Pleural Metastasis as an Initial Presentation of Prostate Cancer: Case Report and Literature Review
Abstract
1. Introduction
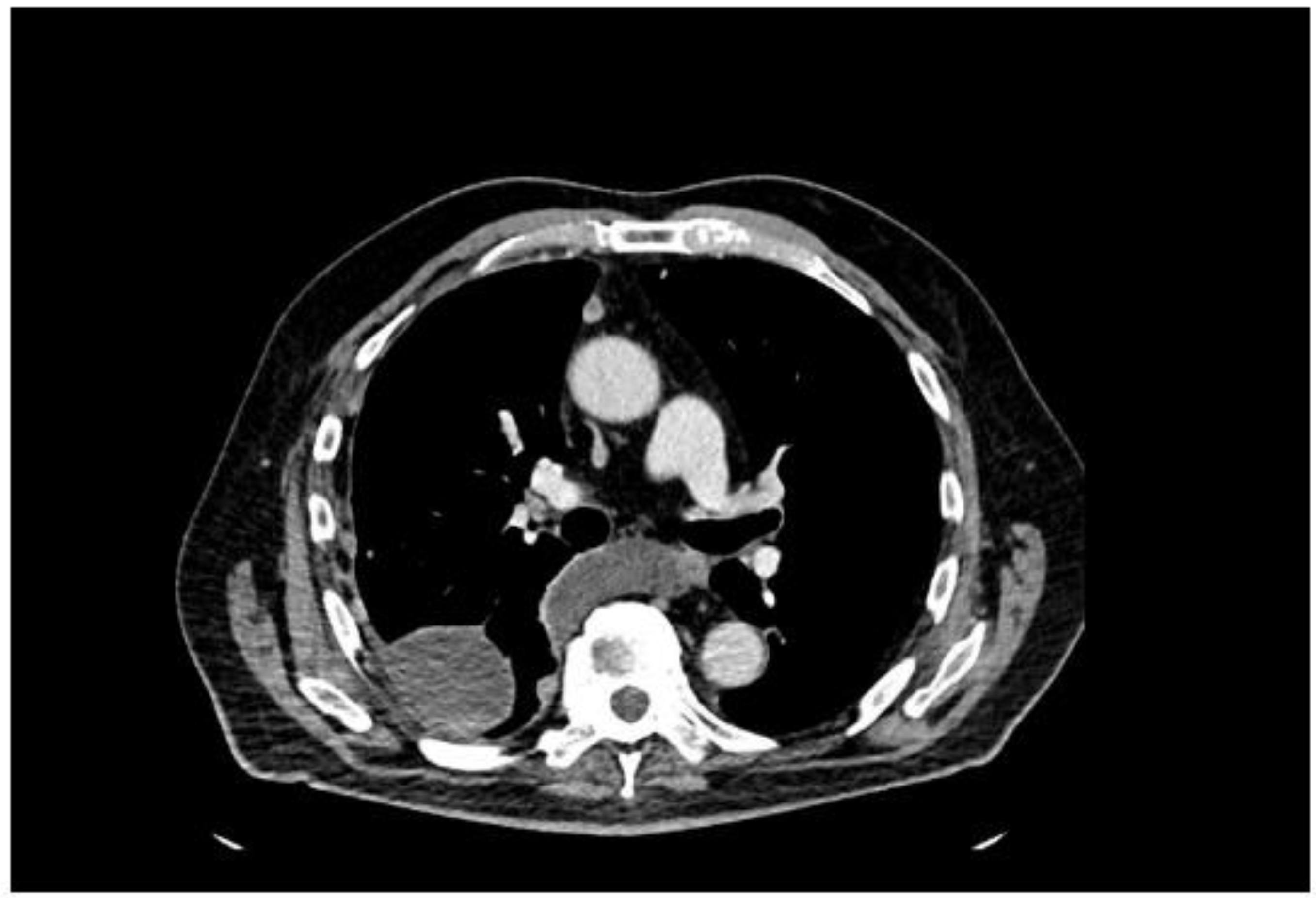
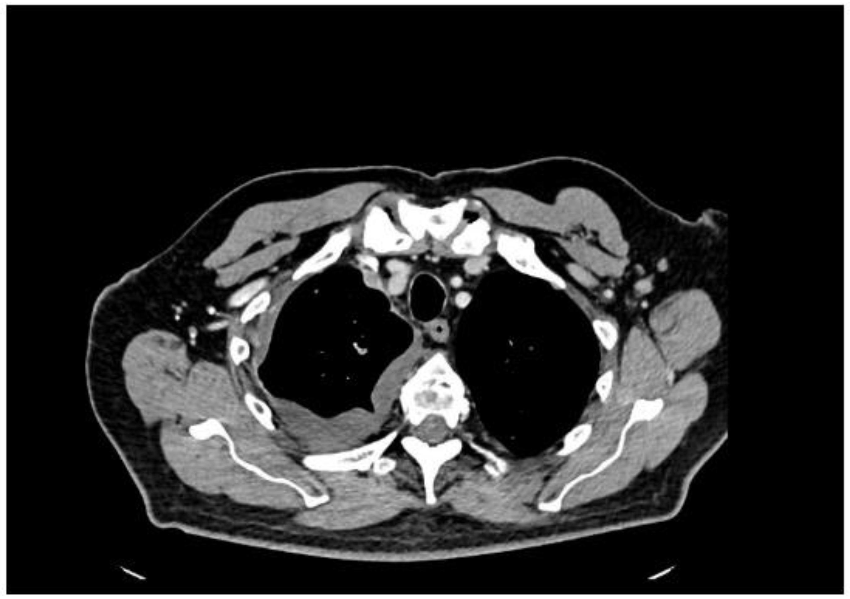
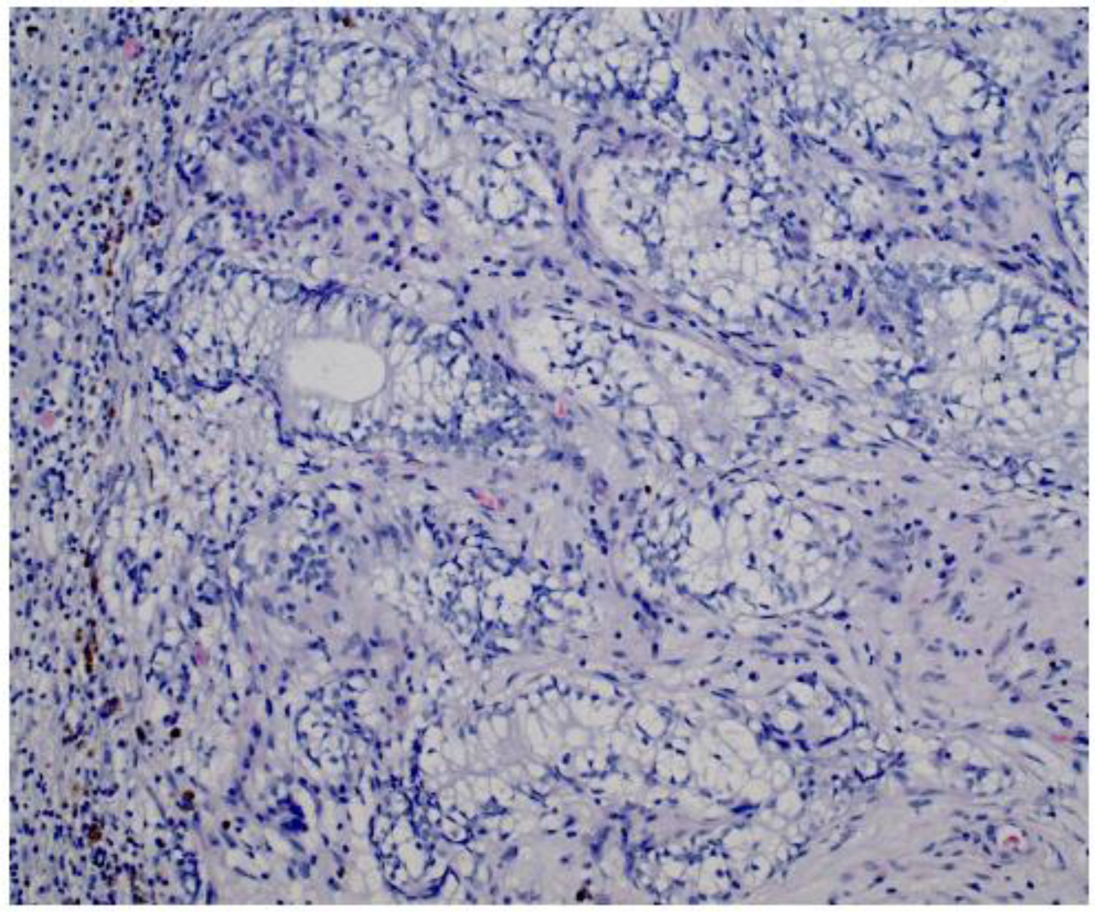
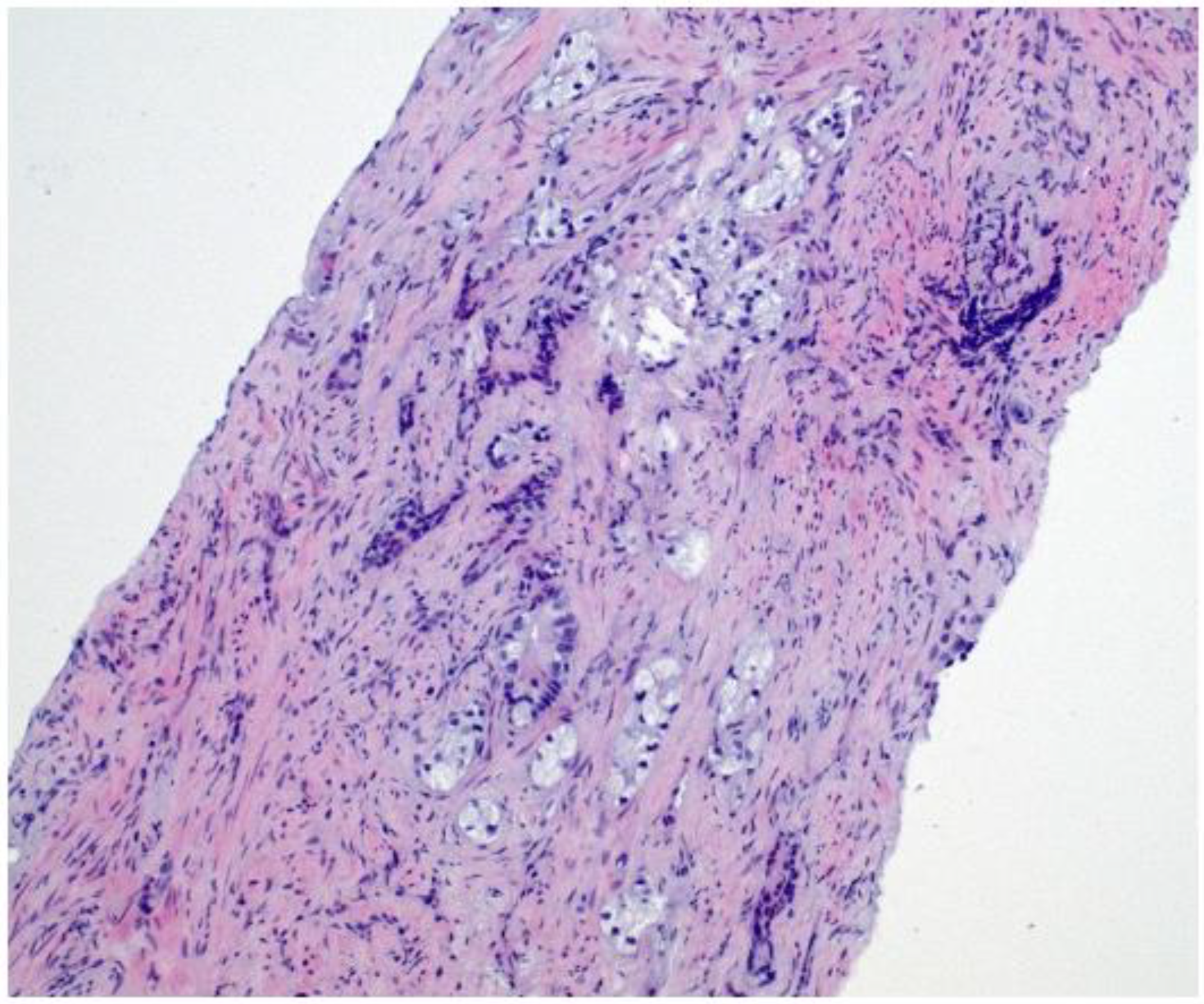
2. Case Presentation
3. Literature Review and Discussion
3.1. Overview of Prostate Cancer Metastatic Patterns
3.2. Clinical Features and Diagnostic Challenges
3.3. Role of Immunohistochemistry
3.4. Therapeutic and Prognostic Considerations
3.5. Composite Review of Published Cases
3.6. Diagnostic Pearls
- Maintain High Index of Suspicion: In older males with unexplained pleural effusion, especially hemorrhagic or exudative in nature, consider prostate cancer even if PSA is normal or borderline;
- Repeat Thoracenteses: If cytology is negative yet clinical suspicion remains high, repeated fluid sampling may yield malignant cells, but the yield can be limited;
- Pleural Biopsy: Thoracoscopic or image-guided biopsy is the most definitive step when fluid analyses are inconclusive, providing tissue for histopathology and IH;
- Immunohistochemical Analysis: Demonstration of PSA, NKX 3.1, AR, Prostein, or AMACR positivity, coupled with negative TTF1, WT1, GATA3, or CK20, is diagnostic for metastatic prostate adenocarcinoma in pleural tissue;
- Early Systemic Therapy: Prompt initiation of hormonal or combined therapies can significantly improve symptom control and potentially prolong survival.
4. Conclusions
Funding
Institutional Review Board Statement
Informed Consent Statement
Data Availability Statement
Conflicts of Interest
References
- Siegel, R.; Ma, J.; Zou, Z.; Jemal, A. Cancer statistics, 2022. CA Cancer J. Clin. 2022, 72, 7–33. [Google Scholar] [CrossRef] [PubMed]
- Ferlay, J.; Colombet, M.; Soerjomataram, I.; Parkin, D.M.; Piñeros, M.; Znaor, A.; Bray, F. Cancer incidence and mortality worldwide: Sources, methods and major patterns in GLOBOCAN 2020. Int. J. Cancer 2021, 149, 778–789. [Google Scholar] [PubMed]
