Long-Term Comparative Study on the Local Tumour Control of Different Ablation Technologies in Primary and Secondary Liver Malignancies
Abstract
:1. Introduction
2. Material and Methods
2.1. Study Design
2.2. Patient Inclusion Criteria
2.3. Patient Exclusion Criteria
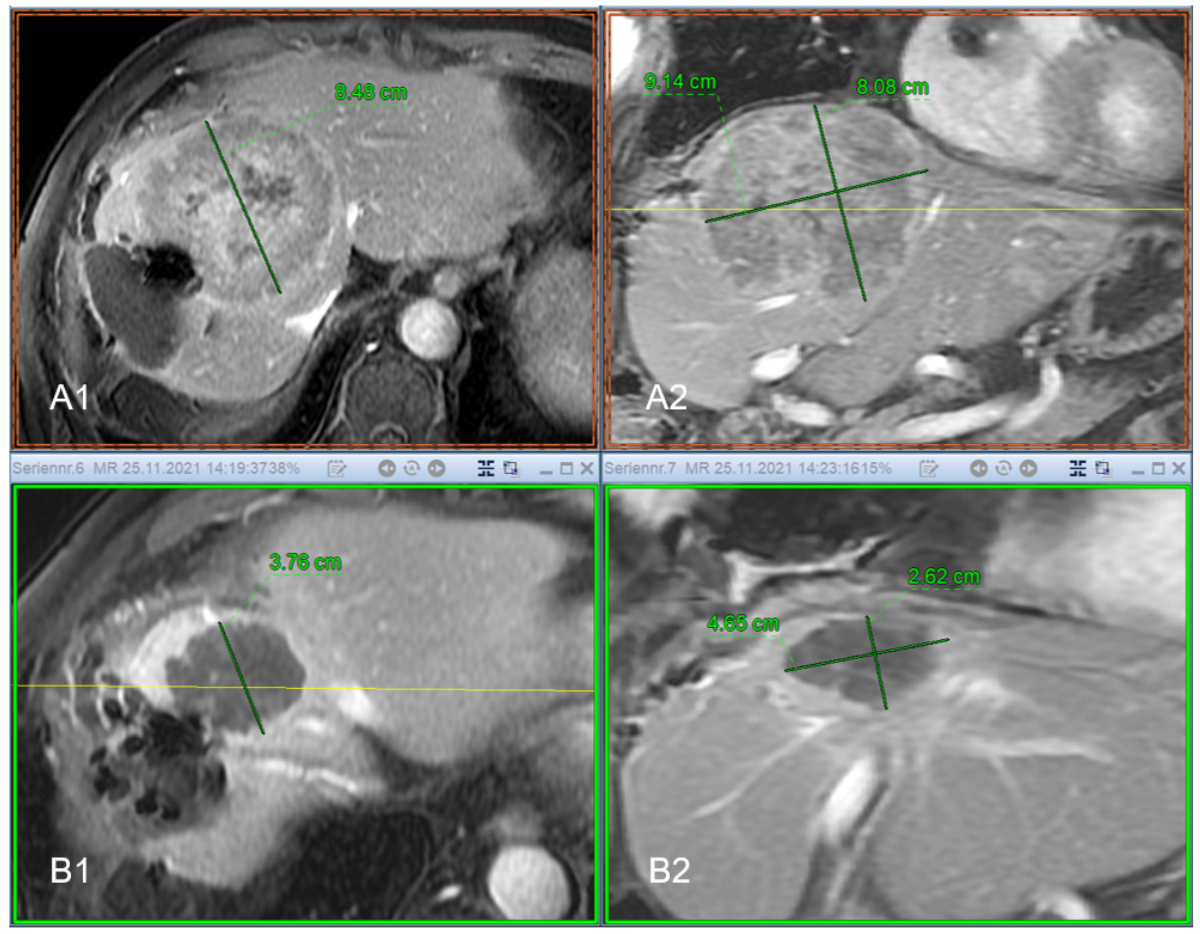
3. Treatment Planning, Treatment Protocol and Follow-Up Assessment
- hyperthermic procedures:
- Radiofrequency Ablation (RFA/Boston Scientific/RFA3000® Marlborough, MA, USA).
- Microwave Ablation (MWA/Terumo/TATO2® Tokyo, Japan).
- hypothermic procedures: Cryoablation (CRYO/Galil/Boston Scientific/Visual IceTM Marlborough, MA, USA).
- chemoablative procedures: Electrochemotherapy (ECT/IGEA/Cliniporator vitae® Modena, Italy).
