Intraoperative Lung Ultrasound in the Detection of Pulmonary Nodules: A Valuable Tool in Thoracic Surgery
Abstract
1. Introduction
1.1. Ultrasound Evolution Through History
1.2. Basic Physiology of Lung Ultrasound
1.3. Lung Ultrasound, Applications, and Transthoracic Ultrasound
1.4. Normal Patterns in Lung Ultrasound
1.5. LUS and Lung Nodules
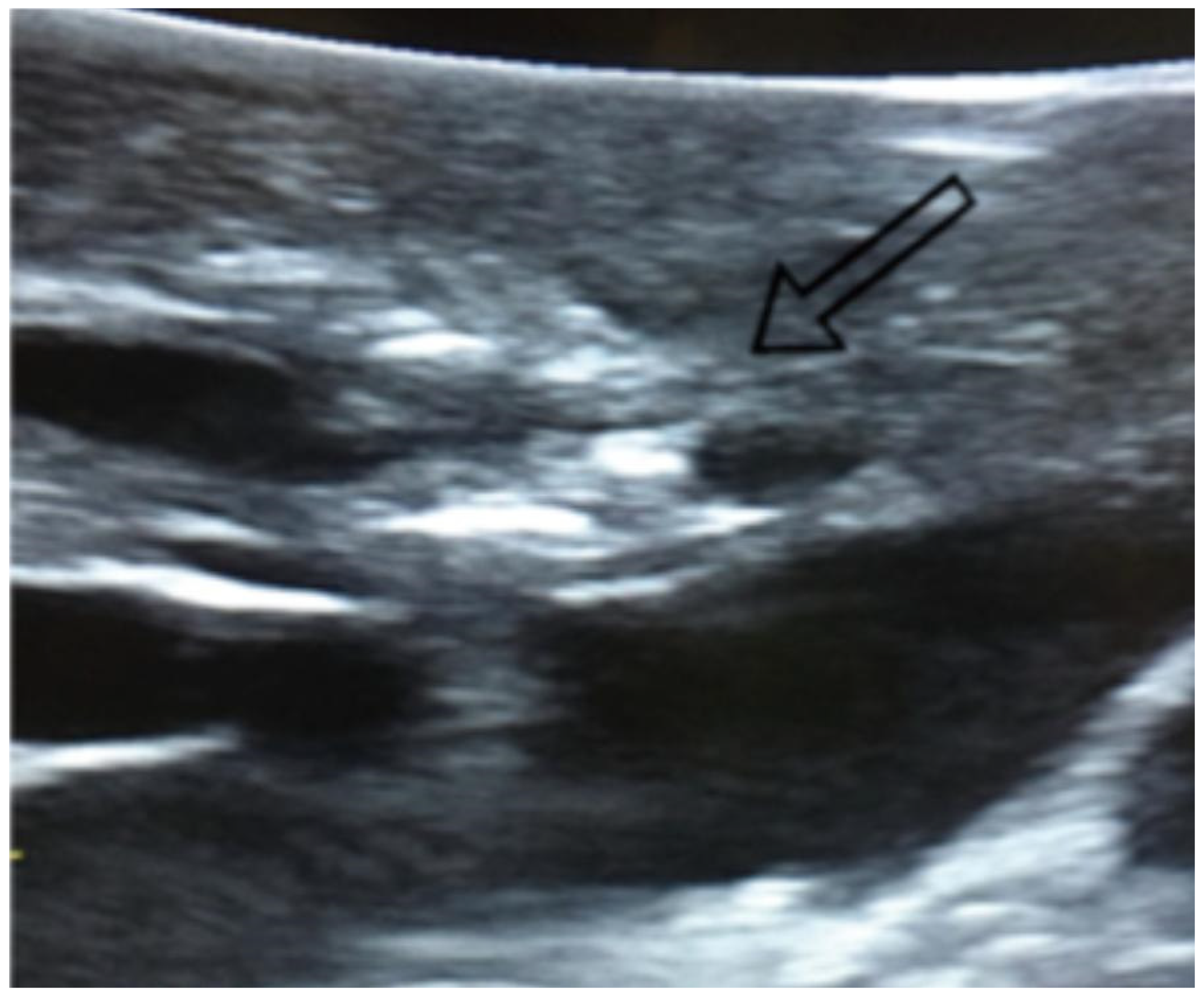
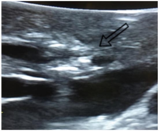
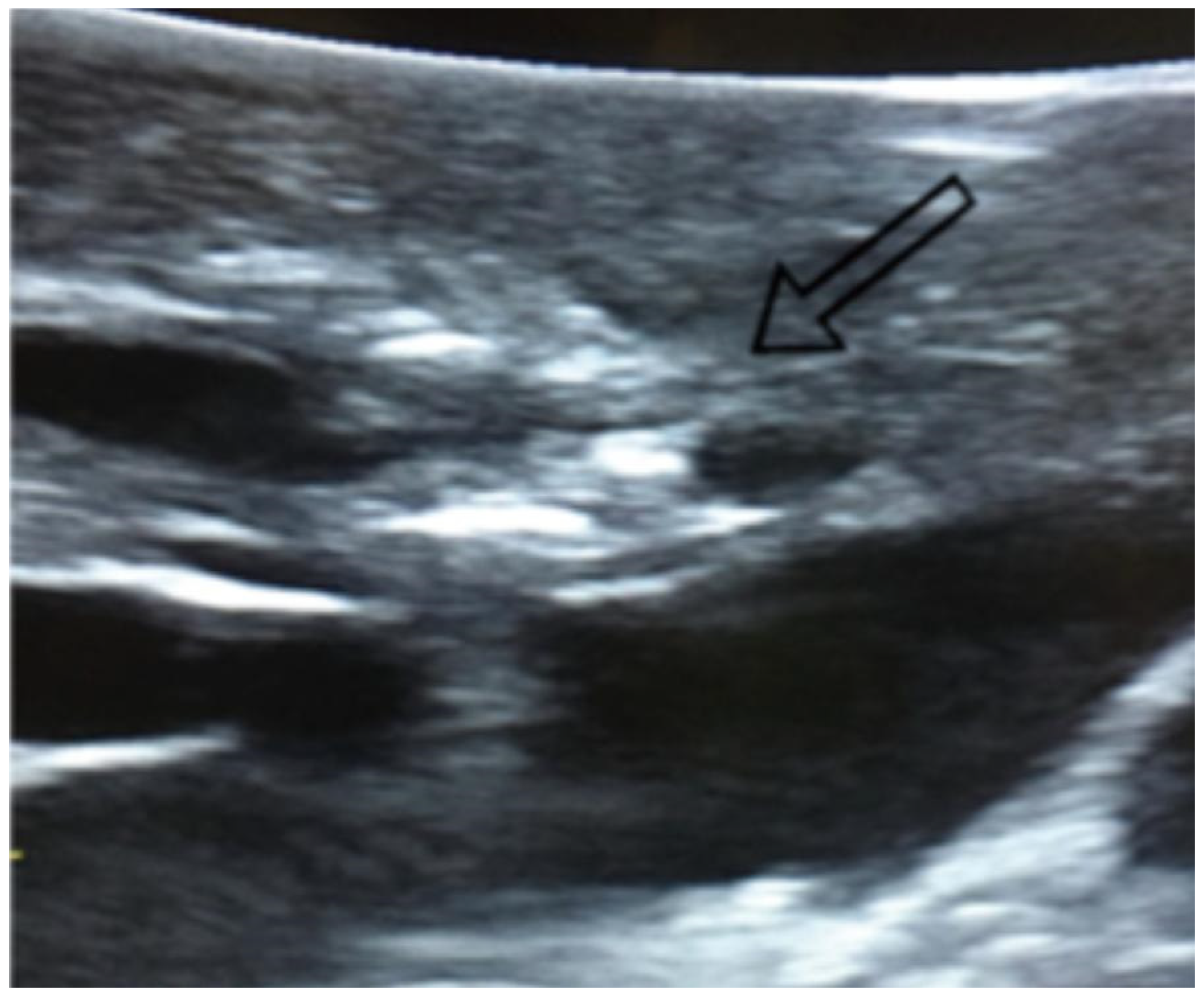
2. Intraoperative Lung Ultrasound (ILU) for Assistance of Lung Nodules
2.1. Advantages of ILU
2.2. Limitations of ILU
2.3. ILU vs. Other Techniques for Pulmonary Nodule Localization
3. Discussion
4. Future Directions and Conclusions
Author Contributions
Funding
Acknowledgments
Conflicts of Interest
References
- Mongodi, S.; De Luca, D.; Colombo, A.; Stella, A.; Santangelo, E.; Corradi, F.; Gargani, L.; Rovida, S.; Volpicelli, G.; Bouhemad, B.; et al. Quantitative Lung Ultrasound: Technical Aspects and Clinical Applications. Anesthesiology 2021, 134, 949–965. [Google Scholar] [CrossRef] [PubMed]
- Zieleskiewicz, L.; Muller, L.; Lakhal, K.; Meresse, Z.; Arbelot, C.; Bertrand, P.-M.; Bouhemad, B.; Cholley, B.; Demory, D.; Duperret, S.; et al. Point-of-Care Ultrasound in Intensive Care Units: Assessment of 1073 Procedures in a Multicentric, Prospective, Observational Study. Intensive Care Med. 2015, 41, 1638–1647. [Google Scholar] [CrossRef] [PubMed]
- Mojoli, F.; Bouhemad, B.; Mongodi, S.; Lichtenstein, D. Lung Ultrasound for Critically Ill Patients. Am. J. Respir. Crit. Care Med. 2019, 199, 701–714. [Google Scholar] [CrossRef] [PubMed]
- Mayo, P.H.; Copetti, R.; Feller-Kopman, D.; Mathis, G.; Maury, E.; Mongodi, S.; Mojoli, F.; Volpicelli, G.; Zanobetti, M. Thoracic Ultrasonography: A Narrative Review. Intensive Care Med. 2019, 45, 1200–1211. [Google Scholar] [CrossRef]