- Vinjamoori, A.H.; Jagannathan, J.P.; Shinagare, A.B.; Taplin, M.-E.; Oh, W.K.; Abbeele, A.D.V.D.; Ramaiya, N.H. Atypical metastases from prostate cancer: 10-year experience at a single institution. AJR Am. J. Roentgenol. 2012, 199, 367–372. [Google Scholar] [CrossRef] [PubMed]
- Bubendorf, L.; Schöpfer, A.; Wagner, U.; Sauter, G.; Moch, H.; Willi, N.; Gasser, T.C.; Mihatsch, M.J. Metastatic patterns of prostate cancer: An autopsy study of 1,589 patients. Hum. Pathol. 2000, 31, 578–583. [Google Scholar] [CrossRef]
- de la Monte, S.M.; Moore, G.W.; Hutchins, G.M. Metastatic behavior of prostate cancer: Cluster analysis of patterns with respect to estrogen treatment. Cancer 1986, 58, 985–993. [Google Scholar] [CrossRef]
- Long, M.A.; Husband, J.E. Features of unusual metastases from prostate cancer. Br. J. Radiol. 1999, 72, 933–941. [Google Scholar] [CrossRef]
- Apple, H.A.; Goodwin, W.E. Pulmonary metastases from prostate cancer. J. Urol. 1964, 91, 31–36. [Google Scholar]
- Knight, J.C.; Ray, M.A.; Benzaquen, S. Malignant pleural effusion from prostate adenocarcinoma. Respir. Med. Case Rep. 2014, 13, 24–25. [Google Scholar] [CrossRef]
- Yasuda, K.; Maeda, A.; Yukawa, T.; Saisho, S.; Okita, R.; Hirami, Y.; Shimizu, K.; Nakata, M. Case of pleural metastasis of prostate cancer. Thorac. Cancer 2013, 4, 465–468. [Google Scholar] [CrossRef]
- Jeon, J.; Kim, T.-J.; Park, H.S.; Lee, K.-Y. Malignant pleural effusion due to metastatic prostate cancer: Cytologic features and immunocytochemical findings. J. Pathol. Transl. Med. 2018, 52, 257–261. [Google Scholar] [CrossRef]
- Whittemore, A.S.; Keller, J.B.; Betensky, R. Low PSA and high-grade prostate cancer: An emerging clinical entity? J. Urol. 2007, 177, 439–440. [Google Scholar] [CrossRef]
- Hølund, B.; Shepherd, D.J. Metastatic prostatic carcinoma with normal prostate-specific antigen levels. Scand. J. Urol. Nephrol. 1992, 26, 83–85. [Google Scholar]
