Bone and Joint Infections: The Role of Imaging in Tailoring Diagnosis to Improve Patients’ Care
Abstract
:1. Introduction
2. Acute Osteomyelitis
3. Septic Arthritis
4. Chronic Osteomyelitis
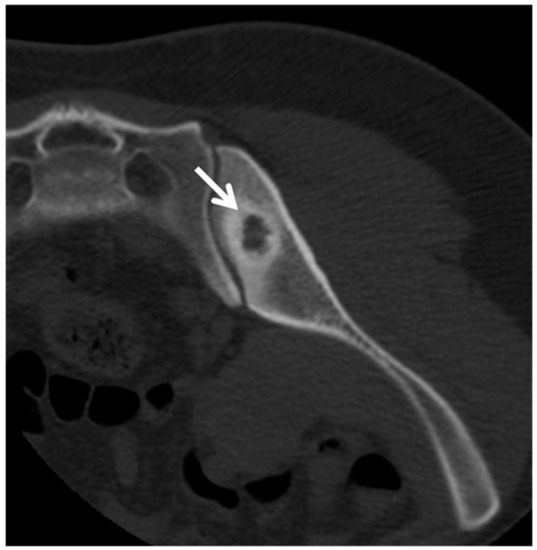
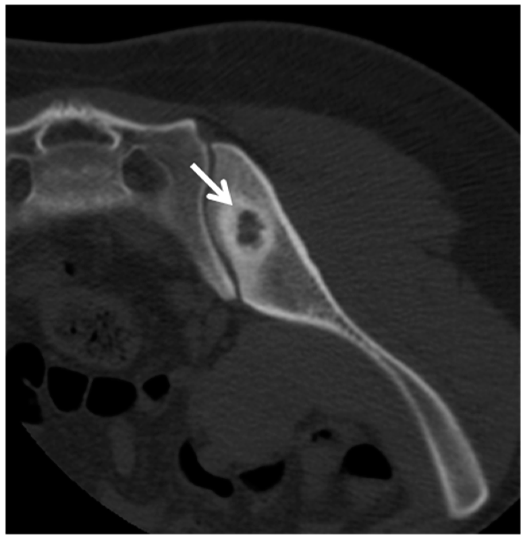
5. Brodie’s Abscess
6. Diabetic Foot Osteomyelitis
7. Prosthetic Infections
8. Fracture Related Infection (FRI)
9. Spondylodiscitis
10. Tuberculosis Arthritis
11. Chronic Recurrent Multifocal Osteomyelitis
12. Conclusions
Author Contributions
Funding
Institutional Review Board Statement
Informed Consent Statement
Data Availability Statement
Conflicts of Interest
References
- Kremers, H.M.; Nwojo, M.E.; Ransom, J.E.; Wood-Wentz, C.M.; Melton, L.J.; Huddleston, P.M. Trends in the epidemiology of osteomyelitis: A population-based study, 1969 to 2009. J. Bone Jt. Surg. Am. 2015, 97, 837–845. [Google Scholar] [CrossRef] [Green Version]
- Malizos, K.N. Global Forum: The Burden of Bone and Joint Infections: A Growing Demand for More Resources. J. Bone Jt. Surg. Am. 2017, 99, e20. [Google Scholar] [CrossRef]
- Laurent, E.; Gras, G.; Druon, J.; Rosset, P.; Baron, S.; Le-Louarn, A.; Rusch, E.; Bernard, L.; Grammatico-Guillon, L. Key features of bone and joint infections following the implementation of reference centers in France. Med. Mal. Infect. 2018, 48, 256–262. [Google Scholar] [CrossRef] [PubMed]
- Sanders, J.; Mauffrey, C. Long bone osteomyelitis in adults: Fundamental concepts and current techniques. Orthopedics 2013, 36, 368–375. [Google Scholar] [CrossRef]
- Pineda, C.; Vargas, A.; Rodríguez, A.V. Imaging of osteomyelitis: Current concepts. Infect. Dis. Clin. N. Am. 2006, 20, 789–825. [Google Scholar] [CrossRef]
- Beaman, F.D.; von Herrmann, P.F.; Kransdorf, M.J.; Adler, R.S.; Amini, B.; Appel, M.; Arnold, E.; Bernard, S.A.; Greenspan, B.S.; Lee, K.S.; et al. ACR Appropriateness Criteria. J. Am. Coll. Radiol. 2017, 14, S326–S337. [Google Scholar] [CrossRef] [PubMed] [Green Version]
- Anwer, U.; Yablon, C.M. Imaging of Osteomyelitis of the Extremities. Semin. Roentgenol. 2017, 52, 49–54. [Google Scholar] [CrossRef] [PubMed]
- Pineda, C.; Espinosa, R.; Pena, A. Radiographic imaging in osteomyelitis: The role of plain radiography, computed tomography, ultrasonography, magnetic resonance imaging, and scintigraphy. Semin. Plast. Surg. 2009, 23, 80–89. [Google Scholar] [CrossRef] [Green Version]
- Noriega-Álvarez, E.; Domínguez Gadea, L.; Orduña Diez, M.P.; Peiró Valgañón, V.; Sanz Viedma, S.; García Jiménez, R. Role of Nuclear Medicine in the diagnosis of musculoskeletal infection: A review. Rev. Esp. Med. Nucl. Imagen. Mol. 2019, 38, 397–407. [Google Scholar] [CrossRef]
- Riebel, T.W.; Nasir, R.; Nazarenko, O. The value of sonography in the detection of osteomyelitis. Pediatr. Radiol. 1996, 26, 291–297. [Google Scholar] [CrossRef]
- Howard, C.B.; Einhorn, M.; Dagan, R.; Nyska, M. Ultrasound in diagnosis and management of acute haematogenous osteomyelitis in children. J. Bone Jt. Surg. Br. 1993, 75, 79–82. [Google Scholar] [CrossRef] [PubMed] [Green Version]
- Blickman, J.G.; van Die, C.E.; de Rooy, J.W. Current imaging concepts in pediatric osteomyelitis. Eur. Radiol. 2004, 14 (Suppl. 4), L55–L64. [Google Scholar] [CrossRef]
- Ram, P.C.; Martinez, S.; Korobkin, M.; Breiman, R.S.; Gallis, H.R.; Harrelson, J.M. CT detection of intraosseous gas: A new sign of osteomyelitis. AJR Am. J. Roentgenol. 1981, 137, 721–723. [Google Scholar] [CrossRef]
- Spaeth, H.J.; Chandnani, V.P.; Beltran, J.; Lucas, J.G.; Ortiz, I.; King, M.A.; Bennett, W.F.; Bova, J.G.; Mueller, C.F.; Shaffer, P.B. Magnetic resonance imaging detection of early experimental periostitis. Comparison of magnetic resonance imaging, computed tomography, and plain radiography with histopathologic correlation. Investig. Radiol. 1991, 26, 304–308. [Google Scholar] [CrossRef] [PubMed]
- Kocher, M.S.; Lee, B.; Dolan, M.; Weinberg, J.; Shulman, S.T. Pediatric orthopedic infections: Early detection and treatment. Pediatr Ann. 2006, 35, 112–122. [Google Scholar] [CrossRef] [PubMed]
- Boutin, R.D.; Brossmann, J.; Sartoris, D.J.; Reilly, D.; Resnick, D. Update on imaging of orthopedic infections. Orthop. Clin. N. Am. 1998, 29, 41–66. [Google Scholar] [CrossRef]
- Collins, M.S.; Schaar, M.M.; Wenger, D.E.; Mandrekar, J.N. T1-weighted MRI characteristics of pedal osteomyelitis. AJR Am. J. Roentgenol. 2005, 185, 386–393. [Google Scholar] [CrossRef]
- Kaplan, S.L. Osteomyelitis in children. Infect. Dis. Clin. N. Am. 2005, 19, 787–797. [Google Scholar] [CrossRef]
- Calhoun, J.H.; Manring, M.M. Adult osteomyelitis. Infect. Dis. Clin. N. Am. 2005, 19, 765–786. [Google Scholar] [CrossRef]
- Vilanova, J.C.; García-Figueiras, R.; Luna, A.; Baleato-González, S.; Tomás, X.; Narváez, J.A. Update on Whole-body MRI in Musculoskeletal Applications. Semin. Musculoskelet. Radiol. 2019, 23, 312–323. [Google Scholar] [CrossRef]
