Clear Cell Sarcoma of Soft Tissues: Radiological Analysis of 14 Patients—MRI Findings Related to Metastatic Disease
Abstract
1. Introduction
1.1. General Characteristics, History and Epidemiology
1.2. Anatomical Pathology and Genetic and Molecular Patterns
1.3. Imaging and Clinical Features
1.3.1. CT and Radiography
1.3.2. Magnetic Resonance Imaging
2. Materials and Methods
2.1. Study Design
2.2. Clinical Data Collection
2.3. Imaging Analyses
MRI Studies and Analysis
2.4. Statistical Analysis
3. Results
3.1. Clinical Data
3.2. Metastatic Pattern
3.3. General Imaging Findings—Local and Distant Baseline Assessment
3.3.1. Dimensional Assessment (Longest Diameter—LD)
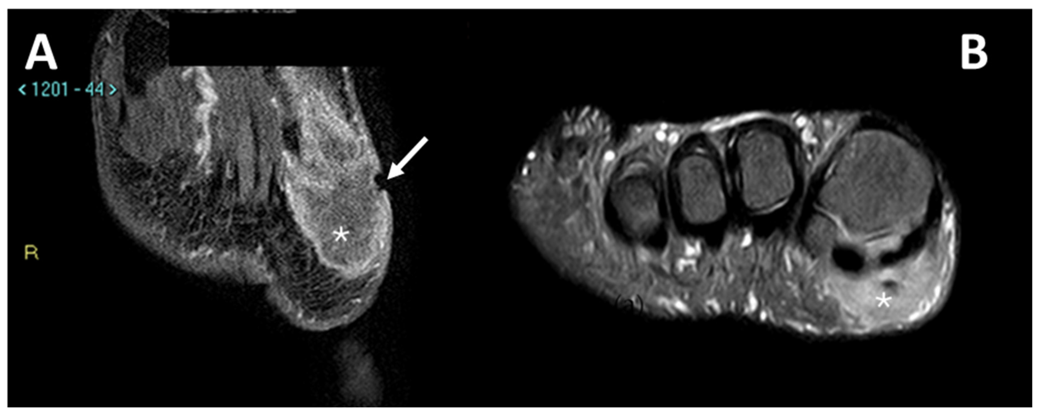
3.3.2. Macroscopic Necrosis (Assessed with MRI or CECT)
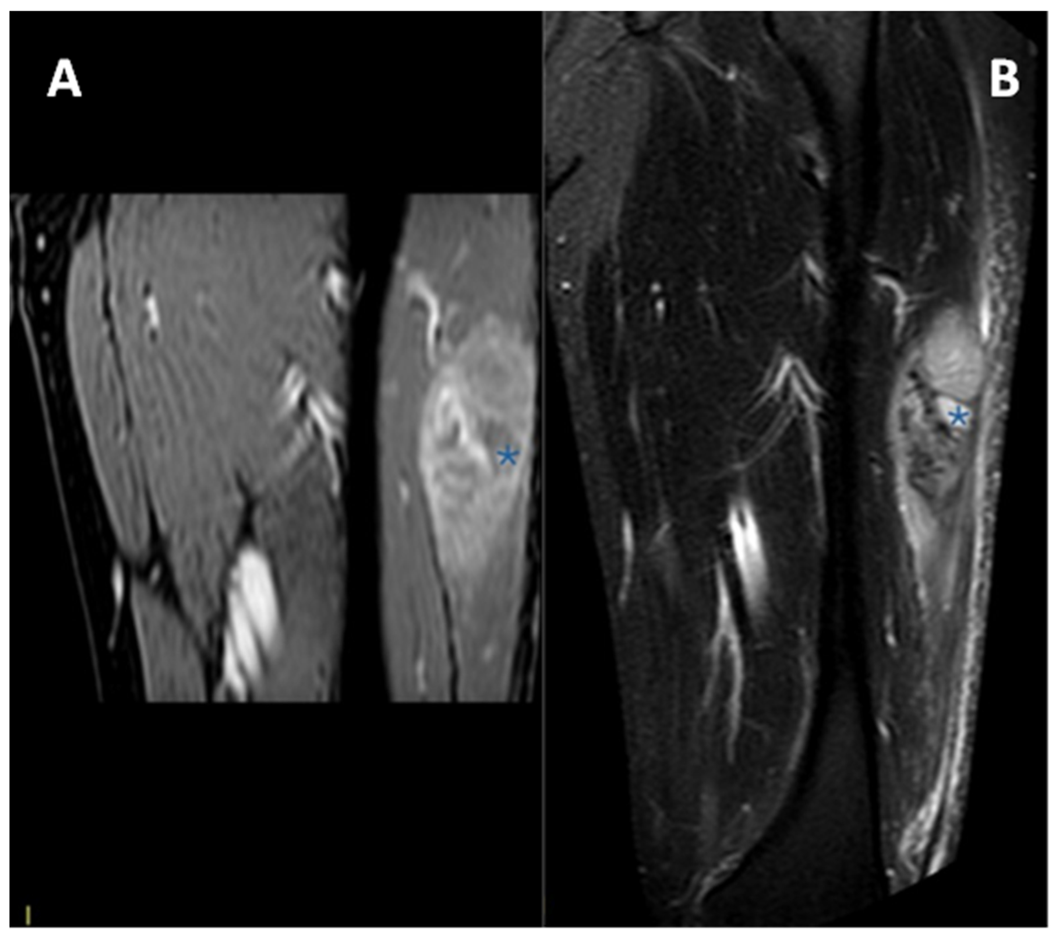
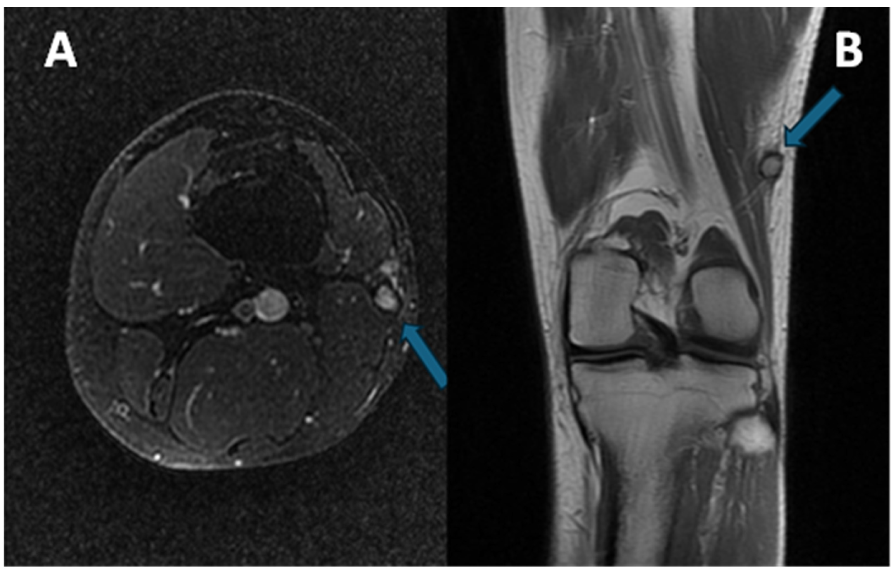
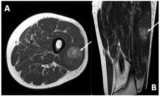
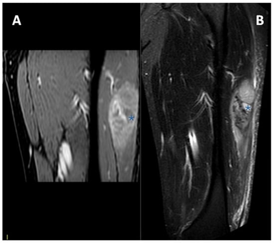
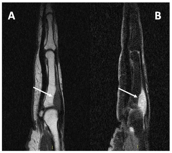
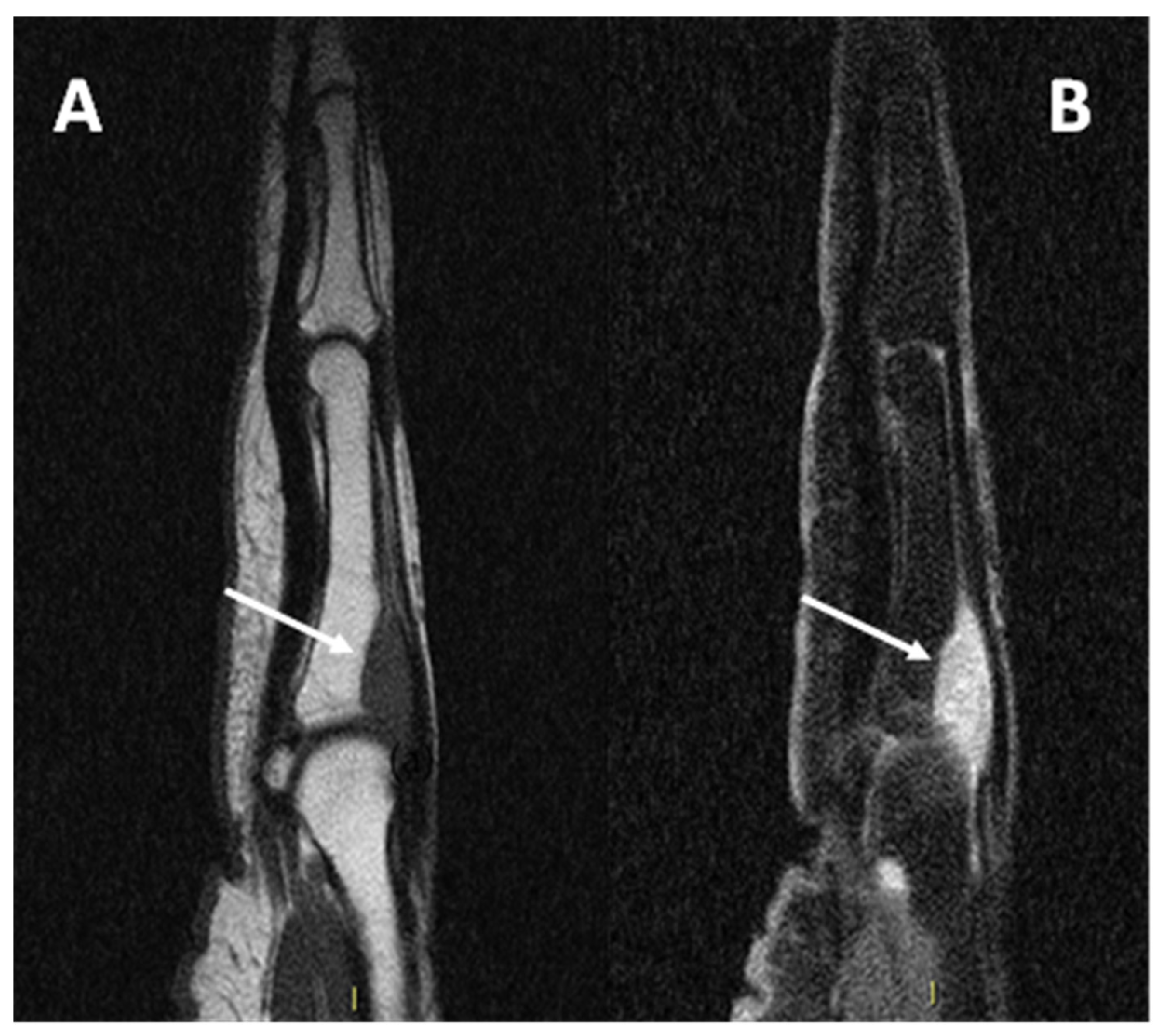
3.4. MRI Features
3.4.1. General MRI Features
3.4.2. Peritumoral Edema
3.4.3. Other MRI Features
4. Discussion
5. Conclusions
Author Contributions
Funding
Institutional Review Board Statement
Informed Consent Statement
Data Availability Statement
Conflicts of Interest
References
- Mavrogenis, A.; Bianchi, G.; Stavropoulos, N.; Papagelopoulos, P.; Ruggieri, P. Clinicopathological features, diagnosis and treatment of clear cell sarcoma/melanoma of soft parts. Hippokratia 2013, 17, 298–302. [Google Scholar] [PubMed] [PubMed Central]
- Kawai, A.; Hosono, A.; Nakayama, R.; Matsumine, A.; Matsumoto, S.; Ueda, T.; Tsuchiya, H.; Beppu, Y.; Morioka, H.; Yabe, H. Japanese Musculoskeletal Oncology Group. Clear cell sarcoma of tendons and aponeuroses: A study of 75 patients. Cancer 2007, 109, 109–116. [Google Scholar] [CrossRef] [PubMed]
