; Kim, J.H.; Oh, J.Y.; Kim, J.; Kim, Y.; Kim, S.T.; Kim, H.S. Diffusion radiomics as a diagnostic model for atypical manifestation of primary central nervous system lymphoma: Development and multicenter external validation. Neuro-Oncology 2018, 20, 1251–1261. [Google Scholar] [CrossRef]
- Ganeshan, B.; Goh, V.; Mandeville, H.C.; Ng, Q.S.; Hoskin, P.J.; Miles, K.A. Non-small cell lung cancer: Histopathologic correlates for texture parameters at CT. Radiology 2013, 266, 326–336. [Google Scholar] [CrossRef]
- Skogen, K.; Ganeshan, B.; Good, C.; Critchley, G.; Miles, K. Measurements of heterogeneity in gliomas on computed tomography relationship to tumour grade. J. Neuro-Oncol. 2013, 111, 213–219. [Google Scholar] [CrossRef]
- Kassner, A.; Thornhill, R.E. Texture analysis: A review of neurologic MR imaging applications. AJNR Am. J. Neuroradiol. 2010, 31, 809–816. [Google Scholar] [CrossRef] [PubMed]
- Miles, K.A.; Ganeshan, B.; Hayball, M.P. CT texture analysis using the filtration-histogram method: What do the measurements mean? Cancer Imaging Off. Publ. Int. Cancer Imaging Soc. 2013, 13, 400–406. [Google Scholar] [CrossRef]
- Skogen, K.; Schulz, A.; Dormagen, J.B.; Ganeshan, B.; Helseth, E.; Server, A. Diagnostic performance of texture analysis on MRI in grading cerebral gliomas. Eur. J. Radiol. 2016, 85, 824–829. [Google Scholar] [CrossRef] [PubMed]
- Lewis, M.A.; Ganeshan, B.; Barnes, A.; Bisdas, S.; Jaunmuktane, Z.; Brandner, S.; Endozo, R.; Groves, A.; Thust, S.C. Filtration-histogram based magnetic resonance texture analysis (MRTA) for glioma IDH and 1p19q genotyping. Eur. J. Radiol. 2019, 113, 116–123. [Google Scholar] [CrossRef]
- Kunimatsu, A.; Kunimatsu, N.; Kamiya, K.; Watadani, T.; Mori, H.; Abe, O. Comparison between Glioblastoma and Primary Central Nervous System Lymphoma Using MR Image-based Texture Analysis. Magn. Reson. Med Sci. 2018, 17, 50–57. [Google Scholar] [CrossRef]
- Xiao, D.D.; Yan, P.F.; Wang, Y.X.; Osman, M.S.; Zhao, H.Y. Glioblastoma and primary central nervous system lymphoma: Preoperative differentiation by using MRI-based 3D texture analysis. Clin. Neurol. Neurosurg. 2018, 173, 84–90. [Google Scholar] [CrossRef]
- Nguyen, A.V.; Blears, E.E.; Ross, E.; Lall, R.R.; Ortega-Barnett, J. Machine learning applications for the differentiation of primary central nervous system lymphoma from glioblastoma on imaging: A systematic review and meta-analysis. Neurosurg. Focus 2018, 45, E5. [Google Scholar] [CrossRef]
- Bathla, G.; Priya, S.; Liu, Y.; Ward, C.; Le, N.H.; Soni, N.; Maheshwarappa, R.P.; Monga, V.; Zhang, H.; Sonka, M. Radiomics-based differentiation between glioblastoma and primary central nervous system lymphoma: A comparison of diagnostic performance across different MRI sequences and machine learning techniques. Eur. Radiol. 2021. [Google Scholar] [CrossRef]
- Ideguchi, M.; Kajiwara, K.; Goto, H.; Sugimoto, K.; Nomura, S.; Ikeda, E.; Suzuki, M. MRI findings and pathological features in early-stage glioblastoma. J. Neuro-Oncol. 2015, 123, 289–297. [Google Scholar] [CrossRef]