- Dietrich, C.F.; Görg, C.; Horn, R.; Prosch, H.; Safai Zadeh, E.; Jenssen, C. Ultrasound of the lung. Ultraschall Med. 2023, 44, 582–599. [Google Scholar] [CrossRef]
- Lichtenstein, D. Lung Ultrasound in the Critically Ill. Curr. Opin. Crit. Care 2014, 20, 315–322. [Google Scholar] [CrossRef]
- Haaksma, M.E.; Smit, J.M.; Heldeweg, M.L.A.; Nooitgedacht, J.S.; De Grooth, H.J.; Jonkman, A.H.; Girbes, A.R.J.; Heunks, L.; Tuinman, P.R. Extended Lung Ultrasound to Differentiate Between Pneumonia and Atelectasis in Critically Ill Patients: A Diagnostic Accuracy Study. Crit. Care Med. 2022, 50, 750–759. [Google Scholar] [CrossRef]
- Miller, L.E.; Stoller, J.Z.; Fraga, M.V. Point-of-Care Ultrasound in the Neonatal ICU. Curr. Opin. Pediatr. 2020, 32, 216–227. [Google Scholar] [CrossRef]
- Calvo-Cebrián, A.; Alonso-Roca, R.; Rodriguez-Contreras, F.J.; Rodríguez-Pascual, M.D.L.N.; Calderín-Morales, M.D.P. Usefulness of Lung Ultrasound Examinations Performed by Primary Care Physicians in Patients With Suspected COVID-19. J. Ultrasound Med. 2021, 40, 741–750. [Google Scholar] [CrossRef]
- Moore, C.L.; Copel, J.A. Point-of-Care Ultrasonography. N. Engl. J. Med. 2011, 364, 749–757. [Google Scholar] [CrossRef]
- Newman, P.G.; Rozycki, G.S. The History of Ultrasound. Surg. Clin. N. Am. 1998, 78, 179–195. [Google Scholar] [CrossRef] [PubMed]
- Katsi, V.; Felekos, I.; Kallikazaros, I. Christian Andreas Doppler: A Legendary Man Inspired by the Dazzling Light of the Stars. Hippokratia 2013, 17, 113–114. [Google Scholar]
- Coman, I. Christian Andreas Doppler ? The Man and His Legacy. Eur. J. Echocardiogr. 2005, 6, 7–10. [Google Scholar] [CrossRef]
- PubMed. “On the Colored Light of Double Stars and Certain Other Stars of Heaven” and What Happened Hence. Available online: https://pubmed.ncbi.nlm.nih.gov/15146859/ (accessed on 25 December 2024).
