Automated Implant Placement Pathway from Dental Panoramic Radiographs Using Deep Learning for Preliminary Clinical Assistance
Abstract
1. Introduction
2. Materials and Methods
2.1. Dataset Collection and Annotation
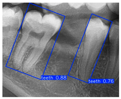
2.2. Extraction of Missing Teeth by Deep Learning Method
2.2.1. YOLO Architecture
- YOLOv9 integrates Programmable Gradient Information (PGI) and a Generalized Efficient Layer Aggregation Network to address information loss in deep networks while maintaining high detection accuracy, particularly for small objects [31].
- YOLOv10 employs a dual assignment strategy, lightweight head, and spatial channel decoupled downsampling, reducing inference time and minimizing information loss during feature extraction [32].
- YOLOv12 adopts an attention-centric design with the A2 regional attention module for dynamic global–local feature capture; incorporates the R-ELAN architecture for enhanced feature aggregation and gradient stability; and integrates Flash Attention and adaptive MLP ratio optimization, achieving superior inference speed and detection accuracy over previous versions [35].
2.2.2. YOLO-OBB Architecture
2.2.3. Hyper Parameter Setting
2.2.4. Evaluation Metrices
2.3. Tooth Image Enhancement
2.3.1. Bilateral Filter
2.3.2. Histogram Equalization
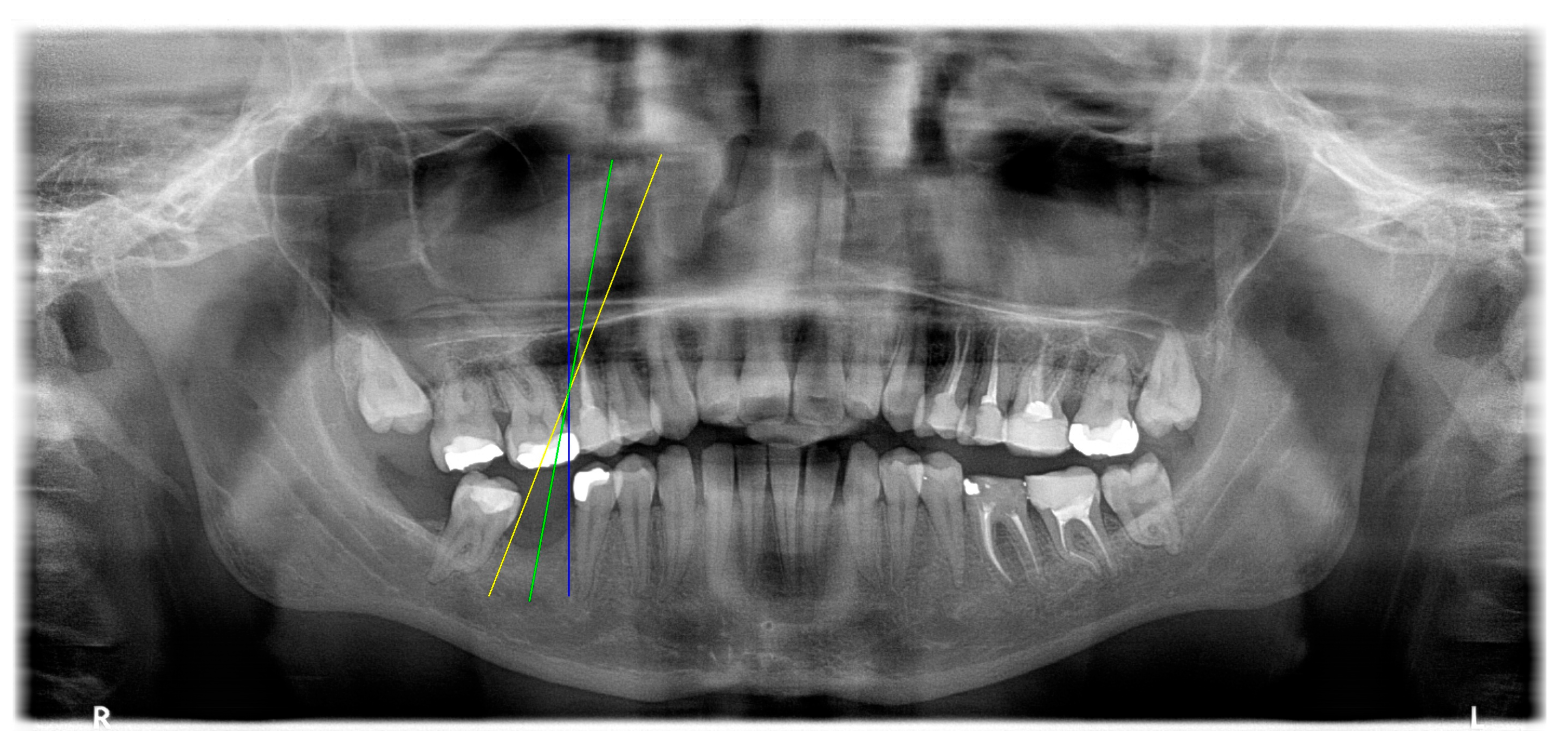
2.4. Implant Pathway Orientation Visualization Algorithm
3. Results
3.1. DPR Instance Segmentation Result
3.2. YOLO-OBB Segmentation Result
3.3. Comparison with Clinical Ground Truth and AI-Assisted Framework
4. Discussion
5. Conclusions
Author Contributions
Funding
Institutional Review Board Statement
Informed Consent Statement
Data Availability Statement
Acknowledgments
Conflicts of Interest
References
- French, D.; Ofec, R.; Levin, L. Long term clinical performance of 10,871 dental implants with up to 22 years of follow-up: A cohort study in 4247 patients. Clin. Implant. Dent. Relat. Res. 2021, 23, 289–297. [Google Scholar] [CrossRef]
- Kupka, J.R.; König, J.; Al-Nawas, B.; Sagheb, K.; Schiegnitz, E. How far can we go? A 20-year meta-analysis of dental implant survival rates. Clin. Oral Investig. 2024, 28, 541. [Google Scholar] [CrossRef]
