Cohort Analysis of ADAM8 Expression in the PDAC Tumor Stroma
Abstract
1. Introduction
2. Materials and Methods
2.1. Patients and Tissue Samples
2.2. Immunohistochemistry (IHC)
2.3. Selection of Patient Samples for Double-Staining
2.4. Quantitation
2.5. Cell Counting and Scoring of Neutrophils in PDAC Patients
2.6. Statistical Analysis
3. Results
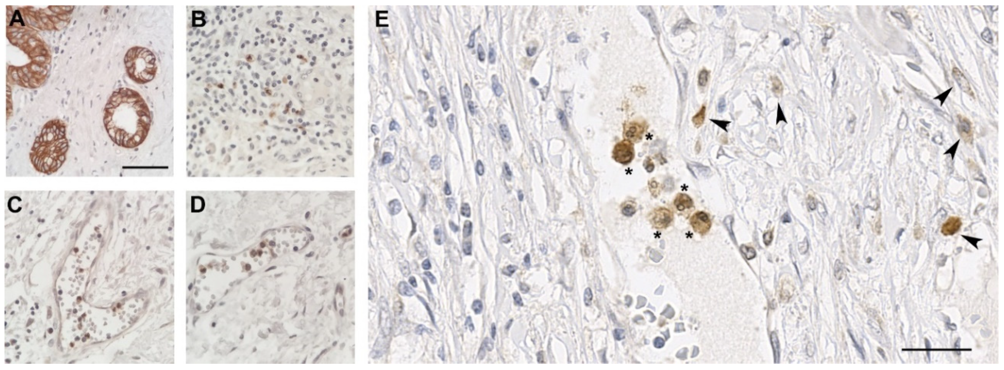
3.1. ADAM8 Expression in PDAC
3.2. Co-Localization of ADAM8 and Stromal Cell Markers in PDAC Tissue
3.3. Quantitative Analysis of Co-Localization
3.4. ADAM8 Expression in Neutrophils
4. Discussion
5. Conclusions
Author Contributions
Funding
Institutional Review Board Statement
Informed Consent Statement
Data Availability Statement
Acknowledgments
Conflicts of Interest
Appendix A
| Number | Gender | Age at Surgery (Years) | UICC Stage | Survival (Months) | Location | NLR | Density of Neutrophils (n/µm2) | 
|---|---|---|---|---|---|---|---|
| 1 | f | 71 | II | 92 | head | 4.60 | |
| 2 | m | 85 | IV | 20 | head | n.a. | 334 × 106 | 
| 3 | f | 75 | III | 11 | head | 2.64 | 360 × 106 | 
| 4 | m | 65 | III | 31 | head | 4.29 | 216 × 106 | 
| 5 | m | 74 | III | 30 | head | n.a. | 878 × 106 | 
| 6 | m | 61 | III | 55 | head | 2.83 | 84 × 106 | 
| 7 | m | 56 | III | 62 | head | 3.09 | 81 × 106 | 
| 8 | f | 55 | III | 19 | head | 3.84 | 305 × 106 | 
| 9 | m | 73 | III | 6 | body | 2.87 | 831 × 106 | 
| 10 | m | 49 | II | 8 | head | 2.39 | 856 × 106 | 
| 11 | m | 67 | III | 5 | head | n.a. | 139 × 106 | 
| 12 | f | 51 | III | 40 | head | 3.58 | 146 × 106 | 
| 13 | m | 68 | III | 50 | head | n.a. | 134 × 106 | 
| 14 | w | 77 | II | 34 | head | 31.67 | 260 × 106 | 
| 15 | f | 85 | II | 0 | head | 3.84 | 1061 × 106 | 
| 16 | m | 52 | IV | 16 | body | n.a. | 603 × 106 | 
| 17 | f | 68 | III | 20 | tail | n.a. | 1573 × 106 | 
| 18 | f | 82 | III | 22 | head | 6.00 | 643 × 106 | 
| 19 | f | 53 | III | 35 | head | n.a. | |
| 20 | f | 69 | IV | 15 | body | n.a. | 540 × 106 | 
| 21 | f | 74 | III | 4 | head | 1.53 | 501 × 106 | 
| 22 | m | 68 | III | 4 | head | n.a. | |
| 23 | f | 78 | III | 39 | head | n.a. | 159 × 106 | 
| 24 | m | 56 | III | 30 | head | n.a. | |
| 25 | f | 65 | III | 38 | head | n.a. | 672 × 106 | 
| 26 | f | 50 | III | 13 | head | 2.81 | 484 × 106 | 
| 27 | f | 62 | I | 42 | head | n.a. | |
| 28 | m | 78 | III | 31 | head | 3.35 | 800 × 106 | 
| 29 | f | 75 | I | 32 | head | n.a. | |
| 30 | m | 68 | I | 1 | head | 3.50 | 831 × 106 | 
| 31 | m | 72 | III | 36 | head | n.a. | |
| 32 | m | 66 | II | 33 | head | n.a. | |
| 33 | m | 78 | I | 28 | head | n.a. | |
| 34 | f | 75 | I | 35 | head | 6.83 | |
| 35 | f | 79 | III | 22 | head | n.a. | 168 × 106 | 
| 36 | m | 60 | III | 9 | head | 2.87 | 519 × 106 | 
| 37 | f | 60 | I | 33 | head | 2.75 | |
| 38 | f | 58 | III | 27 | head | 2.79 | |
