An Assessment of Deep Learning’s Impact on General Dentists’ Ability to Detect Alveolar Bone Loss in 2D Intraoral Radiographs
Abstract
1. Introduction
2. Materials and Methods
2.1. Observer Recruitment and Intraoral Radiograph Selection
2.2. Calibration and Clinical Performance Testing
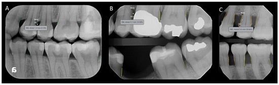
2.3. The Deep Learning Software, Definition of RBL Used, and Reference Standard
2.4. Statistical Analysis
3. Results
4. Discussion
5. Conclusions
Author Contributions
Funding
Institutional Review Board Statement
Informed Consent Statement
Data Availability Statement
Conflicts of Interest
References
- Chartrand, G.; Cheng, P.M.; Vorontsov, E.; Drozdzal, M.; Turcotte, S.; Pal, C.J.; Kadoury, S.; Tang, A. Deep learning: A primer for radiologists. Radiographics 2017, 37, 2113–2131. [Google Scholar] [CrossRef] [PubMed]
- Erickson, B.J.; Korfiatis, P.; Akkus, Z.; Kline, T.L. Machine learning for medical imaging. Radiographics 2017, 37, 505–515. [Google Scholar] [CrossRef] [PubMed]
- Goodfellow, I.; Bengio, Y.; Courville, A. Deep Learning; MIT Press: Cambridge, MA, USA, 2016. [Google Scholar]
- Nagi, R.; Aravinda, K.; Rakesh, N.; Gupta, R.; Pal, A.; Mann, A.K. Clinical applications and performance of intelligent systems in dental and maxillofacial radiology: A review. Imaging Sci. Dent. 2020, 50, 81–92. [Google Scholar] [CrossRef] [PubMed]
- Tuzoff, D.V.; Tuzova, L.N.; Bornstein, M.M.; Krasnov, A.S.; Kharchenko, M.A.; Nikolenko, S.I.; Sveshnikov, M.M.; Bednenko, G.B. Tooth detection and numbering in panoramic radiographs using convolutional neural networks. Dentomaxillofac. Radiol. 2019, 48, 20180051. [Google Scholar] [CrossRef] [PubMed]
- Yao, J.; Zeng, W.; He, T.; Zhou, S.; Zhang, Y.; Guo, J.; Tang, W. Automatic localization of cephalometric landmarks based on convolutional neural network. Am. J. Orthod. Dentofac. Orthop. 2022, 161, e250–e259. [Google Scholar] [CrossRef] [PubMed]
- Lee, K.S.; Kwak, H.J.; Oh, J.M.; Jha, N.; Kim, Y.; Kim, W.; Baik, U.; Ryu, J. Automated detection of TMJ osteoarthritis based on artificial intelligence. J. Dent. Res. 2020, 99, 1363–1367. [Google Scholar] [CrossRef] [PubMed]
- Lee, J.H.; Kim, D.H.; Jeong, S.N.; Choi, S.H. Detection and diagnosis of dental caries using a deep learning-based convolutional neural network algorithm. J. Dent. 2018, 77, 106–111. [Google Scholar] [CrossRef]
- Ekert, T.; Krois, J.; Meinhold, L.; Elhennawy, K.; Emara, R.; Golla, T.; Schwendicke, F. Deep learning for the radiographic detection of apical lesions. J. Endod. 2019, 45, 917–922.e5. [Google Scholar] [CrossRef] [PubMed]
- Chang, H.J.; Lee, S.J.; Yong, T.H.; Shin, N.-Y.; Jang, B.-G.; Kim, J.-E.; Huh, K.-H.; Lee, S.-S.; Heo, M.-S.; Choi, S.-C.; et al. Deep learning hybrid method to automatically diagnose periodontal bone loss and stage periodontitis. Sci. Rep. 2020, 10, 7531. [Google Scholar] [CrossRef] [PubMed]
- Thanathornwong, B.; Suebnukarn, S. Automatic detection of periodontal compromised teeth in digital panoramic radiographs using faster regional convolutional neural networks. Imaging Sci. Dent. 2020, 50, 169–174. [Google Scholar] [CrossRef] [PubMed]
- Danks, R.P.; Bano, S.; Orishko, A.; Tan, H.J.; Sancho, F.M.; D’aiuto, F.; Stoyanov, D. Automating periodontal bone loss measurement via dental landmark localization. Int. J. Comput. Assist. Radiol. Surg. 2021, 16, 1189–1199. [Google Scholar] [CrossRef] [PubMed]
- Lee, J.H.; Kim, D.H.; Jeong, S.N.; Choi, S.H. Diagnosis and prediction of periodontally compromised teeth using a deep learning-based convolutional neural network algorithm. J. Periodontal Implant Sci. 2018, 48, 114–123. [Google Scholar] [CrossRef] [PubMed]
- Lin, P.; Huang, P.; Huang, P. Automatic methods for alveolar bone loss degree measurement in periodontitis periapical radiographs. Comput. Methods Programs Biomed. 2017, 148, 1–11. [Google Scholar] [CrossRef]
- Mendonça, E.A. Clinical decision support systems: Perspectives in dentistry. J. Dent. Educ. 2004, 68, 589–597. [Google Scholar] [CrossRef] [PubMed]
- Khanagar, S.B.; Al-Ehaideb, A.; Maganur, P.C.; Vishwanathaiah, S.; Patil, S.; Baeshen, H.A.; Sarode, S.C.; Bhandi, S. Developments, application, and performance of artificial intelligence in dentistry: A systematic review. J. Dent. Sci. 2021, 16, 508–522. [Google Scholar] [CrossRef]
- Denti.AI Technology, Inc. Denti.AI Detect. 510(k) Number K230144. FDA 510(k) Database, 2023. Available online: https://www.accessdata.fda.gov/scripts/cdrh/cfdocs/cfpmn/pmn.cfm?ID=K230144 (accessed on 6 November 2023).