- Takács, A.; Hardi, E.; Cavalcante, B.G.N.; Szabó, B.; Kispélyi, B.; Joób-Fancsaly, Á.; Mikulás, K.; Varga, G.; Hegyi, P.; Kivovics, M. Advancing accuracy in guided implant placement: A comprehensive meta-analysis: Meta-Analysis evaluation of the accuracy of available implant placement Methods. J. Dent. 2023, 139, 104748. [Google Scholar] [CrossRef]
- Misch, K.; Wang, H.-L. Implant Surgery Complications: Etiology and Treatment. Implant. Dent. 2008, 17, 159. [Google Scholar] [CrossRef] [PubMed]
- Chen, S.T.; Buser, D.; Sculean, A.; Belser, U.C. Complications and treatment errors in implant positioning in the aesthetic zone: Diagnosis and possible solutions. Periodontol. 2000 2023, 92, 220–234. [Google Scholar] [CrossRef] [PubMed]
- Sahrmann, P.; Kühl, S.; Dagassan-Berndt, D.; Bornstein, M.M.; Zitzmann, N.U. Radiographic assessment of the peri-implant site. Periodontol. 2000 2024, 95, 70–86. [Google Scholar] [CrossRef]
- Lo Giudice, R.; Nicita, F.; Puleio, F.; Alibrandi, A.; Cervino, G.; Lizio, A.S.; Pantaleo, G. Accuracy of Periapical Radiography and CBCT in Endodontic Evaluation. Int. J. Dent. 2018, 2018, 2514243. [Google Scholar] [CrossRef]
- Walker, C.; Thomson, D.; McKenna, G. Case study: Limitations of panoramic radiography in the anterior mandible. Dent. Update 2009, 36, 620–623. [Google Scholar] [CrossRef]
- Kaasalainen, T.; Ekholm, M.; Siiskonen, T.; Kortesniemi, M. Dental cone beam CT: An updated review. Phys. Medica 2021, 88, 193–217. [Google Scholar] [CrossRef] [PubMed]
- Kühl, S.; Payer, M.; Zitzmann, N.U.; Lambrecht, J.T.; Filippi, A. Technical accuracy of printed surgical templates for guided implant surgery with the coDiagnostiXTM software. Clin. Implant. Dent. Relat. Res. 2015, 17 (Suppl. S1), e177–e182. [Google Scholar] [CrossRef]
- Li, W.T.; Li, P.; Piao, M.Z.; Zhang, F.; Di, J. Study on bone volume harvested from the implant sites with different methods. Beijing Da Xue Xue Bao Yi Xue Ban 2020, 52, 103–106. [Google Scholar] [CrossRef]
- Do, T.A.; Le, H.S.; Shen, Y.-W.; Huang, H.-L.; Fuh, L.-J. Risk Factors related to Late Failure of Dental Implant—A Systematic Review of Recent Studies. Int. J. Environ. Res. Public Health 2020, 17, 3931. [Google Scholar] [CrossRef]
- Unsal, G.-S.; Turkyilmaz, I.; Lakhia, S. Advantages and limitations of implant surgery with CAD/CAM surgical guides: A literature review. J. Clin. Exp. Dent. 2020, 12, e409–e417. [Google Scholar] [CrossRef]