- Koh, D.M.; Blackledge, M.; Padhani, A.R.; Takahara, T.; Kwee, T.C.; Leach, M.O.; Collins, D.J. Whole-body diffusion-weighted MRI: Tips, tricks, and pitfalls. AJR Am. J. Roentgenol. 2012, 199, 252–262. [Google Scholar] [CrossRef] [Green Version]
- Sistrom, C.L.; McKay, N.L. Costs, charges, and revenues for hospital diagnostic imaging procedures: Differences by modality and hospital characteristics. J. Am. Coll. Radiol. 2005, 2, 511–519. [Google Scholar] [CrossRef] [PubMed]
- Naraghi, A.M.; White, L.M. Magnetic resonance imaging of joint replacements. Semin. Musculoskelet. Radiol. 2006, 10, 98–106. [Google Scholar] [CrossRef] [PubMed] [Green Version]
- Lee, E.M.; Ibrahim, E.H.; Dudek, N.; Lu, J.C.; Kalia, V.; Runge, M.; Srinivasan, A.; Stojanovska, J.; Agarwal, P.P. Improving MR Image Quality in Patients with Metallic Implants. Radiographics 2021, 41, E126–E137. [Google Scholar] [CrossRef] [PubMed]
- Maurer, A.H.; Chen, D.C.; Camargo, E.E.; Wong, D.F.; Wagner, H.N.; Alderson, P.O. Utility of three-phase skeletal scintigraphy in suspected osteomyelitis: Concise communication. J. Nucl. Med. 1981, 22, 941–949. [Google Scholar]
- Wang, G.L.; Zhao, K.; Liu, Z.F.; Dong, M.J.; Yang, S.Y. A meta-analysis of fluorodeoxyglucose-positron emission tomography versus scintigraphy in the evaluation of suspected osteomyelitis. Nucl. Med. Commun. 2011, 32, 1134–1142. [Google Scholar] [CrossRef]
- Tumeh, S.S.; Aliabadi, P.; Weissman, B.N.; McNeil, B.J. Chronic osteomyelitis: Bone and gallium scan patterns associated with active disease. Radiology 1986, 158, 685–688. [Google Scholar] [CrossRef] [PubMed]
- Glaudemans, A.W.J.M.; Jutte, P.C.; Cataldo, M.A.; Cassar-Pullicino, V.; Gheysens, O.; Borens, O.; Trampuz, A.; Wörtler, K.; Petrosillo, N.; Winkler, H.; et al. Consensus document for the diagnosis of peripheral bone infection in adults: A joint paper by the EANM, EBJIS, and ESR (with ESCMID endorsement). Eur. J. Nucl. Med. Mol. Imaging 2019, 46, 957–970. [Google Scholar] [CrossRef] [Green Version]
- Palestro, C.J.; Love, C.; Bhargava, K.K. Labeled leukocyte imaging: Current status and future directions. Q J. Nucl. Med. Mol. Imaging 2009, 53, 105–123. [Google Scholar]
- Love, C.; Palestro, C.J. Nuclear medicine imaging of bone infections. Clin. Radiol. 2016, 71, 632–646. [Google Scholar] [CrossRef]
- Li, Y.; Wang, Q.; Wang, X.; Li, X.; Wu, H.; Yao, Z.; Miao, W.; Zhu, X.; Hua, F.; Zhang, X.; et al. Expert Consensus on clinical application of FDG PET/CT in infection and inflammation. Ann. Nucl. Med. 2020, 34, 369–376. [Google Scholar] [CrossRef] [PubMed]
- Palestro, C.J.; Glaudemans, A.W.J.M.; Dierckx, R.A.J.O. Multiagent imaging of inflammation and infection with radionuclides. Clin. Transl. Imaging 2013, 1, 385–396. [Google Scholar] [CrossRef] [Green Version]
- Beheshti, M.; Mottaghy, F.M.; Paycha, F.; Behrendt, F.F.F.; Van den Wyngaert, T.; Fogelman, I.; Strobel, K.; Celli, M.; Fanti, S.; Giammarile, F.; et al. (18)F-NaF PET/CT: EANM procedure guidelines for bone imaging. Eur. J. Nucl. Med. Mol. Imaging 2015, 42, 1767–1777. [Google Scholar] [CrossRef] [PubMed]
- Schwegler, B.; Stumpe, K.D.; Weishaupt, D.; Strobel, K.; Spinas, G.A.; von Schulthess, G.K.; Hodler, J.; Böni, T.; Donath, M.Y. Unsuspected osteomyelitis is frequent in persistent diabetic foot ulcer and better diagnosed by MRI than by 18F-FDG PET or 99mTc-MOAB. J. Intern. Med. 2008, 263, 99–106. [Google Scholar] [CrossRef]
- Gold, R.H.; Hawkins, R.A.; Katz, R.D. Bacterial osteomyelitis: Findings on plain radiography, CT, MR, and scintigraphy. AJR Am. J. Roentgenol. 1991, 157, 365–370. [Google Scholar] [CrossRef] [PubMed]
- Stumpe, K.D.; Zanetti, M.; Weishaupt, D.; Hodler, J.; Boos, N.; Von Schulthess, G.K. FDG positron emission tomography for differentiation of degenerative and infectious endplate abnormalities in the lumbar spine detected on MR imaging. AJR Am. J. Roentgenol. 2002, 179, 1151–1157. [Google Scholar] [CrossRef]
- Demirev, A.; Weijers, R.; Geurts, J.; Mottaghy, F.; Walenkamp, G.; Brans, B. Comparison of [18 F]FDG PET/CT and MRI in the diagnosis of active osteomyelitis. Skeletal. Radiol. 2014, 43, 665–672. [Google Scholar] [CrossRef]
- Zawin, J.K.; Hoffer, F.A.; Rand, F.F.; Teele, R.L. Joint effusion in children with an irritable hip: US diagnosis and aspiration. Radiology 1993, 187, 459–463. [Google Scholar] [CrossRef]
- Strouse, P.J.; DiPietro, M.A.; Adler, R.S. Pediatric hip effusions: Evaluation with power Doppler sonography. Radiology 1998, 206, 731–735. [Google Scholar] [CrossRef]
- Graif, M.; Schweitzer, M.E.; Deely, D.; Matteucci, T. The septic versus nonseptic inflamed joint: MRI characteristics. Skeletal. Radiol. 1999, 28, 616–620. [Google Scholar] [CrossRef]
