Long-Term Outcomes of Personalized Stereotactic Ablative Brachytherapy for Recurrent Head and Neck Adenoid Cystic Carcinoma after Surgery or External Beam Radiotherapy: A 9-Year Study
Abstract
:1. Introduction
2. Results
2.1. Patient Characteristics
2.2. Symptom Relief
2.3. Treatment Response
2.4. LCT
2.5. OS
2.6. Univariate Analyses of LCT and OS
2.7. AEs
3. Discussion
4. Materials and Methods
4.1. Patients
4.2. Inclusion and Exclusion Criteria
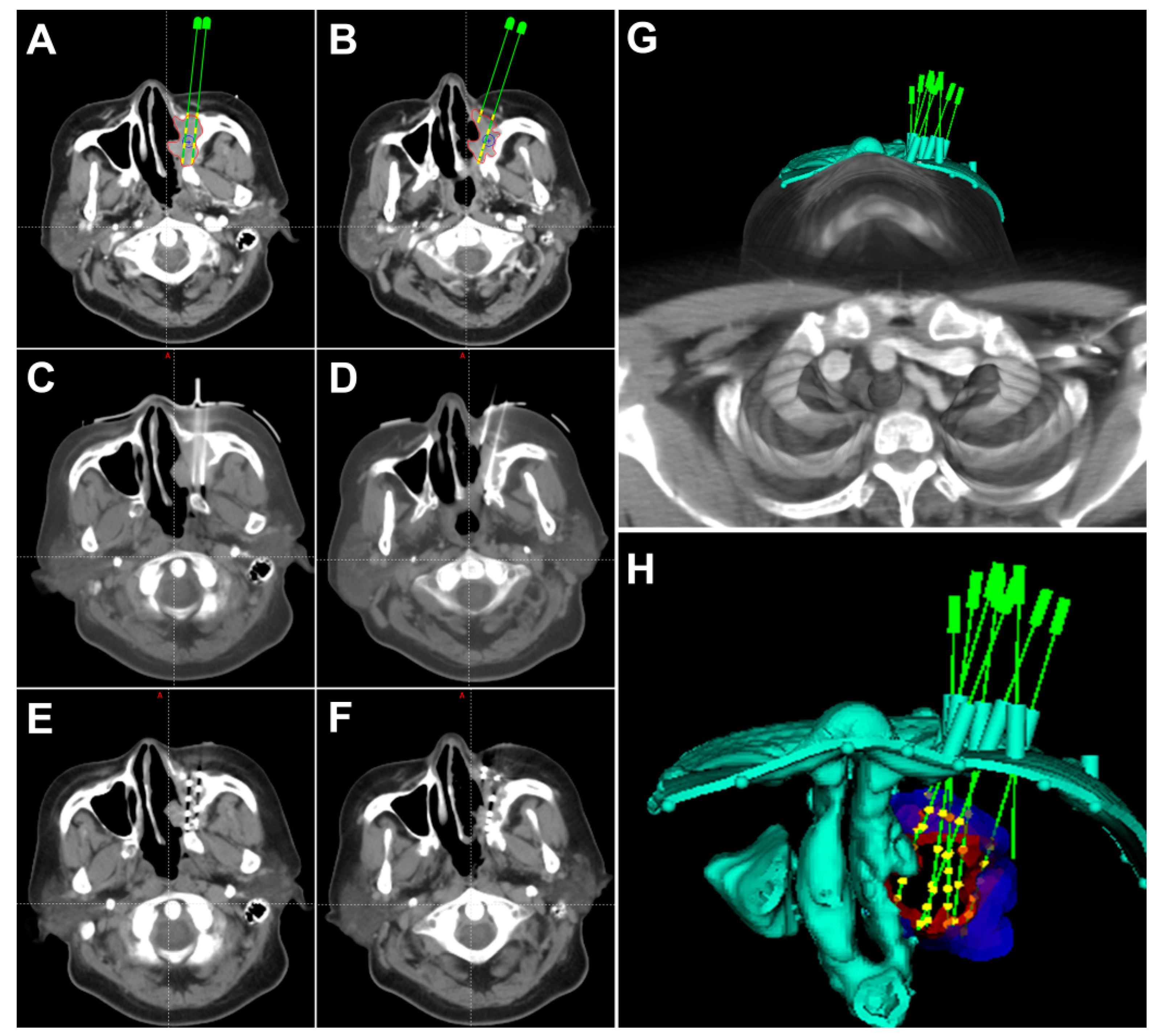
4.3. Treatment
4.4. Preoperative Individualized Treatment Planning
4.5. Intraoperative Implantation
4.6. Postoperative Evaluation
4.7. Follow-Up
4.8. Clinical Outcomes
4.9. Statistical Analysis
5. Conclusions
Author Contributions
Funding
Institutional Review Board Statement
Informed Consent Statement
Data Availability Statement
Acknowledgments
Conflicts of Interest
References
- Vander, P.V.; Balm, A.J.; Hilgers, F.J.; Tan, I.B.; Loftus-Coll, B.M.; Keus, R.B.; Hart, A.A. Prognostic factors for long term results of the treatment of patients with malignant submandibular gland tumors. Cancer 1999, 85, 2255–2264. [Google Scholar] [CrossRef]
- Coca-Pelaz, A.; Rodrigo, J.P.; Bradley, P.J.; Vander, P.V.; Triantafyllou, A.; Hunt, J.L.; Strojan, P.; Rinaldo, A.; Haigentz, M.J.; Takes, R.P.; et al. Adenoid cystic carcinoma of the head and neck—An update. Oral Oncol. 2015, 51, 652–661. [Google Scholar] [CrossRef]
- Chen, A.M.; Bucci, M.K.; Weinberg, V.; Garcia, J.; Quivey, J.M.; Schechter, N.R.; Phillips, T.L.; Fu, K.K.; Eisele, D.W. Adenoid cystic carcinoma of the head and neck treated by surgery with or without postoperative radiation therapy: Prognostic features of recurrence. Int. J. Radiat. Oncol. Biol. Phys. 2006, 66, 152–159. [Google Scholar] [CrossRef]
- Mendenhall, W.M.; Morris, C.G.; Amdur, R.J.; Werning, J.W.; Hinerman, R.W.; Villaret, D.B. Radiotherapy alone or combined with surgery for adenoid cystic carcinoma of the head and neck. Head Neck 2004, 26, 154–162. [Google Scholar] [CrossRef]
- Prokopakis, E.P.; Snyderman, C.H.; Hanna, E.Y.; Carrau, R.L.; Johnson, J.T.; D’Amico, F. Risk factors for local recurrence of adenoid cystic carcinoma: The role of postoperative radiation therapy. Am. J. Otolaryngol. 1999, 20, 281–286. [Google Scholar] [CrossRef]
- DeAngelis, A.F.; Tsui, A.; Wiesenfeld, D.; Chandu, A. Outcomes of patients with adenoid cystic carcinoma of the minor salivary glands. Int. J. Oral Maxillofac. Surg. 2011, 40, 710–714. [Google Scholar] [CrossRef] [PubMed]
