Giant Hepatic Artery Aneurysm
Abstract
1. Introduction
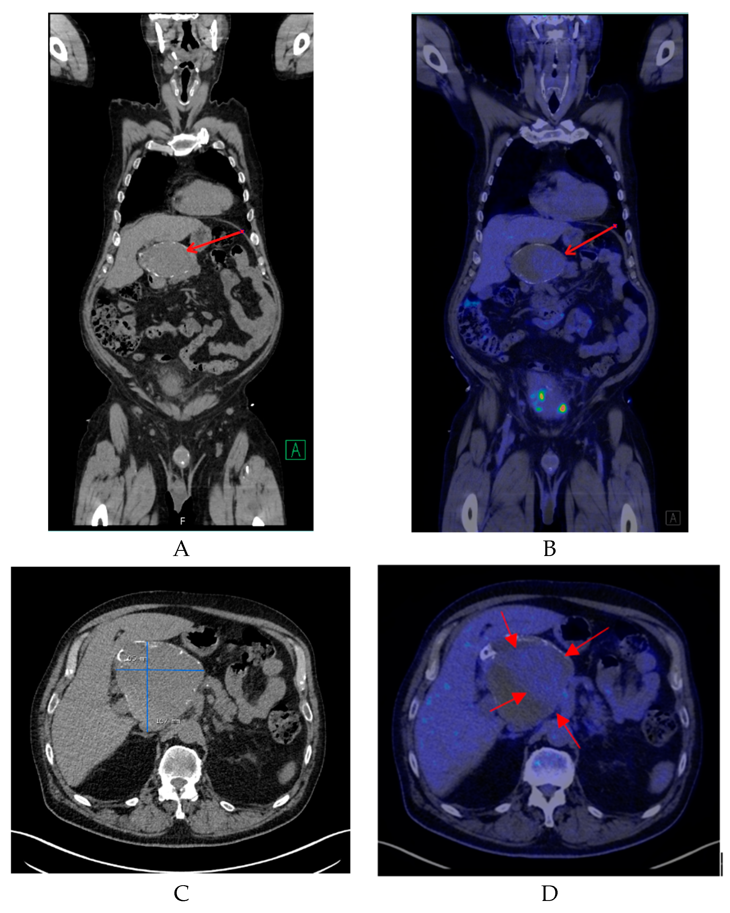
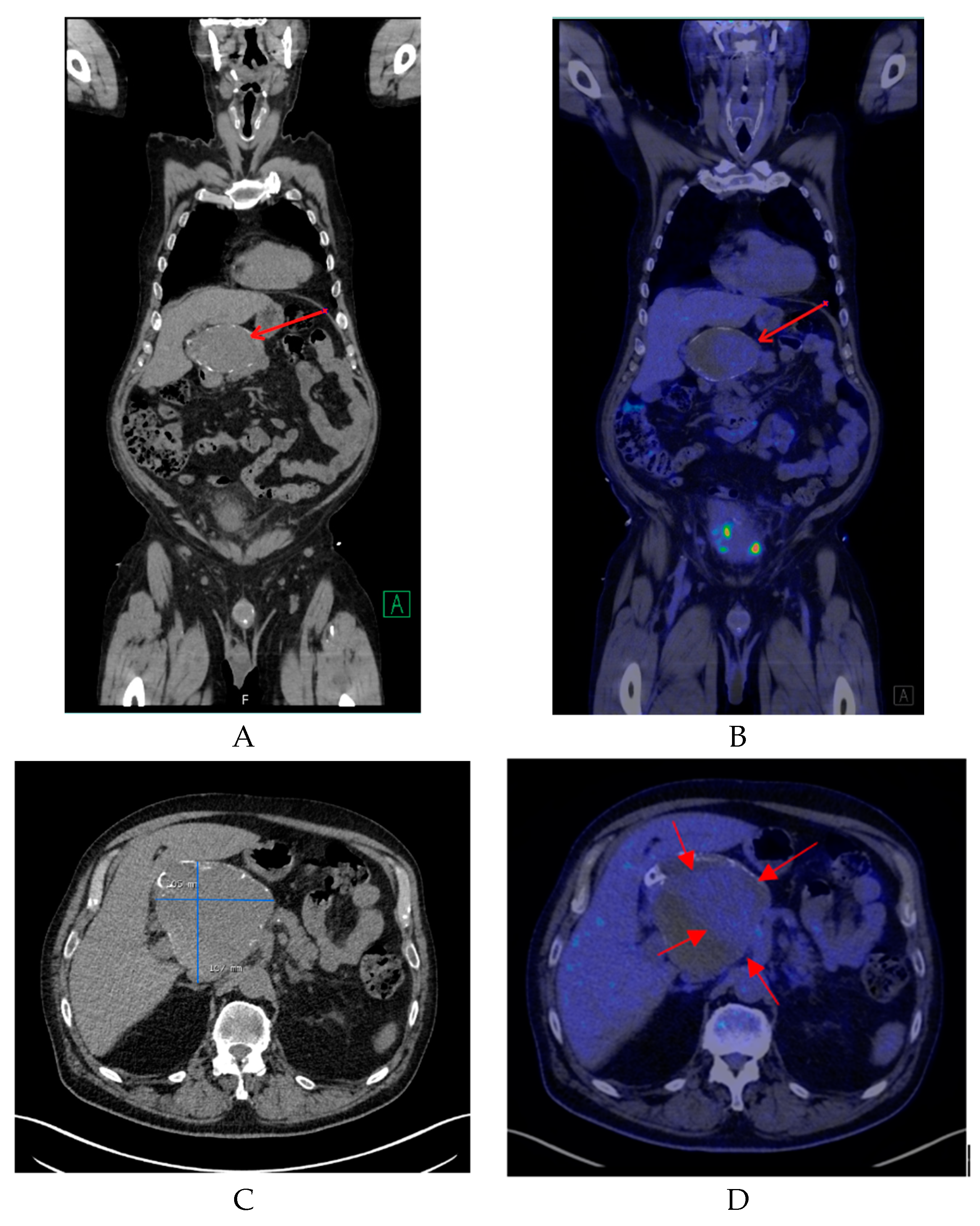
2. Case Report
3. Discussion
Funding
Acknowledgments
Conflicts of Interest
References
- Imazuru, T.; Uchiyama, M.; Matsuyama, S.; Iida, M.; Shimokawa, T. Surgical treatment of a huge hepatic artery aneurysm without revascularization—Case Report. Int. J. Surg. Case Rep. 2018, 51, 95–98. [Google Scholar] [CrossRef] [PubMed]
- Pasha, S.F.; Gloviczki, P.; Stanson, A.W.; Kamath, P.S. Splanchnic Artery Aneurysms. Mayo Clin. Proc. 2007, 82, 472–479. [Google Scholar] [CrossRef] [PubMed]
- Abbas, M.A.; Fowl, R.J.; Stone, W.M.; Panneton, J.M.; Oldenburg, W.A.; Bower, T.C.; Cherry, K.J.; Gloviczki, P. Hepatic artery aneurysm: Factors that predict complications. J. Vasc. Surg. 2003, 38, 41–45. [Google Scholar] [CrossRef]
- Palubinskas, S.; Rasmussen, S.L. Hepatic artery aneurysm causing gastrointestinal haemorrhage—Case report and literature review. Int. J. Surg. Case Rep. 2017, 41, 12–16. [Google Scholar] [CrossRef] [PubMed]
- Zhang, X.; Stueck, A.E.; Florman, S.; Thung, S.N.; Lewis, S. Multifocal Intrahepatic Artery Aneurysm with FDG-avid Thrombosis Simulating Metastasis: Report of a Rare Case. J. Clin. Exp. Hepatol. 2016, 6, 321–325. [Google Scholar] [CrossRef] [PubMed][Green Version]
- Lee, D.; Chung, B.H.; Heo, S.H.; Park, Y.J.; Kim, D.I. Case Report of a Large Common Hepatic Artery Aneurysm. Ann. Vasc. Surg. 2018, 52, 316.e11–316.e13. [Google Scholar] [CrossRef] [PubMed]
- O’Driscoll, D.; Olliff, S.P.; Olliff, J.F. Hepatic artery aneurysm. Br. J. Radiol. 1999, 72, 1018–1025. [Google Scholar] [CrossRef] [PubMed]
