Malignant Meningiomas: From Diagnostics to Treatment
Abstract
1. Introduction
2. Diagnostics of Malignant Meningiomas
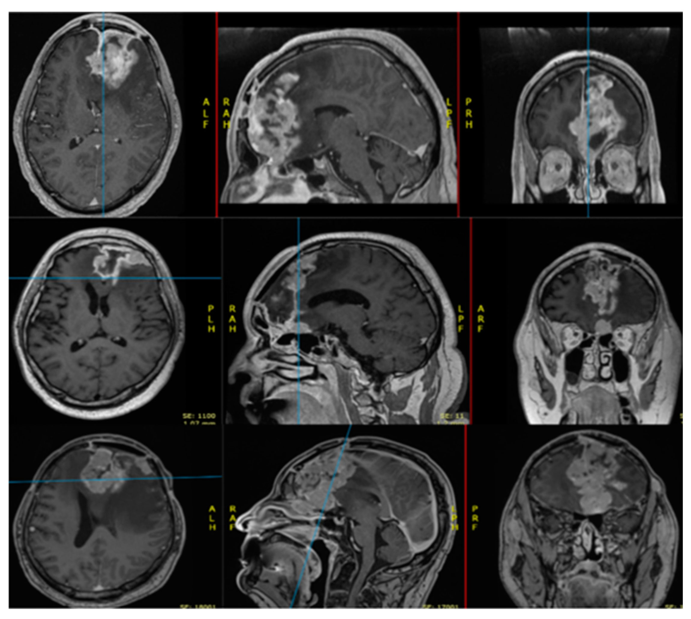
2.1. Imaging Diagnostics
2.2. Histopathologic and Molecular Diagnosis with Biomarkers
3. Management of Malignant Meningiomas
3.1. Surgical Management
3.2. Radiotherapy and Radiosurgery
3.3. Systemic Therapy
4. Outcomes and Prognosis
5. Conclusions
Author Contributions
Funding
Institutional Review Board Statement
Informed Consent Statement
Data Availability Statement
Conflicts of Interest
References
- Wang, J.Z.; Landry, A.P.; Raleigh, D.R.; Sahm, F.; Walsh, K.M.; Goldbrunner, R.; Yefet, L.S.; Tonn, J.C.; Gui, C.; Ostrom, Q.T.; et al. Meningioma: International Consortium on Meningiomas Consensus Review on Scientific Advances and Treatment Paradigms for Clinicians, Researchers, and Patients. Neuro-oncology 2024, 26, 1742–1780. [Google Scholar] [CrossRef]
- Ostrom, Q.T.; Price, M.; Neff, C.; Cioffi, G.; Waite, K.A.; Kruchko, C.; Barnholtz-Sloan, J.S. CBTRUS Statistical Report: Primary Brain and Other Central Nervous System Tumors Diagnosed in the United States in 2016–2020. Neuro-oncology 2023, 25, iv1–iv99. [Google Scholar] [CrossRef] [PubMed]
- Ravnik, J.; Rowbottom, H. The Impact of Molecular and Genetic Analysis on the Treatment of Patients with Atypical Meningiomas. Diagnostics 2024, 14, 1782. [Google Scholar] [CrossRef] [PubMed]
- Louis, D.N.; Perry, A.; Wesseling, P.; Brat, D.J.; Cree, I.A.; Figarella-Branger, D.; Hawkins, C.; Ng, H.K.; Pfister, S.M.; Reifenberger, G.; et al. The 2021 WHO Classification of Tumors of the Central Nervous System: A Summary. Neuro-oncology 2021, 23, 1231–1251. [Google Scholar] [CrossRef] [PubMed]
- Meningioma. In Central Nervous System Tumours: WHO Classification of Tumours; WHO Classification of Tumours Editorial Board, Ed.; Wordl Health Organization: Geneva, Switzerland, 2022; Volume 6, pp. 283–299. [Google Scholar]
- Walsh, K.M.; Price, M.; Neff, C.; Komisarow, J.M.; Wimberly, C.E.; Kruchko, C.; Barnholtz-Sloan, J.S.; Ostrom, Q.T. The Joint Impacts of Sex and Race/Ethnicity on Incidence of Grade 1 versus Grades 2–3 Meningioma across the Lifespan. Neuro-Oncol. Adv. 2023, 5, i5–i12. [Google Scholar] [CrossRef] [PubMed]
- Maier, A.D.; Mirian, C.; Haslund-Vinding, J.; Bartek, J.; Guldager, R.; Møller, S.; Munch, T.N.; Fugleholm, K.; Poulsgaard, L.; Skjøth-Rasmussen, J.; et al. Granular Clinical History and Outcome in 51 Patients with Primary and Secondary Malignant Meningioma. J. Neurosurg. 2022, 137, 1347–1357. [Google Scholar] [CrossRef]
- Tosefsky, K.; Rebchuk, A.D.; Wang, J.Z.; Ellenbogen, Y.; Drexler, R.; Ricklefs, F.L.; Sauvigny, T.; Schüller, U.; Cutler, C.B.; Lucke-Wold, B.; et al. Grade 3 Meningioma Survival and Recurrence Outcomes in an International Multicenter Cohort. J. Neurosurg. 2023, 140, 393–403. [Google Scholar] [CrossRef]
- Agnihotri, S.; Suppiah, S.; Tonge, P.D.; Jalali, S.; Danesh, A.; Bruce, J.P.; Mamatjan, Y.; Klironomos, G.; Gonen, L.; Au, K.; et al. Therapeutic Radiation for Childhood Cancer Drives Structural Aberrations of NF2 in Meningiomas. Nat. Commun. 2017, 8, 186. [Google Scholar] [CrossRef] [PubMed]
- Umansky, F.; Shoshan, Y.; Rosenthal, G.; Fraifeld, S.; Spektor, S. Radiation-Induced Meningioma. Neurosurg. Focus. 2008, 24, E7. [Google Scholar] [CrossRef]
- Schildkraut, J.M.; Calvocoressi, L.; Wang, F.; Wrensch, M.; Bondy, M.L.; Wiemels, J.L.; Claus, E.B. Endogenous and Exogenous Hormone Exposure and the Risk of Meningioma in Men: Clinical Article. J. Neurosurg. 2014, 120, 820–826. [Google Scholar] [CrossRef] [PubMed]
- Taylor, A.J.; Little, M.P.; Winter, D.L.; Sugden, E.; Ellison, D.W.; Stiller, C.A.; Stovall, M.; Frobisher, C.; Lancashire, E.R.; Reulen, R.C.; et al. Population-Based Risks of CNS Tumors in Survivors of Childhood Cancer: The British Childhood Cancer Survivor Study. J. Clin. Oncol. 2010, 28, 5287–5293. [Google Scholar] [CrossRef] [PubMed]
- Withrow, D.R.; Anderson, H.; Armstrong, G.T.; Hawkins, M.; Journy, N.; Neglia, J.P.; De Vathaire, F.; Tucker, M.A.; Inskip, P.D.; Brenner, A.V.; et al. Pooled Analysis of Meningioma Risk Following Treatment for Childhood Cancer. JAMA Oncol. 2022, 8, 1756. [Google Scholar] [CrossRef] [PubMed]
- Benjamin, C.; Shah, J.K.; Kondziolka, D. Chapter 18—Radiation-Induced Meningiomas. In Meningiomas, Part I; McDermott, M.W., Ed.; Handbook of Clinical Neurology; Elsevier: Amsterdam, The Netherlands, 2020; Volume 169, pp. 273–284. [Google Scholar]
- Weill, A.; Nguyen, P.; Labidi, M.; Cadier, B.; Passeri, T.; Duranteau, L.; Bernat, A.-L.; Yoldjian, I.; Fontanel, S.; Froelich, S.; et al. Use of High Dose Cyproterone Acetate and Risk of Intracranial Meningioma in Women: Cohort Study. BMJ 2021, 372, n37. [Google Scholar] [CrossRef]
- Pettersson-Segerlind, J.; Mathiesen, T.; Elmi-Terander, A.; Edström, E.; Talbäck, M.; Feychting, M.; Tettamanti, G. The Risk of Developing a Meningioma during and after Pregnancy. Sci. Rep. 2021, 11, 9153. [Google Scholar] [CrossRef] [PubMed]
- Abi Jaoude, S.; Peyre, M.; Degos, V.; Goutagny, S.; Parfait, B.; Kalamarides, M. Validation of a Scoring System to Evaluate the Risk of Rapid Growth of Intracranial Meningiomas in Neurofibromatosis Type 2 Patients. J. Neurosurg. 2021, 134, 1377–1385. [Google Scholar] [CrossRef] [PubMed]
- Chamoun, R.; Krisht, K.M.; Couldwell, W.T. Incidental Meningiomas. Neurosurg. Focus. 2011, 31, E19. [Google Scholar] [CrossRef] [PubMed]
