Ruptured Intracranial Dermoid Cyst with Fat Dissemination: A Clinical Case Mimicking an Epidermoid Cyst and Review of the Literature
Abstract
1. Introduction
2. Case Presentation
2.1. Clinical Features
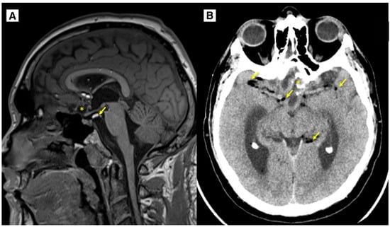
2.2. Imaging Findings
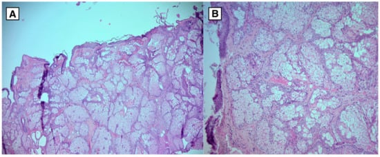
2.3. Management
3. Discussion
3.1. Clinical Features
3.2. Imaging Findings
3.3. Management
4. Conclusions
Author Contributions
Funding
Institutional Review Board Statement
Informed Consent Statement
Data Availability Statement
Acknowledgments
Conflicts of Interest
References
- Brown, J.Y.; Morokoff, A.P.; Mitchell, P.J.; Gonzales, M.F. Unusual imaging appearance of an intracranial dermoid cyst. AJNR Am. J. Neuroradiol. 2001, 22, 1970–1972. [Google Scholar] [PubMed] [PubMed Central]
- Smirniotopoulos, J.G.; Chiechi, M.V. Teratomas, dermoids, and epidermoids of the head and neck. Radiographics 1995, 15, 1437–1455. [Google Scholar] [CrossRef] [PubMed]
- Emmanuel, S.; Inban, P.; Akuma, O.; Nouman Aslam, M.; Talat, F.; Nizamani, A.; Chenna, V.S.H.; Romain, E.M.; Chu Carredo, C.K.; Khan, A. An Atypical Case of Intracranial Dermoid Cyst in an Adult Female: A Case Report and Literature Review. Cureus 2023, 15, e39807. [Google Scholar] [CrossRef] [PubMed] [PubMed Central]
- Mouskou, S.; Stamati, A.; Sfakianos, G.; Malama, A.; Gavra, M.; Vartzelis, G.; Korona, A.; Mastrogianni, S.; Voudris, K. Ruptured intracranial dermoid cyst in a child. Cause of atypical neurological symptoms. Interdiscip. Neurosurg. 2020, 20, 100482. [Google Scholar] [CrossRef]
- Liu, J.K.; Gottfried, O.N.; Salzman, K.L.; Schmidt, R.H.; Couldwell, W.T. Ruptured intracranial dermoid cysts: Clinical, radiographic, and surgical features. Neurosurgery 2008, 62, 377–384; discussion 384. [Google Scholar] [CrossRef]
- Kucera, J.N.; Roy, P.; Murtagh, R. Ruptured intracranial dermoid cyst manifesting as new onset seizure: A case report. J. Radiol. Case Rep. 2011, 5, 10–18. [Google Scholar] [CrossRef] [PubMed] [PubMed Central]
- Shashidhar, A.; Sadashiva, N.; Prabhuraj, A.R.; Narasingha Rao, K.; Tiwari, S.; Saini, J.; Shukla, D.; Devi, B.I. Ruptured intracranial dermoid cysts: A retrospective institutional review. J. Clin. Neurosci. 2019, 67, 172–177. [Google Scholar] [CrossRef] [PubMed]
- Sim, S.Y.; Choi, C.-Y. Rupture of intracranial dermoid cyst by strenuous physical activity due to emotional stress: A case report. Interdiscip. Neurosurg. 2021, 25, 101240. [Google Scholar] [CrossRef]
- Das, C.J.; Tahir, M.; Debnath, J.; Pangtey, G.S. Neurological picture. Ruptured intracranial dermoid. J. Neurol. Neurosurg. Psychiatry 2007, 78, 624–625. [Google Scholar] [CrossRef] [PubMed] [PubMed Central]
- Das, U.; Pandit, N.; Graduate Trainee, P. Traumatic rupture of an intracranial dermoid cyst: A case report. East. J. Med. Sci. 2021, 6, 69–72. [Google Scholar] [CrossRef]
- Kim, K.H.; Cho, J.H. Ruptured intracranial dermoid cyst associated with rupture of cerebral aneurysm. J. Korean Neurosurg. Soc. 2011, 50, 453–456. [Google Scholar] [CrossRef] [PubMed] [PubMed Central]
- Stendel, R.; Pietilä, T.A.; Lehmann, K.; Kurth, R.; Suess, O.; Brock, M. Ruptured intracranial dermoid cysts. Surg. Neurol. 2002, 57, 391–398; discussion 398. [Google Scholar] [CrossRef] [PubMed]