| 39 | f | 57 | III | 19 | head | 3.10 | 616 × 106 | 
| 40 | m | 67 | III | 28 | head | n.a. | |
| 41 | m | 64 | III | 24 | head | n.a. | 836 × 106 | 
| 42 | f | 68 | I | 29 | head | n.a. | |
| 43 | m | 60 | I | n.a. | head | n.a. | |
| 44 | m | 60 | III | 28 | head | 2.87 | |
| 45 | f | 51 | III | 16 | head | n.a. | 682 × 106 | 
| 46 | f | 78 | III | 28 | head | 2.00 | |
| 47 | f | 79 | I | 26 | head | n.a. | |
| 48 | m | 47 | III | 10 | head | n.a. | 1117 × 106 | 
| 49 | m | 65 | II | 12 | body | 16.50 | 1154 × 106 | 
| 50 | f | 79 | III | 13 | head | 2.86 | 569 × 106 | 
| 51 | m | 72 | III | 13 | head | 2.86 | 1398 × 106 | 
| 52 | m | 58 | III | 48 | head | n.a. | 230 × 106 | 
| 53 | f | 71 | II | 75 | head | 2.67 | |
| 54 | m | 78 | III | 12 | head | n.a. | 926 × 106 | 
| 55 | m | 64 | III | 54 | head | n.a. | 438 × 106 | 
| 56 | m | 70 | I | 36 | body | 3.79 | 425 × 106 | 
| 57 | f | 61 | III | 31 | head | 5.36 | 733 × 106 | 
| 58 | m | 71 | III | 13 | head | n.a. | 1164 × 106 | 
| 59 | m | 68 | III | 21 | head | n.a. | 1099 × 106 | 
| 60 | m | 75 | II | 47 | head | 6.42 | 179 × 106 | 
| 61 | f | 77 | III | 57 | head | 3.14 | |
| 62 | f | 75 | III | 9 | head | 1.94 | 349 × 106 | 
| 63 | m | 80 | II | 8 | head | 4.11 | 252 × 106 | 
| 64 | m | 52 | III | 13 | head | n.a. | 991 × 106 | 
| 65 | f | 78 | III | 7 | head | 7.60 | 529 × 106 | 
| 66 | m | 80 | II | 9 | head | 10.67 | 308 × 106 | 
| 67 | m | 67 | III | 15 | head | n.a. | 643 × 106 | 
| 68 | f | 64 | IV | 13 | body | 3.09 | 553 × 106 | 
| 69 | f | 68 | IV | 18 | head | n.a. | 658 × 106 | 
| 70 | f | 73 | III | 5 | head | 3.74 | 1342 × 106 | 
| 71 | f | 72 | III | 8 | head | n.a. | 506 × 106 | 
| 72 | m | 77 | I | 16 | head | n.a. | 
References
- Siegel, R.L.; Miller, K.D.; Jemal, A. Cancer statistics, 2020. CA Cancer J. Clin. 2020, 70, 7–30. [Google Scholar] [CrossRef]
- Huber, M.; Brehm, C.U.; Gress, T.M.; Buchholz, M.; Alhamwe, B.A.; von Strandmann, E.P.; Slater, E.P.; Bartsch, J.W.; Bauer, C.; Lauth, M. The immune microenvironment in pancreatic cancer. Int. J. Mol. Sci. 2020, 21, 7307. [Google Scholar] [CrossRef]
- Conrad, C.; Benzel, J.; Dorzweiler, K.; Cook, L.; Schlomann, U.; Zarbock, A.; Slater, E.P.; Nimsky, C.; Bartsch, J.W. ADAM8 in invasive cancers: Links to tumor progression, metastasis, and chemoresistance. Clin. Sci. (London) 2019, 133, 83–99. [Google Scholar] [CrossRef]
- Schlomann, U.; Koller, G.; Conrad, C.; Ferdous, T.; Golfi, P.; Garcia, A.M.; Höfling, S.; Parsons, M.; Costa, P.; Soper, R.; et al. ADAM8 as a drug target in pancreatic cancer. Nat. Commun. 2015, 6, 6175. [Google Scholar] [CrossRef] [PubMed]
- Romero, Y.; Wise, R.; Zolkiewska, A. Proteolytic processing of PD-L1 by ADAM proteases in breast cancer cells. Cancer Immunol. Immunother. 2020, 69, 43–55. [Google Scholar] [CrossRef]
