Individual Revision Knee Arthroplasty Is a Safe Limb Salvage Procedure
Abstract
1. Introduction
2. Methods
2.1. Patients
2.2. Parameters
2.3. Manufacturing
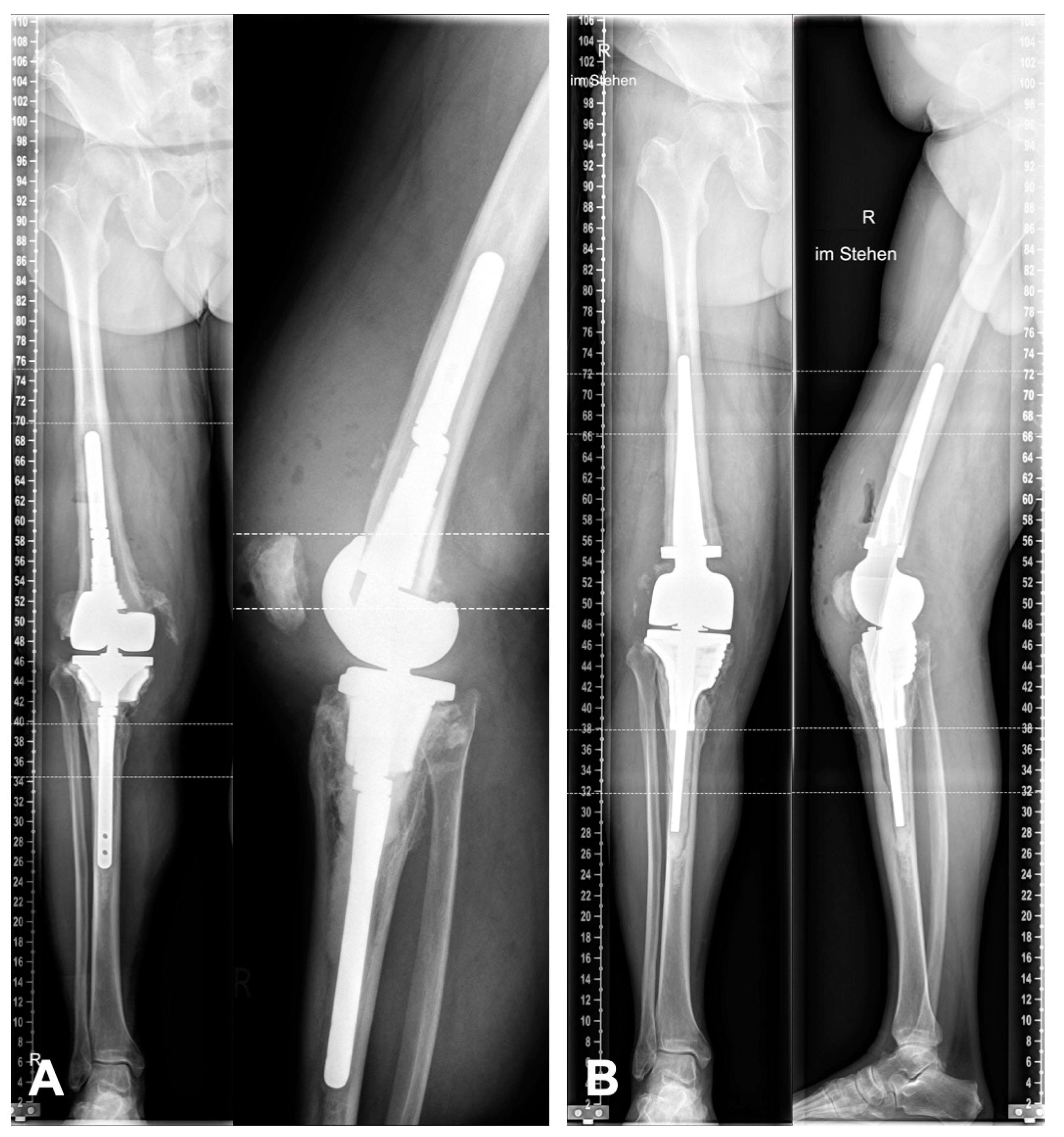
2.4. Planning and Surgical Technique
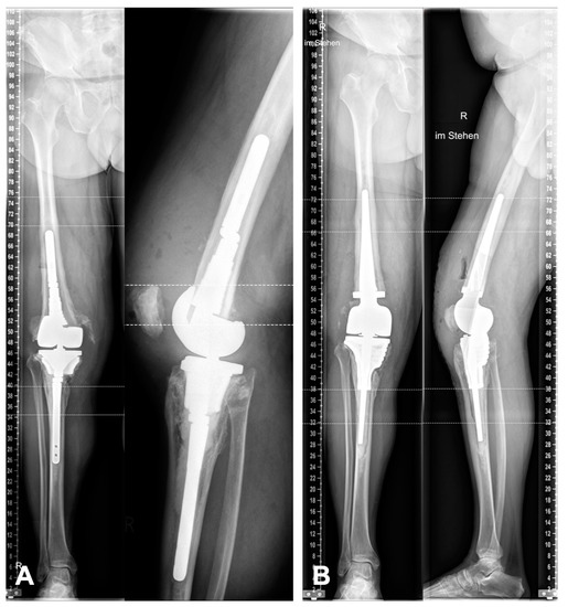
3. Results
4. Discussion
5. Conclusions
Author Contributions
Funding
Institutional Review Board Statement
Informed Consent Statement
Data Availability Statement
Conflicts of Interest
References
- Grimberg, A.; Jansson, V.; Lützner, J.; Melsheimer, O.; Morlock, M.; Steinbrück, A. German Arthroplasty Registry (Endoprothesenregister Deutschland—EPRD)—Annual Report 2020; German Arthroplasty Registry EPRD: Berlin, Germany, 2020. [Google Scholar] [CrossRef]
- Patel, A.; Pavlou, G.; Mujica-Mota, R.E.; Toms, A.D. The epidemiology of revision total knee and hip arthroplasty in England and Wales: A comparative analysis with projections for the United States. A study using the National Joint Registry dataset. Bone Jt. J. 2015, 97-B, 1076–1081. [Google Scholar] [CrossRef]
- Halder, A.M.; Gehrke, T.; Gunster, C.; Heller, K.D.; Leicht, H.; Malzahn, J.; Niethard, F.U.; Schrader, P.; Zacher, J.; Jeschke, E. Low Hospital Volume Increases Re-Revision Rate Following Aseptic Revision Total Knee Arthroplasty: An Analysis of 23,644 Cases. J. Arthroplast. 2020, 35, 1054–1059. [Google Scholar] [CrossRef] [PubMed]
- Delanois, R.E.; Mistry, J.B.; Gwam, C.U.; Mohamed, N.S.; Choksi, U.S.; Mont, M.A. Current Epidemiology of Revision Total Knee Arthroplasty in the United States. J. Arthroplast. 2017, 32, 2663–2668. [Google Scholar] [CrossRef]
- Han, H.S.; Yu, C.H.; Shin, N.; Won, S.; Lee, M.C. Femoral joint line restoration is a major determinant of postoperative range of motion in revision total knee arthroplasty. Knee Surg. Sports Traumatol. Arthrosc. 2019, 27, 2090–2095. [Google Scholar] [CrossRef] [PubMed]
- Clave, A.; Le Henaff, G.; Roger, T.; Maisongrosse, P.; Mabit, C.; Dubrana, F. Joint line level in revision total knee replacement: Assessment and functional results with an average of seven years follow-up. Int. Orthop. 2016, 40, 1655–1662. [Google Scholar] [CrossRef] [PubMed]