- Dutta, S.R.; Passi, D.; Singh, P.; Atri, M.; Mohan, S.; Sharma, A. Risks and complications associated with dental implant failure: Critical update. Natl. J. Maxillofac. Surg. 2020, 11, 14–19. [Google Scholar] [CrossRef]
- Derks, J.; Tomasi, C. Peri-implant health and disease. A systematic review of current epidemiology. J. Clin. Periodontol. 2015, 42, S158–S171. [Google Scholar] [CrossRef]
- Rushton, V.E.; Horner, K.; Worthington, H.V. Factors influencing the selection of panoramic radiography in general dental practice. J. Dent. 1999, 27, 565–571. [Google Scholar] [CrossRef] [PubMed]
- Özalp, Ö.; Tezerişener, H.A.; Kocabalkan, B.; Büyükkaplan, U.Ş.; Özarslan, M.M.; Kaya, G.Ş.; Altay, M.A.; Sindel, A. Comparing the precision of panoramic radiography and cone-beam computed tomography in avoiding anatomical structures critical to dental implant surgery: A retrospective study. Imaging Sci. Dent. 2018, 48, 269–275. [Google Scholar] [CrossRef] [PubMed]
- Fukunaga, T.; Kuroda, S.; Kurosaka, H.; Takano-Yamamoto, T. Skeletal anchorage for orthodontic correction of maxillary protrusion with adult periodontitis. Angle Orthod. 2006, 76, 148–155. [Google Scholar] [CrossRef]
- Jacobs, R.; Salmon, B.; Codari, M.; Hassan, B.; Bornstein, M.M. Cone beam computed tomography in implant dentistry: Recommendations for clinical use. BMC Oral Health 2018, 18, 88. [Google Scholar] [CrossRef]
- Kim, Y.-K.; Park, J.-Y.; Kim, S.-G.; Kim, J.-S.; Kim, J.-D. Magnification rate of digital panoramic radiographs and its effectiveness for pre-operative assessment of dental implants. Dentomaxillofacial Radiol. 2011, 40, 76–83. [Google Scholar] [CrossRef] [PubMed]
- Thiebot, N.; Hamdani, A.; Blanchet, F.; Dame, M.; Tawfik, S.; Mbapou, E.; Kaddouh, A.A.; Alantar, A. Implant failure rate and the prevalence of associated risk factors: A 6-year retrospective observational survey. J. Oral Med. Oral Surg. 2022, 28, 19. [Google Scholar] [CrossRef]
- Pedersen, S.; Jain, S.; Chavez, M.; Ladehoff, V.; de Freitas, B.N.; Pauwels, R. Pano-GAN: A Deep Generative Model for Panoramic Dental Radiographs. J. Imaging 2025, 11, 41. [Google Scholar] [CrossRef]
- Turosz, N.; Chęcińska, K.; Chęciński, M.; Sielski, M.; Sikora, M. Evaluation of Dental Panoramic Radiographs by Artificial Intelligence Compared to Human Reference: A Diagnostic Accuracy Study. J. Clin. Med. 2024, 13, 6859. [Google Scholar] [CrossRef]