- Berrada, K.; Bougrin, I.; Ouali, I.E.; Fikri, M.; Jiddane, M.; Touarsa, F. Acute headache and seizures in psychiatric patient revealing atypical location of a ruptured dermoid cyst. Radiol. Case Rep. 2023, 19, 1040–1045. [Google Scholar] [CrossRef] [PubMed] [PubMed Central]
- McArdle, D.J.; Karia, S.J. Ruptured intracranial dermoid cyst. Pract. Neurol. 2016, 16, 478–479. [Google Scholar] [CrossRef] [PubMed]
- Ray, M.J.; Barnett, D.W.; Snipes, G.J.; Layton, K.F.; Opatowsky, M.J. Ruptured intracranial dermoid cyst. Bayl. Univ. Med. Cent. Proc. 2012, 25, 23–25. [Google Scholar] [CrossRef] [PubMed] [PubMed Central]
- Castro, S.; Castelnovo, G.; Lebayon, A.; Fuentes, S.; Bouly, S.; Labauge, P. Chemical meningitis in reaction to subarachnoid fatty droplets. Neurology 2005, 65, 937. [Google Scholar] [CrossRef] [PubMed]
- Bhatia, S.; Khandelwal, N.; Pathak, A.; Mahaja, H. Ruptured supratentorial dermoid cysts. Comput. Med. Imaging Graph. 1993, 17, 461–464. [Google Scholar] [CrossRef]
- Nayak, H.K.; Kamble, N.L.; Sinha, N.K.; Daga, M.K. Ruptured frontal dermoid cyst: An unusual cause of seizure in a postpartum female. BMJ Case Rep. 2013, 2013, bcr2013009107. [Google Scholar] [CrossRef] [PubMed] [PubMed Central]
- Domenico, M.; Bruno, R.; Aldo, I. Ruptured intracranial dermoid cyst: A case report. Integr. Mol. Med. 2016, 3, 793–795. [Google Scholar] [CrossRef]
- Johnson, D.G.; Stemper, S.J.; Withers, T.K. Ruptured “giant” supratentorial dermoid cyst. J. Clin. Neurosci. 2005, 12, 198–201. [Google Scholar] [CrossRef] [PubMed]
- Esquenazi, Y.; Kerr, K.; Bhattacharjee, M.B.; Tandon, N. Traumatic rupture of an intracranial dermoid cyst: Case report and literature review. Surg. Neurol. Int. 2013, 4, 80. [Google Scholar] [CrossRef] [PubMed] [PubMed Central]
- Taha, A.; Abdelrazek, M.A.; Manalo, N.; Elsadek, R.; Morrin, S.J.; Brodski, A.; Augustynowiczd, A.; Mollashahi, R.S.; Shenoy, A. Traumatic Rupture of a Skull Base Dermoid Cyst Mimicking Chronic Meningitis. Cureus 2022, 14, e25066. [Google Scholar] [CrossRef] [PubMed] [PubMed Central]
- Albastaki, A.; AlThawadi, R.; Alajaimi, J.; Ali, K.F.; Almayman, T. An Intracranial Extradural Dermoid Cyst Presenting with Two Dermal Sinuses and an Abscess in a Child. Case Rep. Neurol. Med. 2021, 2021, 9917673. [Google Scholar] [CrossRef] [PubMed] [PubMed Central]
- Smith, A.S.; Benson, J.E.; Blaser, S.I.; Mizushima, A.; Tarr, R.W.; Bellon, E.M. Diagnosis of ruptured intracranial dermoid cyst: Value MR over CT. AJNR Am. J. Neuroradiol. 1991, 12, 175–180. [Google Scholar]
- Altay, H.; Kitiş, O.; Calli, C.; Yünten, N. A spinal dermoid tumor that ruptured into the subarachnoidal space and syrinx cavity. Diagn. Interv. Radiol. 2006, 12, 171–173. [Google Scholar] [PubMed]
- Čatić, A.R.; Nikšić, M.; Kadenić, Z. Ruptured intracranial dermoid cyst: A case report. J. Health Sci. 2012, 2, 232–235. [Google Scholar] [CrossRef]
- Watanabe, K.; Filomena, C.A.; Nonaka, Y.; Matsuda, M.; Zomorodi, A.R.; Friedman, A.H.; Fukushima, T. Extradural Dermoid Cyst of the Anterior Infratemporal Fossa. Case Report. J. Neurol. Surg. Rep. 2015, 76, e195–e199. [Google Scholar] [CrossRef] [PubMed] [PubMed Central][Green Version]
- Sadashiva, N.; Tiwari, S.; Narayan, V.; Shukla, D. Ruptured Intracranial Dermoid and the Chemical Shift Artifact. J. Neurosci. Rural Pract. 2016, 7 (Suppl. S1), S86–S87. [Google Scholar] [CrossRef] [PubMed] [PubMed Central]