- van Lieshout, W.A.M.; Valkering, K.P.; Koenraadt, K.L.M.; van Etten-Jamaludin, F.S.; Kerkhoffs, G.; van Geenen, R.C.I. The negative effect of joint line elevation after total knee arthroplasty on outcome. Knee Surg. Sports Traumatol. Arthrosc. 2019, 27, 1477–1486. [Google Scholar] [CrossRef]
- Ettinger, M.; Savov, P.; Balubaid, O.; Windhagen, H.; Calliess, T. Influence of stem length on component flexion and posterior condylar offset in revision total knee arthroplasty. Knee 2018, 25, 480–484. [Google Scholar] [CrossRef]
- Clement, N.D.; MacDonald, D.J.; Hamilton, D.F.; Burnett, R. Posterior condylar offset is an independent predictor of functional outcome after revision total knee arthroplasty. Bone Jt. Res. 2017, 6, 172–178. [Google Scholar] [CrossRef]
- Gallo, J.; Goodman, S.B.; Konttinen, Y.T.; Wimmer, M.A.; Holinka, M. Osteolysis around total knee arthroplasty: A review of pathogenetic mechanisms. Acta Biomater. 2013, 9, 8046–8058. [Google Scholar] [CrossRef]
- Kim, H.J.; Lee, O.S.; Lee, S.H.; Lee, Y.S. Comparative Analysis between Cone and Sleeve in Managing Severe Bone Defect during Revision Total Knee Arthroplasty: A Systematic Review and Meta-Analysis. J. Knee Surg. 2018, 31, 677–685. [Google Scholar] [CrossRef]
- Wang, C.; Pfitzner, T.; von Roth, P.; Mayr, H.O.; Sostheim, M.; Hube, R. Fixation of stem in revision of total knee arthroplasty: Cemented versus cementless—A meta-analysis. Knee Surg. Sports Traumatol. Arthrosc. 2016, 24, 3200–3211. [Google Scholar] [CrossRef] [PubMed]
- Divano, S.; Cavagnaro, L.; Zanirato, A.; Basso, M.; Felli, L.; Formica, M. Porous metal cones: Gold standard for massive bone loss in complex revision knee arthroplasty? A systematic review of current literature. Arch. Orthop. Trauma Surg. 2018, 138, 851–863. [Google Scholar] [CrossRef] [PubMed]
- Lei, P.F.; Hu, R.Y.; Hu, Y.H. Bone Defects in Revision Total Knee Arthroplasty and Management. Orthop. Surg. 2019, 11, 15–24. [Google Scholar] [CrossRef] [PubMed]
- McNamara, C.A.; Gosthe, R.G.; Patel, P.D.; Sanders, K.C.; Huaman, G.; Suarez, J.C. Revision total knee arthroplasty using a custom tantalum implant in a patient following multiple failed revisions. Arthroplast. Today 2017, 3, 13–17. [Google Scholar] [CrossRef]