- Dim, D.C.; Cooley, L.D.; Miranda, R.N. Clear cell sarcoma of tendons and aponeuroses, a review. Arch. Pathol. Lab. Med. 2007, 131, 152–156. [Google Scholar] [CrossRef] [PubMed]
- Enzinger, F.M. Clear-Cell Sarcoma of Tendons and Aponeuroses. An Analysis of 21 Cases. Cancer 1965, 18, 1163–1174. [Google Scholar] [CrossRef] [PubMed]
- Kosemehmetoglu, K.; Folpe, A.L. Clear cell sarcoma of tendons and aponeuroses, and osteoclast-rich tumour of the gastrointestinal tract with features resembling clear cell sarcoma of soft parts: A review and update. J. Clin. Pathol. 2010, 63, 416–423. [Google Scholar] [CrossRef]
- Chung, E.B.; Enzinger, F.M. Malignant melanoma of soft parts: A reassessment of clear cell sarcoma. Am. J. Surg. Pathol. 1983, 7, 405–413. [Google Scholar] [CrossRef]
- Panagopoulos, I.; Mertens, F.; Isaksson, M.; Mandahl, N. Absence of mutations of the BRAF gene in malignant melanoma of soft parts (clear cell sarcoma of tendons and aponeuroses). Cancer Genet. Cytogenet. 2005, 156, 74–76. [Google Scholar] [CrossRef]
- Langezaal, S.M.; Graadt van Roggen, J.F.; Cleton-Jansen, A.M.; Baelde, J.J.; Hogendoorn, P.C. Malignant melanoma is genetically distinct from clear cell sarcoma of tendons and aponeurosis (malignant melanoma of soft parts). Br. J. Cancer 2001, 84, 535–538. [Google Scholar] [CrossRef]
- Crago, A.M.; Lee, A.Y. Multimodality Management of Soft Tissue Tumors in the Extremity. Surg. Clin. N. Am. 2016, 96, 977–992. [Google Scholar] [CrossRef] [PubMed] [PubMed Central]
- De Beuckeleer, L.H.; De Schepper, A.M.; Vandevenne, J.E.; Bloem, J.L.; Davies, A.M.; Oudkerk, M.; Hauben, E.; Van Marck, E.; Somville, J.; Vanel, D.; et al. MR imaging of clear cell sarcoma (malignant melanoma of the soft parts): A multicenter correlative MRI-pathology study of 21 cases and literature review. Skeletal. Radiol. 2000, 29, 187–195. [Google Scholar] [CrossRef] [PubMed]