- Ishida, E.; Ogawa, T.; Rokugo, M.; Ishikawa, T.; Wakamori, S.; Ohkoshi, A.; Usubuchi, H.; Higashi, K.; Ishii, R.; Nakanome, A.; et al. Management of adenoid cystic carcinoma of the head and neck: A single-institute study with over 25-year follow-up. Head Face Med. 2020, 16, 14. [Google Scholar] [CrossRef] [PubMed]
- Jones, A.S.; Hamilton, J.W.; Rowley, H.; Husband, D.; Helliwell, T.R. Adenoid cystic carcinoma of the head and neck. Clin. Otolaryngol. Allied Sci. 1997, 22, 434–443. [Google Scholar] [CrossRef] [PubMed]
- Ji, Z.; Jiang, Y.; Tian, S.; Guo, F.; Peng, R.; Xu, F.; Sun, H.; Fan, J.; Wang, J. The Effectiveness and Prognostic Factors of CT-Guided Radioactive I-125 Seed Implantation for the Treatment of Recurrent Head and Neck Cancer after External Beam Radiation Therapy. Int. J. Radiat. Oncol. Biol. Phys. 2019, 103, 638–645. [Google Scholar] [CrossRef]
- Chen, Y.; Jiang, Y.; Ji, Z.; Jiang, P.; Xu, F.; Zhang, Y.; Guo, F.; Peng, R.; Li, X.; Sun, H.; et al. Efficacy and safety of CT-guided (125)I seed implantation as a salvage treatment for locally recurrent head and neck soft tissue sarcoma after surgery and external beam radiotherapy: A 12-year study at a single institution. Brachytherapy 2020, 19, 81–89. [Google Scholar] [CrossRef] [Green Version]
- Ji, Z.; Jiang, Y.; Guo, F.; Peng, R.; Sun, H.; Fan, J.; Xu, F.; Wang, J. Safety and efficacy of CT-guided radioactive iodine-125 seed implantation assisted by a 3D printing template for the treatment of thoracic malignancies. J. Cancer Res. Clin. Oncol. 2020, 146, 229–236. [Google Scholar] [CrossRef]
- Jia, S.N.; Wen, F.X.; Gong, T.T.; Li, X.; Wang, H.J.; Sun, Y.M.; Yang, Z.C. A review on the efficacy and safety of iodine-125 seed implantation in unresectable pancreatic cancers. Int. J. Radiat. Biol. 2020, 96, 383–389. [Google Scholar] [CrossRef] [PubMed]
- Qu, A.; Jiang, P.; Sun, H.; Jiang, W.; Jiang, Y.; Tian, S.; Wang, J. Efficacy and dosimetry analysis of image-guided radioactive 125-I seed implantation as salvage treatment for pelvic recurrent cervical cancer after external beam radiotherapy. J. Gynecol. Oncol. 2019, 30, e9. [Google Scholar] [CrossRef] [PubMed]
- Wang, J.; Zhang, F.; Guo, J.; Chai, S.; Zheng, G.; Zhang, K.; Liao, A.; Jiang, P.; Jiang, Y.; Ji, Z. Expert consensus workshop report: Guideline for three-dimensional printing template-assisted computed tomography-guided (125)I seeds interstitial implantation brachytherapy. J. Cancer Res. Ther. 2017, 13, 607–612. [Google Scholar] [CrossRef]