- Burastero, G.; Pianigiani, S.; Zanvettor, C.; Cavagnaro, L.; Chiarlone, F.; Innocenti, B. Use of porous custom-made cones for meta-diaphyseal bone defects reconstruction in knee revision surgery: A clinical and biomechanical analysis. Arch. Orthop. Trauma Surg. 2020, 140, 2041–2055. [Google Scholar] [CrossRef]
- Höll, S.; Schlomberg, A.; Gosheger, G.; Dieckmann, R.; Streitbuerger, A.; Schulz, D.; Hardes, J. Distal femur and proximal tibia replacement with megaprosthesis in revision knee arthroplasty: A limb-saving procedure. Knee Surg. Sports Traumatol. Arthrosc. 2012, 20, 2513–2518. [Google Scholar] [CrossRef] [PubMed]
- Huten, D. Femorotibial bone loss during revision total knee arthroplasty. Orthop. Traumatol. Surg. Res. 2013, 99, S22–S33. [Google Scholar] [CrossRef]
- Fraser, J.F.; Werner, S.; Jacofsky, D.J. Wear and loosening in total knee arthroplasty: A quick review. J. Knee Surg. 2015, 28, 139–144. [Google Scholar] [CrossRef]
- Vertesich, K.; Puchner, S.E.; Staats, K.; Schreiner, M.; Hipfl, C.; Kubista, B.; Holinka, J.; Windhager, R. Distal femoral reconstruction following failed total knee arthroplasty is accompanied with risk for complication and reduced joint function. BMC Musculoskelet. Disord. 2019, 20, 47. [Google Scholar] [CrossRef]
- Smith, E.L.; Shah, A.; Son, S.J.; Niu, R.; Talmo, C.T.; Abdeen, A.; Ali, M.; Pinski, J.; Gordon, M.; Lozano-Calderon, S.; et al. Survivorship of Megaprostheses in Revision Hip and Knee Arthroplasty for Septic and Aseptic Indications: A Retrospective, Multicenter Study with Minimum 2-Year Follow-Up. Arthroplast. Today 2020, 6, 475–479. [Google Scholar] [CrossRef]
- von Hintze, J.; Niemeläinen, M.; Sintonen, H.; Nieminen, J.; Eskelinen, A. Outcomes of the rotating hinge knee in revision total knee arthroplasty with a median follow-up of 6.2 years. BMC Musculoskelet. Disord. 2021, 22, 336. [Google Scholar] [CrossRef] [PubMed]
- Zajonz, D.; Birke, U.; Ghanem, M.; Prietzel, T.; Josten, C.; Roth, A.; Fakler, J.K.M. Silver-coated modular Megaendoprostheses in salvage revision arthroplasty after periimplant infection with extensive bone loss—A pilot study of 34 patients. BMC Musculoskelet. Disord. 2017, 18, 383. [Google Scholar] [CrossRef] [PubMed]