- Cazzato, G.; Piscazzi, F.; Filosa, A.; Colagrande, A.; Del Fiore, P.; Ambrogio, F.; Battilotti, C.; Danese, A.; Federico, S.; Cassalia, F. Clear Cell Sarcoma (CCS) of the Soft Tissue: An Update Narrative Review with Emphasis on the Utility of PRAME in Differential Diagnosis. J. Clin. Med. 2025, 14, 1233. [Google Scholar] [CrossRef] [PubMed] [PubMed Central]
- Sharma, K.; Yadav, S.K.; Valluru, B.; Liu, L. Significance of MRI in the diagnosis and differentiation of clear cell sarcoma of tendon and aponeurosis (CCSTA): A case report. Medicine 2018, 97, e11012. [Google Scholar] [CrossRef] [PubMed] [PubMed Central]
- Edge, S.; Byrd, D.; Compton, C.; Fritz, A.G.; Greene, F.L.; Trotti, A.I.I.I. American Joint Committee on Cancer Staging Manual, 7th ed.; Springer: New York, NY, USA, 2009. [Google Scholar]
- Clark, M.A.; Johnson, M.B.; Thway, K.; Fisher, C.; Thomas, J.M.; Hayes, A.J. Clear cell sarcoma (melanoma of soft parts): The Royal Marsden Hospital experience. Eur. J. Surg. Oncol. 2008, 34, 800–804. [Google Scholar] [CrossRef] [PubMed]
- Hisaoka, M.; Ishida, T.; Kuo, T.T.; Matsuyama, A.; Imamura, T.; Nishida, K.; Hiroshi, K.; Yoshiaki, I.; Hisashi, O.; Hiroshi, K.; et al. Clear cell sarcoma of soft tissue: A clinicopathologic, immunohistochemical, and molecular analysis of 33 cases. Am. J. Surg. Pathol. 2008, 32, 452–460. [Google Scholar] [CrossRef]
- Kindblom, L.G.; Lodding, P.; Angervall, L. Clear-cell sarcoma of tendons and aponeuroses. An immunohistochemical and electron microscopic analysis indicating neural crest origin. Virchows Arch. A Pathol. Anat. Histopathol. 1983, 401, 109–128. [Google Scholar] [CrossRef]
- Wu, J.S.; Hochman, M.G. Soft-tissue tumors and tumorlike lesions: A systematic imaging approach. Radiology 2009, 253, 297–316. [Google Scholar] [CrossRef] [PubMed]
- Davis, I.J.; Kim, J.J.; Ozsolak, F.; Widlund, H.R.; Rozenblatt-Rosen, O.; Granter, S.R.; Du, J.; Fletcher, J.A.; Denny, C.T.; Lessnick, S.L.; et al. Oncogenic MITF dysregulation in clear cell sarcoma: Defining the MiT family of human cancers. Cancer Cell 2006, 9, 473–484. [Google Scholar] [CrossRef]