- Toh, C.H.; Castillo, M.; Wong, A.M.; Wei, K.C.; Wong, H.F.; Ng, S.H.; Wan, Y.L. Primary cerebral lymphoma and glioblastoma multiforme: Differences in diffusion characteristics evaluated with diffusion tensor imaging. AJNR Am. J. Neuroradiol. 2008, 29, 471–475. [Google Scholar] [CrossRef]
- Bao, S.; Watanabe, Y.; Takahashi, H.; Tanaka, H.; Arisawa, A.; Matsuo, C.; Wu, R.; Fujimoto, Y.; Tomiyama, N. Differentiating between Glioblastoma and Primary CNS Lymphoma Using Combined Whole-tumor Histogram Analysis of the Normalized Cerebral Blood Volume and the Apparent Diffusion Coefficient. Magn. Reson. Med Sci. 2019, 18, 53–61. [Google Scholar] [CrossRef]
- Thust, S.C.; Maynard, J.A.; Benenati, M.; Wastling, S.J.; Mancini, L.; Jaunmuktane, Z.; Brandner, S.; Jäger, H.R. Regional and Volumetric Parameters for Diffusion-Weighted WHO Grade II and III Glioma Genotyping: A Method Comparison. AJNR Am. J. Neuroradiol. 2021, 42, 441–447. [Google Scholar] [CrossRef]



| Tumour Type | PCNSL | GBM | Total | |
|---|---|---|---|---|
| Median (range) age in years | 65 (20–84) | 65 (34–81) | 65.5 (20–84) | |
| Gender (male/female) | 22/26 | 24/18 | 46/44 | |
| <1/3 necrosis | T1CE | 40 (83%) | 6 (14%) | 46 |
| T2 | 36 (90%) | 4 (10%) | 40 | |
| ADC | 33 (87%) | 5 (13%) | 38 | |
| ≥1/3 necrosis | T1CE | 8 (17%) | 36 (86%) | 44 |
| T2 | 8 (20%) | 32 (80%) | 40 | |
| ADC | 5 (14%) | 32 (86%) | 37 | |
| ROI_T1a | SSF | Mean | SD | Entropy | MPP | Skewness | Kurtosis | Sens/Spec (%) | ROI_T1b | SSF | Mean | SD | Entropy | MPP | Skewness | Kurtosis | Sens/Spec (%) |
| 0 | NS | NS | NS | NS | 0.784 | NS | 28.6/39.6 | 0 | NS | NS | NS | NS | 0.796 | NS | 64.3/81.2 | ||
| 2 | 0.293 | NS | 0.716 | NS | NS | NS | 64.3/66.6 | 2 | NS | NS | NS | NS | NS | NS | NS | ||
| 3 | 0.257 | NS | 0.701 | NS | NS | NS | 61.9/64.6 | 3 | NS | NS | NS | NS | NS | NS | NS | ||
| 4 | 0.236 | NS | NS | NS | NS | NS | 26.2/31.2 | 4 | NS | NS | NS | NS | NS | 0.744 | 69/68.7 | ||
| 5 | 0.221 | NS | NS | NS | NS | NS | 33.3/27.1 | 5 | NS | NS | NS | NS | NS | 0.779 | 71.4/77.1 | ||
| 6 | 0.206 | NS | NS | NS | NS | NS | 23.8/29.2 | 6 | NS | NS | NS | NS | NS | 0.779 | 64.3/77.1 | ||
| ROI_T2 | SSF | Mean | SD | Entropy | MPP | Skewness | Kurtosis | Sens/Spec (%) | ROI_ADC | SSF | Mean | SD | Entropy | MPP | Skewness | Kurtosis | Sens/Spec (%) |
| 0 | NS | 0.739 | 0.765 | NS | NS | NS | 63.9/68.2 | 0 | 0.881 | 0.813 | 0.768 | 0.881 | NS | NS | 83.8/78.9 | ||
| 2 | 0.782 | NS | 0.7 | NS | NS | NS | 63.9/79.5 | 2 | 0.766 | 0.745 | 0.736 | 0.819 | 0.738 | NS | 70.3/71.1 | ||
| 3 | 0.802 | NS | 0.705 | 0.71 | NS | NS | 66.7/79.5 | 3 | 0.787 | 0.731 | 0.726 | 0.788 | NS | NS | 64.9/71.1 | ||
| 4 | 0.812 | NS | 0.723 | 0.72 | NS | NS | 69.4/79.5 | 4 | 0.804 | 0.736 | 0.718 | 0.798 | NS | NS | 73/76.3 | ||
| 5 | 0.823 | NS | 0.722 | 0.74 | NS | NS | 66.7/81.8 | 5 | 0.821 | 0.719 | 0.717 | 0.771 | NS | NS | 70.3/73.7 | ||