- radioablative procedures: Interstitial Brachytherapy (IBT/VARIAN/GammaMed Plus® Palo Alto, CA, USA).
4. Statistical Analysis
5. Results
6. Discussion
7. Conclusions
Author Contributions
Funding
Institutional Review Board Statement
Informed Consent Statement
Data Availability Statement
Conflicts of Interest
Abbreviations
| BLM | Bleomycin |
| BSC | Best supportive care |
| CL | Challenging location |
| CR | Complete remission |
| CRCLM | Colorectal cancer liver metastases |
| CRYO | Cryoablation |
| CT | Computed tomography |
| CTV | Clinical target volume |
| ECT | Electrochemotherapy |
| EP | Electroporation |
| GTV | Gross tumour volume |
| HCC | Hepatocellular carcinoma |
| HDR | High-dose remote afterloading |
| iBT | Interstitial brachytherapy |
| IO | Interventional oncology |
| IR | Interventional radiologist |
| LAT | local ablative therapies |
| LTC | Local tumour control |
| MDTB | Multidisciplinary tumour board |
| MRI | magnetic resonance imaging |
| MWA | Microwave ablation |
| OAR | Organs at risk |
| OS | Overall survival |
| PD | Progressive disease |
| PFS | Progression free survival |
| PR | partial remission |
| RFA | Radiofrequency ablation |
| SABR | Stereotactic ablative radiotherapy |
| SCT | Systemic chemotherapy |
| SD | Stable disease |
| TACE | Transarterial chemoembolization |
| TPS | Treatment planning software |
References
- Makary, M.S.; Ramsell, S.; Miller, E.; Beal, E.W.; Dowell, J.D. Hepatocellular Carcinoma Locoregional Therapies: Outcomes and Future Horizons. World J. Gastroenterol. 2021, 27, 7462–7479. [Google Scholar] [CrossRef] [PubMed]
- Kovács, A.; Iezzi, R.; Cellini, F.; Lancellotta, V.; Bischoff, P.; Carchesio, F.; Tagliaferri, L.; Kovács, G.; Gambacorta, M. Critical Review of Multidisciplinary Non-Surgical Local Interventional Ablation Techniques in Primary or Secondary Liver Malignancies. J. Contemp. Brachytherapy 2019, 11, 589–600. [Google Scholar] [CrossRef] [PubMed]
- Lencioni, R.; De Baere, T.; Martin, R.C.; Nutting, C.W.; Narayanan, G. Image-Guided Ablation of Malignant Liver Tumors: Recommendations for Clinical Validation of Novel Thermal and Non-Thermal Technologies—A Western Perspective. Liver Cancer 2015, 4, 208–214. [Google Scholar] [CrossRef] [PubMed]
- Ruers, T.; Van Coevorden, F.; Punt, C.J.A.; Pierie, J.-P.E.N.; Borel-Rinkes, I.; Ledermann, J.A.; Poston, G.; Bechstein, W.; Lentz, M.-A.; Mauer, M.; et al. Local Treatment of Unresectable Colorectal Liver Metastases: Results of a Randomized Phase II Trial. JNCI J. Natl. Cancer Inst. 2017, 109, 015. [Google Scholar] [CrossRef] [PubMed]
- Kovács, A.; Bischoff, P.; Haddad, H.; Kovács, G.; Schaefer, A.; Zhou, W.; Pinkawa, M. Personalized Image-Guided Therapies for Local Malignencies: Interdisciplinary Options for Interventional Radiology and Interventional Radiotherapy. Front. Oncol. 2021, 11, 616058. [Google Scholar] [CrossRef] [PubMed]
- Shamimi-Noori, S.; Gonsalves, C.F.; Shaw, C.M. Metastatic Liver Disease: Indications for Locoregional Therapy and Supporting Data. Semin. Interv. Radiol. 2017, 34, 145–166. [Google Scholar] [CrossRef] [PubMed]
- Hui, T.; Kwan, J.; Pua, U. Advanced Techniques in the Percutaneous Ablation of Liver Tumours. Diagnostics 2021, 11, 585. [Google Scholar] [CrossRef] [PubMed]