- Jacków, J.; Tse, G.; Martin, A.; Sąsiadek, M.; Romanowski, C. Ruptured intracranial dermoid cysts: A pictorial review. Pol. J. Radiol. 2018, 83, e465–e470. [Google Scholar] [CrossRef] [PubMed] [PubMed Central]
- Sood, S.; Gupta, R. Susceptibility artifacts in ruptured intracranial dermoid cysts: A poorly understood but important phenomenon. Neuroradiol. J. 2014, 27, 677–684. [Google Scholar] [CrossRef] [PubMed] [PubMed Central]
- Survashe, P.T.; Guthe, S.P.; Velho, V.; Bhide, A. Ruptured Intracranial Dermoid: Case Report and Literature Review. Med. J. Dr. D. Y. Patil Vidyapeeth 2017, 10, 297–299. [Google Scholar] [CrossRef]
- Aksoy, F.G.; Aksoy, O.G.; Gomori, J.M. Klippel-Feil syndrome in association with posterior fossa suboccipital dermoid cyst. Eur. Radiol. 2001, 11, 142–144. [Google Scholar] [CrossRef] [PubMed]
- Shinoyama, M.; Kajiwara, K.; Harada, K.; Ideguchi, M.; Akimura, T.; Nishizaki, T.; Suzuki, M. A case of a ruptured dermoid cyst in the sylvian fissure. No Shinkei Geka 2002, 30, 1197–1201. [Google Scholar] [PubMed]
- Orakcioglu, B.; Halatsch, M.E.; Fortunati, M.; Unterberg, A.; Yonekawa, Y. Intracranial dermoid cysts: Variations of radiological and clinical features. Acta Neurochir. 2008, 150, 1227–1234. [Google Scholar] [CrossRef] [PubMed]






Disclaimer/Publisher’s Note: The statements, opinions and data contained in all publications are solely those of the individual author(s) and contributor(s) and not of MDPI and/or the editor(s). MDPI and/or the editor(s) disclaim responsibility for any injury to people or property resulting from any ideas, methods, instructions or products referred to in the content. |
© 2025 by the authors. Licensee MDPI, Basel, Switzerland. This article is an open access article distributed under the terms and conditions of the Creative Commons Attribution (CC BY) license (https://creativecommons.org/licenses/by/4.0/).
Share and Cite
Verzemnieks, K.; Tumelkans, R.; Strautmane, S.; Kalejs, V.R.; Valeinis, E.; Dolgopolova, J.; Tone, T.; Balodis, A. Ruptured Intracranial Dermoid Cyst with Fat Dissemination: A Clinical Case Mimicking an Epidermoid Cyst and Review of the Literature. Diagnostics 2025, 15, 712. https://doi.org/10.3390/diagnostics15060712
Verzemnieks K, Tumelkans R, Strautmane S, Kalejs VR, Valeinis E, Dolgopolova J, Tone T, Balodis A. Ruptured Intracranial Dermoid Cyst with Fat Dissemination: A Clinical Case Mimicking an Epidermoid Cyst and Review of the Literature. Diagnostics. 2025; 15(6):712. https://doi.org/10.3390/diagnostics15060712
Chicago/Turabian StyleVerzemnieks, Kalvis, Roberts Tumelkans, Sintija Strautmane, Verners Roberts Kalejs, Egils Valeinis, Julija Dolgopolova, Tatjana Tone, and Arturs Balodis. 2025. "Ruptured Intracranial Dermoid Cyst with Fat Dissemination: A Clinical Case Mimicking an Epidermoid Cyst and Review of the Literature" Diagnostics 15, no. 6: 712. https://doi.org/10.3390/diagnostics15060712
APA StyleVerzemnieks, K., Tumelkans, R., Strautmane, S., Kalejs, V. R., Valeinis, E., Dolgopolova, J., Tone, T., & Balodis, A. (2025). Ruptured Intracranial Dermoid Cyst with Fat Dissemination: A Clinical Case Mimicking an Epidermoid Cyst and Review of the Literature. Diagnostics, 15(6), 712. https://doi.org/10.3390/diagnostics15060712