- Hamdan, M.H.; Tuzova, L.; Mol, A.; Tawil, P.Z.; Tuzoff, D.; Tyndall, D.A. The effect of a deep-learning tool on dentists’ performances in detecting apical radiolucencies on periapical radiographs. Dentomaxillofac. Radiol. 2022, 51, 20220122. [Google Scholar] [CrossRef] [PubMed]
- Bossuyt, P.M.; Reitsma, J.B.; Bruns, D.E.; Gatsonis, C.A.; Glasziou, P.P.; Irwig, L.; Lijmer, J.G.; Moher, D.; Rennie, D.; de Vet, H.C.W.; et al. STARD 2015: An updated list of essential items for reporting diagnostic accuracy studies. BMJ 2015, 351, h5527. [Google Scholar] [CrossRef] [PubMed]
- Obuchowski, N.A.; Bullen, J.A. Statistical considerations for testing an AI algorithm used for prescreening lung CT images. Contemp. Clin. Trials Commun. 2019, 16, 100434. [Google Scholar] [CrossRef]
- Tonetti, M.S.; Greenwell, H.; Kornman, K.S. Staging and grading of periodontitis: Framework and proposal of a new classification and case definition. J. Periodontol. 2018, 89, S159–S172. [Google Scholar] [CrossRef] [PubMed]
- Landis, J.R.; Koch, G.G. The measurement of observer agreement for categorical data. Biometrics 1977, 33, 159–174. [Google Scholar] [CrossRef] [PubMed]
- Artificial Intelligence Systems and Observer Performance. Available online: https://dpc10ster.github.io/RJafroc/ (accessed on 6 November 2023).
- Hillis, S.L.; Berbaum, K.S.; Metz, C.E. Recent developments in the Dorfman-Berbaum-Metz procedure for multireader ROC study analysis. Acad. Radiol. 2008, 15, 647–661. [Google Scholar] [CrossRef]
- Hegde, S.; Gao, J.; Vasa, R.; Cox, S. Factors affecting interpretation of dental radiographs. Dentomaxillofac. Radiol. 2023, 52, 20220279. [Google Scholar] [CrossRef] [PubMed]
- Plessas, A.; Nasser, M.; Hanoch, Y.; O’brien, T.; Delgado, M.B.; Moles, D. Impact of time pressure on dentists’ diagnostic performance. J. Dent. 2019, 82, 38–44. [Google Scholar] [CrossRef]
- Landsberger, H.A. Hawthorne Revisited: Management and the Worker, Its Critics, and Developments in Human Relations in Industry; Cornell University, School of Industrial and Labor Relations: Ithaca, NY, USA, 1958. [Google Scholar]
- McCambridge, J.; Witton, J.; Elbourne, D.R. Systematic review of the Hawthorne effect: New concepts are needed to study research participation effects. J. Clin. Epidemiol. 2014, 67, 267–277. [Google Scholar] [CrossRef] [PubMed]
- Yu, F.; Moehring, A.; Banerjee, O.; Salz, T.; Agarwal, N.; Rajpurkar, P. Heterogeneity and predictors of the effects of AI assistance on radiologists. Nat. Med. 2024, 30, 837–849. [Google Scholar] [CrossRef] [PubMed]
- Ranschaert, E.; Topff, L.; Pianykh, O. Optimization of radiology workflow with artificial intelligence. Radiol. Clin. N. Am. 2021, 59, 955–966. [Google Scholar] [CrossRef] [PubMed]




| Threshold | <15% (Control Surfaces) | Positive Surfaces | |
|---|---|---|---|
| 15–33% | 33–66% | ||
| Periapical radiograph (N = 14 with 80 surfaces) | 40 | 32 | 8 |
| Threshold | <2 mm (Control Surfaces) | Positive Surfaces | |
| 2–4 mm | ≥5 mm | ||
| Bitewing radiograph (N = 12 with 117 surfaces) | 58 | 49 | 10 |
| All Data | |||||||||||