- Li, H.; Chen, L.; Zhu, G.-Y.; Yao, X.; Dong, R.; Guo, J.-H. Interventional Treatment for Cholangiocarcinoma. Front. Oncol. 2021, 11, 671327. [Google Scholar] [CrossRef] [PubMed]
- Eisenhauer, E.; Therasse, P.; Bogaerts, J.; Schwartz, L.; Sargent, D.; Ford, R.; Dancey, J.; Arbuck, S.; Gwyther, S.; Mooney, M.; et al. New Response Evaluation Criteria in Solid Tumours: Revised RECIST Guideline (version 1.1). Eur. J. Cancer 2009, 45, 228–247. [Google Scholar] [CrossRef]
- Huppert, P.; Wenzel, T.; Wietholtz, H. Transcatheter Arterial Chemoembolization (TACE) of Colorectal Cancer Liver Metastases by Irinotecan-Eluting Microspheres in a Salvage Patient Population. Cardiovasc. Interv. Radiol. 2013, 37, 154–164. [Google Scholar] [CrossRef]
- Seidl, S.; Bischoff, P.; Schaefer, A.; Esser, M.; Janzen, V.; Kovács, A. TACE in Colorectal Liver Metastases—Different Outcomes in Right-Sided and Left-Sided Primary Tumour Location. Integr. Cancer Sci. Ther. 2020, 7. [Google Scholar] [CrossRef]
- Izzo, F.; Granata, V.; Grassi, R.; Fusco, R.; Palaia, R.; Delrio, P.; Carrafiello, G.; Azoulay, D.; Petrillo, A.; Curley, S.A. Radiofrequency Ablation and Microwave Ablation in Liver Tumors: An Update. Oncologist 2019, 24, e990–e1005. [Google Scholar] [CrossRef] [PubMed] [Green Version]
- Hoffmann, R.; Rempp, H.; Erhard, L.; Blumenstock, G.; Pereira, P.L.; Claussen, C.D.; Clasen, S. Comparison of Four Microwave Ablation Devices: An Experimental Study in Ex Vivo Bovine Liver. Radiology 2013, 268, 89–97. [Google Scholar] [CrossRef] [PubMed]
- Qin, S.; Liu, G.-J.; Huang, M.; Huang, J.; Luo, Y.; Wen, Y.; Wang, Y.; Chen, L. The Local Efficacy and Influencing Factors of Ultrasound-Guided Percutaneous Microwave Ablation in Colorectal Liver Metastases: A Review of a 4-Year Experience at a Single Center. Int. J. Hyperth. 2019, 36, 36–43. [Google Scholar] [CrossRef] [PubMed] [Green Version]
- Slovak, R.; Ludwig, J.M.; Gettinger, S.N.; Herbst, R.S.; Kim, H.S. Immuno-Thermal Ablations—Boosting the Anticancer Immune Response. J. Immunother. Cancer 2017, 5, 78. [Google Scholar] [CrossRef] [PubMed] [Green Version]
- O’Leary, C.; Soulen, M.C.; Shamimi-Noori, S. Interventional Oncology Approach to Hepatic Metastases. Semin. Interv. Radiol. 2020, 37, 484–491. [Google Scholar] [CrossRef] [PubMed]
- Spallek, H.; Bischoff, P.; Zhou, W.; de Terlizzi, F.; Jakob, F.; Kovàcs, A. Percutaneous Electrochemotherapy in Primary and Secondary Liver Malignancies—Local Tumor Control and Impact on Overall Survival. Radiol. Oncol. 2022, 56, 102–110. [Google Scholar] [CrossRef] [PubMed]
- Fabritius, M.P.; Ben Khaled, N.; Kunz, W.G.; Ricke, J.; Seidensticker, M. Image-Guided Local Treatment for Unresectable Intrahepatic Cholangiocarcinoma—Role of Interventional Radiology. J. Clin. Med. 2021, 10, 5574. [Google Scholar] [CrossRef]
- Hahlweg, P.; Härter, M.; Nestoriuc, Y.; Scholl, I. How Are Decisions Made in Cancer Care? A Qualitative Study Using Participant Observation of Current Practice. BMJ Open 2017, 7, e016360. [Google Scholar] [CrossRef]
- Hahlweg, P.; Hoffmann, J.; Härter, M.; Frosch, D.L.; Elwyn, G.; Scholl, I. In Absentia: An Exploratory Study of How Patients Are Considered in Multidisciplinary Cancer Team Meetings. PLoS ONE 2015, 10, e0139921. [Google Scholar] [CrossRef]
- Zeh, S.; Christalle, E.; Hahlweg, P.; Härter, M.; Scholl, I. Assessing the Relevance and Implementation of Patient-Centredness from the patients’ Perspective in Germany: Results of a Delphi Study. BMJ Open 2019, 9, e031741. [Google Scholar] [CrossRef] [Green Version]
