The Solitary Fibrous Tumor, the Chameleon of the Head and Neck Region—Clinical, Epidemiological, and Histopathological Aspects
Abstract
1. Introduction
2. Materials and Methods
2.1. Inclusion Criteria of the Patients
2.2. Ethical Considerations
2.3. Laboratory Process
2.4. Objectives
2.5. Data Analysis
3. Results
3.1. Clinical and Epidemiological Aspects
3.2. Surgical Approach
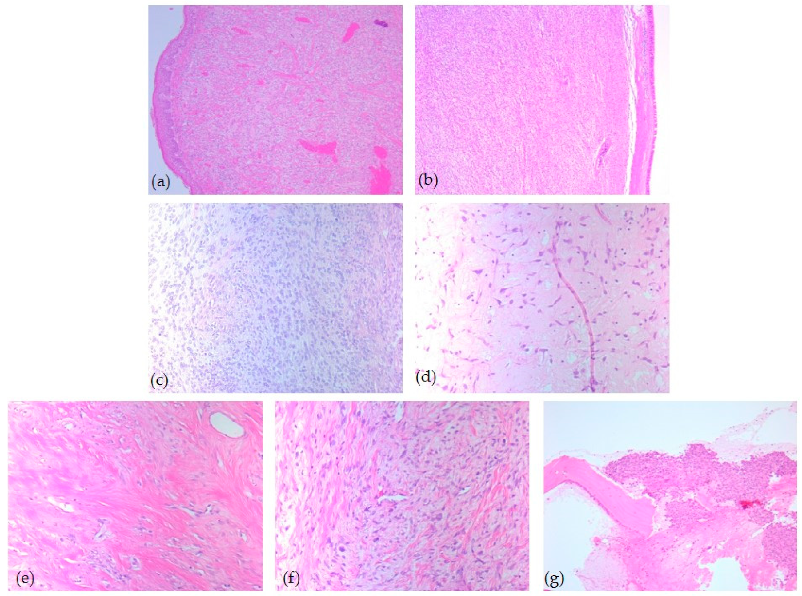
3.3. Morphological Features
3.4. Immunohistochemical Features
3.5. Risk Stratification Scores
3.6. Outcome
4. Discussion
5. Conclusions
Supplementary Materials
Author Contributions
Funding
Institutional Review Board Statement
Informed Consent Statement
Data Availability Statement
Acknowledgments
Conflicts of Interest
References
- Demicco, E.G.; Park, M.S.; Araujo, D.M.; Fox, P.S.; Bassett, R.L.; Pollock, R.E.; Lazar, A.J.; Wang, L.W. Solitary fibrous tumor: A clinicopathological study of 110 cases and proposed risk assessment model. Mod. Pathol. 2012, 25, 1298–1306. [Google Scholar] [CrossRef] [PubMed]
- Andrade Filho, E.K.R.; Rêgo, M.M.B.; Henriques, S.R.M.; Barbalho, T.C.S.; Nogueira, G.M.C. Head and neck solitary fibrous tumor: A challenging diagnosis. Arch. Head Neck Surg. 2023, 52, 20230012. [Google Scholar] [CrossRef]
- Hofmann, T.; Braun, H.; Köle, W.; Beham, A. Solitary fibrous tumor of the submandibular gland. Eur. Arch. Oto-Rhino-Laryngol. 2002, 259, 470–473. [Google Scholar] [CrossRef] [PubMed]
- Tariq, M.U.; Asghari, T.; Armstrong, S.M.; Ahmed, A.; Fritchie, K.; Din, N.U. Solitary fibrous tumor of head and neck region; A clinicopathological study of 67 cases emphasizing the diversity of histological features and utility of various risk stratification models. Pathol. Res. Pract. 2023, 249, 154777. [Google Scholar] [CrossRef] [PubMed]
- Sbaraglia, M.; Bellan, E.; Dei Tos, A.P. The 2020 WHO Classification of Soft Tissue Tumours: News and perspectives. Pathologica 2021, 113, 70–84. [Google Scholar] [CrossRef] [PubMed]
- Tariq, M.U.; Alsulaiman, A.; Kashif, A.; Keshk, E.; Alhassani, S.H.; Alkhudaidi, H. Solitary Fibrous Tumor of Head and Neck Region: A Series of Three Cases at an Uncommon Location with a Review of the Literature. Cureus 2024, 16, 58213. [Google Scholar] [CrossRef] [PubMed]
- Chung, H.R.; Tam, K.; Han, A.Y.; Obeidin, F.; Nakasaki, M.; Chhetri, D.K.; St John, M.A.; Kita, A.E. Solitary Fibrous Tumors of the Head and Neck: A Single-Institution Study of 52 Patients. OTO Open 2022, 6, 2473974X221098709. [Google Scholar] [CrossRef] [PubMed]
- Bowe, S.N.; Wakely, P.E.J.r.; Ozer, E. Head and neck solitary fibrous tumors: Diagnostic and therapeutic challenges. Laryngoscope 2012, 122, 1748–1755. [Google Scholar] [CrossRef] [PubMed]
- Cox, D.P.; Daniels, T.; Jordan, R.C. Solitary fibrous tumor of the head and neck. Oral. Surg. Oral. Med. Oral. Pathol. Oral. Radiol. Endod. 2010, 110, 79–84. [Google Scholar] [CrossRef] [PubMed]