- Nikolaidis, C.; Lazaridis, G.; Baka, S. Pleural effusion in a patient with advanced prostate cancer: A case report and short literature review. Oncol. Lett. 2016, 11, 2587–2590. [Google Scholar] [CrossRef]
- Vakil, A.; Upadhyay, H.; Sherani, K.; Cervellione, K.; Babury, M. Isolated pleural involvement in recurrent metastatic prostate cancer: A case report. Chest 2014, 145, 308A. [Google Scholar] [CrossRef]
- Zhou, M.; Shah, R.; Shen, R.; Rubin, M. Cytoplasmic localization of alpha-methylacyl-CoA racemase is an immunohistochemical marker of prostatic carcinoma. Am. J. Surg. Pathol. 2003, 27, 772–778. [Google Scholar]
- Gandaglia, G.; Karakiewicz, P.I.; Briganti, A.; Passoni, N.M.; Schiffmann, J.; Trudeau, V.; Graefen, M.; Montorsi, F.; Sun, M. Impact of the site of metastases on survival in patients with metastatic prostate cancer. Eur. Urol. 2015, 68, 325–334. [Google Scholar] [CrossRef]
- Mandaliya, H.; Sung, J.; Hill, J.; Samali, R.; George, M. Prostate cancer: Cases of rare presentation and rare metastasis. Case Rep. Oncol. 2015, 8, 526–529. [Google Scholar] [CrossRef]
- Lima, V.; Martinez-Lapus, F.G.; Demegillo, K.J. Breast metastasis from castrate-resistant prostatic adenocarcinoma mimicking as a second primary: A case report. Case Rep. Oncol. 2018, 11, 730–735. [Google Scholar] [CrossRef]
- Thellenberg, C.; Malmer, B.; Tavelin, B.; Grönberg, H. Second primary cancers in men with prostate cancer: An increased risk of male breast cancer. J. Urol. 2003, 169, 1345–1348. [Google Scholar] [CrossRef]
- Njiaju, U.O.; Truica, C.I. Metastatic prostatic adenocarcinoma mimicking inflammatory breast carcinoma: A case report. Clin. Breast Cancer 2010, 10, E3–E5. [Google Scholar] [CrossRef]
- Boldt, H.C.; Nerad, J.A. Orbital metastases from prostate carcinoma. Arch. Ophthalmol. 1988, 106, 1403–1408. [Google Scholar] [CrossRef] [PubMed]
- Kattah, J.C.; Chrousos, G.C.; Roberts, J.; Kolsky, M.; Zimmerman, L.; Manz, H. Metastatic prostate cancer to the optic canal. Ophthalmology 1993, 100, 1711–1715. [Google Scholar] [CrossRef] [PubMed]