- Kim, J.H.; Rha, S.E.; Chun, H.J.; Kim, Y.S.; Oh, S.N.; Lee, Y.J.; Byun, J.Y.; Moon, I.S. Giant aneurysm of the common hepatic artery: US and CT imaging findings. Abdom. Imaging 2010, 35, 212–214. [Google Scholar] [CrossRef] [PubMed]
- Wang, J.; Qi, S.; Cabalag, C.; Chuen, J. Endovascular embolization of a giant hepatic artery aneurysm. ANZ J. Surg. 2018. [Google Scholar] [CrossRef] [PubMed]
- Julianov, A.; Georgiev, Y. Hepatic artery aneurysm causing obstructive jaundice. Quant. Imaging Med. Surg. 2014, 4, 294–295. [Google Scholar] [PubMed]
- Lu, M.; Weiss, C.; Fishman, E.K.; Johnson, P.T.; Verde, F. Review of visceral aneurysms and pseudoaneurysms. J. Comput. Assist. Tomogr. 2015, 39, 1–6. [Google Scholar] [CrossRef] [PubMed]
- Van Walraven, C.; Wong, J.; Morant, K.; Jennings, A.; Austin, P.C.; Jetty, P.; Forster, A.J. Radiographic monitoring of incidental abdominal aortic aneurysms: A retrospective population-based cohort study. Open Med. 2011, 5, e67–e76. [Google Scholar] [PubMed]
- Al-Thani, H.; El-Menyar, A.; Shabana, A.; Tabeb, A.; Al-Sulaiti, M.; Almalki, A. Incidental abdominal aneurysms: A retrospective study of 13,115 patients who underwent a computed tomography scan. Angiology 2014, 65, 388–395. [Google Scholar] [CrossRef] [PubMed]
- Muzaffar, R.; Kudva, G.; Nguyen, N.C.; Osman, M.M. Incidental diagnosis of thrombus within an aneurysm on 18F-FDG PET/CT: Frequency in 926 patients. J. Nucl. Med. 2011, 52, 1408–1411. [Google Scholar] [CrossRef] [PubMed][Green Version]
- Bachar, G.N.; Belenky, A.; Lubovsky, L.; Neuman-Levine, M. Sonographic diagnosis of a giant aneurysm of the common hepatic artery. J. Clin. Ultrasound 2002, 30, 300–302. [Google Scholar] [CrossRef] [PubMed]
