Morphological Analysis of the Cavernous Segment of the Internal Carotid Artery: A Retrospective, Single Center Study of Its Clinical Significance
Abstract
1. Introduction
2. Materials and Methods
2.1. Study Design and Setting
2.2. Study Population
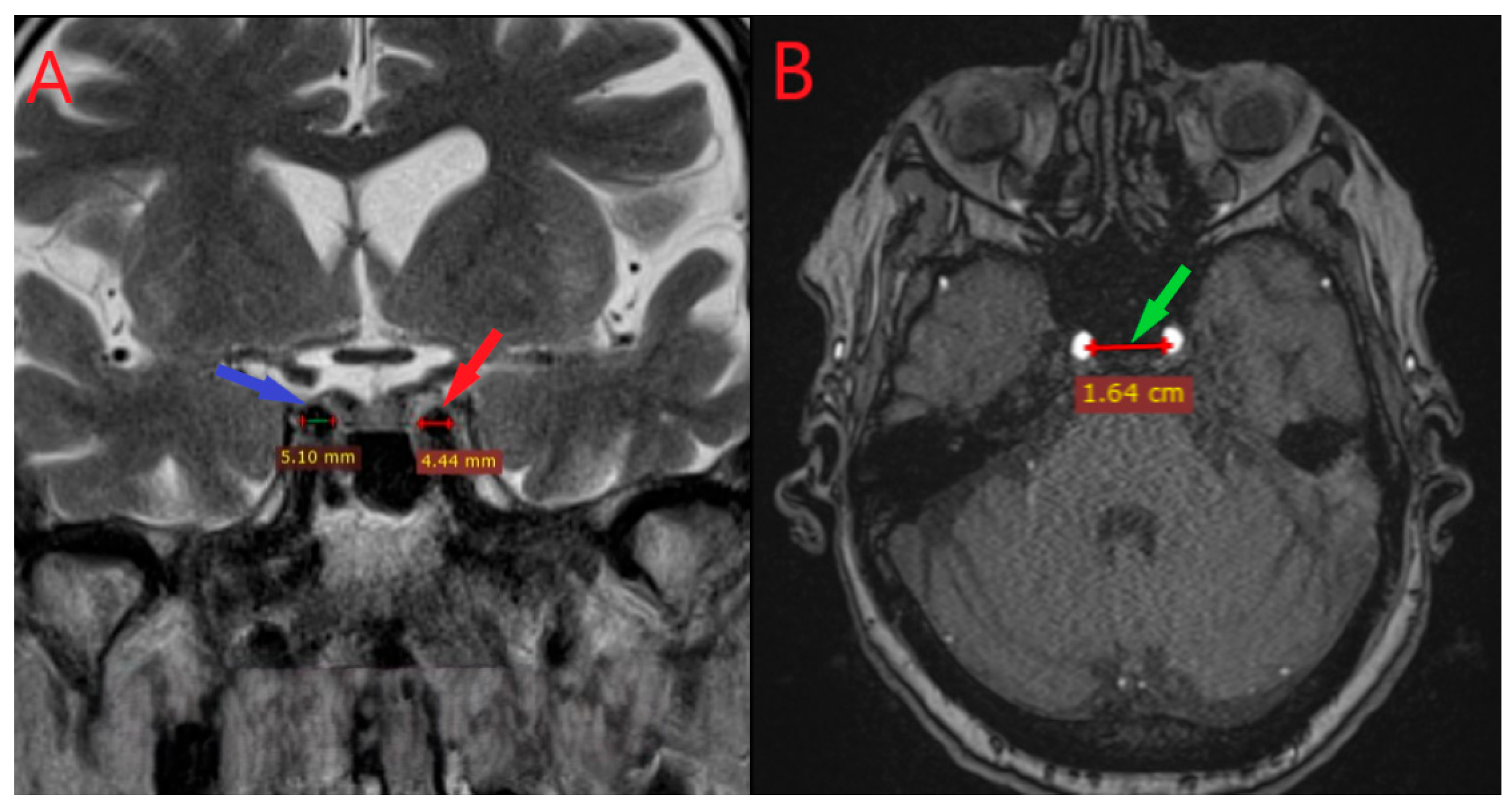
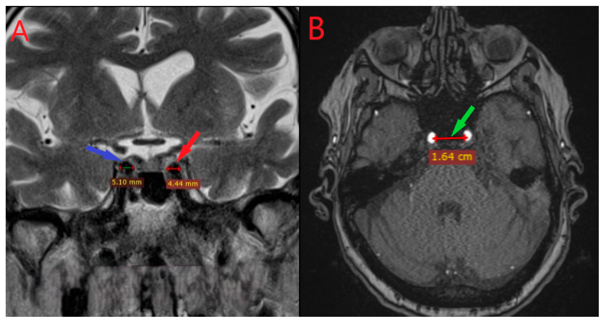
2.3. Imaging and Morphometric Measurements
2.4. Data Management and Statistical Analysis
3. Results
3.1. Descriptive Characteristics
3.2. Inter-Rater Reliability
3.3. Correlation and Regression Analyses
3.4. Laterality Index
3.5. Principal Component and Cluster Analysis
4. Discussion
4.1. Anatomical Context and Historical Perspective
4.2. Morphometric Findings in International Context
4.3. Sex-Related Differences and Lateralization
4.4. Clinical Significance of Morphotypes
4.5. Pathological Considerations
4.6. Surgical and Interventional Implications
4.7. Biomechanical and Genetic Perspectives
4.8. Limitations
4.9. Summary
5. Conclusions
Author Contributions
Funding
Institutional Review Board Statement
Informed Consent Statement
Data Availability Statement
Conflicts of Interest
Abbreviations
| ICA | Internal carotid artery |
| MRI | Magnetic resonance imaging |
| CT | Computed tomography |
| 3D-TOF | Three-dimensional time-of-flight |
| DICOM | Digital Imaging and Communications in Medicine |
| MHAT | Multiprofile Hospital for Active Treatment |
| LI | Laterality index |
| SD | Standard deviation |
| IQR | Interquartile range |
| PCA | Principal component analysis |
| PC1 | First principal component |
| PC2 | Second principal component |
| ANOVA | Analysis of variance |
| HC3 | Heteroskedasticity-consistent standard error estimator |
References
- Fisher, E. Die Lagerbweichungen der vorderen Hirnarterie im Gefassbild. Zentralbl. Neurochir. 1938, 3, 300–312. [Google Scholar]
- Bouthillier, A.; van Loveren, H.R.; Keller, J.T. Segments of the internal carotid artery: A new classification. Neurosurgery 1996, 38, 425–432, discussion 432–433. [Google Scholar] [CrossRef]
- Ambekar, S. Congenital Agenesis of the Internal Carotid Artery with Aneurysms. Neurol. India 2023, 71, 1086–1087. [Google Scholar] [CrossRef]
- Saal-Zapata, G.; Rodriguez-Calienes, A. Agenesis of the internal carotid artery associated with intracranial aneurysms: Endovascular treatment and intraoperative complications management. Neuroradiol. J. 2022, 35, 768–771. [Google Scholar] [CrossRef]
- Vasović, L.; Trandafilović, M.; Vlajković, S. Congenital Aplasia of the Common Carotid Artery: A Comprehensive Review. Biomed. Res. Int. 2019, 2019, 9896138. [Google Scholar] [CrossRef]
- Krejza, J.; Arkuszewski, M.; Kasner, S.E.; Weigele, J.; Ustymowicz, A.; Hurst, R.W.; Cucchiara, B.L.; Messe, S.R. Carotid artery diameter in men and women and the relation to body and neck size. Stroke 2006, 37, 1103–1105. [Google Scholar] [CrossRef] [PubMed]