- Christalle, E.; Zeh, S.; Hahlweg, P.; Kriston, L.; Härter, M.; Scholl, I. Assessment of Patient Centredness through Patient-Reported Experience Measures (ASPIRED): Protocol of a Mixed-Methods Study. BMJ Open 2018, 8, e025896. [Google Scholar] [CrossRef] [PubMed]
- Van Cutsem, E.; Cervantes, A.; Adam, R.; Sobrero, A.; Van Krieken, J.H.; Aderka, D.; Aguilar, E.A.; Bardelli, A.; Benson, A.; Bodoky, G.; et al. ESMO Consensus Guidelines for the Management of Patients with Metastatic Colorectal Cancer. Ann. Oncol. 2016, 27, 1386–1422. [Google Scholar] [CrossRef] [PubMed]
- Zane, K.E.; Cloyd, J.M.; Mumtaz, K.S.; Wadhwa, V.; Makary, M.S. Metastatic Disease to the Liver: Locoregional Therapy Strategies and Outcomes. World J. Clin. Oncol. 2021, 12, 725–745. [Google Scholar] [CrossRef] [PubMed]
- Liu, F.; Chen, M.; Mei, J.; Xu, L.; Guo, R.; Lin, X.; Zhang, Y.; Peng, Z. Transarterial Chemoembolization Combined with Radiofrequency Ablation in the Treatment of Stage B1 Intermediate Hepatocellular Carcinoma. J. Oncol. 2019, 2019, 6298502. [Google Scholar] [CrossRef]
- Lancellotta, V.; Kovacs, G.; Tagliaferri, L.; Perrucci, E.; Colloca, G.; Valentini, V.; Aristei, C. Age Is Not a Limiting Factor in Interventional Radiotherapy (Brachytherapy) for Patients with Localized Cancer. BioMed Res. Int. 2018, 2018, 2178469. [Google Scholar] [CrossRef] [PubMed] [Green Version]
- Renzulli, M.; Clemente, A.; Ierardi, A.M.; Pettinari, I.; Tovoli, F.; Brocchi, S.; Peta, G.; Cappabianca, S.; Carrafiello, G.; Golfieri, R. Imaging of Colorectal Liver Metastases: New Developments and Pending Issues. Cancers 2020, 12, 151. [Google Scholar] [CrossRef] [PubMed] [Green Version]
- Vera, R.; González-Flores, E.; Rubio, C.; Urbano, J.; Camps, M.V.; Ciampi-Dopazo, J.J.; Rincón, J.O.; Macías, V.M.; Braco, M.A.G.; Suarez-Artacho, G. Multidisciplinary Management of Liver Metastases in Patients with Colorectal Cancer: A Consensus of SEOM, AEC, SEOR, SERVEI, and SEMNIM. Clin. Transl. Oncol. 2020, 22, 647–662. [Google Scholar] [CrossRef] [Green Version]
- Shi, Y.; Zhai, B. A Recent Advance in Image-Guided Locoregional Therapy for Hepatocellular Carcinoma. Gastrointest. Tumors 2016, 3, 90–102. [Google Scholar] [CrossRef] [PubMed]
- Meza-Junco, J.; Montano-Loza, A.J.; Liu, D.M.; Sawyer, M.B.; Bain, V.G.; Ma, M.; Owen, R. Locoregional Radiological Treatment for Hepatocellular Carcinoma; Which, When and How? Cancer Treat. Rev. 2012, 38, 54–62. [Google Scholar] [CrossRef]
- Kim, D.Y.; Han, K.-H. Transarterial Chemoembolization Versus Transarterial Radioembolization in Hepatocellular Carcinoma: Optimization of Selecting Treatment Modality. Hepatol. Int. 2016, 10, 883–892. [Google Scholar] [CrossRef] [PubMed]
- Lune, P.V.; Aal, A.K.A.; Klimkowski, S.; Zarzour, J.G.; Gunn, A.J. Hepatocellular Carcinoma: Diagnosis, Treatment Algorithms, and Imaging Appearance After Transarterial Chemoembolization. J. Clin. Transl. Hepatol. 2018, 6, 175–188. [Google Scholar] [CrossRef] [Green Version]
- Marin, D.; Cappabianca, S.; Serra, N.; Sica, A.; Lassandro, F.; D’Angelo, R.; La Porta, M.; Fiore, F.; Somma, F. CT Appearance of Hepatocellular Carcinoma After Locoregional Treatments: A Comprehensive Review. Gastroenterol. Res. Pract. 2015, 2015, 670965. [Google Scholar] [CrossRef] [PubMed] [Green Version]