| 6 | 0.819 | NS | 0.712 | 0.75 | NS | NS | 66.7/81.8 | 6 | 0.836 | 0.712 | 0.714 | 0.777 | NS | NS | 70.3/73.7 |
| ROI_T2 | SSF | Mean | SD | Entropy | MPP | Skewness | Kurtosis | Sens/Spec (%) | ROI_ADC | SSF | Mean | SD | Entropy | MPP | Skewness | Kurtosis | Sens/Spec (%) |
|---|---|---|---|---|---|---|---|---|---|---|---|---|---|---|---|---|---|
| 0 | NA | NA | NA | NA | NA | NA | NA | 0 | NA | NA | NA | NA | NA | NA | NA | ||
| 2 | NA | NA | NA | NA | NA | NA | NA | 2 | NA | NA | NA | NA | NA | NA | NA | ||
| 3 | NA | NA | NA | NA | NA | NA | NA | 3 | NA | NA | NA | NA | NA | NA | NA | ||
| 4 | 0.883 | NA | NA | NA | NA | NA | 62.5/87.5 | 4 | NA | 0.956 | NA | 0.99 | NA | NA | 96.9/100 | ||
| 5 | 0.895 | NA | NA | NA | NA | NA | 71.9/87.5 | 5 | NA | NA | NA | 0.96 | NA | NA | 78.1/100 | ||
| 6 | 0.898 | NA | NA | NA | NA | NA | 71.9/87.5 | 6 | NA | NA | NA | 0.96 | NA | NA | 78.1/100 |
| Tissue Diagnosis | |||
|---|---|---|---|
| PCNSL | Glioblastoma | ||
| Rater diagnosis | PCNSL | 45 | 3 |
| Glioblastoma | 1 | 38 | |
| Unrated | 2 | 1 | |
Publisher’s Note: MDPI stays neutral with regard to jurisdictional claims in published maps and institutional affiliations. |
© 2021 by the authors. Licensee MDPI, Basel, Switzerland. This article is an open access article distributed under the terms and conditions of the Creative Commons Attribution (CC BY) license (https://creativecommons.org/licenses/by/4.0/).
Share and Cite
MacIver, C.L.; Busaidi, A.A.; Ganeshan, B.; Maynard, J.A.; Wastling, S.; Hyare, H.; Brandner, S.; Markus, J.E.; Lewis, M.A.; Groves, A.M.; et al. Filtration-Histogram Based Magnetic Resonance Texture Analysis (MRTA) for the Distinction of Primary Central Nervous System Lymphoma and Glioblastoma. J. Pers. Med. 2021, 11, 876. https://doi.org/10.3390/jpm11090876
MacIver CL, Busaidi AA, Ganeshan B, Maynard JA, Wastling S, Hyare H, Brandner S, Markus JE, Lewis MA, Groves AM, et al. Filtration-Histogram Based Magnetic Resonance Texture Analysis (MRTA) for the Distinction of Primary Central Nervous System Lymphoma and Glioblastoma. Journal of Personalized Medicine. 2021; 11(9):876. https://doi.org/10.3390/jpm11090876
Chicago/Turabian StyleMacIver, Claire L., Ayisha Al Busaidi, Balaji Ganeshan, John A. Maynard, Stephen Wastling, Harpreet Hyare, Sebastian Brandner, Julia E. Markus, Martin A. Lewis, Ashley M. Groves, and et al. 2021. "Filtration-Histogram Based Magnetic Resonance Texture Analysis (MRTA) for the Distinction of Primary Central Nervous System Lymphoma and Glioblastoma" Journal of Personalized Medicine 11, no. 9: 876. https://doi.org/10.3390/jpm11090876
APA StyleMacIver, C. L., Busaidi, A. A., Ganeshan, B., Maynard, J. A., Wastling, S., Hyare, H., Brandner, S., Markus, J. E., Lewis, M. A., Groves, A. M., Cwynarski, K., & Thust, S. C. (2021). Filtration-Histogram Based Magnetic Resonance Texture Analysis (MRTA) for the Distinction of Primary Central Nervous System Lymphoma and Glioblastoma. Journal of Personalized Medicine, 11(9), 876. https://doi.org/10.3390/jpm11090876