- Bridge, J.A.; Sreekantaiah, C.; Neff, J.R.; Sandberg, A.A. Cytogenetic findings in clear cell sarcoma of tendons and aponeuroses. Malignant melanoma of soft parts. Cancer Genet. Cytogenet. 1991, 52, 101–106. [Google Scholar] [CrossRef]
- Goldblum, J.R.; Folpe, A.L.; Weiss, S.W. (Eds.) Enzinger and Weiss’s Soft Tissue Tumors, 6th ed.; Elsevier Saunders: Philadelphia, PA, USA, 2014; pp. 886–894. [Google Scholar]
- Finley, J.W.; Hanypsiak, B.; McGrath, B.; Kraybill, W.; Gibbs, J.F. Clear cell sarcoma: The Roswell Park experience. J. Surg. Oncol. 2001, 77, 16–20. [Google Scholar] [CrossRef] [PubMed]
- Sara, A.S.; Evans, H.L.; Benjamin, R.S. Malignant melanoma of soft parts (clear cell sarcoma). A study of 17 cases, with emphasis on prognostic factors. Cancer 1990, 65, 367–374. [Google Scholar] [CrossRef]
- Ikuta, K.; Nishida, Y.; Imagama, S.; Tanaka, K.; Ozaki, T. The current management of clear cell sarcoma. Jpn. J. Clin. Oncol. 2023, 53, 899–904. [Google Scholar] [CrossRef] [PubMed]
- Isoda, H.; Kuroda, M.; Saitoh, M.; Asakura, T.; Akai, M.; Ikeda, K.; Jin, E.; Sawada, S. MR findings of clear cell sarcoma: Two case reports. Clin. Imaging 2003, 27, 229–232. [Google Scholar] [CrossRef] [PubMed]
- Al-Nakshabandi, N.A.; Munk, P.L. Radiology for the surgeon. Musculoskeletal case 38. Diagnosis: Clear cell sarcoma of the foot. Can. J. Surg. 2007, 50, 58–59. [Google Scholar] [PubMed]
- Spinnato, P.; Clinca, R. MRI Tail Sign in Soft-Tissue Sarcoma. Radiology 2021, 299, 276. [Google Scholar] [CrossRef] [PubMed]
- Crombé, A.; Marcellin, P.J.; Buy, X.; Stoeckle, E.; Brouste, V.; Italiano, A.; Le Loarer, F.; Kind, M. Soft-Tissue Sarcomas: Assessment of MRI Features Correlating with Histologic Grade and Patient Outcome. Radiology 2019, 291, 710–721. [Google Scholar] [CrossRef] [PubMed]