- Orme, J.J.; Jazieh, K.A.; Xie, T.; Harrington, S.; Liu, X.; Ball, M.; Madden, B.; Charlesworth, M.C.; Azam, T.U.; Lucien, F.; et al. ADAM10 and ADAM17 cleave PD-L1 to mediate PD-(L)1 inhibitor resistance. Oncoimmunology 2020, 9, 1744980. [Google Scholar] [CrossRef]
- Grützmann, R.; Lüttges, J.; Sipos, B.; Ammerpohl, O.; Dobrowolski, F.; Alldinger, I.; Kersting, S.; Ockert, D.; Koch, R.; Kalthoff, H.; et al. ADAM9 expression in pancreatic cancer is associated with tumour type and is a prognostic factor in ductal adenocarcinoma. Br. J. Cancer 2004, 90, 1053–1058. [Google Scholar] [CrossRef] [PubMed]
- Oria, V.O.; Lopatta, P.; Schmitz, T.; Preca, B.T.; Nyström, A.; Conrad, C.; Bartsch, J.W.; Kulemann, B.; Hoeppner, J.; Maurer, J.; et al. ADAM9 contributes to vascular invasion in pancreatic ductal adenocarcinoma. Mol. Oncol. 2019, 13, 456–479. [Google Scholar] [CrossRef]
- Gaida, M.M.; Haag, N.; Günther, F.; Tschaharganeh, D.F.; Schirmacher, P.; Friess, H.; Giese, N.A.; Schmidt, J.; Wente, M.N. Expression of A disintegrin and metalloprotease 10 in pancreatic carcinoma. Int. J. Mol. Med. 2010, 26, 281–288. [Google Scholar] [CrossRef] [PubMed]
- Veenstra, V.L.; Damhofer, H.; Waasdorp, C.; van Rijssen, L.B.; van de Vijver, M.J.; Dijk, F.; Wilmink, H.W.; Besselink, M.G.; Busch, O.R.; Chang, D.K.; et al. ADAM12 is a circulating marker for stromal activation in pancreatic cancer and predicts response to chemotherapy. Oncogenesis 2018, 7, 87. [Google Scholar] [CrossRef] [PubMed]
- Ardito, C.M.; Grüner, B.M.; Takeuchi, K.K.; Lubeseder-Martellato, C.; Teichmann, N.; Mazur, P.K.; Delgiorno, K.E.; Carpenter, E.S.; Halbrook, C.J.; Hall, J.C.; et al. EGF receptor is required for KRAS-induced pancreatic tumorigenesis. Cancer Cell 2012, 22, 304–317. [Google Scholar] [CrossRef]
- Blobel, C.P. ADAMs: Key components in EGFR signalling and development. Nat. Rev. Mol. Cell Biol. 2005, 6, 32–43. [Google Scholar] [CrossRef] [PubMed]
- Valkovskaya, N.; Kayed, H.; Felix, K.; Hartmann, D.; Giese, N.A.; Osinsky, S.P.; Friess, H.; Kleeff, J. ADAM8 expression is associated with increased invasiveness and reduced patient survival in pancreatic cancer. J. Cell. Mol. Med. 2007, 11, 1162–1174. [Google Scholar] [CrossRef] [PubMed]
- Gjorgjevski, M.; Hannen, R.; Carl, B.; Li, Y.; Landmann, E.; Buchholz, M.; Bartsch, J.W.; Nimsky, C. Molecular profiling of the tumor microenvironment in glioblastoma patients: Correlation of microglia/macrophage polarization state with metalloprotease expression profiles and survival. Biosci. Rep. 2019, 39. [Google Scholar] [CrossRef]
- Gospodarowicz, M.K.; Brierley, J.D. TNM Classification of Malignant Tumors; Wiley-Blackwell: Oxford, UK, 2017. [Google Scholar]
- Schindelin, J.; Arganda-Carreras, I.; Frise, E.; Kaynig, V.; Longair, M.; Pietzsch, T.; Preibisch, S.; Rueden, C.; Saalfeld, S.; Schmid, B.; et al. Fiji: An open-source platform for biological-image analysis. Nat. Methods 2012, 9, 676–682. [Google Scholar] [CrossRef] [PubMed]