- Macrì, M.; D’albis, V.; D’albis, G.; Forte, M.; Capodiferro, S.; Favia, G.; Alrashadah, A.O.; García, V.D.-F.; Festa, F. The Role and Applications of Artificial Intelligence in Dental Implant Planning: A Systematic Review. Bioengineering 2024, 11, 778. [Google Scholar] [CrossRef]
- Padilla, R.; Netto, S.L.; da Silva, E.A.B. A Survey on Performance Metrics for Object-Detection Algorithms. In Proceedings of the 2020 International Conference on Systems, Signals and Image Processing (IWSSIP), Niterói, Brazil, 1–3 July 2020; pp. 237–242. [Google Scholar] [CrossRef]
- Li, Z.; Liu, F.; Yang, W.; Peng, S.; Zhou, J. A Survey of Convolutional Neural Networks: Analysis, Applications, and Prospects. IEEE Trans. Neural Netw. Learn. Syst. 2022, 33, 6999–7019. [Google Scholar] [CrossRef]
- Balel, Y.; Sağtaş, K.; Teke, F.; Kurt, M.A. Artificial Intelligence-Based Detection and Numbering of Dental Implants on Panoramic Radiographs. Clin. Implant. Dent. Relat. Res. 2025, 27, e70000. [Google Scholar] [CrossRef] [PubMed]
- Goceri, E. Medical image data augmentation: Techniques, comparisons and interpretations. Artif. Intell. Rev. 2023, 56, 12561–12605. [Google Scholar] [CrossRef] [PubMed]
- Terven, J.; Córdova-Esparza, D.-M.; Romero-González, J.-A. A Comprehensive Review of YOLO Architectures in Computer Vision: From YOLOv1 to YOLOv8 and YOLO-NAS. Mach. Learn. Knowl. Extr. 2023, 5, 1680–1716. [Google Scholar] [CrossRef]
- Efstathiou, A.; Machtei, E.E.; Zigdon-Giladi, H.; Gutmacher, Z.; Horwitz, J. The effect of a surgeon’s position on the axial inclination of dental implants placed freehand: A single-blind study. Quintessence Int. 2021, 52, 798–805. [Google Scholar] [CrossRef]
- Wang, C.-Y.; Yeh, I.-H.; Liao, H.-Y.M. YOLOv9: Learning What You Want to Learn Using Programmable Gradient Information. arXiv 2024, arXiv:2402.13616. [Google Scholar] [CrossRef]
- Wang, A.; Chen, H.; Liu, L.; Chen, K.; Lin, Z.; Han, J. YOLOv10: Real-Time End-to-End Object Detection. arXiv 2024, arXiv:2405.14458. [Google Scholar] [CrossRef]
- Rao, S.N. YOLOv11 Explained: Next-Level Object Detection with Enhanced Speed and Accuracy. Medium. Available online: https://medium.com/@nikhil-rao-20/yolov11-explained-next-level-object-detection-with-enhanced-speed-and-accuracy-2dbe2d376f71 (accessed on 2 September 2025).