- Scalas, G.; Parmeggiani, A.; Martella, C.; Tuzzato, G.; Bianchi, G.; Facchini, G.; Clinca, R.; Spinnato, P. Magnetic resonance imaging of soft tissue sarcoma: Features related to prognosis. Eur. J. Orthop. Surg. Traumatol. 2021, 31, 1567–1575. [Google Scholar] [CrossRef] [PubMed]
- Bianchi, G.; Charoenlap, C.; Cocchi, S.; Rani, N.; Campagnoni, S.; Righi, A.; Frisoni, T.; Donati, D.M. Clear cell sarcoma of soft tissue: A retrospective review and analysis of 31 cases treated at Istituto Ortopedico Rizzoli. Eur. J. Surg. Oncol. 2014, 40, 505–510. [Google Scholar] [CrossRef] [PubMed]
- D’Agostino, V.; Ponti, F.; Martella, C.; Miceli, M.; Sambri, A.; De Paolis, M.; Donati, D.M.; Bianchi, G.; Longhi, A.; Crombé, A.; et al. Dimensional assessment on baseline MRI of soft-tissue sarcomas: Longest diameter, sum and product of diameters, and volume-which is the best measurement method to predict patients’ outcomes? Radiol. Med. 2024, 129, 1876–1889. [Google Scholar] [CrossRef] [PubMed]
- Spinnato, P.; Papalexis, N.; Colangeli, M.; Miceli, M.; Crombé, A.; Parmeggiani, A.; Palmerini, E.; Righi, A.; Bianchi, G. Imaging Features of Alveolar Soft Part Sarcoma: Single Institution Experience and Literature Review. Clin. Pract. 2023, 13, 1369–1382. [Google Scholar] [CrossRef] [PubMed] [PubMed Central]
- Soomers, V.; Husson, O.; Young, R.; Desar, I.; Van der Graaf, W. The sarcoma diagnostic interval: A systematic review on length, contributing factors and patient outcomes. ESMO Open 2020, 5, e000592. [Google Scholar] [CrossRef] [PubMed] [PubMed Central]
- Grothues, J.; Hardes, J.; Agaimy, A.; Collaud, S.; Podleska, L.; Farzalyev, F.; Engel, N.M.; Hamacher, R.; Fletcher, B.; Pöttgen, C.; et al. Prognostic factors in clear cell sarcoma: An analysis of soft tissue sarcoma in 43 cases. J. Cancer Res. Clin. Oncol. 2024, 150, 494. [Google Scholar] [CrossRef] [PubMed] [PubMed Central]
- Li, X.; Hu, Y.; Xie, Y.; Huang, B.; Chen, S.; Tao, H. Soft-tissue sarcoma: Modified grading method improves the accuracy of preoperative MRI in predicting patient outcomes. Eur. Radiol. 2025; ahead of print. [Google Scholar] [CrossRef] [PubMed]