- Islim, A.I.; Millward, C.P.; Mills, S.J.; Fountain, D.M.; Zakaria, R.; Pathmanaban, O.N.; Mathew, R.K.; Santarius, T.; Jenkinson, M.D. The Management of Incidental Meningioma: An Unresolved Clinical Conundrum. Neuro-Oncol. Adv. 2023, 5, i26–i34. [Google Scholar] [CrossRef] [PubMed]
- Islim, A.I.; Kolamunnage-Dona, R.; Mohan, M.; Moon, R.D.C.; Crofton, A.; Haylock, B.J.; Rathi, N.; Brodbelt, A.R.; Mills, S.J.; Jenkinson, M.D. A Prognostic Model to Personalize Monitoring Regimes for Patients with Incidental Asymptomatic Meningiomas. Neuro-oncology 2020, 22, 278–289. [Google Scholar] [CrossRef]
- Zeng, L.; Liang, P.; Jiao, J.; Chen, J.; Lei, T. Will an Asymptomatic Meningioma Grow or Not Grow? A Meta-Analysis. J. Neurol. Surg. A Cent. Eur. Neurosurg. 2015, 76, 341–347. [Google Scholar] [CrossRef] [PubMed]
- Huang, R.Y.; Bi, W.L.; Griffith, B.; Kaufmann, T.J.; La Fougère, C.; Schmidt, N.O.; Tonn, J.C.; Vogelbaum, M.A.; Wen, P.Y.; Aldape, K.; et al. Imaging and Diagnostic Advances for Intracranial Meningiomas. Neuro-oncology 2019, 21, i44–i61. [Google Scholar] [CrossRef]
- Sheporaitis, L.A.; Clunie, D.A.; Howieson, J. Radiologic-Pathologic Correlation. AJNR Am. J. Neuroradiol. 1992, 13, 29–37. [Google Scholar] [PubMed]
- Magill, S.T.; Young, J.S.; Chae, R.; Aghi, M.K.; Theodosopoulos, P.V.; McDermott, M.W. Relationship between Tumor Location, Size, and WHO Grade in Meningioma. Neurosurg. Focus. 2018, 44, E4. [Google Scholar] [CrossRef]
- Chen, T.C. Primary Intraosseous Meningioma. Neurosurg. Clin. N. Am. 2016, 27, 189–193. [Google Scholar] [CrossRef]
- Lyndon, D.; Lansley, J.A.; Evanson, J.; Krishnan, A.S. Dural Masses: Meningiomas and Their Mimics. Insights Imaging 2019, 10, 11. [Google Scholar] [CrossRef]
- Tamrazi, B.; Shiroishi, M.S.; Liu, C.-S.J. Advanced Imaging of Intracranial Meningiomas. Neurosurg. Clin. N. Am. 2016, 27, 137–143. [Google Scholar] [CrossRef] [PubMed]
- Aoki, S.; Sasaki, Y.; Machida, T.; Tanioka, H. Contrast-Enhanced MR Images in Patients with Meningioma. AJNR Am. J. Neuroradiol. 1990, 11, 935–938. [Google Scholar]
- Wen, M.; Jung, S.; Moon, K.-S.; Pei, J.; Lee, K.-H.; Jin, S.-G.; Li, S.-Y.; Ryu, H.-H. Immunohistochemical Profile of the Dural Tail in Intracranial Meningiomas. Acta Neurochir. 2014, 156, 2263–2273. [Google Scholar] [CrossRef] [PubMed]
- Lee, K.-J.; Joo, W.-I.; Rha, H.-K.; Park, H.-K.; Chough, J.-K.; Hong, Y.-K.; Park, C.-K. Peritumoral Brain Edema in Meningiomas: Correlations between Magnetic Resonance Imaging, Angiography, and Pathology. Surg. Neurol. 2008, 69, 350–355. [Google Scholar] [CrossRef] [PubMed]
- Hashiba, T.; Hashimoto, N.; Maruno, M.; Izumoto, S.; Suzuki, T.; Kagawa, N.; Yoshimine, T. Scoring Radiologic Characteristics to Predict Proliferative Potential in Meningiomas. Brain Tumor Pathol. 2006, 23, 49–54. [Google Scholar] [CrossRef] [PubMed]
- Kasuya, H.; Kubo, O.; Tanaka, M.; Amano, K.; Kato, K.; Hori, T. Clinical and Radiological Features Related to the Growth Potential of Meningioma. Neurosurg. Rev. 2006, 29, 293–297. [Google Scholar] [CrossRef] [PubMed]
- Kawahara, Y.; Nakada, M.; Hayashi, Y.; Kai, Y.; Hayashi, Y.; Uchiyama, N.; Nakamura, H.; Kuratsu, J.; Hamada, J. Prediction of High-Grade Meningioma by Preoperative MRI Assessment. J. Neurooncol 2012, 108, 147–152. [Google Scholar] [CrossRef] [PubMed]
- Jääskeläinen, J.; Haltia, M.; Laasonen, E.; Wahlström, T.; Valtonen, S. The Growth Rate of Intracranial Meningiomas and Its Relation to Histology. An Analysis of 43 Patients. Surg. Neurol. 1985, 24, 165–172. [Google Scholar] [CrossRef] [PubMed]
- Fountain, D.M.; Soon, W.C.; Matys, T.; Guilfoyle, M.R.; Kirollos, R.; Santarius, T. Volumetric Growth Rates of Meningioma and Its Correlation with Histological Diagnosis and Clinical Outcome: A Systematic Review. Acta Neurochir. 2017, 159, 435–445. [Google Scholar] [CrossRef] [PubMed]
- Soon, W.C.; Fountain, D.M.; Koczyk, K.; Abdulla, M.; Giri, S.; Allinson, K.; Matys, T.; Guilfoyle, M.R.; Kirollos, R.W.; Santarius, T. Correlation of Volumetric Growth and Histological Grade in 50 Meningiomas. Acta Neurochir. 2017, 159, 2169–2177. [Google Scholar] [CrossRef] [PubMed]
- Luisins, J.O.; Nakagawa, H. Multiple Meningiomas Evaluated by Computed Tomography. Neurosurgery 1981, 9, 137–141. [Google Scholar] [CrossRef] [PubMed]
- Tang, Y.; Dundamadappa, S.K.; Thangasamy, S.; Flood, T.; Moser, R.; Smith, T.; Cauley, K.; Takhtani, D. Correlation of Apparent Diffusion Coefficient With Ki-67 Proliferation Index in Grading Meningioma. Am. J. Roentgenol. 2014, 202, 1303–1308. [Google Scholar] [CrossRef]
- Nagar, V.A.; Ye, J.R.; Ng, W.H.; Chan, Y.H.; Hui, F.; Lee, C.K.; Lim, C.C.T. Diffusion-Weighted MR Imaging: Diagnosing Atypical or Malignant Meningiomas and Detecting Tumor Dedifferentiation. AJNR Am. J. Neuroradiol. 2008, 29, 1147–1152. [Google Scholar] [CrossRef]
- Sanverdi, S.E.; Ozgen, B.; Oguz, K.K.; Mut, M.; Dolgun, A.; Soylemezoglu, F.; Cila, A. Is Diffusion-Weighted Imaging Useful in Grading and Differentiating Histopathological Subtypes of Meningiomas? Eur. J. Radiol. 2012, 81, 2389–2395. [Google Scholar] [CrossRef] [PubMed]
- Filippi, C.G.; Edgar, M.A.; Uluǧ, A.M.; Prowda, J.C.; Heier, L.A.; Zimmerman, R.D. Appearance of Meningiomas on Diffusion-Weighted Images: Correlating Diffusion Constants with Histopathologic Findings. AJNR Am. J. Neuroradiol. 2001, 22, 65–72. [Google Scholar]