- Klemperer, P.; Rabin, C.B. Primary neoplasms of the pleura: A report of five cases. Arch. Pathol. 1931, 11, 385–412. [Google Scholar] [CrossRef] [PubMed]
- Smith, S.C.; Gooding, W.E.; Elkins, M.; Patel, R.M.; Harms, P.W.; McDaniel, A.S.; Palanisamy, N.; Uram-Tuculescu, C.; Balzer, B.B.; Lucas, D.R.; et al. Solitary Fibrous Tumors of the Head and Neck: A Multi-Institutional Clinicopathologic Study. Am. J. Surg. Pathol. 2017, 41, 1642–1656. [Google Scholar] [CrossRef] [PubMed]
- Marti-Flich, L.; Schlund, M.; Dapke, S.; Politis, C.; Aubert, S.; Wojcik, T.; Barry, F.; Mouawad, F.; Majoufre, C.; Leyman, B.; et al. Surgical treatment outcomes of solitary fibrous tumors in the head and neck: A retrospective study. J. Cranio-Maxillofac. Surg. 2023, 51, 381–386. [Google Scholar] [CrossRef] [PubMed]
- Stout, A.P.; Murray, M.R. Localized pleural mesothelioma: Investigation of its characteristics and histogenesis by the method of tissue culture. Arch. Pathol. 1942, 34, 951–964. [Google Scholar]
- Baněčková, M.; Martínek, P.; Skálová, A.; Mezencev, R.; Hadravský, L.; Michal, M.; Švajdler, M. Solitary fibrous tumors of the head and neck region revisited: A single-institution study of 20 cases and review of the literature. Hum. Pathol. 2020, 99, 1–12. [Google Scholar] [CrossRef] [PubMed]
- Stanisce, L.; Ahmad, N.; Levin, K.; Deckard, N.; Enriquez, M.; Brody, J.; Koshkareva, Y. Solitary Fibrous Tumors in the Head and Neck: Comprehensive Review and Analysis. Head Neck Pathol. 2020, 14, 516–524. [Google Scholar] [CrossRef] [PubMed]
- Kao, Y.C.; Lin, P.C.; Yen, S.L.; Huang, S.C.; Tsai, J.W.; Li, C.F.; Tai, H.C.; Lan, J.; Chuang, I.C.; Yu, S.C.; et al. Clinicopathological and genetic heterogeneity of the head and neck solitary fibrous tumours: A comparative histological, immunohistochemical and molecular study of 36 cases. Histopathology 2016, 68, 492–501. [Google Scholar] [CrossRef] [PubMed]
- Hong, Y.T.; Han, S. Malignant Solitary Fibrous Tumor of the Nasal Cavity and Orbit: A Case Report. Ear Nose Throat J. 2022, 104, 291S–294S. [Google Scholar] [CrossRef] [PubMed]
- Witkin, G.B.; Rosai, J. Solitary fibrous tumor of the upper respiratory tract. A report of six cases. Am. J. Pathol. 1991, 15, 842–848. [Google Scholar] [CrossRef] [PubMed]
- Machado, I.; Nieto-Morales, G.; Cruz, J.; Navarro, S.; Giner, F.; Ferrandez, A.; López-Soto, M.V.; Lavernia, J.; Llombart-Bosch, A. Controversial issues in soft tissue solitary fibrous tumors: A pathological and molecular review. Pathol. Int. 2020, 70, 129–139. [Google Scholar] [CrossRef] [PubMed]
- Sugita, S.; Segawa, K.; Kikuchi, N.; Takenami, T.; Kido, T.; Emori, M.; Akiyama, Y.; Takada, K.; Hinotsu, S.; Hasegawa, T. Prognostic usefulness of a modified risk model for solitary fibrous tumor that includes the Ki-67 labeling index. World J. Surg. Oncol. 2022, 20, 29. [Google Scholar] [CrossRef] [PubMed]