- Agarwal, S.; Jain, R.; Dogra, S.; Krieger, P.; Lewis, A.; Nguyen, V.; Melmed, K.; Galetta, S. Cerebral Microbleeds and Leukoencephalopathy in Critically Ill Patients With COVID-19. Stroke 2020, 51, 2649–2655. [Google Scholar] [CrossRef]
- AlQarni, A.A.; AlQarni, A.M.; Fatani, M.; Aldahmashi, A.M.; Alfaifi, J.A. Absent right internal carotid associated with posterior cerebral artery aneurysm: A case report. Ann. Med. Surg. 2022, 80, 104257. [Google Scholar] [CrossRef]
- Baz, R.A.; Scheau, C.; Niscoveanu, C.; Bordei, P. Morphometry of the Entire Internal Carotid Artery on CT Angiography. Medicina 2021, 57, 832. [Google Scholar] [CrossRef]
- Farımaz, M.; Çelik, H.H.; Ergun, K.M.; Akgöz, A.; Urfalı, B. The morphometry of the cavernous part of the internal carotid artery. Folia Morphol. 2019, 78, 54–62. [Google Scholar] [CrossRef]
- Cevik, Y.; Onan, H.B.; Erdem, H.; Kizilkanat, E.D.; Yucel, S.P.; Oguz, O. Investigation of the morphometric characteristics of internal carotid artery between sexes and in patients with intracranial aneurysms. Surg. Radiol. Anat. 2024, 46, 859–869. [Google Scholar] [CrossRef]
- Dannhoff, G.; Bozzi, M.T.; Scibilia, A.; Severac, F.; Ollivier, I.; Mallereau, C.H.; Todeschi, J.; Chibbaro, S.; Proust, F.; Gaillard, S.; et al. Anatomical variations of the cavernous Internal Carotid Artery: Validation of an MRI-based classification. Clin. Neurol. Neurosurg. 2023, 227, 107647. [Google Scholar] [CrossRef]
- Valluru, K.S.; Nandala, S.; Parlapelli, M.A.; Koganti, P.C.; Chebolu, G.S. Determination of normal intracranial parameters of the sellar region in healthy subjects of South Indian population. Int. J. Radiol. Res. 2025, 8, 20–28. [Google Scholar] [CrossRef]
- Alvarez-Amandi, M.R.; Berciano Blanco, J.A.; Combarros Pascual, O.; Vaquero Ruipérez, A. Displasia fibromuscular de arterias cérvico-cefálicas. Presentación de dos casos y revisión de la literatura [Fibromuscular dysplasia of the cervicocephalic arteries. Report of two cases and review of the literature (author’s transl)]. Med. Clin. 1980, 74, 98–103. (In Spanish) [Google Scholar]
- Munteanu, F.; Poeată, I. Modelarea biomecanică a generării anevrismelor cerebrale [Biomechanical modelling of cerebral aneurysm generation]. Rev. Med. Chir. Soc. Med. Nat. Iasi. 2009, 113, 293–298. (In Romanian) [Google Scholar] [PubMed]
- Bihan, H.; Krivitzky, A.; Cohen, R. Insuffisance anté-hypophysaire par anévrysmes carotidiens bilatéraux [Anterior pituitary insufficiency caused by bilateral carotid artery aneurysms]. Presse Med. 2002, 31, 211–213. (In French) [Google Scholar]
- Kam, J.; Rebchuk, A.; Tan, D.; Huang, H.; Kim, B.; Castle-Kirszbaum, M.; Sher, I.; Lai, L. Microsurgical clipping of ruptured supraclinoid internal carotid artery aneurysm with extradural clinoidectomy. J. Clin. Neurosci. 2023, 118, 44–45. [Google Scholar] [CrossRef]