- Wang, J.; Chai, S.; Zheng, G.; Jiang, Y.; Ji, Z.; Guo, F.; Zhuang, H.; Zhang, K. Expert consensus statement on computed tomography-guided (125)I radioactive seeds permanent interstitial brachytherapy. J. Cancer Res. Ther. 2018, 14, 12–17. [Google Scholar] [CrossRef] [PubMed]
- Wang, J.J.; Yuan, H.S.; Li, J.N.; Jiang, Y.L.; Tian, S.Q.; Yang, R.J. CT-guided radioactive seed implantation for recurrent rectal carcinoma after multiple therapy. Med. Oncol. 2010, 27, 421–429. [Google Scholar] [CrossRef] [PubMed]
- Yao, L.; Jiang, Y.; Jiang, P.; Wang, H.; Meng, N.; Qu, A.; Tian, S.; Sun, H.; Liu, C.; Wang, J.; et al. CT-guided permanent 125I seed interstitial brachytherapy for recurrent retroperitoneal lymph node metastases after external beam radiotherapy. Brachytherapy 2015, 14, 662–669. [Google Scholar] [CrossRef]
- Wang, J.; Yuan, H.; Ma, Q.; Liu, X.; Wang, H.; Jiang, Y.; Tian, S.; Yang, R. Interstitial 125I seeds implantation to treat spinal metastatic and primary paraspinal malignancies. Med. Oncol. 2010, 27, 319–326. [Google Scholar] [CrossRef]
- Bussu, F.; Tagliaferri, L.; Mattiucci, G.; Parrilla, C.; Rizzo, D.; Gambacorta, M.A.; Lancellotta, V.; Autorino, R.; Fonnesu, C.; Kihlgren, C.; et al. HDR interventional radiotherapy (brachytherapy) in the treatment of primary and recurrent head and neck malignancies. Head Neck 2019, 41, 1667–1675. [Google Scholar] [CrossRef]
- Narayana, A.; Cohen, G.N.; Zaider, M.; Chan, K.; Lee, N.; Wong, R.J.; Boyle, J.; Shaha, A.; Kraus, D.; Shah, J.; et al. High-dose-rate interstitial brachytherapy in recurrent and previously irradiated head and neck cancers—Preliminary results. Brachytherapy 2007, 6, 157–163. [Google Scholar] [CrossRef]
- Strnad, V.; Lotter, M.; Kreppner, S.; Fietkau, R. Reirradiation for recurrent head and neck cancer with salvage interstitial pulsed-dose-rate brachytherapy: Long-term results. Strahlenther. Onkol. 2015, 191, 495–500. [Google Scholar] [CrossRef] [PubMed]
- Tagliaferri, L.; Bussu, F.; Fionda, B.; Catucci, F.; Rigante, M.; Gambacorta, M.A.; Autorino, R.; Mattiucci, G.C.; Miccichè, F.; Placidi, E.; et al. Perioperative HDR brachytherapy for reirradiation in head and neck recurrences: Single-institution experience and systematic review. Tumori 2017, 103, 516–524. [Google Scholar] [CrossRef] [PubMed]
- Teudt, I.U.; Kovàcs, G.; Ritter, M.; Melchert, C.; Soror, T.; Wollenberg, B.; Meyer, J.E. Intensity modulated perioperative HDR brachytherapy for recurrent and/or advanced head and neck metastases. Eur. Arch. Otorhinolaryngol. 2016, 273, 2707–2715. [Google Scholar] [CrossRef] [PubMed]