| Patient n° | Age, Sex | Symptoms | Lesion Location (Deep/Superficial) | Longest Diameter (mm) | Metastasis at Diagnosis | Metastasis Within 5 Years | Metastasis During F-U |
|---|---|---|---|---|---|---|---|
| 1 | 31, 8 M | Lump | Left thigh, deep | 23 | No | No | Yes |
| 2 | 31 M | Lump | Left foot, superficial | 48 | Yes | Yes | Yes |
| 3 | 39, 3 F | Lump | Right foot, deep | 21 | No | No | Yes |
| 4 | 60, 5 F | Lump | Left hand, deep | 25 | No | No | No |
| 5 | 37, 6 M | Lump | Right knee, deep | 35 | No | No | No |
| 6 | 47, 2 M | Painful lump | Left thigh, deep | 110 | Yes | Yes | Yes |
| 7 | 66, 8 M | Painful lump | Left foot, deep | 64 | Yes | Yes | Yes |
| 8 | 34, 3 M | Painful lump | Left foot, deep | 97 | Yes | Yes | Yes |
| 9 | 58, 1 F | Lump | Left foot, deep | 40 | No | Yes | Yes |
| 10 | 33, 9 M | Lump | Right foot, deep | 72 | No | Yes | Yes |
| 11 | 17, 7 F | Lump | Right foot, superficial | 18 | No | No | No |
| 12 | 14, 6 F | Lump | Right foot, superficial | 16 | No | No | No |
| 13 | 42, 1 F | Lump | Left shoulder, deep | 75 | Yes | Yes | Yes |
| 14 | 36, 4 M | Lump | Perineum, superficial | 63 | No | Yes | No |
| Imaging Feature | M0 < 5 Years | M1 < 5 Years | p-Value |
|---|---|---|---|
| <4 cm | 6 | 0 | |
| ≥4 cm | 0 | 8 | 0.0003 |
| Imaging Feature | M0 < 5 Years | M1 < 5 Years | Odds Ratio (95% CI) | p-Value |
|---|---|---|---|---|
| >4 cm | 0/6 | 8/8 | 195.00 (3.37–11,285.55) | 0.01 |
| Imaging Feature | M0 | M1 | p-Value |
|---|---|---|---|
| <4 cm | 4 | 2 | |
| >4 cm | 0 | 8 | 0.02 |
| Imaging Feature | M0 | M1 | Odds Ratio (95% CI) | p-Value |
|---|---|---|---|---|
| >4 cm | 0/4 | 8/10 | 30.600 (1.19–784.70) | 0.04 |
| Imaging Feature | M0 < 5 Years | M1 < 5 Years | Odds Ratio (95% CI) | p-Value |
|---|---|---|---|---|
| Necrosis | 1/5 | 6/8 | 15.00 (1.03–218.31) | 0.05 |