- Pond, G.R.; Sonpavde, G.; De Wit, R.; Eisenberger, M.A.; Tannock, I.F.; Armstrong, A.J. The prognostic importance of metastatic site in men with metastatic castration-resistant prostate cancer. Eur. Urol. 2014, 65, 3–6. [Google Scholar] [CrossRef] [PubMed]
- Cocci, A.; Hakenberg, O.W.; Cai, T.; Nesi, G.; Livi, L.; Detti, B.; Minervini, A.; Morelli, G.; Carini, M.; Serni, S.; et al. Prognosis of men with penile metastasis and malignant priapism: A systematic review. Oncotarget 2018, 9, 2923–2930. [Google Scholar] [CrossRef]
- Kawahara, T.; Taguchi, H.; Yamagishi, T.; Udagawa, K.; Ouchi, H.; Misaki, H. A case of bilateral adrenal and pleural metastases from prostate cancer. Case Rep. Oncol. 2009, 2, 217–219. [Google Scholar] [CrossRef]
- dos Santos, V.M.; da Silva Zembrzuski, M.M.; Gouvea, I.P.; Nery, N.S.; Santos, L.A.M.D. Massive pleural effusion due to metastasis of prostate cancer. West. Indian. Med. J. 2011, 60, 690–693. [Google Scholar]
- Sampsonas, F.; Komninos, D.; Sotiropoulou, V.; Katsaras, M.; Gkanetsou, D.; Papaioannou, O.; Tsiri, P.; Tzelepi, V.; Tzouvelekis, A. EBUS-TBNA pleural biopsy reveals prostate cancer metastasis: A rare case report and review of the literature. Pneumon 2024, 37, 29. [Google Scholar] [CrossRef]
- Sakamoto, N.; Eto, M.; Ando, S. Surgical excision of a metastatic adrenal lesion in a patient with prostatic cancer. Int. J. Urol. 1999, 6, 38–40. [Google Scholar] [CrossRef]
- Navarro, M.; Felip, E.; Garcia, L.; Bellmunt, J.; Jolis, L.; Morales, S.; Rubio, D. Addison’s disease secondary to prostatic carcinoma. A case report. Tumori 1990, 76, 611–613. [Google Scholar] [CrossRef]
- Ishii, T.; Hiratsuka, Y. Bilateral adrenal metastases from prostatic carcinoma during chemoendocrine therapy. Rinsho Hinyokika 2003, 57, 157–159. [Google Scholar]
- Takagi, Y.; Hashimoto, J.; Kurokawa, T.; Kanai, S. Prostate cancer with multiple pulmonary and pleural metastases: A case report. Rinsho Hinyokika 2004, 58, 769–771. [Google Scholar]