- Chen, Y.; Jiang, Y.; Ji, Z.; Jiang, P.; Xu, F.; Zhang, Y.; Zhang, P.; Guo, F.; Li, X.; Sun, H.; et al. Dosimetry, efficacy, and safety of three-dimensional printing noncoplanar template-assisted and CT-guided 125I seed implantation for recurrent retroperitoneal lymphatic metastasis after external beam radiotherapy. Brachytherapy 2020, 19, 380–388. [Google Scholar] [CrossRef] [PubMed]
- Benson, A.R.; Venook, A.P.; Bekaii-Saab, T.; Chan, E.; Chen, Y.J.; Cooper, H.S.; Engstrom, P.F.; Enzinger, P.C.; Fenton, M.J.; Fuchs, C.S.; et al. Rectal Cancer, Version 2.2015. J. Natl. Compr. Canc. Netw. 2015, 13, 719–728. [Google Scholar] [CrossRef] [Green Version]
- Vogel, A.; Cervantes, A.; Chau, I.; Daniele, B.; Llovet, J.M.; Meyer, T.; Nault, J.C.; Neumann, U.; Ricke, J.; Sangro, B.; et al. Hepatocellular carcinoma: ESMO Clinical Practice Guidelines for diagnosis, treatment and follow-up. Ann. Oncol. 2018, 29, v238–v255. [Google Scholar] [CrossRef]
- Rosenblatt, E.; Meushar, N.; Eidelman, M.; Kuten, A. Low dose-rate interstitial brachytherapy in soft tissue sarcomas. Sarcoma 1999, 3, 101–105. [Google Scholar] [CrossRef] [Green Version]
- Ashamalla, H.; Rafla, S.; Zaki, B.; Ikoro, N.C.; Ross, P. Radioactive gold grain implants in recurrent and locally advanced head-and-neck cancers. Brachytherapy 2002, 1, 161–166. [Google Scholar] [CrossRef]
- Huang, M.W.; Zheng, L.; Liu, S.M.; Shi, Y.; Zhang, J.; Yu, G.Y.; Zhang, J.G. 125I brachytherapy alone for recurrent or locally advanced adenoid cystic carcinoma of the oral and maxillofacial region. Strahlenther. Onkol. 2013, 189, 502–507. [Google Scholar] [CrossRef]
- Wang, L.; Wang, H.; Jiang, Y.; Ji, Z.; Guo, F.; Jiang, P.; Qiu, B.; Sun, H.; Fan, J.; Li, W.; et al. Dosimetric comparison of computed tomography-guided iodine-125 seed implantation assisted with and without three-dimensional printing non-coplanar template in locally recurrent rectal cancer: A propensity score matching study. J. Contemp. Brachyther. 2021, 13, 18–23. [Google Scholar] [CrossRef]
- Ji, Z.; Sun, H.; Jiang, Y.; Guo, F.; Peng, R.; Fan, J.; Wang, J. Comparative study for CT-guided (125)I seed implantation assisted by 3D printing coplanar and non-coplanar template in peripheral lung cancer. J. Contemp. Brachyther. 2019, 11, 169–173. [Google Scholar] [CrossRef] [PubMed]
- Qu, A.; Wang, J.J.; Jiang, Y.L.; Sun, H.T.; Jiang, P.; Ji, Z.; Guo, F.X.; Fan, J.H.; Li, W.Y. Comparison of preoperative planning of radioactive seed implantation for pelvic wall recurrent gynecological malignant tumors between 3D-printing non-coplanar template and 3D-printing coplanar template. Zhonghua Yi Xue Za Zhi 2019, 99, 841–843. [Google Scholar] [PubMed]