- Eisenberg, R.L. Radiology: An Illustrated History; Mosby Year Book: St. Louis, MO, USA, 1992. [Google Scholar]
- Bell, D.; Nadrljanski, M. History of Ultrasound in Medicine; Radiopaedia.org: Cotham, VIC, Australia, 2010. [Google Scholar] [CrossRef]
- Dietrich, C.F.; Bolondi, L.; Duck, F.; Evans, D.H.; Ewertsen, C.; Fraser, A.G.; Gilja, O.H.; Jenssen, C.; Merz, E.; Nolsoe, C.; et al. History of Ultrasound in Medicine from Its Birth to Date (2022), on Occasion of the 50 Years Anniversary of EFSUMB. A Publication of the European Federation of Societies for Ultrasound In Medicine and Biology (EFSUMB), Designed to Record the Historical Development of Medical Ultrasound. Med. Ultrason. 2022, 24, 434. [Google Scholar] [CrossRef]
- Maeda, K. History of Medical Ultrasound. Donald Sch. J. Ultrasound Obstet. Gynecol. 2017, 11, 91–100. [Google Scholar] [CrossRef]
- Donald, I. Ultrasonic Echo Sounding in Obstetrical and Gynecological Diagnosis. Am. J. Obstet. Gynecol. 1965, 93, 935–941. [Google Scholar] [CrossRef]
- Donald, I. Use of Ultrasonics in Diagnosis of Abdominal Swellings. Br. Med. J. 1963, 2, 1154. [Google Scholar] [CrossRef]
- Ross, A.M.; Genton, E.; Holmes, J.H. Ultrasonic Examination of the Lung. J. Lab. Clin. Med. 1968, 72, 556–564. [Google Scholar]
- Joyner, C.R. Reflected Ultrasound in the Detection and Localization of Pleural Effusion. JAMA 1967, 200, 399. [Google Scholar] [CrossRef]
- History of Ultrasound in Obstetrics and Gynecology, Part 1. Available online: https://www.ob-ultrasound.net/history1.html (accessed on 25 December 2024).
- Hoskins, P.R. Principles of Doppler Ultrasound. In Diagnostic Ultrasound, 3rd ed.; Hoskins, P.R., Martin, K., Thrush, A., Eds.; CRC Press/Taylor & Francis Group: Boca Raton, FL, USA, 2019; pp. 143–158. [Google Scholar] [CrossRef]
- Picano, E.; Scali, M.C.; Ciampi, Q.; Lichtenstein, D. Lung Ultrasound for the Cardiologist. JACC Cardiovasc. Imaging 2018, 11, 1692–1705. [Google Scholar] [CrossRef]
- Thomas, A.M.K.; Kalender, W.A.; Banerjee, A.K.; Busch, U. Classic Papers in Modern Diagnostic Radiology; Springer: Berlin/Heidelberg, Germany, 2004. [Google Scholar]
- Nelson, B.P.; Chason, K. Use of Ultrasound by Emergency Medical Services: A Review. Int. J. Emerg. Med. 2008, 1, 253–259. [Google Scholar] [CrossRef]
- Goffi, A.; Al-Amoodi, A.; Buchanan, B. Principles of Doppler Ultrasonography and Basic Applications for the Clinician. Med. Clin. N. Am. 2025, 109, 217–236. [Google Scholar] [CrossRef]
- Sekiya, M. Chest Ultrasound for Lung Cancer: Present and Future. J. Med. Ultrason. 2024, 51, 393–395. [Google Scholar] [CrossRef] [PubMed]
- Lichtenstein, D.; Mezière, G. A Lung Ultrasound Sign Allowing Bedside Distinction between Pulmonary Edema and COPD: The Comet-Tail Artifact. Intensive Care Med. 1998, 24, 1331–1334. [Google Scholar] [CrossRef]
- Lichtenstein, D.A.; Menu, Y. A Bedside Ultrasound Sign Ruling Out Pneumothorax in the Critically III. Chest 1995, 108, 1345–1348. [Google Scholar] [CrossRef] [PubMed]
- Lichtenstein, D.; Mézière, G.; Biderman, P.; Gepner, A.; Barré, O. The Comet-Tail Artifact: An Ultrasound Sign of Alveolar-Interstitial Syndrome. Am. J. Respir. Crit. Care Med. 1997, 156, 1640–1646. [Google Scholar] [CrossRef] [PubMed]
- Huang, Y.-H.; Chen, K.-C.; Chen, J.-S. Ultrasound for Intraoperative Localization of Lung Nodules during Thoracoscopic Surgery. Ann. Transl. Med. 2019, 7, 37. [Google Scholar] [CrossRef]
- Santambrogio, R.; Montorsi, M.; Bianchi, P.; Mantovani, A.; Ghelma, F.; Mezzetti, M. Intraoperative Ultrasound during Thoracoscopic Procedures for Solitary Pulmonary Nodules. Ann. Thorac. Surg. 1999, 68, 218–222. [Google Scholar] [CrossRef]
- Lesser, T. Significance of Thoracic and Lung Ultrasound in Thoracic Surgery. Ultraschall Med. 2017, 38, 592–610. [Google Scholar] [CrossRef]
- Santoro, G.A.; Di Falco, G. Basic Principles of Ultrasonography. In Atlas of Endoanal and Endorectal Ultrasonography; Springer: Milan, Italy, 2004; pp. 1–8. [Google Scholar] [CrossRef]
- Saber, A.A.; Saber, A. Therapeutic Ultrasound: Physiological Role, Clinical Applications and Precautions. J. Surg. 2017, 5, 61–69. [Google Scholar] [CrossRef]
- Szabo, T.L. Chapter 2—Overview. In Diagnostic Ultrasound Imaging: Inside Out, 2nd ed.; Szabo, T.L., Ed.; Academic Press: Boston, MA, USA, 2014; pp. 39–54. [Google Scholar] [CrossRef]
- Patey, S.J.; Corcoran, J.P. Physics of Ultrasound. Anaesth. Intensive Care Med. 2023, 24, 794–799. [Google Scholar] [CrossRef]