- Georgiesh, T.; Aggerholm-Pedersen, N.; Schöffski, P.; Zhang, Y.; Napolitano, A.; Bovée, J.V.M.G.; Hjelle, Å.; Tang, G.; Spalek, M.; Nannini, M.; et al. Validation of a novel risk score to predict early and late recurrence in solitary fibrous tumour. Br. J. Cancer 2022, 27, 1793–1798. [Google Scholar] [CrossRef] [PubMed]
- Huang, A.; Su, M.; Jing, Y.; He, S.; He, X.; Ma, J.; Liu, H. Orbital primary solitary fibrous tumor: A proposed recurrence risk prediction model based on 92 cases. Hum. Pathol. 2023, 137, 85–93. [Google Scholar] [CrossRef] [PubMed]
- Salas, S.; Resseguier, N.; Blay, J.Y.; Le Cesne, A.; Italiano, A.; Chevreau, C.; Rosset, P.; Isambert, N.; Soulie, P.; Cupissol, D.; et al. Prediction of local and metastatic recurrence in solitary fibrous tumor: Construction of a risk calculator in a multicenter cohort from the French Sarcoma Group (FSG) database. Ann. Oncol. 2017, 28, 1979–1987. [Google Scholar] [CrossRef] [PubMed]
- Thompson, L.D.R.; Liou, S.S.; Feldman, K.A. Orbit Solitary Fibrous Tumor: A Proposed Risk Prediction Model Based on a Case Series and Comprehensive Literature Review. Head Neck Pathol. 2021, 15, 138–152. [Google Scholar] [CrossRef] [PubMed]
- Thompson, L.D.; Lau, S.K. Sinonasal tract solitary fibrous tumor: A clinicopathologic study of six cases with a comprehensive review of the literature. Head. Neck Pathol. 2018, 12, 471–480. [Google Scholar] [CrossRef] [PubMed]
- Alkatan, H.M.; Alsalamah, A.K.; Almizel, A.; Alshomar, K.M.; Maktabi, A.M.; ElKhamary, S.M.; Eberhart, C.G.; Iuliano, A.; Lanni, V.; Strianese, D. Orbital solitary fibrous tumors: A multi-centered histopathological and immunohistochemical analysis with radiological description. Ann. Saudi Med. 2020, 40, 227–233. [Google Scholar] [CrossRef] [PubMed]
- Alawi, F.; Stratton, D.; Freedman, P.D. Solitary fibrous tumor of the oral soft tissues: A clinicopathologic and immunohistochemical study of 16 cases. Am. J. Surg. Pathol. 2001, 25, 900–910. [Google Scholar] [CrossRef] [PubMed]
- Benlyazid, A.; Lescanne, E.; Lefrancq, T.; Fetissoff, F.; Beutter, P. Solitary fibrous tumour of the larynx: Report of a case. J. Laryngol. Otol. 1998, 112, 286–289. [Google Scholar] [CrossRef] [PubMed]
- Ganly, I.; Patel, S.G.; Stambuk, H.E.; Coleman, M.; Ghossein, R.; Carlson, D.; Edgar, M.; Shah, J.P. Solitary fibrous tumors of the head and neck: A clinicopathologic and radiologic review. Arch. Otolaryngol. Head Neck Surg. 2006, 132, 517–525. [Google Scholar] [CrossRef] [PubMed]
- Park, S.J.; Lee, Y.H.; Lee, K.Y.; Oh, K.H.; Kim, Y. A Solitary Fibrous Tumor of the Subglottic Larynx: Case Report and Literature Review. Balkan Med. J. 2016, 33, 698–700. [Google Scholar] [CrossRef] [PubMed]