- Toh, C.-H.; Castillo, M.; Wong, A.M.-C.; Wei, K.-C.; Wong, H.-F.; Ng, S.-H.; Wan, Y.-L. Differentiation Between Classic and Atypical Meningiomas with Use of Diffusion Tensor Imaging. AJNR Am. J. Neuroradiol. 2008, 29, 1630–1635. [Google Scholar] [CrossRef]
- Yin, B.; Liu, L.; Zhang, B.Y.; Li, Y.X.; Li, Y.; Geng, D.Y. Correlating Apparent Diffusion Coefficients with Histopathologic Findings on Meningiomas. Eur. J. Radiol. 2012, 81, 4050–4056. [Google Scholar] [CrossRef] [PubMed]
- Hakyemez, B.; Yıldırım, N.; Gokalp, G.; Erdogan, C.; Parlak, M. The Contribution of Diffusion-Weighted MR Imaging to Distinguishing Typical from Atypical Meningiomas. Neuroradiology 2006, 48, 513–520. [Google Scholar] [CrossRef] [PubMed]
- Huisman, T.A.G.M. Diffusion-Weighted and Diffusion Tensor Imaging of the Brain, Made Easy. Cancer Imaging 2010, 10, S163–S171. [Google Scholar] [CrossRef] [PubMed]
- Wirsching, H.-G.; Richter, J.K.; Sahm, F.; Morel, C.; Krayenbuehl, N.; Rushing, E.J.; Von Deimling, A.; Valavanis, A.; Weller, M. Post-Operative Cardiovascular Complications and Time to Recurrence in Meningioma Patients Treated with versus without Pre-Operative Embolization: A Retrospective Cohort Study of 741 Patients. J. Neurooncol 2018, 140, 659–667. [Google Scholar] [CrossRef]
- Iacobucci, M.; Danieli, L.; Visconti, E.; Maresca, M.; Anile, C.; Colosimo, C.; Pedicelli, A. Preoperative Embolization of Meningiomas with Polyvinyl Alcohol Particles: The Benefits Are Not Outweighed by Risks. Diagn. Interv. Imaging 2017, 98, 307–314. [Google Scholar] [CrossRef] [PubMed]
- Kousi, E.; Tsougos, I.; Fountas, K.; Theodorou, K.; Tsolaki, E.; Fezoulidis, I.; Kapsalaki, E. Distinct Peak at 3.8 Ppm Observed by 3T MR Spectroscopy in Meningiomas, While Nearly Absent in High-Grade Gliomas and Cerebral Metastases. Mol. Med. Rep. 2012, 5, 1011–1018. [Google Scholar] [CrossRef] [PubMed]
- Verma, A.; Kumar, I.; Verma, N.; Aggarwal, P.; Ojha, R. Magnetic Resonance Spectroscopy—Revisiting the Biochemical and Molecular Milieu of Brain Tumors. BBA Clin. 2016, 5, 170–178. [Google Scholar] [CrossRef]
- Hakyemez, B.; Yildirim, N.; Erdoðan, C.; Kocaeli, H.; Korfali, E.; Parlak, M. Meningiomas with Conventional MRI Findings Resembling Intraaxial Tumors: Can Perfusion-Weighted MRI Be Helpful in Differentiation? Neuroradiology 2006, 48, 695–702. [Google Scholar] [CrossRef] [PubMed]
- Shi, R.; Jiang, T.; Si, L.; Li, M. Correlations of Magnetic Resonance, Perfusion-Weighed Imaging Parameters and Microvessel Density in Meningioma. J. Boun 2016, 21, 709–713. [Google Scholar]
- Zhang, H.; Rödiger, L.A.; Shen, T.; Miao, J.; Oudkerk, M. Perfusion MR Imaging for Differentiation of Benign and Malignant Meningiomas. Neuroradiology 2008, 50, 525–530. [Google Scholar] [CrossRef] [PubMed]
- Ginat, D.T.; Mangla, R.; Yeaney, G.; Schaefer, P.W.; Wang, H. Correlation between Dynamic Contrast-Enhanced Perfusion MRI Relative Cerebral Blood Volume and Vascular Endothelial Growth Factor Expression in Meningiomas. Acad. Radiol. 2012, 19, 986–990. [Google Scholar] [CrossRef] [PubMed]
- Ginat, D.T.; Mangla, R.; Yeaney, G.; Wang, H.Z. Correlation of Diffusion and Perfusion MRI With Ki-67 in High-Grade Meningiomas. Am. J. Roentgenol. 2010, 195, 1391–1395. [Google Scholar] [CrossRef] [PubMed]
- Koizumi, S.; Sakai, N.; Kawaji, H.; Takehara, Y.; Yamashita, S.; Sakahara, H.; Baba, S.; Hiramatsu, H.; Sameshima, T.; Namba, H. Pseudo-Continuous Arterial Spin Labeling Reflects Vascular Density and Differentiates Angiomatous Meningiomas from Non-Angiomatous Meningiomas. J. Neurooncol 2015, 121, 549–556. [Google Scholar] [CrossRef] [PubMed]
- Qiao, X.J.; Kim, H.G.; Wang, D.J.J.; Salamon, N.; Linetsky, M.; Sepahdari, A.; Ellingson, B.M.; Pope, W.B. Application of Arterial Spin Labeling Perfusion MRI to Differentiate Benign from Malignant Intracranial Meningiomas. Eur. J. Radiol. 2017, 97, 31–36. [Google Scholar] [CrossRef]
- Prasad, R.N.; Perlow, H.K.; Bovi, J.; Braunstein, S.E.; Ivanidze, J.; Kalapurakal, J.A.; Kleefisch, C.; Knisely, J.P.S.; Mehta, M.P.; Prevedello, D.M.; et al. 68Ga-DOTATATE PET: The Future of Meningioma Treatment. Int. J. Radiat. Oncol. Biol. Phys. 2022, 113, 868–871. [Google Scholar] [CrossRef] [PubMed]
- Kong, M.J.; Yang, A.F.; Vora, S.A.; Ross, J.S.; Yang, M. The Complementary Role of68 Ga-DOTATATE PET/CT in Diagnosis of Recurrent Meningioma. J. Nucl. Med. Technol. 2022, 50, 348–352. [Google Scholar] [CrossRef] [PubMed]
- Galldiks, N.; Albert, N.L.; Sommerauer, M.; Grosu, A.L.; Ganswindt, U.; Law, I.; Preusser, M.; Le Rhun, E.; Vogelbaum, M.A.; Zadeh, G.; et al. PET Imaging in Patients with Meningioma—Report of the RANO/PET Group. Neuro-oncology 2017, 19, 1576–1587. [Google Scholar] [CrossRef] [PubMed]
- Wong, W.L.; Campbell, H.; Saunders, M. Positron Emission Tomography (PET)-Evaluation of “Indeterminate Pulmonary Lesions”. Clin. Oncol. (R Coll. Radiol.) 2002, 14, 123–128. [Google Scholar] [CrossRef] [PubMed]
- Rachinger, W.; Stoecklein, V.M.; Terpolilli, N.A.; Haug, A.R.; Ertl, L.; Pöschl, J.; Schüller, U.; Schichor, C.; Thon, N.; Tonn, J.-C. Increased68 Ga-DOTATATE Uptake in PET Imaging Discriminates Meningioma and Tumor-Free Tissue. J. Nucl. Med. 2015, 56, 347–353. [Google Scholar] [CrossRef]
