Abstract
We present the case of an asymptomatic 40-year-old male patient who underwent a transoesophageal echocardiography examination for further evaluation of aortic regurgitation. On physical examination, an occasional diastolic murmur was detected. Transthoracic echocardiography demonstrated aortic regurgitation that was difficult to quantify accurately. A type F quadricuspid aortic valve was subsequently identified and confirmed by three-dimensional transoesophageal echocardiography.
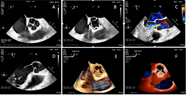
Figure 1.
Transoesophageal examination was performed using a X8-2t (Philips, Amsterdam, The Netherlands) probe. Midesophageal aortic valve short-axis view (35° angle) demonstrated four cusps, with two equal-sized larger cusps and two unequal-sized smaller cusps, which means Hurwitz & Roberts type F quadricuspid valve (QAV) (A) [1,2]. Midesophageal aortic valve short-axis view in mid-systole showed the four commissures (B). Color Doppler midesophageal long-axis view demonstrated central moderate aortic regurgitation (vena contracta width = 4 mm, no holodiastolic flow reversal in proximal descending aorta) (C). Midesophageal long-axis view (135° angle) highlighted the characteristic leaflet coaptation pattern of QAV, with a coaptation length of 6 mm measured in end-diastole (D). Three-dimensional high resolution four-beats (61 Hz) standard reconstruction (E) and three-dimensional TrueVue (Philips, NL) rendering (F) provided a detailed visualization of cusps configuration supporting the diagnosis of QAV and its classification (Video S1). QAV is a rare congenital abnormality with a prevalence of less than 0.05% in the general population [3,4]. Hurwitz and Roberts QAV classification is the most widely adopted one, and it identifies seven morphologic variants, from type A to type G [1,2]. This condition is frequently associated with progressive valve dysfunction, primarily due to isolated aortic regurgitation, while significant aortic stenosis is quite rare. The cumulative incidence of aortic valve intervention in QAV is comparable to that observed in bicuspid aortic valve. However, cumulative incidence of aortic surgery in patients with QAV is lower compared to those with bicuspid aortic valve, although it is higher than in the general population [2,5]. Aortic valve replacement with either a mechanical or a biological prosthesis can be performed. However, aortic valve repair should be considered as a first-line option, particularly in young patients with suitable anatomy, even though long-term durability data in this setting remain limited; tricuspidization of a QAV may be an option, particularly in cases with two larger and two smaller leaflets (Hurwitz and Roberts types F and G), or in the case of three larger and one smaller leaflets (Hurwitz and Roberts types B). In the literature, two cases of type F QAV associated with severe aortic regurgitation have been reported, without other significant valvular or aortic lesions. Both patients underwent aortic valve replacement [6,7]. If aortic dilatation is detected, Bentall or Ross procedures should be considered [8,9]. Anatomical studies of normal tricuspid aortic valves reported a mean coaptation length of 3.8 ± 0.8 mm [10]; however, corresponding data on QAVs are currently lacking. QAVs may show a greater coaptation length, potentially related to valve morphology, and future studies on this topic are needed.
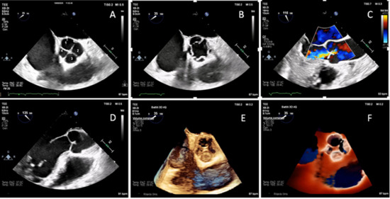
Figure 1.