- Zanirato, A.; Formica, M.; Cavagnaro, L.; Divano, S.; Burastero, G.; Felli, L. Metaphyseal cones and sleeves in revision total knee arthroplasty: Two sides of the same coin? Complications, clinical and radiological results—A systematic review of the literature. Musculoskelet. Surg. 2020, 104, 25–35. [Google Scholar] [CrossRef]
- Fram, B.; Smith, E.B.; Deirmengian, G.K.; Abraham, J.A.; Strony, J.; Cross, M.B.; Ponzio, D.Y. Proximal tibial replacement in revision knee arthroplasty for non-oncologic indications. Arthroplast. Today 2020, 6, 23–35. [Google Scholar] [CrossRef]
- Biau, D.; Faure, F.; Katsahian, S.; Jeanrot, C.; Tomeno, B.; Anract, P. Survival of total knee replacement with a megaprosthesis after bone tumor resection. J. Bone Jt. Surg. Am. 2006, 88, 1285–1293. [Google Scholar] [CrossRef]
- Myers, G.J.; Abudu, A.T.; Carter, S.R.; Tillman, R.M.; Grimer, R.J. The long-term results of endoprosthetic replacement of the proximal tibia for bone tumours. J. Bone Jt. Surg. Br. 2007, 89, 1632–1637. [Google Scholar] [CrossRef]
- Buchner, M.; Zeifang, F.; Bernd, L. Medial gastrocnemius muscle flap in limb-sparing surgery of malignant bone tumors of the proximal tibia: Mid-term results in 25 patients. Ann. Plast. Surg. 2003, 51, 266–272. [Google Scholar] [CrossRef] [PubMed]
- Guo, W.; Ji, T.; Yang, R.; Tang, X.; Yang, Y. Endoprosthetic replacement for primary tumours around the knee: Experience from Peking University. J. Bone Jt. Surg. Br. 2008, 90, 1084–1089. [Google Scholar] [CrossRef]
- Burnett, R.S.; Kelly, M.A.; Hanssen, A.D.; Barrack, R.L. Technique and timing of two-stage exchange for infection in TKA. Clin. Orthop. Relat. Res. 2007, 464, 164–178. [Google Scholar] [CrossRef]
- Winkler, T.; Stuhlert, M.G.W.; Lieb, E.; Müller, M.; von Roth, P.; Preininger, B.; Trampuz, A.; Perka, C.F. Outcome of short versus long interval in two-stage exchange for periprosthetic joint infection: A prospective cohort study. Arch. Orthop. Trauma Surg. 2019, 139, 295–303. [Google Scholar] [CrossRef]







| ID | Age | BMI | Interval (Days) | Pre-Surgeries | Pre-Implants | Indication |
|---|---|---|---|---|---|---|
| 1 | 69 | 25.7 | 67 | 3 | 2 | PJI |
| 2 | 61 | 26.5 | 78 | 7 | 3 | PJI |
| 3 | 70 | 26.8 | 73 | 7 | 4 | AL |
| 4 | 62 | 34.1 | 110 | 5 | 3 | PJI |