- Himič, V.; Burman, R.J.; Fountain, D.M.; Hofer, M.; Livermore, L.J.; Jeyaretna, D.S. Metastatic Meningioma: A Case Series and Systematic Review. Acta Neurochir. 2023, 165, 2873–2883. [Google Scholar] [CrossRef] [PubMed]
- Kowalski, E.S.; Khairnar, R.; Gryaznov, A.A.; Kesari, V.; Koroulakis, A.; Raghavan, P.; Chen, W.; Woodworth, G.; Mishra, M. 68Ga-DOTATATE PET-CT as a Tool for Radiation Planning and Evaluating Treatment Responses in the Clinical Management of Meningiomas. Radiat. Oncol. 2021, 16, 151. [Google Scholar] [CrossRef]
- Teske, N.; Biczok, A.; Quach, S.; Dekorsy, F.J.; Forbrig, R.; Bodensohn, R.; Niyazi, M.; Tonn, J.-C.; Albert, N.L.; Schichor, C.; et al. Postoperative [68Ga]Ga-DOTA-TATE PET/CT Imaging Is Prognostic for Progression-Free Survival in Meningioma WHO Grade 1. Eur. J. Nucl. Med. Mol. Imaging 2023, 51, 206–217. [Google Scholar] [CrossRef] [PubMed]
- Kunz, W.G.; Jungblut, L.M.; Kazmierczak, P.M.; Vettermann, F.J.; Bollenbacher, A.; Tonn, J.C.; Schichor, C.; Rominger, A.; Albert, N.L.; Bartenstein, P.; et al. Improved Detection of Transosseous Meningiomas Using68 Ga-DOTATATE PET/CT Compared with Contrast-Enhanced MRI. J. Nucl. Med. 2017, 58, 1580–1587. [Google Scholar] [CrossRef] [PubMed]
- Unterrainer, M.; Kunte, S.C.; Unterrainer, L.M.; Holzgreve, A.; Delker, A.; Lindner, S.; Beyer, L.; Brendel, M.; Kunz, W.G.; Winkelmann, M.; et al. Next-Generation PET/CT Imaging in Meningioma—First Clinical Experiences Using the Novel SSTR-Targeting Peptide [18F]SiTATE. Eur. J. Nucl. Med. Mol. Imaging 2023, 50, 3390–3399. [Google Scholar] [CrossRef] [PubMed]
- Wängler, C.; Beyer, L.; Bartenstein, P.; Wängler, B.; Schirrmacher, R.; Lindner, S. Favorable SSTR Subtype Selectivity of SiTATE: New Momentum for Clinical [18F]SiTATE PET. EJNMMI Radiopharm. Chem. 2022, 7, 22. [Google Scholar] [CrossRef]
- Spille, D.C.; Heß, K.; Sauerland, C.; Sanai, N.; Stummer, W.; Paulus, W.; Brokinkel, B. Brain Invasion in Meningiomas: Incidence and Correlations with Clinical Variables and Prognosis. World Neurosurg. 2016, 93, 346–354. [Google Scholar] [CrossRef]
- Baumgarten, P.; Gessler, F.; Schittenhelm, J.; Skardelly, M.; Tews, D.S.; Senft, C.; Dunst, M.; Imoehl, L.; Plate, K.H.; Wagner, M.; et al. Brain Invasion in Otherwise Benign Meningiomas Does Not Predict Tumor Recurrence. Acta Neuropathol. 2016, 132, 479–481. [Google Scholar] [CrossRef] [PubMed]
- Goldbrunner, R.; Stavrinou, P.; Jenkinson, M.D.; Sahm, F.; Mawrin, C.; Weber, D.C.; Preusser, M.; Minniti, G.; Lund-Johansen, M.; Lefranc, F.; et al. EANO Guideline on the Diagnosis and Management of Meningiomas. Neuro-oncology 2021, 23, 1821–1834. [Google Scholar] [CrossRef]
- Torp, S.H.; Solheim, O.; Skjulsvik, A.J. The WHO 2021 Classification of Central Nervous System Tumours: A Practical Update on What Neurosurgeons Need to Know—A Minireview. Acta Neurochir. 2022, 164, 2453–2464. [Google Scholar] [CrossRef]
- Perry, A.; Scheithauer, B.W.; Stafford, S.L.; Lohse, C.M.; Wollan, P.C. “Malignancy” in Meningiomas: A Clinicopathologic Study of 116 Patients, with Grading Implications. Cancer 1999, 85, 2046–2056. [Google Scholar] [CrossRef] [PubMed]
- Williams, E.A.; Santagata, S.; Wakimoto, H.; Shankar, G.M.; Barker, F.G.; Sharaf, R.; Reddy, A.; Spear, P.; Alexander, B.M.; Ross, J.S.; et al. Distinct Genomic Subclasses of High-Grade/Progressive Meningiomas: NF2-Associated, NF2-Exclusive, and NF2-Agnostic. Acta Neuropathol. Commun. 2020, 8, 171. [Google Scholar] [CrossRef] [PubMed]
- Li, W.; You, L.; Cooper, J.; Schiavon, G.; Pepe-Caprio, A.; Zhou, L.; Ishii, R.; Giovannini, M.; Hanemann, C.O.; Long, S.B.; et al. Merlin/NF2 Suppresses Tumorigenesis by Inhibiting the E3 Ubiquitin Ligase CRL4DCAF1 in the Nucleus. Cell 2010, 140, 477–490. [Google Scholar] [CrossRef] [PubMed]
- Xiao, G.; Chernoff, J.; Testa, J.R. NF2: The Wizardry of Merlin. Genes. Chromosomes Cancer 2003, 38, 389–399. [Google Scholar] [CrossRef]
- Bachir, S.; Shah, S.; Shapiro, S.; Koehler, A.; Mahammedi, A.; Samy, R.N.; Zuccarello, M.; Schorry, E.; Sengupta, S. Neurofibromatosis Type 2 (NF2) and the Implications for Vestibular Schwannoma and Meningioma Pathogenesis. Int. J. Mol. Sci. 2021, 22, 690. [Google Scholar] [CrossRef] [PubMed]
- Baia, G.S.; Caballero, O.L.; Orr, B.A.; Lal, A.; Ho, J.S.Y.; Cowdrey, C.; Tihan, T.; Mawrin, C.; Riggins, G.J. Yes-Associated Protein 1 Is Activated and Functions as an Oncogene in Meningiomas. Mol. Cancer Res. 2012, 10, 904–913. [Google Scholar] [CrossRef] [PubMed]
- Shankar, G.M.; Santagata, S. BAP1 Mutations in High-Grade Meningioma: Implications for Patient Care. Neuro-oncology 2017, 19, 1447–1456. [Google Scholar] [CrossRef] [PubMed]
- Prasad, R.N.; Gardner, U.G.; Yaney, A.; Prevedello, D.M.; Koboldt, D.C.; Thomas, D.L.; Mardis, E.R.; Palmer, J.D. Germline BAP1 Mutation in a Family With Multi-Generational Meningioma With Rhabdoid Features: A Case Series and Literature Review. Front. Oncol. 2021, 11, 721712. [Google Scholar] [CrossRef]
- Shankar, G.M.; Abedalthagafi, M.; Vaubel, R.A.; Merrill, P.H.; Nayyar, N.; Gill, C.M.; Brewster, R.; Bi, W.L.; Agarwalla, P.K.; Thorner, A.R.; et al. Germline and Somatic BAP1 Mutations in High-Grade Rhabdoid Meningiomas. Neuro-Oncology 2016, 19, now235. [Google Scholar] [CrossRef]
- Ichwan, S.; Santoso, F.; Aman, R.A.; Tandian, D.; Fachniadin, A.; Nugroho, S.W. Estrogen and Progesterone in Meningioma: Bridging the Gap of Knowledge. NeuroAsia 2023, 28, 1–11. [Google Scholar] [CrossRef]