- Taurchini, M.; Quarato, C.; Frongillo, E.; Ferretti, G.; Cipriani, C.; Bizzarri, M.; Foschino Barbaro, M.; Lacedonia, D.; Simeone, A.; Graziano, P.; et al. Intraoperative Lung Ultrasound (ILU) for the Assessment of Pulmonary Nodules. Diagnostics 2021, 11, 1691. [Google Scholar] [CrossRef]
- Eagle, M. Doppler Ultrasound—Basics Revisited. Br. J. Nurs. 2006, 15 (Suppl. S2), S24–S30. [Google Scholar] [CrossRef] [PubMed]
- Bricker, L.; Neilson, J. Routine Doppler Ultrasound in Pregnancy. In The Cochrane Database of Systematic Reviews; The Cochrane Collaboration, Ed.; John Wiley & Sons, Ltd.: Chichester, UK, 2000; p. CD001450. [Google Scholar] [CrossRef]
- Spacek, M.; Sorrell, V.; Veselka, J. Transcranial Doppler Ultrasound in the Current Era of Carotid Artery Stenting. Ultraschall Med. 2014, 36, 337–341. [Google Scholar] [CrossRef]
- Burghuber, O.C. Doppler Assessment of Pulmonary Haemodynamics in Chronic Hypoxic Lung Disease. Thorax 1996, 51, 9–12. [Google Scholar] [CrossRef]
- Stassen, J.; Bax, J.J. How to Do Lung Ultrasound. Eur. Heart J. Cardiovasc. Imaging 2022, 23, 447–449. [Google Scholar] [CrossRef]
- Haggag, Y.I.; Mashhour, K.; Ahmed, K.; Samir, N.; Radwan, W. Effectiveness of Lung Ultrasound in Comparison with Chest X-Ray in Diagnosis of Lung Consolidation. Open Access Maced. J. Med. Sci. 2019, 7, 2457–2461. [Google Scholar] [CrossRef] [PubMed]
- Hernandez-Morgan, M.; Disque, A.; Poorsattar, S.; Neelankavil, J. An Introduction to Lung Ultrasound. Int. Anesthesiol. Clin. 2022, 60, 34–40. [Google Scholar] [CrossRef] [PubMed]
- Staub, L.J.; Mazzali Biscaro, R.R.; Kaszubowski, E.; Maurici, R. Lung Ultrasound for the Emergency Diagnosis of Pneumonia, Acute Heart Failure, and Exacerbations of Chronic Obstructive Pulmonary Disease/Asthma in Adults: A Systematic Review and Meta-Analysis. J. Emerg. Med. 2019, 56, 53–69. [Google Scholar] [CrossRef]
- Balik, M.; Plasil, P.; Waldauf, P.; Pazout, J.; Fric, M.; Otahal, M.; Pachl, J. Ultrasound Estimation of Volume of Pleural Fluid in Mechanically Ventilated Patients. Intensive Care Med. 2006, 32, 318. [Google Scholar] [CrossRef]
- Teichgräber, U.K.-M.; Hackbarth, J. Sonographic Bedside Quantification of Pleural Effusion Compared to Computed Tomography Volumetry in ICU Patients. Ultrasound Int. Open 2018, 4, E131–E135. [Google Scholar] [CrossRef] [PubMed]
- Vignon, P.; Chastagner, C.; Berkane, V.; Chardac, E.; François, B.; Normand, S.; Bonnivard, M.; Clavel, M.; Pichon, N.; Preux, P.-M.; et al. Quantitative Assessment of Pleural Effusion in Critically Ill Patients by Means of Ultrasonography. Crit. Care Med. 2005, 33, 1757–1763. [Google Scholar] [CrossRef]
- Lichtenstein, D.A.; Mezière, G.A. Relevance of Lung Ultrasound in the Diagnosis of Acute Respiratory Failure: The BLUE Protocol. Chest 2008, 134, 117–125. [Google Scholar] [CrossRef]
- Dietrich, C.F.; Mathis, G.; Blaivas, M.; Volpicelli, G.; Seibel, A.; Wastl, D.; Atkinson, N.S.S.; Cui, X.-W.; Fan, M.; Yi, D. Lung B-Line Artefacts and Their Use. J. Thorac. Dis. 2016, 8, 1356–1365. [Google Scholar] [CrossRef]
- Tsai, T.-H.; Jerng, J.-S.; Yang, P.-C. Clinical Applications of Transthoracic Ultrasound in Chest Medicine. J. Med. Ultrasound 2008, 16, 7–25. [Google Scholar] [CrossRef]
- Sperandeo, M.; Rotondo, A.; Guglielmi, G.; Catalano, D.; Feragalli, B.; Trovato, G.M. Transthoracic Ultrasound in the Assessment of Pleural and Pulmonary Diseases: Use and Limitations. Radiol. Med. 2014, 119, 729–740. [Google Scholar] [CrossRef]
- Diacon, A.H.; Theron, J.; Bolliger, C.T. Transthoracic Ultrasound for the Pulmonologist. Curr. Opin. Pulm. Med. 2005, 11, 307–312. [Google Scholar] [CrossRef] [PubMed]
- Soldati, G.; Demi, M.; Smargiassi, A.; Inchingolo, R.; Demi, L. The Role of Ultrasound Lung Artifacts in the Diagnosis of Respiratory Diseases. Expert Rev. Respir. Med. 2019, 13, 163–172. [Google Scholar] [CrossRef] [PubMed]
- Volpicelli, G. Lung Ultrasound B-Lines in Interstitial Lung Disease. Chest 2020, 158, 1323–1324. [Google Scholar] [CrossRef]
- Dubinsky, T.J.; Shah, H.; Sonneborn, R.; Hippe, D.S. Correlation of B-Lines on Ultrasonography With Interstitial Lung Disease on Chest Radiography and CT Imaging. Chest 2017, 152, 990–998. [Google Scholar] [CrossRef]
- Haaksma, M.E.; Smit, J.M.; Heldeweg, M.L.A.; Pisani, L.; Elbers, P.; Tuinman, P.R. Lung Ultrasound and B-Lines: B Careful! Intensive Care Med. 2020, 46, 544–545. [Google Scholar] [CrossRef] [PubMed]
- Arbelot, C.; Ferrari, F.; Bouhemad, B.; Rouby, J.-J. Lung Ultrasound in Acute Respiratory Distress Syndrome and Acute Lung Injury. Curr. Opin. Crit. Care 2008, 14, 70–74. [Google Scholar] [CrossRef] [PubMed]