Disclaimer/Publisher’s Note: The statements, opinions and data contained in all publications are solely those of the individual author(s) and contributor(s) and not of MDPI and/or the editor(s). MDPI and/or the editor(s) disclaim responsibility for any injury to people or property resulting from any ideas, methods, instructions or products referred to in the content. |
© 2025 by the authors. Licensee MDPI, Basel, Switzerland. This article is an open access article distributed under the terms and conditions of the Creative Commons Attribution (CC BY) license (https://creativecommons.org/licenses/by/4.0/).
Share and Cite
Di Masi, P.; Colangeli, M.; Simonetti, M.; Bianchi, G.; Righi, A.; Bilancia, G.; Palmerini, E.; Crombé, A.; Spinnato, P. Clear Cell Sarcoma of Soft Tissues: Radiological Analysis of 14 Patients—MRI Findings Related to Metastatic Disease. Diagnostics 2025, 15, 1027. https://doi.org/10.3390/diagnostics15081027
Di Masi P, Colangeli M, Simonetti M, Bianchi G, Righi A, Bilancia G, Palmerini E, Crombé A, Spinnato P. Clear Cell Sarcoma of Soft Tissues: Radiological Analysis of 14 Patients—MRI Findings Related to Metastatic Disease. Diagnostics. 2025; 15(8):1027. https://doi.org/10.3390/diagnostics15081027
Chicago/Turabian StyleDi Masi, Paola, Marco Colangeli, Mario Simonetti, Giuseppe Bianchi, Alberto Righi, Gabriele Bilancia, Emanuela Palmerini, Amandine Crombé, and Paolo Spinnato. 2025. "Clear Cell Sarcoma of Soft Tissues: Radiological Analysis of 14 Patients—MRI Findings Related to Metastatic Disease" Diagnostics 15, no. 8: 1027. https://doi.org/10.3390/diagnostics15081027
APA StyleDi Masi, P., Colangeli, M., Simonetti, M., Bianchi, G., Righi, A., Bilancia, G., Palmerini, E., Crombé, A., & Spinnato, P. (2025). Clear Cell Sarcoma of Soft Tissues: Radiological Analysis of 14 Patients—MRI Findings Related to Metastatic Disease. Diagnostics, 15(8), 1027. https://doi.org/10.3390/diagnostics15081027