- Karena, Z.V.; Shah, H.; Vaghela, H.; Chauhan, K.; Desai, P.K.; Chitalwala, A.R. Clinical Utility of Mifepristone: Apprising the Expanding Horizons. Cureus 2022, 14, e28318. [Google Scholar] [CrossRef]
- Sharma, R.; Garg, K.; Katiyar, V.; Tandon, V.; Agarwal, D.; Singh, M.; Chandra, S.; Suri, A.; Kale, S.; Mahapatra, A. The Role of Mifepristone in the Management of Meningiomas: A Systematic Review of Literature. Neurol. India 2019, 67, 698. [Google Scholar] [CrossRef]
- Chiba, K.; Lorbeer, F.K.; Shain, A.H.; McSwiggen, D.T.; Schruf, E.; Oh, A.; Ryu, J.; Darzacq, X.; Bastian, B.C.; Hockemeyer, D. Mutations in the Promoter of the Telomerase Gene TERT Contribute to Tumorigenesis by a Two-Step Mechanism. Science 2017, 357, 1416–1420. [Google Scholar] [CrossRef] [PubMed]
- Spiegl-Kreinecker, S.; Lötsch, D.; Neumayer, K.; Kastler, L.; Gojo, J.; Pirker, C.; Pichler, J.; Weis, S.; Kumar, R.; Webersinke, G.; et al. TERT Promoter Mutations Are Associated with Poor Prognosis and Cell Immortalization in Meningioma. Neuro-Oncology 2018, 20, 1584–1593. [Google Scholar] [CrossRef] [PubMed]
- Sahm, F.; Schrimpf, D.; Olar, A.; Koelsche, C.; Reuss, D.; Bissel, J.; Kratz, A.; Capper, D.; Schefzyk, S.; Hielscher, T.; et al. TERT Promoter Mutations and Risk of Recurrence in Meningioma. JNCI J. Natl. Cancer Inst. 2016, 108, djv377. [Google Scholar] [CrossRef]
- Goutagny, S.; Nault, J.C.; Mallet, M.; Henin, D.; Rossi, J.Z.; Kalamarides, M. High Incidence of Activating TERT Promoter Mutations in Meningiomas Undergoing Malignant Progression. Brain Pathol. 2014, 24, 184–189. [Google Scholar] [CrossRef]
- Sievers, P.; Hielscher, T.; Schrimpf, D.; Stichel, D.; Reuss, D.E.; Berghoff, A.S.; Neidert, M.C.; Wirsching, H.-G.; Mawrin, C.; Ketter, R.; et al. CDKN2A/B Homozygous Deletion Is Associated with Early Recurrence in Meningiomas. Acta Neuropathol. 2020, 140, 409–413. [Google Scholar] [CrossRef] [PubMed]
- Williams, E.A.; Wakimoto, H.; Shankar, G.M.; Barker, F.G.; Brastianos, P.K.; Santagata, S.; Sokol, E.S.; Pavlick, D.C.; Shah, N.; Reddy, A.; et al. Frequent Inactivating Mutations of the PBAF Complex Gene PBRM1 in Meningioma with Papillary Features. Acta Neuropathol. 2020, 140, 89–93. [Google Scholar] [CrossRef] [PubMed]
- Abedalthagafi, M.; Bi, W.L.; Aizer, A.A.; Merrill, P.H.; Brewster, R.; Agarwalla, P.K.; Listewnik, M.L.; Dias-Santagata, D.; Thorner, A.R.; Van Hummelen, P.; et al. Oncogenic PI3K Mutations Are as Common as AKT1 and SMO Mutations in Meningioma. Neuro-oncology 2016, 18, 649–655. [Google Scholar] [CrossRef]
- Kerr, K.; Qualmann, K.; Esquenazi, Y.; Hagan, J.; Kim, D.H. Familial Syndromes Involving Meningiomas Provide Mechanistic Insight Into Sporadic Disease. Neurosurgery 2018, 83, 1107–1118. [Google Scholar] [CrossRef] [PubMed]
- Zhao, R.; Choi, B.Y.; Lee, M.-H.; Bode, A.M.; Dong, Z. Implications of Genetic and Epigenetic Alterations of CDKN2A (P16 INK4a) in Cancer. EBioMedicine 2016, 8, 30–39. [Google Scholar] [CrossRef]
- Wang, J.Z.; Patil, V.; Liu, J.; Dogan, H.; Tabatabai, G.; Yefet, L.S.; Behling, F.; Hoffman, E.; Bunda, S.; Yakubov, R.; et al. Increased mRNA Expression of CDKN2A Is a Transcriptomic Marker of Clinically Aggressive Meningiomas. Acta Neuropathol. 2023, 146, 145–162. [Google Scholar] [CrossRef] [PubMed]
- Bi, W.L.; Greenwald, N.F.; Abedalthagafi, M.; Wala, J.; Gibson, W.J.; Agarwalla, P.K.; Horowitz, P.; Schumacher, S.E.; Esaulova, E.; Mei, Y.; et al. Genomic Landscape of High-Grade Meningiomas. NPJ Genom. Med. 2017, 2, 15. [Google Scholar] [CrossRef] [PubMed]
- Lee, Y.; Liu, J.; Patel, S.; Cloughesy, T.; Lai, A.; Farooqi, H.; Seligson, D.; Dong, J.; Liau, L.; Becker, D.; et al. Genomic Landscape of Meningiomas. Brain Pathol. 2010, 20, 751–762. [Google Scholar] [CrossRef] [PubMed]
- Maas, S.L.N.; Stichel, D.; Hielscher, T.; Sievers, P.; Berghoff, A.S.; Schrimpf, D.; Sill, M.; Euskirchen, P.; Blume, C.; Patel, A.; et al. Integrated Molecular-Morphologic Meningioma Classification: A Multicenter Retrospective Analysis, Retrospectively and Prospectively Validated. J. Clin. Oncol. 2021, 39, 3839–3852. [Google Scholar] [CrossRef] [PubMed]
- Driver, J.; Hoffman, S.E.; Tavakol, S.; Woodward, E.; Maury, E.A.; Bhave, V.; Greenwald, N.F.; Nassiri, F.; Aldape, K.; Zadeh, G.; et al. A Molecularly Integrated Grade for Meningioma. Neuro-oncology 2022, 24, 796–808. [Google Scholar] [CrossRef]
- Sahm, F.; Schrimpf, D.; Stichel, D.; Jones, D.T.W.; Hielscher, T.; Schefzyk, S.; Okonechnikov, K.; Koelsche, C.; Reuss, D.E.; Capper, D.; et al. DNA Methylation-Based Classification and Grading System for Meningioma: A Multicentre, Retrospective Analysis. Lancet Oncol. 2017, 18, 682–694. [Google Scholar] [CrossRef]
- Olar, A.; Wani, K.M.; Wilson, C.D.; Zadeh, G.; DeMonte, F.; Jones, D.T.W.; Pfister, S.M.; Sulman, E.P.; Aldape, K.D. Global Epigenetic Profiling Identifies Methylation Subgroups Associated with Recurrence-Free Survival in Meningioma. Acta Neuropathol. 2017, 133, 431–444. [Google Scholar] [CrossRef] [PubMed]
- Nassiri, F.; Liu, J.; Patil, V.; Mamatjan, Y.; Wang, J.Z.; Hugh-White, R.; Macklin, A.M.; Khan, S.; Singh, O.; Karimi, S.; et al. A Clinically Applicable Integrative Molecular Classification of Meningiomas. Nature 2021, 597, 119–125. [Google Scholar] [CrossRef] [PubMed]