- Conrad, C.; Götte, M.; Schlomann, U.; Roessler, M.; Pagenstecher, A.; Anderson, P.; Preston, J.; Pruessmeyer, J.; Ludwig, A.; Li, R.; et al. ADAM8 expression in breast cancer derived brain metastases: Functional implications on MMP-9 expression and transendothelial migration in breast cancer cells. Int. J. Cancer 2018, 142, 779–791. [Google Scholar] [CrossRef] [PubMed]
- Li, Y.; Guo, S.; Zhao, K.; Conrad, C.; Driescher, C.; Rothbart, V.; Schlomann, U.; Guerreiro, H.; Bopp, M.H.; König, A.; et al. ADAM8 affects glioblastoma progression by regulating osteopontin-mediated angiogenesis. Biol. Chem. 2020. [Google Scholar] [CrossRef]
- Nishimura, D.; Sakai, H.; Sato, T.; Sato, F.; Nishimura, S.; Toyama-Sorimachi, N.; Bartsch, J.W.; Sehara-Fujisawa, A. Roles of ADAM8 in elimination of injured muscle fibers prior to skeletal muscle regeneration. Mech. Dev. 2015, 135, 58–67. [Google Scholar] [CrossRef]
- Naus, S.; Blanchet, M.R.; Gossens, K.; Zaph, C.; Bartsch, J.W.; McNagny, K.; Ziltener, H.J. The metalloprotease-disintegrin ADAM8 is essential for the development of experimental asthma. Am. J. Respir. Crit. Care Med. 2010, 181, 1318–1328. [Google Scholar] [CrossRef]
- Arima, K.; Okabe, H.; Hashimoto, D.; Chikamoto, A.; Tsuji, A.; Yamamura, K.; Kitano, Y.; Inoue, R.; Kaida, T.; Higashi, T.; et al. The diagnostic role of the neutrophil-to-lymphocyte ratio in predicting pancreatic ductal adenocarcinoma in patients with pancreatic diseases. Int. J. Clin. Oncol. 2016, 21, 940–945. [Google Scholar] [CrossRef] [PubMed]
- Ben, Q.; An, W.; Wang, L.; Wang, W.; Yu, L.; Yuan, Y. Validation of the pretreatment neutrophil-lymphocyte ratio as a predictor of overall survival in a cohort of patients with pancreatic ductal adenocarcinoma. Pancreas 2015, 44, 471–477. [Google Scholar] [CrossRef]
- Tao, L.; Zhang, L.; Peng, Y.; Tao, M.; Li, G.; Xiu, D.; Yuan, C.; Ma, C.; Jiang, B. Preoperative neutrophil-to-lymphocyte ratio and tumor-related factors to predict lymph node metastasis in patients with pancreatic ductal adenocarcinoma (PDAC). Oncotarget 2016, 7, 74314–74324. [Google Scholar] [CrossRef] [PubMed][Green Version]
- Chawla, A.; Huang, T.L.; Ibrahim, A.M.; Hardacre, J.M.; Siegel, C.; Ammori, J.B. Pretherapy neutrophil to lymphocyte ration and platelet to lymphocyte ratio do not predict survival in resectable pancreatic cancer. HPB (Oxford) 2018, 20, 398–404. [Google Scholar] [CrossRef]
- Naso, J.R.; Topham, J.T.; Karasinska, J.M.; Lee, M.K.C.; Kalloger, S.E.; Wong, H.L.; Nelson, J.; Moore, R.A.; Mungall, A.J.; Jones, S.J.M.; et al. Tumor infiltrating neutrophils and gland formation predict overall survival and molecular subgroups in pancreatic ductal adenocarcinoma. Cancer Med. 2020. [Google Scholar] [CrossRef] [PubMed]