- Volpicelli, G.; Silva, F.; Radeos, M. Real-Time Lung Ultrasound for the Diagnosis of Alveolar Consolidation and Interstitial Syndrome in the Emergency Department. Eur. J. Emerg. Med. 2010, 17, 63–72. [Google Scholar] [CrossRef] [PubMed]
- Lichtenstein, D.; Mezière, G.; Seitz, J. The Dynamic Air Bronchogram. A Lung Ultrasound Sign of Alveolar Consolidation Ruling out Atelectasis. Chest 2009, 135, 1421–1425. [Google Scholar] [CrossRef]
- Lichtenstein, D.A.; Lascols, N.; Mezière, G.; Gepner, A. Ultrasound Diagnosis of Alveolar Consolidation in the Critically Ill. Intensive Care Med. 2004, 30, 276–281. [Google Scholar] [CrossRef]
- Peris, A.; Tutino, L.; Zagli, G.; Batacchi, S.; Cianchi, G.; Spina, R.; Bonizzoli, M.; Migliaccio, L.; Perretta, L.; Bartolini, M.; et al. The Use of Point-of-Care Bedside Lung Ultrasound Significantly Reduces the Number of Radiographs and Computed Tomography Scans in Critically Ill Patients. Anesth. Analg. 2010, 111, 687–692. [Google Scholar] [CrossRef]
- Volpicelli, G.; Elbarbary, M.; Blaivas, M.; Lichtenstein, D.A.; Mathis, G.; Kirkpatrick, A.W.; Melniker, L.; Gargani, L.; Noble, V.E.; Via, G.; et al. International Evidence-Based Recommendations for Point-of-Care Lung Ultrasound. Intensive Care Med. 2012, 38, 577–591. [Google Scholar] [CrossRef]
- Sajadieh, H.; Afzali, F.; Sajadieh, V.; Sajadieh, A. Ultrasound as an Alternative to Aspiration for Determining the Nature of Pleural Effusion, Especially in Older People. Ann. N. Y. Acad. Sci. 2004, 1019, 585–592. [Google Scholar] [CrossRef]
- Beshara, M.; Bittner, E.A.; Goffi, A.; Berra, L.; Chang, M.G. Nuts and Bolts of Lung Ultrasound: Utility, Scanning Techniques, Protocols, and Findings in Common Pathologies. Crit. Care 2024, 28, 328. [Google Scholar] [CrossRef]
- Lichtenstein, D.; Hulot, J.S.; Rabiller, A.; Tostivint, I.; Mezière, G. Feasibility and Safety of Ultrasound-Aided Thoracentesis in Mechanically Ventilated Patients. Intensive Care Med. 1999, 25, 955–958. [Google Scholar] [CrossRef]
- Kirkpatrick, A.W.; Sirois, M.; Laupland, K.B.; Liu, D.; Rowan, K.; Ball, C.G.; Hameed, S.M.; Brown, R.; Simons, R.; Dulchavsky, S.A.; et al. Hand-Held Thoracic Sonography for Detecting Post-Traumatic Pneumothoraces: The Extended Focused Assessment with Sonography for Trauma (EFAST). J. Trauma 2004, 57, 288–295. [Google Scholar] [CrossRef]
- Lichtenstein, D.; Mezière, G.; Biderman, P.; Gepner, A. The “Lung Point”: An Ultrasound Sign Specific to Pneumothorax. Intensive Care Med. 2000, 26, 1434–1440. [Google Scholar] [CrossRef] [PubMed]
- Lichtenstein, D.A.; Lascols, N.; Prin, S.; Mezière, G. The “Lung Pulse”: An Early Ultrasound Sign of Complete Atelectasis. Intensive Care Med. 2003, 29, 2187–2192. [Google Scholar] [CrossRef]
- Callister, M.E.J.; Baldwin, D.R.; Akram, A.R.; Barnard, S.; Cane, P.; Draffan, J.; Franks, K.; Gleeson, F.; Graham, R.; Malhotra, P.; et al. British Thoracic Society Guidelines for the Investigation and Management of Pulmonary Nodules. Thorax 2015, 70 (Suppl. S2), ii1–ii54. [Google Scholar] [CrossRef]
- MacMahon, H.; Naidich, D.P.; Goo, J.M.; Lee, K.S.; Leung, A.N.C.; Mayo, J.R.; Mehta, A.C.; Ohno, Y.; Powell, C.A.; Prokop, M.; et al. Guidelines for Management of Incidental Pulmonary Nodules Detected on CT Images: From the Fleischner Society 2017. Radiology 2017, 284, 228–243. [Google Scholar] [CrossRef]
- Vollmer, I.; Domènech-Ximenos, B.; Sánchez, M. Ecografía pulmonar con contraste: Un nuevo horizonte. Arch. Bronconeumol. 2021, 57, 385–386. [Google Scholar] [CrossRef] [PubMed]
- Hamazaki, N.; Kounoike, Y.; Yoshimoto, E.; Suzaki, Y.; Murakawa, K.; Egawa, S.; Takeshita, S.; Narita, N. Usefulness of power Doppler sonography for the assessment of subpleural lesions. Nihon Kokyuki Gakkai Zasshi 1999, 37, 14–19. [Google Scholar] [PubMed]
- Loverdos, K.; Fotiadis, A.; Kontogianni, C.; Iliopoulou, M.; Gaga, M. Lung Nodules: A Comprehensive Review on Current Approach and Management. Ann. Thorac. Med. 2019, 14, 226–238. [Google Scholar] [CrossRef]
- Hansell, D.M.; Bankier, A.A.; MacMahon, H.; McLoud, T.C.; Müller, N.L.; Remy, J. Fleischner Society: Glossary of Terms for Thoracic Imaging. Radiology 2008, 246, 697–722. [Google Scholar] [CrossRef]
- Satoh, S.; Kitazume, Y.; Ohdama, S.; Kimula, Y.; Taura, S.; Endo, Y. Can Malignant and Benign Pulmonary Nodules Be Differentiated with Diffusion-Weighted MRI? Am. J. Roentgenol. 2008, 191, 464–470. [Google Scholar] [CrossRef]
- Tao, R.; Cao, W.; Zhu, F.; Nie, J.; Wang, H.; Wang, L.; Liu, P.; Chen, H.; Hong, B.; Zhao, D. Liquid Biopsies to Distinguish Malignant from Benign Pulmonary Nodules. Thorac. Cancer 2021, 12, 1647–1655. [Google Scholar] [CrossRef]