- Chen, R.J.; Qi, S.D.; Vaes, R.H.D.; Lahham, Y. Tortuous internal carotid artery aneurysm. ANZ J. Surg. 2020, 90, E127–E128. [Google Scholar] [CrossRef]
- Patel, B.M.; Ahmed, A.; Niemann, D. Endovascular treatment of supraclinoid internal carotid artery aneurysms. Neurosurg. Clin. N. Am. 2014, 25, 425–435. [Google Scholar] [CrossRef]
- Beylot, C.; Doutre, M.S.; Beylot-Barry, M.; Busquet, M. Les atteintes artérielles au cours des dysplasies héréditaires du tissu conjonctif [Arterial involvements in hereditary dysplasia of the connective tissue]. Rev. Med. Interne 1994, 15, 193–209. (In French) [Google Scholar] [CrossRef] [PubMed]
- Franceschini, N.; Giambartolomei, C.; de Vries, P.S.; Finan, C.; Bis, J.C.; Huntley, R.P.; Lovering, R.C.; Tajuddin, S.M.; Winkler, T.W.; Graff, M.; et al. GWAS and colocalization analyses implicate carotid intima-media thickness and carotid plaque loci in cardiovascular outcomes. Nat. Commun. 2018, 9, 5141. [Google Scholar] [CrossRef] [PubMed]
- Bhatti, A.F.; Leon, L.R., Jr.; Labropoulos, N.; Rubinas, T.L.; Rodriguez, H.; Kalman, P.G.; Schneck, M.; Psalms, S.B.; Biller, J. Free-floating thrombus of the carotid artery: Literature review and case reports. J. Vasc. Surg. 2007, 45, 199–205. [Google Scholar] [CrossRef]
- Vasconcellos, L.P.; Flores, J.A.; Conti, M.L.; Veiga, J.C.; Lancellotti, C.L. Spontaneous thrombosis of internal carotid artery: A natural history of giant carotid cavernous aneurysms. Arq. Neuro-Psiquiatr. 2009, 67, 278–283. [Google Scholar] [CrossRef]
- Harish, K.B.; Speranza, G.; Rockman, C.B.; Sadek, M.; Jacobowitz, G.R.; Garg, K.; Teter, K.A.; Maldonado, T.S. Natural history of internal carotid artery stenosis progression. J. Vasc. Surg. 2024, 79, 297–304. [Google Scholar] [CrossRef]
- Toure, G.; François, Y.; Porozaj, D.; Anzouan-Kacou, E. Duplication of the internal carotid artery and segmental aplasia of the vertebral arteries. Int. J. Oral. Maxillofac. Surg. 2023, 52, 630–632. [Google Scholar] [CrossRef] [PubMed]
- Jamshidi, A.M.; Soldozy, S.; Elarjani, T.; Burks, J.D.; Luther, E.; Starke, R.M. Fusiform Dilatation of the Internal Carotid Artery in Childhood-Onset Craniopharyngioma: A Systematic Review. World Neurosurg. 2022, 162, 77–84. [Google Scholar] [CrossRef] [PubMed]
- Kalashnikova, L.A.; Danilova, M.S.; Gubanova, M.V.; Dreval, M.V.; Dobrynina, L.A.; Chechetkin, A.O. Dissektsiya vnutrennei sonnoi arterii u bol’nykh s sindromom Shereshevskogo—Ternera [Internal carotid artery dissection in patients with Turner’s syndrome]. Zhurnal Nevrol. Psikhiatrii Im. S.S. Korsakova 2021, 121, 58–65. (In Russian) [Google Scholar] [CrossRef] [PubMed]
- Amaro, T.; Sgarbi, T.; Vieira, R.; Santos, R.R.; Matos, P.; Oliveira, A. Incidental cerebral aneurysm after takotsubo cardiomyopathy: A case report. Clin. Case Rep. 2023, 11, e7998. [Google Scholar] [CrossRef] [PubMed]