- Karchevsky, M.; Schweitzer, M.E.; Morrison, W.B.; Parellada, J.A. MRI findings of septic arthritis and associated osteomyelitis in adults. AJR Am. J. Roentgenol. 2004, 182, 119–122. [Google Scholar] [CrossRef]
- Stumpe, K.D.; Strobel, K. Osteomyelitis and arthritis. Semin. Nucl. Med. 2009, 39, 27–35. [Google Scholar] [CrossRef] [Green Version]
- Gholamrezanezhad, A.; Basques, K.; Batouli, A.; Matcuk, G.; Alavi, A.; Jadvar, H. Clinical Nononcologic Applications of PET/CT and PET/MRI in Musculoskeletal, Orthopedic, and Rheumatologic Imaging. AJR Am. J. Roentgenol. 2018, 210, W245–W263. [Google Scholar] [CrossRef] [PubMed]
- Mouzopoulos, G.; Kanakaris, N.K.; Kontakis, G.; Obakponovwe, O.; Townsend, R.; Giannoudis, P.V. Management of bone infections in adults: The surgeon’s and microbiologist’s perspectives. Injury 2011, 42 (Suppl. 5), S18–S23. [Google Scholar] [CrossRef]
- Chau, C.L.; Griffith, J.F. Musculoskeletal infections: Ultrasound appearances. Clin. Radiol. 2005, 60, 149–159. [Google Scholar] [CrossRef]
- Wu, Y.; Lu, X.; Hong, J.; Lin, W.; Chen, S.; Mou, S.; Feng, G.; Yan, R.; Cheng, Z. Detection of extremity chronic traumatic osteomyelitis by machine learning based on computed-tomography images: A retrospective study. Medicine (Baltimore) 2020, 99, e19239. [Google Scholar] [CrossRef] [PubMed]
- Abernethy, L.J.; Carty, H. Modern approach to the diagnosis of osteomyelitis in children. Br. J. Hosp. Med. 1997, 58, 464–468. [Google Scholar]
- Kaim, A.H.; Gross, T.; von Schulthess, G.K. Imaging of chronic posttraumatic osteomyelitis. Eur. Radiol. 2002, 12, 1193–1202. [Google Scholar] [CrossRef] [PubMed]
- Luchs, J.S.; Hines, J.; Katz, D.S.; Athanasian, E.A. MR imaging of squamous cell carcinoma complicating chronic osteomyelitis of the femur. AJR Am. J. Roentgenol. 2002, 178, 512–513. [Google Scholar] [CrossRef]
- Guhlmann, A.; Brecht-Krauss, D.; Suger, G.; Glatting, G.; Kotzerke, J.; Kinzl, L.; Reske, S.N. Fluorine-18-FDG PET and technetium-99m antigranulocyte antibody scintigraphy in chronic osteomyelitis. J. Nucl. Med. 1998, 39, 2145–2152. [Google Scholar]
- Hartmann, A.; Eid, K.; Dora, C.; Trentz, O.; von Schulthess, G.K.; Stumpe, K.D.M. Diagnostic value of 18F-FDG PET/CT in trauma patients with suspected chronic osteomyelitis. Eur. J. Nucl. Med. Mol. Imaging 2007, 34, 704–714. [Google Scholar] [CrossRef] [PubMed] [Green Version]
- Harris, N.H.; Kirkaldy-Willis, W.H. Primary subacute pyogenic osteomyelitis. J. Bone Jt. Surg. Br. 1965, 47, 526–532. [Google Scholar] [CrossRef] [Green Version]
- Bohndorf, K. Infection of the appendicular skeleton. Eur. Radiol. 2004, 14 (Suppl. 3), E53–E63. [Google Scholar] [CrossRef]
- Pöyhiä, T.; Azouz, E.M. MR imaging evaluation of subacute and chronic bone abscesses in children. Pediatr. Radiol. 2000, 30, 763–768. [Google Scholar] [CrossRef]
- Martí-Bonmatí, L.; Aparisi, F.; Poyatos, C.; Vilar, J. Brodie abscess: MR imaging appearance in 10 patients. J. Magn. Reson. Imaging 1993, 3, 543–546. [Google Scholar] [CrossRef]
- Strobel, K.; Hany, T.F.; Exner, G.U. PET/CT of a brodie abscess. Clin. Nucl. Med. 2006, 31, 210. [Google Scholar] [CrossRef]
- Fathinul, F.; Nordin, A. F-FDG PET/CT as a potential valuable adjunct to MRI in characterising the Brodie’s abscess. Biomed. Imaging Interv. J. 2010, 6, e26. [Google Scholar] [CrossRef] [PubMed]
- Zhang, P.; Lu, J.; Jing, Y.; Tang, S.; Zhu, D.; Bi, Y. Global epidemiology of diabetic foot ulceration: A systematic review and meta-analysis. Ann. Med. 2017, 49, 106–116. [Google Scholar] [CrossRef] [PubMed]
- Donovan, A.; Schweitzer, M.E. Use of MR imaging in diagnosing diabetes-related pedal osteomyelitis. Radiographics 2010, 30, 723–736. [Google Scholar] [CrossRef] [Green Version]
- Basu, S.; Zhuang, H.; Alavi, A. FDG PET and PET/CT Imaging in Complicated Diabetic Foot. PET Clin. 2012, 7, 151–160. [Google Scholar] [CrossRef] [PubMed]
- Grayson, M.L.; Gibbons, G.W.; Balogh, K.; Levin, E.; Karchmer, A.W. Probing to bone in infected pedal ulcers. A clinical sign of underlying osteomyelitis in diabetic patients. JAMA 1995, 273, 721–723. [Google Scholar] [CrossRef] [PubMed]
- Palestro, C.J. Radionuclide Imaging of Musculoskeletal Infection: A Review. J. Nucl. Med. 2016, 57, 1406–1412. [Google Scholar] [CrossRef] [Green Version]
- La Fontaine, J.; Bhavan, K.; Jupiter, D.; Lavery, L.A.; Chhabra, A. Magnetic Resonance Imaging of Diabetic Foot Osteomyelitis: Imaging Accuracy in Biopsy-Proven Disease. J. Foot Ankle Surg. 2021, 60, 17–20. [Google Scholar] [CrossRef] [PubMed]
- Lipsky, B.A.; Berendt, A.R.; Cornia, P.B.; Pile, J.C.; Peters, E.J.; Armstrong, D.G.; Deery, H.G.; Embil, J.M.; Joseph, W.S.; Karchmer, A.W.; et al. 2012 Infectious Diseases Society of America clinical practice guideline for the diagnosis and treatment of diabetic foot infections. Clin. Infect. Dis. 2012, 54, e132–e173. [Google Scholar] [CrossRef] [PubMed] [Green Version]