- Jiang, Y.; Ji, Z.; Guo, F.; Peng, R.; Sun, H.; Fan, J.; Wei, S.; Li, W.; Liu, K.; Lei, J.; et al. Side effects of CT-guided implantation of 125I seeds for recurrent malignant tumors of the head and neck assisted by 3D printing non co-planar template. Radiat. Oncol. 2018, 13, 18. [Google Scholar] [CrossRef] [PubMed] [Green Version]
- DeCrevoisier, R.; Bourhis, J.; Domenge, C.; Wibault, P.; Koscielny, S.; Lusinchi, A.; Mamelle, G.; Janot, F.; Julieron, M.; Leridant, A.M.; et al. Full-dose reirradiation for unresectable head and neck carcinoma: Experience at the Gustave-Roussy Institute in a series of 169 patients. J. Clin. Oncol. 1998, 16, 3556–3562. [Google Scholar] [CrossRef]
- Spencer, S.A.; Harris, J.; Wheeler, R.H.; Machtay, M.; Schultz, C.; Spanos, W.; Rotman, M.; Meredith, R.; Ang, K.K. Final report of RTOG 9610, a multi-institutional trial of reirradiation and chemotherapy for unresectable recurrent squamous cell carcinoma of the head and neck. Head Neck 2008, 30, 281–288. [Google Scholar] [CrossRef]



| Parameter | Category | Cases (%) |
|---|---|---|
| Age | Median (range) | 56 (11–75) |
| Sex | Male | 8 (38.1) |
| Female | 13 (61.9) | |
| KPS | 60 | 1 (4.8) |
| 70 | 3 (14.3) | |
| 80 | 7 (33.3) | |
| 90 | 10 (47.6) | |
| Tumor size (cm3) | <3 cm | 9 (42.9) |
| 3–6 cm | 11 (52.4) | |
| >6 cm | 1 (4.8) | |
| Prior treatment | None | 0 (0.0) |
| Surgery | 17 (81.0) | |
| EBRT | 16 (76.2) | |
| Surgery and EBRT | 12 (57.1) | |
| Prior surgery times | 0 | 4 (19.0) |
| 1 | 15 (71.4) | |
| 2 | 2 (9.5) | |
| Prior radiotherapy times | 0 | 5 (23.8) |
| 1 | 13 (61.9) | |
| 2 | 3 (14.3) | |
| Prior cumulative radiotherapy dose | <60 Gy | 1 (4.8) |
| ≥60 Gy | 15 (71.4) | |
| GTV (cm3) | Median (range) | 25.8 (4.2–63.5) |
| Prescription dose (Gy) | Median (range) | 140 (90–180) |
| No. of needles | Median (range) | 9 (2–19) |
| No. of Seeds | Median (range) | 36 (8–80) |
| Seed activity (mCi) | Median (range) | 0.59 (0.40–0.79) |
| D90 (Gy) | Median (range) | 137.1 (81.0–178.5) |
| Variables | Categories | Univariate Analyses | ||
|---|---|---|---|---|
| HR | 95% CI | p-Value | ||
| Age(year) | >56 | 0.480 | 0.107–2.161 | 0.339 |
| ≤56 | ||||
| Sex | Female | 1.248 | 0.270–5.761 | 0.777 |
| Male | ||||
| KPS | >80 | 0.228 | 0.043–1.205 | 0.082 |
| ≤80 | ||||
| Prior Surgery | Yes | 0.774 | 0.147–4.071 | 0.762 |
| No | ||||