- Nikolopoulos, D.; Yfadopoulos, D.; Anastasiou, N.; Stouraiti, K.; Aggeli, K. Massive pleural effusion from prostate cancer metastasis: A rare case and review of the literature. Gazz. Med. Ital. Arch. Sci. Med. 2015, 174, 487–489. [Google Scholar]
- Singh, S.; Singh, A.; Jyotimallika, J. Metastasis of prostate cancer to pleura. J. Pulmon Resp. Med. 2013, 3, 135. [Google Scholar] [CrossRef]
- Knight, A.C.; Zimmerman, S.; Herman, T. Transudative pleural effusion from metastatic prostate cancer. Chest 2012, 142, 374A. [Google Scholar]
- Percarpio, B.; Lieber, J.; Wallen, J.M. Prostate cancer presenting as malignant pleural effusion with normal PSA. Urol. Case Rep. 2016, 7, 19–21. [Google Scholar] [CrossRef]
- Jewett, M.A.; Torno, R.B. Low PSA, high-grade prostate cancer. Semin. Urol. Oncol. 1999, 17, 147–154. [Google Scholar]
- Terry, S.; Beltran, H. The many faces of neuroendocrine differentiation in prostate cancer progression. Front. Oncol. 2014, 4, 60. [Google Scholar] [CrossRef]
- Froudarakis, M.E. Diagnostic work-up of pleural effusions. Respiration 2008, 75, 4–13. [Google Scholar] [CrossRef]
- Ryan, C.J.; Crawford, E.D.; Shore, N.D.; Underwood, W.; Taplin, M.E.; Londhe, A.; Francis, P.S.; Phillips, J.; McGowan, T.; Kantoff, P.W. The IMAAGEN study: Effect of abiraterone acetate and prednisone on PSA and radiographic progression in patients with nonmetastatic castration-resistant prostate cancer. J. Clin. Oncol. 2018, 36, 1364–1371. [Google Scholar] [CrossRef]
- Fizazi, K.; Tran, N.; Fein, L.; Matsubara, N.; Rodriguez-Antolin, A.; Alekseev, B.Y.; Özgüroğlu, M.; Ye, D.; Feyerabend, S.; Protheroe, A.; et al. Abiraterone plus prednisone in metastatic, castration-sensitive prostate cancer. N. Engl. J. Med. 2017, 377, 352–360. [Google Scholar] [CrossRef]