- Dinh, M.T.; Abad, C.L.; Safdar, N. Diagnostic accuracy of the physical examination and imaging tests for osteomyelitis underlying diabetic foot ulcers: Meta-analysis. Clin. Infect. Dis. 2008, 47, 519–527. [Google Scholar] [CrossRef] [Green Version]
- Baker, J.C.; Demertzis, J.L.; Rhodes, N.G.; Wessell, D.E.; Rubin, D.A. Diabetic musculoskeletal complications and their imaging mimics. Radiographics 2012, 32, 1959–1974. [Google Scholar] [CrossRef] [Green Version]
- Chatha, D.S.; Cunningham, P.M.; Schweitzer, M.E. MR imaging of the diabetic foot: Diagnostic challenges. Radiol. Clin. N. Am. 2005, 43, 747–759. [Google Scholar] [CrossRef]
- Morrison, W.B.; Schweitzer, M.E.; Batte, W.G.; Radack, D.P.; Russel, K.M. Osteomyelitis of the foot: Relative importance of primary and secondary MR imaging signs. Radiology 1998, 207, 625–632. [Google Scholar] [CrossRef]
- Duryea, D.; Bernard, S.; Flemming, D.; Walker, E.; French, C. Outcomes in diabetic foot ulcer patients with isolated T2 marrow signal abnormality in the underlying bone: Should the diagnosis of "osteitis" be changed to “early osteomyelitis”? Skeletal. Radiol. 2017, 46, 1327–1333. [Google Scholar] [CrossRef]
- Treglia, G.; Sadeghi, R.; Annunziata, S.; Zakavi, S.R.; Caldarella, C.; Muoio, B.; Bertagna, F.; Ceriani, L.; Giovanella, L. Diagnostic performance of Fluorine-18-Fluorodeoxyglucose positron emission tomography for the diagnosis of osteomyelitis related to diabetic foot: A systematic review and a meta-analysis. Foot (Edinb) 2013, 23, 140–148. [Google Scholar] [CrossRef]
- Palestro, C.J.; Love, C. Nuclear medicine and diabetic foot infections. Semin. Nucl. Med. 2009, 39, 52–65. [Google Scholar] [CrossRef] [PubMed]
- Palestro, C.J. 18F-FDG and diabetic foot infections: The verdict is. J. Nucl. Med. 2011, 52, 1009–1011. [Google Scholar] [CrossRef]
- Jaramillo, D.; Treves, S.T.; Kasser, J.R.; Harper, M.; Sundel, R.; Laor, T. Osteomyelitis and septic arthritis in children: Appropriate use of imaging to guide treatment. AJR Am. J. Roentgenol. 1995, 165, 399–403. [Google Scholar] [CrossRef] [PubMed] [Green Version]
- Signore, A.; Sconfienza, L.M.; Borens, O.; Glaudemans, A.W.J.M.; Cassar-Pullicino, V.; Trampuz, A.; Winkler, H.; Gheysens, O.; Vanhoenacker, F.M.H.M.; Petrosillo, N.; et al. Consensus document for the diagnosis of prosthetic joint infections: A joint paper by the EANM, EBJIS, and ESR (with ESCMID endorsement). Eur. J. Nucl. Med. Mol. Imaging 2019, 46, 971–988. [Google Scholar] [CrossRef] [Green Version]
- Cyteval, C.; Hamm, V.; Sarrabère, M.P.; Lopez, F.M.; Maury, P.; Taourel, P. Painful infection at the site of hip prosthesis: CT imaging. Radiology 2002, 224, 477–483. [Google Scholar] [CrossRef]
- Rabin, D.N.; Smith, C.; Kubicka, R.A.; Rabin, S.; Ali, A.; Charters, J.R.; Rabin, H. Problem prostheses: The radiologic evaluation of total joint replacement. Radiographics 1987, 7, 1107–1127. [Google Scholar] [CrossRef] [PubMed] [Green Version]
- Fritz, J.; Lurie, B.; Miller, T.T.; Potter, H.G. MR imaging of hip arthroplasty implants. Radiographics 2014, 34, E106–E132. [Google Scholar] [CrossRef] [PubMed] [Green Version]
- van Holsbeeck, M.T.; Eyler, W.R.; Sherman, L.S.; Lombardi, T.J.; Mezger, E.; Verner, J.J.; Schurman, J.R.; Jonsson, K. Detection of infection in loosened hip prostheses: Efficacy of sonography. AJR Am. J. Roentgenol. 1994, 163, 381–384. [Google Scholar] [CrossRef]
- Weybright, P.N.; Jacobson, J.A.; Murry, K.H.; Lin, J.; Fessell, D.P.; Jamadar, D.A.; Kabeto, M.; Hayes, C.W. Limited effectiveness of sonography in revealing hip joint effusion: Preliminary results in 21 adult patients with native and postoperative hips. AJR Am. J. Roentgenol. 2003, 181, 215–218. [Google Scholar] [CrossRef]
- Bureau, N.J.; Chhem, R.K.; Cardinal, E. Musculoskeletal infections: US manifestations. Radiographics 1999, 19, 1585–1592. [Google Scholar] [CrossRef] [Green Version]
- Lohmann, C.H.; Rampal, S.; Lohrengel, M.; Singh, G. Imaging in peri-prosthetic assessment: An orthopaedic perspective. EFORT Open Rev. 2017, 2, 117–125. [Google Scholar] [CrossRef]
- Isern-Kebschull, J.; Tomas, X.; García-Díez, A.I.; Morata, L.; Moya, I.; Ríos, J.; Soriano, A. Value of multidetector computed tomography for the differentiation of delayed aseptic and septic complications after total hip arthroplasty. Skeletal. Radiol. 2020, 49, 893–902. [Google Scholar] [CrossRef]
- Talbot, B.S.; Weinberg, E.P. MR Imaging with Metal-suppression Sequences for Evaluation of Total Joint Arthroplasty. Radiographics 2016, 36, 209–225. [Google Scholar] [CrossRef]
- Galley, J.; Sutter, R.; Stern, C.; Filli, L.; Rahm, S.; Pfirrmann, C.W.A. Diagnosis of Periprosthetic Hip Joint Infection Using MRI with Metal Artifact Reduction at 1.5 T. Radiology 2020, 296, 98–108. [Google Scholar] [CrossRef]
- Jungmann, P.M.; Agten, C.A.; Pfirrmann, C.W.; Sutter, R. Advances in MRI around metal. J. Magn. Reson. Imaging 2017, 46, 972–991. [Google Scholar] [CrossRef]