- Rosselet, E. Etude longitudinale d’une fistule carotido-caverneuse post-traumatique [Longitudinal study of a post-traumatic carotidocavernous fistula]. Rev. Otoneuroophtalmol. 1972, 44, 349–352. (In French) [Google Scholar] [PubMed]
- Desal, H.; Leaute, F.; Auffray-Calvier, E.; Martin, S.; Guillon, B.; Robert, R.; De Kersaint-Gilly, A. Fistule carotido-caverneuse directe. Etudes clinique, radiologique et thérapeutique. A propos de 49 cas [Direct carotid-cavernous fistula. Clinical, radiologic and therapeutic studies. Apropos of 49 cases]. J. Neuroradiol. 1997, 24, 141–154. (In French) [Google Scholar]
- Xie, G.; Myint, P.K.; Voora, D.; Laskowitz, D.T.; Shi, P.; Ren, F.; Wang, H.; Yang, Y.; Huo, Y.; Gao, W.; et al. Genome-wide association study on progression of carotid artery intima media thickness over 10 years in a Chinese cohort. Atherosclerosis 2015, 243, 30–37. [Google Scholar] [CrossRef] [PubMed]
- Bacciu, A.; Prasad, S.C.; Sist, N.; Rossi, G.; Piazza, P.; Sanna, M. Management of the cervico-petrous internal carotid artery in class C tympanojugular paragangliomas. Head Neck 2016, 38, 899–905. [Google Scholar] [CrossRef] [PubMed]
- Kalashnikova, L.A.; Konovalov, R.N.; Dobrynina, L.A. Sindrom obratimogo tserebral’nogo vazospazma i ishemicheskii insul’t [Reversible cerebral vasoconstriction syndrome and ischemic stroke]. Zhurnal Nevrol. Psikhiatrii Im. S.S. Korsakova 2023, 123, 17–23. [Google Scholar] [CrossRef]
- Newman, H.; Milne, N.; Lewis, S.B. Neurosurgical Anatomy of the Internal Carotid Artery: Magnetic Resonance Imaging Study of the Sellar Region. World Neurosurg. 2020, 133, e711–e715. [Google Scholar] [CrossRef]
- Kim, B.K.; Kim, B.; You, S.-H. Differentiation of Acute Internal Carotid Artery Occlusion Etiology on Computed Tomography Angiography: Diagnostic Tree for Preparing Endovascular Treatment. Diagnostics 2024, 14, 1524. [Google Scholar] [CrossRef]
- Pál, H.; Magyar-Stang, R.; Csányi, B.; Gaál, A.; Mihály, Z.; Czinege, Z.; Sótonyi, P.; Horváth, T.; Dobi, B.; Bereczki, D.; et al. Complex Characterization of Cerebral Vasoreactivity in Internal Carotid Artery Stenotic Patients with Transcranial Doppler Sonography. Life 2025, 15, 1692. [Google Scholar] [CrossRef] [PubMed]
- Sun, H.; Li, B.; Zhang, L.; Zhang, Y.; Liu, J.; Huang, S.; Xi, X.; Liu, Y. Numerical study of hemodynamic changes in the Circle of Willis after stenosis of the internal carotid artery. Comput. Methods Programs Biomed. 2024, 243, 107881. [Google Scholar] [CrossRef]
- Dincer, A.; Sharma, V.; Madan, N.; Heilman, C. Cavernous segment internal carotid artery stenosis specific to meningiomas compared to pituitary adenomas. J. Neuroima. 2023, 33, 73–78. [Google Scholar] [CrossRef]
- Melton, P.E.; Carless, M.A.; Curran, J.E.; Dyer, T.D.; Göring, H.H.; Kent, J.W., Jr.; Drigalenko, E.; Johnson, M.P.; Maccluer, J.W.; Moses, E.K.; et al. Genetic architecture of carotid artery intima-media thickness in Mexican Americans. Circ. Cardiovasc. Genet. 2013, 6, 211–221. [Google Scholar] [CrossRef][Green Version]