- Tannock, I.F.; De Wit, R.; Berry, W.R.; Horti, J.; Pluzanska, A.; Chi, K.N.; Oudard, S.; Théodore, C.; James, N.D.; Turesson, I.; et al. Docetaxel plus prednisone or mitoxantrone plus prednisone for advanced prostate cancer. N. Engl. J. Med. 2004, 351, 1502–1512. [Google Scholar] [CrossRef]
- McCutcheon, I.E.; Eng, D.Y.; Logothetis, C.J. Brain metastasis from prostate carcinoma: Antemortem recognition and outcome after treatment. Cancer 1999, 86, 2301–2311. [Google Scholar] [CrossRef]








| Study (Year) | Initial Characteristics (Pleural Metastasis Discovery) | Age (Years) | Symptoms | Pathology/Gleason Score | Presence of Pleural Effusion | Changes in Cytology | Initial PSA (ng/mL) | Tumor Type | Surgery/Prostate Primary Treatment | Radiation Therapy | Other Treatments for mPCa | Stage or Status | Treatment for mPCa (at Pleural Metastasis) | Outcome and Conclusions |
|---|---|---|---|---|---|---|---|---|---|---|---|---|---|---|
| Kawahara et al. (2009) [25] | Bilateral adrenal metastases discovered first; pleural tumor noted after 8–12 cycles of docetaxel | 65 | Not stated | Gleason 4 + 3 = 7 | Yes | Not stated | 515 | Adenocarcinoma | Patient received MAB therapy | Not stated | MAB then docetaxel | Advanced/metastatic | Continued docetaxel-based chemotherapy + steroid | Progression to bilateral adrenal and pleural metastases; case underscores rarity of bilateral adrenal + pleural spread |
| Yasuda et al. (2013) [9] | Solitary pleural thickening on imaging 2.5 years after multi-pulmonary metastases | 71 | Shortness of breath | Not stated | Yes | NA | 187.1 | Adenocarcinoma | Androgen-deprivation therapy | Not stated | Hormone therapy | Advanced/metastatic | Anti-androgen therapy continued | Pleural biopsy positive for prostate origin (PSA+). Highlights that pleural thickening without typical effusion can still be metastatic prostate cancer |