- Chen, D.; Yang, L.; Zhang, W.; Shen, J.; Van Schil, P.E.Y.; Divisi, D.; Seetharamu, N.; Gu, J. Prevalence and Management of Pulmonary Nodules: A Systematic Review and Meta-Analysis. J. Thorac. Dis. 2024, 16, 4619–4632. [Google Scholar] [CrossRef]
- Mazzone, P.J.; Lam, L. Evaluating the Patient With a Pulmonary Nodule: A Review. JAMA 2022, 327, 264–273. [Google Scholar] [CrossRef] [PubMed]
- Ko, J.P.; Azour, L. Management of Incidental Lung Nodules. Semin. Ultrasound CT MRI 2018, 39, 249–259. [Google Scholar] [CrossRef] [PubMed]
- Chow, S.C.Y.; Ng, C.S.H. Recent Developments in Video-Assisted Thoracoscopic Surgery for Pulmonary Nodule Management. J. Thorac. Dis. 2016, 8 (Suppl. S6), S509–S516. [Google Scholar] [CrossRef] [PubMed]
- Gambardella, C.; Messina, G.; Pica, D.G.; Bove, M.; Capasso, F.; Mirra, R.; Natale, G.; D’Alba, F.P.; Caputo, A.; Leonardi, B.; et al. Intraoperative Lung Ultrasound Improves Subcentimetric Pulmonary Nodule Localization during VATS: Results of a Retrospective Analysis. Thorac. Cancer 2023, 14, 2558–2566. [Google Scholar] [CrossRef]
- DeCamp, M.M.; Jaklitsch, M.T.; Mentzer, S.J.; Harpole, D.H.; Sugarbaker, D.J. The Safety and Versatility of Video-Thoracoscopy: A Prospective Analysis of 895 Consecutive Cases. J. Am. Coll. Surg. 1995, 181, 113–120. [Google Scholar]
- Shennib, H. Intraoperative Localization Techniques for Pulmonary Nodules. Ann. Thorac. Surg. 1993, 56, 745–748. [Google Scholar] [CrossRef]
- Sperandeo, M.; Venuti, M.; Quarato, C.M.I. Uniportal versus Multiportal Video-Assisted Thoracic Surgery for Lung Cancer: Safety and Advantages in Employing Complementary Intraoperative Lung Ultrasound. J. Thorac. Dis. 2020, 12, 3013–3017. [Google Scholar] [CrossRef]
- Azari, F.; Kennedy, G.; Singhal, S. Intraoperative Detection and Assessment of Lung Nodules. Surg. Oncol. Clin. N. Am. 2020, 29, 525–541. [Google Scholar] [CrossRef]
- Bastone, S.A.; Patirelis, A.; Luppichini, M.; Ambrogi, V. Ultrasound for Intra-Operative Detection of Peri-Centimetric Pulmonary Nodules in Uniportal Video-Assisted Thoracic Surgery (VATS): A Comparison with Conventional Techniques in Multiportal VATS. J. Clin. Med. 2024, 13, 4448. [Google Scholar] [CrossRef] [PubMed]
- Piolanti, M.; Coppola, F.; Papa, S.; Pilotti, V.; Mattioli, S.; Gavelli, G. Ultrasonographic Localization of Occult Pulmonary Nodules during Video-Assisted Thoracic Surgery. Eur. Radiol. 2003, 13, 2358–2364. [Google Scholar] [CrossRef] [PubMed]
- Sortini, D.; Feo, C.V.; Carcoforo, P.; Carrella, G.; Pozza, E.; Liboni, A.; Sortini, A. Thoracoscopic Localization Techniques for Patients With Solitary Pulmonary Nodule and History of Malignancy. Ann. Thorac. Surg. 2005, 79, 258–262. [Google Scholar] [CrossRef]
- Chao, Y.-K.; Fang, H.-Y.; Pan, K.-T.; Wen, C.-T.; Hsieh, M.-J. Preoperative versus Intraoperative Image-Guided Localization of Multiple Ipsilateral Lung Nodules. Eur. J. Cardio-Thorac. Surg. 2019, 57, 488–495. [Google Scholar] [CrossRef] [PubMed]
- Hou, Y.; Wang, Y.; Guo, H.; Zhang, Y.; Guo, Y.; Han, H. Ultrasound Location of Pulmonary Nodules in Video-assisted Thoracoscopic Surgery for Precise Sublobectomy. Thorac. Cancer 2020, 11, 1354–1360. [Google Scholar] [CrossRef]
- Khereba, M.; Ferraro, P.; Duranceau, A.; Martin, J.; Goudie, E.; Thiffault, V.; Liberman, M. Thoracoscopic Localization of Intraparenchymal Pulmonary Nodules Using Direct Intracavitary Thoracoscopic Ultrasonography Prevents Conversion of VATS Procedures to Thoracotomy in Selected Patients. J. Thorac. Cardiovasc. Surg. 2012, 144, 1160–1166. [Google Scholar] [CrossRef]
- Seitlinger, J.; Olland, A.; Guinard, S.; Massard, G.; Falcoz, P.-E. Conversion from Video-Assisted Thoracic Surgery (VATS) to Thoracotomy during Major Lung Resection: How Does It Affect Perioperative Outcomes? Interact. Cardiovasc. Thorac. Surg. 2021, 32, 55–63. [Google Scholar] [CrossRef]
- Demi, L. Lung Ultrasound: The Future Ahead and the Lessons Learned from COVID-19. J. Acoust. Soc. Am. 2020, 148, 2146–2150. [Google Scholar] [CrossRef]
- Pietersen, P.I.; Madsen, K.R.; Graumann, O.; Konge, L.; Nielsen, B.U.; Laursen, C.B. Lung Ultrasound Training: A Systematic Review of Published Literature in Clinical Lung Ultrasound Training. Crit. Ultrasound J. 2018, 10, 23. [Google Scholar] [CrossRef]
- Wolfram, F.; Lesser, T.G. Complete Lung Ultrasound Using Liquid Filling: A Review of Methods Regarding Sonographic Findings and Clinical Relevance. Appl. Sci. 2020, 10, 574. [Google Scholar] [CrossRef]