| RFA (n = 50) | MWA (n = 37) | CRYO (n = 42) | ECT (n = 21) | iBT (n = 61) | ||
|---|---|---|---|---|---|---|
| patient age/years (mean ± SD) | 61 ± 13 | 63 ± 9 | 61 ± 13 | 62 ± 11 | 64 ± 12 | |
| median follow-up/months (MRI) | 9 | 9 | 7 | 8 | 6 | |
| male | 36% | 41% | 26% | 48% | 51% | |
| indication | HCC | 8% | 8% | 2% | 14% | 7% |
| CRC | 40% | 35% | 36% | 38% | 46% | |
| BrC | 26% | 11% | 29% | 24% | 23% | |
| others | 26% | 46% | 33% | 24% | 25% | |
| other metastases | none | 6% | 8% | 2% | 14% | 2% |
| single organ | 46% | 28% | 52% | 33% | 39% | |
| multiple organs | 48% | 46% | 45% | 52% | 59% | |
| systemic treatment | 68% | 70% | 86% | 86% | 98% | |
| hypovascular | 22% | 30% | 48% | 24% | 34% | |
| prior liver surgery | 32% | 30% | 36% | 24% | 33% | |
| prior local treatment | 72% | 81% | 74% | 62% | 72% | |
| lesion re-treatment | 10% | 33% | 26% | 43% | 9% | |
| max. diameter/cm (mean ± SD) | 2.5 ± 1.1 | 3.4 ± 2.2 | 2.5 ± 1.4 | 6.6 ± 2.5 | 4.7 ± 2.9 | |
| volume/cm3 (mean ± SD) | 8.2 ± 13 | 33 ± 71 | 12 ± 19 | 130 ± 137 | 67 ± 112 | |
| Diameter | Volume | Challenging Location | |||||
|---|---|---|---|---|---|---|---|
| <3 cm | 3–6 cm | >6 cm | <10 cm3 | 10–20 cm3 | >20 cm3 | ||
| RFA (n = 50) | 72% | 28% | 0% | 76% | 18% | 6% | 34% |
| MWA (n = 37) | 57% | 30% | 13% | 57% | 16% | 27% | 35% |
| CRYO (n = 42) | 64% | 36% | 0% | 67% | 14% | 19% | 48% |
| ECT (n = 21) | 5% | 38% | 57% | 5% | 0% | 95% | 91% |
| iBT (n = 58) | 25% | 52% | 23% | 31% | 14% | 55% | 63% |
Publisher’s Note: MDPI stays neutral with regard to jurisdictional claims in published maps and institutional affiliations. |
© 2022 by the authors. Licensee MDPI, Basel, Switzerland. This article is an open access article distributed under the terms and conditions of the Creative Commons Attribution (CC BY) license (https://creativecommons.org/licenses/by/4.0/).
Share and Cite
Kovács, A.; Bischoff, P.; Haddad, H.; Zhou, W.; Temming, S.; Schäfer, A.; Spallek, H.; Kaupe, L.; Kovács, G.; Pinkawa, M. Long-Term Comparative Study on the Local Tumour Control of Different Ablation Technologies in Primary and Secondary Liver Malignancies. J. Pers. Med. 2022, 12, 430. https://doi.org/10.3390/jpm12030430
Kovács A, Bischoff P, Haddad H, Zhou W, Temming S, Schäfer A, Spallek H, Kaupe L, Kovács G, Pinkawa M. Long-Term Comparative Study on the Local Tumour Control of Different Ablation Technologies in Primary and Secondary Liver Malignancies. Journal of Personalized Medicine. 2022; 12(3):430. https://doi.org/10.3390/jpm12030430
Chicago/Turabian StyleKovács, Attila, Peter Bischoff, Hathal Haddad, Willi Zhou, Susanne Temming, Andreas Schäfer, Hannah Spallek, Lucas Kaupe, György Kovács, and Michael Pinkawa. 2022. "Long-Term Comparative Study on the Local Tumour Control of Different Ablation Technologies in Primary and Secondary Liver Malignancies" Journal of Personalized Medicine 12, no. 3: 430. https://doi.org/10.3390/jpm12030430
APA StyleKovács, A., Bischoff, P., Haddad, H., Zhou, W., Temming, S., Schäfer, A., Spallek, H., Kaupe, L., Kovács, G., & Pinkawa, M. (2022). Long-Term Comparative Study on the Local Tumour Control of Different Ablation Technologies in Primary and Secondary Liver Malignancies. Journal of Personalized Medicine, 12(3), 430. https://doi.org/10.3390/jpm12030430