| Vakil et al. (2014) [14] | Large left-sided effusion in recurrent metastatic prostate cancer 6 years post radical prostatectomy | 73 | Pleuritic chest pain, dyspnea | Poorly differentiated Ca | Yes | Negative for PSA stain in pleural fluid; cells were positive for CEA and chromogranin | Normal at recurrence | Adenocarcinoma with neuroendocrine features | Radical prostatectomy (6 years prior) | NA | Hormonal therapy | Recurrent metastatic PCa | Anti-androgen therapy continued | Emphasizes that pleural fluid PSA can be normal or negative; diagnosis confirmed by immunohistochemical stains (CEA+, Chromogranin A+, negative pleural fluid PSA) |
| dos Santos et al. (2011) [26] | Massive right pleural effusion discovered with weight loss, respiratory symptoms; previous failure of docetaxel-based therapy | 72 | Fever, weight loss, cough, dyspnea | Gleason 6 (3 + 3) | Yes | Fluid cytology negative multiple times; biopsy with PSA+ tumor cells | 485 | Adenocarcinoma | Radical prostatectomy + bilateral orchiectomy + anti-androgens, plus docetaxel chemo | External beam RT | Continued docetaxel and supportive therapy (pleurodesis) | Castration-resistant | Pleural drainage and pleurodesis; continued systemic therapy | Pleural biopsy and immunohistochemistry (PSA+, CK7+) established pleural mets. Despite prior therapies, patient progressed with new effusion |
| Sampsonas et al. (2024) [27] | Large unilateral effusion and mediastinal pleural thickening found on CT | 91 | Progressive dyspnea | Not stated | Yes | Biopsy-proven (EBUS TBNA) positive for PSA, AMACR, negative for TTF-1 | 135 | Adenocarcinoma | Not stated | Not stated | Not stated | Not stated | Androgen deprivation therapy | First known case in literature of diagnosing a prostate-cancer pleural metastasis specifically by EBUS-TBNA. Emphasizes the importance of sampling the pleura in atypical presentations |
| Singh et al. (2013) [33] | Persistent effusion misdiagnosed initially as pneumonia | 70 | Shortness of breath, cough | Not stated | Yes | Repeated negative cytology; final diagnosis via VATS (PSA+) | Not stated | Adenocarcinoma | Surgery + radiation therapy (5 yrs prior) | Yes | Leuprolide for recurrence; planned chemo and bisphosphonates | Hormone refractory | Ultimately chemo, bisphosphonates, VATS pleurodesis | Repeatedly negative fluid cytology despite visible pleural nodules; confirmed via PSA+ biopsy. Highlights that thoracoscopy can be crucial for diagnosis |