- Lee, J. Lung Ultrasound in Critically Ill Patients. Korean J. Crit. Care Med. 2016, 31, 4. [Google Scholar] [CrossRef]
- Lesser, T.; Klinzing, S.; Schubert, H.; Klein, U.; Bartel, M. Lung Flooding—A New Method for Complete Lung Sonography. Res. Exp. Med. 1998, 198, 83–91. [Google Scholar] [CrossRef]
- Lesser, T.G.; Schubert, H.; Bischoff, S.; Wolfram, F. Lung Flooding Enables Efficient Lung Sonography and Tumour Imaging in Human Ex Vivo and Porcine in Vivo Lung Cancer Model. Eur. J. Med. Res. 2013, 18, 23. [Google Scholar] [CrossRef]
- Schauer, M.I.; Jung, E.-M.; Platz Batista Da Silva, N.; Akers, M.; Loch, E.; Markowiak, T.; Piler, T.; Larisch, C.; Neu, R.; Stroszczynski, C.; et al. Intraoperative Contrast-Enhanced Ultrasonography (Io-CEUS) in Minimally Invasive Thoracic Surgery for Characterization of Pulmonary Tumours: A Clinical Feasibility Study. Cancers 2023, 15, 3854. [Google Scholar] [CrossRef]
- Schauer, M.I.; Jung, E.M.; Hofmann, H.-S.; Platz Batista Da Silva, N.; Akers, M.; Ried, M. Performance of Intraoperative Contrast-Enhanced Ultrasound (Io-CEUS) in the Diagnosis of Primary Lung Cancer. Diagnostics 2024, 14, 1597. [Google Scholar] [CrossRef] [PubMed]
- Lee, J.W.; Park, C.H.; Lee, S.M.; Jeong, M.; Hur, J. Planting Seeds into the Lung: Image-Guided Percutaneous Localization to Guide Minimally Invasive Thoracic Surgery. Korean J. Radiol. 2019, 20, 1498–1514. [Google Scholar] [CrossRef] [PubMed]
- Horan, T.A.; Pinheiro, P.M.; Araújo, L.M.; Santiago, F.F.; Rodrigues, M.R. Massive Gas Embolism during Pulmonary Nodule Hook Wire Localization. Ann. Thorac. Surg. 2002, 73, 1647–1649. [Google Scholar] [CrossRef]
- Sakiyama, S.; Kondo, K.; Matsuoka, H.; Yoshida, M.; Miyoshi, T.; Yoshida, S.; Monden, Y. Fatal Air Embolism during Computed Tomography–Guided Pulmonary Marking with a Hook-Type Marker. J. Thorac. Cardiovasc. Surg. 2003, 126, 1207–1209. [Google Scholar] [CrossRef]
- Wang, Y.; Chen, E. Advances in the Localization of Pulmonary Nodules: A Comprehensive Review. J. Cardiothorac. Surg. 2024, 19, 396. [Google Scholar] [CrossRef]
- Yang, S.; Yu, K.; Lin, K.; Liu, Y.; Sun, S.; Meng, L.; Ko, H. Localization of Small Pulmonary Nodules Using Augmented Fluoroscopic Bronchoscopy: Experience from 100 Consecutive Cases. World J. Surg. 2020, 44, 2418–2425. [Google Scholar] [CrossRef]
- Yang, S.-M.; Chen, Y.-C.; Ko, W.-C.; Huang, H.-C.; Yu, K.-L.; Ko, H.-J.; Huang, P.-M.; Chang, Y.-C. Augmented Fluoroscopic Bronchoscopy (AFB) versus Percutaneous Computed Tomography-Guided Dye Localization for Thoracoscopic Resection of Small Lung Nodules: A Propensity-Matched Study. Surg. Endosc. 2020, 34, 5393–5401. [Google Scholar] [CrossRef] [PubMed]
- Yang, S.-M.; Yu, K.-L.; Lin, K.-H.; Liu, Y.-L.; Sun, S.-E.; Meng, L.-H.; Ko, H.-J. Real-Time Augmented Fluoroscopy-Guided Lung Marking for Thoracoscopic Resection of Small Pulmonary Nodules. Surg. Endosc. 2020, 34, 477–484. [Google Scholar] [CrossRef] [PubMed]
- Tay, J.H.; Wallbridge, P.D.; Larobina, M.; Russell, P.A.; Irving, L.B.; Steinfort, D.P. Electromagnetic Navigation Bronchoscopy–Directed Pleural Tattoo to Aid Surgical Resection of Peripheral Pulmonary Lesions. J. Bronchol. Interv. Pulmonol. 2016, 23, 245–250. [Google Scholar] [CrossRef]
- Marino, K.A.; Sullivan, J.L.; Weksler, B. Electromagnetic Navigation Bronchoscopy for Identifying Lung Nodules for Thoracoscopic Resection. Ann. Thorac. Surg. 2016, 102, 454–457. [Google Scholar] [CrossRef]
- Kuo, S.-W.; Tseng, Y.-F.; Dai, K.-Y.; Chang, Y.-C.; Chen, K.-C.; Lee, J.-M. Electromagnetic Navigation Bronchoscopy Localization versus Percutaneous CT-Guided Localization for Lung Resection via Video-Assisted Thoracoscopic Surgery: A Propensity-Matched Study. J. Clin. Med. 2019, 8, 379. [Google Scholar] [CrossRef] [PubMed]
- Krimsky, W.S.; Minnich, D.J.; Cattaneo, S.M.; Sarkar, S.A.; Harley, D.P.; Finley, D.J.; Browning, R.F.; Parrish, S.C. Thoracoscopic Detection of Occult Indeterminate Pulmonary Nodules Using Bronchoscopic Pleural Dye Marking. J. Community Hosp. Intern. Med. Perspect. 2014, 4, 23084. [Google Scholar] [CrossRef]
- Georgiou, H.D.; Taverner, J.; Irving, L.B.; Steinfort, D.P. Safety and Efficacy of Radial EBUS for the Investigation of Peripheral Pulmonary Lesions in Patients With Advanced COPD. J. Bronchol. Interv. Pulmonol. 2016, 23, 192–198. [Google Scholar] [CrossRef]
- Endo, M.; Kotani, Y.; Satouchi, M.; Takada, Y.; Sakamoto, T.; Tsubota, N.; Furukawa, H. CT Fluoroscopy-Guided Bronchoscopic Dye Marking for Resection of Small Peripheral Pulmonary Nodules. Chest 2004, 125, 1747–1752. [Google Scholar] [CrossRef]