- Albano, D.; Messina, C.; Zagra, L.; Andreata, M.; De Vecchi, E.; Gitto, S.; Sconfienza, L.M. Failed Total Hip Arthroplasty: Diagnostic Performance of Conventional MRI Features and Locoregional Lymphadenopathy to Identify Infected Implants. J. Magn. Reson. Imaging 2021, 53, 201–210. [Google Scholar] [CrossRef]
- Plodkowski, A.J.; Hayter, C.L.; Miller, T.T.; Nguyen, J.T.; Potter, H.G. Lamellated hyperintense synovitis: Potential MR imaging sign of an infected knee arthroplasty. Radiology 2013, 266, 256–260. [Google Scholar] [CrossRef] [PubMed]
- Li, A.E.; Sneag, D.B.; Greditzer, H.G.; Johnson, C.C.; Miller, T.T.; Potter, H.G. Total Knee Arthroplasty: Diagnostic Accuracy of Patterns of Synovitis at MR Imaging. Radiology 2016, 281, 499–506. [Google Scholar] [CrossRef] [PubMed]
- Gao, Z.; Jin, Y.; Chen, X.; Dai, Z.; Qiang, S.; Guan, S.; Li, Q.; Huang, J.; Zheng, J. Diagnostic Value of MRI Lamellated Hyperintense Synovitis in Periprosthetic Infection of Hip. Orthop. Surg. 2020, 12, 1941–1946. [Google Scholar] [CrossRef] [PubMed]
- van der Bruggen, W.; Bleeker-Rovers, C.P.; Boerman, O.C.; Gotthardt, M.; Oyen, W.J. PET and SPECT in osteomyelitis and prosthetic bone and joint infections: A systematic review. Semin. Nucl. Med. 2010, 40, 3–15. [Google Scholar] [CrossRef]
- Glaudemans, A.W.; de Vries, E.F.; Vermeulen, L.E.; Slart, R.H.; Dierckx, R.A.; Signore, A. A large retrospective single-centre study to define the best image acquisition protocols and interpretation criteria for white blood cell scintigraphy with ⁹⁹mTc-HMPAO-labelled leucocytes in musculoskeletal infections. Eur. J. Nucl. Med. Mol. Imaging 2013, 40, 1760–1769. [Google Scholar] [CrossRef] [PubMed]
- Palestro, C.J. Nuclear medicine and the failed joint replacement: Past, present, and future. World J. Radiol. 2014, 6, 446–458. [Google Scholar] [CrossRef]
- Tam, H.H.; Bhaludin, B.; Rahman, F.; Weller, A.; Ejindu, V.; Parthipun, A. SPECT-CT in total hip arthroplasty. Clin. Radiol. 2014, 69, 82–95. [Google Scholar] [CrossRef]
- Mandegaran, R.; Agrawal, K.; Vijayanathan, S.; Gnanasegaran, G. The value of 99mTc-MDP bone SPECT/CT in evaluation of patients with painful knee prosthesis. Nucl. Med. Commun. 2018, 39, 397–404. [Google Scholar] [CrossRef] [PubMed]
- Chacko, T.K.; Zhuang, H.; Stevenson, K.; Moussavian, B.; Alavi, A. The importance of the location of fluorodeoxyglucose uptake in periprosthetic infection in painful hip prostheses. Nucl. Med. Commun. 2002, 23, 851–855. [Google Scholar] [CrossRef]
- Vanquickenborne, B.; Maes, A.; Nuyts, J.; Van Acker, F.; Stuyck, J.; Mulier, M.; Verbruggen, A.; Mortelmans, L. The value of (18)FDG-PET for the detection of infected hip prosthesis. Eur. J. Nucl. Med. Mol. Imaging 2003, 30, 705–715. [Google Scholar] [CrossRef] [PubMed]
- Reinartz, P.; Mumme, T.; Hermanns, B.; Cremerius, U.; Wirtz, D.C.; Schaefer, W.M.; Niethard, F.; Buell, U. Radionuclide imaging of the painful hip arthroplasty: Positron-emission tomography versus triple-phase bone scanning. J. Bone Jt. Surg. Br. 2005, 87, 465–470. [Google Scholar] [CrossRef] [Green Version]
- Rubin, R.H.; Fischman, A.J. The use of radiolabeled nonspecific immunoglobulin in the detection of focal inflammation. Semin. Nucl. Med. 1994, 24, 169–179. [Google Scholar] [CrossRef]
- Jamar, F.; Buscombe, J.; Chiti, A.; Christian, P.E.; Delbeke, D.; Donohoe, K.J.; Israel, O.; Martin-Comin, J.; Signore, A. EANM/SNMMI guideline for 18F-FDG use in inflammation and infection. J. Nucl. Med. 2013, 54, 647–658. [Google Scholar] [CrossRef] [Green Version]
- Metsemakers, W.J.; Morgenstern, M.; McNally, M.A.; Moriarty, T.F.; McFadyen, I.; Scarborough, M.; Athanasou, N.A.; Ochsner, P.E.; Kuehl, R.; Raschke, M.; et al. Fracture-related infection: A consensus on definition from an international expert group. Injury 2018, 49, 505–510. [Google Scholar] [CrossRef] [PubMed] [Green Version]
- McNally, M.; Govaert, G.; Dudareva, M.; Morgenstern, M.; Metsemakers, W.J. Definition and diagnosis of fracture-related infection. EFORT Open Rev. 2020, 5, 614–619. [Google Scholar] [CrossRef] [PubMed]
- Lee, Y.J.; Sadigh, S.; Mankad, K.; Kapse, N.; Rajeswaran, G. The imaging of osteomyelitis. Quant. Imaging Med. Surg. 2016, 6, 184–198. [Google Scholar] [CrossRef] [Green Version]
- Bühne, K.H.; Bohndorf, K. Imaging of posttraumatic osteomyelitis. Semin. Musculoskelet. Radiol. 2004, 8, 199–204. [Google Scholar] [CrossRef] [PubMed]
- Govaert, G.A.; IJpma, F.F.; McNally, M.; McNally, E.; Reininga, I.H.; Glaudemans, A.W. Accuracy of diagnostic imaging modalities for peripheral post-traumatic osteomyelitis–a systematic review of the recent literature. Eur. J. Nucl. Med. Mol. Imaging 2017, 44, 1393–1407. [Google Scholar] [CrossRef] [PubMed] [Green Version]