- Khanam, R.; Hussain, M. YOLOv11: An Overview of the Key Architectural Enhancements. arXiv 2024, arXiv:2410.17725. [Google Scholar] [CrossRef]
- Tian, Y.; Ye, Q.; Doermann, D. YOLOv12: Attention-Centric Real-Time Object Detectors. arXiv 2025, arXiv:2502.12524. [Google Scholar] [CrossRef]
- Zand, M.; Etemad, A.; Greenspan, M. Oriented Bounding Boxes for Small and Freely Rotated Objects. IEEE Trans. Geosci. Remote Sens. 2022, 60, 1–15. [Google Scholar] [CrossRef]
- Li, S.; Zhang, Z.; Li, B.; Li, C. Multiscale Rotated Bounding Box-Based Deep Learning Method for Detecting Ship Targets in Remote Sensing Images. Sensors 2018, 18, 2702. [Google Scholar] [CrossRef]
- Dobbin, K.K.; Simon, R.M. Optimally splitting cases for training and testing high dimensional classifiers. BMC Med. Genom. 2011, 4, 31. [Google Scholar] [CrossRef]
- Tomasi, C.; Manduchi, R. Bilateral filtering for gray and color images. In Proceedings of the Sixth International Conference on Computer Vision (IEEE Cat. No.98CH36271), Bombay, India, 4–7 January 1998; Narosa Publishing House: Delhi, India, 1998; pp. 839–846. [Google Scholar] [CrossRef]
- Patel, O.; Maravi, Y.P.S.; Sharma, S. A Comparative Study of Histogram Equalization Based Image Enhancement Techniques for Brightness Preservation and Contrast Enhancement. SIPIJ 2013, 4, 11–25. [Google Scholar] [CrossRef]
- Tanner, E.M.; Bornehag, C.-G.; Gennings, C. Repeated holdout validation for weighted quantile sum regression. MethodsX 2019, 6, 2855–2860. [Google Scholar] [CrossRef] [PubMed]
- Șalgău, C.A.; Morar, A.; Zgarta, A.D.; Ancuța, D.-L.; Rădulescu, A.; Mitrea, I.L.; Tănase, A.O. Applications of Machine Learning in Periodontology and Implantology: A Comprehensive Review. Ann. Biomed. Eng. 2024, 52, 2348–2371. [Google Scholar] [CrossRef]
- Bonfanti-Gris, M.; Herrera, A.; Rodríguez-Manzaneque, M.P.S.; Martínez-Rus, F.; Pradíes, G. Deep learning for tooth detection and segmentation in panoramic radiographs: A systematic review and meta-analysis. BMC Oral Health 2025, 25, 1280. [Google Scholar] [CrossRef]
- Kaewsiri, D. Comparison of the Implant Deviation Between Implants Placed Using Static and Dynamic Computer Assisted Surgery Methods. Ph.D. Thesis, Chulalongkorn University, Bangkok, Thailand, 2018. [Google Scholar] [CrossRef]
- Ribas, B.R.; Nascimento, E.H.L.; Freitas, D.Q.; Pontual, A.d.A.; Pontual, M.L.d.A.; Perez, D.E.C.; Ramos-Perez, F.M.M. Positioning errors of dental implants and their associations with adjacent structures and anatomical variations: A CBCT-based study. Imaging Sci. Dent. 2020, 50, 281–290. [Google Scholar] [CrossRef] [PubMed]












| Dataset Augmentation | Training Set (70%) | Test Set (30%) | Validation Set |
|---|---|---|---|
| Before | 315 | 135 | 50 |
| After | 630 | 270 | 100 |
| Hardware Platform | Version |