- Lien, C.-F.; Yeh, S.-A.; Cheng, C.-S.; Chiang, F.-Y.; Hwang, T.-Z.; Cai, B.-H.; Liu, C.-Y.; Weng, H.-H.; Chen, C.-C.; Hsieh, M.-C. Analysis of Prognostic Factors for Internal Carotid Artery Invasion by Nasopharyngeal Carcinoma. Cancers 2025, 17, 488. [Google Scholar] [CrossRef]
- Han, N.; Ma, Y.; Li, Y.; Zheng, Y.; Wu, C.; Gan, T.; Li, M.; Ma, L.; Zhang, J. Imaging and Hemodynamic Characteristics of Vulnerable Carotid Plaques and Artificial Intelligence Applications in Plaque Classification and Segmentation. Brain Sci. 2023, 13, 143. [Google Scholar] [CrossRef] [PubMed]
- Xu, J.; Dai, F.; Wang, B.; Wang, Y.; Li, J.; Pan, L.; Liu, J.; Liu, H.; He, S. Predictive Value of CT Perfusion in Hemorrhagic Transformation after Acute Ischemic Stroke: A Systematic Review and Meta-Analysis. Brain Sci. 2023, 13, 156. [Google Scholar] [CrossRef] [PubMed]




Disclaimer/Publisher’s Note: The statements, opinions and data contained in all publications are solely those of the individual author(s) and contributor(s) and not of MDPI and/or the editor(s). MDPI and/or the editor(s) disclaim responsibility for any injury to people or property resulting from any ideas, methods, instructions or products referred to in the content. |
© 2025 by the authors. Licensee MDPI, Basel, Switzerland. This article is an open access article distributed under the terms and conditions of the Creative Commons Attribution (CC BY) license (https://creativecommons.org/licenses/by/4.0/).
Share and Cite
Bechev, K.; Yotova, N.; Kanarev, M.; Petrova, A.; Kostadinov, K.; Markov, G.; Markov, D. Morphological Analysis of the Cavernous Segment of the Internal Carotid Artery: A Retrospective, Single Center Study of Its Clinical Significance. Diagnostics 2025, 15, 3072. https://doi.org/10.3390/diagnostics15233072
Bechev K, Yotova N, Kanarev M, Petrova A, Kostadinov K, Markov G, Markov D. Morphological Analysis of the Cavernous Segment of the Internal Carotid Artery: A Retrospective, Single Center Study of Its Clinical Significance. Diagnostics. 2025; 15(23):3072. https://doi.org/10.3390/diagnostics15233072
Chicago/Turabian StyleBechev, Kristian, Nina Yotova, Marin Kanarev, Anelia Petrova, Kostadin Kostadinov, Galabin Markov, and Daniel Markov. 2025. "Morphological Analysis of the Cavernous Segment of the Internal Carotid Artery: A Retrospective, Single Center Study of Its Clinical Significance" Diagnostics 15, no. 23: 3072. https://doi.org/10.3390/diagnostics15233072
APA StyleBechev, K., Yotova, N., Kanarev, M., Petrova, A., Kostadinov, K., Markov, G., & Markov, D. (2025). Morphological Analysis of the Cavernous Segment of the Internal Carotid Artery: A Retrospective, Single Center Study of Its Clinical Significance. Diagnostics, 15(23), 3072. https://doi.org/10.3390/diagnostics15233072