- Gupta, A.; Subhas, N.; Primak, A.N.; Nittka, M.; Liu, K. Metal artifact reduction: Standard and advanced magnetic resonance and computed tomography techniques. Radiol. Clin. N. Am. 2015, 53, 531–547. [Google Scholar] [CrossRef] [PubMed]
- Govaert, G.A.M.; Glaudemans, A.W.J.M. Nuclear medicine imaging of posttraumatic osteomyelitis. Eur. J. Trauma Emerg. Surg. 2016, 42, 397–410. [Google Scholar] [CrossRef] [Green Version]
- Wenter, V.; Müller, J.P.; Albert, N.L.; Lehner, S.; Fendler, W.P.; Bartenstein, P.; Cyran, C.C.; Friederichs, J.; Militz, M.; Hacker, M.; et al. The diagnostic value of [(18)F]FDG PET for the detection of chronic osteomyelitis and implant-associated infection. Eur. J. Nucl. Med. Mol. Imaging 2016, 43, 749–761. [Google Scholar] [CrossRef]
- Kumar, R.; Basu, S.; Torigian, D.; Anand, V.; Zhuang, H.; Alavi, A. Role of modern imaging techniques for diagnosis of infection in the era of 18F-fluorodeoxyglucose positron emission tomography. Clin. Microbiol. Rev. 2008, 21, 209–224. [Google Scholar] [CrossRef] [Green Version]
- Lemans, J.V.C.; Hobbelink, M.G.G.; IJpma, F.F.A.; Plate, J.D.J.; van den Kieboom, J.; Bosch, P.; Leenen, L.P.H.; Kruyt, M.C.; Glaudemans, A.W.J.M.; Govaert, G.A.M. The diagnostic accuracy of. Eur. J. Nucl. Med. Mol. Imaging 2019, 46, 999–1008. [Google Scholar] [CrossRef] [PubMed] [Green Version]
- Govaert, G.A.M.; Glaudemans, A.W.J.M.; Ploegmakers, J.J.W.; Viddeleer, A.R.; Wendt, K.W.; Reininga, I.H.F. Diagnostic strategies for posttraumatic osteomyelitis: A survey amongst Dutch medical specialists demonstrates the need for a consensus protocol. Eur. J. Trauma Emerg. Surg. 2018, 44, 417–426. [Google Scholar] [CrossRef] [PubMed] [Green Version]
- Michel, S.C.; Pfirrmann, C.W.; Boos, N.; Hodler, J. CT-guided core biopsy of subchondral bone and intervertebral space in suspected spondylodiskitis. AJR Am. J. Roentgenol. 2006, 186, 977–980. [Google Scholar] [CrossRef] [PubMed]
- Lew, D.P.; Waldvogel, F.A. Osteomyelitis. Lancet 2004, 364, 369–379. [Google Scholar] [CrossRef]
- Rimondi, E.; Rossi, G.; Bartalena, T.; Ciminari, R.; Alberghini, M.; Ruggieri, P.; Errani, C.; Angelini, A.; Calabrò, T.; Abati, C.N.; et al. Percutaneous CT-guided biopsy of the musculoskeletal system: Results of 2027 cases. Eur. J. Radiol. 2011, 77, 34–42. [Google Scholar] [CrossRef]
- Kim, C.J.; Song, K.H.; Park, W.B.; Kim, E.S.; Park, S.W.; Kim, H.B.; Oh, M.D.; Kim, N.J. Microbiologically and clinically diagnosed vertebral osteomyelitis: Impact of prior antibiotic exposure. Antimicrob. Agents Chemother. 2012, 56, 2122–2124. [Google Scholar] [CrossRef] [PubMed] [Green Version]
- Jevtic, V. Vertebral infection. Eur. Radiol. 2004, 14 (Suppl. 3), E43–E52. [Google Scholar] [CrossRef]
- Morales, H. Infectious Spondylitis Mimics: Mechanisms of Disease and Imaging Findings. Semin. Ultrasound CT MR 2018, 39, 587–604. [Google Scholar] [CrossRef] [PubMed]
- Karwowska, A.; Davies, H.D.; Jadavji, T. Epidemiology and outcome of osteomyelitis in the era of sequential intravenous-oral therapy. Pediatr. Infect. Dis. J. 1998, 17, 1021–1026. [Google Scholar] [CrossRef]
- Ledermann, H.P.; Morrison, W.B.; Schweitzer, M.E. MR image analysis of pedal osteomyelitis: Distribution, patterns of spread, and frequency of associated ulceration and septic arthritis. Radiology 2002, 223, 747–755. [Google Scholar] [CrossRef]
- Strauss, S.B.; Gordon, S.R.; Burns, J.; Bello, J.A.; Slasky, S.E. Differentiation between Tuberculous and Pyogenic Spondylodiscitis: The Role of the Anterior Meningovertebral Ligament in Patients with Anterior Epidural Abscess. AJNR Am. J. Neuroradiol. 2020, 41, 364–368. [Google Scholar] [CrossRef]
- Liu, X.; Li, H.; Jin, C.; Niu, G.; Guo, B.; Chen, Y.; Yang, J. Differentiation Between Brucellar and Tuberculous Spondylodiscitis in the Acute and Subacute Stages by MRI: A Retrospective Observational Study. Acad Radiol. 2018, 25, 1183–1189. [Google Scholar] [CrossRef] [PubMed]
- Dumont, R.A.; Keen, N.N.; Bloomer, C.W.; Schwartz, B.S.; Talbott, J.; Clark, A.J.; Wilson, D.M.; Chin, C.T. Clinical Utility of Diffusion-Weighted Imaging in Spinal Infections. Clin. Neuroradiol. 2019, 29, 515–522. [Google Scholar] [CrossRef] [PubMed]
- Fuster, D.; Solà, O.; Soriano, A.; Monegal, A.; Setoain, X.; Tomás, X.; Garcia, S.; Mensa, J.; Rubello, D.; Pons, F. A prospective study comparing whole-body FDG PET/CT to combined planar bone scan with 67Ga SPECT/CT in the Diagnosis of Spondylodiskitis. Clin. Nucl. Med. 2012, 37, 827–832. [Google Scholar] [CrossRef] [PubMed]
- Prodromou, M.L.; Ziakas, P.D.; Poulou, L.S.; Karsaliakos, P.; Thanos, L.; Mylonakis, E. FDG PET is a robust tool for the diagnosis of spondylodiscitis: A meta-analysis of diagnostic data. Clin. Nucl. Med. 2014, 39, 330–335. [Google Scholar] [CrossRef] [PubMed] [Green Version]