| CPU | AMD Ryzen™ R7-7700@3.80 GHz |
| GPU | NVIDIA GeForce RTX 3070 8G |
| DRAM | 64 GB |
| Software Platform | Version |
| Python | 3.9.31 |
| PyTorch | 2.4 + cu121 |
| CUDA | 12.1 |
| Hyper-Parameter | Value |
|---|---|
| Epochs | 150 |
| Batch size | 1 |
| Learning rate | 0.0005 |
| optimizer | AdamW |
| Accuracy | Precision | Recall | mAP50 | mAP50–95 | Training Time (m:s) | p-Value | McNemar’s Test | Paired t-Test | |
|---|---|---|---|---|---|---|---|---|---|
| YOLOv9m | 85.60% | 88.86% | 86.67% | 88.45% | 75.34% | 14:47 | 0.045 | - | - |
| YOLOv10m | 80.20% | 83.09% | 86.67% | 88.59% | 75.62% | 13:32 | 0.082 | 0.091 | 0.088 |
| YOLOv11m | 86.58% | 87.64% | 88.89% | 89.23% | 74.94% | 11:39 | 0.046 | 0.052 | 0.048 |
| YOLOv12m | 78.88% | 83.79% | 84.44% | 85.16% | 60.37% | 12:58 | 0.117 | 0.103 | 0.110 |
| Faster R-CNN | 75.98% | 79.63% | 80.01% | 78.23% | 59.65% | 18:15 | 0.189 | 0.2325 | 0.4295 |
| Swin-transformer | 70.98% | 71.47% | 73.86% | 67.89% | 54.62% | 22:08 | 0.207 | 0.4211 | 0.4238 |
| Test Set | Accuracy | Precision | Specificity | Sensitivity | IoU |
|---|---|---|---|---|---|
| 1 | 0.8578 | 0.8978 | 0.8695 | 0.8645 | 0.8402 |
| 2 | 0.8485 | 0.8985 | 0.8694 | 0.8560 | 0.8225 |
| 3 | 0.8513 | 0.8813 | 0.8524 | 0.8559 | 0.8395 |
| 4 | 0.8693 | 0.8693 | 0.8695 | 0.8412 | 0.8221 |
| 5 | 0.8464 | 0.8964 | 0.8695 | 0.8609 | 0.8344 |
| 6 | 0.8481 | 0.8981 | 0.8695 | 0.8675 | 0.8459 |
| 7 | 0.8516 | 0.8816 | 0.8695 | 0.8572 | 0.8419 |
| 8 | 0.8485 | 0.8985 | 0.8674 | 0.8687 | 0.8480 |
| 9 | 0.8476 | 0.8976 | 0.8695 | 0.8590 | 0.8294 |
| 10 | 0.8690 | 0.8640 | 0.8695 | 0.8406 | 0.8262 |
| Average | 0.8538 | 0.8884 | 0.8676 | 0.8572 | 0.8350 |
| mean ± SD | 0.8538 ± 0.0082 | 0.8884 ± 0.0126 | 0.8676 ± 0.0051 | 0.8572 ± 0.0092 | 0.8350 ± 0.0090 |
| p-value | 0.0122 | 0.0098 | 0.0101 | 0.0113 | 0.0128 |
| 95% CI | [0.8487,0.8589] | [0.8806,0.8962] | [0.8644,0.8708] | [0.8515,0.8629] | [0.8294,0.8406] |
| Source | SS | df | MS | F | p-Value |
|---|---|---|---|---|---|
| Between Groups | 0.0485 | 2 | 0.0242 | 18.37 | <0.001 |
| Within Groups | 0.0118 | 27 | 0.00044 | – | – |
| Total | 0.0603 | 29 | – | – | – |
| Groups | MEAN | n | SS | df | q-Crit |
|---|---|---|---|---|---|
| YOLOv9m | 0.8538 | 10 | 0.00742 | 9 | – |
| Faster R-CNN | 0.7591 | 10 | 0.00683 | 9 | – |
| Swin-Transformer | 0.7039 | 10 | 0.00625 | 9 | – |
| Total | – | 30 | 0.02050 | 27 | 3.50 |
| Accuracy | Precision | Recall | mAP50 | mAP50–95 | Training Time (m:s) | |
|---|---|---|---|---|---|---|
| YOLOv8n-obb | 89.80% | 89.82% | 89.98% | 89.50% | 78.75% | 21:03 |
| YOLOv10n-obb | 89.85% | 89.87% | 89.98% | 89.50% | 71.73% | 21:14 |
| YOLOv11n-obb | 89.79% | 89.98% | 89.81% | 89.50% | 77.48% | 25:12 |
| YOLOv12n-obb | 89.52% | 89.54% | 89.98% | 89.50% | 70.14% | 26:54 |
| Accuracy | Precision | Recall | mAP50 | mAP50–95 | |