Disclaimer/Publisher’s Note: The statements, opinions and data contained in all publications are solely those of the individual author(s) and contributor(s) and not of MDPI and/or the editor(s). MDPI and/or the editor(s) disclaim responsibility for any injury to people or property resulting from any ideas, methods, instructions or products referred to in the content. |
© 2025 by the authors. Licensee MDPI, Basel, Switzerland. This article is an open access article distributed under the terms and conditions of the Creative Commons Attribution (CC BY) license (https://creativecommons.org/licenses/by/4.0/).
Share and Cite
Skrobisz, K.; Miszewski, K.; Miszewska, L.; Bieńkowski, M.; Matuszewski, M.; Studniarek, M. Pleural Metastasis as an Initial Presentation of Prostate Cancer: Case Report and Literature Review. Diagnostics 2025, 15, 666. https://doi.org/10.3390/diagnostics15060666
Skrobisz K, Miszewski K, Miszewska L, Bieńkowski M, Matuszewski M, Studniarek M. Pleural Metastasis as an Initial Presentation of Prostate Cancer: Case Report and Literature Review. Diagnostics. 2025; 15(6):666. https://doi.org/10.3390/diagnostics15060666
Chicago/Turabian StyleSkrobisz, Katarzyna, Kevin Miszewski, Laura Miszewska, Michał Bieńkowski, Marcin Matuszewski, and Michał Studniarek. 2025. "Pleural Metastasis as an Initial Presentation of Prostate Cancer: Case Report and Literature Review" Diagnostics 15, no. 6: 666. https://doi.org/10.3390/diagnostics15060666
APA StyleSkrobisz, K., Miszewski, K., Miszewska, L., Bieńkowski, M., Matuszewski, M., & Studniarek, M. (2025). Pleural Metastasis as an Initial Presentation of Prostate Cancer: Case Report and Literature Review. Diagnostics, 15(6), 666. https://doi.org/10.3390/diagnostics15060666