- Liu, Y.; Li, K.; Shi, H.; Tao, X. Solitary fibrous tumours in the extracranial head and neck region: Correlation of CT and MR features with pathologic findings. Radiol. Med. 2014, 119, 910–919. [Google Scholar] [CrossRef] [PubMed]
- Keraliya, A.R.; Tirumani, S.H.; Shinagare, A.B.; Zaheer, A.; Ramaiya, N.H. Solitary fibrous tumors. Radiol. Clin. 2016, 54, 565–579. [Google Scholar] [CrossRef] [PubMed]
- Yuzawa, S.; Nishihara, H.; Wang, L.; Tsuda, M.; Kimura, T.; Tanino, M.; Tanaka, S. Analysis of NAB2-STAT6 Gene Fusion in 17 Cases of Meningeal Solitary Fibrous Tumor/Hemangiopericytoma: Review of the Literature. Am. J. Surg. Pathol. 2016, 40, 1031–1040. [Google Scholar] [CrossRef] [PubMed]
- Lo Muzio, L.; Mascolo, M.; Capodiferro, S.; Favia, G.; Maiorano, E. Solitary fibrous tumor of the oral cavity: The need for an extensive sampling for a correct diagnosis. J. Oral. Pathol. Med. 2007, 36, 538–542. [Google Scholar] [CrossRef] [PubMed]
- Rakitovan, M.; Nicoara, A.; Closca, R.M.; Balica, N.C.; Stefanescu, E.H.; Baderca, F. Leiomyoma with Uncommon Localization—Incisive Papilla and Palatal Fibromucosa: A Case Report. Medicina 2023, 59, 1346. [Google Scholar] [CrossRef] [PubMed]
- Nicoara, A.; Rakitovan, M.; Closca, R.M.; Militaru, M.; Cindrea, A.C.; Zara, F. Epidemiological, Clinical, and Histopathological Features of the Head and Neck Region Schwannomas-Our Experience in the Western Part of Romania with Surgical Insights. Diagnostics 2024, 14, 2334. [Google Scholar] [CrossRef] [PubMed]
- Vallat-Decouvelaere, A.V.; Dry, S.M.; Fletcher, C.D. Atypical and malignant solitary fibrous tumors in extrathoracic locations: Evidence of their comparability to intra-thoracic tumors. Am. J. Surg. Pathol. 1998, 22, 1501–1511. [Google Scholar] [CrossRef] [PubMed]
- Gold, J.S.; Antonescu, C.R.; Hajdu, C.; Ferrone, C.R.; Hussain, M.; Lewis, J.J.; Brennan, M.F.; Coit, D.G. Clinicopathologic correlates of solitary fibrous tumors. Cancer 2002, 94, 1057–1068. [Google Scholar] [CrossRef] [PubMed]
- Gholami, S.; Cassidy, M.R.; Kirane, A.; Kuk, D.; Zanchelli, B.; Antonescu, C.R.; Singer, S.; Brennan, M. Size and Location are the Most Important Risk Factors for Malignant Behavior in Resected Solitary Fibrous Tumors. Ann. Surg. Oncol. 2017, 24, 3865–3871. [Google Scholar] [CrossRef] [PubMed]
- England, D.M.; Hochholzer, L.; McCarthy, M.J. Localized benign and malignant fibrous tumors of the pleura. A clinicopathologic review of 223 cases. Am. J. Surg. Pathol. 1989, 13, 640–658. [Google Scholar] [CrossRef] [PubMed]
- de Morais, E.F.; Martins, H.D.D.; Rodrigues, K.S.; de França, G.M.; da Silveira, É.J.D.; Freitas, R.A. Clinicopathologic Analysis of Oral and Maxillofacial Solitary Fibrous Tumor. Am. J. Clin. Pathol. 2020, 154, 15–22. [Google Scholar] [CrossRef] [PubMed]