|---|---|---|---|---|---|
| O | 81.80% | 81.82% | 81.98% | 81.50% | 70.75% |
| BF | 83.77% | 84.79% | 83.98% | 82.50% | 72.60% |
| HE | 84.77% | 85.79% | 84.98% | 84.50% | 74.60% |
| HE: BF (5:5) | 85.78% | 85.80% | 85.98% | 85.50% | 75.42% |
| HE: BF (3:7) | 89.80% | 89.82% | 89.98% | 89.50% | 78.75% |
| YOLO-OBB result | ||||||
| Validation Image 1–6 | ![]() | ![]() | ![]() | ![]() | ![]() | ![]() |
| Accuracy | 84.13% 75.18% | 90.29% 76.49% | 87.38% 87.27% | 80.40% 84.48% | 70.11% 83.41% | 88.46% 76.33% |
| AI-assisted and implant path visualization result | ||||||
| Validation Image 1–6 | ![]() | ![]() | ![]() | ![]() | ![]() | ![]() |
| Comparison with dentist’s ground truth (black line) and our framework (green line) | ||||||
| Validation Image 1–6 | ![]() | ![]() | ![]() | ![]() | ![]() | ![]() |
| MSE | 3.59 | 1.29 | 0.41 | 0.80 | ||
Disclaimer/Publisher’s Note: The statements, opinions and data contained in all publications are solely those of the individual author(s) and contributor(s) and not of MDPI and/or the editor(s). MDPI and/or the editor(s) disclaim responsibility for any injury to people or property resulting from any ideas, methods, instructions or products referred to in the content. |
© 2025 by the authors. Licensee MDPI, Basel, Switzerland. This article is an open access article distributed under the terms and conditions of the Creative Commons Attribution (CC BY) license (https://creativecommons.org/licenses/by/4.0/).
Share and Cite
Wu, P.-Y.; Chen, S.-L.; Mao, Y.-C.; Lin, Y.-J.; Lu, P.-Y.; Yu, K.-H.; Li, K.-C.; Chi, T.-K.; Chen, T.-Y.; Abu, P.A.R. Automated Implant Placement Pathway from Dental Panoramic Radiographs Using Deep Learning for Preliminary Clinical Assistance. Diagnostics 2025, 15, 2598. https://doi.org/10.3390/diagnostics15202598
Wu P-Y, Chen S-L, Mao Y-C, Lin Y-J, Lu P-Y, Yu K-H, Li K-C, Chi T-K, Chen T-Y, Abu PAR. Automated Implant Placement Pathway from Dental Panoramic Radiographs Using Deep Learning for Preliminary Clinical Assistance. Diagnostics. 2025; 15(20):2598. https://doi.org/10.3390/diagnostics15202598
Chicago/Turabian StyleWu, Pei-Yi, Shih-Lun Chen, Yi-Cheng Mao, Yuan-Jin Lin, Pin-Yu Lu, Kai-Hsun Yu, Kuo-Chen Li, Tsun-Kuang Chi, Tsung-Yi Chen, and Patricia Angela R. Abu. 2025. "Automated Implant Placement Pathway from Dental Panoramic Radiographs Using Deep Learning for Preliminary Clinical Assistance" Diagnostics 15, no. 20: 2598. https://doi.org/10.3390/diagnostics15202598
APA StyleWu, P.-Y., Chen, S.-L., Mao, Y.-C., Lin, Y.-J., Lu, P.-Y., Yu, K.-H., Li, K.-C., Chi, T.-K., Chen, T.-Y., & Abu, P. A. R. (2025). Automated Implant Placement Pathway from Dental Panoramic Radiographs Using Deep Learning for Preliminary Clinical Assistance. Diagnostics, 15(20), 2598. https://doi.org/10.3390/diagnostics15202598



