| Prior EBRT | Yes | 1.587 | 0.185–13.625 | 0.674 |
| No | ||||
| GTV(cm3) | >25.8 | 1.037 | 0.229–4.688 | 0.963 |
| ≤25.8 | ||||
| D90(Gy) | >137.1 | 0.117 | 0.014–0.979 | 0.048 |
| ≤137.1 | ||||
| Variables | Categories | Univariate Analyses | ||
|---|---|---|---|---|
| HR | 95% CI | p-Value | ||
| Age (year) | >56 | 0.534 | 0.089–3.209 | 0.493 |
| ≤56 | ||||
| Sex | Female | 3.290 | 0.361–30.016 | 0.291 |
| Male | ||||
| KPS | >80 | 2.796 | 0.308–25.367 | 0.361 |
| ≤80 | ||||
| Prior Surgery | Yes | 0.537 | 0.073–3.940 | 0.541 |
| No | ||||
| Prior EBRT | Yes | 0.860 | 0.087–8.458 | 0.897 |
| No | ||||
| GTV(cm3) | >25.8 | 6.022 | 0.664–54.734 | 0.111 |
| ≤25.8 | ||||
| D90(Gy) | >137.1 | 0.273 | 0.030–2.453 | 0.247 |
| ≤137.1 | ||||
Publisher’s Note: MDPI stays neutral with regard to jurisdictional claims in published maps and institutional affiliations. |
© 2021 by the authors. Licensee MDPI, Basel, Switzerland. This article is an open access article distributed under the terms and conditions of the Creative Commons Attribution (CC BY) license (https://creativecommons.org/licenses/by/4.0/).
Share and Cite
Chen, Y.; Dai, J.; Jiang, Y.; Ji, Z.; Jiang, P.; Sun, H.; Xu, F.; Wang, J. Long-Term Outcomes of Personalized Stereotactic Ablative Brachytherapy for Recurrent Head and Neck Adenoid Cystic Carcinoma after Surgery or External Beam Radiotherapy: A 9-Year Study. J. Pers. Med. 2021, 11, 839. https://doi.org/10.3390/jpm11090839
Chen Y, Dai J, Jiang Y, Ji Z, Jiang P, Sun H, Xu F, Wang J. Long-Term Outcomes of Personalized Stereotactic Ablative Brachytherapy for Recurrent Head and Neck Adenoid Cystic Carcinoma after Surgery or External Beam Radiotherapy: A 9-Year Study. Journal of Personalized Medicine. 2021; 11(9):839. https://doi.org/10.3390/jpm11090839
Chicago/Turabian StyleChen, Yi, Jinzhao Dai, Yuliang Jiang, Zhe Ji, Ping Jiang, Haitao Sun, Fei Xu, and Junjie Wang. 2021. "Long-Term Outcomes of Personalized Stereotactic Ablative Brachytherapy for Recurrent Head and Neck Adenoid Cystic Carcinoma after Surgery or External Beam Radiotherapy: A 9-Year Study" Journal of Personalized Medicine 11, no. 9: 839. https://doi.org/10.3390/jpm11090839
APA StyleChen, Y., Dai, J., Jiang, Y., Ji, Z., Jiang, P., Sun, H., Xu, F., & Wang, J. (2021). Long-Term Outcomes of Personalized Stereotactic Ablative Brachytherapy for Recurrent Head and Neck Adenoid Cystic Carcinoma after Surgery or External Beam Radiotherapy: A 9-Year Study. Journal of Personalized Medicine, 11(9), 839. https://doi.org/10.3390/jpm11090839