- Nanni, C.; Boriani, L.; Salvadori, C.; Zamparini, E.; Rorato, G.; Ambrosini, V.; Gasbarrini, A.; Tumietto, F.; Cristini, F.; Scudeller, L.; et al. FDG PET/CT is useful for the interim evaluation of response to therapy in patients affected by haematogenous spondylodiscitis. Eur. J. Nucl. Med. Mol. Imaging 2012, 39, 1538–1544. [Google Scholar] [CrossRef]
- Kim, S.J.; Pak, K.; Kim, K.; Lee, J.S. Comparing the Diagnostic Accuracies of F-18 Fluorodeoxyglucose Positron Emission Tomography and Magnetic Resonance Imaging for the Detection of Spondylodiscitis: A Meta-analysis. Spine (Phila Pa 1976) 2019, 44, E414–E422. [Google Scholar] [CrossRef] [PubMed]
- Yin, Y.; Liu, X.; Yang, X.; Guo, J.; Wang, Q.; Chen, L. Diagnostic value of FDG-PET versus magnetic resonance imaging for detecting spondylitis: A systematic review and meta-analysis. Spine J. 2018, 18, 2323–2332. [Google Scholar] [CrossRef] [PubMed]
- Berbari, E.F.; Kanj, S.S.; Kowalski, T.J.; Darouiche, R.O.; Widmer, A.F.; Schmitt, S.K.; Hendershot, E.F.; Holtom, P.D.; Huddleston, P.M.; Petermann, G.W.; et al. 2015 Infectious Diseases Society of America (IDSA) Clinical Practice Guidelines for the Diagnosis and Treatment of Native Vertebral Osteomyelitis in Adults. Clin. Infect. Dis. 2015, 61, e26–e46. [Google Scholar] [CrossRef] [PubMed] [Green Version]
- Lazzeri, E.; Pauwels, E.K.; Erba, P.A.; Volterrani, D.; Manca, M.; Bodei, L.; Trippi, D.; Bottoni, A.; Cristofani, R.; Consoli, V.; et al. Clinical feasibility of two-step streptavidin/111In-biotin scintigraphy in patients with suspected vertebral osteomyelitis. Eur. J. Nucl. Med. Mol. Imaging 2004, 31, 1505–1511. [Google Scholar] [CrossRef]
- Lupetti, A.; Welling, M.M.; Mazzi, U.; Nibbering, P.H.; Pauwels, E.K. Technetium-99m labelled fluconazole and antimicrobial peptides for imaging of Candida albicans and Aspergillus fumigatus infections. Eur. J. Nucl. Med. Mol. Imaging 2002, 29, 674–679. [Google Scholar] [CrossRef]
- De Vuyst, D.; Vanhoenacker, F.; Gielen, J.; Bernaerts, A.; De Schepper, A.M. Imaging features of musculoskeletal tuberculosis. Eur. Radiol. 2003, 13, 1809–1819. [Google Scholar] [CrossRef]
- Stäbler, A.; Reiser, M.F. Imaging of spinal infection. Radiol. Clin. N. Am. 2001, 39, 115–135. [Google Scholar] [CrossRef]
- Sharif, H.S.; Morgan, J.L.; Al Shahed, M.S.; Al Thagafi, M.Y. Role of CT and MR imaging in the management of tuberculous spondylitis. Radiol. Clin. N. Am. 1995, 33, 787–804. [Google Scholar]
- Ahmadi, J.; Bajaj, A.; Destian, S.; Segall, H.D.; Zee, C.S. Spinal tuberculosis: Atypical observations at MR imaging. Radiology 1993, 189, 489–493. [Google Scholar] [CrossRef] [PubMed]
- Maiuri, F.; Iaconetta, G.; Gallicchio, B.; Manto, A.; Briganti, F. Spondylodiscitis. Clinical and magnetic resonance diagnosis. Spine (Phila Pa 1976) 1997, 22, 1741–1746. [Google Scholar] [CrossRef]
- Ridley, N.; Shaikh, M.I.; Remedios, D.; Mitchell, R. Radiology of skeletal tuberculosis. Orthopedics 1998, 21, 1213–1220. [Google Scholar] [CrossRef] [PubMed]
- Hong, S.H.; Kim, S.M.; Ahn, J.M.; Chung, H.W.; Shin, M.J.; Kang, H.S. Tuberculous versus pyogenic arthritis: MR imaging evaluation. Radiology 2001, 218, 848–853. [Google Scholar] [CrossRef]
- Sharma, P. MR features of tuberculous osteomyelitis. Skeletal. Radiol. 2003, 32, 279–285. [Google Scholar] [CrossRef]
- Naselli, N.; Facchini, G.; Lima, G.M.; Evangelisti, G.; Ponti, F.; Miceli, M.; Spinnato, P. MRI in differential diagnosis between tuberculous and pyogenic spondylodiscitis. Eur. Spine J. 2021. [Google Scholar] [CrossRef]
- Khanna, G.; Sato, T.S.; Ferguson, P. Imaging of chronic recurrent multifocal osteomyelitis. Radiographics 2009, 29, 1159–1177. [Google Scholar] [CrossRef]
- Borzutzky, A.; Stern, S.; Reiff, A.; Zurakowski, D.; Steinberg, E.A.; Dedeoglu, F.; Sundel, R.P. Pediatric chronic nonbacterial osteomyelitis. Pediatrics 2012, 130, e1190–e1197. [Google Scholar] [CrossRef] [Green Version]
- Schnabel, A.; Range, U.; Hahn, G.; Siepmann, T.; Berner, R.; Hedrich, C.M. Unexpectedly high incidences of chronic non-bacterial as compared to bacterial osteomyelitis in children. Rheumatol. Int. 2016, 36, 1737–1745. [Google Scholar] [CrossRef] [PubMed]
- Duffy, C.M.; Lam, P.Y.; Ditchfield, M.; Allen, R.; Graham, H.K. Chronic recurrent multifocal osteomyelitis: Review of orthopaedic complications at maturity. J. Pediatr. Orthop. 2002, 22, 501–505. [Google Scholar] [CrossRef]
- Hofmann, C.; Wurm, M.; Schwarz, T.; Neubauer, H.; Beer, M.; Girschick, H.; Morbach, H. A standardized clinical and radiological follow-up of patients with chronic non-bacterial osteomyelitis treated with pamidronate. Clin. Exp. Rheumatol. 2014, 32, 604–609. [Google Scholar]
- Jurik, A.G.; Egund, N. MRI in chronic recurrent multifocal osteomyelitis. Skeletal. Radiol. 1997, 26, 230–238. [Google Scholar] [CrossRef]