Transoesophageal examination was performed using a X8-2t (Philips, Amsterdam, The Netherlands) probe. Midesophageal aortic valve short-axis view (35° angle) demonstrated four cusps, with two equal-sized larger cusps and two unequal-sized smaller cusps, which means Hurwitz & Roberts type F quadricuspid valve (QAV) (A) [1,2]. Midesophageal aortic valve short-axis view in mid-systole showed the four commissures (B). Color Doppler midesophageal long-axis view demonstrated central moderate aortic regurgitation (vena contracta width = 4 mm, no holodiastolic flow reversal in proximal descending aorta) (C). Midesophageal long-axis view (135° angle) highlighted the characteristic leaflet coaptation pattern of QAV, with a coaptation length of 6 mm measured in end-diastole (D). Three-dimensional high resolution four-beats (61 Hz) standard reconstruction (E) and three-dimensional TrueVue (Philips, NL) rendering (F) provided a detailed visualization of cusps configuration supporting the diagnosis of QAV and its classification (Video S1). QAV is a rare congenital abnormality with a prevalence of less than 0.05% in the general population [3,4]. Hurwitz and Roberts QAV classification is the most widely adopted one, and it identifies seven morphologic variants, from type A to type G [1,2]. This condition is frequently associated with progressive valve dysfunction, primarily due to isolated aortic regurgitation, while significant aortic stenosis is quite rare. The cumulative incidence of aortic valve intervention in QAV is comparable to that observed in bicuspid aortic valve. However, cumulative incidence of aortic surgery in patients with QAV is lower compared to those with bicuspid aortic valve, although it is higher than in the general population [2,5]. Aortic valve replacement with either a mechanical or a biological prosthesis can be performed. However, aortic valve repair should be considered as a first-line option, particularly in young patients with suitable anatomy, even though long-term durability data in this setting remain limited; tricuspidization of a QAV may be an option, particularly in cases with two larger and two smaller leaflets (Hurwitz and Roberts types F and G), or in the case of three larger and one smaller leaflets (Hurwitz and Roberts types B). In the literature, two cases of type F QAV associated with severe aortic regurgitation have been reported, without other significant valvular or aortic lesions. Both patients underwent aortic valve replacement [6,7]. If aortic dilatation is detected, Bentall or Ross procedures should be considered [8,9]. Anatomical studies of normal tricuspid aortic valves reported a mean coaptation length of 3.8 ± 0.8 mm [10]; however, corresponding data on QAVs are currently lacking. QAVs may show a greater coaptation length, potentially related to valve morphology, and future studies on this topic are needed.

Supplementary Materials
The following supporting information can be downloaded at: https://www.mdpi.com/article/10.3390/diagnostics15212792/s1, Video S1: Type F quadricuspid aortic valve at three-dimensional transoesophageal echocardiography.
Author Contributions
Conceptualization, A.B.; methodology, A.B., F.C. (Francesca Coraducci), C.T., F.C. (Filippo Capestro), B.O., F.G., M.D.E. and A.D.R.; validation, A.B., F.C. (Francesca Coraducci), C.T., F.C. (Filippo Capestro), B.O., F.G., M.D.E. and A.D.R.; investigation, A.B., F.C. (Francesca Coraducci), C.T., F.C. (Filippo capestro), B.O., F.G., M.D.E. and A.D.R.; writing—original draft preparation, A.B., F.C. (Francesca Coraducci), C.T., F.C. (Filippo Capestro), B.O., F.G., M.D.E. and A.D.R.; writing—review and editing, A.B., F.C. (Francesca Coraducci), C.T., F.C. (Filippo Capestro), B.O., F.G., M.D.E. and A.D.R.; visualization, A.B., F.C. (Francesca Coraducci), C.T., F.C. (Filippo Capestro), B.O., F.G., M.D.E. and A.D.R.; supervision, F.G., M.D.E. and A.D.R. All authors have read and agreed to the published version of the manuscript.
Funding
This research received no external funding.
Institutional Review Board Statement
Not applicable. In general, single-patient case reports do not require Institutional Review Board approval, as they are typically not classified as research under regulations in the U.S. and Europe. The work was conducted in accordance with the Declaration of Helsinki.
Informed Consent Statement
Written informed consent has been obtained from the patient to publish this paper.
Data Availability Statement
The original contributions presented in this study are included in the article/Supplementary Material. Further inquiries can be directed to the corresponding author.
Conflicts of Interest
The authors declare no conflicts of interest.