- Steele, C.W.; Karim, S.A.; Leach, J.D.G.; Bailey, P.; Upstill-Goddard, R.; Rishi, L.; Foth, M.; Bryson, S.; McDaid, K.; Wilson, Z.; et al. CXCR2 inhibition profoundly suppresses metastases and augments immunotherapy in pancreatic ductal adenocarcinoma. Cancer Cell 2016, 29, 832–845. [Google Scholar] [CrossRef] [PubMed]





| Gender | Males (%) | 37 (51%) | 
| Females (%) | 35 (49%) | |
| Median Age at Surgery, Years (Range) | 68 (47 to 85) | |
| UICC Stage, Number of Patients (%) | I | 11 (15.3%) | 
| II | 10 (13.9%) | |
| III | 46 (63.9%) | |
| IV | 5 (6.9%) | |
| Median Survival, Months (Range) | 22 (1 to 92) | |
| Location | head | 65 (90%) | 
| body or tail | 7 (10%) | |
| Median NLR * (Range) | 3.14 (1.53 to 31.67) | 
| Antibody | Species | Working Dilution | Source | 
|---|---|---|---|
| ADAM8 | rabbit | 1:200 | R&D Systems (AF1031) | 
| CD3 | mouse | 1:50 | Dako (M7254) | 
| CD56 | mouse | 1:10 | Monosan (MON 9006) | 
| CD68 | mouse | 1:200 | Novus Biologicals (NB100-683) | 
| CD163 | mouse | 1:50 | ThermoFisher (MA5-11458) | 
| CD4 | mouse | 1:100 | Dako (M7310) | 
| CD8 | mouse | 1:200 | R&D Systems (MAB3801) | 
| α Smooth muscle actin | mouse | 1:2000 | R&D Systems (MAB1420) | 
| MPO | mouse | 1:50 | R&D systems (MAB3174) | 
| Publisher’s Note: MDPI stays neutral with regard to jurisdictional claims in published maps and institutional affiliations. | 
© 2021 by the authors. Licensee MDPI, Basel, Switzerland. This article is an open access article distributed under the terms and conditions of the Creative Commons Attribution (CC BY) license (http://creativecommons.org/licenses/by/4.0/).
Share and Cite
Jaworek, C.; Verel-Yilmaz, Y.; Driesch, S.; Ostgathe, S.; Cook, L.; Wagner, S.; Bartsch, D.K.; Slater, E.P.; Bartsch, J.W. Cohort Analysis of ADAM8 Expression in the PDAC Tumor Stroma. J. Pers. Med. 2021, 11, 113. https://doi.org/10.3390/jpm11020113
Jaworek C, Verel-Yilmaz Y, Driesch S, Ostgathe S, Cook L, Wagner S, Bartsch DK, Slater EP, Bartsch JW. Cohort Analysis of ADAM8 Expression in the PDAC Tumor Stroma. Journal of Personalized Medicine. 2021; 11(2):113. https://doi.org/10.3390/jpm11020113
Chicago/Turabian StyleJaworek, Christian, Yesim Verel-Yilmaz, Sarah Driesch, Sarah Ostgathe, Lena Cook, Steffen Wagner, Detlef K. Bartsch, Emily P. Slater, and Jörg W. Bartsch. 2021. "Cohort Analysis of ADAM8 Expression in the PDAC Tumor Stroma" Journal of Personalized Medicine 11, no. 2: 113. https://doi.org/10.3390/jpm11020113
APA StyleJaworek, C., Verel-Yilmaz, Y., Driesch, S., Ostgathe, S., Cook, L., Wagner, S., Bartsch, D. K., Slater, E. P., & Bartsch, J. W. (2021). Cohort Analysis of ADAM8 Expression in the PDAC Tumor Stroma. Journal of Personalized Medicine, 11(2), 113. https://doi.org/10.3390/jpm11020113
 
         
                                                


 
       