- Vasudevan, H.N.; Braunstein, S.E.; Phillips, J.J.; Pekmezci, M.; Tomlin, B.A.; Wu, A.; Reis, G.F.; Magill, S.T.; Zhang, J.; Feng, F.Y.; et al. Comprehensive Molecular Profiling Identifies FOXM1 as a Key Transcription Factor for Meningioma Proliferation. Cell Rep. 2018, 22, 3672–3683. [Google Scholar] [CrossRef] [PubMed]
- Kim, H.; Park, K.-J.; Ryu, B.-K.; Park, D.-H.; Kong, D.-S.; Chong, K.; Chae, Y.-S.; Chung, Y.-G.; Park, S.I.; Kang, S.-H. Forkhead Box M1 (FOXM1) Transcription Factor Is a Key Oncogenic Driver of Aggressive Human Meningioma Progression. Neuropathol. Appl. Neurobiol. 2020, 46, 125–141. [Google Scholar] [CrossRef] [PubMed]
- Patel, A.J.; Wan, Y.-W.; Al-Ouran, R.; Revelli, J.-P.; Cardenas, M.F.; Oneissi, M.; Xi, L.; Jalali, A.; Magnotti, J.F.; Muzny, D.M.; et al. Molecular Profiling Predicts Meningioma Recurrence and Reveals Loss of DREAM Complex Repression in Aggressive Tumors. Proc. Natl. Acad. Sci. USA 2019, 116, 21715–21726. [Google Scholar] [CrossRef] [PubMed]
- Choudhury, A.; Magill, S.T.; Eaton, C.D.; Prager, B.C.; Chen, W.C.; Cady, M.A.; Seo, K.; Lucas, C.-H.G.; Casey-Clyde, T.J.; Vasudevan, H.N.; et al. Meningioma DNA Methylation Groups Identify Biological Drivers and Therapeutic Vulnerabilities. Nat. Genet. 2022, 54, 649–659. [Google Scholar] [CrossRef]
- Choudhury, A.; Chen, W.C.; Lucas, C.-H.G.; Bayley, J.C.; Harmanci, A.S.; Maas, S.L.N.; Santagata, S.; Klisch, T.; Perry, A.; Bi, W.L.; et al. Hypermitotic Meningiomas Harbor DNA Methylation Subgroups with Distinct Biological and Clinical Features. Neuro-oncology 2023, 25, 520–530. [Google Scholar] [CrossRef]
- Bayley, J.C.; Hadley, C.C.; Harmanci, A.O.; Harmanci, A.S.; Klisch, T.J.; Patel, A.J. Multiple Approaches Converge on Three Biological Subtypes of Meningioma and Extract New Insights from Published Studies. Sci. Adv. 2022, 8, eabm6247. [Google Scholar] [CrossRef] [PubMed]
- Nassiri, F.; Mamatjan, Y.; Suppiah, S.; Badhiwala, J.H.; Mansouri, S.; Karimi, S.; Saarela, O.; Poisson, L.; Gepfner-Tuma, I.; Schittenhelm, J.; et al. DNA Methylation Profiling to Predict Recurrence Risk in Meningioma: Development and Validation of a Nomogram to Optimize Clinical Management. Neuro-oncology 2019, 21, 901–910. [Google Scholar] [CrossRef] [PubMed]
- Bannister, A.J.; Kouzarides, T. Regulation of Chromatin by Histone Modifications. Cell Res. 2011, 21, 381–395. [Google Scholar] [CrossRef] [PubMed]
- Ngollo, M.; Lebert, A.; Daures, M.; Judes, G.; Rifai, K.; Dubois, L.; Kemeny, J.-L.; Penault-Llorca, F.; Bignon, Y.-J.; Guy, L.; et al. Global Analysis of H3K27me3 as an Epigenetic Marker in Prostate Cancer Progression. BMC Cancer 2017, 17, 261. [Google Scholar] [CrossRef] [PubMed]
- Nassiri, F.; Wang, J.Z.; Singh, O.; Karimi, S.; Dalcourt, T.; Ijad, N.; Pirouzmand, N.; Ng, H.-K.; Saladino, A.; Pollo, B.; et al. Loss of H3K27me3 in Meningiomas. Neuro-oncology 2021, 23, 1282–1291. [Google Scholar] [CrossRef]
- Katz, L.M.; Hielscher, T.; Liechty, B.; Silverman, J.; Zagzag, D.; Sen, R.; Wu, P.; Golfinos, J.G.; Reuss, D.; Neidert, M.C.; et al. Loss of Histone H3K27me3 Identifies a Subset of Meningiomas with Increased Risk of Recurrence. Acta Neuropathol. 2018, 135, 955–963. [Google Scholar] [CrossRef]
- Behling, F.; Fodi, C.; Gepfner-Tuma, I.; Kaltenbach, K.; Renovanz, M.; Paulsen, F.; Skardelly, M.; Honegger, J.; Tatagiba, M.; International Consortium on Meningiomas; et al. H3K27me3 Loss Indicates an Increased Risk of Recurrence in the Tübingen Meningioma Cohort. Neuro-oncology 2021, 23, 1273–1281. [Google Scholar] [CrossRef]
- Zuccato, J.A.; Patil, V.; Mansouri, S.; Liu, J.C.; Nassiri, F.; Mamatjan, Y.; Chakravarthy, A.; Karimi, S.; Almeida, J.P.; Bernat, A.-L.; et al. DNA Methylation-Based Prognostic Subtypes of Chordoma Tumors in Tissue and Plasma. Neuro-oncology 2022, 24, 442–454. [Google Scholar] [CrossRef] [PubMed]
- Ricklefs, F.L.; Maire, C.L.; Wollmann, K.; Dührsen, L.; Fita, K.D.; Sahm, F.; Herold-Mende, C.; Von Deimling, A.; Kolbe, K.; Holz, M.; et al. Diagnostic Potential of Extracellular Vesicles in Meningioma Patients. Neuro-oncology 2022, 24, 2078–2090. [Google Scholar] [CrossRef]
- Herrgott, G.A.; Snyder, J.M.; She, R.; Malta, T.M.; Sabedot, T.S.; Lee, I.Y.; Pawloski, J.; Podolsky-Gondim, G.G.; Asmaro, K.P.; Zhang, J.; et al. Detection of Diagnostic and Prognostic Methylation-Based Signatures in Liquid Biopsy Specimens from Patients with Meningiomas. Nat. Commun. 2023, 14, 5669. [Google Scholar] [CrossRef] [PubMed]
- Aran, V.; Lyra Miranda, R.; Heringer, M.; Carvalho Da Fonseca, A.C.; Andreiuolo, F.; Chimelli, L.; Devalle, S.; Niemeyer Filho, P.; Moura-Neto, V. Liquid Biopsy Evaluation of Circulating Tumor DNA, miRNAs, and Cytokines in Meningioma Patients. Front. Neurol. 2024, 14, 1321895. [Google Scholar] [CrossRef] [PubMed]
- Mattox, A.K.; Yan, H.; Bettegowda, C. The Potential of Cerebrospinal Fluid–Based Liquid Biopsy Approaches in CNS Tumors. Neuro-oncology 2019, 21, 1509–1518. [Google Scholar] [CrossRef] [PubMed]
- Izhar, M.; Ahmad, Z.; Moazzam, M.; Jader, A. Targeted Liquid Biopsy for Brain Tumors. J. Liq. Biopsy 2024, 6, 100170. [Google Scholar] [CrossRef]
- Korte, B.; Mathios, D. Innovation in Non-Invasive Diagnosis and Disease Monitoring for Meningiomas. Int. J. Mol. Sci. 2024, 25, 4195. [Google Scholar] [CrossRef] [PubMed]
- Maggio, I.; Franceschi, E.; Tosoni, A.; Nunno, V.D.; Gatto, L.; Lodi, R.; Brandes, A.A. Meningioma: Not Always a Benign Tumor. A Review of Advances in the Treatment of Meningiomas. CNS Oncol. 2021, 10, CNS72. [Google Scholar] [CrossRef] [PubMed]