- Bolton, W.D.; Howe, H.; Stephenson, J.E. The Utility of Electromagnetic Navigational Bronchoscopy as a Localization Tool for Robotic Resection of Small Pulmonary Nodules. Ann. Thorac. Surg. 2014, 98, 471–476. [Google Scholar] [CrossRef]
- Sato, M.; Kobayashi, M.; Sakamoto, J.; Fukai, R.; Takizawa, H.; Shinohara, S.; Kojima, F.; Sakurada, A.; Nakajima, J. The Role of Virtual-Assisted Lung Mapping 2.0 Combining Microcoils and Dye Marks in Deep Lung Resection. J. Thorac. Cardiovasc. Surg. 2022, 164, 243–251.e5. [Google Scholar] [CrossRef]
- Yutaka, Y.; Sato, T.; Hidaka, Y.; Kato, T.; Kayawake, H.; Tanaka, S.; Yamada, Y.; Ohsumi, A.; Nakajima, D.; Hamaji, M.; et al. Electromagnetic Navigation Bronchoscopy-Guided Radiofrequency Identification Marking in Wedge Resection for Fluoroscopically Invisible Small Lung Lesions. Eur. J. Cardio-Thorac. Surg. 2022, 63, ezad006. [Google Scholar] [CrossRef] [PubMed]
- Li, K.D.; Xu, Y.Y.; Guo, C.L.; Pu, Q.; Mei, J.D.; Liu, C.W.; Zhu, Y.K.; Liu, L.X. Emulation pulmonary nodules localization model: A novel non-invasive localization technique in resection of pulmonary nodules. Zhonghua Yi Xue Za Zhi 2021, 101, 3966–3972. [Google Scholar] [PubMed]
- Tang, H.; Yue, P.; Wei, N.; Zhang, L.; Hu, W.; Sun, W.; Cao, X.; Liu, L.; Lin, R.; Xu, S.; et al. Three-Dimensional Printing Template for Intraoperative Localization of Pulmonary Nodules in the Pleural Cavity. JTCVS Tech. 2022, 16, 139–148. [Google Scholar] [CrossRef] [PubMed]
- See, K.C.; Ong, V.; Wong, S.H.; Leanda, R.; Santos, J.; Taculod, J.; Phua, J.; Teoh, C.M. Lung Ultrasound Training: Curriculum Implementation and Learning Trajectory among Respiratory Therapists. Intensive Care Med. 2016, 42, 63–71. [Google Scholar] [CrossRef]
- de Souza, L.A.M.; Paredes, R.G.; Giraldi, T.; Franco, M.H.; de Carvalho-Filho, M.A.; Cecilio-Fernandes, D.; de Figueiredo, L.C.; Santos, T.M. Implementation and Assessment of Lung Ultrasound Training Curriculum for Physiotherapists With a Focus on Image Acquisition and Calculation of an Aeration Score. Ultrasound Med. Biol. 2022, 48, 2119–2127. [Google Scholar] [CrossRef]
- Demi, L.; Wolfram, F.; Klersy, C.; De Silvestri, A.; Ferretti, V.V.; Muller, M.; Miller, D.; Feletti, F.; Wełnicki, M.; Buda, N.; et al. New International Guidelines and Consensus on the Use of Lung Ultrasound. J. Ultrasound Med. 2023, 42, 309–344. [Google Scholar] [CrossRef]
- Hansell, L.; Milross, M.; Delaney, A.; Tian, D.H.; Rajamani, A.; Ntoumenopoulos, G. Barriers and Facilitators to Achieving Competence in Lung Ultrasound: A Survey of Physiotherapists Following a Lung Ultrasound Training Course. Aust. Crit. Care 2023, 36, 573–578. [Google Scholar] [CrossRef]
- de Margerie-Mellon, C.; Chassagnon, G. Artificial Intelligence: A Critical Review of Applications for Lung Nodule and Lung Cancer. Diagn. Interv. Imaging 2023, 104, 11–17. [Google Scholar] [CrossRef]


Disclaimer/Publisher’s Note: The statements, opinions and data contained in all publications are solely those of the individual author(s) and contributor(s) and not of MDPI and/or the editor(s). MDPI and/or the editor(s) disclaim responsibility for any injury to people or property resulting from any ideas, methods, instructions or products referred to in the content. |
© 2025 by the authors. Licensee MDPI, Basel, Switzerland. This article is an open access article distributed under the terms and conditions of the Creative Commons Attribution (CC BY) license (https://creativecommons.org/licenses/by/4.0/).
Share and Cite
Yasin, D.; Al Khateeb, J.; Sbeih, D.; Akar, F.A. Intraoperative Lung Ultrasound in the Detection of Pulmonary Nodules: A Valuable Tool in Thoracic Surgery. Diagnostics 2025, 15, 1074. https://doi.org/10.3390/diagnostics15091074
Yasin D, Al Khateeb J, Sbeih D, Akar FA. Intraoperative Lung Ultrasound in the Detection of Pulmonary Nodules: A Valuable Tool in Thoracic Surgery. Diagnostics. 2025; 15(9):1074. https://doi.org/10.3390/diagnostics15091074
Chicago/Turabian StyleYasin, Diana, Jalal Al Khateeb, Dina Sbeih, and Firas Abu Akar. 2025. "Intraoperative Lung Ultrasound in the Detection of Pulmonary Nodules: A Valuable Tool in Thoracic Surgery" Diagnostics 15, no. 9: 1074. https://doi.org/10.3390/diagnostics15091074
APA StyleYasin, D., Al Khateeb, J., Sbeih, D., & Akar, F. A. (2025). Intraoperative Lung Ultrasound in the Detection of Pulmonary Nodules: A Valuable Tool in Thoracic Surgery. Diagnostics, 15(9), 1074. https://doi.org/10.3390/diagnostics15091074