- Sbrocca, M.; Mevio, N.; Mullace, M.; Cazzaniga, M.; Mevio, E. Solitary fibrous tumour of the laterocervical spaces. Acta Otorhinolaryngol. Ital. 2009, 29, 41–43. [Google Scholar] [PubMed]
- Constantinidou, A.; Jones, R.L.; Olmos, D.; Thway, K.; Fisher, C.; Al-Muderis, O.; Judson, I. Conventional anthracycline-based chemotherapy has limited efficacy in solitary fibrous tumour. Acta Oncol. 2012, 51, 550–554. [Google Scholar] [CrossRef] [PubMed]







| Antibody | Substrate | Clone | Dilution |
|---|---|---|---|
| 1 STAT6 | Monoclonal, rabbit | YE361 | 1:50 |
| 2 CD34 | Monoclonal, mouse | QBEnd/10 | RTU |
| 3 CD99 | Monoclonal, mouse | PCB1 | 1:50 |
| 4 EMA | Monoclonal, mouse | GP1.4 | 1:300 |
| 5 Bcl2 | Monoclonal, rabbit | SP66 | 1:100 |
| 6 SMA | Monoclonal, mouse | Asn-1 | 1:50 |
| 7 S100 | Polyclonal, rabbit | EP32 | 1:100 |
| 8 DES | Monoclonal, mouse | DE-R-11 | 1:75 |
| 9 Ki-67 | Monoclonal, mouse | MM1 | 1:200 |
| 10 CD3 | Monoclonal, mouse | LN10 | 1:500 |
| 11 CD4 | Monoclonal, mouse | 4B12 | 1:100 |
| 12 CD8 | Monoclonal, mouse | 4B11 | 1:500 |
| 13 CD5 | Monoclonal, mouse | 4C7 | 1:100 |
| 14 CD20 | Monoclonal, mouse | L26 | RTU |
| 15 CD1a | Monoclonal, mouse | MTB1 | RTU |
| 16 CD117 | Monoclonal, rabbit | EP10 | 1:200 |
| Variable | All Patients (N = 26) |
|---|---|
| Sex (male) | 15 (57.7%) |
| Age (years) | 55 (37.5–64) |
| Site (a) | |
| Auricular and periauricular | 7 (26.92%) |
| Nasal region | 6 (23.08%) |
| Orbital and periorbital | 5 (19.23%) |
| Labial region | 2 (7.69%) |
| Other regions * | 6 (23.08%) |
| Size (b) | 1.3 (0.7–2.7) |
| Surgical excision (a) | 21 (80.77%) |
| Incisional biopsy (a) | 5 (19.23%) |
| 1 RTx (a) | 1 (3.85%) |
| 2 CTX (a) | 4 (15.38%) |
| Recurrence (a) | 6 (23.08%) |
| Time to recurrence (months) (b) | 17 (6.50–77) |
| Recurrence size (b) | 2.65 (2.05–3.40) |
| Pathological Features | All Patients |
|---|---|
| Spindle cells | 19 (73.08%) |
| Spindle and epitheloid cells | 7 (26.92%) |
| Low cell density | 14 (53.84%) |
| Moderate cell density | 6 (23.08%) |
| High cell density | 6 (23.08%) |
| ≤4 mitoses/10 high-power field | 21 (80.77%) |
| >5 mitoses/10 high-power field | 5 (19.23%) |
| Low pleomorphism | 17 (65.39%) |
| Moderate pleomorphism | 4 (15.38%) |
| High pleomorphism | 5 (19.23%) |
| Focal areas of necrosis | 3 (11.54%) |
| Case | 1 STAT6 | 2 CD34 | 3 EMA | 4 Bcl2 | 5 SMA | 6 S100 | 7 DES | 8 CD99 | 9 Ki-67 |
|---|---|---|---|---|---|---|---|---|---|
| 1 | 10 +++, Diffuse, 100% | +++, Diffuse, 90% | 11 - | 12 ++, Diffuse, 98% | - | - | - | +++, Diffuse, 80% | 15% |
| 2 | +++, Diffuse, 100% | 13 +, Diffuse, 100% | - | +, Diffuse, 98% | - | - | - | +++, Diffuse, 90% | 10% |
| 3 | +++, Diffuse, 100% | +++, Diffuse, 100% | - | +, Diffuse, 100% | - | - | - | +++, Diffuse, 90% | 30% |