- Simpson, D. The Recurrence of Intracranial Meningiomas after Surgical Treatment. J. Neurol. Neurosurg. Psychiatry 1957, 20, 22–39. [Google Scholar] [CrossRef] [PubMed]
- Gousias, K.; Schramm, J.; Simon, M. The Simpson Grading Revisited: Aggressive Surgery and Its Place in Modern Meningioma Management. J. Neurosurg. 2016, 125, 551–560. [Google Scholar] [CrossRef] [PubMed]
- Behling, F.; Fodi, C.; Hoffmann, E.; Renovanz, M.; Skardelly, M.; Tabatabai, G.; Schittenhelm, J.; Honegger, J.; Tatagiba, M. The Role of Simpson Grading in Meningiomas after Integration of the Updated WHO Classification and Adjuvant Radiotherapy. Neurosurg. Rev. 2021, 44, 2329–2336. [Google Scholar] [CrossRef] [PubMed]
- Gallagher, M.J.; Jenkinson, M.D.; Brodbelt, A.R.; Mills, S.J.; Chavredakis, E. WHO Grade 1 Meningioma Recurrence: Are Location and Simpson Grade Still Relevant? Clin. Neurol. Neurosurg. 2016, 141, 117–121. [Google Scholar] [CrossRef] [PubMed]
- Schwartz, T.H.; McDermott, M.W. The Simpson Grade: Abandon the Scale but Preserve the Message. J. Neurosurg. 2021, 135, 488–495. [Google Scholar] [CrossRef] [PubMed]
- Kinjo, T.; Al-Mefty, O.; Kanaan, I. Grade Zero Removal of Supratentorial Convexity Meningiomas. Neurosurgery 1993, 33, 394–399. [Google Scholar] [PubMed]
- Chotai, S.; Schwartz, T.H. The Simpson Grading: Is It Still Valid? Cancers 2022, 14, 2007. [Google Scholar] [CrossRef]
- Koljenović, S.; Schut, T.B.; Vincent, A.; Kros, J.M.; Puppels, G.J. Detection of Meningioma in Dura Mater by Raman Spectroscopy. Anal. Chem. 2005, 77, 7958–7965. [Google Scholar] [CrossRef] [PubMed]
- Vogelbaum, M.A.; Leland Rogers, C.; Linskey, M.A.; Mehta, M.P. Opportunities for Clinical Research in Meningioma. J. Neurooncol. 2010, 99, 417–422. [Google Scholar] [CrossRef]
- Ostrom, Q.T.; Gittleman, H.; Liao, P.; Vecchione-Koval, T.; Wolinsky, Y.; Kruchko, C.; Barnholtz-Sloan, J.S. CBTRUS Statistical Report: Primary Brain and Other Central Nervous System Tumors Diagnosed in the United States in 2010–2014. Neuro-oncology 2017, 19, v1–v88. [Google Scholar] [CrossRef]
- Buerki, R.A.; Horbinski, C.M.; Kruser, T.; Horowitz, P.M.; James, C.D.; Lukas, R.V. An Overview of Meningiomas. Future Oncol. 2018, 14, 2161–2177. [Google Scholar] [CrossRef]
- Rogers, L.; Barani, I.; Chamberlain, M.; Kaley, T.J.; McDermott, M.; Raizer, J.; Schiff, D.; Weber, D.C.; Wen, P.Y.; Vogelbaum, M.A. Meningiomas: Knowledge Base, Treatment Outcomes, and Uncertainties. A RANO Review. JNS 2015, 122, 4–23. [Google Scholar] [CrossRef] [PubMed]
- Rogers, C.L.; Won, M.; Vogelbaum, M.A.; Perry, A.; Ashby, L.S.; Modi, J.M.; Alleman, A.M.; Galvin, J.; Fogh, S.E.; Youssef, E.; et al. High-Risk Meningioma: Initial Outcomes From NRG Oncology/RTOG 0539. Int. J. Radiat. Oncol. Biol. Phys. 2020, 106, 790–799. [Google Scholar] [CrossRef]
- Zeng, K.L.; Soliman, H.; Myrehaug, S.; Tseng, C.-L.; Detsky, J.; Chen, H.; Lim-Fat, M.-J.; Ruschin, M.; Atenafu, E.G.; Keith, J.; et al. Dose-Escalated Radiation Therapy Is Associated With Improved Outcomes for High-Grade Meningioma. Int. J. Radiat. Oncol. Biol. Phys. 2024, 118, 662–671. [Google Scholar] [CrossRef] [PubMed]
- Mair, M.J.; Berghoff, A.S.; Brastianos, P.K.; Preusser, M. Emerging Systemic Treatment Options in Meningioma. J. Neurooncol 2023, 161, 245–258. [Google Scholar] [CrossRef] [PubMed]
- Kaley, T.J.; Wen, P.; Schiff, D.; Ligon, K.; Haidar, S.; Karimi, S.; Lassman, A.B.; Nolan, C.P.; DeAngelis, L.M.; Gavrilovic, I.; et al. Phase II Trial of Sunitinib for Recurrent and Progressive Atypical and Anaplastic Meningioma. Neuro-oncology 2015, 17, 116–121. [Google Scholar] [CrossRef] [PubMed]
- Raizer, J.J.; Grimm, S.A.; Rademaker, A.; Chandler, J.P.; Muro, K.; Helenowski, I.; Rice, L.; McCarthy, K.; Johnston, S.K.; Mrugala, M.M.; et al. A Phase II Trial of PTK787/ZK 222584 in Recurrent or Progressive Radiation and Surgery Refractory Meningiomas. J Neurooncol. 2014, 117, 93–101. [Google Scholar] [CrossRef] [PubMed]
- Nayak, L.; Iwamoto, F.M.; Rudnick, J.D.; Norden, A.D.; Lee, E.Q.; Drappatz, J.; Omuro, A.; Kaley, T.J. Atypical and Anaplastic Meningiomas Treated with Bevacizumab. J. Neurooncol. 2012, 109, 187–193. [Google Scholar] [CrossRef] [PubMed]
- Preusser, M.; Silvani, A.; Le Rhun, E.; Soffietti, R.; Lombardi, G.; Sepulveda, J.M.; Brandal, P.; Brazil, L.; Bonneville-Levard, A.; Lorgis, V.; et al. Trabectedin for Recurrent WHO Grade 2 or 3 Meningioma: A Randomized Phase II Study of the EORTC Brain Tumor Group (EORTC-1320-BTG). Neuro-oncology 2022, 24, 755–767. [Google Scholar] [CrossRef] [PubMed]
- Kumthekar, P.; Grimm, S.A.; Aleman, R.T.; Chamberlain, M.C.; Schiff, D.; Wen, P.Y.; Iwamoto, F.M.; Gursel, D.B.; Reardon, D.A.; Purow, B.; et al. A Multi-Institutional Phase II Trial of Bevacizumab for Recurrent and Refractory Meningioma. Neuro-Oncol. Adv. 2022, 4, vdac123. [Google Scholar] [CrossRef] [PubMed]
- Chamberlain, M.C. Hydroxyurea for Recurrent Surgery and Radiation Refractory High-Grade Meningioma. J. Neurooncol. 2012, 107, 315–321. [Google Scholar] [CrossRef] [PubMed]
- Chamberlain, M.C.; Tsao-Wei, D.D.; Groshen, S. Salvage Chemotherapy With CPT-11 for Recurrent Meningioma. J. Neurooncol. 2006, 78, 271–276. [Google Scholar] [CrossRef] [PubMed]