| 5 | 60 | 28.7 | 50 | 4 | 4 | AL |
| 6 | 79 | 21.6 | 57 | 5 | 3 | AL |
| 7 | 77 | 35.2 | 83 | 3 | 2 | PJI |
| 8 | 59 | 34.1 | 70 | 8 | 3 | PJI |
| 9 | 72 | 40.4 | 44 | 7 | 4 | PJI |
| 10 | 75 | 29.0 | 84 | 3 | 2 | AL |
| Mean | 68.4 | 30.2 | 71.6 | 5.2 | 3 |
| Knee System | Femur Implants | Tibia Implants | Total Costs € | ||||
|---|---|---|---|---|---|---|---|
| ID | Femur | Tibia | Ind. Cone | Ind. Stem | Ind. Cone | Std. Cone | |
| 1 | DFR | RTH | No | Yes | No | Yes | 12.039,45 |
| 2 | DFR | RTH | Yes | No | Yes | No | 13.166,58 |
| 3 | DFR | RTH | No | Yes | Yes | No | 16.476,88 |
| 4 | RTH | RTH | No | Yes | Yes | No | 9.969,62 |
| 5 | RTH | RTH | No | No | Yes | No | 5.131,78 |
| 6 | DFR | RTH | No | No | Yes | No | 8.772,03 |
| 7 | RTH | RTH | Yes | No | Yes | No | 11.842,35 |
| 8 | DFR | RTH | No | Yes | Yes | No | 19.900,82 |
| 9 | RTH | RTH | No | No | Yes | No | 4.321,53 |
| 10 | RTH | RTH | No | No | Yes | No | 5.778,14 |
| Mean | 10.739,92 | ||||||
Publisher’s Note: MDPI stays neutral with regard to jurisdictional claims in published maps and institutional affiliations. |
© 2021 by the authors. Licensee MDPI, Basel, Switzerland. This article is an open access article distributed under the terms and conditions of the Creative Commons Attribution (CC BY) license (https://creativecommons.org/licenses/by/4.0/).
Share and Cite
Savov, P.; Tuecking, L.-R.; Windhagen, H.; Ettinger, M. Individual Revision Knee Arthroplasty Is a Safe Limb Salvage Procedure. J. Pers. Med. 2021, 11, 572. https://doi.org/10.3390/jpm11060572
Savov P, Tuecking L-R, Windhagen H, Ettinger M. Individual Revision Knee Arthroplasty Is a Safe Limb Salvage Procedure. Journal of Personalized Medicine. 2021; 11(6):572. https://doi.org/10.3390/jpm11060572
Chicago/Turabian StyleSavov, Peter, Lars-Rene Tuecking, Henning Windhagen, and Max Ettinger. 2021. "Individual Revision Knee Arthroplasty Is a Safe Limb Salvage Procedure" Journal of Personalized Medicine 11, no. 6: 572. https://doi.org/10.3390/jpm11060572
APA StyleSavov, P., Tuecking, L.-R., Windhagen, H., & Ettinger, M. (2021). Individual Revision Knee Arthroplasty Is a Safe Limb Salvage Procedure. Journal of Personalized Medicine, 11(6), 572. https://doi.org/10.3390/jpm11060572