| 4 | +++, Diffuse, 100% | +++, Diffuse, 100% | - | ++/+++, Diffuse, 98% | - | - | - | +++, Diffuse, 100% | 5% |
| 5 | ++/+++, Diffuse, 90% | +++, Diffuse, 80% | ++, Focal, 30/% | +++, Diffuse, 98% | - | - | - | - | 3% |
| 6 | +++, Diffuse, 100% | +++, Diffuse, 80% | +++, Focal, 50% | ++, Focal, 60% | - | - | - | +++, Diffuse, 100% | 15% |
| 7 | +++, Diffuse, 100% | +++, Focal, 50% | - | ++/+++, Diffuse, 90% | +, focal, 10% | - | - | +++, Diffuse, 90% | 10% |
| 8 | +++, Diffuse, 100% | +++, Diffuse, 98% | - | +++, Diffuse, 98% | - | - | - | +++, Diffuse, 70% | 5% |
| 9 | +++, Diffuse, 100% | +++, Diffuse, 100% | - | +++, Diffuse, 100% | - | - | - | +++, Diffuse, 70% | 5% |
| 10 | ++, Diffuse, 100% | +++, Diffuse, 100% | - | +++, Diffuse, 100% | - | - | - | - | 3% |
| 11 | +++, Diffuse, 100% | +/++, Diffuse, 95% | - | +++, Diffuse, 100% | - | - | - | - | 15% |
| 12 | +++, Diffuse, 100% | +, Diffuse, 100% | - | +++, Diffuse, 100% | - | - | - | +++, Diffuse, 90% | 20% |
| 13 | +++, Diffuse, 100% | +++, Diffuse, 100% | + | +++, Diffuse, 100% | - | - | - | - | 7% |
| 14 | +++, Diffuse, 100% | +++, Diffuse, 100% | + | ++, Diffuse, 90% | - | - | - | +++, Diffuse, 50% | 25% |
| 15 | +++, Diffuse, 100% | - | - | +, Diffuse, 95% | - | - | - | +++, Diffuse, 100% | 5% |
| 16 | +++, Diffuse, 100% | +++, Diffuse, 100% | - | +, Diffuse, 85% | - | - | - | +++, Diffuse, 90% | 5% |
| 17 | +++, Diffuse, 100% | +++, Diffuse, 100% | - | +++, Diffuse, 100% | - | - | - | +++, Diffuse, 90% | 15% |
| 18 | +++, Diffuse, 100% | +++, Diffuse, 100% | - | +++, Diffuse, 100% | - | - | - | +++, Diffuse, 90% | 7% |
| 19 | +++, Diffuse, 100% | +++, Diffuse, 100% | - | +++, Diffuse, 80% | - | - | - | +++, Diffuse, 95% | 5% |
| 20 | +++, Diffuse, 95% | +++, Diffuse, 100% | - | +++, Diffuse, 100% | - | - | - | - | 5% |
| 21 | +++, Diffuse, 100% | +++, Diffuse, 100% | - | +++, Diffuse, 100% | - | - | - | +++, Diffuse, 90% | 5% |
| 22 | +++, Diffuse, 100% | +++, Diffuse, 100% | - | +++, Diffuse, 100% | - | - | - | +++, Diffuse, 75% | 15% |
| 23 | +++, Diffuse, 100% | - | - | +++, Diffuse, 100% | - | - | - | +++, Diffuse, 90% | 10% |
| 24 | +++, Diffuse, 100% | +++, Diffuse, 100% | - | +++, Diffuse, 100% | - | - | - | +++, Diffuse, 80% | 20% |
| 25 | +++, Diffuse, 90% | +++, Diffuse, 100% | - | +++, Diffuse, 100% | - | - | - | +++, Diffuse, 100% | 10% |
| 26 | +++, Diffuse, 100% | +++, Diffuse, 100% | - | +++, Diffuse, 100% | - | - | - | +++, Diffuse, 90% | 20% |
| Marker | Score 0 | Score 1 | Score 2 | Score 3 |
|---|---|---|---|---|
| 1 CD20 | 13 (50%) | 4 (15%) | 2 (8%) | 7 (27%) |
| 2 CD3 | 0 (0%) | 1 (4%) | 4 (15%) | 21 (81%) |
| 3 CD4 | 1 (4%) | 21 (81%) | 4 (15%) | 0 (0%) |
| 4 CD5 | 0 (0%) | 0 (0%) | 5 (19%) | 21 (81%) |
| 5 CD8 | 2 (8%) | 17 (65%) | 7 (27%) | 0 (0%) |
| 6 CD1a | 22 (85%) | 4 (15%) | 0 (0%) | 0 (0%) |