- Brastianos, P.K.; Twohy, E.L.; Gerstner, E.R.; Kaufmann, T.J.; Iafrate, A.J.; Lennerz, J.; Jeyapalan, S.; Piccioni, D.E.; Monga, V.; Fadul, C.E.; et al. Alliance A071401: Phase II Trial of Focal Adhesion Kinase Inhibition in Meningiomas With Somatic NF2 Mutations. J. Clin. Oncol. 2023, 41, 618–628. [Google Scholar] [CrossRef]
- Brastianos, P.K.; Kim, A.E.; Giobbie-Hurder, A.; Lee, E.Q.; Wang, N.; Eichler, A.F.; Chukwueke, U.; Forst, D.A.; Arrillaga-Romany, I.C.; Dietrich, J.; et al. Phase 2 Study of Pembrolizumab in Patients with Recurrent and Residual High-Grade Meningiomas. Nat. Commun. 2022, 13, 1325. [Google Scholar] [CrossRef] [PubMed]
- Bi, W.L.; Nayak, L.; Meredith, D.M.; Driver, J.; Du, Z.; Hoffman, S.; Li, Y.; Lee, E.Q.; Beroukhim, R.; Rinne, M.; et al. Activity of PD-1 Blockade with Nivolumab among Patients with Recurrent Atypical/Anaplastic Meningioma: Phase II Trial Results. Neuro-oncology 2022, 24, 101–113. [Google Scholar] [CrossRef]
- Nasrallah, M.P.; Aldape, K.D. Molecular Classification and Grading of Meningioma. J. Neurooncol. 2023, 161, 373–381. [Google Scholar] [CrossRef] [PubMed]
- Birzu, C.; Peyre, M.; Sahm, F. Molecular Alterations in Meningioma: Prognostic and Therapeutic Perspectives. Curr. Opin. Oncol. 2020, 32, 613–622. [Google Scholar] [CrossRef]
- Urso, L.; Nieri, A.; Uccelli, L.; Castello, A.; Artioli, P.; Cittanti, C.; Marzola, M.C.; Florimonte, L.; Castellani, M.; Bissoli, S.; et al. Lutathera® Orphans: State of the Art and Future Application of Radioligand Therapy with 177Lu-DOTATATE. Pharmaceutics 2023, 15, 1110. [Google Scholar] [CrossRef] [PubMed]
- Bommakanti, K.; Somayajula, S.; Suvarna, A.; Purohit, A.K.; Mekala, S.; Chadalawadi, S.K.; Gaddamanugu, P. Pre-Operative and Post-Operative Cognitive Deficits in Patients with Supratentorial Meningiomas. Clin. Neurol. Neurosurg. 2016, 143, 150–158. [Google Scholar] [CrossRef] [PubMed]
- Meskal, I.; Gehring, K.; Rutten, G.-J.M.; Sitskoorn, M.M. Cognitive Functioning in Meningioma Patients: A Systematic Review. J. Neurooncol. 2016, 128, 195–205. [Google Scholar] [CrossRef] [PubMed]
- Nassiri, F.; Price, B.; Shehab, A.; Au, K.; Cusimano, M.D.; Jenkinson, M.D.; Jungk, C.; Mansouri, A.; Santarius, T.; Suppiah, S.; et al. Life after Surgical Resection of a Meningioma: A Prospective Cross-Sectional Study Evaluating Health-Related Quality of Life. Neuro-oncology 2019, 21, i32–i43. [Google Scholar] [CrossRef] [PubMed]
- Timmer, M.; Seibl-Leven, M.; Wittenstein, K.; Grau, S.; Stavrinou, P.; Röhn, G.; Krischek, B.; Goldbrunner, R. Long-Term Outcome and Health-Related Quality of Life of Elderly Patients After Meningioma Surgery. World Neurosurg. 2019, 125, e697–e710. [Google Scholar] [CrossRef]
- Walcott, B.P.; Nahed, B.V.; Brastianos, P.K.; Loeffler, J.S. Radiation Treatment for WHO Grade II and III Meningiomas. Front. Oncol. 2013, 3, 227. [Google Scholar] [CrossRef]
- Di Nunno, V.; Giannini, C.; Asioli, S.; Conti, A.; Furtner, J.; Balestrini, D.; Tosoni, A. Diagnostic and Therapeutic Strategy in Anaplastic (Malignant) Meningioma, CNS WHO Grade 3. Cancers 2022, 14, 4689. [Google Scholar] [CrossRef] [PubMed]
- Bender, L.; Lhermitte, B.; Carinato, H.; Baloglu, S.; Helali, M.; Cebula, H.; Antoni, D.; Noel, G. Grade III Meningioma with Gastro-Intestinal Tract and Brain Metastases: Case Report and Review of the Literature. World J. Surg. Onc 2019, 17, 70. [Google Scholar] [CrossRef] [PubMed]
- Norden, A.D.; Raizer, J.J.; Abrey, L.E.; Lamborn, K.R.; Lassman, A.B.; Chang, S.M.; Yung, W.K.A.; Gilbert, M.R.; Fine, H.A.; Mehta, M.; et al. Phase II Trials of Erlotinib or Gefitinib in Patients with Recurrent Meningioma. J. Neurooncol. 2010, 96, 211–217. [Google Scholar] [CrossRef] [PubMed]

| CT/MRI Features of Grade 3 Meningiomas |
|---|
| Indistinct tumor–brain interface |
| Irregular tumor shape and margins |
| Heterogenous enchantment |
| Larger lesion |
| Absence of calcifications |
| Presence of perilesional edema |
| Volumetric growth rate |
| Diagnostic Criteria for Grade 3 Meningiomas |
|---|
| 20 or more mitotic figures in 10 consecutive HPF |
| OR |
| Frank anaplasia |
| OR |
| TERT promoter mutation |
| OR |
| Homozygous deletion of CDKN2A and/or CDKN2B |
Disclaimer/Publisher’s Note: The statements, opinions and data contained in all publications are solely those of the individual author(s) and contributor(s) and not of MDPI and/or the editor(s). MDPI and/or the editor(s) disclaim responsibility for any injury to people or property resulting from any ideas, methods, instructions or products referred to in the content. |
© 2025 by the authors. Licensee MDPI, Basel, Switzerland. This article is an open access article distributed under the terms and conditions of the Creative Commons Attribution (CC BY) license (https://creativecommons.org/licenses/by/4.0/).
Share and Cite
Rowbottom, H.; Šmigoc, T.; Ravnik, J. Malignant Meningiomas: From Diagnostics to Treatment. Diagnostics 2025, 15, 538. https://doi.org/10.3390/diagnostics15050538
Rowbottom H, Šmigoc T, Ravnik J. Malignant Meningiomas: From Diagnostics to Treatment. Diagnostics. 2025; 15(5):538. https://doi.org/10.3390/diagnostics15050538
Chicago/Turabian StyleRowbottom, Hojka, Tomaž Šmigoc, and Janez Ravnik. 2025. "Malignant Meningiomas: From Diagnostics to Treatment" Diagnostics 15, no. 5: 538. https://doi.org/10.3390/diagnostics15050538
APA StyleRowbottom, H., Šmigoc, T., & Ravnik, J. (2025). Malignant Meningiomas: From Diagnostics to Treatment. Diagnostics, 15(5), 538. https://doi.org/10.3390/diagnostics15050538