Abbreviations
The following abbreviations are used in this manuscript:
| QAV | Quadricuspid aortic valve |
References
- Hurwitz, L.E.; Roberts, W.C. Quadricuspid semilunar valve. Am. J. Cardiol. 1973, 31, 623–626. [Google Scholar] [CrossRef] [PubMed]
- Tsang, M.Y.; Abudiab, M.M.; Ammash, N.M.; Naqvi, T.Z.; Edwards, W.D.; Nkomo, V.T.; Pellikka, P.A. Quadricuspid Aortic Valve: Characteristics, Associated Structural Cardiovascular Abnormalities, and Clinical Outcomes. Circulation 2016, 133, 312–319. [Google Scholar] [CrossRef] [PubMed]
- Feldman, B.J.; Khandheria, B.K.; Warnes, C.A.; Seward, J.B.; Taylor, C.L.; Tajik, A.J. Incidence, description and functional assessment of isolated quadricuspid aortic valves. Am. J. Cardiol. 1990, 65, 937–938. [Google Scholar] [CrossRef] [PubMed]
- Manuel, A.M.; Ladeiras-Lopes, R.; Ribeiro, J.; Ferreira, N.D.; Faria, R.; Carvalho, M.; Ferreira, W.; Ferraz, R.; Gonçalves, F.; Batista, A.; et al. Prevalence, multimodality imaging characterization, and mid-term prognosis of quadricuspid aortic valves: An analysis of eight cases, based on 160 004 exams performed during 12 years in a tertiary care hospital. Eur. Heart J. Cardiovasc. Imaging 2021, 22, 765–776. [Google Scholar] [CrossRef] [PubMed]
- Zhang, J.; Fang, F.; Xia, Z.; Zhu, W.; Tsang, C.T.; Ren, Q.; Huang, J.; Guo, R.; Gu, W.; Xuan, H.; et al. Clinical Outcomes in Patients With Quadricuspid vs Bicuspid Aortic Valve. JAMA Netw. Open 2025, 8, e2524915. [Google Scholar] [CrossRef] [PubMed]
- Scrofani, R.; Pettinari, M.; Vanelli, P.; Biasi, S.; Antona, C. Type F quadricuspid aortic valve: Surgical treatment of a rare cause of aortic valve disease. J. Cardiovasc. Med. 2008, 9, 311–313. [Google Scholar] [CrossRef] [PubMed]
- Garg, P.; Kamaruddin, H.; Orme, R.; Watt, V. Type F Congenital Quadricuspid Aortic Valve: A Very Rare Case Diagnosed by 3-dimenional Transoesophageal Echocardiography. Open Cardiovasc. Med. J. 2014, 8, 23–25. [Google Scholar] [CrossRef] [PubMed]
- Yuan, S.M. Quadricuspid Aortic Valve: A Comprehensive Review. Braz. J. Cardiovasc. Surg. 2016, 31, 454–460. [Google Scholar] [CrossRef] [PubMed]
- Saith, S.; Saith, S.; Murthy, A. Quadricuspid Aortic Valve: An Introduction for Clinicians. Cardiol. Res. 2022, 13, 2–10. [Google Scholar] [CrossRef] [PubMed]
- De Kerchove, L.; Momeni, M.; Aphram, G.; Watremez, C.; Bollen, X.; Jashari, R.; Boodhwani, M.; Astarci, P.; Noirhomme, P.; El Khoury, G. Free margin length and coaptation surface area in normal tricuspid aortic valve: An anatomical study. Eur. J. Cardiothorac. Surg. 2018, 53, 1040–1048. [Google Scholar] [CrossRef] [PubMed]
Disclaimer/Publisher’s Note: The statements, opinions and data contained in all publications are solely those of the individual author(s) and contributor(s) and not of MDPI and/or the editor(s). MDPI and/or the editor(s) disclaim responsibility for any injury to people or property resulting from any ideas, methods, instructions or products referred to in the content. |
© 2025 by the authors. Licensee MDPI, Basel, Switzerland. This article is an open access article distributed under the terms and conditions of the Creative Commons Attribution (CC BY) license (https://creativecommons.org/licenses/by/4.0/).