| 7 CD117 | 23 (88%) | 3 (12%) | 0 (0%) | 0 (0%) |
| Score | Low Risk | Intermediate Risk | High Risk |
|---|---|---|---|
| Demicco | 17 (65%) | 6 (23%) | 3 (12%) |
| Sugita | 15 (58%) | 10 (38%) | 1 (4%) |
| G-score | 19 (73%) | 7 (27%) | 0 (0%) |
| Huang | 23 (88%) | 2 (8%) | 1 (4%) |
| Salas | 25 (96%) | 1 (4%) | 0 (0%) |
| Thompson | 20 (77%) | 5 (19%) | 1 (4%) |
| Score | AUC (95% CI) | Sensitivity | Specificity |
|---|---|---|---|
| Demicco | 0.771 (0.518–0.999) | 50% | 100% |
| Sugita | 0.896 (0.805–0.987) | 100% | 75% |
| G-score | 0.758 (0.537–0.980) | 66.7% | 85% |
| Huang | 0.750 (0.531–0.969) | 50% | 100% |
| Salas | 0.583 (0.420–0.747) | 16.7% | 100% |
| Thompson | 0.896 (0.726–0.999) | 83.3% | 95% |
Disclaimer/Publisher’s Note: The statements, opinions and data contained in all publications are solely those of the individual author(s) and contributor(s) and not of MDPI and/or the editor(s). MDPI and/or the editor(s) disclaim responsibility for any injury to people or property resulting from any ideas, methods, instructions or products referred to in the content. |
© 2025 by the authors. Licensee MDPI, Basel, Switzerland. This article is an open access article distributed under the terms and conditions of the Creative Commons Attribution (CC BY) license (https://creativecommons.org/licenses/by/4.0/).
Share and Cite
Rakitovan, M.; Nicoara, A.; Closca, R.M.; Ceausu, R.A.; Dumitru, C.S.; Barb, A.C.; Novacescu, D.; Armega Anghelescu, A.; Cindrea, A.C.; Zara, F. The Solitary Fibrous Tumor, the Chameleon of the Head and Neck Region—Clinical, Epidemiological, and Histopathological Aspects. Diagnostics 2025, 15, 2721. https://doi.org/10.3390/diagnostics15212721
Rakitovan M, Nicoara A, Closca RM, Ceausu RA, Dumitru CS, Barb AC, Novacescu D, Armega Anghelescu A, Cindrea AC, Zara F. The Solitary Fibrous Tumor, the Chameleon of the Head and Neck Region—Clinical, Epidemiological, and Histopathological Aspects. Diagnostics. 2025; 15(21):2721. https://doi.org/10.3390/diagnostics15212721
Chicago/Turabian StyleRakitovan, Marina, Adrian Nicoara, Raluca Maria Closca, Raluca Amalia Ceausu, Cristina Stefania Dumitru, Alina Cristina Barb, Dorin Novacescu, Antonia Armega Anghelescu, Alexandru Cristian Cindrea, and Flavia Zara. 2025. "The Solitary Fibrous Tumor, the Chameleon of the Head and Neck Region—Clinical, Epidemiological, and Histopathological Aspects" Diagnostics 15, no. 21: 2721. https://doi.org/10.3390/diagnostics15212721
APA StyleRakitovan, M., Nicoara, A., Closca, R. M., Ceausu, R. A., Dumitru, C. S., Barb, A. C., Novacescu, D., Armega Anghelescu, A., Cindrea, A. C., & Zara, F. (2025). The Solitary Fibrous Tumor, the Chameleon of the Head and Neck Region—Clinical, Epidemiological, and Histopathological Aspects. Diagnostics, 15(21), 2721. https://doi.org/10.3390/diagnostics15212721