|---|---|---|---|---|---|---|---|---|---|---|---|
| Estimate | p-Value | CILB | CIUB | ||||||||
| ROC AUC Before DL–After DL | 0.008 | 0.725 | −0.037 | 0.053 | |||||||
| R1 | R2 | R3 | R4 | R5 | R6 | R7 | R8 | R9 | R10 | Averaged ROC AUC | |
| Before DL | 0.807 | 0.854 | 0.828 | 0.848 | 0.814 | 0.889 | 0.791 | 0.867 | 0.719 | 0.809 | 0.823 |
| After DL | 0.876 | 0.875 | 0.816 | 0.843 | 0.822 | 0.803 | 0.742 | 0.855 | 0.819 | 0.852 | 0.830 |
| Periapical Radiographs | |||||||||||
| Estimate | p-Value | CILB | CIUB | ||||||||
| ROC AUC Before DL–After DL | 0.031 | 0.243 | −0.022 | 0.085 | |||||||
| R1 | R2 | R3 | R4 | R5 | R6 | R7 | R8 | R9 | R10 | Averaged ROC AUC | |
| Before DL | 0.775 | 0.870 | 0.850 | 0.838 | 0.811 | 0.898 | 0.829 | 0.877 | 0.717 | 0.845 | 0.831 |
| After DL | 0.911 | 0.925 | 0.863 | 0.891 | 0.856 | 0.809 | 0.838 | 0.867 | 0.766 | 0.898 | 0.862 |
| Bitewing Radiographs | |||||||||||
| Estimate | p-Value | CILB | CIUB | ||||||||
| ROC AUC Before DL–After DL | −0.009 | 0.746 | −0.065 | 0.047 | |||||||
| R1 | R2 | R3 | R4 | R5 | R6 | R7 | R8 | R9 | R10 | Averaged ROC AUC | |
| Before DL | 0.824 | 0.858 | 0.817 | 0.854 | 0.824 | 0.886 | 0.765 | 0.865 | 0.723 | 0.794 | 0.821 |
| After DL | 0.854 | 0.848 | 0.791 | 0.816 | 0.803 | 0.800 | 0.681 | 0.850 | 0.852 | 0.826 | 0.812 |
Disclaimer/Publisher’s Note: The statements, opinions and data contained in all publications are solely those of the individual author(s) and contributor(s) and not of MDPI and/or the editor(s). MDPI and/or the editor(s) disclaim responsibility for any injury to people or property resulting from any ideas, methods, instructions or products referred to in the content. |
© 2025 by the authors. Licensee MDPI, Basel, Switzerland. This article is an open access article distributed under the terms and conditions of the Creative Commons Attribution (CC BY) license (https://creativecommons.org/licenses/by/4.0/).
Share and Cite
AlGhaihab, A.; Moretti, A.J.; Reside, J.; Tuzova, L.; Tyndall, D.A. An Assessment of Deep Learning’s Impact on General Dentists’ Ability to Detect Alveolar Bone Loss in 2D Intraoral Radiographs. Diagnostics 2025, 15, 467. https://doi.org/10.3390/diagnostics15040467
AlGhaihab A, Moretti AJ, Reside J, Tuzova L, Tyndall DA. An Assessment of Deep Learning’s Impact on General Dentists’ Ability to Detect Alveolar Bone Loss in 2D Intraoral Radiographs. Diagnostics. 2025; 15(4):467. https://doi.org/10.3390/diagnostics15040467
Chicago/Turabian StyleAlGhaihab, Amjad, Antonio J. Moretti, Jonathan Reside, Lyudmila Tuzova, and Donald A. Tyndall. 2025. "An Assessment of Deep Learning’s Impact on General Dentists’ Ability to Detect Alveolar Bone Loss in 2D Intraoral Radiographs" Diagnostics 15, no. 4: 467. https://doi.org/10.3390/diagnostics15040467
APA StyleAlGhaihab, A., Moretti, A. J., Reside, J., Tuzova, L., & Tyndall, D. A. (2025). An Assessment of Deep Learning’s Impact on General Dentists’ Ability to Detect Alveolar Bone Loss in 2D Intraoral Radiographs. Diagnostics, 15(4), 467. https://doi.org/10.3390/diagnostics15040467