- Parmar, H.; Shah, J.; Shah, B.; Patkar, D.; Varma, R. Imaging findings in a giant hepatic artery aneurysm. J. Postgrad. Med. 2000, 46, 104–105. [Google Scholar] [PubMed]
- Cimsit, B.; Ozden, I.; Emre, A.S. A rare intraabdominal tumor: Giant hepatic artery aneurysm. J. Med. Investing. 2006, 53, 174–176. [Google Scholar] [CrossRef][Green Version]
- Bernal, A.D.; Loures, P.; Calle, J.C.; Cunha, B.; Cordoba, J.C. Right hepatic artery aneurysm. Rev. Col. Bras. Cir. 2016, 43, 401–403. [Google Scholar] [CrossRef] [PubMed][Green Version]
- Ferrara, D.; Giribono, A.M.; Viviani, E.; Padricelli, A.; Santagata, A.; Del Guercio, L. Endovascular management of a large hepatic artery aneurysm. Clin. Ter. 2017, 168, e178–e180. [Google Scholar] [PubMed]


© 2019 by the authors. Licensee MDPI, Basel, Switzerland. This article is an open access article distributed under the terms and conditions of the Creative Commons Attribution (CC BY) license (http://creativecommons.org/licenses/by/4.0/).
Share and Cite
Gossili, F.; Zacho, H.D. Giant Hepatic Artery Aneurysm. Diagnostics 2019, 9, 53. https://doi.org/10.3390/diagnostics9020053
Gossili F, Zacho HD. Giant Hepatic Artery Aneurysm. Diagnostics. 2019; 9(2):53. https://doi.org/10.3390/diagnostics9020053
Chicago/Turabian StyleGossili, Farid, and Helle D. Zacho. 2019. "Giant Hepatic Artery Aneurysm" Diagnostics 9, no. 2: 53. https://doi.org/10.3390/diagnostics9020053
APA StyleGossili, F., & Zacho, H. D. (2019). Giant Hepatic Artery Aneurysm. Diagnostics, 9(2), 53. https://doi.org/10.3390/diagnostics9020053