- Morbach, H.; Schneider, P.; Schwarz, T.; Hofmann, C.; Raab, P.; Neubauer, H.; Düren, C.; Beer, M.; Girschick, H.J. Comparison of magnetic resonance imaging and 99mTechnetium-labelled methylene diphosphonate bone scintigraphy in the initial assessment of chronic non-bacterial osteomyelitis of childhood and adolescents. Clin. Exp. Rheumatol. 2012, 30, 578–582. [Google Scholar] [PubMed]
- Korchi, A.M.; Hanquinet, S.; Anooshiravani, M.; Merlini, L. Whole-body magnetic resonance imaging: An essential tool for diagnosis and work up of non-oncological systemic diseases in children. Minerva Pediatr. 2014, 66, 169–176. [Google Scholar]
- Andronikou, S.; Kraft, J.K.; Offiah, A.C.; Jones, J.; Douis, H.; Thyagarajan, M.; Barrera, C.A.; Zouvani, A.; Ramanan, A.V. Whole-body MRI in the diagnosis of paediatric CNO/CRMO. Rheumatology (Oxford) 2020, 59, 2671–2680. [Google Scholar] [CrossRef] [PubMed]
- Merlini, L.; Carpentier, M.; Ferrey, S.; Anooshiravani, M.; Poletti, P.A.; Hanquinet, S. Whole-body MRI in children: Would a 3D STIR sequence alone be sufficient for investigating common paediatric conditions? A comparative study. Eur. J. Radiol. 2017, 88, 155–162. [Google Scholar] [CrossRef]
- Sconfienza, L.M.; Signore, A.; Cassar-Pullicino, V.; Cataldo, M.A.; Gheysens, O.; Borens, O.; Trampuz, A.; Wörtler, K.; Petrosillo, N.; Winkler, H.; et al. Diagnosis of peripheral bone and prosthetic joint infections: Overview on the consensus documents by the EANM, EBJIS, and ESR (with ESCMID endorsement). Eur. Radiol. 2019, 29, 6425–6438. [Google Scholar] [CrossRef]
- Sollini, M.; Berchiolli, R.; Kirienko, M.; Rossi, A.; Glaudemans, A.W.J.M.; Slart, R.; Erba, P.A. PET/MRI in Infection and Inflammation. Semin. Nucl. Med. 2018, 48, 225–241. [Google Scholar] [CrossRef]
- Turgut, M. Complete recovery of acute paraplegia due to pyogenic thoracic spondylodiscitis with an epidural abscess. Acta Neurochir. (Wien) 2008, 150, 381–386. [Google Scholar] [CrossRef]
- Ferroir, J.P.; Lescure, F.X.; Giannesini, C.; Elghozi, D.; Marro, B. Paraplegia associated with intramedullary spinal cord and epidural abcesses, meningitis and spondylodiscitis (Staphylococcus aureus). Rev. Neurol. (Paris) 2012, 168, 868–872. [Google Scholar] [CrossRef] [PubMed]
- Mathews, C.J.; Weston, V.C.; Jones, A.; Field, M.; Coakley, G. Bacterial septic arthritis in adults. Lancet 2010, 375, 846–855. [Google Scholar] [CrossRef]
- Natsuhara, K.M.; Shelton, T.J.; Meehan, J.P.; Lum, Z.C. Mortality During Total Hip Periprosthetic Joint Infection. J. Arthroplast. 2019, 34, S337–S342. [Google Scholar] [CrossRef]
- Westhovens, I.; Schalck, N.; Van Keerberghen, C.A.; Vanden Abeele, M.E. Delay in accurate diagnostics during the COVID-19 pandemic: A case of fatal MSSA disseminated infection in an elder patient. Tijdschr. Gerontol. Geriatr. 2021, 52. [Google Scholar] [CrossRef]







| X-Ray | Ultrasonography | CT-Scan | MRI | Nuclear Medicine | |
|---|---|---|---|---|---|
| Acute Osteomyelitis |
|
|
|
|
|
| Septic Arthritis |
|
|
|
|
|
| Chronic Osteomyelitis |
|
|
|
|
|
| Brodie’s abscess |
|
|
|
|
|
| Diabetic foot osteomyelitis |
|
|
|
|
|
| Prosthetic Infections |
|
|
|
|
|
| Fracture related infection |
|
|
|
|
|
| Spondylodiscitis |
|
|
|
|
|
| Tuberculosis arthritis |
|
|
|
|
|
| Chronic recurrent multifocal osteomyelitis |
|
|
| ||
Publisher’s Note: MDPI stays neutral with regard to jurisdictional claims in published maps and institutional affiliations. |
© 2021 by the authors. Licensee MDPI, Basel, Switzerland. This article is an open access article distributed under the terms and conditions of the Creative Commons Attribution (CC BY) license (https://creativecommons.org/licenses/by/4.0/).
Share and Cite
Sambri, A.; Spinnato, P.; Tedeschi, S.; Zamparini, E.; Fiore, M.; Zucchini, R.; Giannini, C.; Caldari, E.; Crombé, A.; Viale, P.; et al. Bone and Joint Infections: The Role of Imaging in Tailoring Diagnosis to Improve Patients’ Care. J. Pers. Med. 2021, 11, 1317. https://doi.org/10.3390/jpm11121317
Sambri A, Spinnato P, Tedeschi S, Zamparini E, Fiore M, Zucchini R, Giannini C, Caldari E, Crombé A, Viale P, et al. Bone and Joint Infections: The Role of Imaging in Tailoring Diagnosis to Improve Patients’ Care. Journal of Personalized Medicine. 2021; 11(12):1317. https://doi.org/10.3390/jpm11121317
Chicago/Turabian StyleSambri, Andrea, Paolo Spinnato, Sara Tedeschi, Eleonora Zamparini, Michele Fiore, Riccardo Zucchini, Claudio Giannini, Emilia Caldari, Amandine Crombé, Pierluigi Viale, and et al. 2021. "Bone and Joint Infections: The Role of Imaging in Tailoring Diagnosis to Improve Patients’ Care" Journal of Personalized Medicine 11, no. 12: 1317. https://doi.org/10.3390/jpm11121317
APA StyleSambri, A., Spinnato, P., Tedeschi, S., Zamparini, E., Fiore, M., Zucchini, R., Giannini, C., Caldari, E., Crombé, A., Viale, P., & De Paolis, M. (2021). Bone and Joint Infections: The Role of Imaging in Tailoring Diagnosis to Improve Patients’ Care. Journal of Personalized Medicine, 11(12), 1317. https://doi.org/10.3390/jpm11121317

